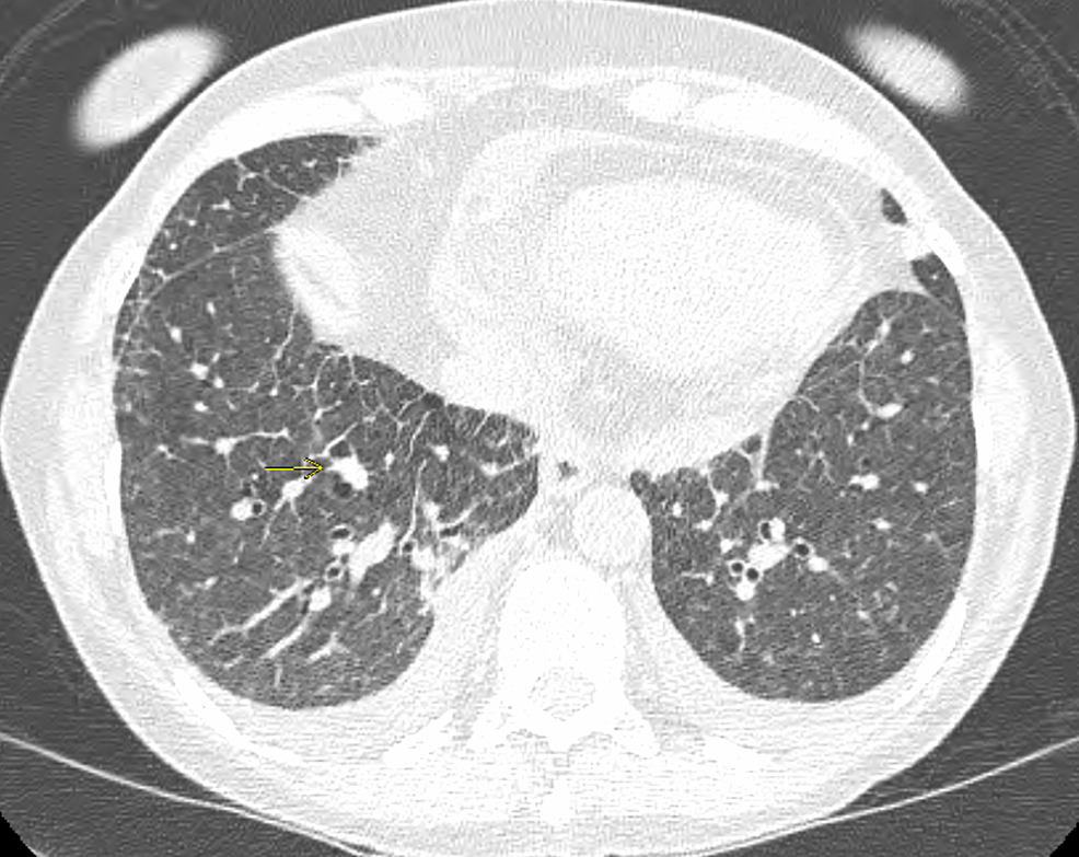
Ild Flare Radiology . Based on the 2016 definition of. interstitial lung abnormalities (ilas) are common incidental findings at ct, which progress over 5 years in more than 50% of individuals, and are. interstitial lung disease (ild) is a category of diffuse parenchymal lung diseases characterized by inflammation. interstitial lung diseases may be marked by abrupt flares of disease activity.
from www.mdpi.com
interstitial lung diseases may be marked by abrupt flares of disease activity. interstitial lung disease (ild) is a category of diffuse parenchymal lung diseases characterized by inflammation. Based on the 2016 definition of. interstitial lung abnormalities (ilas) are common incidental findings at ct, which progress over 5 years in more than 50% of individuals, and are.
