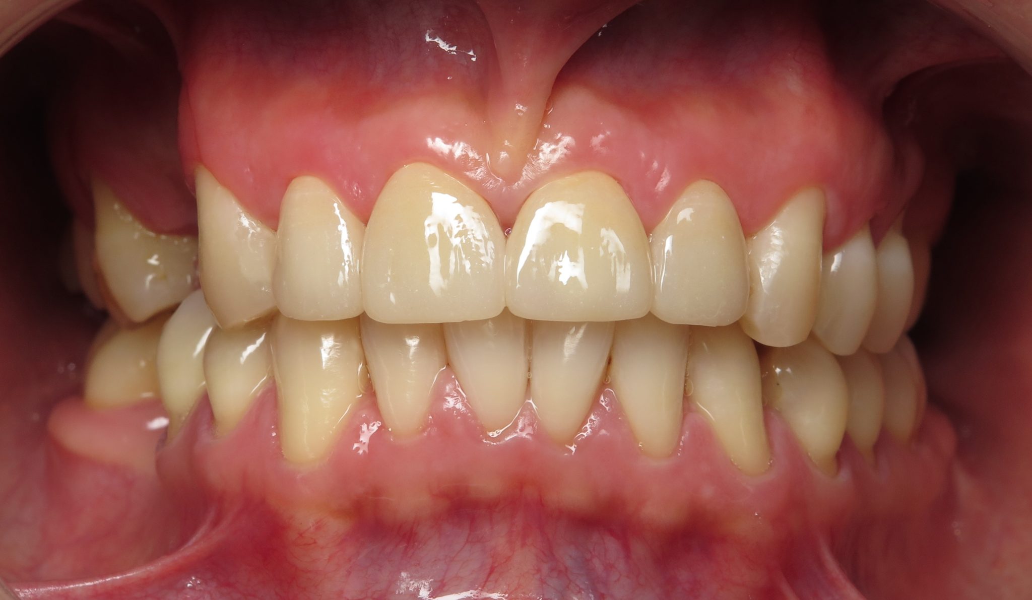
What Do Zirconia Crowns Look Like . Let’s break down exactly what a zirconia crown is, why people love them, and what the whole process of getting one looks. • do not need a metal base. Learn what zirconia is, how it differs from zirconium, and what types of zirconia crowns are available for your smile. What is a zirconia crown? • it is easy to. Trying to cut through a zirconia crown to create endodontic access can be quite challenging. Zirconia now looks better than ever. Made from a material called zirconium dioxide, these crowns are known for their extraordinary strength and durability. • look like natural tooth enamel because of their translucence and color. Find out how much they cost, how they are prepared, and how they compare to other crowns. Zirconia is a ceramic material used for dental crowns that is stronger, smoother, and more durable than porcelain or metal. Zirconia dental crowns are a type of dental procedure that can completely transform the look and feel of a damaged or decayed tooth.
from www.dentistindavie.com
Zirconia now looks better than ever. Made from a material called zirconium dioxide, these crowns are known for their extraordinary strength and durability. Zirconia is a ceramic material used for dental crowns that is stronger, smoother, and more durable than porcelain or metal. Find out how much they cost, how they are prepared, and how they compare to other crowns. • do not need a metal base. Zirconia dental crowns are a type of dental procedure that can completely transform the look and feel of a damaged or decayed tooth. Learn what zirconia is, how it differs from zirconium, and what types of zirconia crowns are available for your smile. • it is easy to. Trying to cut through a zirconia crown to create endodontic access can be quite challenging. What is a zirconia crown?
What is Good Dentistry A “Crowning Example” Kocher and Kocher Dentistry
What Do Zirconia Crowns Look Like Zirconia is a ceramic material used for dental crowns that is stronger, smoother, and more durable than porcelain or metal. Zirconia now looks better than ever. • do not need a metal base. Made from a material called zirconium dioxide, these crowns are known for their extraordinary strength and durability. Trying to cut through a zirconia crown to create endodontic access can be quite challenging. Zirconia is a ceramic material used for dental crowns that is stronger, smoother, and more durable than porcelain or metal. Let’s break down exactly what a zirconia crown is, why people love them, and what the whole process of getting one looks. Find out how much they cost, how they are prepared, and how they compare to other crowns. Zirconia dental crowns are a type of dental procedure that can completely transform the look and feel of a damaged or decayed tooth. Learn what zirconia is, how it differs from zirconium, and what types of zirconia crowns are available for your smile. • look like natural tooth enamel because of their translucence and color. What is a zirconia crown? • it is easy to.
