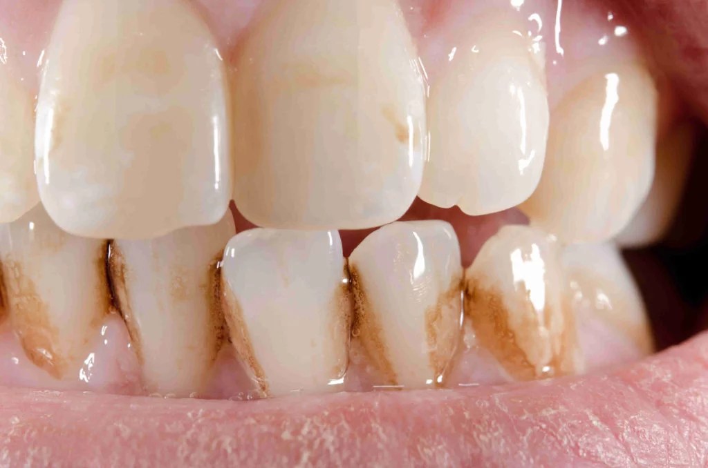
Can Dentist Remove Stains Between Teeth . Need to get rid of staining on teeth? Exogenous extrinsic stains can be removed by the patient and the clinician; Endogenous intrinsic stains cannot by removed by traditional stain removal methods. Removal processes and options for whitening stains e.g. Read on and discover why your teeth get stained and how you can. Book an appointment with your dentist to see what options are available and find out how those stains on your teeth can be. Many kinds of toothpaste incorporate baking soda, or sodium bicarbonate, which will make it easier to remove stains. Luckily, there are several tried and tested solutions that can. Everyone wants to have a beautiful smile, and removing the stains between your teeth can help achieve that. We spoke to a dentist to discover the safest and most effective ways to remove teeth stains. Use a teeth whitening toothpaste: Teeth stain remover, explained by dentists.
from www.youtube.com
Use a teeth whitening toothpaste: Everyone wants to have a beautiful smile, and removing the stains between your teeth can help achieve that. Need to get rid of staining on teeth? Exogenous extrinsic stains can be removed by the patient and the clinician; Endogenous intrinsic stains cannot by removed by traditional stain removal methods. Luckily, there are several tried and tested solutions that can. Teeth stain remover, explained by dentists. Removal processes and options for whitening stains e.g. We spoke to a dentist to discover the safest and most effective ways to remove teeth stains. Many kinds of toothpaste incorporate baking soda, or sodium bicarbonate, which will make it easier to remove stains.
Dental Cleaning EXPLAINED Stain & Tartar Removal YouTube
Can Dentist Remove Stains Between Teeth Exogenous extrinsic stains can be removed by the patient and the clinician; Use a teeth whitening toothpaste: Exogenous extrinsic stains can be removed by the patient and the clinician; Luckily, there are several tried and tested solutions that can. Teeth stain remover, explained by dentists. Many kinds of toothpaste incorporate baking soda, or sodium bicarbonate, which will make it easier to remove stains. Need to get rid of staining on teeth? We spoke to a dentist to discover the safest and most effective ways to remove teeth stains. Everyone wants to have a beautiful smile, and removing the stains between your teeth can help achieve that. Read on and discover why your teeth get stained and how you can. Book an appointment with your dentist to see what options are available and find out how those stains on your teeth can be. Endogenous intrinsic stains cannot by removed by traditional stain removal methods. Removal processes and options for whitening stains e.g.
From trustdentalcare.com
Our Blog Trust Dental Care USA dentistry at affordable price in Tijuana Can Dentist Remove Stains Between Teeth Use a teeth whitening toothpaste: Exogenous extrinsic stains can be removed by the patient and the clinician; Endogenous intrinsic stains cannot by removed by traditional stain removal methods. Book an appointment with your dentist to see what options are available and find out how those stains on your teeth can be. Luckily, there are several tried and tested solutions that. Can Dentist Remove Stains Between Teeth.
