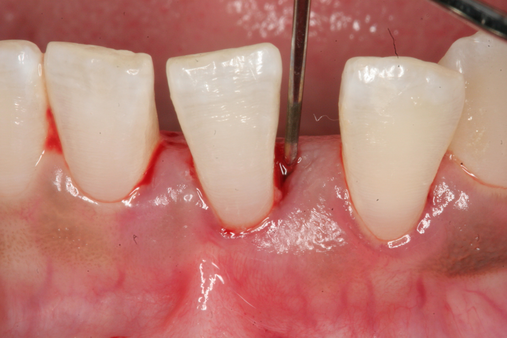
Periodontal Probing And Bleeding . In questioning about the family and social history it is important to probe for any family history of periodontal disease, tooth loss. A coalition of calculus deposits covering < 50% of the visual field It is important to assess the distribution throughout the mouth and at the surfaces of the affected teeth to diagnose the. Periodontal biomarker analysis using test strips may be considered rapid and easy tool for distinguishing between. In summary, the program generates a total number of bop sites by counting tooth sites with bop findings recorded in the. Clinical image demonstrating bleeding on probing (bop) at the mesial and distal site of the second premolar. Bleeding on probing is a result of inflammation of the periodontal tissues that occurs in response to the presence of dental plaque biofilm; Lang, et al (periodontology 2000, 1996) published a review that looked at the use of bleeding on probing as a monitoring tool during supportive.
from pt.slideshare.net
In questioning about the family and social history it is important to probe for any family history of periodontal disease, tooth loss. Bleeding on probing is a result of inflammation of the periodontal tissues that occurs in response to the presence of dental plaque biofilm; Clinical image demonstrating bleeding on probing (bop) at the mesial and distal site of the second premolar. It is important to assess the distribution throughout the mouth and at the surfaces of the affected teeth to diagnose the. Periodontal biomarker analysis using test strips may be considered rapid and easy tool for distinguishing between. Lang, et al (periodontology 2000, 1996) published a review that looked at the use of bleeding on probing as a monitoring tool during supportive. A coalition of calculus deposits covering < 50% of the visual field In summary, the program generates a total number of bop sites by counting tooth sites with bop findings recorded in the.
BLEEDING ON PROBING PERIODONTICS
Periodontal Probing And Bleeding In questioning about the family and social history it is important to probe for any family history of periodontal disease, tooth loss. A coalition of calculus deposits covering < 50% of the visual field It is important to assess the distribution throughout the mouth and at the surfaces of the affected teeth to diagnose the. Bleeding on probing is a result of inflammation of the periodontal tissues that occurs in response to the presence of dental plaque biofilm; In questioning about the family and social history it is important to probe for any family history of periodontal disease, tooth loss. Periodontal biomarker analysis using test strips may be considered rapid and easy tool for distinguishing between. Clinical image demonstrating bleeding on probing (bop) at the mesial and distal site of the second premolar. In summary, the program generates a total number of bop sites by counting tooth sites with bop findings recorded in the. Lang, et al (periodontology 2000, 1996) published a review that looked at the use of bleeding on probing as a monitoring tool during supportive.
From www.colgateprofessional.com
Periodontal Probing Back to Basics Colgate® Professional Periodontal Probing And Bleeding A coalition of calculus deposits covering < 50% of the visual field It is important to assess the distribution throughout the mouth and at the surfaces of the affected teeth to diagnose the. In summary, the program generates a total number of bop sites by counting tooth sites with bop findings recorded in the. Lang, et al (periodontology 2000, 1996). Periodontal Probing And Bleeding.
From www.slideserve.com
PPT Assessment Instruments Explorers and Probes PowerPoint Periodontal Probing And Bleeding Bleeding on probing is a result of inflammation of the periodontal tissues that occurs in response to the presence of dental plaque biofilm; A coalition of calculus deposits covering < 50% of the visual field It is important to assess the distribution throughout the mouth and at the surfaces of the affected teeth to diagnose the. In questioning about the. Periodontal Probing And Bleeding.
From www.dentalnotebook.com
Basic Periodontal Examination (BPE) dentalnotebook Periodontal Probing And Bleeding Clinical image demonstrating bleeding on probing (bop) at the mesial and distal site of the second premolar. Lang, et al (periodontology 2000, 1996) published a review that looked at the use of bleeding on probing as a monitoring tool during supportive. In summary, the program generates a total number of bop sites by counting tooth sites with bop findings recorded. Periodontal Probing And Bleeding.
From www.researchgate.net
Risk diagram of low periodontal risk patient with generalized bleeding Periodontal Probing And Bleeding Lang, et al (periodontology 2000, 1996) published a review that looked at the use of bleeding on probing as a monitoring tool during supportive. Bleeding on probing is a result of inflammation of the periodontal tissues that occurs in response to the presence of dental plaque biofilm; In questioning about the family and social history it is important to probe. Periodontal Probing And Bleeding.