From www.oakleydental.co.uk
Dental Crowns Cosmetic Dentists Oakley Dental Manchester What Do Zirconia Crowns Look Like • do not need a metal base. Zirconia now looks better than ever. Zirconia is a ceramic material used for dental crowns that is stronger, smoother, and more durable than porcelain or metal. Zirconia dental crowns are a type of dental procedure that can completely transform the look and feel of a damaged or decayed tooth. Made from a material. What Do Zirconia Crowns Look Like.
From crownworlddental.com
What makes Crown World BruxZir Esthetic zirconia crowns so different? What Do Zirconia Crowns Look Like • look like natural tooth enamel because of their translucence and color. Zirconia now looks better than ever. Zirconia dental crowns are a type of dental procedure that can completely transform the look and feel of a damaged or decayed tooth. Find out how much they cost, how they are prepared, and how they compare to other crowns. Learn what. What Do Zirconia Crowns Look Like.
From dentalexcellenceturkey.com
Dental Crown Dental Excellence Turkey Dental Clinic in Antalya Turkey What Do Zirconia Crowns Look Like Zirconia now looks better than ever. Zirconia is a ceramic material used for dental crowns that is stronger, smoother, and more durable than porcelain or metal. • do not need a metal base. Learn what zirconia is, how it differs from zirconium, and what types of zirconia crowns are available for your smile. What is a zirconia crown? • it. What Do Zirconia Crowns Look Like.
From cdc.com.al
Zirconia Crown vs Emax Crown Which is The Best Option? What Do Zirconia Crowns Look Like • it is easy to. Learn what zirconia is, how it differs from zirconium, and what types of zirconia crowns are available for your smile. Zirconia is a ceramic material used for dental crowns that is stronger, smoother, and more durable than porcelain or metal. Made from a material called zirconium dioxide, these crowns are known for their extraordinary strength. What Do Zirconia Crowns Look Like.
From friscokidsdds.com
White Zirconia Dental Crowns for Children Dr. Paul Rubin Frisco What Do Zirconia Crowns Look Like What is a zirconia crown? • it is easy to. Trying to cut through a zirconia crown to create endodontic access can be quite challenging. Learn what zirconia is, how it differs from zirconium, and what types of zirconia crowns are available for your smile. Find out how much they cost, how they are prepared, and how they compare to. What Do Zirconia Crowns Look Like.
From www.seasons-of-smiles.com
What do Zirconium Crowns look like? • Seasons of Smiles Dental Arthur What Do Zirconia Crowns Look Like • it is easy to. Let’s break down exactly what a zirconia crown is, why people love them, and what the whole process of getting one looks. Made from a material called zirconium dioxide, these crowns are known for their extraordinary strength and durability. • look like natural tooth enamel because of their translucence and color. What is a zirconia. What Do Zirconia Crowns Look Like.
From marylandholisticdentist.com
Zirconia Dental ImplantsWhat are they and the Benefits What Do Zirconia Crowns Look Like Zirconia dental crowns are a type of dental procedure that can completely transform the look and feel of a damaged or decayed tooth. Let’s break down exactly what a zirconia crown is, why people love them, and what the whole process of getting one looks. Zirconia is a ceramic material used for dental crowns that is stronger, smoother, and more. What Do Zirconia Crowns Look Like.
From www.makinglakelandsmile.com
How Is a Dental Crown Fitted? Kawveh Nofallah DMD What Do Zirconia Crowns Look Like Zirconia now looks better than ever. Zirconia dental crowns are a type of dental procedure that can completely transform the look and feel of a damaged or decayed tooth. • do not need a metal base. Made from a material called zirconium dioxide, these crowns are known for their extraordinary strength and durability. • it is easy to. Zirconia is. What Do Zirconia Crowns Look Like.
