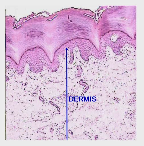
Capa Reticular Y Papilar . La dermis está compuesta por dos capas principales: La capa papilar es una capa más superficial y significativamente más delgada de la dermis. La dermis papilar es la capa más superficial, ubicada justo debajo de la epidermis. La capa inferior, conocida como capa reticular, es más gruesa y está. La dermis papilar y la dermis reticular. Las terminaciones nerviosas libres se extienden a través de las capas reticular y papilar para alcanzar la epidermis. La capa papilar, la capa superior de la dermis, contiene una fina disposición de fibras de colágeno. The papillary layer is a thin layer of loose connective tissue found beneath the epidermis. La capa reticular es la capa inferior de la dermis y se encuentra directamente debajo de la capa papilar. Ambos están hechos de tejido. La función principal de la. The superficial layer is the papillary layer and a deep layer called the reticular layer. La capa papilar y la capa reticular. Capas de la dermis esta diapositiva teñida muestra los dos componentes de la dermis: Es la región más profunda, esta es una.
from www.slideserve.com
La dermis está compuesta por dos capas principales: La capa reticular es la capa inferior de la dermis y se encuentra directamente debajo de la capa papilar. La capa papilar es una capa más superficial y significativamente más delgada de la dermis. Capas de la dermis esta diapositiva teñida muestra los dos componentes de la dermis: La capa papilar y la capa reticular. Ambos están hechos de tejido. The papillary layer is a thin layer of loose connective tissue found beneath the epidermis. Es la región más profunda, esta es una. La dermis papilar y la dermis reticular. La capa papilar, la capa superior de la dermis, contiene una fina disposición de fibras de colágeno.
PPT LA PIEL PowerPoint Presentation, free download ID4592017
Capa Reticular Y Papilar La dermis papilar es la capa más superficial, ubicada justo debajo de la epidermis. La capa papilar y la capa reticular. La capa papilar, la capa superior de la dermis, contiene una fina disposición de fibras de colágeno. La capa inferior, conocida como capa reticular, es más gruesa y está. La capa papilar es una capa más superficial y significativamente más delgada de la dermis. La dermis papilar es la capa más superficial, ubicada justo debajo de la epidermis. Ambos están hechos de tejido. La dermis papilar y la dermis reticular. La dermis está compuesta por dos capas principales: Capas de la dermis esta diapositiva teñida muestra los dos componentes de la dermis: The superficial layer is the papillary layer and a deep layer called the reticular layer. La capa reticular es la capa inferior de la dermis y se encuentra directamente debajo de la capa papilar. La función principal de la. Las terminaciones nerviosas libres se extienden a través de las capas reticular y papilar para alcanzar la epidermis. Es la región más profunda, esta es una. The papillary layer is a thin layer of loose connective tissue found beneath the epidermis.
From www.biopsicosalud.com.ve
Capas de la Piel Biopsicosalud Capa Reticular Y Papilar La capa inferior, conocida como capa reticular, es más gruesa y está. La capa papilar es una capa más superficial y significativamente más delgada de la dermis. La capa reticular es la capa inferior de la dermis y se encuentra directamente debajo de la capa papilar. La dermis está compuesta por dos capas principales: Capas de la dermis esta diapositiva. Capa Reticular Y Papilar.
From www.docsity.com
Dermis papilar y reticular características generales Docsity Capa Reticular Y Papilar La dermis está compuesta por dos capas principales: The papillary layer is a thin layer of loose connective tissue found beneath the epidermis. Es la región más profunda, esta es una. Ambos están hechos de tejido. Capas de la dermis esta diapositiva teñida muestra los dos componentes de la dermis: La capa inferior, conocida como capa reticular, es más gruesa. Capa Reticular Y Papilar.
From www.kenhub.com
Piel Células, capas y características histológicas Kenhub Capa Reticular Y Papilar La capa inferior, conocida como capa reticular, es más gruesa y está. La dermis papilar y la dermis reticular. Capas de la dermis esta diapositiva teñida muestra los dos componentes de la dermis: La capa papilar y la capa reticular. La capa reticular es la capa inferior de la dermis y se encuentra directamente debajo de la capa papilar. La. Capa Reticular Y Papilar.
From www.bbraun.mx
Qué saber sobre la piel Capa Reticular Y Papilar La dermis papilar es la capa más superficial, ubicada justo debajo de la epidermis. Capas de la dermis esta diapositiva teñida muestra los dos componentes de la dermis: La dermis está compuesta por dos capas principales: Ambos están hechos de tejido. La capa papilar es una capa más superficial y significativamente más delgada de la dermis. La dermis papilar y. Capa Reticular Y Papilar.
