From pubs.rsna.org
Comparison of SuperResolution US and Contrast Materialenhanced US in Spoke Wheel Enhancement Radiology The majority of tumors are predominantly supplied by meningeal vessels; Meningiomas can have a dual blood supply. Spoke Wheel Enhancement Radiology.
From www.reddit.com
Ultrasound & CT of Renal Oncocytoma r/Radiology Spoke Wheel Enhancement Radiology Meningiomas can have a dual blood supply. The majority of tumors are predominantly supplied by meningeal vessels; Spoke Wheel Enhancement Radiology.
From nephropocus.com
spokewheel NephroPOCUS Spoke Wheel Enhancement Radiology Meningiomas can have a dual blood supply. The majority of tumors are predominantly supplied by meningeal vessels; Spoke Wheel Enhancement Radiology.
From www.omicsgroup.org
radiologyPrecontrastCT Spoke Wheel Enhancement Radiology Meningiomas can have a dual blood supply. The majority of tumors are predominantly supplied by meningeal vessels; Spoke Wheel Enhancement Radiology.
From www.aliexpress.com
carbon 5 spoke wheel road /track/fixed gear carbon wheels 700c clincher Spoke Wheel Enhancement Radiology The majority of tumors are predominantly supplied by meningeal vessels; Meningiomas can have a dual blood supply. Spoke Wheel Enhancement Radiology.
From www.aliexpress.com
Full carbon Three spoke/3 spoke carbon wheel,70mm clincher for road Spoke Wheel Enhancement Radiology Meningiomas can have a dual blood supply. The majority of tumors are predominantly supplied by meningeal vessels; Spoke Wheel Enhancement Radiology.
From learningradiology.com
to LearningRadiology radiology signs, imaging, radiologic Spoke Wheel Enhancement Radiology Meningiomas can have a dual blood supply. The majority of tumors are predominantly supplied by meningeal vessels; Spoke Wheel Enhancement Radiology.
From radiologykey.com
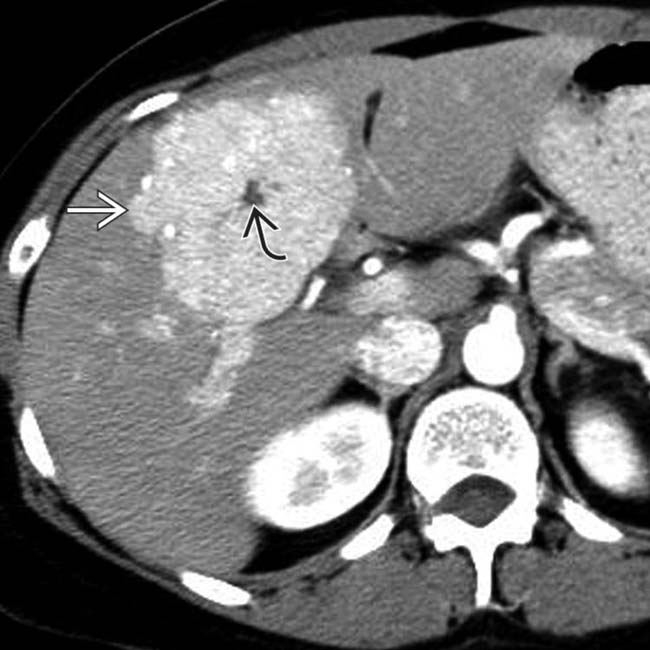
Focal Nodular Hyperplasia Radiology Key Spoke Wheel Enhancement Radiology Meningiomas can have a dual blood supply. The majority of tumors are predominantly supplied by meningeal vessels; Spoke Wheel Enhancement Radiology.
From www.rarediseasesjournal.com
Typical Imaging Findings of Renal Oncocytoma Spoke Wheel Enhancement Radiology Meningiomas can have a dual blood supply. The majority of tumors are predominantly supplied by meningeal vessels; Spoke Wheel Enhancement Radiology.
From tarazon.com
Custom Vespa Tubeless Spoke Wheel Wholesale Motorcycle Alloy Wheel For Spoke Wheel Enhancement Radiology Meningiomas can have a dual blood supply. The majority of tumors are predominantly supplied by meningeal vessels; Spoke Wheel Enhancement Radiology.
From www.facebook.com
SPOKE WHEEL APPEARANCE Radiology Classroom Spoke Wheel Enhancement Radiology Meningiomas can have a dual blood supply. The majority of tumors are predominantly supplied by meningeal vessels; Spoke Wheel Enhancement Radiology.
From www.facebook.com
SPOKE WHEEL APPEARANCE Radiology Classroom Spoke Wheel Enhancement Radiology Meningiomas can have a dual blood supply. The majority of tumors are predominantly supplied by meningeal vessels; Spoke Wheel Enhancement Radiology.
From www.alamy.com
Eight spoke Stock Vector Images Alamy Spoke Wheel Enhancement Radiology Meningiomas can have a dual blood supply. The majority of tumors are predominantly supplied by meningeal vessels; Spoke Wheel Enhancement Radiology.
From www.ejradiology.com
Focal nodular hyperplasia Spokewheel arterial pattern and other signs Spoke Wheel Enhancement Radiology Meningiomas can have a dual blood supply. The majority of tumors are predominantly supplied by meningeal vessels; Spoke Wheel Enhancement Radiology.
From radiologykey.com
or Spongelike Mass and SpokeWheel Sign Radiology Key Spoke Wheel Enhancement Radiology Meningiomas can have a dual blood supply. The majority of tumors are predominantly supplied by meningeal vessels; Spoke Wheel Enhancement Radiology.