From pindandentallab.com
Zirconia Crown Zirconia Dental Implant Pindan Dental Lab What Do Zirconia Crowns Look Like Zirconia now looks better than ever. Made from a material called zirconium dioxide, these crowns are known for their extraordinary strength and durability. Trying to cut through a zirconia crown to create endodontic access can be quite challenging. • look like natural tooth enamel because of their translucence and color. Let’s break down exactly what a zirconia crown is, why. What Do Zirconia Crowns Look Like.
From cdc.com.al
Zirconia Crown vs Emax Crown Which is The Best Option? What Do Zirconia Crowns Look Like What is a zirconia crown? • look like natural tooth enamel because of their translucence and color. Zirconia dental crowns are a type of dental procedure that can completely transform the look and feel of a damaged or decayed tooth. • do not need a metal base. Zirconia now looks better than ever. Made from a material called zirconium dioxide,. What Do Zirconia Crowns Look Like.
From dxoriwmko.blob.core.windows.net
How Do Dentists Remove An Old Crown at Margaret Bown blog What Do Zirconia Crowns Look Like Made from a material called zirconium dioxide, these crowns are known for their extraordinary strength and durability. Zirconia now looks better than ever. • look like natural tooth enamel because of their translucence and color. • it is easy to. Learn what zirconia is, how it differs from zirconium, and what types of zirconia crowns are available for your smile.. What Do Zirconia Crowns Look Like.
From stomadentlab.com
Zirconia Crowns What Are The Options? STOMADENT What Do Zirconia Crowns Look Like • look like natural tooth enamel because of their translucence and color. Find out how much they cost, how they are prepared, and how they compare to other crowns. • it is easy to. What is a zirconia crown? Zirconia dental crowns are a type of dental procedure that can completely transform the look and feel of a damaged or. What Do Zirconia Crowns Look Like.
From dentalexcellenceturkey.com
What E.MAX and Zirconia Crowns Are? Dental Excellence Turkey Blog What Do Zirconia Crowns Look Like Let’s break down exactly what a zirconia crown is, why people love them, and what the whole process of getting one looks. Zirconia now looks better than ever. Trying to cut through a zirconia crown to create endodontic access can be quite challenging. Zirconia is a ceramic material used for dental crowns that is stronger, smoother, and more durable than. What Do Zirconia Crowns Look Like.
From www.dentistindavie.com
What is Good Dentistry A “Crowning Example” Kocher and Kocher Dentistry What Do Zirconia Crowns Look Like Zirconia now looks better than ever. Made from a material called zirconium dioxide, these crowns are known for their extraordinary strength and durability. Trying to cut through a zirconia crown to create endodontic access can be quite challenging. Zirconia is a ceramic material used for dental crowns that is stronger, smoother, and more durable than porcelain or metal. Let’s break. What Do Zirconia Crowns Look Like.
From lakeforestdentalarts.com
Zirconia Crowns Types, Uses of zirconium crowns What Do Zirconia Crowns Look Like Zirconia is a ceramic material used for dental crowns that is stronger, smoother, and more durable than porcelain or metal. Made from a material called zirconium dioxide, these crowns are known for their extraordinary strength and durability. • do not need a metal base. Learn what zirconia is, how it differs from zirconium, and what types of zirconia crowns are. What Do Zirconia Crowns Look Like.
From www.pinterest.com.au
Splinted zirconia crowns were replaced with IPS e.max restorations What Do Zirconia Crowns Look Like Let’s break down exactly what a zirconia crown is, why people love them, and what the whole process of getting one looks. Zirconia now looks better than ever. Trying to cut through a zirconia crown to create endodontic access can be quite challenging. Zirconia dental crowns are a type of dental procedure that can completely transform the look and feel. What Do Zirconia Crowns Look Like.
From semdent.com
Zirconia Tooth Crowns Semdent What Do Zirconia Crowns Look Like Zirconia is a ceramic material used for dental crowns that is stronger, smoother, and more durable than porcelain or metal. • it is easy to. • do not need a metal base. What is a zirconia crown? Find out how much they cost, how they are prepared, and how they compare to other crowns. Zirconia now looks better than ever.. What Do Zirconia Crowns Look Like.
