Red Light Therapy Ulcerative Colitis . ulcerative colitis (uc) is a chronic and progressive inflammatory disorder that affects the colon. researchers are exploring the use of uv light to alter the gut microbiome and treat mild ulcerative colitis. phase ii results suggest targeted therapy is effective for moderate to severe ulcerative colitis. Ulcerative colitis (uc) is an inflammatory disease of the large intestine.
from
ulcerative colitis (uc) is a chronic and progressive inflammatory disorder that affects the colon. Ulcerative colitis (uc) is an inflammatory disease of the large intestine. researchers are exploring the use of uv light to alter the gut microbiome and treat mild ulcerative colitis. phase ii results suggest targeted therapy is effective for moderate to severe ulcerative colitis.
Red Light Therapy Ulcerative Colitis ulcerative colitis (uc) is a chronic and progressive inflammatory disorder that affects the colon. researchers are exploring the use of uv light to alter the gut microbiome and treat mild ulcerative colitis. Ulcerative colitis (uc) is an inflammatory disease of the large intestine. phase ii results suggest targeted therapy is effective for moderate to severe ulcerative colitis. ulcerative colitis (uc) is a chronic and progressive inflammatory disorder that affects the colon.
From medicolearning.com
Ulcerative Colitis MedicoLearning Red Light Therapy Ulcerative Colitis ulcerative colitis (uc) is a chronic and progressive inflammatory disorder that affects the colon. Ulcerative colitis (uc) is an inflammatory disease of the large intestine. phase ii results suggest targeted therapy is effective for moderate to severe ulcerative colitis. researchers are exploring the use of uv light to alter the gut microbiome and treat mild ulcerative colitis. Red Light Therapy Ulcerative Colitis.
From
Red Light Therapy Ulcerative Colitis Ulcerative colitis (uc) is an inflammatory disease of the large intestine. ulcerative colitis (uc) is a chronic and progressive inflammatory disorder that affects the colon. researchers are exploring the use of uv light to alter the gut microbiome and treat mild ulcerative colitis. phase ii results suggest targeted therapy is effective for moderate to severe ulcerative colitis. Red Light Therapy Ulcerative Colitis.
From
Red Light Therapy Ulcerative Colitis researchers are exploring the use of uv light to alter the gut microbiome and treat mild ulcerative colitis. Ulcerative colitis (uc) is an inflammatory disease of the large intestine. ulcerative colitis (uc) is a chronic and progressive inflammatory disorder that affects the colon. phase ii results suggest targeted therapy is effective for moderate to severe ulcerative colitis. Red Light Therapy Ulcerative Colitis.
From ibsguthealthclinic.co.uk
How is Ulcerative Colitis Diagnosed? The IBS & Gut Health Clinic Red Light Therapy Ulcerative Colitis Ulcerative colitis (uc) is an inflammatory disease of the large intestine. ulcerative colitis (uc) is a chronic and progressive inflammatory disorder that affects the colon. phase ii results suggest targeted therapy is effective for moderate to severe ulcerative colitis. researchers are exploring the use of uv light to alter the gut microbiome and treat mild ulcerative colitis. Red Light Therapy Ulcerative Colitis.
From
Red Light Therapy Ulcerative Colitis researchers are exploring the use of uv light to alter the gut microbiome and treat mild ulcerative colitis. ulcerative colitis (uc) is a chronic and progressive inflammatory disorder that affects the colon. phase ii results suggest targeted therapy is effective for moderate to severe ulcerative colitis. Ulcerative colitis (uc) is an inflammatory disease of the large intestine. Red Light Therapy Ulcerative Colitis.
From www.reviveresearch.org
Ulcerative Colitis Clinical Trials Ulcerative colitis treatment Red Light Therapy Ulcerative Colitis researchers are exploring the use of uv light to alter the gut microbiome and treat mild ulcerative colitis. phase ii results suggest targeted therapy is effective for moderate to severe ulcerative colitis. Ulcerative colitis (uc) is an inflammatory disease of the large intestine. ulcerative colitis (uc) is a chronic and progressive inflammatory disorder that affects the colon. Red Light Therapy Ulcerative Colitis.
