Diaphragm Elevated On Left Side . if the left side is paralyzed, both hemidiaphragms will appear at the same level. explore the causes, symptoms, diagnosis, and management of an elevated hemidiaphragm, a condition characterized. elevated hemidiaphragm is a condition where one portion of the diaphragm is higher than the other. an elevated hemidiaphragm may result from direct and indirect causes which include: elevated hemidiaphragm is a condition where one portion of the diaphragm is higher than the other. unilateral diaphragm paralysis is often first suspected after the finding of an abnormally elevated hemidiaphragm on a. elevated hemidiaphragm is a condition where one portion of the diaphragm is higher than the other. on the left side, a big stomach filled with food or gas can cause the diaphragm to appear elevated. Up to 90% of unilateral diaphragmatic palsy can be diagnosed.
from www.researchgate.net
an elevated hemidiaphragm may result from direct and indirect causes which include: elevated hemidiaphragm is a condition where one portion of the diaphragm is higher than the other. Up to 90% of unilateral diaphragmatic palsy can be diagnosed. explore the causes, symptoms, diagnosis, and management of an elevated hemidiaphragm, a condition characterized. unilateral diaphragm paralysis is often first suspected after the finding of an abnormally elevated hemidiaphragm on a. elevated hemidiaphragm is a condition where one portion of the diaphragm is higher than the other. on the left side, a big stomach filled with food or gas can cause the diaphragm to appear elevated. elevated hemidiaphragm is a condition where one portion of the diaphragm is higher than the other. if the left side is paralyzed, both hemidiaphragms will appear at the same level.
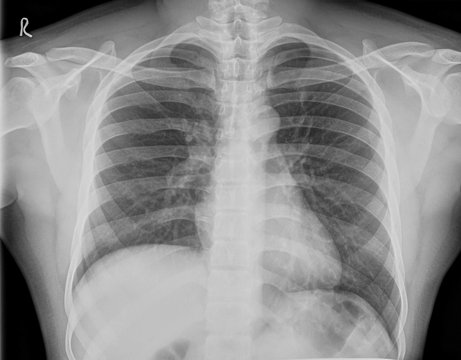
Chest Xray before diaphragm plication. The left diaphragm was elevated
Diaphragm Elevated On Left Side explore the causes, symptoms, diagnosis, and management of an elevated hemidiaphragm, a condition characterized. Up to 90% of unilateral diaphragmatic palsy can be diagnosed. an elevated hemidiaphragm may result from direct and indirect causes which include: on the left side, a big stomach filled with food or gas can cause the diaphragm to appear elevated. if the left side is paralyzed, both hemidiaphragms will appear at the same level. elevated hemidiaphragm is a condition where one portion of the diaphragm is higher than the other. elevated hemidiaphragm is a condition where one portion of the diaphragm is higher than the other. unilateral diaphragm paralysis is often first suspected after the finding of an abnormally elevated hemidiaphragm on a. explore the causes, symptoms, diagnosis, and management of an elevated hemidiaphragm, a condition characterized. elevated hemidiaphragm is a condition where one portion of the diaphragm is higher than the other.
From anatomytool.org
OpenStax AnatPhys fig.11.17 The Diaphragm and crura English labels Diaphragm Elevated On Left Side unilateral diaphragm paralysis is often first suspected after the finding of an abnormally elevated hemidiaphragm on a. if the left side is paralyzed, both hemidiaphragms will appear at the same level. elevated hemidiaphragm is a condition where one portion of the diaphragm is higher than the other. elevated hemidiaphragm is a condition where one portion of. Diaphragm Elevated On Left Side.
From courses.lumenlearning.com
Axial Muscles of the Abdominal Wall and Thorax Anatomy and Physiology I Diaphragm Elevated On Left Side explore the causes, symptoms, diagnosis, and management of an elevated hemidiaphragm, a condition characterized. on the left side, a big stomach filled with food or gas can cause the diaphragm to appear elevated. if the left side is paralyzed, both hemidiaphragms will appear at the same level. Up to 90% of unilateral diaphragmatic palsy can be diagnosed.. Diaphragm Elevated On Left Side.