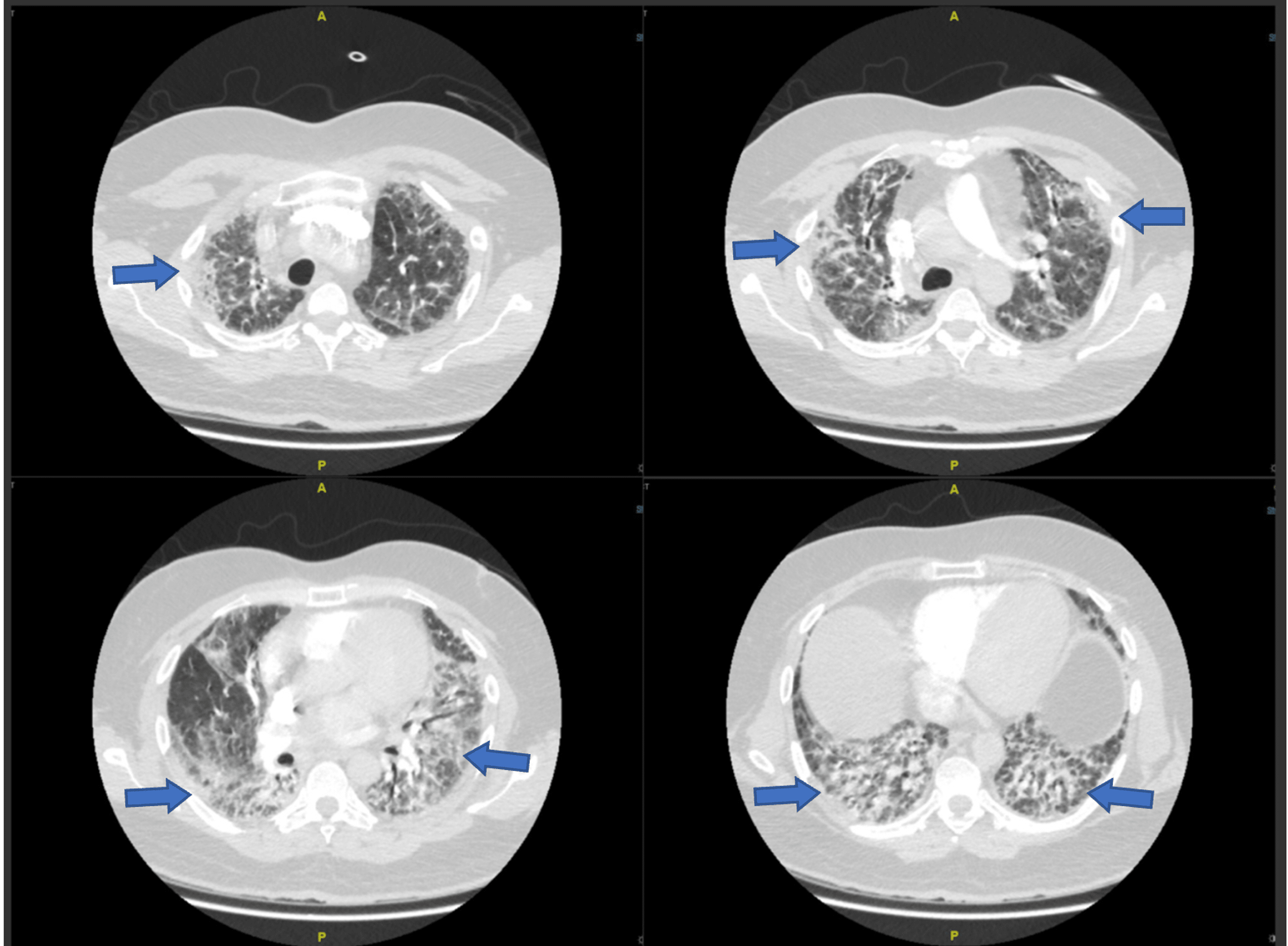
Medicina Free FullText Management of MyositisAssociated
Ild Flare Radiology interstitial lung abnormalities (ilas) are common incidental findings at ct, which progress over 5 years in more than 50% of individuals, and are. interstitial lung disease (ild) is a category of diffuse parenchymal lung diseases characterized by inflammation. interstitial lung diseases may be marked by abrupt flares of disease activity. interstitial lung abnormalities (ilas) are common incidental findings at ct, which progress over 5 years in more than 50% of individuals, and are. Based on the 2016 definition of.