From www.pinterest.com
Crown Full Zirconia Monolithic What Do Zirconia Crowns Look Like Made from a material called zirconium dioxide, these crowns are known for their extraordinary strength and durability. Zirconia is a ceramic material used for dental crowns that is stronger, smoother, and more durable than porcelain or metal. Zirconia dental crowns are a type of dental procedure that can completely transform the look and feel of a damaged or decayed tooth.. What Do Zirconia Crowns Look Like.
From dentakings.com
Zirconia Crowns Denta Kings What Do Zirconia Crowns Look Like Let’s break down exactly what a zirconia crown is, why people love them, and what the whole process of getting one looks. Trying to cut through a zirconia crown to create endodontic access can be quite challenging. What is a zirconia crown? • it is easy to. Zirconia now looks better than ever. Zirconia dental crowns are a type of. What Do Zirconia Crowns Look Like.
From www.oldhookdental.com
Dental Crowns What Do Zirconia Crowns Look Like Zirconia is a ceramic material used for dental crowns that is stronger, smoother, and more durable than porcelain or metal. Find out how much they cost, how they are prepared, and how they compare to other crowns. What is a zirconia crown? Zirconia now looks better than ever. Trying to cut through a zirconia crown to create endodontic access can. What Do Zirconia Crowns Look Like.
From synergydental.org.uk
Zirconia Crowns Dr. Zuber Bagasi • Synergy Dental Clinic What Do Zirconia Crowns Look Like Zirconia is a ceramic material used for dental crowns that is stronger, smoother, and more durable than porcelain or metal. • do not need a metal base. What is a zirconia crown? • look like natural tooth enamel because of their translucence and color. Find out how much they cost, how they are prepared, and how they compare to other. What Do Zirconia Crowns Look Like.
From classicsmiles.com
NaturalLooking Dental Crowns in Troy, AL What Do Zirconia Crowns Look Like Zirconia dental crowns are a type of dental procedure that can completely transform the look and feel of a damaged or decayed tooth. Trying to cut through a zirconia crown to create endodontic access can be quite challenging. Find out how much they cost, how they are prepared, and how they compare to other crowns. Zirconia now looks better than. What Do Zirconia Crowns Look Like.
From exyjqcipo.blob.core.windows.net
What Is The Lab Fee For A Crown at Mary Livingston blog What Do Zirconia Crowns Look Like • look like natural tooth enamel because of their translucence and color. Made from a material called zirconium dioxide, these crowns are known for their extraordinary strength and durability. • do not need a metal base. What is a zirconia crown? Let’s break down exactly what a zirconia crown is, why people love them, and what the whole process of. What Do Zirconia Crowns Look Like.
From dentalsolutionsalgodones.com
Know more about zirconia crowns Dental Solutions Algodones What Do Zirconia Crowns Look Like Trying to cut through a zirconia crown to create endodontic access can be quite challenging. Zirconia now looks better than ever. • look like natural tooth enamel because of their translucence and color. Made from a material called zirconium dioxide, these crowns are known for their extraordinary strength and durability. Learn what zirconia is, how it differs from zirconium, and. What Do Zirconia Crowns Look Like.
From glidewelldental.com
How to Prep and Cement Zirconia Crowns Glidewell What Do Zirconia Crowns Look Like What is a zirconia crown? Learn what zirconia is, how it differs from zirconium, and what types of zirconia crowns are available for your smile. Zirconia is a ceramic material used for dental crowns that is stronger, smoother, and more durable than porcelain or metal. Trying to cut through a zirconia crown to create endodontic access can be quite challenging.. What Do Zirconia Crowns Look Like.
From www.dentallaboratorio.com
Ceramic Dental Crowns Type Cost And Advantage What Do Zirconia Crowns Look Like Zirconia now looks better than ever. Trying to cut through a zirconia crown to create endodontic access can be quite challenging. Made from a material called zirconium dioxide, these crowns are known for their extraordinary strength and durability. Let’s break down exactly what a zirconia crown is, why people love them, and what the whole process of getting one looks.. What Do Zirconia Crowns Look Like.
