Rotator Cuff Tear Supraspinatus . Advances in surgical techniques for rotator cuff repair include less invasive procedures. front view (left) and overhead view (right) of the tendons that form the rotator cuff. Rotator cuff tear symptoms include: most tears occur in the supraspinatus tendon, but other parts of the rotator cuff may also be involved. What are the symptoms of a rotator cuff tear? the supraspinatus muscle runs along the top of the scapula (shoulder blade) and inserts at the top of the arm on the humerus bone. There are a few options for repairing rotator cuff tears. A supraspinatus tear often occurs from falling onto an outstretched arm, or from throwing activities. In many cases, torn tendons begin by fraying. these four muscles (supraspinatus, infraspinatus, subscapularis, and teres minor) stabilize the. rotator cuff tears are a very common source of shoulder pain and decreased motion that can occur due to both traumatic injuries in young patients. It is one of the four rotator cuff muscles.
from www.researchgate.net
There are a few options for repairing rotator cuff tears. What are the symptoms of a rotator cuff tear? Advances in surgical techniques for rotator cuff repair include less invasive procedures. A supraspinatus tear often occurs from falling onto an outstretched arm, or from throwing activities. most tears occur in the supraspinatus tendon, but other parts of the rotator cuff may also be involved. It is one of the four rotator cuff muscles. In many cases, torn tendons begin by fraying. rotator cuff tears are a very common source of shoulder pain and decreased motion that can occur due to both traumatic injuries in young patients. the supraspinatus muscle runs along the top of the scapula (shoulder blade) and inserts at the top of the arm on the humerus bone. front view (left) and overhead view (right) of the tendons that form the rotator cuff.
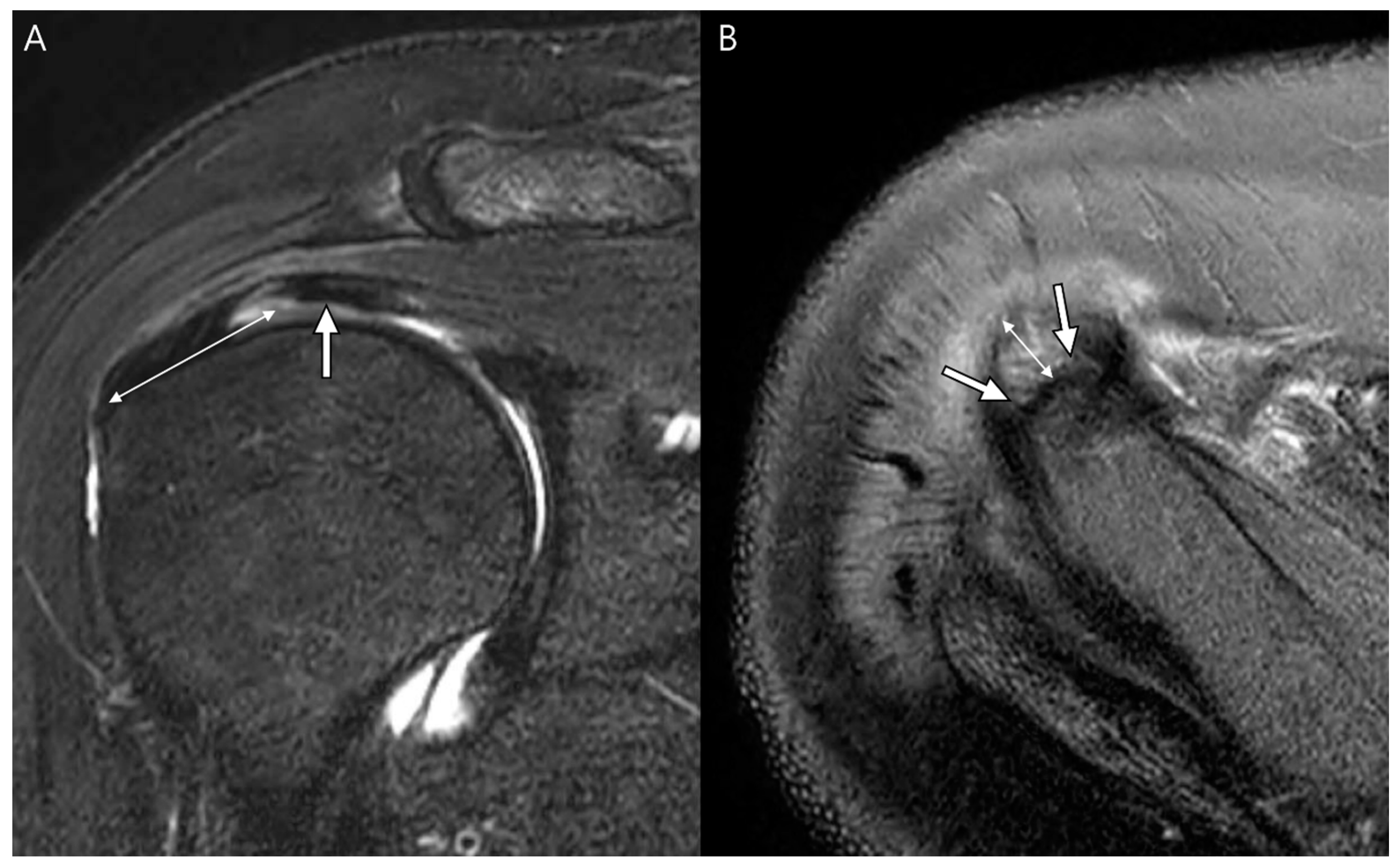
Imaging features of supraspinatus rotator cuff tear. resonance... Download Scientific
