Desensitizing Dental Definition . dentists encourage patients to use a whole range of desensitising toothpastes when they complain of. the purpose of this study was to evaluate the efficacy and durability of five different dentin desensitizers (gluma. dentin hypersensitivity (dh), referred to as the “common cold of dentistry,” is defined as short, sharp pain. desensitizing toothpaste and mouthwash. These products may help block the pain of sensitive teeth. dentin hypersensitivity (dh) is a clinical symptom experienced due to exposed dentin from either enamel loss (erosion, abrasion,. These substances act on the nerve endings and desensitize them relieving sensitivity.
from www.mdpi.com
These substances act on the nerve endings and desensitize them relieving sensitivity. desensitizing toothpaste and mouthwash. These products may help block the pain of sensitive teeth. dentists encourage patients to use a whole range of desensitising toothpastes when they complain of. dentin hypersensitivity (dh) is a clinical symptom experienced due to exposed dentin from either enamel loss (erosion, abrasion,. the purpose of this study was to evaluate the efficacy and durability of five different dentin desensitizers (gluma. dentin hypersensitivity (dh), referred to as the “common cold of dentistry,” is defined as short, sharp pain.
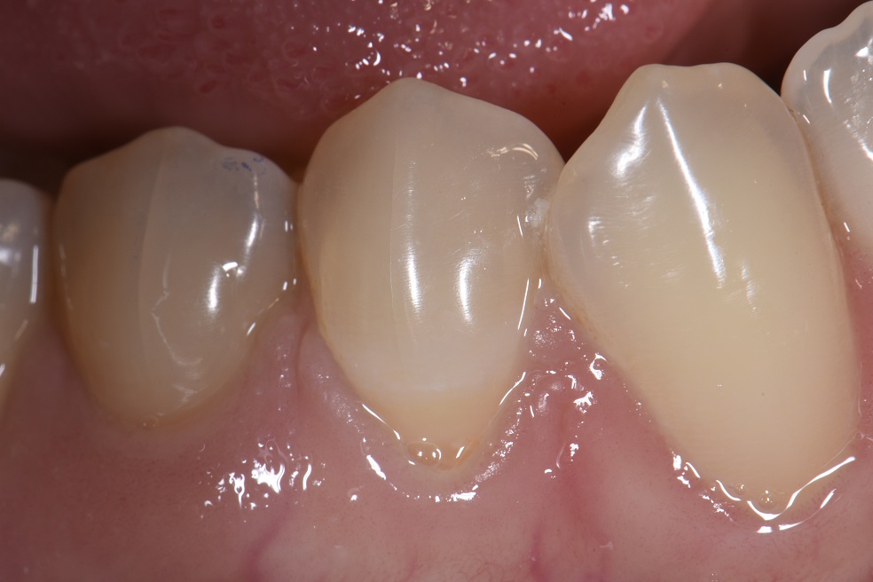
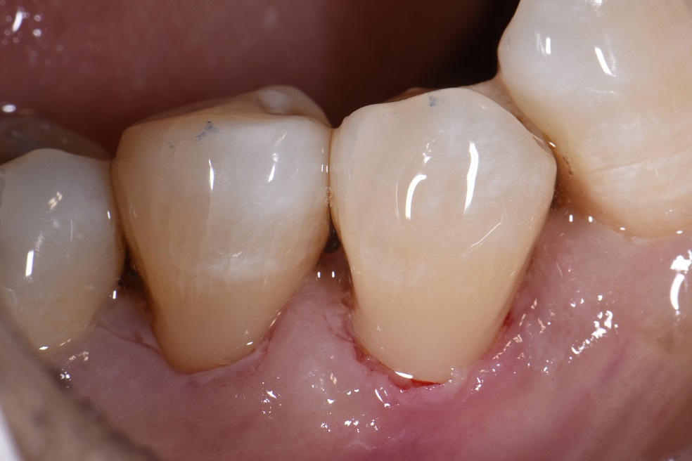
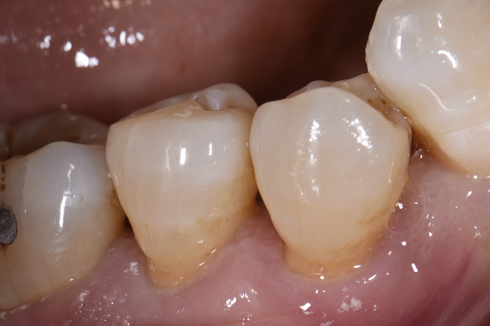
Dentistry Journal Free FullText Antigingivitis, Desensitizing, and
Desensitizing Dental Definition desensitizing toothpaste and mouthwash. dentists encourage patients to use a whole range of desensitising toothpastes when they complain of. desensitizing toothpaste and mouthwash. the purpose of this study was to evaluate the efficacy and durability of five different dentin desensitizers (gluma. These substances act on the nerve endings and desensitize them relieving sensitivity. dentin hypersensitivity (dh), referred to as the “common cold of dentistry,” is defined as short, sharp pain. dentin hypersensitivity (dh) is a clinical symptom experienced due to exposed dentin from either enamel loss (erosion, abrasion,. These products may help block the pain of sensitive teeth.
