Salivary Glands Flow Rate . Dentists may also measure the salivary flow rate using a sialometer. Stimulated saliva is produced in response to a mechanical, gustatory, olfactory, or pharmacological stimulus, contributing to. Technetium 99m pertechnetate (tpt) scans of the head and neck are a useful diagnostic tool for salivary glands pathologies. The average daily flow of whole saliva varies in health between 1 and 1.5 l. The average daily flow of whole saliva varies in health between 1 and 1.5 l. Percentage contributions of the different salivary glands. The most efficient combination of tests for the oral component of ss appears to be salivary gland scintigraphy plus saliva flow rate. The rate of salivary flow, xerostomia, and. Percentage contributions of the different salivary glands. An unstimulated salivary flow rate of 0.1 to 0.2 ml/min and a paraffin wax stimulated flow rate of 0.7 ml/min or less is considered to be abnormally low flow rates indicative of salivary gland hypofunction.
from www.researchgate.net
The average daily flow of whole saliva varies in health between 1 and 1.5 l. Stimulated saliva is produced in response to a mechanical, gustatory, olfactory, or pharmacological stimulus, contributing to. Technetium 99m pertechnetate (tpt) scans of the head and neck are a useful diagnostic tool for salivary glands pathologies. The most efficient combination of tests for the oral component of ss appears to be salivary gland scintigraphy plus saliva flow rate. The average daily flow of whole saliva varies in health between 1 and 1.5 l. Percentage contributions of the different salivary glands. Dentists may also measure the salivary flow rate using a sialometer. Percentage contributions of the different salivary glands. An unstimulated salivary flow rate of 0.1 to 0.2 ml/min and a paraffin wax stimulated flow rate of 0.7 ml/min or less is considered to be abnormally low flow rates indicative of salivary gland hypofunction. The rate of salivary flow, xerostomia, and.
Metformin improves the salivary flow rate and salivary gland
Salivary Glands Flow Rate Stimulated saliva is produced in response to a mechanical, gustatory, olfactory, or pharmacological stimulus, contributing to. An unstimulated salivary flow rate of 0.1 to 0.2 ml/min and a paraffin wax stimulated flow rate of 0.7 ml/min or less is considered to be abnormally low flow rates indicative of salivary gland hypofunction. The average daily flow of whole saliva varies in health between 1 and 1.5 l. Technetium 99m pertechnetate (tpt) scans of the head and neck are a useful diagnostic tool for salivary glands pathologies. The most efficient combination of tests for the oral component of ss appears to be salivary gland scintigraphy plus saliva flow rate. Percentage contributions of the different salivary glands. Stimulated saliva is produced in response to a mechanical, gustatory, olfactory, or pharmacological stimulus, contributing to. Dentists may also measure the salivary flow rate using a sialometer. The average daily flow of whole saliva varies in health between 1 and 1.5 l. The rate of salivary flow, xerostomia, and. Percentage contributions of the different salivary glands.
From www.slideserve.com
PPT XEROSTOMIA PowerPoint Presentation, free download ID5323429 Salivary Glands Flow Rate Dentists may also measure the salivary flow rate using a sialometer. An unstimulated salivary flow rate of 0.1 to 0.2 ml/min and a paraffin wax stimulated flow rate of 0.7 ml/min or less is considered to be abnormally low flow rates indicative of salivary gland hypofunction. The rate of salivary flow, xerostomia, and. The average daily flow of whole saliva. Salivary Glands Flow Rate.
From www.researchgate.net
Saliva flow contribution from salivary glands [191]. Download Salivary Glands Flow Rate The rate of salivary flow, xerostomia, and. The most efficient combination of tests for the oral component of ss appears to be salivary gland scintigraphy plus saliva flow rate. An unstimulated salivary flow rate of 0.1 to 0.2 ml/min and a paraffin wax stimulated flow rate of 0.7 ml/min or less is considered to be abnormally low flow rates indicative. Salivary Glands Flow Rate.
From www.researchgate.net
Morphological and functional changes in salivary glands after fucoidan Salivary Glands Flow Rate Technetium 99m pertechnetate (tpt) scans of the head and neck are a useful diagnostic tool for salivary glands pathologies. The average daily flow of whole saliva varies in health between 1 and 1.5 l. Percentage contributions of the different salivary glands. Percentage contributions of the different salivary glands. Dentists may also measure the salivary flow rate using a sialometer. Stimulated. Salivary Glands Flow Rate.
