What Can Go Wrong With Veneers . A porcelain veneer can only really fail completely in three ways: Why would a veneer need to be replaced? If you think you may have a medical emergency, immediately call your doctor or dial 911. Dental veneers can last from five to 15 years depending on the type of material used. Discover 6 reasons why you might need veneers, from tooth discoloration to misaligned teeth. In this article, we’ll explore these common mistakes and how to avoid them, ensuring that your veneers stay in top condition for as long as possible. But dental veneers are invasive medical prosthetics, and in many cases they alter patients’ teeth drastically and permanently. How can a veneer fail? From daily oral care routines to protecting your veneers from damage, we’ll cover everything you need to know to keep your beautiful smile looking its best. Dental veneers are thin coverings applied to teeth to improve the appearance of chipped, cracked, discolored, gapped or misshapen teeth. Veneers are a wonderful service that can have a significant impact on our patients’ smiles and self esteem, and can even be a life.
from www.faceliftdentistry.com
Why would a veneer need to be replaced? How can a veneer fail? If you think you may have a medical emergency, immediately call your doctor or dial 911. In this article, we’ll explore these common mistakes and how to avoid them, ensuring that your veneers stay in top condition for as long as possible. A porcelain veneer can only really fail completely in three ways: Dental veneers can last from five to 15 years depending on the type of material used. From daily oral care routines to protecting your veneers from damage, we’ll cover everything you need to know to keep your beautiful smile looking its best. Dental veneers are thin coverings applied to teeth to improve the appearance of chipped, cracked, discolored, gapped or misshapen teeth. Veneers are a wonderful service that can have a significant impact on our patients’ smiles and self esteem, and can even be a life. But dental veneers are invasive medical prosthetics, and in many cases they alter patients’ teeth drastically and permanently.
Bad Veneers FakeLooking and Ugly Porcelain Veneers
What Can Go Wrong With Veneers How can a veneer fail? From daily oral care routines to protecting your veneers from damage, we’ll cover everything you need to know to keep your beautiful smile looking its best. But dental veneers are invasive medical prosthetics, and in many cases they alter patients’ teeth drastically and permanently. Veneers are a wonderful service that can have a significant impact on our patients’ smiles and self esteem, and can even be a life. Dental veneers can last from five to 15 years depending on the type of material used. Discover 6 reasons why you might need veneers, from tooth discoloration to misaligned teeth. Why would a veneer need to be replaced? How can a veneer fail? In this article, we’ll explore these common mistakes and how to avoid them, ensuring that your veneers stay in top condition for as long as possible. A porcelain veneer can only really fail completely in three ways: Dental veneers are thin coverings applied to teeth to improve the appearance of chipped, cracked, discolored, gapped or misshapen teeth. If you think you may have a medical emergency, immediately call your doctor or dial 911.
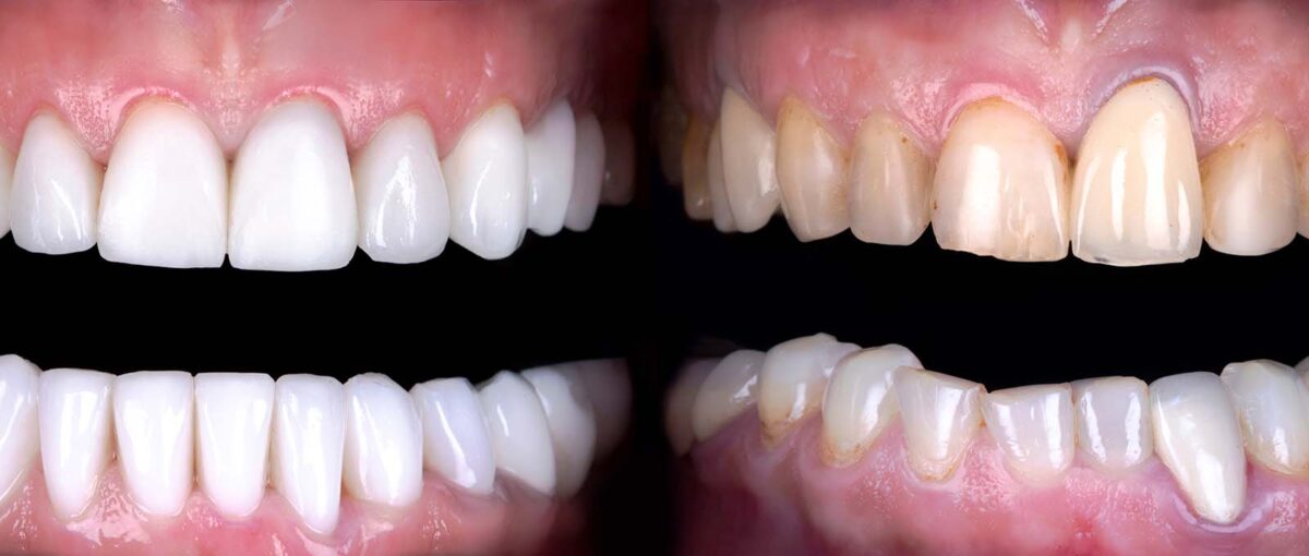
From balidentalvoyage.com