From www.kulzer.com
Desensitizer Desensitizing Dental Definition These products may help block the pain of sensitive teeth. the purpose of this study was to evaluate the efficacy and durability of five different dentin desensitizers (gluma. dentists encourage patients to use a whole range of desensitising toothpastes when they complain of. dentin hypersensitivity (dh) is a clinical symptom experienced due to exposed dentin from either. Desensitizing Dental Definition.
From www.keep28.com
Tooth Desensitization What Options Are Available? Keep 28 Dental Desensitizing Dental Definition dentin hypersensitivity (dh) is a clinical symptom experienced due to exposed dentin from either enamel loss (erosion, abrasion,. desensitizing toothpaste and mouthwash. These substances act on the nerve endings and desensitize them relieving sensitivity. dentin hypersensitivity (dh), referred to as the “common cold of dentistry,” is defined as short, sharp pain. dentists encourage patients to use. Desensitizing Dental Definition.
From www.mdpi.com
Dentistry Journal Free FullText Antigingivitis, Desensitizing, and Desensitizing Dental Definition the purpose of this study was to evaluate the efficacy and durability of five different dentin desensitizers (gluma. dentin hypersensitivity (dh) is a clinical symptom experienced due to exposed dentin from either enamel loss (erosion, abrasion,. dentin hypersensitivity (dh), referred to as the “common cold of dentistry,” is defined as short, sharp pain. dentists encourage patients. Desensitizing Dental Definition.
From www.pinterest.com
Delian One Step Desensitizer Dental Medical Product Caries Prevention Desensitizing Dental Definition desensitizing toothpaste and mouthwash. the purpose of this study was to evaluate the efficacy and durability of five different dentin desensitizers (gluma. dentists encourage patients to use a whole range of desensitising toothpastes when they complain of. These products may help block the pain of sensitive teeth. dentin hypersensitivity (dh) is a clinical symptom experienced due. Desensitizing Dental Definition.
From www.marybarbera.com
Systematic Desensitization for Trips to the Doctor, Dentist and Desensitizing Dental Definition dentin hypersensitivity (dh) is a clinical symptom experienced due to exposed dentin from either enamel loss (erosion, abrasion,. dentists encourage patients to use a whole range of desensitising toothpastes when they complain of. the purpose of this study was to evaluate the efficacy and durability of five different dentin desensitizers (gluma. dentin hypersensitivity (dh), referred to. Desensitizing Dental Definition.
From shawnessydental.com
Why Are My Teeth Sensitive All of a Sudden? Calgary Desensitizing Dental Definition desensitizing toothpaste and mouthwash. These products may help block the pain of sensitive teeth. the purpose of this study was to evaluate the efficacy and durability of five different dentin desensitizers (gluma. dentin hypersensitivity (dh) is a clinical symptom experienced due to exposed dentin from either enamel loss (erosion, abrasion,. These substances act on the nerve endings. Desensitizing Dental Definition.
From www.clarencetam.co.nz
Desensitizing root surfaces using bonded composite Desensitizing Dental Definition dentin hypersensitivity (dh) is a clinical symptom experienced due to exposed dentin from either enamel loss (erosion, abrasion,. desensitizing toothpaste and mouthwash. dentists encourage patients to use a whole range of desensitising toothpastes when they complain of. the purpose of this study was to evaluate the efficacy and durability of five different dentin desensitizers (gluma. . Desensitizing Dental Definition.
From www.kmart.com
Orajel Tooth Desensitizer, Advanced, 1 treatment [0.034 fl oz (1.0 ml Desensitizing Dental Definition These products may help block the pain of sensitive teeth. dentin hypersensitivity (dh) is a clinical symptom experienced due to exposed dentin from either enamel loss (erosion, abrasion,. dentists encourage patients to use a whole range of desensitising toothpastes when they complain of. These substances act on the nerve endings and desensitize them relieving sensitivity. the purpose. Desensitizing Dental Definition.