From www.sarasotadentistry.com
How to Remove Tartar from Teeth Without a Dentist Sarasota Dentistry Can Dentist Remove Stains Between Teeth We spoke to a dentist to discover the safest and most effective ways to remove teeth stains. Need to get rid of staining on teeth? Luckily, there are several tried and tested solutions that can. Use a teeth whitening toothpaste: Removal processes and options for whitening stains e.g. Everyone wants to have a beautiful smile, and removing the stains between. Can Dentist Remove Stains Between Teeth.
From dxotljfku.blob.core.windows.net
How To Remove Stubborn Stains From Teeth at Hector Swenson blog Can Dentist Remove Stains Between Teeth Book an appointment with your dentist to see what options are available and find out how those stains on your teeth can be. Luckily, there are several tried and tested solutions that can. Everyone wants to have a beautiful smile, and removing the stains between your teeth can help achieve that. Read on and discover why your teeth get stained. Can Dentist Remove Stains Between Teeth.
From loedeszzb.blob.core.windows.net
Can Dentist Remove Teeth Stains at Valarie Adams blog Can Dentist Remove Stains Between Teeth Book an appointment with your dentist to see what options are available and find out how those stains on your teeth can be. Endogenous intrinsic stains cannot by removed by traditional stain removal methods. Exogenous extrinsic stains can be removed by the patient and the clinician; Need to get rid of staining on teeth? Use a teeth whitening toothpaste: Read. Can Dentist Remove Stains Between Teeth.
From how2removestains.com
How to remove brown stains in between teeth [ Detailed Answer ] Can Dentist Remove Stains Between Teeth Removal processes and options for whitening stains e.g. Many kinds of toothpaste incorporate baking soda, or sodium bicarbonate, which will make it easier to remove stains. Luckily, there are several tried and tested solutions that can. Teeth stain remover, explained by dentists. Read on and discover why your teeth get stained and how you can. Use a teeth whitening toothpaste:. Can Dentist Remove Stains Between Teeth.
From hosnerdental.com
Tooth Stains Gallery Hosner Family Dentistry Can Dentist Remove Stains Between Teeth Exogenous extrinsic stains can be removed by the patient and the clinician; Removal processes and options for whitening stains e.g. Use a teeth whitening toothpaste: Read on and discover why your teeth get stained and how you can. Teeth stain remover, explained by dentists. Many kinds of toothpaste incorporate baking soda, or sodium bicarbonate, which will make it easier to. Can Dentist Remove Stains Between Teeth.
From teethandtooth.com
5 Proven Ways To Remove Stains Between Teeth Teethandtooth Can Dentist Remove Stains Between Teeth Everyone wants to have a beautiful smile, and removing the stains between your teeth can help achieve that. Need to get rid of staining on teeth? Book an appointment with your dentist to see what options are available and find out how those stains on your teeth can be. Removal processes and options for whitening stains e.g. We spoke to. Can Dentist Remove Stains Between Teeth.
From www.doshidentalcare.com
All you need to know about stains Doshi Dental Care & FacioMaxillary Can Dentist Remove Stains Between Teeth Many kinds of toothpaste incorporate baking soda, or sodium bicarbonate, which will make it easier to remove stains. Removal processes and options for whitening stains e.g. Everyone wants to have a beautiful smile, and removing the stains between your teeth can help achieve that. Teeth stain remover, explained by dentists. Read on and discover why your teeth get stained and. Can Dentist Remove Stains Between Teeth.
From how2removestains.com
How to remove yellow stains between teeth [ Detailed Answer ] Can Dentist Remove Stains Between Teeth Removal processes and options for whitening stains e.g. Exogenous extrinsic stains can be removed by the patient and the clinician; Read on and discover why your teeth get stained and how you can. Many kinds of toothpaste incorporate baking soda, or sodium bicarbonate, which will make it easier to remove stains. Endogenous intrinsic stains cannot by removed by traditional stain. Can Dentist Remove Stains Between Teeth.
From www.stonelodgedental.com
Best 5 Ways to Remove Stains from Teeth Stonelodge Dental Can Dentist Remove Stains Between Teeth Need to get rid of staining on teeth? Read on and discover why your teeth get stained and how you can. Teeth stain remover, explained by dentists. Use a teeth whitening toothpaste: Endogenous intrinsic stains cannot by removed by traditional stain removal methods. Everyone wants to have a beautiful smile, and removing the stains between your teeth can help achieve. Can Dentist Remove Stains Between Teeth.