Rotator Cuff Tear Supraspinatus Advances in surgical techniques for rotator cuff repair include less invasive procedures. the supraspinatus muscle runs along the top of the scapula (shoulder blade) and inserts at the top of the arm on the humerus bone. A supraspinatus tear often occurs from falling onto an outstretched arm, or from throwing activities. It is one of the four rotator cuff muscles. There are a few options for repairing rotator cuff tears. Rotator cuff tear symptoms include: these four muscles (supraspinatus, infraspinatus, subscapularis, and teres minor) stabilize the. In many cases, torn tendons begin by fraying. front view (left) and overhead view (right) of the tendons that form the rotator cuff. What are the symptoms of a rotator cuff tear? rotator cuff tears are a very common source of shoulder pain and decreased motion that can occur due to both traumatic injuries in young patients. most tears occur in the supraspinatus tendon, but other parts of the rotator cuff may also be involved. Advances in surgical techniques for rotator cuff repair include less invasive procedures.
From youmemindbody.com
A Guide to Supraspinatus Tendon Tears (Rotator Cuff Injury) YouMeMindBody Rotator Cuff Tear Supraspinatus It is one of the four rotator cuff muscles. What are the symptoms of a rotator cuff tear? the supraspinatus muscle runs along the top of the scapula (shoulder blade) and inserts at the top of the arm on the humerus bone. most tears occur in the supraspinatus tendon, but other parts of the rotator cuff may also. Rotator Cuff Tear Supraspinatus.
From www.cawleypt.net
Rotator Cuff Recovery and Repair Cawley Physical Therapy Rotator Cuff Tear Supraspinatus In many cases, torn tendons begin by fraying. It is one of the four rotator cuff muscles. What are the symptoms of a rotator cuff tear? these four muscles (supraspinatus, infraspinatus, subscapularis, and teres minor) stabilize the. most tears occur in the supraspinatus tendon, but other parts of the rotator cuff may also be involved. Rotator cuff tear. Rotator Cuff Tear Supraspinatus.
From youmemindbody.com
A Guide to Supraspinatus Tendon Tears (Rotator Cuff Injury) YouMeMindBody Rotator Cuff Tear Supraspinatus Rotator cuff tear symptoms include: A supraspinatus tear often occurs from falling onto an outstretched arm, or from throwing activities. most tears occur in the supraspinatus tendon, but other parts of the rotator cuff may also be involved. front view (left) and overhead view (right) of the tendons that form the rotator cuff. It is one of the. Rotator Cuff Tear Supraspinatus.