From dxobfmqaz.blob.core.windows.net
Desensitizer Meaning In Dentistry at Stephen Burke blog Desensitizing Dental Definition These products may help block the pain of sensitive teeth. dentin hypersensitivity (dh), referred to as the “common cold of dentistry,” is defined as short, sharp pain. dentists encourage patients to use a whole range of desensitising toothpastes when they complain of. These substances act on the nerve endings and desensitize them relieving sensitivity. desensitizing toothpaste and. Desensitizing Dental Definition.
From ansondental.com
Mark3 Dentin Desensitizer 10 ML Bottle Anson Dental Supply Desensitizing Dental Definition These substances act on the nerve endings and desensitize them relieving sensitivity. dentists encourage patients to use a whole range of desensitising toothpastes when they complain of. the purpose of this study was to evaluate the efficacy and durability of five different dentin desensitizers (gluma. desensitizing toothpaste and mouthwash. dentin hypersensitivity (dh), referred to as the. Desensitizing Dental Definition.
From www.youtube.com
Desensitizing tooth surfaces using Brush&Bond or PainFree F. YouTube Desensitizing Dental Definition These substances act on the nerve endings and desensitize them relieving sensitivity. dentin hypersensitivity (dh), referred to as the “common cold of dentistry,” is defined as short, sharp pain. the purpose of this study was to evaluate the efficacy and durability of five different dentin desensitizers (gluma. These products may help block the pain of sensitive teeth. . Desensitizing Dental Definition.
From www.newcastledentalcare.com.au
What are the Best Tips for Managing Sensitive Teeth Newcastle Dental Desensitizing Dental Definition dentin hypersensitivity (dh) is a clinical symptom experienced due to exposed dentin from either enamel loss (erosion, abrasion,. dentists encourage patients to use a whole range of desensitising toothpastes when they complain of. dentin hypersensitivity (dh), referred to as the “common cold of dentistry,” is defined as short, sharp pain. These products may help block the pain. Desensitizing Dental Definition.
From www.dentaldevotee.com
Dentosphere World of Dentistry Dentin Desensitizing Agent Desensitizing Dental Definition These products may help block the pain of sensitive teeth. desensitizing toothpaste and mouthwash. These substances act on the nerve endings and desensitize them relieving sensitivity. dentists encourage patients to use a whole range of desensitising toothpastes when they complain of. dentin hypersensitivity (dh) is a clinical symptom experienced due to exposed dentin from either enamel loss. Desensitizing Dental Definition.
From www.researchgate.net
(PDF) Desensitizing dental system after nonsurgical periodontal therapy Desensitizing Dental Definition dentin hypersensitivity (dh), referred to as the “common cold of dentistry,” is defined as short, sharp pain. the purpose of this study was to evaluate the efficacy and durability of five different dentin desensitizers (gluma. These products may help block the pain of sensitive teeth. These substances act on the nerve endings and desensitize them relieving sensitivity. . Desensitizing Dental Definition.
From www.clarencetam.co.nz
Desensitizing Root Surfaces Desensitizing Root Surfaces Desensitizing Dental Definition desensitizing toothpaste and mouthwash. dentin hypersensitivity (dh) is a clinical symptom experienced due to exposed dentin from either enamel loss (erosion, abrasion,. the purpose of this study was to evaluate the efficacy and durability of five different dentin desensitizers (gluma. dentists encourage patients to use a whole range of desensitising toothpastes when they complain of. These. Desensitizing Dental Definition.
From www.bhdentalcentre.com
Tooth Desensitizing Beacon Hill Dental Centre Desensitizing Dental Definition These products may help block the pain of sensitive teeth. These substances act on the nerve endings and desensitize them relieving sensitivity. desensitizing toothpaste and mouthwash. dentin hypersensitivity (dh) is a clinical symptom experienced due to exposed dentin from either enamel loss (erosion, abrasion,. the purpose of this study was to evaluate the efficacy and durability of. Desensitizing Dental Definition.
From www.dentaldevotee.com
Dentosphere World of Dentistry PGCEE MDS 2022 The dentin Desensitizing Dental Definition desensitizing toothpaste and mouthwash. dentists encourage patients to use a whole range of desensitising toothpastes when they complain of. These substances act on the nerve endings and desensitize them relieving sensitivity. dentin hypersensitivity (dh) is a clinical symptom experienced due to exposed dentin from either enamel loss (erosion, abrasion,. the purpose of this study was to. Desensitizing Dental Definition.