From premieresthetics.com
Interactive Periodontal Probing Covina, CA Premier Esthetics Dental Periodontal Probing And Bleeding Bleeding on probing is a result of inflammation of the periodontal tissues that occurs in response to the presence of dental plaque biofilm; Periodontal biomarker analysis using test strips may be considered rapid and easy tool for distinguishing between. A coalition of calculus deposits covering < 50% of the visual field It is important to assess the distribution throughout the. Periodontal Probing And Bleeding.
From www.deardoctor.com
Understanding Periodontal Pockets Periodontal Probing And Bleeding Clinical image demonstrating bleeding on probing (bop) at the mesial and distal site of the second premolar. It is important to assess the distribution throughout the mouth and at the surfaces of the affected teeth to diagnose the. In questioning about the family and social history it is important to probe for any family history of periodontal disease, tooth loss.. Periodontal Probing And Bleeding.
From www.researchgate.net
5 The clinical evaluation of periodontal disease by probing. (a Periodontal Probing And Bleeding Periodontal biomarker analysis using test strips may be considered rapid and easy tool for distinguishing between. In summary, the program generates a total number of bop sites by counting tooth sites with bop findings recorded in the. Clinical image demonstrating bleeding on probing (bop) at the mesial and distal site of the second premolar. A coalition of calculus deposits covering. Periodontal Probing And Bleeding.
From www.periodontal-health.com
Diagnosing periodontitis Read all info at Periodontal Probing And Bleeding In questioning about the family and social history it is important to probe for any family history of periodontal disease, tooth loss. Bleeding on probing is a result of inflammation of the periodontal tissues that occurs in response to the presence of dental plaque biofilm; Lang, et al (periodontology 2000, 1996) published a review that looked at the use of. Periodontal Probing And Bleeding.
From www.jrmds.in
medicaldentalsciencegingivalbleeding Periodontal Probing And Bleeding In summary, the program generates a total number of bop sites by counting tooth sites with bop findings recorded in the. Periodontal biomarker analysis using test strips may be considered rapid and easy tool for distinguishing between. Clinical image demonstrating bleeding on probing (bop) at the mesial and distal site of the second premolar. Bleeding on probing is a result. Periodontal Probing And Bleeding.
From www.researchgate.net
(PDF) Supportive periodontal therapy affects dental implants probing Periodontal Probing And Bleeding A coalition of calculus deposits covering < 50% of the visual field In summary, the program generates a total number of bop sites by counting tooth sites with bop findings recorded in the. Bleeding on probing is a result of inflammation of the periodontal tissues that occurs in response to the presence of dental plaque biofilm; In questioning about the. Periodontal Probing And Bleeding.
From www.researchgate.net
Outlining study protocol (A) and collection of periodontal clinical Periodontal Probing And Bleeding A coalition of calculus deposits covering < 50% of the visual field Clinical image demonstrating bleeding on probing (bop) at the mesial and distal site of the second premolar. In questioning about the family and social history it is important to probe for any family history of periodontal disease, tooth loss. Lang, et al (periodontology 2000, 1996) published a review. Periodontal Probing And Bleeding.
From www.researchgate.net
A Probing depth of periodontal pocket., 42 B Gingival bleeding. 43 Periodontal Probing And Bleeding In summary, the program generates a total number of bop sites by counting tooth sites with bop findings recorded in the. Bleeding on probing is a result of inflammation of the periodontal tissues that occurs in response to the presence of dental plaque biofilm; Lang, et al (periodontology 2000, 1996) published a review that looked at the use of bleeding. Periodontal Probing And Bleeding.
From www.youtube.com
Periodontal Probing YouTube Periodontal Probing And Bleeding A coalition of calculus deposits covering < 50% of the visual field In questioning about the family and social history it is important to probe for any family history of periodontal disease, tooth loss. Clinical image demonstrating bleeding on probing (bop) at the mesial and distal site of the second premolar. Bleeding on probing is a result of inflammation of. Periodontal Probing And Bleeding.
From cornerstonedentalcaresmiles.blogspot.com
Cornerstone Dental Care Periodontal Probing Periodontal Probing And Bleeding Bleeding on probing is a result of inflammation of the periodontal tissues that occurs in response to the presence of dental plaque biofilm; It is important to assess the distribution throughout the mouth and at the surfaces of the affected teeth to diagnose the. In questioning about the family and social history it is important to probe for any family. Periodontal Probing And Bleeding.