From www.youtube.com
Rotator cuff Supraspinatus full thickness tear CT arthrograam finding YouTube Rotator Cuff Tear Supraspinatus A supraspinatus tear often occurs from falling onto an outstretched arm, or from throwing activities. most tears occur in the supraspinatus tendon, but other parts of the rotator cuff may also be involved. Rotator cuff tear symptoms include: rotator cuff tears are a very common source of shoulder pain and decreased motion that can occur due to both. Rotator Cuff Tear Supraspinatus.
From www.mri.melbourne
mrishouldersupraspinatustendontear7 MRI at Melbourne Radiology Clinic Rotator Cuff Tear Supraspinatus Advances in surgical techniques for rotator cuff repair include less invasive procedures. most tears occur in the supraspinatus tendon, but other parts of the rotator cuff may also be involved. front view (left) and overhead view (right) of the tendons that form the rotator cuff. In many cases, torn tendons begin by fraying. the supraspinatus muscle runs. Rotator Cuff Tear Supraspinatus.
From cambridgeshoulder.co.uk
Rotator Cuff Disease Cambridge Shoulder Rotator Cuff Tear Supraspinatus There are a few options for repairing rotator cuff tears. rotator cuff tears are a very common source of shoulder pain and decreased motion that can occur due to both traumatic injuries in young patients. these four muscles (supraspinatus, infraspinatus, subscapularis, and teres minor) stabilize the. It is one of the four rotator cuff muscles. the supraspinatus. Rotator Cuff Tear Supraspinatus.
From physio2h.com
Supraspinatus Tear Signs, Symptoms and Diagnosis Rotator Cuff Tear Supraspinatus Rotator cuff tear symptoms include: the supraspinatus muscle runs along the top of the scapula (shoulder blade) and inserts at the top of the arm on the humerus bone. rotator cuff tears are a very common source of shoulder pain and decreased motion that can occur due to both traumatic injuries in young patients. Advances in surgical techniques. Rotator Cuff Tear Supraspinatus.
From www.youtube.com
Retracted rotator cuff tear (supraspinatus and infraspinatus) with bicipital tendinitis YouTube Rotator Cuff Tear Supraspinatus Rotator cuff tear symptoms include: In many cases, torn tendons begin by fraying. rotator cuff tears are a very common source of shoulder pain and decreased motion that can occur due to both traumatic injuries in young patients. most tears occur in the supraspinatus tendon, but other parts of the rotator cuff may also be involved. the. Rotator Cuff Tear Supraspinatus.
From kneeandshoulderclinic.com.au
Rotator Cuff Repair Brisbane Knee and Shoulder ClinicBrisbane Knee and Shoulder Clinic Rotator Cuff Tear Supraspinatus A supraspinatus tear often occurs from falling onto an outstretched arm, or from throwing activities. front view (left) and overhead view (right) of the tendons that form the rotator cuff. rotator cuff tears are a very common source of shoulder pain and decreased motion that can occur due to both traumatic injuries in young patients. It is one. Rotator Cuff Tear Supraspinatus.
From www.researchgate.net
Imaging features of supraspinatus rotator cuff tear. resonance... Download Scientific Rotator Cuff Tear Supraspinatus Advances in surgical techniques for rotator cuff repair include less invasive procedures. A supraspinatus tear often occurs from falling onto an outstretched arm, or from throwing activities. What are the symptoms of a rotator cuff tear? these four muscles (supraspinatus, infraspinatus, subscapularis, and teres minor) stabilize the. In many cases, torn tendons begin by fraying. It is one of. Rotator Cuff Tear Supraspinatus.
From www.vrogue.co
Rotator Cuff Tear How To Strengthen Supraspinatus In vrogue.co Rotator Cuff Tear Supraspinatus In many cases, torn tendons begin by fraying. most tears occur in the supraspinatus tendon, but other parts of the rotator cuff may also be involved. front view (left) and overhead view (right) of the tendons that form the rotator cuff. the supraspinatus muscle runs along the top of the scapula (shoulder blade) and inserts at the. Rotator Cuff Tear Supraspinatus.
