What Does A Vascular Test Consist Of . Vascular studies are tests that check the blood flow in your arteries and veins. In the vascular lab, ultrasound is used to specifically look for circulation (blood flow) problems. Read more about what to expect during a vascular study, such as lying on an exam table, and the doppler transducer pressed against your skin. This means they don’t use any needles. Vascular screenings are essential assessments that evaluate the health and functionality of your blood vessels and arteries, which collectively form the vascular. Vascular tests, also called vascular studies, help us thoroughly assess your condition. Doppler test, vascular lab test, duplex exam, duplex scan, ultrasound, ultrasound exam. Blocked carotid arteries increase your risk of stroke. The results can identify the treatment that will help you. What does a vascular lab exam look for? During a vascular screening, a few different tests are performed to check the health of your blood vessels.
from www.youtube.com
Blocked carotid arteries increase your risk of stroke. Vascular tests, also called vascular studies, help us thoroughly assess your condition. The results can identify the treatment that will help you. Vascular screenings are essential assessments that evaluate the health and functionality of your blood vessels and arteries, which collectively form the vascular. This means they don’t use any needles. Doppler test, vascular lab test, duplex exam, duplex scan, ultrasound, ultrasound exam. What does a vascular lab exam look for? Read more about what to expect during a vascular study, such as lying on an exam table, and the doppler transducer pressed against your skin. During a vascular screening, a few different tests are performed to check the health of your blood vessels. In the vascular lab, ultrasound is used to specifically look for circulation (blood flow) problems.
VASCULAR EXAMINATION OF THE LOWER EXTREMITIES YouTube
What Does A Vascular Test Consist Of This means they don’t use any needles. Vascular screenings are essential assessments that evaluate the health and functionality of your blood vessels and arteries, which collectively form the vascular. During a vascular screening, a few different tests are performed to check the health of your blood vessels. Vascular studies are tests that check the blood flow in your arteries and veins. Read more about what to expect during a vascular study, such as lying on an exam table, and the doppler transducer pressed against your skin. Doppler test, vascular lab test, duplex exam, duplex scan, ultrasound, ultrasound exam. The results can identify the treatment that will help you. Blocked carotid arteries increase your risk of stroke. In the vascular lab, ultrasound is used to specifically look for circulation (blood flow) problems. What does a vascular lab exam look for? This means they don’t use any needles. Vascular tests, also called vascular studies, help us thoroughly assess your condition.
From www.youtube.com
Vascular Screenings YouTube What Does A Vascular Test Consist Of Vascular screenings are essential assessments that evaluate the health and functionality of your blood vessels and arteries, which collectively form the vascular. Blocked carotid arteries increase your risk of stroke. The results can identify the treatment that will help you. This means they don’t use any needles. Read more about what to expect during a vascular study, such as lying. What Does A Vascular Test Consist Of.