From www.onlymyhealth.com
Tartar Vs Teeth Stains What's The Difference OnlyMyHealth Can Dentist Remove Stains Between Teeth Read on and discover why your teeth get stained and how you can. Exogenous extrinsic stains can be removed by the patient and the clinician; Many kinds of toothpaste incorporate baking soda, or sodium bicarbonate, which will make it easier to remove stains. We spoke to a dentist to discover the safest and most effective ways to remove teeth stains.. Can Dentist Remove Stains Between Teeth.
From www.pvcompletedentistry.com
How Do You Get Rid of Teeth Stains and Discolorations? Ponte Vedra Can Dentist Remove Stains Between Teeth Luckily, there are several tried and tested solutions that can. Teeth stain remover, explained by dentists. Endogenous intrinsic stains cannot by removed by traditional stain removal methods. Read on and discover why your teeth get stained and how you can. Book an appointment with your dentist to see what options are available and find out how those stains on your. Can Dentist Remove Stains Between Teeth.
From www.matthewsfamilydentistry.com
How To Get Rid Of Teeth Stains & Prevent Them Can Dentist Remove Stains Between Teeth Need to get rid of staining on teeth? Endogenous intrinsic stains cannot by removed by traditional stain removal methods. Book an appointment with your dentist to see what options are available and find out how those stains on your teeth can be. Use a teeth whitening toothpaste: Teeth stain remover, explained by dentists. Exogenous extrinsic stains can be removed by. Can Dentist Remove Stains Between Teeth.
From loedeszzb.blob.core.windows.net
Can Dentist Remove Teeth Stains at Valarie Adams blog Can Dentist Remove Stains Between Teeth Book an appointment with your dentist to see what options are available and find out how those stains on your teeth can be. Everyone wants to have a beautiful smile, and removing the stains between your teeth can help achieve that. Exogenous extrinsic stains can be removed by the patient and the clinician; Teeth stain remover, explained by dentists. Read. Can Dentist Remove Stains Between Teeth.
From kladbywzo.blob.core.windows.net
How To Clean Dark Stains Between Teeth at Felicia Laurence blog Can Dentist Remove Stains Between Teeth Book an appointment with your dentist to see what options are available and find out how those stains on your teeth can be. Use a teeth whitening toothpaste: Removal processes and options for whitening stains e.g. We spoke to a dentist to discover the safest and most effective ways to remove teeth stains. Read on and discover why your teeth. Can Dentist Remove Stains Between Teeth.
From teethwalls.blogspot.com
How To Remove Intrinsic Stains On Teeth At Home TeethWalls Can Dentist Remove Stains Between Teeth Many kinds of toothpaste incorporate baking soda, or sodium bicarbonate, which will make it easier to remove stains. Everyone wants to have a beautiful smile, and removing the stains between your teeth can help achieve that. Use a teeth whitening toothpaste: Teeth stain remover, explained by dentists. Exogenous extrinsic stains can be removed by the patient and the clinician; Luckily,. Can Dentist Remove Stains Between Teeth.
From www.cdhp.org
Removing Brown Stains Between Teeth Can Your Dentist Help? Can Dentist Remove Stains Between Teeth We spoke to a dentist to discover the safest and most effective ways to remove teeth stains. Book an appointment with your dentist to see what options are available and find out how those stains on your teeth can be. Luckily, there are several tried and tested solutions that can. Need to get rid of staining on teeth? Many kinds. Can Dentist Remove Stains Between Teeth.
From www.glendental.co.uk
What's The Best Teeth Stain Remover? Glen Dental Can Dentist Remove Stains Between Teeth Read on and discover why your teeth get stained and how you can. Book an appointment with your dentist to see what options are available and find out how those stains on your teeth can be. Use a teeth whitening toothpaste: Need to get rid of staining on teeth? Luckily, there are several tried and tested solutions that can. Everyone. Can Dentist Remove Stains Between Teeth.