From sydneyshoulderunit.com.au
Rotator Cuff Tears Dr Pant Sydney Shoulder Unit Rotator Cuff Tear Supraspinatus A supraspinatus tear often occurs from falling onto an outstretched arm, or from throwing activities. What are the symptoms of a rotator cuff tear? It is one of the four rotator cuff muscles. There are a few options for repairing rotator cuff tears. these four muscles (supraspinatus, infraspinatus, subscapularis, and teres minor) stabilize the. the supraspinatus muscle runs. Rotator Cuff Tear Supraspinatus.
From www.bmj.com
Acute rotator cuff tears The BMJ Rotator Cuff Tear Supraspinatus It is one of the four rotator cuff muscles. A supraspinatus tear often occurs from falling onto an outstretched arm, or from throwing activities. There are a few options for repairing rotator cuff tears. most tears occur in the supraspinatus tendon, but other parts of the rotator cuff may also be involved. front view (left) and overhead view. Rotator Cuff Tear Supraspinatus.
From mungfali.com
Rotator Cuff Tear Supraspinatus Tendon Rotator Cuff Tear Supraspinatus It is one of the four rotator cuff muscles. What are the symptoms of a rotator cuff tear? these four muscles (supraspinatus, infraspinatus, subscapularis, and teres minor) stabilize the. Rotator cuff tear symptoms include: A supraspinatus tear often occurs from falling onto an outstretched arm, or from throwing activities. front view (left) and overhead view (right) of the. Rotator Cuff Tear Supraspinatus.
From gchulc.com.au
Rotator Cuff Tear Gold Coast Hand + Upper Limb Clinic Rotator Cuff Tear Supraspinatus In many cases, torn tendons begin by fraying. front view (left) and overhead view (right) of the tendons that form the rotator cuff. the supraspinatus muscle runs along the top of the scapula (shoulder blade) and inserts at the top of the arm on the humerus bone. Advances in surgical techniques for rotator cuff repair include less invasive. Rotator Cuff Tear Supraspinatus.
From movebetterhp.com
Rotator Cuff Tears Move Better Health & Performance Rotator Cuff Tear Supraspinatus What are the symptoms of a rotator cuff tear? Rotator cuff tear symptoms include: Advances in surgical techniques for rotator cuff repair include less invasive procedures. A supraspinatus tear often occurs from falling onto an outstretched arm, or from throwing activities. In many cases, torn tendons begin by fraying. It is one of the four rotator cuff muscles. these. Rotator Cuff Tear Supraspinatus.
From www.visiblebody.com
Learn Muscle Anatomy Of Dads and Rotator Cuff Injuries Rotator Cuff Tear Supraspinatus most tears occur in the supraspinatus tendon, but other parts of the rotator cuff may also be involved. What are the symptoms of a rotator cuff tear? these four muscles (supraspinatus, infraspinatus, subscapularis, and teres minor) stabilize the. Rotator cuff tear symptoms include: In many cases, torn tendons begin by fraying. front view (left) and overhead view. Rotator Cuff Tear Supraspinatus.
From healthjade.net
Rotator cuff tear symptoms, causes, diagnosis, prognosis and treatment Rotator Cuff Tear Supraspinatus A supraspinatus tear often occurs from falling onto an outstretched arm, or from throwing activities. rotator cuff tears are a very common source of shoulder pain and decreased motion that can occur due to both traumatic injuries in young patients. Advances in surgical techniques for rotator cuff repair include less invasive procedures. It is one of the four rotator. Rotator Cuff Tear Supraspinatus.
From www.youtube.com
Shoulder MRI Supraspinatus Tear With Tendon Retraction YouTube Rotator Cuff Tear Supraspinatus Rotator cuff tear symptoms include: these four muscles (supraspinatus, infraspinatus, subscapularis, and teres minor) stabilize the. There are a few options for repairing rotator cuff tears. Advances in surgical techniques for rotator cuff repair include less invasive procedures. front view (left) and overhead view (right) of the tendons that form the rotator cuff. the supraspinatus muscle runs. Rotator Cuff Tear Supraspinatus.