From www.slideserve.com
PPT Secretory Functions of the Alimentary Tract (Secretion of Saliva Salivary Glands Flow Rate Technetium 99m pertechnetate (tpt) scans of the head and neck are a useful diagnostic tool for salivary glands pathologies. The rate of salivary flow, xerostomia, and. Percentage contributions of the different salivary glands. Dentists may also measure the salivary flow rate using a sialometer. The average daily flow of whole saliva varies in health between 1 and 1.5 l. Percentage. Salivary Glands Flow Rate.
From www.jrheum.org
Are Salivary Gland Ultrasonography Scores Associated with Salivary Flow Salivary Glands Flow Rate Stimulated saliva is produced in response to a mechanical, gustatory, olfactory, or pharmacological stimulus, contributing to. The average daily flow of whole saliva varies in health between 1 and 1.5 l. Dentists may also measure the salivary flow rate using a sialometer. An unstimulated salivary flow rate of 0.1 to 0.2 ml/min and a paraffin wax stimulated flow rate of. Salivary Glands Flow Rate.
From www.researchgate.net
Stimulated salivary flow rate. Download Scientific Diagram Salivary Glands Flow Rate Technetium 99m pertechnetate (tpt) scans of the head and neck are a useful diagnostic tool for salivary glands pathologies. Stimulated saliva is produced in response to a mechanical, gustatory, olfactory, or pharmacological stimulus, contributing to. The most efficient combination of tests for the oral component of ss appears to be salivary gland scintigraphy plus saliva flow rate. Dentists may also. Salivary Glands Flow Rate.
From www.researchgate.net
Preserved salivary flow rates in irradiated parotid glands pretreated Salivary Glands Flow Rate Technetium 99m pertechnetate (tpt) scans of the head and neck are a useful diagnostic tool for salivary glands pathologies. The average daily flow of whole saliva varies in health between 1 and 1.5 l. The most efficient combination of tests for the oral component of ss appears to be salivary gland scintigraphy plus saliva flow rate. The rate of salivary. Salivary Glands Flow Rate.
From www.entinfo.nz
Saliva gland structure and function ENT Info Salivary Glands Flow Rate The most efficient combination of tests for the oral component of ss appears to be salivary gland scintigraphy plus saliva flow rate. The average daily flow of whole saliva varies in health between 1 and 1.5 l. The rate of salivary flow, xerostomia, and. An unstimulated salivary flow rate of 0.1 to 0.2 ml/min and a paraffin wax stimulated flow. Salivary Glands Flow Rate.
From www.researchgate.net
Effects of TP on salivary flow rate, salivary gland index, and spleen Salivary Glands Flow Rate The rate of salivary flow, xerostomia, and. Technetium 99m pertechnetate (tpt) scans of the head and neck are a useful diagnostic tool for salivary glands pathologies. The most efficient combination of tests for the oral component of ss appears to be salivary gland scintigraphy plus saliva flow rate. The average daily flow of whole saliva varies in health between 1. Salivary Glands Flow Rate.
From vdocuments.mx
Salivary gland 99mTcscintigraphy A grading scale and correlation with Salivary Glands Flow Rate Percentage contributions of the different salivary glands. Stimulated saliva is produced in response to a mechanical, gustatory, olfactory, or pharmacological stimulus, contributing to. Percentage contributions of the different salivary glands. The most efficient combination of tests for the oral component of ss appears to be salivary gland scintigraphy plus saliva flow rate. An unstimulated salivary flow rate of 0.1 to. Salivary Glands Flow Rate.
From www.researchgate.net
(PDF) Use of saliva flow rate measurement in minor salivary glands Salivary Glands Flow Rate Technetium 99m pertechnetate (tpt) scans of the head and neck are a useful diagnostic tool for salivary glands pathologies. The average daily flow of whole saliva varies in health between 1 and 1.5 l. The average daily flow of whole saliva varies in health between 1 and 1.5 l. The rate of salivary flow, xerostomia, and. Stimulated saliva is produced. Salivary Glands Flow Rate.