From www.svhlunghealth.com.au
ILD (Interstitial Lung Disease) St Vincent's Lung Health Ild Flare Radiology interstitial lung disease (ild) is a category of diffuse parenchymal lung diseases characterized by inflammation. interstitial lung diseases may be marked by abrupt flares of disease activity. interstitial lung abnormalities (ilas) are common incidental findings at ct, which progress over 5 years in more than 50% of individuals, and are. Based on the 2016 definition of. Ild Flare Radiology.
From journals.sagepub.com
Pathogenesis of systemic sclerosis associated interstitial lung disease Ild Flare Radiology interstitial lung abnormalities (ilas) are common incidental findings at ct, which progress over 5 years in more than 50% of individuals, and are. interstitial lung disease (ild) is a category of diffuse parenchymal lung diseases characterized by inflammation. interstitial lung diseases may be marked by abrupt flares of disease activity. Based on the 2016 definition of. Ild Flare Radiology.
From exomtfjnf.blob.core.windows.net
Pediatric Ild Radiology at Johnnie Sharp blog Ild Flare Radiology interstitial lung abnormalities (ilas) are common incidental findings at ct, which progress over 5 years in more than 50% of individuals, and are. interstitial lung diseases may be marked by abrupt flares of disease activity. Based on the 2016 definition of. interstitial lung disease (ild) is a category of diffuse parenchymal lung diseases characterized by inflammation. Ild Flare Radiology.
From www.researchgate.net
Radiograph of chest showing diffuse reticular and interstitial Ild Flare Radiology interstitial lung abnormalities (ilas) are common incidental findings at ct, which progress over 5 years in more than 50% of individuals, and are. Based on the 2016 definition of. interstitial lung disease (ild) is a category of diffuse parenchymal lung diseases characterized by inflammation. interstitial lung diseases may be marked by abrupt flares of disease activity. Ild Flare Radiology.
From err.ersjournals.com
Acute exacerbations of progressivefibrosing interstitial lung diseases Ild Flare Radiology interstitial lung diseases may be marked by abrupt flares of disease activity. interstitial lung abnormalities (ilas) are common incidental findings at ct, which progress over 5 years in more than 50% of individuals, and are. interstitial lung disease (ild) is a category of diffuse parenchymal lung diseases characterized by inflammation. Based on the 2016 definition of. Ild Flare Radiology.
From mss-ijmsr.com
Toxic flare phenomenon in osteoblastoma A case report with literature Ild Flare Radiology interstitial lung diseases may be marked by abrupt flares of disease activity. interstitial lung disease (ild) is a category of diffuse parenchymal lung diseases characterized by inflammation. Based on the 2016 definition of. interstitial lung abnormalities (ilas) are common incidental findings at ct, which progress over 5 years in more than 50% of individuals, and are. Ild Flare Radiology.
From cancerworld.net
Interstitial Lung Disease (ILD) as adverse event Cancerworld Magazine Ild Flare Radiology interstitial lung disease (ild) is a category of diffuse parenchymal lung diseases characterized by inflammation. interstitial lung abnormalities (ilas) are common incidental findings at ct, which progress over 5 years in more than 50% of individuals, and are. interstitial lung diseases may be marked by abrupt flares of disease activity. Based on the 2016 definition of. Ild Flare Radiology.
From www.ejropen.com
Connective tissue diseaserelated interstitial lung disease (CTDILD Ild Flare Radiology interstitial lung abnormalities (ilas) are common incidental findings at ct, which progress over 5 years in more than 50% of individuals, and are. interstitial lung diseases may be marked by abrupt flares of disease activity. interstitial lung disease (ild) is a category of diffuse parenchymal lung diseases characterized by inflammation. Based on the 2016 definition of. Ild Flare Radiology.
From jcp.bmj.com
Usual interstitial pneumoniapattern fibrosis in surgical lung biopsies Ild Flare Radiology interstitial lung disease (ild) is a category of diffuse parenchymal lung diseases characterized by inflammation. interstitial lung abnormalities (ilas) are common incidental findings at ct, which progress over 5 years in more than 50% of individuals, and are. Based on the 2016 definition of. interstitial lung diseases may be marked by abrupt flares of disease activity. Ild Flare Radiology.