From
Red Light Therapy Ulcerative Colitis researchers are exploring the use of uv light to alter the gut microbiome and treat mild ulcerative colitis. ulcerative colitis (uc) is a chronic and progressive inflammatory disorder that affects the colon. phase ii results suggest targeted therapy is effective for moderate to severe ulcerative colitis. Ulcerative colitis (uc) is an inflammatory disease of the large intestine. Red Light Therapy Ulcerative Colitis.
From www.reddotled.com
YD002 Led Red Light Therapy Kneelet for Arthritis RedDot LED Red Light Therapy Ulcerative Colitis phase ii results suggest targeted therapy is effective for moderate to severe ulcerative colitis. researchers are exploring the use of uv light to alter the gut microbiome and treat mild ulcerative colitis. ulcerative colitis (uc) is a chronic and progressive inflammatory disorder that affects the colon. Ulcerative colitis (uc) is an inflammatory disease of the large intestine. Red Light Therapy Ulcerative Colitis.
From www.scientificanimations.com
Ulcerative Colitis Causes & Treatment depicted using 3D medical aniamion Red Light Therapy Ulcerative Colitis Ulcerative colitis (uc) is an inflammatory disease of the large intestine. ulcerative colitis (uc) is a chronic and progressive inflammatory disorder that affects the colon. phase ii results suggest targeted therapy is effective for moderate to severe ulcerative colitis. researchers are exploring the use of uv light to alter the gut microbiome and treat mild ulcerative colitis. Red Light Therapy Ulcerative Colitis.
From www.cureus.com
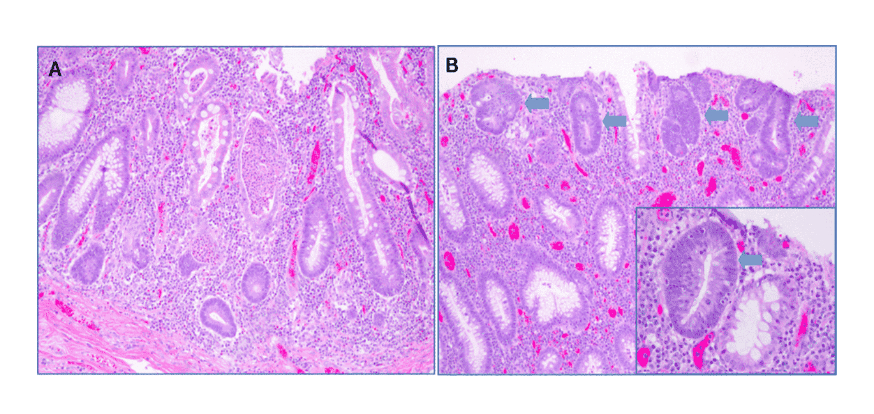
Cureus Refractory Fulminant Colitis Requiring Surgical Intervention Red Light Therapy Ulcerative Colitis researchers are exploring the use of uv light to alter the gut microbiome and treat mild ulcerative colitis. phase ii results suggest targeted therapy is effective for moderate to severe ulcerative colitis. Ulcerative colitis (uc) is an inflammatory disease of the large intestine. ulcerative colitis (uc) is a chronic and progressive inflammatory disorder that affects the colon. Red Light Therapy Ulcerative Colitis.
From www.spinalcorrectivecenter.com
Red Light Therapy SCC Chiropractic & Vitality Studio Red Light Therapy Ulcerative Colitis ulcerative colitis (uc) is a chronic and progressive inflammatory disorder that affects the colon. Ulcerative colitis (uc) is an inflammatory disease of the large intestine. phase ii results suggest targeted therapy is effective for moderate to severe ulcerative colitis. researchers are exploring the use of uv light to alter the gut microbiome and treat mild ulcerative colitis. Red Light Therapy Ulcerative Colitis.