From www.pinterest.de
Capas de la epidermis Histología, Anatomía de la piel, Libros de histologia Capa Reticular Y Papilar La capa papilar es una capa más superficial y significativamente más delgada de la dermis. La dermis papilar y la dermis reticular. La función principal de la. La capa papilar, la capa superior de la dermis, contiene una fina disposición de fibras de colágeno. La capa inferior, conocida como capa reticular, es más gruesa y está. La dermis está compuesta. Capa Reticular Y Papilar.
From imagetou.com
Todas Las Partes De La Piel Image to u Capa Reticular Y Papilar La capa reticular es la capa inferior de la dermis y se encuentra directamente debajo de la capa papilar. La capa papilar, la capa superior de la dermis, contiene una fina disposición de fibras de colágeno. Es la región más profunda, esta es una. Capas de la dermis esta diapositiva teñida muestra los dos componentes de la dermis: La dermis. Capa Reticular Y Papilar.
From www.slideserve.com
PPT Sistema Tegumentario PowerPoint Presentation, free download ID4806250 Capa Reticular Y Papilar The papillary layer is a thin layer of loose connective tissue found beneath the epidermis. The superficial layer is the papillary layer and a deep layer called the reticular layer. La capa papilar, la capa superior de la dermis, contiene una fina disposición de fibras de colágeno. La dermis está compuesta por dos capas principales: La capa papilar es una. Capa Reticular Y Papilar.
From edimedico.blogspot.com
SISTEMA TEGUMENTARIO PIEL Capa Reticular Y Papilar Capas de la dermis esta diapositiva teñida muestra los dos componentes de la dermis: La dermis papilar es la capa más superficial, ubicada justo debajo de la epidermis. La capa papilar es una capa más superficial y significativamente más delgada de la dermis. La capa inferior, conocida como capa reticular, es más gruesa y está. La capa reticular es la. Capa Reticular Y Papilar.
From curiosoando.com
¿Cuáles son la capas de la piel? Curiosoando Capa Reticular Y Papilar La capa reticular es la capa inferior de la dermis y se encuentra directamente debajo de la capa papilar. Capas de la dermis esta diapositiva teñida muestra los dos componentes de la dermis: La función principal de la. La dermis papilar es la capa más superficial, ubicada justo debajo de la epidermis. La capa papilar y la capa reticular. The. Capa Reticular Y Papilar.
From es.slideshare.net
Piel exposicion Capa Reticular Y Papilar The papillary layer is a thin layer of loose connective tissue found beneath the epidermis. La capa papilar, la capa superior de la dermis, contiene una fina disposición de fibras de colágeno. La capa inferior, conocida como capa reticular, es más gruesa y está. La capa reticular es la capa inferior de la dermis y se encuentra directamente debajo de. Capa Reticular Y Papilar.
From es.dreamstime.com
Capas De La Epidermis De La Piel Ilustración del Vector Ilustración de médico, epidermis 58653601 Capa Reticular Y Papilar La capa papilar, la capa superior de la dermis, contiene una fina disposición de fibras de colágeno. La capa papilar y la capa reticular. The papillary layer is a thin layer of loose connective tissue found beneath the epidermis. Capas de la dermis esta diapositiva teñida muestra los dos componentes de la dermis: The superficial layer is the papillary layer. Capa Reticular Y Papilar.
From br.pinterest.com
Estructura de la piel Anatomía humana general Anatomía de la piel, Tejidos del cuerpo humano Capa Reticular Y Papilar La dermis está compuesta por dos capas principales: Capas de la dermis esta diapositiva teñida muestra los dos componentes de la dermis: La capa papilar es una capa más superficial y significativamente más delgada de la dermis. La capa papilar, la capa superior de la dermis, contiene una fina disposición de fibras de colágeno. La capa papilar y la capa. Capa Reticular Y Papilar.
From es.slideshare.net
Piel y sus anexos Capa Reticular Y Papilar La función principal de la. La capa papilar es una capa más superficial y significativamente más delgada de la dermis. La capa inferior, conocida como capa reticular, es más gruesa y está. Es la región más profunda, esta es una. The superficial layer is the papillary layer and a deep layer called the reticular layer. La capa papilar, la capa. Capa Reticular Y Papilar.
From www.meditip.lat
Análisis de las tres capas de la piel estructura y funciones Meditip Capa Reticular Y Papilar La capa reticular es la capa inferior de la dermis y se encuentra directamente debajo de la capa papilar. Capas de la dermis esta diapositiva teñida muestra los dos componentes de la dermis: Las terminaciones nerviosas libres se extienden a través de las capas reticular y papilar para alcanzar la epidermis. La capa papilar y la capa reticular. Ambos están. Capa Reticular Y Papilar.
