Labcorp Lipoprotein Nmr . nmr lipoprofile® test is fda cleared for use in conjunction with other lipid measurements and clinical evaluation to. nmr lipoprofile® with insulin resistance markers (with graph) (labcorp). Get know how much does lab test cost. labcorp publication and article resources: Lipids by nuclear magnetic resonance (nmr) spectroscopy.
from www.reddit.com
nmr lipoprofile® with insulin resistance markers (with graph) (labcorp). Lipids by nuclear magnetic resonance (nmr) spectroscopy. labcorp publication and article resources: Get know how much does lab test cost. nmr lipoprofile® test is fda cleared for use in conjunction with other lipid measurements and clinical evaluation to.
Help me interpret my NMR Lipoprofile keto
Labcorp Lipoprotein Nmr nmr lipoprofile® with insulin resistance markers (with graph) (labcorp). nmr lipoprofile® with insulin resistance markers (with graph) (labcorp). labcorp publication and article resources: Lipids by nuclear magnetic resonance (nmr) spectroscopy. Get know how much does lab test cost. nmr lipoprofile® test is fda cleared for use in conjunction with other lipid measurements and clinical evaluation to.
From dxohisyjn.blob.core.windows.net
Labcorp Nmr Lipid Profile at Rebecca McDaniel blog Labcorp Lipoprotein Nmr Lipids by nuclear magnetic resonance (nmr) spectroscopy. labcorp publication and article resources: nmr lipoprofile® with insulin resistance markers (with graph) (labcorp). Get know how much does lab test cost. nmr lipoprofile® test is fda cleared for use in conjunction with other lipid measurements and clinical evaluation to. Labcorp Lipoprotein Nmr.
From www.jlr.org
Liposcale a novel advanced lipoprotein test based on 2D diffusionordered 1H NMR spectroscopy[S Labcorp Lipoprotein Nmr Lipids by nuclear magnetic resonance (nmr) spectroscopy. nmr lipoprofile® with insulin resistance markers (with graph) (labcorp). Get know how much does lab test cost. nmr lipoprofile® test is fda cleared for use in conjunction with other lipid measurements and clinical evaluation to. labcorp publication and article resources: Labcorp Lipoprotein Nmr.
From www.jlr.org
Liposcale a novel advanced lipoprotein test based on 2D diffusionordered 1H NMR spectroscopy[S Labcorp Lipoprotein Nmr Lipids by nuclear magnetic resonance (nmr) spectroscopy. nmr lipoprofile® with insulin resistance markers (with graph) (labcorp). nmr lipoprofile® test is fda cleared for use in conjunction with other lipid measurements and clinical evaluation to. labcorp publication and article resources: Get know how much does lab test cost. Labcorp Lipoprotein Nmr.
From www.sec.gov
GRAPHIC Labcorp Lipoprotein Nmr nmr lipoprofile® with insulin resistance markers (with graph) (labcorp). labcorp publication and article resources: nmr lipoprofile® test is fda cleared for use in conjunction with other lipid measurements and clinical evaluation to. Lipids by nuclear magnetic resonance (nmr) spectroscopy. Get know how much does lab test cost. Labcorp Lipoprotein Nmr.
From www.researchgate.net
NMRSpektrum (Messung bei 600 MHz) von humanem Serum mit schematischer... Download Scientific Labcorp Lipoprotein Nmr Get know how much does lab test cost. nmr lipoprofile® with insulin resistance markers (with graph) (labcorp). labcorp publication and article resources: Lipids by nuclear magnetic resonance (nmr) spectroscopy. nmr lipoprofile® test is fda cleared for use in conjunction with other lipid measurements and clinical evaluation to. Labcorp Lipoprotein Nmr.