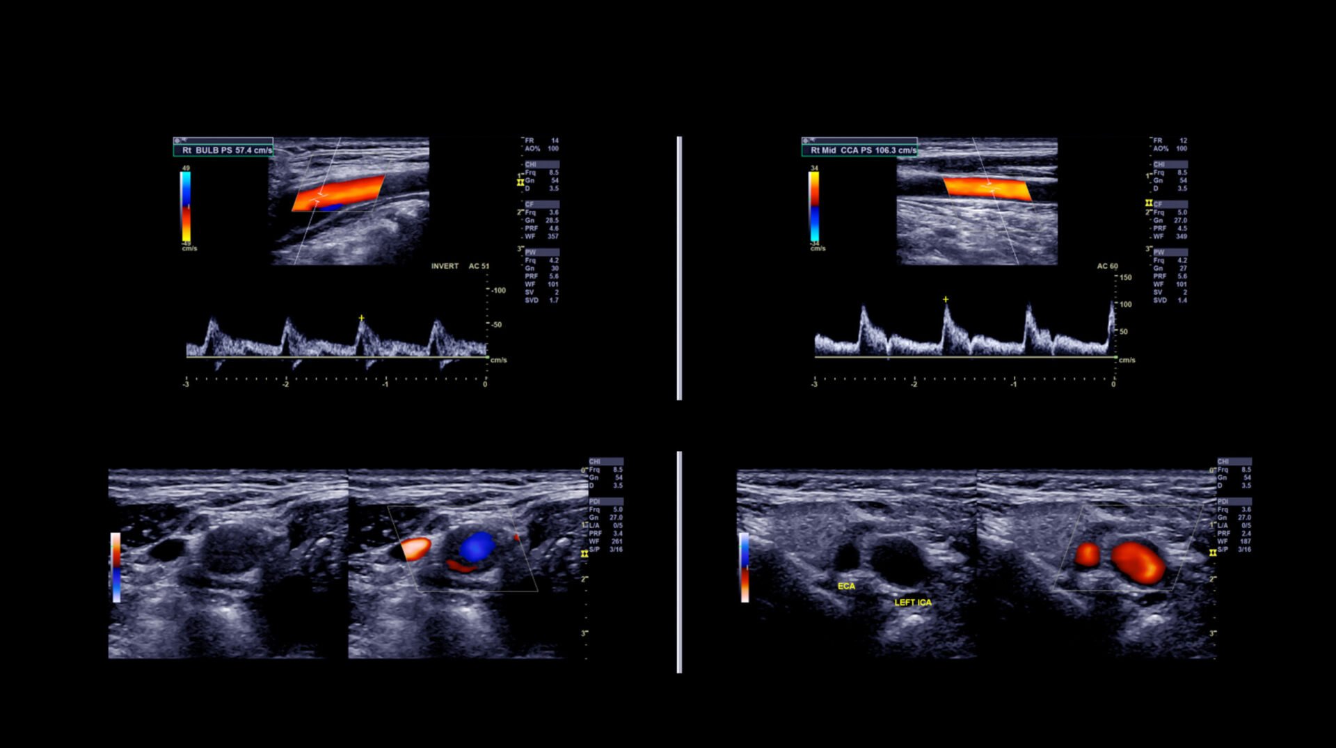
From lakeshoreveins.com
Vascular Ultrasound What Is It, How It's Performed & Other Test Info What Does A Vascular Test Consist Of What does a vascular lab exam look for? Blocked carotid arteries increase your risk of stroke. Read more about what to expect during a vascular study, such as lying on an exam table, and the doppler transducer pressed against your skin. The results can identify the treatment that will help you. In the vascular lab, ultrasound is used to specifically. What Does A Vascular Test Consist Of.
From www.hmpgloballearningnetwork.com
How To Perform A Thorough Vascular Exam What Does A Vascular Test Consist Of Read more about what to expect during a vascular study, such as lying on an exam table, and the doppler transducer pressed against your skin. What does a vascular lab exam look for? Doppler test, vascular lab test, duplex exam, duplex scan, ultrasound, ultrasound exam. Blocked carotid arteries increase your risk of stroke. This means they don’t use any needles.. What Does A Vascular Test Consist Of.
From www.pinterest.com
High Ankle Brachial Index Angiologist Brachial, Vascular ultrasound, Diagnostic medical What Does A Vascular Test Consist Of Vascular studies are tests that check the blood flow in your arteries and veins. Blocked carotid arteries increase your risk of stroke. Vascular tests, also called vascular studies, help us thoroughly assess your condition. This means they don’t use any needles. What does a vascular lab exam look for? Vascular screenings are essential assessments that evaluate the health and functionality. What Does A Vascular Test Consist Of.
From www.pinterest.ca
Vascular Testing Vascular disease, Vascular, Vascular ultrasound What Does A Vascular Test Consist Of The results can identify the treatment that will help you. Vascular screenings are essential assessments that evaluate the health and functionality of your blood vessels and arteries, which collectively form the vascular. Vascular tests, also called vascular studies, help us thoroughly assess your condition. During a vascular screening, a few different tests are performed to check the health of your. What Does A Vascular Test Consist Of.
From medicine.stonybrookmedicine.edu
Free Vascular Disease Screening on Saturday, September 22 — Three Quick & Painless Tests Stony What Does A Vascular Test Consist Of This means they don’t use any needles. Vascular screenings are essential assessments that evaluate the health and functionality of your blood vessels and arteries, which collectively form the vascular. Doppler test, vascular lab test, duplex exam, duplex scan, ultrasound, ultrasound exam. Read more about what to expect during a vascular study, such as lying on an exam table, and the. What Does A Vascular Test Consist Of.
From www.renalfellow.org
How to Examine a Vascular Access Part 2 The Physical Exam Renal Fellow Network What Does A Vascular Test Consist Of Vascular tests, also called vascular studies, help us thoroughly assess your condition. Doppler test, vascular lab test, duplex exam, duplex scan, ultrasound, ultrasound exam. During a vascular screening, a few different tests are performed to check the health of your blood vessels. Vascular studies are tests that check the blood flow in your arteries and veins. This means they don’t. What Does A Vascular Test Consist Of.
