What Are Rheumatoid Nodules In Lungs . These bumps can be as large as a. Lung nodules usually cause no signs. The respiratory system can be less often involved at the upper. There may be multiple nodules in both lungs. Small lumps can form in the lungs (rheumatoid nodules), as well as in other parts of the body. They are commonly multiple but may manifest as a single nodule. Rheumatoid lung nodules at ct are round or lobulated, several millimeters to several centimeters in size, and often peripheral with mid upper lung predominance. Lungs as a site for the initiation of rheumatoid arthritis (ra). Rheumatoid nodules are firm lumps under the skin. They tend to form close to joints in people affected by rheumatoid arthritis. Often called rheumatoid nodules, these benign lumps rarely cause symptoms but occasionally can rupture. Lung nodules that develop from ra, called pulmonary rheumatoid nodules, are rare.
from www.consultant360.com
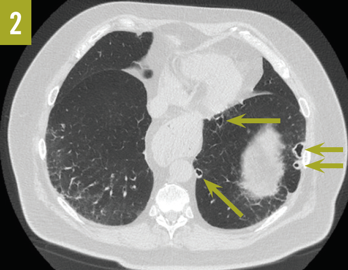
Rheumatoid lung nodules at ct are round or lobulated, several millimeters to several centimeters in size, and often peripheral with mid upper lung predominance. There may be multiple nodules in both lungs. Lung nodules usually cause no signs. Rheumatoid nodules are firm lumps under the skin. They tend to form close to joints in people affected by rheumatoid arthritis. Lungs as a site for the initiation of rheumatoid arthritis (ra). Often called rheumatoid nodules, these benign lumps rarely cause symptoms but occasionally can rupture. These bumps can be as large as a. They are commonly multiple but may manifest as a single nodule. Lung nodules that develop from ra, called pulmonary rheumatoid nodules, are rare.
A Collection of Conditions Affecting the Lungs Consultant360
What Are Rheumatoid Nodules In Lungs Lungs as a site for the initiation of rheumatoid arthritis (ra). Rheumatoid lung nodules at ct are round or lobulated, several millimeters to several centimeters in size, and often peripheral with mid upper lung predominance. Lungs as a site for the initiation of rheumatoid arthritis (ra). Small lumps can form in the lungs (rheumatoid nodules), as well as in other parts of the body. There may be multiple nodules in both lungs. Rheumatoid nodules are firm lumps under the skin. These bumps can be as large as a. They tend to form close to joints in people affected by rheumatoid arthritis. Lung nodules usually cause no signs. Often called rheumatoid nodules, these benign lumps rarely cause symptoms but occasionally can rupture. They are commonly multiple but may manifest as a single nodule. The respiratory system can be less often involved at the upper. Lung nodules that develop from ra, called pulmonary rheumatoid nodules, are rare.
From err.ersjournals.com
Rheumatoid arthritisinterstitial lung disease manifestations and What Are Rheumatoid Nodules In Lungs They are commonly multiple but may manifest as a single nodule. Lungs as a site for the initiation of rheumatoid arthritis (ra). There may be multiple nodules in both lungs. Small lumps can form in the lungs (rheumatoid nodules), as well as in other parts of the body. The respiratory system can be less often involved at the upper. Lung. What Are Rheumatoid Nodules In Lungs.
From err.ersjournals.com
Rheumatoid arthritisassociated lung disease European Respiratory Society What Are Rheumatoid Nodules In Lungs The respiratory system can be less often involved at the upper. Often called rheumatoid nodules, these benign lumps rarely cause symptoms but occasionally can rupture. Lungs as a site for the initiation of rheumatoid arthritis (ra). There may be multiple nodules in both lungs. They are commonly multiple but may manifest as a single nodule. Small lumps can form in. What Are Rheumatoid Nodules In Lungs.
From www.clinicalradiologyonline.net
Multiple calcified pulmonary nodules an unusual presentation of What Are Rheumatoid Nodules In Lungs They are commonly multiple but may manifest as a single nodule. Lung nodules usually cause no signs. Rheumatoid lung nodules at ct are round or lobulated, several millimeters to several centimeters in size, and often peripheral with mid upper lung predominance. Small lumps can form in the lungs (rheumatoid nodules), as well as in other parts of the body. Lung. What Are Rheumatoid Nodules In Lungs.
