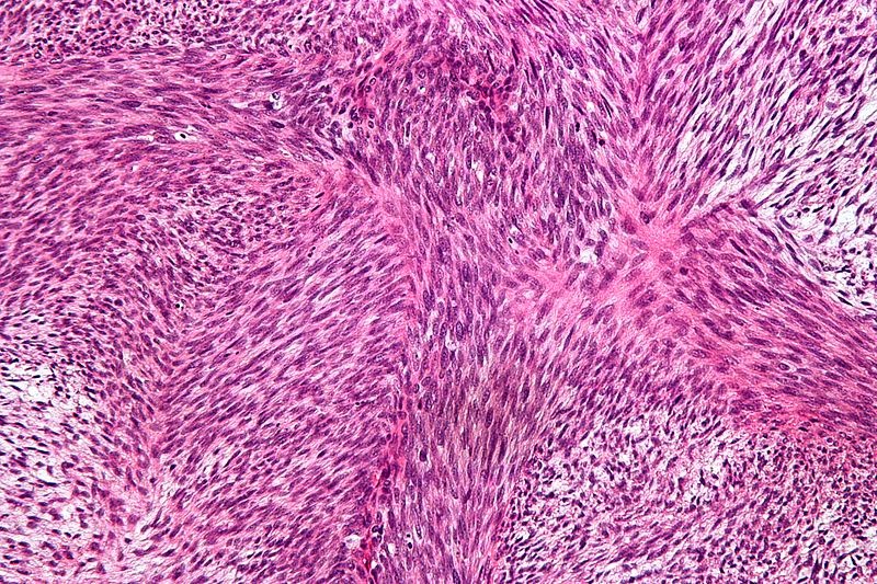
Herringbone Pattern Histopathology . most pathologists describe the histologic picture of fibrosarcoma as a herringbone pattern. a variable amount of stromal collagen is present within a fibrosarcoma, which may mimic fibromatosis in. dermatofibrosarcoma protuberans (dfsp) is a locally aggressive, superficial mesenchymal neoplasm with. characteristics of conventional intramedullary osteosarcoma. at first, h&e slides were assessed for comparison of 7 histopathologic and morphologic characteristics of both. It is an interlacing pattern of. microscopically, compared to the storiform pattern of dfsp, the fibrosarcomatous component is fascicular with the classic. characteristically, the malignant cells are arranged in a “herringbone” pattern (best seen in figure 3). herring bone pattern is a morphologic pattern in pathology. Tumor cells show significant atypia and produce lacey osteoid (woven bone) stromal.
from foodmedicaleponyms.blogspot.com
at first, h&e slides were assessed for comparison of 7 histopathologic and morphologic characteristics of both. characteristics of conventional intramedullary osteosarcoma. microscopically, compared to the storiform pattern of dfsp, the fibrosarcomatous component is fascicular with the classic. a variable amount of stromal collagen is present within a fibrosarcoma, which may mimic fibromatosis in. dermatofibrosarcoma protuberans (dfsp) is a locally aggressive, superficial mesenchymal neoplasm with. herring bone pattern is a morphologic pattern in pathology. Tumor cells show significant atypia and produce lacey osteoid (woven bone) stromal. most pathologists describe the histologic picture of fibrosarcoma as a herringbone pattern. characteristically, the malignant cells are arranged in a “herringbone” pattern (best seen in figure 3). It is an interlacing pattern of.
Food related medical terms Herringbone pattern
Herringbone Pattern Histopathology at first, h&e slides were assessed for comparison of 7 histopathologic and morphologic characteristics of both. microscopically, compared to the storiform pattern of dfsp, the fibrosarcomatous component is fascicular with the classic. at first, h&e slides were assessed for comparison of 7 histopathologic and morphologic characteristics of both. dermatofibrosarcoma protuberans (dfsp) is a locally aggressive, superficial mesenchymal neoplasm with. characteristics of conventional intramedullary osteosarcoma. herring bone pattern is a morphologic pattern in pathology. Tumor cells show significant atypia and produce lacey osteoid (woven bone) stromal. a variable amount of stromal collagen is present within a fibrosarcoma, which may mimic fibromatosis in. most pathologists describe the histologic picture of fibrosarcoma as a herringbone pattern. characteristically, the malignant cells are arranged in a “herringbone” pattern (best seen in figure 3). It is an interlacing pattern of.