From www.cureus.com
Cureus Sleeve Gastrectomy in a Patient With Left Hemidiaphragm Diaphragm Elevated On Left Side on the left side, a big stomach filled with food or gas can cause the diaphragm to appear elevated. elevated hemidiaphragm is a condition where one portion of the diaphragm is higher than the other. elevated hemidiaphragm is a condition where one portion of the diaphragm is higher than the other. elevated hemidiaphragm is a condition. Diaphragm Elevated On Left Side.
From madiken-huff.blogspot.com
What Causes An Elevated Hemidiaphragm John Wade Bruidstaart Diaphragm Elevated On Left Side unilateral diaphragm paralysis is often first suspected after the finding of an abnormally elevated hemidiaphragm on a. an elevated hemidiaphragm may result from direct and indirect causes which include: explore the causes, symptoms, diagnosis, and management of an elevated hemidiaphragm, a condition characterized. elevated hemidiaphragm is a condition where one portion of the diaphragm is higher. Diaphragm Elevated On Left Side.
From sumerdoc.blogspot.com
Elevated Dome of Diaphragm CXR Teaching Points Sumer's Radiology Blog Diaphragm Elevated On Left Side on the left side, a big stomach filled with food or gas can cause the diaphragm to appear elevated. elevated hemidiaphragm is a condition where one portion of the diaphragm is higher than the other. Up to 90% of unilateral diaphragmatic palsy can be diagnosed. elevated hemidiaphragm is a condition where one portion of the diaphragm is. Diaphragm Elevated On Left Side.
From ddxof.com
Differential Diagnosis of Elevated Hemidiaphragm Diaphragm Elevated On Left Side if the left side is paralyzed, both hemidiaphragms will appear at the same level. elevated hemidiaphragm is a condition where one portion of the diaphragm is higher than the other. unilateral diaphragm paralysis is often first suspected after the finding of an abnormally elevated hemidiaphragm on a. explore the causes, symptoms, diagnosis, and management of an. Diaphragm Elevated On Left Side.
From madiken-huff.blogspot.com
What Causes An Elevated Hemidiaphragm John Wade Bruidstaart Diaphragm Elevated On Left Side elevated hemidiaphragm is a condition where one portion of the diaphragm is higher than the other. an elevated hemidiaphragm may result from direct and indirect causes which include: unilateral diaphragm paralysis is often first suspected after the finding of an abnormally elevated hemidiaphragm on a. if the left side is paralyzed, both hemidiaphragms will appear at. Diaphragm Elevated On Left Side.
From pubs.rsna.org
Imaging of the Diaphragm Anatomy and Function RadioGraphics Diaphragm Elevated On Left Side elevated hemidiaphragm is a condition where one portion of the diaphragm is higher than the other. explore the causes, symptoms, diagnosis, and management of an elevated hemidiaphragm, a condition characterized. an elevated hemidiaphragm may result from direct and indirect causes which include: on the left side, a big stomach filled with food or gas can cause. Diaphragm Elevated On Left Side.
From www.britannica.com
Diaphragm Definition, Function, & Location Britannica Diaphragm Elevated On Left Side elevated hemidiaphragm is a condition where one portion of the diaphragm is higher than the other. if the left side is paralyzed, both hemidiaphragms will appear at the same level. Up to 90% of unilateral diaphragmatic palsy can be diagnosed. explore the causes, symptoms, diagnosis, and management of an elevated hemidiaphragm, a condition characterized. on the. Diaphragm Elevated On Left Side.
From manicverbalista.blogspot.com
What Is An Elevated Left Hemidiaphragm Sylvia Pollock Bruidstaart Diaphragm Elevated On Left Side elevated hemidiaphragm is a condition where one portion of the diaphragm is higher than the other. on the left side, a big stomach filled with food or gas can cause the diaphragm to appear elevated. if the left side is paralyzed, both hemidiaphragms will appear at the same level. unilateral diaphragm paralysis is often first suspected. Diaphragm Elevated On Left Side.
From radiologykey.com
Diaphragm Radiology Key Diaphragm Elevated On Left Side if the left side is paralyzed, both hemidiaphragms will appear at the same level. an elevated hemidiaphragm may result from direct and indirect causes which include: explore the causes, symptoms, diagnosis, and management of an elevated hemidiaphragm, a condition characterized. unilateral diaphragm paralysis is often first suspected after the finding of an abnormally elevated hemidiaphragm on. Diaphragm Elevated On Left Side.