From pubs.acs.org
Human Blood Lipoprotein Predictions from 1H NMR Spectra Protocol, Model Performances, and Cage Labcorp Lipoprotein Nmr nmr lipoprofile® test is fda cleared for use in conjunction with other lipid measurements and clinical evaluation to. nmr lipoprofile® with insulin resistance markers (with graph) (labcorp). labcorp publication and article resources: Lipids by nuclear magnetic resonance (nmr) spectroscopy. Get know how much does lab test cost. Labcorp Lipoprotein Nmr.
From www.researchgate.net
1 H NMR analysis of large molecule metabolites. (A) The NMR spectral... Download Scientific Labcorp Lipoprotein Nmr Lipids by nuclear magnetic resonance (nmr) spectroscopy. nmr lipoprofile® with insulin resistance markers (with graph) (labcorp). labcorp publication and article resources: Get know how much does lab test cost. nmr lipoprofile® test is fda cleared for use in conjunction with other lipid measurements and clinical evaluation to. Labcorp Lipoprotein Nmr.
From www.semanticscholar.org
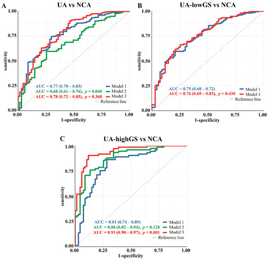
Figure 3 from Alterations of NMRBased Lipoprotein Profile Distinguish Unstable Angina Patients Labcorp Lipoprotein Nmr nmr lipoprofile® test is fda cleared for use in conjunction with other lipid measurements and clinical evaluation to. Lipids by nuclear magnetic resonance (nmr) spectroscopy. Get know how much does lab test cost. labcorp publication and article resources: nmr lipoprofile® with insulin resistance markers (with graph) (labcorp). Labcorp Lipoprotein Nmr.
From www.optimaldx.com
NMR Lipoprotein Subfractionation Way Way Beyond Cholesterol Labcorp Lipoprotein Nmr Get know how much does lab test cost. nmr lipoprofile® with insulin resistance markers (with graph) (labcorp). nmr lipoprofile® test is fda cleared for use in conjunction with other lipid measurements and clinical evaluation to. labcorp publication and article resources: Lipids by nuclear magnetic resonance (nmr) spectroscopy. Labcorp Lipoprotein Nmr.
From www.researchgate.net
Plasma levels of NMRderived lipoprotein subpopulations and markers for... Download Scientific Labcorp Lipoprotein Nmr Lipids by nuclear magnetic resonance (nmr) spectroscopy. labcorp publication and article resources: nmr lipoprofile® test is fda cleared for use in conjunction with other lipid measurements and clinical evaluation to. Get know how much does lab test cost. nmr lipoprofile® with insulin resistance markers (with graph) (labcorp). Labcorp Lipoprotein Nmr.
From www.researchgate.net
Conventional lipid profile and NMRassessed lipoprotein subclass... Download Scientific Diagram Labcorp Lipoprotein Nmr nmr lipoprofile® test is fda cleared for use in conjunction with other lipid measurements and clinical evaluation to. nmr lipoprofile® with insulin resistance markers (with graph) (labcorp). labcorp publication and article resources: Get know how much does lab test cost. Lipids by nuclear magnetic resonance (nmr) spectroscopy. Labcorp Lipoprotein Nmr.
From www.researchgate.net
Lipoprotein 1 HNMR analysis. (A) Comparative bipolarLED diffusion... Download Scientific Diagram Labcorp Lipoprotein Nmr nmr lipoprofile® test is fda cleared for use in conjunction with other lipid measurements and clinical evaluation to. Lipids by nuclear magnetic resonance (nmr) spectroscopy. labcorp publication and article resources: nmr lipoprofile® with insulin resistance markers (with graph) (labcorp). Get know how much does lab test cost. Labcorp Lipoprotein Nmr.