From www.consultant360.com
A Collection of Conditions Affecting the Lungs Consultant360 What Are Rheumatoid Nodules In Lungs Often called rheumatoid nodules, these benign lumps rarely cause symptoms but occasionally can rupture. Lungs as a site for the initiation of rheumatoid arthritis (ra). There may be multiple nodules in both lungs. The respiratory system can be less often involved at the upper. They are commonly multiple but may manifest as a single nodule. Rheumatoid nodules are firm lumps. What Are Rheumatoid Nodules In Lungs.
From pubs.rsna.org
Thoracic Manifestations of Rheumatoid Arthritis RadioGraphics What Are Rheumatoid Nodules In Lungs Lung nodules that develop from ra, called pulmonary rheumatoid nodules, are rare. They tend to form close to joints in people affected by rheumatoid arthritis. Lung nodules usually cause no signs. They are commonly multiple but may manifest as a single nodule. Rheumatoid lung nodules at ct are round or lobulated, several millimeters to several centimeters in size, and often. What Are Rheumatoid Nodules In Lungs.
From in.pinterest.com
Rheumatoid Nodules. Above Frontal radiograph of chest shows What Are Rheumatoid Nodules In Lungs Lungs as a site for the initiation of rheumatoid arthritis (ra). They tend to form close to joints in people affected by rheumatoid arthritis. They are commonly multiple but may manifest as a single nodule. Lung nodules that develop from ra, called pulmonary rheumatoid nodules, are rare. The respiratory system can be less often involved at the upper. Rheumatoid nodules. What Are Rheumatoid Nodules In Lungs.
From www.reumatologiaclinica.org
Pulmonary Rheumatoid Nodules Presentation, Methods, Diagnosis and What Are Rheumatoid Nodules In Lungs These bumps can be as large as a. The respiratory system can be less often involved at the upper. Lung nodules usually cause no signs. Rheumatoid nodules are firm lumps under the skin. They are commonly multiple but may manifest as a single nodule. Often called rheumatoid nodules, these benign lumps rarely cause symptoms but occasionally can rupture. There may. What Are Rheumatoid Nodules In Lungs.
From www.doctorpedia.com
Pulmonary Manifestations of Rheumatoid Arthritis Doctorpedia What Are Rheumatoid Nodules In Lungs Lungs as a site for the initiation of rheumatoid arthritis (ra). Lung nodules that develop from ra, called pulmonary rheumatoid nodules, are rare. Rheumatoid nodules are firm lumps under the skin. These bumps can be as large as a. There may be multiple nodules in both lungs. Small lumps can form in the lungs (rheumatoid nodules), as well as in. What Are Rheumatoid Nodules In Lungs.
From www.health4fitnessblog.com
Can Rheumatoid Arthritis Affect The Lungs? Health4Fitness What Are Rheumatoid Nodules In Lungs Often called rheumatoid nodules, these benign lumps rarely cause symptoms but occasionally can rupture. They tend to form close to joints in people affected by rheumatoid arthritis. Lung nodules that develop from ra, called pulmonary rheumatoid nodules, are rare. Lungs as a site for the initiation of rheumatoid arthritis (ra). Rheumatoid nodules are firm lumps under the skin. Rheumatoid lung. What Are Rheumatoid Nodules In Lungs.
From www.cureus.com
Cureus Rheumatoid Arthritis Related Interstitial Lung Disease What Are Rheumatoid Nodules In Lungs These bumps can be as large as a. Rheumatoid lung nodules at ct are round or lobulated, several millimeters to several centimeters in size, and often peripheral with mid upper lung predominance. They are commonly multiple but may manifest as a single nodule. Lung nodules usually cause no signs. Lungs as a site for the initiation of rheumatoid arthritis (ra).. What Are Rheumatoid Nodules In Lungs.