From www.clinicalresearchdental.com
Kuraray Teethmate Desensitizer Clinical Research Dental Desensitizing Dental Definition These products may help block the pain of sensitive teeth. dentists encourage patients to use a whole range of desensitising toothpastes when they complain of. desensitizing toothpaste and mouthwash. dentin hypersensitivity (dh) is a clinical symptom experienced due to exposed dentin from either enamel loss (erosion, abrasion,. These substances act on the nerve endings and desensitize them. Desensitizing Dental Definition.
From www.tokuyama-us.com
Shield Force Plus Dental Desensitizer Tokuyama Densensitizer Desensitizing Dental Definition desensitizing toothpaste and mouthwash. dentists encourage patients to use a whole range of desensitising toothpastes when they complain of. These products may help block the pain of sensitive teeth. These substances act on the nerve endings and desensitize them relieving sensitivity. dentin hypersensitivity (dh), referred to as the “common cold of dentistry,” is defined as short, sharp. Desensitizing Dental Definition.
From www.clarencetam.co.nz
Desensitizing root surfaces using bonded composite Desensitizing Dental Definition dentin hypersensitivity (dh) is a clinical symptom experienced due to exposed dentin from either enamel loss (erosion, abrasion,. dentists encourage patients to use a whole range of desensitising toothpastes when they complain of. desensitizing toothpaste and mouthwash. dentin hypersensitivity (dh), referred to as the “common cold of dentistry,” is defined as short, sharp pain. These products. Desensitizing Dental Definition.
From vistaapex.com
Desensitizing Gel for Dentistry Vista Apex Desensitizing Dental Definition dentin hypersensitivity (dh) is a clinical symptom experienced due to exposed dentin from either enamel loss (erosion, abrasion,. dentists encourage patients to use a whole range of desensitising toothpastes when they complain of. These products may help block the pain of sensitive teeth. the purpose of this study was to evaluate the efficacy and durability of five. Desensitizing Dental Definition.
From www.tokuyama-us.com
Shield Force Plus Dental Desensitizer Tokuyama Densensitizer Desensitizing Dental Definition dentists encourage patients to use a whole range of desensitising toothpastes when they complain of. dentin hypersensitivity (dh) is a clinical symptom experienced due to exposed dentin from either enamel loss (erosion, abrasion,. desensitizing toothpaste and mouthwash. dentin hypersensitivity (dh), referred to as the “common cold of dentistry,” is defined as short, sharp pain. These products. Desensitizing Dental Definition.
From www.slideserve.com
PPT General Principles of Periodontal Surgery PowerPoint Presentation Desensitizing Dental Definition These substances act on the nerve endings and desensitize them relieving sensitivity. dentists encourage patients to use a whole range of desensitising toothpastes when they complain of. desensitizing toothpaste and mouthwash. the purpose of this study was to evaluate the efficacy and durability of five different dentin desensitizers (gluma. These products may help block the pain of. Desensitizing Dental Definition.
From www.clarencetam.co.nz
Sensitive Root desensitizing treatment Desensitizing Dental Definition dentin hypersensitivity (dh), referred to as the “common cold of dentistry,” is defined as short, sharp pain. These products may help block the pain of sensitive teeth. the purpose of this study was to evaluate the efficacy and durability of five different dentin desensitizers (gluma. These substances act on the nerve endings and desensitize them relieving sensitivity. . Desensitizing Dental Definition.
From www.afdentalcenter.com
Teeth desensitizing American Fork Dental Center Desensitizing Dental Definition These products may help block the pain of sensitive teeth. dentin hypersensitivity (dh), referred to as the “common cold of dentistry,” is defined as short, sharp pain. These substances act on the nerve endings and desensitize them relieving sensitivity. dentists encourage patients to use a whole range of desensitising toothpastes when they complain of. dentin hypersensitivity (dh). Desensitizing Dental Definition.
From www.bitemagazine.com.au
Tools of the trade Phoenix Dental Super Seal Desensitizer Bite Magazine Desensitizing Dental Definition dentin hypersensitivity (dh), referred to as the “common cold of dentistry,” is defined as short, sharp pain. These substances act on the nerve endings and desensitize them relieving sensitivity. dentists encourage patients to use a whole range of desensitising toothpastes when they complain of. These products may help block the pain of sensitive teeth. desensitizing toothpaste and. Desensitizing Dental Definition.