From www.spandidos-publications.com
Ulcerative colitis combined with acute interstitial lung disease and Ild Flare Radiology Based on the 2016 definition of. interstitial lung abnormalities (ilas) are common incidental findings at ct, which progress over 5 years in more than 50% of individuals, and are. interstitial lung disease (ild) is a category of diffuse parenchymal lung diseases characterized by inflammation. interstitial lung diseases may be marked by abrupt flares of disease activity. Ild Flare Radiology.
From www.animalia-life.club
Interstitial Lung Disease Ild Flare Radiology interstitial lung diseases may be marked by abrupt flares of disease activity. interstitial lung abnormalities (ilas) are common incidental findings at ct, which progress over 5 years in more than 50% of individuals, and are. interstitial lung disease (ild) is a category of diffuse parenchymal lung diseases characterized by inflammation. Based on the 2016 definition of. Ild Flare Radiology.
From www.clinicaladvisor.com
Interstitial Lung Disease or COVID19? A Complex Pulmonary Differential Ild Flare Radiology interstitial lung disease (ild) is a category of diffuse parenchymal lung diseases characterized by inflammation. interstitial lung abnormalities (ilas) are common incidental findings at ct, which progress over 5 years in more than 50% of individuals, and are. Based on the 2016 definition of. interstitial lung diseases may be marked by abrupt flares of disease activity. Ild Flare Radiology.
From www.cureus.com
Clinically Amyopathic Dermatomyositis With Rapid Progressive Ild Flare Radiology interstitial lung disease (ild) is a category of diffuse parenchymal lung diseases characterized by inflammation. interstitial lung diseases may be marked by abrupt flares of disease activity. interstitial lung abnormalities (ilas) are common incidental findings at ct, which progress over 5 years in more than 50% of individuals, and are. Based on the 2016 definition of. Ild Flare Radiology.
From www.researchgate.net
Radiology of gefitinibassociated ILD. (A) Acute interstitial Ild Flare Radiology Based on the 2016 definition of. interstitial lung abnormalities (ilas) are common incidental findings at ct, which progress over 5 years in more than 50% of individuals, and are. interstitial lung diseases may be marked by abrupt flares of disease activity. interstitial lung disease (ild) is a category of diffuse parenchymal lung diseases characterized by inflammation. Ild Flare Radiology.
From hxetndcpf.blob.core.windows.net
Ild Radiology Assistant at Marvin Bautista blog Ild Flare Radiology interstitial lung disease (ild) is a category of diffuse parenchymal lung diseases characterized by inflammation. interstitial lung diseases may be marked by abrupt flares of disease activity. Based on the 2016 definition of. interstitial lung abnormalities (ilas) are common incidental findings at ct, which progress over 5 years in more than 50% of individuals, and are. Ild Flare Radiology.
From www.youtube.com
Evaluation and Diagnosis A Diagnostic Algorithm for ILD Interstitial Ild Flare Radiology Based on the 2016 definition of. interstitial lung diseases may be marked by abrupt flares of disease activity. interstitial lung abnormalities (ilas) are common incidental findings at ct, which progress over 5 years in more than 50% of individuals, and are. interstitial lung disease (ild) is a category of diffuse parenchymal lung diseases characterized by inflammation. Ild Flare Radiology.
From exomtfjnf.blob.core.windows.net
Pediatric Ild Radiology at Johnnie Sharp blog Ild Flare Radiology interstitial lung diseases may be marked by abrupt flares of disease activity. interstitial lung abnormalities (ilas) are common incidental findings at ct, which progress over 5 years in more than 50% of individuals, and are. Based on the 2016 definition of. interstitial lung disease (ild) is a category of diffuse parenchymal lung diseases characterized by inflammation. Ild Flare Radiology.