From www.researchgate.net
(PDF) Correction Nut consumption is associated with a shift of the NMR lipoprotein subfraction Labcorp Lipoprotein Nmr nmr lipoprofile® test is fda cleared for use in conjunction with other lipid measurements and clinical evaluation to. labcorp publication and article resources: nmr lipoprofile® with insulin resistance markers (with graph) (labcorp). Lipids by nuclear magnetic resonance (nmr) spectroscopy. Get know how much does lab test cost. Labcorp Lipoprotein Nmr.
From www.mdpi.com
Metabolites Free FullText Alterations of NMRBased Lipoprotein Profile Distinguish Unstable Labcorp Lipoprotein Nmr nmr lipoprofile® test is fda cleared for use in conjunction with other lipid measurements and clinical evaluation to. Lipids by nuclear magnetic resonance (nmr) spectroscopy. nmr lipoprofile® with insulin resistance markers (with graph) (labcorp). Get know how much does lab test cost. labcorp publication and article resources: Labcorp Lipoprotein Nmr.
From www.researchgate.net
(PDF) Serum NMRBased Metabolomics Profiling Identifies Lipoprotein Subfraction Variables and Labcorp Lipoprotein Nmr nmr lipoprofile® test is fda cleared for use in conjunction with other lipid measurements and clinical evaluation to. Lipids by nuclear magnetic resonance (nmr) spectroscopy. labcorp publication and article resources: nmr lipoprofile® with insulin resistance markers (with graph) (labcorp). Get know how much does lab test cost. Labcorp Lipoprotein Nmr.
From www.scribd.com
Test Report NMR LipoProfile PDF Low Density Lipoprotein Membrane Active Molecules Labcorp Lipoprotein Nmr labcorp publication and article resources: nmr lipoprofile® with insulin resistance markers (with graph) (labcorp). Lipids by nuclear magnetic resonance (nmr) spectroscopy. nmr lipoprofile® test is fda cleared for use in conjunction with other lipid measurements and clinical evaluation to. Get know how much does lab test cost. Labcorp Lipoprotein Nmr.
From dxohisyjn.blob.core.windows.net
Labcorp Nmr Lipid Profile at Rebecca McDaniel blog Labcorp Lipoprotein Nmr Lipids by nuclear magnetic resonance (nmr) spectroscopy. labcorp publication and article resources: nmr lipoprofile® with insulin resistance markers (with graph) (labcorp). Get know how much does lab test cost. nmr lipoprofile® test is fda cleared for use in conjunction with other lipid measurements and clinical evaluation to. Labcorp Lipoprotein Nmr.
From www.researchgate.net
Comparison of lipoprotein particles between the lipoprofile NMR and... Download Scientific Diagram Labcorp Lipoprotein Nmr Get know how much does lab test cost. nmr lipoprofile® with insulin resistance markers (with graph) (labcorp). Lipids by nuclear magnetic resonance (nmr) spectroscopy. labcorp publication and article resources: nmr lipoprofile® test is fda cleared for use in conjunction with other lipid measurements and clinical evaluation to. Labcorp Lipoprotein Nmr.
From precisionhealthreports.com
Understanding your NMR LipoProfile Report — Precision Health Reports Labcorp Lipoprotein Nmr Get know how much does lab test cost. nmr lipoprofile® with insulin resistance markers (with graph) (labcorp). nmr lipoprofile® test is fda cleared for use in conjunction with other lipid measurements and clinical evaluation to. Lipids by nuclear magnetic resonance (nmr) spectroscopy. labcorp publication and article resources: Labcorp Lipoprotein Nmr.
From www.researchgate.net
NMR lipoprotein particle parameters for LDL. Samples in NIH database... Download Scientific Labcorp Lipoprotein Nmr Get know how much does lab test cost. nmr lipoprofile® with insulin resistance markers (with graph) (labcorp). Lipids by nuclear magnetic resonance (nmr) spectroscopy. labcorp publication and article resources: nmr lipoprofile® test is fda cleared for use in conjunction with other lipid measurements and clinical evaluation to. Labcorp Lipoprotein Nmr.