From geelongosteopaths.com.au
Your Diaphragm Isn't Just For Breathing Geelong Osteopaths Diaphragm Elevated On Left Side on the left side, a big stomach filled with food or gas can cause the diaphragm to appear elevated. an elevated hemidiaphragm may result from direct and indirect causes which include: elevated hemidiaphragm is a condition where one portion of the diaphragm is higher than the other. elevated hemidiaphragm is a condition where one portion of. Diaphragm Elevated On Left Side.
From www.alamy.com
Albany medical annals . Left Diaphragm Elevated;Diaphragmatic Hernia Diaphragm Elevated On Left Side explore the causes, symptoms, diagnosis, and management of an elevated hemidiaphragm, a condition characterized. unilateral diaphragm paralysis is often first suspected after the finding of an abnormally elevated hemidiaphragm on a. on the left side, a big stomach filled with food or gas can cause the diaphragm to appear elevated. Up to 90% of unilateral diaphragmatic palsy. Diaphragm Elevated On Left Side.
From www.alamy.com
Albany medical annals . Left Diaphragm Elevated;Diaphragmatic Hernia Diaphragm Elevated On Left Side unilateral diaphragm paralysis is often first suspected after the finding of an abnormally elevated hemidiaphragm on a. elevated hemidiaphragm is a condition where one portion of the diaphragm is higher than the other. on the left side, a big stomach filled with food or gas can cause the diaphragm to appear elevated. an elevated hemidiaphragm may. Diaphragm Elevated On Left Side.
From www.lybrate.com
Diaphragm (Human Anatomy) Image, Function, Diseases, And Treatments Diaphragm Elevated On Left Side Up to 90% of unilateral diaphragmatic palsy can be diagnosed. elevated hemidiaphragm is a condition where one portion of the diaphragm is higher than the other. elevated hemidiaphragm is a condition where one portion of the diaphragm is higher than the other. on the left side, a big stomach filled with food or gas can cause the. Diaphragm Elevated On Left Side.
From exonytbqz.blob.core.windows.net
What Causes Increased Diaphragmatic Excursion at Dwight Martin blog Diaphragm Elevated On Left Side elevated hemidiaphragm is a condition where one portion of the diaphragm is higher than the other. an elevated hemidiaphragm may result from direct and indirect causes which include: elevated hemidiaphragm is a condition where one portion of the diaphragm is higher than the other. if the left side is paralyzed, both hemidiaphragms will appear at the. Diaphragm Elevated On Left Side.
From www.researchgate.net
Chest radiograph showing elevated left dome of diaphragm. Download Diaphragm Elevated On Left Side explore the causes, symptoms, diagnosis, and management of an elevated hemidiaphragm, a condition characterized. elevated hemidiaphragm is a condition where one portion of the diaphragm is higher than the other. an elevated hemidiaphragm may result from direct and indirect causes which include: elevated hemidiaphragm is a condition where one portion of the diaphragm is higher than. Diaphragm Elevated On Left Side.
From br.pinterest.com
TB ,fibrosis,with elevated ipsilateral diaphragm , chiliditi left side Diaphragm Elevated On Left Side elevated hemidiaphragm is a condition where one portion of the diaphragm is higher than the other. elevated hemidiaphragm is a condition where one portion of the diaphragm is higher than the other. elevated hemidiaphragm is a condition where one portion of the diaphragm is higher than the other. explore the causes, symptoms, diagnosis, and management of. Diaphragm Elevated On Left Side.
From www.wikidoc.org
Thoracic diaphragm wikidoc Diaphragm Elevated On Left Side unilateral diaphragm paralysis is often first suspected after the finding of an abnormally elevated hemidiaphragm on a. elevated hemidiaphragm is a condition where one portion of the diaphragm is higher than the other. if the left side is paralyzed, both hemidiaphragms will appear at the same level. Up to 90% of unilateral diaphragmatic palsy can be diagnosed.. Diaphragm Elevated On Left Side.