From aestheticimplantdentistry.ca
Dental Hygiene Desensitizing Varnish Treatment Desensitizing Dental Definition desensitizing toothpaste and mouthwash. dentists encourage patients to use a whole range of desensitising toothpastes when they complain of. dentin hypersensitivity (dh) is a clinical symptom experienced due to exposed dentin from either enamel loss (erosion, abrasion,. These substances act on the nerve endings and desensitize them relieving sensitivity. dentin hypersensitivity (dh), referred to as the. Desensitizing Dental Definition.
From dxobfmqaz.blob.core.windows.net
Desensitizer Meaning In Dentistry at Stephen Burke blog Desensitizing Dental Definition These substances act on the nerve endings and desensitize them relieving sensitivity. desensitizing toothpaste and mouthwash. the purpose of this study was to evaluate the efficacy and durability of five different dentin desensitizers (gluma. dentin hypersensitivity (dh) is a clinical symptom experienced due to exposed dentin from either enamel loss (erosion, abrasion,. These products may help block. Desensitizing Dental Definition.
From www.youtube.com
Billing for Dental Desensitizing Treatments YouTube Desensitizing Dental Definition dentin hypersensitivity (dh) is a clinical symptom experienced due to exposed dentin from either enamel loss (erosion, abrasion,. the purpose of this study was to evaluate the efficacy and durability of five different dentin desensitizers (gluma. dentists encourage patients to use a whole range of desensitising toothpastes when they complain of. dentin hypersensitivity (dh), referred to. Desensitizing Dental Definition.
From carmelwestdentistry.com
Is Desensitizing Toothpaste a Long Term Solution for Sensitive Teeth Desensitizing Dental Definition the purpose of this study was to evaluate the efficacy and durability of five different dentin desensitizers (gluma. desensitizing toothpaste and mouthwash. dentin hypersensitivity (dh) is a clinical symptom experienced due to exposed dentin from either enamel loss (erosion, abrasion,. These substances act on the nerve endings and desensitize them relieving sensitivity. dentin hypersensitivity (dh), referred. Desensitizing Dental Definition.
From www.safcodental.com
Gluma Desensitizer Safco Dental Supply Desensitizing Dental Definition dentists encourage patients to use a whole range of desensitising toothpastes when they complain of. the purpose of this study was to evaluate the efficacy and durability of five different dentin desensitizers (gluma. desensitizing toothpaste and mouthwash. dentin hypersensitivity (dh), referred to as the “common cold of dentistry,” is defined as short, sharp pain. These products. Desensitizing Dental Definition.
From www.humanusdental.se
TEETHMATE™ Desensensitizer Measuring spoon Desensitizing Dental Definition desensitizing toothpaste and mouthwash. dentin hypersensitivity (dh) is a clinical symptom experienced due to exposed dentin from either enamel loss (erosion, abrasion,. dentists encourage patients to use a whole range of desensitising toothpastes when they complain of. the purpose of this study was to evaluate the efficacy and durability of five different dentin desensitizers (gluma. . Desensitizing Dental Definition.
From www.keep28.com
Tooth Desensitization in Newmarket Tooth Desensitization Near You Desensitizing Dental Definition These substances act on the nerve endings and desensitize them relieving sensitivity. dentists encourage patients to use a whole range of desensitising toothpastes when they complain of. dentin hypersensitivity (dh), referred to as the “common cold of dentistry,” is defined as short, sharp pain. dentin hypersensitivity (dh) is a clinical symptom experienced due to exposed dentin from. Desensitizing Dental Definition.
From www.dsisrael.com
DSI SenseX Desensitizer DSI Dental Solutions Desensitizing Dental Definition the purpose of this study was to evaluate the efficacy and durability of five different dentin desensitizers (gluma. desensitizing toothpaste and mouthwash. dentin hypersensitivity (dh), referred to as the “common cold of dentistry,” is defined as short, sharp pain. dentin hypersensitivity (dh) is a clinical symptom experienced due to exposed dentin from either enamel loss (erosion,. Desensitizing Dental Definition.
From www.artofit.org
Verifying benefits and billing for dental desensitizing treatments Desensitizing Dental Definition dentin hypersensitivity (dh), referred to as the “common cold of dentistry,” is defined as short, sharp pain. the purpose of this study was to evaluate the efficacy and durability of five different dentin desensitizers (gluma. These products may help block the pain of sensitive teeth. These substances act on the nerve endings and desensitize them relieving sensitivity. . Desensitizing Dental Definition.