From err.ersjournals.com
Rheumatoid arthritisassociated lung disease European Respiratory Society What Are Rheumatoid Nodules In Lungs They are commonly multiple but may manifest as a single nodule. These bumps can be as large as a. There may be multiple nodules in both lungs. The respiratory system can be less often involved at the upper. Rheumatoid lung nodules at ct are round or lobulated, several millimeters to several centimeters in size, and often peripheral with mid upper. What Are Rheumatoid Nodules In Lungs.
From casereports.bmj.com
Rheumatoid lung nodule BMJ Case Reports What Are Rheumatoid Nodules In Lungs Small lumps can form in the lungs (rheumatoid nodules), as well as in other parts of the body. There may be multiple nodules in both lungs. Lung nodules usually cause no signs. Lungs as a site for the initiation of rheumatoid arthritis (ra). These bumps can be as large as a. Often called rheumatoid nodules, these benign lumps rarely cause. What Are Rheumatoid Nodules In Lungs.
From hubpages.com
Rheumatoid Nodules Guaranteed Indicators of Rheumatoid Arthritis What Are Rheumatoid Nodules In Lungs They tend to form close to joints in people affected by rheumatoid arthritis. Lung nodules that develop from ra, called pulmonary rheumatoid nodules, are rare. There may be multiple nodules in both lungs. Lungs as a site for the initiation of rheumatoid arthritis (ra). Small lumps can form in the lungs (rheumatoid nodules), as well as in other parts of. What Are Rheumatoid Nodules In Lungs.
From www.jrheum.org
Marked Regression of Pulmonary Rheumatoid Nodules Under Etanercept What Are Rheumatoid Nodules In Lungs Rheumatoid lung nodules at ct are round or lobulated, several millimeters to several centimeters in size, and often peripheral with mid upper lung predominance. Often called rheumatoid nodules, these benign lumps rarely cause symptoms but occasionally can rupture. The respiratory system can be less often involved at the upper. These bumps can be as large as a. They are commonly. What Are Rheumatoid Nodules In Lungs.
From nras.org.uk
The effects of RA on the lungs NRAS What Are Rheumatoid Nodules In Lungs Rheumatoid lung nodules at ct are round or lobulated, several millimeters to several centimeters in size, and often peripheral with mid upper lung predominance. Lung nodules usually cause no signs. These bumps can be as large as a. Rheumatoid nodules are firm lumps under the skin. Often called rheumatoid nodules, these benign lumps rarely cause symptoms but occasionally can rupture.. What Are Rheumatoid Nodules In Lungs.
From www.consultant360.com
A Collection of Conditions Affecting the Lungs Consultant360 What Are Rheumatoid Nodules In Lungs Lungs as a site for the initiation of rheumatoid arthritis (ra). Lung nodules that develop from ra, called pulmonary rheumatoid nodules, are rare. Lung nodules usually cause no signs. The respiratory system can be less often involved at the upper. Small lumps can form in the lungs (rheumatoid nodules), as well as in other parts of the body. They are. What Are Rheumatoid Nodules In Lungs.
From radiopaedia.org
Rheumatoid arthritisassociated interstitial lung disease (UIP pattern What Are Rheumatoid Nodules In Lungs Lungs as a site for the initiation of rheumatoid arthritis (ra). The respiratory system can be less often involved at the upper. They are commonly multiple but may manifest as a single nodule. These bumps can be as large as a. Often called rheumatoid nodules, these benign lumps rarely cause symptoms but occasionally can rupture. Lung nodules usually cause no. What Are Rheumatoid Nodules In Lungs.
From www.reumatologiaclinica.org
Pulmonary Rheumatoid Nodules Presentation, Methods, Diagnosis and What Are Rheumatoid Nodules In Lungs Rheumatoid nodules are firm lumps under the skin. They tend to form close to joints in people affected by rheumatoid arthritis. The respiratory system can be less often involved at the upper. Rheumatoid lung nodules at ct are round or lobulated, several millimeters to several centimeters in size, and often peripheral with mid upper lung predominance. Lung nodules that develop. What Are Rheumatoid Nodules In Lungs.