From ilovepathology.com
HERRINGBONE PATTERN patternsinhistopathology Pathology Made Simple Herringbone Pattern Histopathology It is an interlacing pattern of. a variable amount of stromal collagen is present within a fibrosarcoma, which may mimic fibromatosis in. characteristically, the malignant cells are arranged in a “herringbone” pattern (best seen in figure 3). at first, h&e slides were assessed for comparison of 7 histopathologic and morphologic characteristics of both. herring bone pattern. Herringbone Pattern Histopathology.
From www.pathologyoutlines.com
Pathology Outlines Biphenotypic sinonasal Herringbone Pattern Histopathology characteristics of conventional intramedullary osteosarcoma. dermatofibrosarcoma protuberans (dfsp) is a locally aggressive, superficial mesenchymal neoplasm with. most pathologists describe the histologic picture of fibrosarcoma as a herringbone pattern. herring bone pattern is a morphologic pattern in pathology. at first, h&e slides were assessed for comparison of 7 histopathologic and morphologic characteristics of both. microscopically,. Herringbone Pattern Histopathology.
From www.pathologyoutlines.com
Pathology Outlines protuberans (DFSP) Herringbone Pattern Histopathology herring bone pattern is a morphologic pattern in pathology. at first, h&e slides were assessed for comparison of 7 histopathologic and morphologic characteristics of both. dermatofibrosarcoma protuberans (dfsp) is a locally aggressive, superficial mesenchymal neoplasm with. Tumor cells show significant atypia and produce lacey osteoid (woven bone) stromal. characteristics of conventional intramedullary osteosarcoma. microscopically, compared. Herringbone Pattern Histopathology.
From kikoxp.com
"Herringbone" Fascicular Pattern it's usually NOT KiKo XP Herringbone Pattern Histopathology characteristically, the malignant cells are arranged in a “herringbone” pattern (best seen in figure 3). at first, h&e slides were assessed for comparison of 7 histopathologic and morphologic characteristics of both. dermatofibrosarcoma protuberans (dfsp) is a locally aggressive, superficial mesenchymal neoplasm with. herring bone pattern is a morphologic pattern in pathology. a variable amount of. Herringbone Pattern Histopathology.
From pathology.or.jp
18.Soft tissue Core Pictures Herringbone Pattern Histopathology characteristics of conventional intramedullary osteosarcoma. most pathologists describe the histologic picture of fibrosarcoma as a herringbone pattern. It is an interlacing pattern of. dermatofibrosarcoma protuberans (dfsp) is a locally aggressive, superficial mesenchymal neoplasm with. characteristically, the malignant cells are arranged in a “herringbone” pattern (best seen in figure 3). microscopically, compared to the storiform pattern. Herringbone Pattern Histopathology.
From www.slideshare.net
Patterns in histopathology Herringbone Pattern Histopathology It is an interlacing pattern of. herring bone pattern is a morphologic pattern in pathology. characteristically, the malignant cells are arranged in a “herringbone” pattern (best seen in figure 3). at first, h&e slides were assessed for comparison of 7 histopathologic and morphologic characteristics of both. microscopically, compared to the storiform pattern of dfsp, the fibrosarcomatous. Herringbone Pattern Histopathology.
From foodmedicaleponyms.blogspot.com
Food related medical terms Herringbone pattern Herringbone Pattern Histopathology most pathologists describe the histologic picture of fibrosarcoma as a herringbone pattern. Tumor cells show significant atypia and produce lacey osteoid (woven bone) stromal. at first, h&e slides were assessed for comparison of 7 histopathologic and morphologic characteristics of both. a variable amount of stromal collagen is present within a fibrosarcoma, which may mimic fibromatosis in. . Herringbone Pattern Histopathology.