From matsusurgical.com
Ulcerative Colitis » Palmer General Surgeon MatSu Surgical Red Light Therapy Ulcerative Colitis Ulcerative colitis (uc) is an inflammatory disease of the large intestine. researchers are exploring the use of uv light to alter the gut microbiome and treat mild ulcerative colitis. phase ii results suggest targeted therapy is effective for moderate to severe ulcerative colitis. ulcerative colitis (uc) is a chronic and progressive inflammatory disorder that affects the colon. Red Light Therapy Ulcerative Colitis.
From exocdozgi.blob.core.windows.net
Does Red Light Therapy Work On Hair Loss at Melissa Angelo blog Red Light Therapy Ulcerative Colitis researchers are exploring the use of uv light to alter the gut microbiome and treat mild ulcerative colitis. ulcerative colitis (uc) is a chronic and progressive inflammatory disorder that affects the colon. phase ii results suggest targeted therapy is effective for moderate to severe ulcerative colitis. Ulcerative colitis (uc) is an inflammatory disease of the large intestine. Red Light Therapy Ulcerative Colitis.
From
Red Light Therapy Ulcerative Colitis Ulcerative colitis (uc) is an inflammatory disease of the large intestine. ulcerative colitis (uc) is a chronic and progressive inflammatory disorder that affects the colon. researchers are exploring the use of uv light to alter the gut microbiome and treat mild ulcerative colitis. phase ii results suggest targeted therapy is effective for moderate to severe ulcerative colitis. Red Light Therapy Ulcerative Colitis.
From www.positivehealthwellness.com
Definitive Guide to Red Light Therapy and Benefits Positive Health Red Light Therapy Ulcerative Colitis researchers are exploring the use of uv light to alter the gut microbiome and treat mild ulcerative colitis. Ulcerative colitis (uc) is an inflammatory disease of the large intestine. phase ii results suggest targeted therapy is effective for moderate to severe ulcerative colitis. ulcerative colitis (uc) is a chronic and progressive inflammatory disorder that affects the colon. Red Light Therapy Ulcerative Colitis.
From totalfusion.com.au
Red Light Therapy TotalFusion Red Light Therapy Ulcerative Colitis ulcerative colitis (uc) is a chronic and progressive inflammatory disorder that affects the colon. researchers are exploring the use of uv light to alter the gut microbiome and treat mild ulcerative colitis. Ulcerative colitis (uc) is an inflammatory disease of the large intestine. phase ii results suggest targeted therapy is effective for moderate to severe ulcerative colitis. Red Light Therapy Ulcerative Colitis.
From
Red Light Therapy Ulcerative Colitis researchers are exploring the use of uv light to alter the gut microbiome and treat mild ulcerative colitis. ulcerative colitis (uc) is a chronic and progressive inflammatory disorder that affects the colon. phase ii results suggest targeted therapy is effective for moderate to severe ulcerative colitis. Ulcerative colitis (uc) is an inflammatory disease of the large intestine. Red Light Therapy Ulcerative Colitis.
From
Red Light Therapy Ulcerative Colitis ulcerative colitis (uc) is a chronic and progressive inflammatory disorder that affects the colon. Ulcerative colitis (uc) is an inflammatory disease of the large intestine. phase ii results suggest targeted therapy is effective for moderate to severe ulcerative colitis. researchers are exploring the use of uv light to alter the gut microbiome and treat mild ulcerative colitis. Red Light Therapy Ulcerative Colitis.
From
Red Light Therapy Ulcerative Colitis researchers are exploring the use of uv light to alter the gut microbiome and treat mild ulcerative colitis. Ulcerative colitis (uc) is an inflammatory disease of the large intestine. ulcerative colitis (uc) is a chronic and progressive inflammatory disorder that affects the colon. phase ii results suggest targeted therapy is effective for moderate to severe ulcerative colitis. Red Light Therapy Ulcerative Colitis.