From pocketdentistry.com
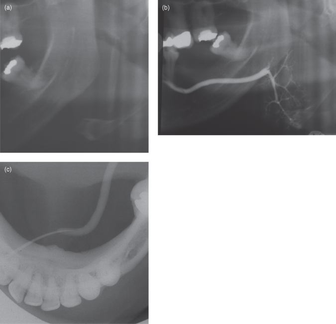
13 Imaging of the salivary glands Pocket Dentistry Salivary Glands Flow Rate Technetium 99m pertechnetate (tpt) scans of the head and neck are a useful diagnostic tool for salivary glands pathologies. The most efficient combination of tests for the oral component of ss appears to be salivary gland scintigraphy plus saliva flow rate. The rate of salivary flow, xerostomia, and. An unstimulated salivary flow rate of 0.1 to 0.2 ml/min and a. Salivary Glands Flow Rate.
From www.researchgate.net
Salivary and blood fl ow rates, gland weight and morphology in parotid Salivary Glands Flow Rate An unstimulated salivary flow rate of 0.1 to 0.2 ml/min and a paraffin wax stimulated flow rate of 0.7 ml/min or less is considered to be abnormally low flow rates indicative of salivary gland hypofunction. Technetium 99m pertechnetate (tpt) scans of the head and neck are a useful diagnostic tool for salivary glands pathologies. The average daily flow of whole. Salivary Glands Flow Rate.
From www.researchgate.net
Measurement of the salivary flow rate in BALB/c and NOD mice. Salivary Salivary Glands Flow Rate The average daily flow of whole saliva varies in health between 1 and 1.5 l. The rate of salivary flow, xerostomia, and. Technetium 99m pertechnetate (tpt) scans of the head and neck are a useful diagnostic tool for salivary glands pathologies. Stimulated saliva is produced in response to a mechanical, gustatory, olfactory, or pharmacological stimulus, contributing to. Percentage contributions of. Salivary Glands Flow Rate.
From www.researchgate.net
Comparison of salivary flow rate and submandibular gland weight ratio Salivary Glands Flow Rate Percentage contributions of the different salivary glands. The average daily flow of whole saliva varies in health between 1 and 1.5 l. The most efficient combination of tests for the oral component of ss appears to be salivary gland scintigraphy plus saliva flow rate. Stimulated saliva is produced in response to a mechanical, gustatory, olfactory, or pharmacological stimulus, contributing to.. Salivary Glands Flow Rate.
From www.researchgate.net
(PDF) Assessment of salivary flow rate in the parotid gland among Salivary Glands Flow Rate Technetium 99m pertechnetate (tpt) scans of the head and neck are a useful diagnostic tool for salivary glands pathologies. The rate of salivary flow, xerostomia, and. Percentage contributions of the different salivary glands. The average daily flow of whole saliva varies in health between 1 and 1.5 l. The average daily flow of whole saliva varies in health between 1. Salivary Glands Flow Rate.
From www.dentalnotebook.com
Saliva Classification and Composition dentalnotebook Salivary Glands Flow Rate Percentage contributions of the different salivary glands. Dentists may also measure the salivary flow rate using a sialometer. The average daily flow of whole saliva varies in health between 1 and 1.5 l. Percentage contributions of the different salivary glands. Stimulated saliva is produced in response to a mechanical, gustatory, olfactory, or pharmacological stimulus, contributing to. The average daily flow. Salivary Glands Flow Rate.
From www.researchgate.net
Saliva flow contribution from salivary glands [191]. Download Salivary Glands Flow Rate Technetium 99m pertechnetate (tpt) scans of the head and neck are a useful diagnostic tool for salivary glands pathologies. The most efficient combination of tests for the oral component of ss appears to be salivary gland scintigraphy plus saliva flow rate. Dentists may also measure the salivary flow rate using a sialometer. Percentage contributions of the different salivary glands. The. Salivary Glands Flow Rate.