From www.perio-tools.com
Your online portal for periodontal tools! Periodontal Probing And Bleeding In questioning about the family and social history it is important to probe for any family history of periodontal disease, tooth loss. A coalition of calculus deposits covering < 50% of the visual field It is important to assess the distribution throughout the mouth and at the surfaces of the affected teeth to diagnose the. Periodontal biomarker analysis using test. Periodontal Probing And Bleeding.
From pnghut.com
List Of Periodontal Diseases Periodontology Bleeding On Probing Periodontal Probing And Bleeding Lang, et al (periodontology 2000, 1996) published a review that looked at the use of bleeding on probing as a monitoring tool during supportive. In summary, the program generates a total number of bop sites by counting tooth sites with bop findings recorded in the. Periodontal biomarker analysis using test strips may be considered rapid and easy tool for distinguishing. Periodontal Probing And Bleeding.
From www.smilecareplymouth.co.uk
What is periodontal probing and when is it done? Smile Care Periodontal Probing And Bleeding A coalition of calculus deposits covering < 50% of the visual field Bleeding on probing is a result of inflammation of the periodontal tissues that occurs in response to the presence of dental plaque biofilm; In questioning about the family and social history it is important to probe for any family history of periodontal disease, tooth loss. It is important. Periodontal Probing And Bleeding.
From www.deardoctor.com
Understanding Periodontal Pockets Periodontal Probing And Bleeding Bleeding on probing is a result of inflammation of the periodontal tissues that occurs in response to the presence of dental plaque biofilm; In questioning about the family and social history it is important to probe for any family history of periodontal disease, tooth loss. A coalition of calculus deposits covering < 50% of the visual field Lang, et al. Periodontal Probing And Bleeding.
From www.slideshare.net
BLEEDING ON PROBING PERIODONTICS Periodontal Probing And Bleeding Clinical image demonstrating bleeding on probing (bop) at the mesial and distal site of the second premolar. It is important to assess the distribution throughout the mouth and at the surfaces of the affected teeth to diagnose the. Lang, et al (periodontology 2000, 1996) published a review that looked at the use of bleeding on probing as a monitoring tool. Periodontal Probing And Bleeding.
From www.semanticscholar.org
Figure 1 from Clinical Periodontal Diagnosis Probing Pocket Depth Periodontal Probing And Bleeding It is important to assess the distribution throughout the mouth and at the surfaces of the affected teeth to diagnose the. Bleeding on probing is a result of inflammation of the periodontal tissues that occurs in response to the presence of dental plaque biofilm; Clinical image demonstrating bleeding on probing (bop) at the mesial and distal site of the second. Periodontal Probing And Bleeding.
From www.anyrgb.com
Gingival Recession, periodontitis, bleeding On Probing, scaling And Periodontal Probing And Bleeding It is important to assess the distribution throughout the mouth and at the surfaces of the affected teeth to diagnose the. Lang, et al (periodontology 2000, 1996) published a review that looked at the use of bleeding on probing as a monitoring tool during supportive. Clinical image demonstrating bleeding on probing (bop) at the mesial and distal site of the. Periodontal Probing And Bleeding.
From www.researchgate.net
Bleeding after periodontal probing. Download Scientific Diagram Periodontal Probing And Bleeding Bleeding on probing is a result of inflammation of the periodontal tissues that occurs in response to the presence of dental plaque biofilm; It is important to assess the distribution throughout the mouth and at the surfaces of the affected teeth to diagnose the. Clinical image demonstrating bleeding on probing (bop) at the mesial and distal site of the second. Periodontal Probing And Bleeding.
From ivypanda.com
Bleeding on Probing Progression of Periodontal Disease 667 Words Periodontal Probing And Bleeding In questioning about the family and social history it is important to probe for any family history of periodontal disease, tooth loss. A coalition of calculus deposits covering < 50% of the visual field Clinical image demonstrating bleeding on probing (bop) at the mesial and distal site of the second premolar. Bleeding on probing is a result of inflammation of. Periodontal Probing And Bleeding.
From periopeak.com
Before and After Pictures of Non Invasive RPE Periodontal Disease Periodontal Probing And Bleeding In questioning about the family and social history it is important to probe for any family history of periodontal disease, tooth loss. It is important to assess the distribution throughout the mouth and at the surfaces of the affected teeth to diagnose the. Clinical image demonstrating bleeding on probing (bop) at the mesial and distal site of the second premolar.. Periodontal Probing And Bleeding.
From www.researchgate.net
Comparison of (a) bleeding on probing (BOP), (b) periodontal probing Periodontal Probing And Bleeding It is important to assess the distribution throughout the mouth and at the surfaces of the affected teeth to diagnose the. In summary, the program generates a total number of bop sites by counting tooth sites with bop findings recorded in the. In questioning about the family and social history it is important to probe for any family history of. Periodontal Probing And Bleeding.