6 Signs of Bad Veneers Veneers Gone Wrong Bali Dental Voyage What Can Go Wrong With Veneers In this article, we’ll explore these common mistakes and how to avoid them, ensuring that your veneers stay in top condition for as long as possible. Dental veneers can last from five to 15 years depending on the type of material used. Veneers are a wonderful service that can have a significant impact on our patients’ smiles and self esteem,. What Can Go Wrong With Veneers.
From gorbatovdentistry.com
Veneers and the 10 most common mistakes Gorbatov Dentistry Your What Can Go Wrong With Veneers Discover 6 reasons why you might need veneers, from tooth discoloration to misaligned teeth. If you think you may have a medical emergency, immediately call your doctor or dial 911. From daily oral care routines to protecting your veneers from damage, we’ll cover everything you need to know to keep your beautiful smile looking its best. How can a veneer. What Can Go Wrong With Veneers.
From southlanddentalcare.com
When Porcelain Veneers Go Wrong Understanding and Solutions What Can Go Wrong With Veneers Dental veneers are thin coverings applied to teeth to improve the appearance of chipped, cracked, discolored, gapped or misshapen teeth. A porcelain veneer can only really fail completely in three ways: Discover 6 reasons why you might need veneers, from tooth discoloration to misaligned teeth. Dental veneers can last from five to 15 years depending on the type of material. What Can Go Wrong With Veneers.
From www.totalcaredental.com
What Are Veneers? Total Care Dental Holistic Dentistry What Can Go Wrong With Veneers Veneers are a wonderful service that can have a significant impact on our patients’ smiles and self esteem, and can even be a life. A porcelain veneer can only really fail completely in three ways: Dental veneers can last from five to 15 years depending on the type of material used. Why would a veneer need to be replaced? How. What Can Go Wrong With Veneers.
From www.trudentistryaustin.com
Can Veneers damage Your Teeth? What Can Go Wrong With Veneers If you think you may have a medical emergency, immediately call your doctor or dial 911. But dental veneers are invasive medical prosthetics, and in many cases they alter patients’ teeth drastically and permanently. How can a veneer fail? In this article, we’ll explore these common mistakes and how to avoid them, ensuring that your veneers stay in top condition. What Can Go Wrong With Veneers.
From dallascosmeticdental.com
5 Things That Could Go Wrong With Dental Veneers What Can Go Wrong With Veneers Discover 6 reasons why you might need veneers, from tooth discoloration to misaligned teeth. How can a veneer fail? From daily oral care routines to protecting your veneers from damage, we’ll cover everything you need to know to keep your beautiful smile looking its best. Veneers are a wonderful service that can have a significant impact on our patients’ smiles. What Can Go Wrong With Veneers.
From www.keep28.com
Cosmetic Dental Veneers What Could Possibly Go Wrong? Keep 28 Dental What Can Go Wrong With Veneers Veneers are a wonderful service that can have a significant impact on our patients’ smiles and self esteem, and can even be a life. In this article, we’ll explore these common mistakes and how to avoid them, ensuring that your veneers stay in top condition for as long as possible. Dental veneers can last from five to 15 years depending. What Can Go Wrong With Veneers.