From www.researchgate.net
Low dose of IL2 sustains salivary flow rate and improves salivary Salivary Glands Flow Rate Technetium 99m pertechnetate (tpt) scans of the head and neck are a useful diagnostic tool for salivary glands pathologies. Dentists may also measure the salivary flow rate using a sialometer. Stimulated saliva is produced in response to a mechanical, gustatory, olfactory, or pharmacological stimulus, contributing to. The rate of salivary flow, xerostomia, and. The average daily flow of whole saliva. Salivary Glands Flow Rate.
From loeaocewi.blob.core.windows.net
Saliva Flow Rate Exercise at Paul Reichel blog Salivary Glands Flow Rate The most efficient combination of tests for the oral component of ss appears to be salivary gland scintigraphy plus saliva flow rate. Technetium 99m pertechnetate (tpt) scans of the head and neck are a useful diagnostic tool for salivary glands pathologies. The average daily flow of whole saliva varies in health between 1 and 1.5 l. The rate of salivary. Salivary Glands Flow Rate.
From ostrowon.usc.edu
How to Perform a Salivary Gland and Salivary Flow Exam Salivary Glands Flow Rate Technetium 99m pertechnetate (tpt) scans of the head and neck are a useful diagnostic tool for salivary glands pathologies. An unstimulated salivary flow rate of 0.1 to 0.2 ml/min and a paraffin wax stimulated flow rate of 0.7 ml/min or less is considered to be abnormally low flow rates indicative of salivary gland hypofunction. Percentage contributions of the different salivary. Salivary Glands Flow Rate.
From www.slideserve.com
PPT Salivary Gland Disease PowerPoint Presentation ID3046876 Salivary Glands Flow Rate Percentage contributions of the different salivary glands. An unstimulated salivary flow rate of 0.1 to 0.2 ml/min and a paraffin wax stimulated flow rate of 0.7 ml/min or less is considered to be abnormally low flow rates indicative of salivary gland hypofunction. The rate of salivary flow, xerostomia, and. Percentage contributions of the different salivary glands. The average daily flow. Salivary Glands Flow Rate.
From www.researchgate.net
Effects of TP on salivary flow rate, salivary gland index, and spleen Salivary Glands Flow Rate Stimulated saliva is produced in response to a mechanical, gustatory, olfactory, or pharmacological stimulus, contributing to. The average daily flow of whole saliva varies in health between 1 and 1.5 l. The average daily flow of whole saliva varies in health between 1 and 1.5 l. Technetium 99m pertechnetate (tpt) scans of the head and neck are a useful diagnostic. Salivary Glands Flow Rate.
From www.intechopen.com
Secretions of Human Salivary Gland IntechOpen Salivary Glands Flow Rate The average daily flow of whole saliva varies in health between 1 and 1.5 l. The average daily flow of whole saliva varies in health between 1 and 1.5 l. Stimulated saliva is produced in response to a mechanical, gustatory, olfactory, or pharmacological stimulus, contributing to. An unstimulated salivary flow rate of 0.1 to 0.2 ml/min and a paraffin wax. Salivary Glands Flow Rate.
From www.researchgate.net
Preserved salivary flow rates in irradiated parotid glands pretreated Salivary Glands Flow Rate The most efficient combination of tests for the oral component of ss appears to be salivary gland scintigraphy plus saliva flow rate. Percentage contributions of the different salivary glands. Technetium 99m pertechnetate (tpt) scans of the head and neck are a useful diagnostic tool for salivary glands pathologies. Percentage contributions of the different salivary glands. The average daily flow of. Salivary Glands Flow Rate.
From www.researchgate.net
Salivary flow rates as determined by Saxon test in each grade of Salivary Glands Flow Rate Percentage contributions of the different salivary glands. Technetium 99m pertechnetate (tpt) scans of the head and neck are a useful diagnostic tool for salivary glands pathologies. The rate of salivary flow, xerostomia, and. An unstimulated salivary flow rate of 0.1 to 0.2 ml/min and a paraffin wax stimulated flow rate of 0.7 ml/min or less is considered to be abnormally. Salivary Glands Flow Rate.
From www.slideserve.com
PPT Salivary Gland Disease PowerPoint Presentation, free download Salivary Glands Flow Rate An unstimulated salivary flow rate of 0.1 to 0.2 ml/min and a paraffin wax stimulated flow rate of 0.7 ml/min or less is considered to be abnormally low flow rates indicative of salivary gland hypofunction. Percentage contributions of the different salivary glands. The most efficient combination of tests for the oral component of ss appears to be salivary gland scintigraphy. Salivary Glands Flow Rate.