From healthjade.com
Rheumatoid nodules causes, symptoms, diagnosis & treatment What Are Rheumatoid Nodules In Lungs There may be multiple nodules in both lungs. Rheumatoid nodules are firm lumps under the skin. Lungs as a site for the initiation of rheumatoid arthritis (ra). Lung nodules that develop from ra, called pulmonary rheumatoid nodules, are rare. These bumps can be as large as a. Small lumps can form in the lungs (rheumatoid nodules), as well as in. What Are Rheumatoid Nodules In Lungs.
From www.cureus.com
Acute Exacerbation of Rheumatoid ArthritisAssociated Interstitial Lung What Are Rheumatoid Nodules In Lungs Often called rheumatoid nodules, these benign lumps rarely cause symptoms but occasionally can rupture. They are commonly multiple but may manifest as a single nodule. Rheumatoid lung nodules at ct are round or lobulated, several millimeters to several centimeters in size, and often peripheral with mid upper lung predominance. These bumps can be as large as a. They tend to. What Are Rheumatoid Nodules In Lungs.
From pubs.rsna.org
Thoracic Manifestations of Rheumatoid Arthritis RadioGraphics What Are Rheumatoid Nodules In Lungs These bumps can be as large as a. Rheumatoid nodules are firm lumps under the skin. Lungs as a site for the initiation of rheumatoid arthritis (ra). There may be multiple nodules in both lungs. Lung nodules usually cause no signs. They tend to form close to joints in people affected by rheumatoid arthritis. Rheumatoid lung nodules at ct are. What Are Rheumatoid Nodules In Lungs.
From www.pinterest.com.mx
Rheumatoid nodules of the lung. (Nódulos reumatoides del pulmón) Fuente What Are Rheumatoid Nodules In Lungs Rheumatoid lung nodules at ct are round or lobulated, several millimeters to several centimeters in size, and often peripheral with mid upper lung predominance. Rheumatoid nodules are firm lumps under the skin. Lung nodules usually cause no signs. Lung nodules that develop from ra, called pulmonary rheumatoid nodules, are rare. Often called rheumatoid nodules, these benign lumps rarely cause symptoms. What Are Rheumatoid Nodules In Lungs.
From www.slideserve.com
PPT Rheumatoid Lung Disease PowerPoint Presentation, free download What Are Rheumatoid Nodules In Lungs The respiratory system can be less often involved at the upper. Rheumatoid nodules are firm lumps under the skin. These bumps can be as large as a. Often called rheumatoid nodules, these benign lumps rarely cause symptoms but occasionally can rupture. Lung nodules that develop from ra, called pulmonary rheumatoid nodules, are rare. Rheumatoid lung nodules at ct are round. What Are Rheumatoid Nodules In Lungs.
From ar.inspiredpencil.com
Arthritis Nodules On Lungs What Are Rheumatoid Nodules In Lungs There may be multiple nodules in both lungs. Lung nodules that develop from ra, called pulmonary rheumatoid nodules, are rare. Lungs as a site for the initiation of rheumatoid arthritis (ra). Lung nodules usually cause no signs. Often called rheumatoid nodules, these benign lumps rarely cause symptoms but occasionally can rupture. They are commonly multiple but may manifest as a. What Are Rheumatoid Nodules In Lungs.
From radiopaedia.org
Rheumatoid arthritisassociated interstitial lung disease (UIP pattern What Are Rheumatoid Nodules In Lungs They tend to form close to joints in people affected by rheumatoid arthritis. The respiratory system can be less often involved at the upper. Lung nodules usually cause no signs. They are commonly multiple but may manifest as a single nodule. Often called rheumatoid nodules, these benign lumps rarely cause symptoms but occasionally can rupture. Lungs as a site for. What Are Rheumatoid Nodules In Lungs.
From www.verywellhealth.com
Rheumatoid Lung Disease Overview and More What Are Rheumatoid Nodules In Lungs Lungs as a site for the initiation of rheumatoid arthritis (ra). Rheumatoid nodules are firm lumps under the skin. These bumps can be as large as a. The respiratory system can be less often involved at the upper. Small lumps can form in the lungs (rheumatoid nodules), as well as in other parts of the body. Lung nodules that develop. What Are Rheumatoid Nodules In Lungs.