From josephbermanmd.com
Rotator Cuff Tear Joint Preservation Center Rotator Cuff Tear Supraspinatus It is one of the four rotator cuff muscles. the supraspinatus muscle runs along the top of the scapula (shoulder blade) and inserts at the top of the arm on the humerus bone. rotator cuff tears are a very common source of shoulder pain and decreased motion that can occur due to both traumatic injuries in young patients.. Rotator Cuff Tear Supraspinatus.
From ar.inspiredpencil.com
Supraspinatus Tear Mri Rotator Cuff Tear Supraspinatus rotator cuff tears are a very common source of shoulder pain and decreased motion that can occur due to both traumatic injuries in young patients. What are the symptoms of a rotator cuff tear? Rotator cuff tear symptoms include: most tears occur in the supraspinatus tendon, but other parts of the rotator cuff may also be involved. . Rotator Cuff Tear Supraspinatus.
From laraphysiotherapy.com
The Rotator Cuff and How it gets Damaged Lara Physiotherapy Rotator Cuff Tear Supraspinatus It is one of the four rotator cuff muscles. these four muscles (supraspinatus, infraspinatus, subscapularis, and teres minor) stabilize the. Advances in surgical techniques for rotator cuff repair include less invasive procedures. What are the symptoms of a rotator cuff tear? most tears occur in the supraspinatus tendon, but other parts of the rotator cuff may also be. Rotator Cuff Tear Supraspinatus.
From www.mri.melbourne
mrishouldersupraspinatustendontear MRI at Melbourne Radiology Clinic Rotator Cuff Tear Supraspinatus rotator cuff tears are a very common source of shoulder pain and decreased motion that can occur due to both traumatic injuries in young patients. It is one of the four rotator cuff muscles. Advances in surgical techniques for rotator cuff repair include less invasive procedures. In many cases, torn tendons begin by fraying. A supraspinatus tear often occurs. Rotator Cuff Tear Supraspinatus.
From www.researchgate.net
Imaging features of supraspinatus rotator cuff tear. resonance... Download Scientific Rotator Cuff Tear Supraspinatus A supraspinatus tear often occurs from falling onto an outstretched arm, or from throwing activities. It is one of the four rotator cuff muscles. Rotator cuff tear symptoms include: In many cases, torn tendons begin by fraying. these four muscles (supraspinatus, infraspinatus, subscapularis, and teres minor) stabilize the. the supraspinatus muscle runs along the top of the scapula. Rotator Cuff Tear Supraspinatus.
From murdochorthopaedic.com.au
Mr Paul Jarrett Rotator Cuff Tears Murdoch Orthopaedic Clinic Rotator Cuff Tear Supraspinatus most tears occur in the supraspinatus tendon, but other parts of the rotator cuff may also be involved. Rotator cuff tear symptoms include: rotator cuff tears are a very common source of shoulder pain and decreased motion that can occur due to both traumatic injuries in young patients. There are a few options for repairing rotator cuff tears.. Rotator Cuff Tear Supraspinatus.
From ar.inspiredpencil.com
Supraspinatus Muscle Tear Rotator Cuff Tear Supraspinatus rotator cuff tears are a very common source of shoulder pain and decreased motion that can occur due to both traumatic injuries in young patients. There are a few options for repairing rotator cuff tears. these four muscles (supraspinatus, infraspinatus, subscapularis, and teres minor) stabilize the. the supraspinatus muscle runs along the top of the scapula (shoulder. Rotator Cuff Tear Supraspinatus.
From www.jeremyburnhammd.com
Rotator Cuff Tear Signs & Symptoms Jeremy Burnham, MD Rotator Cuff Tear Supraspinatus In many cases, torn tendons begin by fraying. most tears occur in the supraspinatus tendon, but other parts of the rotator cuff may also be involved. It is one of the four rotator cuff muscles. the supraspinatus muscle runs along the top of the scapula (shoulder blade) and inserts at the top of the arm on the humerus. Rotator Cuff Tear Supraspinatus.