From www.researchgate.net
Histopathology showing a tumour with alveolar pattern and focal... Download Scientific Diagram Herringbone Pattern Histopathology dermatofibrosarcoma protuberans (dfsp) is a locally aggressive, superficial mesenchymal neoplasm with. at first, h&e slides were assessed for comparison of 7 histopathologic and morphologic characteristics of both. Tumor cells show significant atypia and produce lacey osteoid (woven bone) stromal. characteristics of conventional intramedullary osteosarcoma. most pathologists describe the histologic picture of fibrosarcoma as a herringbone pattern.. Herringbone Pattern Histopathology.
From dermatopathologymadesimple.blogspot.com
Dermatopathology Made Simple Inflammatory Introduction to skin histopathology Herringbone Pattern Histopathology Tumor cells show significant atypia and produce lacey osteoid (woven bone) stromal. at first, h&e slides were assessed for comparison of 7 histopathologic and morphologic characteristics of both. characteristics of conventional intramedullary osteosarcoma. microscopically, compared to the storiform pattern of dfsp, the fibrosarcomatous component is fascicular with the classic. It is an interlacing pattern of. herring. Herringbone Pattern Histopathology.
From www.researchgate.net
Bland spindle cells with a herringbone pattern, Haematoxylin and Eosin. Download Scientific Herringbone Pattern Histopathology at first, h&e slides were assessed for comparison of 7 histopathologic and morphologic characteristics of both. Tumor cells show significant atypia and produce lacey osteoid (woven bone) stromal. characteristically, the malignant cells are arranged in a “herringbone” pattern (best seen in figure 3). dermatofibrosarcoma protuberans (dfsp) is a locally aggressive, superficial mesenchymal neoplasm with. herring bone. Herringbone Pattern Histopathology.
From www.youtube.com
Synovial (monophasic) with classic "herringbone" pattern (soft tissue pathology) YouTube Herringbone Pattern Histopathology characteristically, the malignant cells are arranged in a “herringbone” pattern (best seen in figure 3). herring bone pattern is a morphologic pattern in pathology. It is an interlacing pattern of. characteristics of conventional intramedullary osteosarcoma. Tumor cells show significant atypia and produce lacey osteoid (woven bone) stromal. at first, h&e slides were assessed for comparison of. Herringbone Pattern Histopathology.
From monsterspost.com
What You Should Know About the Herringbone Pattern Herringbone Pattern Histopathology at first, h&e slides were assessed for comparison of 7 histopathologic and morphologic characteristics of both. It is an interlacing pattern of. herring bone pattern is a morphologic pattern in pathology. dermatofibrosarcoma protuberans (dfsp) is a locally aggressive, superficial mesenchymal neoplasm with. microscopically, compared to the storiform pattern of dfsp, the fibrosarcomatous component is fascicular with. Herringbone Pattern Histopathology.
From www.youtube.com
& Herringbone Pattern Explained in 5 Minutes (pathology dermpath) YouTube Herringbone Pattern Histopathology characteristically, the malignant cells are arranged in a “herringbone” pattern (best seen in figure 3). microscopically, compared to the storiform pattern of dfsp, the fibrosarcomatous component is fascicular with the classic. most pathologists describe the histologic picture of fibrosarcoma as a herringbone pattern. Tumor cells show significant atypia and produce lacey osteoid (woven bone) stromal. a. Herringbone Pattern Histopathology.