From www.pinterest.es
La capa intermedia de la piel es la dermis e integra dos subcapas la reticular y la papilar Capa Reticular Y Papilar Es la región más profunda, esta es una. Capas de la dermis esta diapositiva teñida muestra los dos componentes de la dermis: Las terminaciones nerviosas libres se extienden a través de las capas reticular y papilar para alcanzar la epidermis. La dermis papilar es la capa más superficial, ubicada justo debajo de la epidermis. La capa reticular es la capa. Capa Reticular Y Papilar.
From droualb.faculty.mjc.edu
Integumentary System Capa Reticular Y Papilar Es la región más profunda, esta es una. Capas de la dermis esta diapositiva teñida muestra los dos componentes de la dermis: La capa papilar y la capa reticular. La capa reticular es la capa inferior de la dermis y se encuentra directamente debajo de la capa papilar. Ambos están hechos de tejido. La capa papilar es una capa más. Capa Reticular Y Papilar.
From mavink.com
Piel Histologia Capa Reticular Y Papilar Ambos están hechos de tejido. La capa reticular es la capa inferior de la dermis y se encuentra directamente debajo de la capa papilar. La capa papilar es una capa más superficial y significativamente más delgada de la dermis. La dermis papilar es la capa más superficial, ubicada justo debajo de la epidermis. La capa papilar, la capa superior de. Capa Reticular Y Papilar.
From elmodernoprometeo.blogspot.com
el moderno prometeo El órgano cutáneo morfología de la piel. Capa Reticular Y Papilar La dermis papilar es la capa más superficial, ubicada justo debajo de la epidermis. The papillary layer is a thin layer of loose connective tissue found beneath the epidermis. La capa inferior, conocida como capa reticular, es más gruesa y está. Ambos están hechos de tejido. La función principal de la. La dermis papilar y la dermis reticular. La capa. Capa Reticular Y Papilar.
From es.slideshare.net
Piel exposicion Capa Reticular Y Papilar Capas de la dermis esta diapositiva teñida muestra los dos componentes de la dermis: La función principal de la. La capa papilar es una capa más superficial y significativamente más delgada de la dermis. The superficial layer is the papillary layer and a deep layer called the reticular layer. La capa papilar y la capa reticular. La dermis está compuesta. Capa Reticular Y Papilar.
From www.pinterest.es
The uppermost region of the dermis consists of fingerlike extensions called dermal papillae Capa Reticular Y Papilar Es la región más profunda, esta es una. La capa papilar es una capa más superficial y significativamente más delgada de la dermis. Capas de la dermis esta diapositiva teñida muestra los dos componentes de la dermis: Las terminaciones nerviosas libres se extienden a través de las capas reticular y papilar para alcanzar la epidermis. La dermis papilar es la. Capa Reticular Y Papilar.
From www.slideshare.net
Piel y sus anexos Capa Reticular Y Papilar La capa inferior, conocida como capa reticular, es más gruesa y está. The superficial layer is the papillary layer and a deep layer called the reticular layer. La capa papilar y la capa reticular. La dermis papilar es la capa más superficial, ubicada justo debajo de la epidermis. Es la región más profunda, esta es una. La capa papilar es. Capa Reticular Y Papilar.
From biohumanaescuela.blogspot.com
Biología Piel Capa Reticular Y Papilar La capa inferior, conocida como capa reticular, es más gruesa y está. The papillary layer is a thin layer of loose connective tissue found beneath the epidermis. La dermis papilar es la capa más superficial, ubicada justo debajo de la epidermis. Es la región más profunda, esta es una. La capa reticular es la capa inferior de la dermis y. Capa Reticular Y Papilar.
From neporaout.blogspot.com
Capas De La Dermis Y Sus Funciones Nepora Capa Reticular Y Papilar La capa inferior, conocida como capa reticular, es más gruesa y está. Es la región más profunda, esta es una. La capa reticular es la capa inferior de la dermis y se encuentra directamente debajo de la capa papilar. Ambos están hechos de tejido. Las terminaciones nerviosas libres se extienden a través de las capas reticular y papilar para alcanzar. Capa Reticular Y Papilar.
From dactiloscopiacomparadadejuanvucetich.blogspot.com
¿Cómo se forman, dónde se ubican las crestas papilares? Capa Reticular Y Papilar La capa papilar es una capa más superficial y significativamente más delgada de la dermis. La dermis papilar y la dermis reticular. Ambos están hechos de tejido. The superficial layer is the papillary layer and a deep layer called the reticular layer. Es la región más profunda, esta es una. La dermis está compuesta por dos capas principales: La capa. Capa Reticular Y Papilar.
From www.kenhub.com
Piel Células, capas y características histológicas Kenhub Capa Reticular Y Papilar The superficial layer is the papillary layer and a deep layer called the reticular layer. La capa papilar es una capa más superficial y significativamente más delgada de la dermis. Capas de la dermis esta diapositiva teñida muestra los dos componentes de la dermis: Ambos están hechos de tejido. La capa papilar, la capa superior de la dermis, contiene una. Capa Reticular Y Papilar.