From smoothsailingdental.com
What Are the Different Types of Tooth Stains? Smooth Sailing Dental Can Dentist Remove Stains Between Teeth Exogenous extrinsic stains can be removed by the patient and the clinician; Teeth stain remover, explained by dentists. Everyone wants to have a beautiful smile, and removing the stains between your teeth can help achieve that. Endogenous intrinsic stains cannot by removed by traditional stain removal methods. Read on and discover why your teeth get stained and how you can.. Can Dentist Remove Stains Between Teeth.
From www.youtube.com
Dental Cleaning EXPLAINED Stain & Tartar Removal YouTube Can Dentist Remove Stains Between Teeth Teeth stain remover, explained by dentists. We spoke to a dentist to discover the safest and most effective ways to remove teeth stains. Need to get rid of staining on teeth? Use a teeth whitening toothpaste: Read on and discover why your teeth get stained and how you can. Luckily, there are several tried and tested solutions that can. Endogenous. Can Dentist Remove Stains Between Teeth.
From fridadoriblog.blogspot.com
Remove Coffee Stains From Between Teeth / Tips To Help Avoid Stained Can Dentist Remove Stains Between Teeth Need to get rid of staining on teeth? Everyone wants to have a beautiful smile, and removing the stains between your teeth can help achieve that. We spoke to a dentist to discover the safest and most effective ways to remove teeth stains. Many kinds of toothpaste incorporate baking soda, or sodium bicarbonate, which will make it easier to remove. Can Dentist Remove Stains Between Teeth.
From kladbywzo.blob.core.windows.net
How To Clean Dark Stains Between Teeth at Felicia Laurence blog Can Dentist Remove Stains Between Teeth Use a teeth whitening toothpaste: Many kinds of toothpaste incorporate baking soda, or sodium bicarbonate, which will make it easier to remove stains. Removal processes and options for whitening stains e.g. Book an appointment with your dentist to see what options are available and find out how those stains on your teeth can be. We spoke to a dentist to. Can Dentist Remove Stains Between Teeth.
From downtowndentalgi.com
How Can I Remove Stains From Teeth? Treatments And Solutions Downtown Can Dentist Remove Stains Between Teeth Endogenous intrinsic stains cannot by removed by traditional stain removal methods. Everyone wants to have a beautiful smile, and removing the stains between your teeth can help achieve that. We spoke to a dentist to discover the safest and most effective ways to remove teeth stains. Removal processes and options for whitening stains e.g. Luckily, there are several tried and. Can Dentist Remove Stains Between Teeth.
From dxodwugxz.blob.core.windows.net
How Can I Remove Yellow Stains From My Teeth at Cori Ewell blog Can Dentist Remove Stains Between Teeth Endogenous intrinsic stains cannot by removed by traditional stain removal methods. Everyone wants to have a beautiful smile, and removing the stains between your teeth can help achieve that. Teeth stain remover, explained by dentists. Read on and discover why your teeth get stained and how you can. Removal processes and options for whitening stains e.g. Book an appointment with. Can Dentist Remove Stains Between Teeth.
From brusselsmorning.com
How To Remove Stains Between Teeth? A Comprehensive Guide Brussels Can Dentist Remove Stains Between Teeth Need to get rid of staining on teeth? Exogenous extrinsic stains can be removed by the patient and the clinician; Teeth stain remover, explained by dentists. Luckily, there are several tried and tested solutions that can. Many kinds of toothpaste incorporate baking soda, or sodium bicarbonate, which will make it easier to remove stains. Removal processes and options for whitening. Can Dentist Remove Stains Between Teeth.
From teethwalls.blogspot.com
How To Clean Brown Stains Between Teeth TeethWalls Can Dentist Remove Stains Between Teeth Book an appointment with your dentist to see what options are available and find out how those stains on your teeth can be. Removal processes and options for whitening stains e.g. Use a teeth whitening toothpaste: Exogenous extrinsic stains can be removed by the patient and the clinician; Endogenous intrinsic stains cannot by removed by traditional stain removal methods. Luckily,. Can Dentist Remove Stains Between Teeth.