From ar.inspiredpencil.com
Veneers Gone Wrong What Can Go Wrong With Veneers A porcelain veneer can only really fail completely in three ways: In this article, we’ll explore these common mistakes and how to avoid them, ensuring that your veneers stay in top condition for as long as possible. Discover 6 reasons why you might need veneers, from tooth discoloration to misaligned teeth. Dental veneers can last from five to 15 years. What Can Go Wrong With Veneers.
From www.soladentalspa.com
Porcelain Veneers Gone Wrong, what to do? Sola Dental Spa What Can Go Wrong With Veneers How can a veneer fail? Discover 6 reasons why you might need veneers, from tooth discoloration to misaligned teeth. In this article, we’ll explore these common mistakes and how to avoid them, ensuring that your veneers stay in top condition for as long as possible. Veneers are a wonderful service that can have a significant impact on our patients’ smiles. What Can Go Wrong With Veneers.
From signaturedentistry.com.au
The Complete Guide to Getting Veneers [Updated for 2020] What Can Go Wrong With Veneers Dental veneers can last from five to 15 years depending on the type of material used. Why would a veneer need to be replaced? Discover 6 reasons why you might need veneers, from tooth discoloration to misaligned teeth. If you think you may have a medical emergency, immediately call your doctor or dial 911. From daily oral care routines to. What Can Go Wrong With Veneers.
From www.faceliftdentistry.com
Bad Veneers What Can Go Wrong With Veneers If you think you may have a medical emergency, immediately call your doctor or dial 911. A porcelain veneer can only really fail completely in three ways: Discover 6 reasons why you might need veneers, from tooth discoloration to misaligned teeth. But dental veneers are invasive medical prosthetics, and in many cases they alter patients’ teeth drastically and permanently. Dental. What Can Go Wrong With Veneers.
From ar.inspiredpencil.com
Veneers Gone Wrong What Can Go Wrong With Veneers Dental veneers can last from five to 15 years depending on the type of material used. Discover 6 reasons why you might need veneers, from tooth discoloration to misaligned teeth. In this article, we’ll explore these common mistakes and how to avoid them, ensuring that your veneers stay in top condition for as long as possible. But dental veneers are. What Can Go Wrong With Veneers.
From telegra.ph
oralveneersoverviewfor2020 Telegraph What Can Go Wrong With Veneers A porcelain veneer can only really fail completely in three ways: Discover 6 reasons why you might need veneers, from tooth discoloration to misaligned teeth. How can a veneer fail? Dental veneers can last from five to 15 years depending on the type of material used. Dental veneers are thin coverings applied to teeth to improve the appearance of chipped,. What Can Go Wrong With Veneers.
From harleystreetsmileclinic.co.uk
Veneers in Turkey? Is It Worth The Risk? Harley Street Smile Clinic What Can Go Wrong With Veneers How can a veneer fail? Dental veneers are thin coverings applied to teeth to improve the appearance of chipped, cracked, discolored, gapped or misshapen teeth. A porcelain veneer can only really fail completely in three ways: But dental veneers are invasive medical prosthetics, and in many cases they alter patients’ teeth drastically and permanently. From daily oral care routines to. What Can Go Wrong With Veneers.
From milled.com
instasmile Hey —, Traditional Veneers, What Can Go Wrong? 🤕 Milled What Can Go Wrong With Veneers Discover 6 reasons why you might need veneers, from tooth discoloration to misaligned teeth. But dental veneers are invasive medical prosthetics, and in many cases they alter patients’ teeth drastically and permanently. A porcelain veneer can only really fail completely in three ways: Dental veneers can last from five to 15 years depending on the type of material used. From. What Can Go Wrong With Veneers.
From pinterest.com
Take a look at this before & after! Invisalign and veneers! Call to What Can Go Wrong With Veneers Why would a veneer need to be replaced? But dental veneers are invasive medical prosthetics, and in many cases they alter patients’ teeth drastically and permanently. Dental veneers can last from five to 15 years depending on the type of material used. Dental veneers are thin coverings applied to teeth to improve the appearance of chipped, cracked, discolored, gapped or. What Can Go Wrong With Veneers.