From pubs.acs.org
Human Blood Lipoprotein Predictions from 1H NMR Spectra Protocol, Model Performances, and Cage Labcorp Lipoprotein Nmr nmr lipoprofile® with insulin resistance markers (with graph) (labcorp). nmr lipoprofile® test is fda cleared for use in conjunction with other lipid measurements and clinical evaluation to. Get know how much does lab test cost. labcorp publication and article resources: Lipids by nuclear magnetic resonance (nmr) spectroscopy. Labcorp Lipoprotein Nmr.
From www.researchgate.net
Lipoprotein and glycoprotein NMR advanced profile in cases and controls Download Scientific Labcorp Lipoprotein Nmr labcorp publication and article resources: Get know how much does lab test cost. Lipids by nuclear magnetic resonance (nmr) spectroscopy. nmr lipoprofile® with insulin resistance markers (with graph) (labcorp). nmr lipoprofile® test is fda cleared for use in conjunction with other lipid measurements and clinical evaluation to. Labcorp Lipoprotein Nmr.
From www.mdpi.com
IJMS Free FullText Quantitative NMRBased Lipoprotein Analysis Identifies Elevated HDL4 Labcorp Lipoprotein Nmr Lipids by nuclear magnetic resonance (nmr) spectroscopy. nmr lipoprofile® test is fda cleared for use in conjunction with other lipid measurements and clinical evaluation to. Get know how much does lab test cost. labcorp publication and article resources: nmr lipoprofile® with insulin resistance markers (with graph) (labcorp). Labcorp Lipoprotein Nmr.
From www.jlr.org
Liposcale a novel advanced lipoprotein test based on 2D diffusionordered 1H NMR spectroscopy[S Labcorp Lipoprotein Nmr Lipids by nuclear magnetic resonance (nmr) spectroscopy. labcorp publication and article resources: nmr lipoprofile® with insulin resistance markers (with graph) (labcorp). Get know how much does lab test cost. nmr lipoprofile® test is fda cleared for use in conjunction with other lipid measurements and clinical evaluation to. Labcorp Lipoprotein Nmr.
From www.researchgate.net
Diameter ranges of lipoprotein subclasses when measured by NMR [17] Download Table Labcorp Lipoprotein Nmr Lipids by nuclear magnetic resonance (nmr) spectroscopy. Get know how much does lab test cost. nmr lipoprofile® test is fda cleared for use in conjunction with other lipid measurements and clinical evaluation to. labcorp publication and article resources: nmr lipoprofile® with insulin resistance markers (with graph) (labcorp). Labcorp Lipoprotein Nmr.
From www.reddit.com
Help me interpret my NMR Lipoprofile keto Labcorp Lipoprotein Nmr nmr lipoprofile® test is fda cleared for use in conjunction with other lipid measurements and clinical evaluation to. labcorp publication and article resources: Get know how much does lab test cost. nmr lipoprofile® with insulin resistance markers (with graph) (labcorp). Lipids by nuclear magnetic resonance (nmr) spectroscopy. Labcorp Lipoprotein Nmr.
From www.researchgate.net
NMR lipoprotein profile performed on whole plasma Download Table Labcorp Lipoprotein Nmr Lipids by nuclear magnetic resonance (nmr) spectroscopy. nmr lipoprofile® with insulin resistance markers (with graph) (labcorp). Get know how much does lab test cost. nmr lipoprofile® test is fda cleared for use in conjunction with other lipid measurements and clinical evaluation to. labcorp publication and article resources: Labcorp Lipoprotein Nmr.