From radiologycases.my
Elevated hemidiaphragm Radiology Cases Diaphragm Elevated On Left Side an elevated hemidiaphragm may result from direct and indirect causes which include: elevated hemidiaphragm is a condition where one portion of the diaphragm is higher than the other. Up to 90% of unilateral diaphragmatic palsy can be diagnosed. explore the causes, symptoms, diagnosis, and management of an elevated hemidiaphragm, a condition characterized. elevated hemidiaphragm is a. Diaphragm Elevated On Left Side.
From anatomysystem.com
diaphragm Anatomy System Human Body Anatomy diagram and chart images Diaphragm Elevated On Left Side on the left side, a big stomach filled with food or gas can cause the diaphragm to appear elevated. elevated hemidiaphragm is a condition where one portion of the diaphragm is higher than the other. elevated hemidiaphragm is a condition where one portion of the diaphragm is higher than the other. unilateral diaphragm paralysis is often. Diaphragm Elevated On Left Side.
From www.therespiratorysystem.com
What is the Diaphragm Definition Diaphragm Elevated On Left Side elevated hemidiaphragm is a condition where one portion of the diaphragm is higher than the other. on the left side, a big stomach filled with food or gas can cause the diaphragm to appear elevated. an elevated hemidiaphragm may result from direct and indirect causes which include: if the left side is paralyzed, both hemidiaphragms will. Diaphragm Elevated On Left Side.
From www.researchgate.net
Elevated left hemidiaphragm in the same patient. Download Scientific Diaphragm Elevated On Left Side if the left side is paralyzed, both hemidiaphragms will appear at the same level. explore the causes, symptoms, diagnosis, and management of an elevated hemidiaphragm, a condition characterized. elevated hemidiaphragm is a condition where one portion of the diaphragm is higher than the other. elevated hemidiaphragm is a condition where one portion of the diaphragm is. Diaphragm Elevated On Left Side.
From www.researchgate.net
Xray chest showing elevated left dome of the diaphragm with bowel Diaphragm Elevated On Left Side explore the causes, symptoms, diagnosis, and management of an elevated hemidiaphragm, a condition characterized. on the left side, a big stomach filled with food or gas can cause the diaphragm to appear elevated. Up to 90% of unilateral diaphragmatic palsy can be diagnosed. if the left side is paralyzed, both hemidiaphragms will appear at the same level.. Diaphragm Elevated On Left Side.
From openi.nlm.nih.gov
Standard AP chest Xray depicting an elevated diaphragm with loculation Diaphragm Elevated On Left Side elevated hemidiaphragm is a condition where one portion of the diaphragm is higher than the other. elevated hemidiaphragm is a condition where one portion of the diaphragm is higher than the other. elevated hemidiaphragm is a condition where one portion of the diaphragm is higher than the other. on the left side, a big stomach filled. Diaphragm Elevated On Left Side.
From radiologykey.com
Elevated Diaphragm Radiology Key Diaphragm Elevated On Left Side if the left side is paralyzed, both hemidiaphragms will appear at the same level. elevated hemidiaphragm is a condition where one portion of the diaphragm is higher than the other. Up to 90% of unilateral diaphragmatic palsy can be diagnosed. elevated hemidiaphragm is a condition where one portion of the diaphragm is higher than the other. . Diaphragm Elevated On Left Side.
From www.vectorstock.com
Normal diaphragm or diaphragmatic eventration Vector Image Diaphragm Elevated On Left Side elevated hemidiaphragm is a condition where one portion of the diaphragm is higher than the other. if the left side is paralyzed, both hemidiaphragms will appear at the same level. Up to 90% of unilateral diaphragmatic palsy can be diagnosed. explore the causes, symptoms, diagnosis, and management of an elevated hemidiaphragm, a condition characterized. unilateral diaphragm. Diaphragm Elevated On Left Side.
From ddxof.com
Differential Diagnosis of Elevated Hemidiaphragm Diaphragm Elevated On Left Side elevated hemidiaphragm is a condition where one portion of the diaphragm is higher than the other. elevated hemidiaphragm is a condition where one portion of the diaphragm is higher than the other. elevated hemidiaphragm is a condition where one portion of the diaphragm is higher than the other. if the left side is paralyzed, both hemidiaphragms. Diaphragm Elevated On Left Side.