From mss-ijmsr.com
Toxic flare phenomenon in osteoblastoma A case report with literature Ild Flare Radiology interstitial lung diseases may be marked by abrupt flares of disease activity. Based on the 2016 definition of. interstitial lung abnormalities (ilas) are common incidental findings at ct, which progress over 5 years in more than 50% of individuals, and are. interstitial lung disease (ild) is a category of diffuse parenchymal lung diseases characterized by inflammation. Ild Flare Radiology.
From www.thelancet.com
Diagnostic criteria for idiopathic pulmonary fibrosis The Lancet Ild Flare Radiology interstitial lung diseases may be marked by abrupt flares of disease activity. interstitial lung disease (ild) is a category of diffuse parenchymal lung diseases characterized by inflammation. Based on the 2016 definition of. interstitial lung abnormalities (ilas) are common incidental findings at ct, which progress over 5 years in more than 50% of individuals, and are. Ild Flare Radiology.
From exyynrwar.blob.core.windows.net
Radiology Rb Ild at Charles Moye blog Ild Flare Radiology interstitial lung diseases may be marked by abrupt flares of disease activity. Based on the 2016 definition of. interstitial lung abnormalities (ilas) are common incidental findings at ct, which progress over 5 years in more than 50% of individuals, and are. interstitial lung disease (ild) is a category of diffuse parenchymal lung diseases characterized by inflammation. Ild Flare Radiology.
From emottawablog.com
Interstitial Lung Disease in the ED “I think I’ve got the Black Lung Ild Flare Radiology interstitial lung disease (ild) is a category of diffuse parenchymal lung diseases characterized by inflammation. Based on the 2016 definition of. interstitial lung abnormalities (ilas) are common incidental findings at ct, which progress over 5 years in more than 50% of individuals, and are. interstitial lung diseases may be marked by abrupt flares of disease activity. Ild Flare Radiology.
From www.wjgnet.com
Acute exacerbation of interstitial lung disease in the intensive care Ild Flare Radiology interstitial lung disease (ild) is a category of diffuse parenchymal lung diseases characterized by inflammation. interstitial lung abnormalities (ilas) are common incidental findings at ct, which progress over 5 years in more than 50% of individuals, and are. Based on the 2016 definition of. interstitial lung diseases may be marked by abrupt flares of disease activity. Ild Flare Radiology.
From www.cureus.com
Cureus InfliximabInduced Nonspecific Interstitial Pneumonitis in a Ild Flare Radiology interstitial lung abnormalities (ilas) are common incidental findings at ct, which progress over 5 years in more than 50% of individuals, and are. interstitial lung diseases may be marked by abrupt flares of disease activity. interstitial lung disease (ild) is a category of diffuse parenchymal lung diseases characterized by inflammation. Based on the 2016 definition of. Ild Flare Radiology.
From www.researchgate.net
Thermal flare event in the context of other radio activity. (a) The Ild Flare Radiology Based on the 2016 definition of. interstitial lung diseases may be marked by abrupt flares of disease activity. interstitial lung abnormalities (ilas) are common incidental findings at ct, which progress over 5 years in more than 50% of individuals, and are. interstitial lung disease (ild) is a category of diffuse parenchymal lung diseases characterized by inflammation. Ild Flare Radiology.
From www.emjreviews.com
Interstitial Lung Disease A Rare Association with AdultOnset Still’s Ild Flare Radiology interstitial lung disease (ild) is a category of diffuse parenchymal lung diseases characterized by inflammation. interstitial lung diseases may be marked by abrupt flares of disease activity. Based on the 2016 definition of. interstitial lung abnormalities (ilas) are common incidental findings at ct, which progress over 5 years in more than 50% of individuals, and are. Ild Flare Radiology.
From www.clinicaladvisor.com
Interstitial Lung Disease or COVID19? A Complex Pulmonary Differential Ild Flare Radiology interstitial lung abnormalities (ilas) are common incidental findings at ct, which progress over 5 years in more than 50% of individuals, and are. interstitial lung disease (ild) is a category of diffuse parenchymal lung diseases characterized by inflammation. interstitial lung diseases may be marked by abrupt flares of disease activity. Based on the 2016 definition of. Ild Flare Radiology.