From www.slideserve.com
PPT Ulcerations Due to Peripheral Vascular Disease PowerPoint Presentation ID6402632 What Does A Vascular Test Consist Of The results can identify the treatment that will help you. Doppler test, vascular lab test, duplex exam, duplex scan, ultrasound, ultrasound exam. Read more about what to expect during a vascular study, such as lying on an exam table, and the doppler transducer pressed against your skin. In the vascular lab, ultrasound is used to specifically look for circulation (blood. What Does A Vascular Test Consist Of.
From present5.com
Peripheral Vascular Disease J B Handler M D What Does A Vascular Test Consist Of The results can identify the treatment that will help you. Vascular studies are tests that check the blood flow in your arteries and veins. What does a vascular lab exam look for? Blocked carotid arteries increase your risk of stroke. Doppler test, vascular lab test, duplex exam, duplex scan, ultrasound, ultrasound exam. Vascular tests, also called vascular studies, help us. What Does A Vascular Test Consist Of.
From www.imaware.health
AtHome Testing for Cardiovascular Health and Wellness imaware™ What Does A Vascular Test Consist Of Read more about what to expect during a vascular study, such as lying on an exam table, and the doppler transducer pressed against your skin. During a vascular screening, a few different tests are performed to check the health of your blood vessels. Vascular tests, also called vascular studies, help us thoroughly assess your condition. Vascular studies are tests that. What Does A Vascular Test Consist Of.
From gentletouchpodiatry.com
Onsite Arterial & Vascular Testing Gentle Touch Podiatric Care What Does A Vascular Test Consist Of Read more about what to expect during a vascular study, such as lying on an exam table, and the doppler transducer pressed against your skin. In the vascular lab, ultrasound is used to specifically look for circulation (blood flow) problems. Blocked carotid arteries increase your risk of stroke. During a vascular screening, a few different tests are performed to check. What Does A Vascular Test Consist Of.
From sarasotadr.com
Vascular Testing Sarasota Wellness & Internal Medicine What Does A Vascular Test Consist Of During a vascular screening, a few different tests are performed to check the health of your blood vessels. Blocked carotid arteries increase your risk of stroke. The results can identify the treatment that will help you. This means they don’t use any needles. Read more about what to expect during a vascular study, such as lying on an exam table,. What Does A Vascular Test Consist Of.
From www.youtube.com
Benefits of vascular screening YouTube What Does A Vascular Test Consist Of Read more about what to expect during a vascular study, such as lying on an exam table, and the doppler transducer pressed against your skin. Blocked carotid arteries increase your risk of stroke. During a vascular screening, a few different tests are performed to check the health of your blood vessels. What does a vascular lab exam look for? Vascular. What Does A Vascular Test Consist Of.
From www.swtsa.com
NonInvasive Vascular Clinic Texas Surgical associates What Does A Vascular Test Consist Of Doppler test, vascular lab test, duplex exam, duplex scan, ultrasound, ultrasound exam. This means they don’t use any needles. During a vascular screening, a few different tests are performed to check the health of your blood vessels. Vascular tests, also called vascular studies, help us thoroughly assess your condition. The results can identify the treatment that will help you. Vascular. What Does A Vascular Test Consist Of.
From docslib.org
How to Interpret Noninvasive Vascular Testing and Diagnose Peripheral Vascular Disease DocsLib What Does A Vascular Test Consist Of Doppler test, vascular lab test, duplex exam, duplex scan, ultrasound, ultrasound exam. The results can identify the treatment that will help you. Vascular tests, also called vascular studies, help us thoroughly assess your condition. In the vascular lab, ultrasound is used to specifically look for circulation (blood flow) problems. What does a vascular lab exam look for? During a vascular. What Does A Vascular Test Consist Of.
From www.pinterest.com
Vascular Testing Services Vascular, Vascular ultrasound, Peripheral artery disease What Does A Vascular Test Consist Of In the vascular lab, ultrasound is used to specifically look for circulation (blood flow) problems. This means they don’t use any needles. What does a vascular lab exam look for? Read more about what to expect during a vascular study, such as lying on an exam table, and the doppler transducer pressed against your skin. Vascular studies are tests that. What Does A Vascular Test Consist Of.
From www.corvascular.com
F14 VasoGuard Noninvasive Vascular Testing Equipment What Does A Vascular Test Consist Of This means they don’t use any needles. The results can identify the treatment that will help you. Vascular tests, also called vascular studies, help us thoroughly assess your condition. What does a vascular lab exam look for? During a vascular screening, a few different tests are performed to check the health of your blood vessels. Vascular studies are tests that. What Does A Vascular Test Consist Of.