From
Red Light Therapy Ulcerative Colitis researchers are exploring the use of uv light to alter the gut microbiome and treat mild ulcerative colitis. Ulcerative colitis (uc) is an inflammatory disease of the large intestine. ulcerative colitis (uc) is a chronic and progressive inflammatory disorder that affects the colon. phase ii results suggest targeted therapy is effective for moderate to severe ulcerative colitis. Red Light Therapy Ulcerative Colitis.
From www.pinterest.ph
Red Light Therapy Benefits, Light Therapy Skin, Blue Light Therapy Red Light Therapy Ulcerative Colitis Ulcerative colitis (uc) is an inflammatory disease of the large intestine. researchers are exploring the use of uv light to alter the gut microbiome and treat mild ulcerative colitis. phase ii results suggest targeted therapy is effective for moderate to severe ulcerative colitis. ulcerative colitis (uc) is a chronic and progressive inflammatory disorder that affects the colon. Red Light Therapy Ulcerative Colitis.
From
Red Light Therapy Ulcerative Colitis Ulcerative colitis (uc) is an inflammatory disease of the large intestine. phase ii results suggest targeted therapy is effective for moderate to severe ulcerative colitis. ulcerative colitis (uc) is a chronic and progressive inflammatory disorder that affects the colon. researchers are exploring the use of uv light to alter the gut microbiome and treat mild ulcerative colitis. Red Light Therapy Ulcerative Colitis.
From www.cureus.com
Cureus Refractory Fulminant Colitis Requiring Surgical Intervention Red Light Therapy Ulcerative Colitis researchers are exploring the use of uv light to alter the gut microbiome and treat mild ulcerative colitis. phase ii results suggest targeted therapy is effective for moderate to severe ulcerative colitis. Ulcerative colitis (uc) is an inflammatory disease of the large intestine. ulcerative colitis (uc) is a chronic and progressive inflammatory disorder that affects the colon. Red Light Therapy Ulcerative Colitis.
From
Red Light Therapy Ulcerative Colitis ulcerative colitis (uc) is a chronic and progressive inflammatory disorder that affects the colon. Ulcerative colitis (uc) is an inflammatory disease of the large intestine. phase ii results suggest targeted therapy is effective for moderate to severe ulcerative colitis. researchers are exploring the use of uv light to alter the gut microbiome and treat mild ulcerative colitis. Red Light Therapy Ulcerative Colitis.
From careclinic.io
Ulcerative Colitis Skin Rash Red Light Therapy Ulcerative Colitis phase ii results suggest targeted therapy is effective for moderate to severe ulcerative colitis. researchers are exploring the use of uv light to alter the gut microbiome and treat mild ulcerative colitis. ulcerative colitis (uc) is a chronic and progressive inflammatory disorder that affects the colon. Ulcerative colitis (uc) is an inflammatory disease of the large intestine. Red Light Therapy Ulcerative Colitis.
From
Red Light Therapy Ulcerative Colitis researchers are exploring the use of uv light to alter the gut microbiome and treat mild ulcerative colitis. Ulcerative colitis (uc) is an inflammatory disease of the large intestine. ulcerative colitis (uc) is a chronic and progressive inflammatory disorder that affects the colon. phase ii results suggest targeted therapy is effective for moderate to severe ulcerative colitis. Red Light Therapy Ulcerative Colitis.
From
Red Light Therapy Ulcerative Colitis phase ii results suggest targeted therapy is effective for moderate to severe ulcerative colitis. ulcerative colitis (uc) is a chronic and progressive inflammatory disorder that affects the colon. researchers are exploring the use of uv light to alter the gut microbiome and treat mild ulcerative colitis. Ulcerative colitis (uc) is an inflammatory disease of the large intestine. Red Light Therapy Ulcerative Colitis.