From www.kaiserkraft.co.uk
Spoke wheel with racing profile pneumatic tyres, plastic rim kaiserkraft Spoke Wheel Enhancement Radiology The majority of tumors are predominantly supplied by meningeal vessels; Meningiomas can have a dual blood supply. Spoke Wheel Enhancement Radiology.
From www.researchgate.net
FNHCEUS showing arterial phase with characteristic spoke wheel Spoke Wheel Enhancement Radiology The majority of tumors are predominantly supplied by meningeal vessels; Meningiomas can have a dual blood supply. Spoke Wheel Enhancement Radiology.
From tarazon.com
Custom Vespa Tubeless Spoke Wheel Wholesale Motorcycle Alloy Wheel For Spoke Wheel Enhancement Radiology Meningiomas can have a dual blood supply. The majority of tumors are predominantly supplied by meningeal vessels; Spoke Wheel Enhancement Radiology.
From radiologykey.com
Sign Radiology Key Spoke Wheel Enhancement Radiology Meningiomas can have a dual blood supply. The majority of tumors are predominantly supplied by meningeal vessels; Spoke Wheel Enhancement Radiology.
From pubs.rsna.org
Comparison of SuperResolution US and Contrast Materialenhanced US in Spoke Wheel Enhancement Radiology The majority of tumors are predominantly supplied by meningeal vessels; Meningiomas can have a dual blood supply. Spoke Wheel Enhancement Radiology.
From www.alibaba.com
Kelun Brand Lowrider 14x7 Reverse Lace Spoke Chrome Wire Wheel Rims Spoke Wheel Enhancement Radiology The majority of tumors are predominantly supplied by meningeal vessels; Meningiomas can have a dual blood supply. Spoke Wheel Enhancement Radiology.
From pubs.rsna.org
Comparison of SuperResolution US and Contrast Materialenhanced US in Spoke Wheel Enhancement Radiology The majority of tumors are predominantly supplied by meningeal vessels; Meningiomas can have a dual blood supply. Spoke Wheel Enhancement Radiology.
From pt.slideshare.net
Oncocytoma Spoke Wheel Enhancement Radiology The majority of tumors are predominantly supplied by meningeal vessels; Meningiomas can have a dual blood supply. Spoke Wheel Enhancement Radiology.
From www.imagejournals.org
Spoke Wheel Sign of the Mesenteric Carcinoid Tumor International Spoke Wheel Enhancement Radiology Meningiomas can have a dual blood supply. The majority of tumors are predominantly supplied by meningeal vessels; Spoke Wheel Enhancement Radiology.
From introductiontoradiology.net
Gastrointestinal Radiology Spoke Wheel Enhancement Radiology The majority of tumors are predominantly supplied by meningeal vessels; Meningiomas can have a dual blood supply. Spoke Wheel Enhancement Radiology.
From www.semanticscholar.org
Figure 1 from CT and MRI Findings of Sclerosing Angiomatoid Nodular Spoke Wheel Enhancement Radiology The majority of tumors are predominantly supplied by meningeal vessels; Meningiomas can have a dual blood supply. Spoke Wheel Enhancement Radiology.
From www.desertcart.ae
Buy 21X3.5 40 SPOKE WHEEL FOR HARLEY SOFTAIL FITS 20002006 MODELS W/ 3 Spoke Wheel Enhancement Radiology The majority of tumors are predominantly supplied by meningeal vessels; Meningiomas can have a dual blood supply. Spoke Wheel Enhancement Radiology.
From no.linkedin.com
Blue Wheel Hospital på LinkedIn The theme of International Day of Spoke Wheel Enhancement Radiology The majority of tumors are predominantly supplied by meningeal vessels; Meningiomas can have a dual blood supply. Spoke Wheel Enhancement Radiology.
From whirlingwheelz.com
Spoke vs. Alloy Motorcycle Wheels Pros and Cons of Each Whirling Wheelz Spoke Wheel Enhancement Radiology Meningiomas can have a dual blood supply. The majority of tumors are predominantly supplied by meningeal vessels; Spoke Wheel Enhancement Radiology.
From www.semanticscholar.org
Figure 1 from Sclerosing angiomatoid nodular transformation (SANT) of Spoke Wheel Enhancement Radiology Meningiomas can have a dual blood supply. The majority of tumors are predominantly supplied by meningeal vessels; Spoke Wheel Enhancement Radiology.
From www.emanu-cn.com
Spoke WheelChengDu Emanufacture Co,Ltd Spoke Wheel Enhancement Radiology Meningiomas can have a dual blood supply. The majority of tumors are predominantly supplied by meningeal vessels; Spoke Wheel Enhancement Radiology.
From radiologykey.com
Scar Sign or Starlike Scar Sign and SpokeWheel Pattern Radiology Key Spoke Wheel Enhancement Radiology Meningiomas can have a dual blood supply. The majority of tumors are predominantly supplied by meningeal vessels; Spoke Wheel Enhancement Radiology.
From www.researchgate.net
(A) Unenhanced axial fat suppressed T1weighted imaging shows the Spoke Wheel Enhancement Radiology The majority of tumors are predominantly supplied by meningeal vessels; Meningiomas can have a dual blood supply. Spoke Wheel Enhancement Radiology.
From www.ejradiology.com
Contrastenhanced ultrasonographic spokewheel sign in hepatic focal Spoke Wheel Enhancement Radiology Meningiomas can have a dual blood supply. The majority of tumors are predominantly supplied by meningeal vessels; Spoke Wheel Enhancement Radiology.
From bestwheelset.com
5 Spoke Bike Wheel 700C Disc/Rim Brake for TT/Tri Spoke Wheels Spoke Wheel Enhancement Radiology The majority of tumors are predominantly supplied by meningeal vessels; Meningiomas can have a dual blood supply. Spoke Wheel Enhancement Radiology.