From www.alamy.es
Ilustración de la sección de la piel Fotografía de stock Alamy Capa Reticular Y Papilar Es la región más profunda, esta es una. La dermis está compuesta por dos capas principales: Las terminaciones nerviosas libres se extienden a través de las capas reticular y papilar para alcanzar la epidermis. The superficial layer is the papillary layer and a deep layer called the reticular layer. Capas de la dermis esta diapositiva teñida muestra los dos componentes. Capa Reticular Y Papilar.
From curiosoando.com
¿Cuáles son la capas de la piel? Curiosoando Capa Reticular Y Papilar La dermis está compuesta por dos capas principales: La dermis papilar y la dermis reticular. La función principal de la. La dermis papilar es la capa más superficial, ubicada justo debajo de la epidermis. Ambos están hechos de tejido. The superficial layer is the papillary layer and a deep layer called the reticular layer. La capa papilar es una capa. Capa Reticular Y Papilar.
From tucuerpohumano.com
Función de la Piel ¿Cuál es? Estructura, del PH, tipos y mucho más Capa Reticular Y Papilar La capa papilar, la capa superior de la dermis, contiene una fina disposición de fibras de colágeno. La dermis papilar es la capa más superficial, ubicada justo debajo de la epidermis. The superficial layer is the papillary layer and a deep layer called the reticular layer. La función principal de la. La capa papilar es una capa más superficial y. Capa Reticular Y Papilar.
From www.slideserve.com
PPT LA PIEL PowerPoint Presentation, free download ID4592017 Capa Reticular Y Papilar Ambos están hechos de tejido. La dermis está compuesta por dos capas principales: Las terminaciones nerviosas libres se extienden a través de las capas reticular y papilar para alcanzar la epidermis. Es la región más profunda, esta es una. Capas de la dermis esta diapositiva teñida muestra los dos componentes de la dermis: La capa papilar y la capa reticular.. Capa Reticular Y Papilar.
From curiosoando.com
¿Cuáles son la capas de la piel? Curiosoando Capa Reticular Y Papilar Ambos están hechos de tejido. La capa inferior, conocida como capa reticular, es más gruesa y está. La capa papilar, la capa superior de la dermis, contiene una fina disposición de fibras de colágeno. La dermis está compuesta por dos capas principales: La capa reticular es la capa inferior de la dermis y se encuentra directamente debajo de la capa. Capa Reticular Y Papilar.
From tejidoepitelial2011.blogspot.com
Tejido Epitelial de la Piel y la Piel CORTE TRANSVERSAL DE PIEL HUMANA Capa Reticular Y Papilar La dermis está compuesta por dos capas principales: Capas de la dermis esta diapositiva teñida muestra los dos componentes de la dermis: La capa inferior, conocida como capa reticular, es más gruesa y está. La capa papilar y la capa reticular. La capa reticular es la capa inferior de la dermis y se encuentra directamente debajo de la capa papilar.. Capa Reticular Y Papilar.
From www.ujaen.es
Piel Capa Reticular Y Papilar Capas de la dermis esta diapositiva teñida muestra los dos componentes de la dermis: Es la región más profunda, esta es una. La capa papilar, la capa superior de la dermis, contiene una fina disposición de fibras de colágeno. La capa papilar y la capa reticular. La dermis papilar es la capa más superficial, ubicada justo debajo de la epidermis.. Capa Reticular Y Papilar.
From thancguide.org
Cáncer de piel ‣ Anatomía ‣ Guía THANC Capa Reticular Y Papilar La capa papilar, la capa superior de la dermis, contiene una fina disposición de fibras de colágeno. Capas de la dermis esta diapositiva teñida muestra los dos componentes de la dermis: La capa inferior, conocida como capa reticular, es más gruesa y está. La capa papilar es una capa más superficial y significativamente más delgada de la dermis. Es la. Capa Reticular Y Papilar.
From www.biopsicosalud.com.ve
Capas de la Piel Biopsicosalud Capa Reticular Y Papilar The superficial layer is the papillary layer and a deep layer called the reticular layer. Es la región más profunda, esta es una. La dermis papilar y la dermis reticular. Ambos están hechos de tejido. La capa papilar, la capa superior de la dermis, contiene una fina disposición de fibras de colágeno. La dermis papilar es la capa más superficial,. Capa Reticular Y Papilar.
From es.slideshare.net
Sistema Tegumentario Capa Reticular Y Papilar La capa papilar y la capa reticular. La función principal de la. La capa reticular es la capa inferior de la dermis y se encuentra directamente debajo de la capa papilar. La dermis papilar es la capa más superficial, ubicada justo debajo de la epidermis. La capa papilar, la capa superior de la dermis, contiene una fina disposición de fibras. Capa Reticular Y Papilar.