From www.researchgate.net
Subanalysisa Mean swollen joint counts in the pre and postILD Ild Flare Radiology Based on the 2016 definition of. interstitial lung abnormalities (ilas) are common incidental findings at ct, which progress over 5 years in more than 50% of individuals, and are. interstitial lung disease (ild) is a category of diffuse parenchymal lung diseases characterized by inflammation. interstitial lung diseases may be marked by abrupt flares of disease activity. Ild Flare Radiology.
From www.cureus.com
Multifactorial Pulmonary Hypertension in Systemic Sclerosis Cureus Ild Flare Radiology Based on the 2016 definition of. interstitial lung disease (ild) is a category of diffuse parenchymal lung diseases characterized by inflammation. interstitial lung diseases may be marked by abrupt flares of disease activity. interstitial lung abnormalities (ilas) are common incidental findings at ct, which progress over 5 years in more than 50% of individuals, and are. Ild Flare Radiology.
From err.ersjournals.com
Evaluating disease severity in idiopathic pulmonary fibrosis European Ild Flare Radiology Based on the 2016 definition of. interstitial lung abnormalities (ilas) are common incidental findings at ct, which progress over 5 years in more than 50% of individuals, and are. interstitial lung diseases may be marked by abrupt flares of disease activity. interstitial lung disease (ild) is a category of diffuse parenchymal lung diseases characterized by inflammation. Ild Flare Radiology.
From www.researchgate.net
Showing type of ILD ILD interstitial lung disease Download Ild Flare Radiology Based on the 2016 definition of. interstitial lung diseases may be marked by abrupt flares of disease activity. interstitial lung disease (ild) is a category of diffuse parenchymal lung diseases characterized by inflammation. interstitial lung abnormalities (ilas) are common incidental findings at ct, which progress over 5 years in more than 50% of individuals, and are. Ild Flare Radiology.
From www.youtube.com
ILD, A Radiologic Approach YouTube Ild Flare Radiology Based on the 2016 definition of. interstitial lung abnormalities (ilas) are common incidental findings at ct, which progress over 5 years in more than 50% of individuals, and are. interstitial lung disease (ild) is a category of diffuse parenchymal lung diseases characterized by inflammation. interstitial lung diseases may be marked by abrupt flares of disease activity. Ild Flare Radiology.
From www.jvir.org
Simple Technique for Transjugular Intrahepatic Portosystemic Shunt Ild Flare Radiology interstitial lung disease (ild) is a category of diffuse parenchymal lung diseases characterized by inflammation. interstitial lung diseases may be marked by abrupt flares of disease activity. interstitial lung abnormalities (ilas) are common incidental findings at ct, which progress over 5 years in more than 50% of individuals, and are. Based on the 2016 definition of. Ild Flare Radiology.
From emottawablog.com
Interstitial Lung Disease in the ED “I think I’ve got the Black Lung Ild Flare Radiology interstitial lung diseases may be marked by abrupt flares of disease activity. interstitial lung abnormalities (ilas) are common incidental findings at ct, which progress over 5 years in more than 50% of individuals, and are. Based on the 2016 definition of. interstitial lung disease (ild) is a category of diffuse parenchymal lung diseases characterized by inflammation. Ild Flare Radiology.
From exomtfjnf.blob.core.windows.net
Pediatric Ild Radiology at Johnnie Sharp blog Ild Flare Radiology interstitial lung diseases may be marked by abrupt flares of disease activity. interstitial lung abnormalities (ilas) are common incidental findings at ct, which progress over 5 years in more than 50% of individuals, and are. Based on the 2016 definition of. interstitial lung disease (ild) is a category of diffuse parenchymal lung diseases characterized by inflammation. Ild Flare Radiology.
From www.mdpi.com
Medicina Free FullText Management of MyositisAssociated Ild Flare Radiology interstitial lung abnormalities (ilas) are common incidental findings at ct, which progress over 5 years in more than 50% of individuals, and are. Based on the 2016 definition of. interstitial lung diseases may be marked by abrupt flares of disease activity. interstitial lung disease (ild) is a category of diffuse parenchymal lung diseases characterized by inflammation. Ild Flare Radiology.