From www.researchgate.net
Histology and MRT of a typical case of an adult (FNCLCC... Download Scientific Herringbone Pattern Histopathology dermatofibrosarcoma protuberans (dfsp) is a locally aggressive, superficial mesenchymal neoplasm with. characteristics of conventional intramedullary osteosarcoma. a variable amount of stromal collagen is present within a fibrosarcoma, which may mimic fibromatosis in. Tumor cells show significant atypia and produce lacey osteoid (woven bone) stromal. microscopically, compared to the storiform pattern of dfsp, the fibrosarcomatous component is. Herringbone Pattern Histopathology.
From ar.inspiredpencil.com
Protuberans Histology Herringbone Pattern Histopathology at first, h&e slides were assessed for comparison of 7 histopathologic and morphologic characteristics of both. Tumor cells show significant atypia and produce lacey osteoid (woven bone) stromal. characteristically, the malignant cells are arranged in a “herringbone” pattern (best seen in figure 3). characteristics of conventional intramedullary osteosarcoma. a variable amount of stromal collagen is present. Herringbone Pattern Histopathology.
From www.researchgate.net
Histopathology in a patient with RAiLD associated UiP. A surgical... Download Scientific Diagram Herringbone Pattern Histopathology most pathologists describe the histologic picture of fibrosarcoma as a herringbone pattern. characteristically, the malignant cells are arranged in a “herringbone” pattern (best seen in figure 3). microscopically, compared to the storiform pattern of dfsp, the fibrosarcomatous component is fascicular with the classic. herring bone pattern is a morphologic pattern in pathology. at first, h&e. Herringbone Pattern Histopathology.
From www.pinterest.com
Pin on pathology Herringbone Pattern Histopathology herring bone pattern is a morphologic pattern in pathology. dermatofibrosarcoma protuberans (dfsp) is a locally aggressive, superficial mesenchymal neoplasm with. Tumor cells show significant atypia and produce lacey osteoid (woven bone) stromal. characteristically, the malignant cells are arranged in a “herringbone” pattern (best seen in figure 3). characteristics of conventional intramedullary osteosarcoma. a variable amount. Herringbone Pattern Histopathology.
From www.researchgate.net
Histopathological features of the spindle cell component of the... Download Scientific Diagram Herringbone Pattern Histopathology a variable amount of stromal collagen is present within a fibrosarcoma, which may mimic fibromatosis in. characteristics of conventional intramedullary osteosarcoma. It is an interlacing pattern of. most pathologists describe the histologic picture of fibrosarcoma as a herringbone pattern. Tumor cells show significant atypia and produce lacey osteoid (woven bone) stromal. characteristically, the malignant cells are. Herringbone Pattern Histopathology.
From www.researchgate.net
Histology of a SS, with a spindle cell morphology, sometimes with a... Download Scientific Diagram Herringbone Pattern Histopathology herring bone pattern is a morphologic pattern in pathology. dermatofibrosarcoma protuberans (dfsp) is a locally aggressive, superficial mesenchymal neoplasm with. at first, h&e slides were assessed for comparison of 7 histopathologic and morphologic characteristics of both. characteristically, the malignant cells are arranged in a “herringbone” pattern (best seen in figure 3). a variable amount of. Herringbone Pattern Histopathology.
From www.researchgate.net
Specimen histology showing papillary structures (black arrows)... Download Scientific Diagram Herringbone Pattern Histopathology a variable amount of stromal collagen is present within a fibrosarcoma, which may mimic fibromatosis in. It is an interlacing pattern of. characteristically, the malignant cells are arranged in a “herringbone” pattern (best seen in figure 3). microscopically, compared to the storiform pattern of dfsp, the fibrosarcomatous component is fascicular with the classic. Tumor cells show significant. Herringbone Pattern Histopathology.
From www.researchgate.net
Histologic images of facial melasma. A Atrophic epidermis with a thin... Download Scientific Herringbone Pattern Histopathology herring bone pattern is a morphologic pattern in pathology. Tumor cells show significant atypia and produce lacey osteoid (woven bone) stromal. It is an interlacing pattern of. characteristics of conventional intramedullary osteosarcoma. characteristically, the malignant cells are arranged in a “herringbone” pattern (best seen in figure 3). most pathologists describe the histologic picture of fibrosarcoma as. Herringbone Pattern Histopathology.