From theultrasoundsite.co.uk
Short axis view of the Supraspinatus tendon demonstrating cortical change and hypoechoic Rotator Cuff Tear Supraspinatus There are a few options for repairing rotator cuff tears. the supraspinatus muscle runs along the top of the scapula (shoulder blade) and inserts at the top of the arm on the humerus bone. It is one of the four rotator cuff muscles. these four muscles (supraspinatus, infraspinatus, subscapularis, and teres minor) stabilize the. most tears occur. Rotator Cuff Tear Supraspinatus.
From www.pinterest.com
A Guide to Supraspinatus Tendon Tears (Rotator Cuff Injury) Supraspinatus tendon tear, Tendon Rotator Cuff Tear Supraspinatus Advances in surgical techniques for rotator cuff repair include less invasive procedures. front view (left) and overhead view (right) of the tendons that form the rotator cuff. In many cases, torn tendons begin by fraying. these four muscles (supraspinatus, infraspinatus, subscapularis, and teres minor) stabilize the. most tears occur in the supraspinatus tendon, but other parts of. Rotator Cuff Tear Supraspinatus.
From ar.inspiredpencil.com
Supraspinatus Tear Mri Rotator Cuff Tear Supraspinatus It is one of the four rotator cuff muscles. What are the symptoms of a rotator cuff tear? In many cases, torn tendons begin by fraying. A supraspinatus tear often occurs from falling onto an outstretched arm, or from throwing activities. Rotator cuff tear symptoms include: Advances in surgical techniques for rotator cuff repair include less invasive procedures. these. Rotator Cuff Tear Supraspinatus.
From orthoinfo.aaos.org
Rotator Cuff Tears OrthoInfo AAOS Rotator Cuff Tear Supraspinatus What are the symptoms of a rotator cuff tear? the supraspinatus muscle runs along the top of the scapula (shoulder blade) and inserts at the top of the arm on the humerus bone. most tears occur in the supraspinatus tendon, but other parts of the rotator cuff may also be involved. In many cases, torn tendons begin by. Rotator Cuff Tear Supraspinatus.
From www.verywellhealth.com
Rotator Cuff Muscles Supraspinatus, Infraspinatus Rotator Cuff Tear Supraspinatus front view (left) and overhead view (right) of the tendons that form the rotator cuff. rotator cuff tears are a very common source of shoulder pain and decreased motion that can occur due to both traumatic injuries in young patients. A supraspinatus tear often occurs from falling onto an outstretched arm, or from throwing activities. these four. Rotator Cuff Tear Supraspinatus.
From baseballsolution.com
Rotator Cuff Tear Symptoms, Treatment and Exercises Rotator Cuff Tear Supraspinatus rotator cuff tears are a very common source of shoulder pain and decreased motion that can occur due to both traumatic injuries in young patients. A supraspinatus tear often occurs from falling onto an outstretched arm, or from throwing activities. It is one of the four rotator cuff muscles. Rotator cuff tear symptoms include: most tears occur in. Rotator Cuff Tear Supraspinatus.
From complete-physio.co.uk
Rotator Cuff Tears Complete Physio Rotator Cuff Tear Supraspinatus What are the symptoms of a rotator cuff tear? There are a few options for repairing rotator cuff tears. these four muscles (supraspinatus, infraspinatus, subscapularis, and teres minor) stabilize the. most tears occur in the supraspinatus tendon, but other parts of the rotator cuff may also be involved. the supraspinatus muscle runs along the top of the. Rotator Cuff Tear Supraspinatus.
From cambridgeshoulder.co.uk
Rotator Cuff Disease Cambridge Shoulder Rotator Cuff Tear Supraspinatus rotator cuff tears are a very common source of shoulder pain and decreased motion that can occur due to both traumatic injuries in young patients. There are a few options for repairing rotator cuff tears. front view (left) and overhead view (right) of the tendons that form the rotator cuff. Rotator cuff tear symptoms include: What are the. Rotator Cuff Tear Supraspinatus.