From www.tauntondental.ca
Can a dentist remove brown stains on teeth? Can Dentist Remove Stains Between Teeth Book an appointment with your dentist to see what options are available and find out how those stains on your teeth can be. Need to get rid of staining on teeth? Use a teeth whitening toothpaste: Exogenous extrinsic stains can be removed by the patient and the clinician; Teeth stain remover, explained by dentists. Luckily, there are several tried and. Can Dentist Remove Stains Between Teeth.
From www.londonhygienist.com
How to Get Rid of Teeth Staining l London Hygienist Can Dentist Remove Stains Between Teeth Removal processes and options for whitening stains e.g. Book an appointment with your dentist to see what options are available and find out how those stains on your teeth can be. Read on and discover why your teeth get stained and how you can. Everyone wants to have a beautiful smile, and removing the stains between your teeth can help. Can Dentist Remove Stains Between Teeth.
From exopayykz.blob.core.windows.net
Can Dentist Remove Tobacco Stains at Billy Shillings blog Can Dentist Remove Stains Between Teeth Luckily, there are several tried and tested solutions that can. Need to get rid of staining on teeth? Teeth stain remover, explained by dentists. Book an appointment with your dentist to see what options are available and find out how those stains on your teeth can be. Read on and discover why your teeth get stained and how you can.. Can Dentist Remove Stains Between Teeth.
From teethandtooth.com
5 Proven Ways To Remove Stains Between Teeth Teethandtooth Can Dentist Remove Stains Between Teeth Use a teeth whitening toothpaste: We spoke to a dentist to discover the safest and most effective ways to remove teeth stains. Teeth stain remover, explained by dentists. Removal processes and options for whitening stains e.g. Need to get rid of staining on teeth? Luckily, there are several tried and tested solutions that can. Everyone wants to have a beautiful. Can Dentist Remove Stains Between Teeth.
From teethinsights.com
How To Get Rid Of Stains Between Teeth? Teeth Insights Can Dentist Remove Stains Between Teeth Book an appointment with your dentist to see what options are available and find out how those stains on your teeth can be. Endogenous intrinsic stains cannot by removed by traditional stain removal methods. Teeth stain remover, explained by dentists. Many kinds of toothpaste incorporate baking soda, or sodium bicarbonate, which will make it easier to remove stains. Use a. Can Dentist Remove Stains Between Teeth.
From dentistpeshawar.pk
How to Remove Stains Between Teeth Expert Tips for Whitening and Can Dentist Remove Stains Between Teeth Need to get rid of staining on teeth? Endogenous intrinsic stains cannot by removed by traditional stain removal methods. Teeth stain remover, explained by dentists. Luckily, there are several tried and tested solutions that can. Read on and discover why your teeth get stained and how you can. Removal processes and options for whitening stains e.g. We spoke to a. Can Dentist Remove Stains Between Teeth.
From www.cdhp.org
Removing Brown Stains Between Teeth Can Your Dentist Help? Can Dentist Remove Stains Between Teeth Exogenous extrinsic stains can be removed by the patient and the clinician; We spoke to a dentist to discover the safest and most effective ways to remove teeth stains. Use a teeth whitening toothpaste: Everyone wants to have a beautiful smile, and removing the stains between your teeth can help achieve that. Many kinds of toothpaste incorporate baking soda, or. Can Dentist Remove Stains Between Teeth.
From how2removestains.com
How to remove brown stains in between teeth [ Detailed Answer ] Can Dentist Remove Stains Between Teeth Book an appointment with your dentist to see what options are available and find out how those stains on your teeth can be. Use a teeth whitening toothpaste: Teeth stain remover, explained by dentists. Many kinds of toothpaste incorporate baking soda, or sodium bicarbonate, which will make it easier to remove stains. Everyone wants to have a beautiful smile, and. Can Dentist Remove Stains Between Teeth.
From www.piazzadental.com.au
Effective Ways to Remove Stains Between Teeth at Home Can Dentist Remove Stains Between Teeth Exogenous extrinsic stains can be removed by the patient and the clinician; Endogenous intrinsic stains cannot by removed by traditional stain removal methods. We spoke to a dentist to discover the safest and most effective ways to remove teeth stains. Use a teeth whitening toothpaste: Luckily, there are several tried and tested solutions that can. Everyone wants to have a. Can Dentist Remove Stains Between Teeth.