From www.mdpi.com
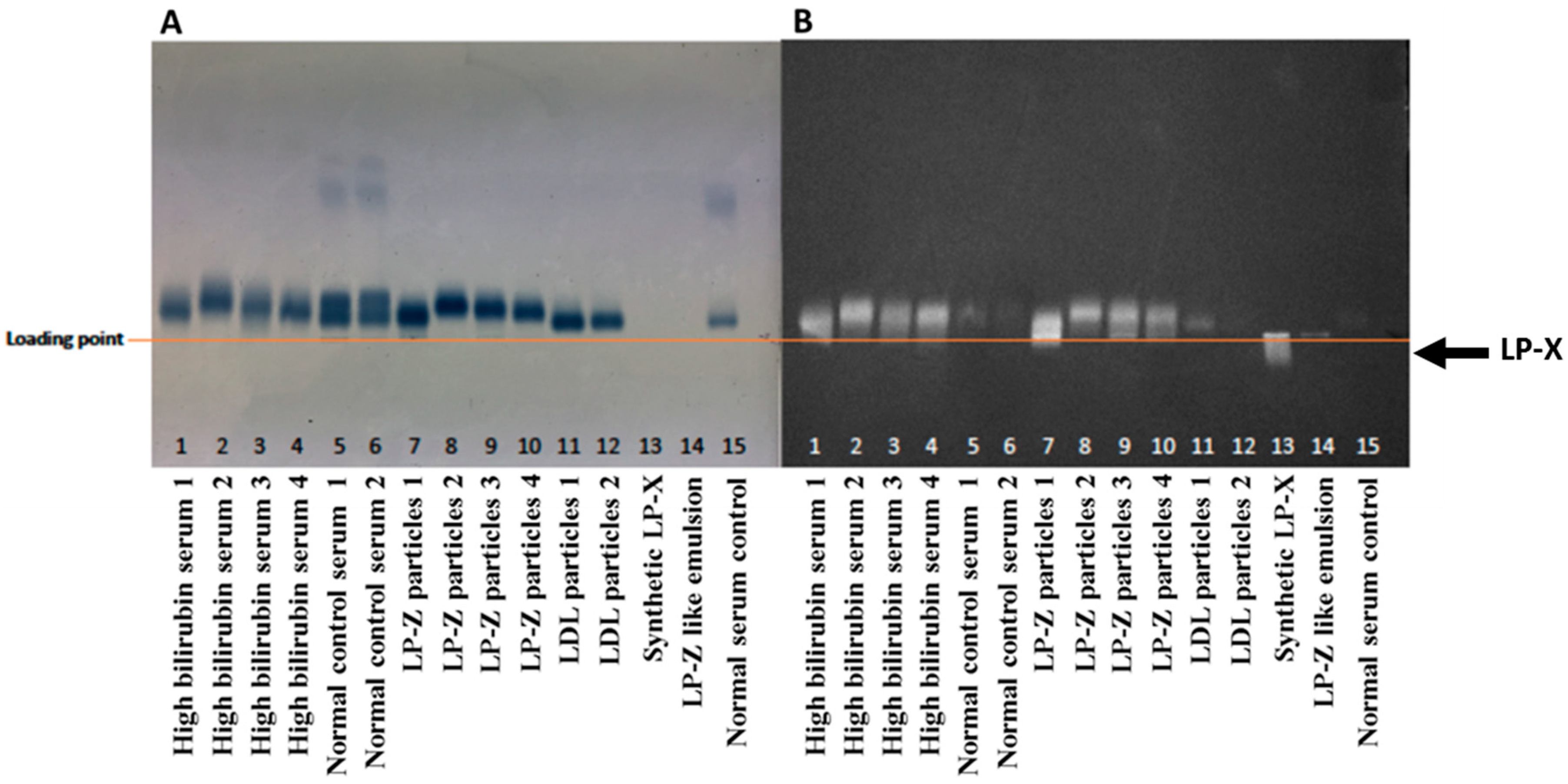
JCM Free FullText Characterization of LPZ Lipoprotein Particles and Quantification in Labcorp Lipoprotein Nmr Lipids by nuclear magnetic resonance (nmr) spectroscopy. nmr lipoprofile® with insulin resistance markers (with graph) (labcorp). Get know how much does lab test cost. nmr lipoprofile® test is fda cleared for use in conjunction with other lipid measurements and clinical evaluation to. labcorp publication and article resources: Labcorp Lipoprotein Nmr.