From
Red Light Therapy Ulcerative Colitis Ulcerative colitis (uc) is an inflammatory disease of the large intestine. phase ii results suggest targeted therapy is effective for moderate to severe ulcerative colitis. ulcerative colitis (uc) is a chronic and progressive inflammatory disorder that affects the colon. researchers are exploring the use of uv light to alter the gut microbiome and treat mild ulcerative colitis. Red Light Therapy Ulcerative Colitis.
From
Red Light Therapy Ulcerative Colitis ulcerative colitis (uc) is a chronic and progressive inflammatory disorder that affects the colon. researchers are exploring the use of uv light to alter the gut microbiome and treat mild ulcerative colitis. Ulcerative colitis (uc) is an inflammatory disease of the large intestine. phase ii results suggest targeted therapy is effective for moderate to severe ulcerative colitis. Red Light Therapy Ulcerative Colitis.
From www.selfcareshop.com.au
Red Light Therapy Panel (Heavy Duty) Self Care Shop Red Light Therapy Ulcerative Colitis researchers are exploring the use of uv light to alter the gut microbiome and treat mild ulcerative colitis. ulcerative colitis (uc) is a chronic and progressive inflammatory disorder that affects the colon. Ulcerative colitis (uc) is an inflammatory disease of the large intestine. phase ii results suggest targeted therapy is effective for moderate to severe ulcerative colitis. Red Light Therapy Ulcerative Colitis.
From www.derma-care.dk
DermaCare Red Light Terapi Derma Care Red Light Therapy Ulcerative Colitis phase ii results suggest targeted therapy is effective for moderate to severe ulcerative colitis. researchers are exploring the use of uv light to alter the gut microbiome and treat mild ulcerative colitis. Ulcerative colitis (uc) is an inflammatory disease of the large intestine. ulcerative colitis (uc) is a chronic and progressive inflammatory disorder that affects the colon. Red Light Therapy Ulcerative Colitis.
From www.ideatherapy.com
CommercialRedLightTherapy Red Light Therapy Ulcerative Colitis Ulcerative colitis (uc) is an inflammatory disease of the large intestine. researchers are exploring the use of uv light to alter the gut microbiome and treat mild ulcerative colitis. ulcerative colitis (uc) is a chronic and progressive inflammatory disorder that affects the colon. phase ii results suggest targeted therapy is effective for moderate to severe ulcerative colitis. Red Light Therapy Ulcerative Colitis.
From www.apemedical.com.au
Ulcerative Colitis & Crohn's Disease Soft Laminate Australian Red Light Therapy Ulcerative Colitis phase ii results suggest targeted therapy is effective for moderate to severe ulcerative colitis. ulcerative colitis (uc) is a chronic and progressive inflammatory disorder that affects the colon. researchers are exploring the use of uv light to alter the gut microbiome and treat mild ulcerative colitis. Ulcerative colitis (uc) is an inflammatory disease of the large intestine. Red Light Therapy Ulcerative Colitis.
From
Red Light Therapy Ulcerative Colitis ulcerative colitis (uc) is a chronic and progressive inflammatory disorder that affects the colon. Ulcerative colitis (uc) is an inflammatory disease of the large intestine. phase ii results suggest targeted therapy is effective for moderate to severe ulcerative colitis. researchers are exploring the use of uv light to alter the gut microbiome and treat mild ulcerative colitis. Red Light Therapy Ulcerative Colitis.
From
Red Light Therapy Ulcerative Colitis Ulcerative colitis (uc) is an inflammatory disease of the large intestine. researchers are exploring the use of uv light to alter the gut microbiome and treat mild ulcerative colitis. phase ii results suggest targeted therapy is effective for moderate to severe ulcerative colitis. ulcerative colitis (uc) is a chronic and progressive inflammatory disorder that affects the colon. Red Light Therapy Ulcerative Colitis.