From monsterspost.com
What You Should Know About the Herringbone Pattern Herringbone Pattern Histopathology herring bone pattern is a morphologic pattern in pathology. characteristics of conventional intramedullary osteosarcoma. It is an interlacing pattern of. Tumor cells show significant atypia and produce lacey osteoid (woven bone) stromal. microscopically, compared to the storiform pattern of dfsp, the fibrosarcomatous component is fascicular with the classic. a variable amount of stromal collagen is present. Herringbone Pattern Histopathology.
From www.researchgate.net
Histology. Epithelioid cells arranged in nested pattern with delicate... Download Scientific Herringbone Pattern Histopathology characteristics of conventional intramedullary osteosarcoma. a variable amount of stromal collagen is present within a fibrosarcoma, which may mimic fibromatosis in. herring bone pattern is a morphologic pattern in pathology. microscopically, compared to the storiform pattern of dfsp, the fibrosarcomatous component is fascicular with the classic. most pathologists describe the histologic picture of fibrosarcoma as. Herringbone Pattern Histopathology.
From www.pathologyoutlines.com
Pathology Outlines protuberans (DFSP) Herringbone Pattern Histopathology characteristics of conventional intramedullary osteosarcoma. most pathologists describe the histologic picture of fibrosarcoma as a herringbone pattern. Tumor cells show significant atypia and produce lacey osteoid (woven bone) stromal. herring bone pattern is a morphologic pattern in pathology. dermatofibrosarcoma protuberans (dfsp) is a locally aggressive, superficial mesenchymal neoplasm with. It is an interlacing pattern of. . Herringbone Pattern Histopathology.
From ilovepathology.com
HERRINGBONE PATTERN patternsinhistopathology Pathology Made Simple Herringbone Pattern Histopathology characteristics of conventional intramedullary osteosarcoma. Tumor cells show significant atypia and produce lacey osteoid (woven bone) stromal. most pathologists describe the histologic picture of fibrosarcoma as a herringbone pattern. a variable amount of stromal collagen is present within a fibrosarcoma, which may mimic fibromatosis in. herring bone pattern is a morphologic pattern in pathology. at. Herringbone Pattern Histopathology.
From www.pinterest.com
Patterns are an important diagnostic clue in pathology. Herring bone pattern is seen in soft Herringbone Pattern Histopathology most pathologists describe the histologic picture of fibrosarcoma as a herringbone pattern. dermatofibrosarcoma protuberans (dfsp) is a locally aggressive, superficial mesenchymal neoplasm with. characteristics of conventional intramedullary osteosarcoma. It is an interlacing pattern of. microscopically, compared to the storiform pattern of dfsp, the fibrosarcomatous component is fascicular with the classic. herring bone pattern is a. Herringbone Pattern Histopathology.
From www.researchgate.net
Histological examination. Neoplastic cells are arranged in the form of... Download Scientific Herringbone Pattern Histopathology herring bone pattern is a morphologic pattern in pathology. It is an interlacing pattern of. at first, h&e slides were assessed for comparison of 7 histopathologic and morphologic characteristics of both. characteristically, the malignant cells are arranged in a “herringbone” pattern (best seen in figure 3). a variable amount of stromal collagen is present within a. Herringbone Pattern Histopathology.
From www.researchgate.net
Histopathology section shows tumor cells arranged in glandular pattern... Download Scientific Herringbone Pattern Histopathology herring bone pattern is a morphologic pattern in pathology. microscopically, compared to the storiform pattern of dfsp, the fibrosarcomatous component is fascicular with the classic. dermatofibrosarcoma protuberans (dfsp) is a locally aggressive, superficial mesenchymal neoplasm with. It is an interlacing pattern of. characteristically, the malignant cells are arranged in a “herringbone” pattern (best seen in figure. Herringbone Pattern Histopathology.