From pubs.acs.org
Quantitative Lipoprotein Subclass and Low Molecular Weight Metabolite Analysis in Human Serum Labcorp Lipoprotein Nmr labcorp publication and article resources: nmr lipoprofile® with insulin resistance markers (with graph) (labcorp). nmr lipoprofile® test is fda cleared for use in conjunction with other lipid measurements and clinical evaluation to. Lipids by nuclear magnetic resonance (nmr) spectroscopy. Get know how much does lab test cost. Labcorp Lipoprotein Nmr.
From www.optimaldx.com
NMR Lipoprotein Subfractionation Way Way Beyond Cholesterol Labcorp Lipoprotein Nmr Get know how much does lab test cost. nmr lipoprofile® test is fda cleared for use in conjunction with other lipid measurements and clinical evaluation to. labcorp publication and article resources: Lipids by nuclear magnetic resonance (nmr) spectroscopy. nmr lipoprofile® with insulin resistance markers (with graph) (labcorp). Labcorp Lipoprotein Nmr.
From www.semanticscholar.org
Figure 1 from NMRbased lipidomic analysis of blood lipoproteins differentiates the progression Labcorp Lipoprotein Nmr nmr lipoprofile® with insulin resistance markers (with graph) (labcorp). Get know how much does lab test cost. labcorp publication and article resources: nmr lipoprofile® test is fda cleared for use in conjunction with other lipid measurements and clinical evaluation to. Lipids by nuclear magnetic resonance (nmr) spectroscopy. Labcorp Lipoprotein Nmr.
From www.researchgate.net
(PDF) Quantitative NMRBased Lipoprotein Analysis Identifies Elevated HDL4 and Triglycerides in Labcorp Lipoprotein Nmr Get know how much does lab test cost. nmr lipoprofile® with insulin resistance markers (with graph) (labcorp). Lipids by nuclear magnetic resonance (nmr) spectroscopy. labcorp publication and article resources: nmr lipoprofile® test is fda cleared for use in conjunction with other lipid measurements and clinical evaluation to. Labcorp Lipoprotein Nmr.
From www.researchgate.net
(PDF) Alterations of NMRBased Lipoprotein Profile Distinguish Unstable Angina Patients with Labcorp Lipoprotein Nmr labcorp publication and article resources: nmr lipoprofile® test is fda cleared for use in conjunction with other lipid measurements and clinical evaluation to. Lipids by nuclear magnetic resonance (nmr) spectroscopy. Get know how much does lab test cost. nmr lipoprofile® with insulin resistance markers (with graph) (labcorp). Labcorp Lipoprotein Nmr.
From www.researchgate.net
Solution NMR structure of the Lipoprotein17 domain of Q9PRA0_UREPA... Download Scientific Diagram Labcorp Lipoprotein Nmr Lipids by nuclear magnetic resonance (nmr) spectroscopy. nmr lipoprofile® with insulin resistance markers (with graph) (labcorp). Get know how much does lab test cost. nmr lipoprofile® test is fda cleared for use in conjunction with other lipid measurements and clinical evaluation to. labcorp publication and article resources: Labcorp Lipoprotein Nmr.
From www.researchgate.net
The relationship between serum NMR spectra and the lipoprotein... Download Scientific Diagram Labcorp Lipoprotein Nmr nmr lipoprofile® with insulin resistance markers (with graph) (labcorp). Lipids by nuclear magnetic resonance (nmr) spectroscopy. nmr lipoprofile® test is fda cleared for use in conjunction with other lipid measurements and clinical evaluation to. Get know how much does lab test cost. labcorp publication and article resources: Labcorp Lipoprotein Nmr.