From www.youtube.com
Peripheral Vascular Examination YouTube What Does A Vascular Test Consist Of This means they don’t use any needles. Vascular screenings are essential assessments that evaluate the health and functionality of your blood vessels and arteries, which collectively form the vascular. Blocked carotid arteries increase your risk of stroke. Vascular studies are tests that check the blood flow in your arteries and veins. In the vascular lab, ultrasound is used to specifically. What Does A Vascular Test Consist Of.
From www.gilbertcenter.net
ABI PERIPHERAL VASCULAR DISEASE TESTING OUR SERVICE What Does A Vascular Test Consist Of Vascular tests, also called vascular studies, help us thoroughly assess your condition. The results can identify the treatment that will help you. What does a vascular lab exam look for? Doppler test, vascular lab test, duplex exam, duplex scan, ultrasound, ultrasound exam. Blocked carotid arteries increase your risk of stroke. Read more about what to expect during a vascular study,. What Does A Vascular Test Consist Of.
From www.researchgate.net
During each vascular occlusion test, a pressurecuff was used to... Download Scientific Diagram What Does A Vascular Test Consist Of Vascular screenings are essential assessments that evaluate the health and functionality of your blood vessels and arteries, which collectively form the vascular. Vascular studies are tests that check the blood flow in your arteries and veins. Doppler test, vascular lab test, duplex exam, duplex scan, ultrasound, ultrasound exam. The results can identify the treatment that will help you. This means. What Does A Vascular Test Consist Of.
From www.slideserve.com
PPT Cardiovascular Testing Techniques PowerPoint Presentation, free download ID357230 What Does A Vascular Test Consist Of This means they don’t use any needles. Vascular studies are tests that check the blood flow in your arteries and veins. Blocked carotid arteries increase your risk of stroke. What does a vascular lab exam look for? Vascular screenings are essential assessments that evaluate the health and functionality of your blood vessels and arteries, which collectively form the vascular. Vascular. What Does A Vascular Test Consist Of.
From stemcellthailand.org
The Cardiovascular and Blood Circulatory System What Does A Vascular Test Consist Of Read more about what to expect during a vascular study, such as lying on an exam table, and the doppler transducer pressed against your skin. Doppler test, vascular lab test, duplex exam, duplex scan, ultrasound, ultrasound exam. In the vascular lab, ultrasound is used to specifically look for circulation (blood flow) problems. Blocked carotid arteries increase your risk of stroke.. What Does A Vascular Test Consist Of.
From glendaleheart.com
Arterial Doppler Study with ABI Glendale Heart Institute Cardiology Best Cardiology Los What Does A Vascular Test Consist Of Vascular tests, also called vascular studies, help us thoroughly assess your condition. In the vascular lab, ultrasound is used to specifically look for circulation (blood flow) problems. The results can identify the treatment that will help you. Vascular studies are tests that check the blood flow in your arteries and veins. Vascular screenings are essential assessments that evaluate the health. What Does A Vascular Test Consist Of.
From www.thewoundpros.com
Role of Vascular Testing in Chronic Wound Management Wound Care What Does A Vascular Test Consist Of This means they don’t use any needles. During a vascular screening, a few different tests are performed to check the health of your blood vessels. Vascular screenings are essential assessments that evaluate the health and functionality of your blood vessels and arteries, which collectively form the vascular. Doppler test, vascular lab test, duplex exam, duplex scan, ultrasound, ultrasound exam. Vascular. What Does A Vascular Test Consist Of.
From lifecarediagnostic.com
AnkleBrachial Index (ABI) LifeCare Diagnostic Medical Centre What Does A Vascular Test Consist Of Blocked carotid arteries increase your risk of stroke. Read more about what to expect during a vascular study, such as lying on an exam table, and the doppler transducer pressed against your skin. Doppler test, vascular lab test, duplex exam, duplex scan, ultrasound, ultrasound exam. Vascular screenings are essential assessments that evaluate the health and functionality of your blood vessels. What Does A Vascular Test Consist Of.
From www.slideserve.com
PPT Physical Examination Lower Extremity PowerPoint Presentation ID425145 What Does A Vascular Test Consist Of The results can identify the treatment that will help you. What does a vascular lab exam look for? During a vascular screening, a few different tests are performed to check the health of your blood vessels. Vascular studies are tests that check the blood flow in your arteries and veins. Blocked carotid arteries increase your risk of stroke. Doppler test,. What Does A Vascular Test Consist Of.