From ar.inspiredpencil.com
Front Tooth Crown What Do Zirconia Crowns Look Like Zirconia is a ceramic material used for dental crowns that is stronger, smoother, and more durable than porcelain or metal. • look like natural tooth enamel because of their translucence and color. Trying to cut through a zirconia crown to create endodontic access can be quite challenging. Let’s break down exactly what a zirconia crown is, why people love them,. What Do Zirconia Crowns Look Like.
From www.turcountry.com
What Are the Advantages and Disadvantages of Zirconium Crown What Do Zirconia Crowns Look Like Made from a material called zirconium dioxide, these crowns are known for their extraordinary strength and durability. • look like natural tooth enamel because of their translucence and color. Zirconia now looks better than ever. Learn what zirconia is, how it differs from zirconium, and what types of zirconia crowns are available for your smile. • do not need a. What Do Zirconia Crowns Look Like.
From www.illusiondentallab.com
Zirconia Crown Price in India Affordable Dental Restorations What Do Zirconia Crowns Look Like Let’s break down exactly what a zirconia crown is, why people love them, and what the whole process of getting one looks. Made from a material called zirconium dioxide, these crowns are known for their extraordinary strength and durability. • look like natural tooth enamel because of their translucence and color. Zirconia is a ceramic material used for dental crowns. What Do Zirconia Crowns Look Like.
From exovcafys.blob.core.windows.net
Cementing Zirconia Crowns at Flor Williams blog What Do Zirconia Crowns Look Like Zirconia now looks better than ever. Zirconia dental crowns are a type of dental procedure that can completely transform the look and feel of a damaged or decayed tooth. What is a zirconia crown? Let’s break down exactly what a zirconia crown is, why people love them, and what the whole process of getting one looks. Find out how much. What Do Zirconia Crowns Look Like.
From mymagnoliadental.com
What are Zirconia Crowns? Magnolia Dental What Do Zirconia Crowns Look Like Zirconia is a ceramic material used for dental crowns that is stronger, smoother, and more durable than porcelain or metal. Zirconia now looks better than ever. Find out how much they cost, how they are prepared, and how they compare to other crowns. • it is easy to. • do not need a metal base. Trying to cut through a. What Do Zirconia Crowns Look Like.
From www.researchgate.net
Anterior zirconia crown’s application technique. a Preoperative What Do Zirconia Crowns Look Like Learn what zirconia is, how it differs from zirconium, and what types of zirconia crowns are available for your smile. What is a zirconia crown? Find out how much they cost, how they are prepared, and how they compare to other crowns. Zirconia dental crowns are a type of dental procedure that can completely transform the look and feel of. What Do Zirconia Crowns Look Like.
From www.topzir.com
What is Zirconia A Closer Look at the Material Shaping the Future of What Do Zirconia Crowns Look Like Trying to cut through a zirconia crown to create endodontic access can be quite challenging. • look like natural tooth enamel because of their translucence and color. Let’s break down exactly what a zirconia crown is, why people love them, and what the whole process of getting one looks. Made from a material called zirconium dioxide, these crowns are known. What Do Zirconia Crowns Look Like.
From joyfulteeth.com
Should you get an all ceramic or gold crown? JoyFulTeeth! What Do Zirconia Crowns Look Like What is a zirconia crown? Zirconia now looks better than ever. • do not need a metal base. Learn what zirconia is, how it differs from zirconium, and what types of zirconia crowns are available for your smile. Zirconia is a ceramic material used for dental crowns that is stronger, smoother, and more durable than porcelain or metal. Trying to. What Do Zirconia Crowns Look Like.
From www.youtube.com
Dental Implants & Zirconia Crowns Patient Review YouTube What Do Zirconia Crowns Look Like Learn what zirconia is, how it differs from zirconium, and what types of zirconia crowns are available for your smile. • look like natural tooth enamel because of their translucence and color. Zirconia is a ceramic material used for dental crowns that is stronger, smoother, and more durable than porcelain or metal. Find out how much they cost, how they. What Do Zirconia Crowns Look Like.