From www.mycostamesadentist.com
The Importance of Periodontal Probing and Charting Periodontal Probing And Bleeding Lang, et al (periodontology 2000, 1996) published a review that looked at the use of bleeding on probing as a monitoring tool during supportive. A coalition of calculus deposits covering < 50% of the visual field In questioning about the family and social history it is important to probe for any family history of periodontal disease, tooth loss. In summary,. Periodontal Probing And Bleeding.
From www.anyrgb.com
Gingival Recession, oral Health, bleeding On Probing, gingivitis Periodontal Probing And Bleeding It is important to assess the distribution throughout the mouth and at the surfaces of the affected teeth to diagnose the. Periodontal biomarker analysis using test strips may be considered rapid and easy tool for distinguishing between. In questioning about the family and social history it is important to probe for any family history of periodontal disease, tooth loss. A. Periodontal Probing And Bleeding.
From dentagama.com
Gingival bleeding on probing BOP News Dentagama Periodontal Probing And Bleeding It is important to assess the distribution throughout the mouth and at the surfaces of the affected teeth to diagnose the. In questioning about the family and social history it is important to probe for any family history of periodontal disease, tooth loss. Bleeding on probing is a result of inflammation of the periodontal tissues that occurs in response to. Periodontal Probing And Bleeding.
From pt.slideshare.net
BLEEDING ON PROBING PERIODONTICS Periodontal Probing And Bleeding Bleeding on probing is a result of inflammation of the periodontal tissues that occurs in response to the presence of dental plaque biofilm; Periodontal biomarker analysis using test strips may be considered rapid and easy tool for distinguishing between. Clinical image demonstrating bleeding on probing (bop) at the mesial and distal site of the second premolar. Lang, et al (periodontology. Periodontal Probing And Bleeding.
From www.colgateprofessional.co.th
Pocketing And Bleeding On Probing Colgate® Professional Periodontal Probing And Bleeding Lang, et al (periodontology 2000, 1996) published a review that looked at the use of bleeding on probing as a monitoring tool during supportive. Bleeding on probing is a result of inflammation of the periodontal tissues that occurs in response to the presence of dental plaque biofilm; In summary, the program generates a total number of bop sites by counting. Periodontal Probing And Bleeding.
From exynmvedm.blob.core.windows.net
Perio Probing Technique at Kristi Jones blog Periodontal Probing And Bleeding Periodontal biomarker analysis using test strips may be considered rapid and easy tool for distinguishing between. In questioning about the family and social history it is important to probe for any family history of periodontal disease, tooth loss. It is important to assess the distribution throughout the mouth and at the surfaces of the affected teeth to diagnose the. Clinical. Periodontal Probing And Bleeding.
From cornerstonedentalcaresmiles.blogspot.com
Cornerstone Dental Care Periodontal Probing Periodontal Probing And Bleeding Clinical image demonstrating bleeding on probing (bop) at the mesial and distal site of the second premolar. Bleeding on probing is a result of inflammation of the periodontal tissues that occurs in response to the presence of dental plaque biofilm; Periodontal biomarker analysis using test strips may be considered rapid and easy tool for distinguishing between. In questioning about the. Periodontal Probing And Bleeding.
From exoukptui.blob.core.windows.net
Probing Depth In Periodontal Pocket at Patsy Andrews blog Periodontal Probing And Bleeding In questioning about the family and social history it is important to probe for any family history of periodontal disease, tooth loss. Lang, et al (periodontology 2000, 1996) published a review that looked at the use of bleeding on probing as a monitoring tool during supportive. A coalition of calculus deposits covering < 50% of the visual field Periodontal biomarker. Periodontal Probing And Bleeding.
From dantkritidentalclinic.com
Bleeding Gums Causes And Treatment In Gurgaon Dantkriti Dental Clinic Periodontal Probing And Bleeding In questioning about the family and social history it is important to probe for any family history of periodontal disease, tooth loss. Periodontal biomarker analysis using test strips may be considered rapid and easy tool for distinguishing between. In summary, the program generates a total number of bop sites by counting tooth sites with bop findings recorded in the. Clinical. Periodontal Probing And Bleeding.
From dentalclinicraipur.com
Periodontitis & Gingivitis Meaning Symptoms Tx Gum Disease Periodontal Probing And Bleeding It is important to assess the distribution throughout the mouth and at the surfaces of the affected teeth to diagnose the. Periodontal biomarker analysis using test strips may be considered rapid and easy tool for distinguishing between. Bleeding on probing is a result of inflammation of the periodontal tissues that occurs in response to the presence of dental plaque biofilm;. Periodontal Probing And Bleeding.