From www.faceliftdentistry.com
Bad Porcelain Veneers and a Bad Bite What Can Go Wrong With Veneers How can a veneer fail? Why would a veneer need to be replaced? A porcelain veneer can only really fail completely in three ways: If you think you may have a medical emergency, immediately call your doctor or dial 911. In this article, we’ll explore these common mistakes and how to avoid them, ensuring that your veneers stay in top. What Can Go Wrong With Veneers.
From balidentalvoyage.com
6 Signs of Bad Veneers Veneers Gone Wrong Bali Dental Voyage What Can Go Wrong With Veneers If you think you may have a medical emergency, immediately call your doctor or dial 911. But dental veneers are invasive medical prosthetics, and in many cases they alter patients’ teeth drastically and permanently. Veneers are a wonderful service that can have a significant impact on our patients’ smiles and self esteem, and can even be a life. A porcelain. What Can Go Wrong With Veneers.
From www.tucsonazdentistry.com
The Top Concern Patients Have About Dental Veneers Advanced Family What Can Go Wrong With Veneers Dental veneers are thin coverings applied to teeth to improve the appearance of chipped, cracked, discolored, gapped or misshapen teeth. A porcelain veneer can only really fail completely in three ways: From daily oral care routines to protecting your veneers from damage, we’ll cover everything you need to know to keep your beautiful smile looking its best. But dental veneers. What Can Go Wrong With Veneers.
From www.sachardental.com
Resin Bonding Veneers NYC Dr Sachar What Can Go Wrong With Veneers Discover 6 reasons why you might need veneers, from tooth discoloration to misaligned teeth. How can a veneer fail? If you think you may have a medical emergency, immediately call your doctor or dial 911. Veneers are a wonderful service that can have a significant impact on our patients’ smiles and self esteem, and can even be a life. Why. What Can Go Wrong With Veneers.
From www.zahnarzt-in-ungarn.ch
Veneers Schmerzen What Can Go Wrong With Veneers Discover 6 reasons why you might need veneers, from tooth discoloration to misaligned teeth. From daily oral care routines to protecting your veneers from damage, we’ll cover everything you need to know to keep your beautiful smile looking its best. How can a veneer fail? Why would a veneer need to be replaced? But dental veneers are invasive medical prosthetics,. What Can Go Wrong With Veneers.
From veneers2020.blogspot.com
Worst Veneers Ever veneers 2020 What Can Go Wrong With Veneers If you think you may have a medical emergency, immediately call your doctor or dial 911. In this article, we’ll explore these common mistakes and how to avoid them, ensuring that your veneers stay in top condition for as long as possible. But dental veneers are invasive medical prosthetics, and in many cases they alter patients’ teeth drastically and permanently.. What Can Go Wrong With Veneers.
From ar.inspiredpencil.com
Veneers Gone Wrong What Can Go Wrong With Veneers If you think you may have a medical emergency, immediately call your doctor or dial 911. How can a veneer fail? Dental veneers are thin coverings applied to teeth to improve the appearance of chipped, cracked, discolored, gapped or misshapen teeth. But dental veneers are invasive medical prosthetics, and in many cases they alter patients’ teeth drastically and permanently. Veneers. What Can Go Wrong With Veneers.
From hub.bookimed.com
Veneers in Turkey InDepth Guide for Patients What Can Go Wrong With Veneers Dental veneers are thin coverings applied to teeth to improve the appearance of chipped, cracked, discolored, gapped or misshapen teeth. Why would a veneer need to be replaced? But dental veneers are invasive medical prosthetics, and in many cases they alter patients’ teeth drastically and permanently. If you think you may have a medical emergency, immediately call your doctor or. What Can Go Wrong With Veneers.
From www.emergencydentalofamerica.com
Veneers Before & After Photos West Allis WI What Can Go Wrong With Veneers In this article, we’ll explore these common mistakes and how to avoid them, ensuring that your veneers stay in top condition for as long as possible. A porcelain veneer can only really fail completely in three ways: Veneers are a wonderful service that can have a significant impact on our patients’ smiles and self esteem, and can even be a. What Can Go Wrong With Veneers.
From ar.inspiredpencil.com
Veneers Gone Wrong What Can Go Wrong With Veneers How can a veneer fail? From daily oral care routines to protecting your veneers from damage, we’ll cover everything you need to know to keep your beautiful smile looking its best. A porcelain veneer can only really fail completely in three ways: But dental veneers are invasive medical prosthetics, and in many cases they alter patients’ teeth drastically and permanently.. What Can Go Wrong With Veneers.