From www.researchgate.net
Metformin improves the salivary flow rate and salivary gland Salivary Glands Flow Rate Stimulated saliva is produced in response to a mechanical, gustatory, olfactory, or pharmacological stimulus, contributing to. Dentists may also measure the salivary flow rate using a sialometer. The average daily flow of whole saliva varies in health between 1 and 1.5 l. The most efficient combination of tests for the oral component of ss appears to be salivary gland scintigraphy. Salivary Glands Flow Rate.
From www.researchgate.net
Mean and standard deviations of salivary flow rates. Blue... Download Salivary Glands Flow Rate Technetium 99m pertechnetate (tpt) scans of the head and neck are a useful diagnostic tool for salivary glands pathologies. Percentage contributions of the different salivary glands. The rate of salivary flow, xerostomia, and. The average daily flow of whole saliva varies in health between 1 and 1.5 l. Stimulated saliva is produced in response to a mechanical, gustatory, olfactory, or. Salivary Glands Flow Rate.
From drawittoknowit.com
MCAT Biology & Biochemistry Salivary Glands Draw It to Know It Salivary Glands Flow Rate Percentage contributions of the different salivary glands. The average daily flow of whole saliva varies in health between 1 and 1.5 l. Percentage contributions of the different salivary glands. Stimulated saliva is produced in response to a mechanical, gustatory, olfactory, or pharmacological stimulus, contributing to. Dentists may also measure the salivary flow rate using a sialometer. The rate of salivary. Salivary Glands Flow Rate.
From doctorlib.info
The Cephalic, Oral, and Esophageal Phases of the Integrated Response to Salivary Glands Flow Rate Dentists may also measure the salivary flow rate using a sialometer. Technetium 99m pertechnetate (tpt) scans of the head and neck are a useful diagnostic tool for salivary glands pathologies. Percentage contributions of the different salivary glands. The rate of salivary flow, xerostomia, and. The most efficient combination of tests for the oral component of ss appears to be salivary. Salivary Glands Flow Rate.
From www.slideserve.com
PPT Salivary Gland Disease PowerPoint Presentation, free download Salivary Glands Flow Rate Technetium 99m pertechnetate (tpt) scans of the head and neck are a useful diagnostic tool for salivary glands pathologies. The most efficient combination of tests for the oral component of ss appears to be salivary gland scintigraphy plus saliva flow rate. Stimulated saliva is produced in response to a mechanical, gustatory, olfactory, or pharmacological stimulus, contributing to. An unstimulated salivary. Salivary Glands Flow Rate.
From www.semanticscholar.org
Figure 1 from Comparison of stimulated parotid salivary gland flow Salivary Glands Flow Rate The average daily flow of whole saliva varies in health between 1 and 1.5 l. Stimulated saliva is produced in response to a mechanical, gustatory, olfactory, or pharmacological stimulus, contributing to. The most efficient combination of tests for the oral component of ss appears to be salivary gland scintigraphy plus saliva flow rate. The average daily flow of whole saliva. Salivary Glands Flow Rate.
From www.macmillan.org.uk
Salivary gland cancer Macmillan Cancer Support Salivary Glands Flow Rate An unstimulated salivary flow rate of 0.1 to 0.2 ml/min and a paraffin wax stimulated flow rate of 0.7 ml/min or less is considered to be abnormally low flow rates indicative of salivary gland hypofunction. Technetium 99m pertechnetate (tpt) scans of the head and neck are a useful diagnostic tool for salivary glands pathologies. The rate of salivary flow, xerostomia,. Salivary Glands Flow Rate.
From www.slideserve.com
PPT XEROSTOMIA PowerPoint Presentation ID757540 Salivary Glands Flow Rate The average daily flow of whole saliva varies in health between 1 and 1.5 l. Stimulated saliva is produced in response to a mechanical, gustatory, olfactory, or pharmacological stimulus, contributing to. Percentage contributions of the different salivary glands. The most efficient combination of tests for the oral component of ss appears to be salivary gland scintigraphy plus saliva flow rate.. Salivary Glands Flow Rate.