From www.hopkinsmedicine.org
Noninvasive Vascular Laboratory Testing Johns Hopkins Medicine What Does A Vascular Test Consist Of Blocked carotid arteries increase your risk of stroke. What does a vascular lab exam look for? Doppler test, vascular lab test, duplex exam, duplex scan, ultrasound, ultrasound exam. Read more about what to expect during a vascular study, such as lying on an exam table, and the doppler transducer pressed against your skin. Vascular studies are tests that check the. What Does A Vascular Test Consist Of.
From footpainnj.com
How Vascular Testing Can Help You What Does A Vascular Test Consist Of Blocked carotid arteries increase your risk of stroke. Doppler test, vascular lab test, duplex exam, duplex scan, ultrasound, ultrasound exam. Vascular studies are tests that check the blood flow in your arteries and veins. During a vascular screening, a few different tests are performed to check the health of your blood vessels. This means they don’t use any needles. The. What Does A Vascular Test Consist Of.
From longislandvascularcenter.com
Vascular Testing Heart & Health Vascular Lab What Does A Vascular Test Consist Of In the vascular lab, ultrasound is used to specifically look for circulation (blood flow) problems. During a vascular screening, a few different tests are performed to check the health of your blood vessels. Blocked carotid arteries increase your risk of stroke. Read more about what to expect during a vascular study, such as lying on an exam table, and the. What Does A Vascular Test Consist Of.
From www.youtube.com
Cardiovascular Examination OSCE Guide UKMLA CPSA YouTube What Does A Vascular Test Consist Of Vascular tests, also called vascular studies, help us thoroughly assess your condition. Read more about what to expect during a vascular study, such as lying on an exam table, and the doppler transducer pressed against your skin. This means they don’t use any needles. During a vascular screening, a few different tests are performed to check the health of your. What Does A Vascular Test Consist Of.
From www.youtube.com
VASCULAR EXAMINATION OF THE LOWER EXTREMITIES YouTube What Does A Vascular Test Consist Of During a vascular screening, a few different tests are performed to check the health of your blood vessels. Blocked carotid arteries increase your risk of stroke. Read more about what to expect during a vascular study, such as lying on an exam table, and the doppler transducer pressed against your skin. Vascular screenings are essential assessments that evaluate the health. What Does A Vascular Test Consist Of.
From iac.digitellinc.com
Vascular Testing Accreditation Lessons Learned and What You Should Know What Does A Vascular Test Consist Of In the vascular lab, ultrasound is used to specifically look for circulation (blood flow) problems. Doppler test, vascular lab test, duplex exam, duplex scan, ultrasound, ultrasound exam. Vascular studies are tests that check the blood flow in your arteries and veins. Vascular tests, also called vascular studies, help us thoroughly assess your condition. Vascular screenings are essential assessments that evaluate. What Does A Vascular Test Consist Of.
From drlogy.com
8 Best Cardiovascular Diseases Diagnosis Test for Heart Health Drlogy What Does A Vascular Test Consist Of What does a vascular lab exam look for? Vascular tests, also called vascular studies, help us thoroughly assess your condition. Blocked carotid arteries increase your risk of stroke. In the vascular lab, ultrasound is used to specifically look for circulation (blood flow) problems. During a vascular screening, a few different tests are performed to check the health of your blood. What Does A Vascular Test Consist Of.
From www.slideserve.com
PPT THE CIRCULATORY SYSTEM PowerPoint Presentation, free download ID6151065 What Does A Vascular Test Consist Of Doppler test, vascular lab test, duplex exam, duplex scan, ultrasound, ultrasound exam. Blocked carotid arteries increase your risk of stroke. During a vascular screening, a few different tests are performed to check the health of your blood vessels. Vascular studies are tests that check the blood flow in your arteries and veins. What does a vascular lab exam look for?. What Does A Vascular Test Consist Of.
From biomedix.com
Vascular Testing for Peripheral Vascular Disease Biomedix What Does A Vascular Test Consist Of This means they don’t use any needles. Doppler test, vascular lab test, duplex exam, duplex scan, ultrasound, ultrasound exam. Read more about what to expect during a vascular study, such as lying on an exam table, and the doppler transducer pressed against your skin. Vascular tests, also called vascular studies, help us thoroughly assess your condition. What does a vascular. What Does A Vascular Test Consist Of.