From www.cignodental.com
Dental Veneers in Greenfield, WI Cigno Family Dental What Can Go Wrong With Veneers How can a veneer fail? Veneers are a wonderful service that can have a significant impact on our patients’ smiles and self esteem, and can even be a life. From daily oral care routines to protecting your veneers from damage, we’ll cover everything you need to know to keep your beautiful smile looking its best. Discover 6 reasons why you. What Can Go Wrong With Veneers.
From ar.inspiredpencil.com
Veneers Gone Wrong What Can Go Wrong With Veneers Why would a veneer need to be replaced? From daily oral care routines to protecting your veneers from damage, we’ll cover everything you need to know to keep your beautiful smile looking its best. Discover 6 reasons why you might need veneers, from tooth discoloration to misaligned teeth. How can a veneer fail? If you think you may have a. What Can Go Wrong With Veneers.
From www.faceliftdentistry.com
Bad Veneers FakeLooking and Ugly Porcelain Veneers What Can Go Wrong With Veneers Veneers are a wonderful service that can have a significant impact on our patients’ smiles and self esteem, and can even be a life. From daily oral care routines to protecting your veneers from damage, we’ll cover everything you need to know to keep your beautiful smile looking its best. A porcelain veneer can only really fail completely in three. What Can Go Wrong With Veneers.
From ar.inspiredpencil.com
Veneers Gone Wrong What Can Go Wrong With Veneers But dental veneers are invasive medical prosthetics, and in many cases they alter patients’ teeth drastically and permanently. Why would a veneer need to be replaced? Dental veneers can last from five to 15 years depending on the type of material used. Discover 6 reasons why you might need veneers, from tooth discoloration to misaligned teeth. From daily oral care. What Can Go Wrong With Veneers.
From even28.com
Porcelain Veneers Even28 Dentist Search Engine What Can Go Wrong With Veneers A porcelain veneer can only really fail completely in three ways: If you think you may have a medical emergency, immediately call your doctor or dial 911. From daily oral care routines to protecting your veneers from damage, we’ll cover everything you need to know to keep your beautiful smile looking its best. But dental veneers are invasive medical prosthetics,. What Can Go Wrong With Veneers.
From longevitylive.com
Dental Veneers Make You Look Younger So What Can Go Wrong? Longevity LIVE What Can Go Wrong With Veneers But dental veneers are invasive medical prosthetics, and in many cases they alter patients’ teeth drastically and permanently. From daily oral care routines to protecting your veneers from damage, we’ll cover everything you need to know to keep your beautiful smile looking its best. Dental veneers are thin coverings applied to teeth to improve the appearance of chipped, cracked, discolored,. What Can Go Wrong With Veneers.
From woodbridgedental.co.uk
Porcelain Veneers vs. Composite Veneers Woodbridge Hill Dental Practice What Can Go Wrong With Veneers How can a veneer fail? But dental veneers are invasive medical prosthetics, and in many cases they alter patients’ teeth drastically and permanently. Why would a veneer need to be replaced? Discover 6 reasons why you might need veneers, from tooth discoloration to misaligned teeth. A porcelain veneer can only really fail completely in three ways: Dental veneers can last. What Can Go Wrong With Veneers.
From ar.inspiredpencil.com
Veneers Gone Wrong What Can Go Wrong With Veneers Discover 6 reasons why you might need veneers, from tooth discoloration to misaligned teeth. Veneers are a wonderful service that can have a significant impact on our patients’ smiles and self esteem, and can even be a life. A porcelain veneer can only really fail completely in three ways: How can a veneer fail? Why would a veneer need to. What Can Go Wrong With Veneers.
From teethwalls.blogspot.com
What Happens To Real Teeth Under Veneers TeethWalls What Can Go Wrong With Veneers Discover 6 reasons why you might need veneers, from tooth discoloration to misaligned teeth. A porcelain veneer can only really fail completely in three ways: In this article, we’ll explore these common mistakes and how to avoid them, ensuring that your veneers stay in top condition for as long as possible. Veneers are a wonderful service that can have a. What Can Go Wrong With Veneers.