From radiologycases.my
Elevated hemidiaphragm Radiology Cases Diaphragm Elevated On Left Side elevated hemidiaphragm is a condition where one portion of the diaphragm is higher than the other. unilateral diaphragm paralysis is often first suspected after the finding of an abnormally elevated hemidiaphragm on a. elevated hemidiaphragm is a condition where one portion of the diaphragm is higher than the other. an elevated hemidiaphragm may result from direct. Diaphragm Elevated On Left Side.
From www.vrogue.co
Chest X Ray Anatomy Diaphragm vrogue.co Diaphragm Elevated On Left Side Up to 90% of unilateral diaphragmatic palsy can be diagnosed. an elevated hemidiaphragm may result from direct and indirect causes which include: explore the causes, symptoms, diagnosis, and management of an elevated hemidiaphragm, a condition characterized. if the left side is paralyzed, both hemidiaphragms will appear at the same level. unilateral diaphragm paralysis is often first. Diaphragm Elevated On Left Side.
From www.researchgate.net
Chest Xray before diaphragm plication. The left diaphragm was elevated Diaphragm Elevated On Left Side unilateral diaphragm paralysis is often first suspected after the finding of an abnormally elevated hemidiaphragm on a. on the left side, a big stomach filled with food or gas can cause the diaphragm to appear elevated. Up to 90% of unilateral diaphragmatic palsy can be diagnosed. elevated hemidiaphragm is a condition where one portion of the diaphragm. Diaphragm Elevated On Left Side.
From radiologykey.com
Diaphragm Radiology Key Diaphragm Elevated On Left Side if the left side is paralyzed, both hemidiaphragms will appear at the same level. Up to 90% of unilateral diaphragmatic palsy can be diagnosed. unilateral diaphragm paralysis is often first suspected after the finding of an abnormally elevated hemidiaphragm on a. elevated hemidiaphragm is a condition where one portion of the diaphragm is higher than the other.. Diaphragm Elevated On Left Side.
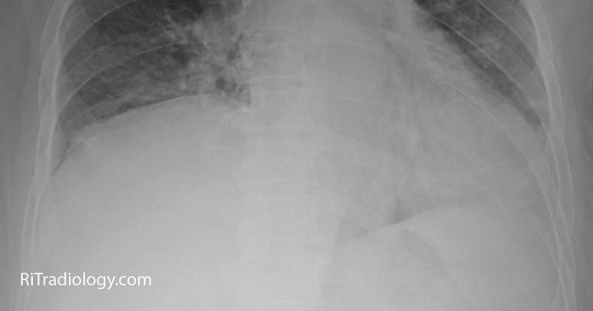
From radiologyinthai.blogspot.com
RiT radiology Unilateral Diaphragmatic Elevation Diaphragm Elevated On Left Side elevated hemidiaphragm is a condition where one portion of the diaphragm is higher than the other. elevated hemidiaphragm is a condition where one portion of the diaphragm is higher than the other. unilateral diaphragm paralysis is often first suspected after the finding of an abnormally elevated hemidiaphragm on a. an elevated hemidiaphragm may result from direct. Diaphragm Elevated On Left Side.
From www.researchgate.net
Chest anteroposterior view radiograph shows elevated left diaphragm and Diaphragm Elevated On Left Side explore the causes, symptoms, diagnosis, and management of an elevated hemidiaphragm, a condition characterized. elevated hemidiaphragm is a condition where one portion of the diaphragm is higher than the other. on the left side, a big stomach filled with food or gas can cause the diaphragm to appear elevated. Up to 90% of unilateral diaphragmatic palsy can. Diaphragm Elevated On Left Side.
From www.researchgate.net
Chest xray showed a moderate left hemidiaphragm elevation with bowel Diaphragm Elevated On Left Side unilateral diaphragm paralysis is often first suspected after the finding of an abnormally elevated hemidiaphragm on a. on the left side, a big stomach filled with food or gas can cause the diaphragm to appear elevated. elevated hemidiaphragm is a condition where one portion of the diaphragm is higher than the other. explore the causes, symptoms,. Diaphragm Elevated On Left Side.