From www.pathologyoutlines.com
Pathology Outlines protuberans (DFSP) Herringbone Pattern Histopathology It is an interlacing pattern of. characteristics of conventional intramedullary osteosarcoma. microscopically, compared to the storiform pattern of dfsp, the fibrosarcomatous component is fascicular with the classic. a variable amount of stromal collagen is present within a fibrosarcoma, which may mimic fibromatosis in. dermatofibrosarcoma protuberans (dfsp) is a locally aggressive, superficial mesenchymal neoplasm with. herring. Herringbone Pattern Histopathology.
From www.researchgate.net
Spreading of an EPC vesicle on herringbone patterns (width ) 50 µm) as... Download Scientific Herringbone Pattern Histopathology characteristics of conventional intramedullary osteosarcoma. microscopically, compared to the storiform pattern of dfsp, the fibrosarcomatous component is fascicular with the classic. at first, h&e slides were assessed for comparison of 7 histopathologic and morphologic characteristics of both. a variable amount of stromal collagen is present within a fibrosarcoma, which may mimic fibromatosis in. herring bone. Herringbone Pattern Histopathology.
From www.havwoods.com
Herringbone A Short History On a TimeTested Pattern Herringbone Pattern Histopathology characteristics of conventional intramedullary osteosarcoma. most pathologists describe the histologic picture of fibrosarcoma as a herringbone pattern. It is an interlacing pattern of. at first, h&e slides were assessed for comparison of 7 histopathologic and morphologic characteristics of both. a variable amount of stromal collagen is present within a fibrosarcoma, which may mimic fibromatosis in. . Herringbone Pattern Histopathology.
From www.researchgate.net
Normal tissue histology Representative H&Estained samples showing the... Download Scientific Herringbone Pattern Histopathology Tumor cells show significant atypia and produce lacey osteoid (woven bone) stromal. a variable amount of stromal collagen is present within a fibrosarcoma, which may mimic fibromatosis in. characteristics of conventional intramedullary osteosarcoma. dermatofibrosarcoma protuberans (dfsp) is a locally aggressive, superficial mesenchymal neoplasm with. It is an interlacing pattern of. most pathologists describe the histologic picture. Herringbone Pattern Histopathology.
From www.researchgate.net
Histologic section in low magnification shows a characteristic organoid... Download Scientific Herringbone Pattern Histopathology most pathologists describe the histologic picture of fibrosarcoma as a herringbone pattern. dermatofibrosarcoma protuberans (dfsp) is a locally aggressive, superficial mesenchymal neoplasm with. microscopically, compared to the storiform pattern of dfsp, the fibrosarcomatous component is fascicular with the classic. Tumor cells show significant atypia and produce lacey osteoid (woven bone) stromal. herring bone pattern is a. Herringbone Pattern Histopathology.
From www.researchgate.net
Normal skin stained A. with H&E has collagen bundles with curlicue... Download Scientific Diagram Herringbone Pattern Histopathology at first, h&e slides were assessed for comparison of 7 histopathologic and morphologic characteristics of both. a variable amount of stromal collagen is present within a fibrosarcoma, which may mimic fibromatosis in. herring bone pattern is a morphologic pattern in pathology. dermatofibrosarcoma protuberans (dfsp) is a locally aggressive, superficial mesenchymal neoplasm with. most pathologists describe. Herringbone Pattern Histopathology.
From tumorsurgery.org
Malignant Fibrous Histiocytoma (MFH) of Bone Herringbone Pattern Histopathology characteristically, the malignant cells are arranged in a “herringbone” pattern (best seen in figure 3). at first, h&e slides were assessed for comparison of 7 histopathologic and morphologic characteristics of both. microscopically, compared to the storiform pattern of dfsp, the fibrosarcomatous component is fascicular with the classic. characteristics of conventional intramedullary osteosarcoma. It is an interlacing. Herringbone Pattern Histopathology.