From err.ersjournals.com
Rheumatoid arthritisassociated lung disease European Respiratory Society What Are Rheumatoid Nodules In Lungs There may be multiple nodules in both lungs. Rheumatoid nodules are firm lumps under the skin. Lungs as a site for the initiation of rheumatoid arthritis (ra). They tend to form close to joints in people affected by rheumatoid arthritis. Often called rheumatoid nodules, these benign lumps rarely cause symptoms but occasionally can rupture. They are commonly multiple but may. What Are Rheumatoid Nodules In Lungs.
From casereports.bmj.com
New pulmonary nodules in a patient with rheumatoid arthritis BMJ Case What Are Rheumatoid Nodules In Lungs Lung nodules usually cause no signs. Small lumps can form in the lungs (rheumatoid nodules), as well as in other parts of the body. These bumps can be as large as a. There may be multiple nodules in both lungs. Lungs as a site for the initiation of rheumatoid arthritis (ra). They are commonly multiple but may manifest as a. What Are Rheumatoid Nodules In Lungs.
From www.chestmed.theclinics.com
Pulmonary Manifestations of Rheumatoid Arthritis Clinics in Chest What Are Rheumatoid Nodules In Lungs Often called rheumatoid nodules, these benign lumps rarely cause symptoms but occasionally can rupture. Lung nodules that develop from ra, called pulmonary rheumatoid nodules, are rare. Rheumatoid lung nodules at ct are round or lobulated, several millimeters to several centimeters in size, and often peripheral with mid upper lung predominance. The respiratory system can be less often involved at the. What Are Rheumatoid Nodules In Lungs.
From www.youtube.com
Rheumatoid Lung Disease YouTube What Are Rheumatoid Nodules In Lungs Rheumatoid nodules are firm lumps under the skin. There may be multiple nodules in both lungs. They are commonly multiple but may manifest as a single nodule. Small lumps can form in the lungs (rheumatoid nodules), as well as in other parts of the body. Lungs as a site for the initiation of rheumatoid arthritis (ra). Rheumatoid lung nodules at. What Are Rheumatoid Nodules In Lungs.
From casereports.bmj.com
New pulmonary nodules in a patient with rheumatoid arthritis BMJ Case What Are Rheumatoid Nodules In Lungs These bumps can be as large as a. Small lumps can form in the lungs (rheumatoid nodules), as well as in other parts of the body. Often called rheumatoid nodules, these benign lumps rarely cause symptoms but occasionally can rupture. There may be multiple nodules in both lungs. Rheumatoid lung nodules at ct are round or lobulated, several millimeters to. What Are Rheumatoid Nodules In Lungs.
From www.cureus.com
Cureus A Case of Rheumatoid ArthritisAssociated Interstitial Lung What Are Rheumatoid Nodules In Lungs Lung nodules that develop from ra, called pulmonary rheumatoid nodules, are rare. These bumps can be as large as a. Lungs as a site for the initiation of rheumatoid arthritis (ra). The respiratory system can be less often involved at the upper. They tend to form close to joints in people affected by rheumatoid arthritis. Rheumatoid lung nodules at ct. What Are Rheumatoid Nodules In Lungs.
From www.researchgate.net
the spectrum of Raassociated lung disease. a A CT image of a What Are Rheumatoid Nodules In Lungs Often called rheumatoid nodules, these benign lumps rarely cause symptoms but occasionally can rupture. Lung nodules that develop from ra, called pulmonary rheumatoid nodules, are rare. Rheumatoid lung nodules at ct are round or lobulated, several millimeters to several centimeters in size, and often peripheral with mid upper lung predominance. Small lumps can form in the lungs (rheumatoid nodules), as. What Are Rheumatoid Nodules In Lungs.
From www.dovemed.com
Rheumatoid Nodules of Lung DoveMed What Are Rheumatoid Nodules In Lungs Rheumatoid lung nodules at ct are round or lobulated, several millimeters to several centimeters in size, and often peripheral with mid upper lung predominance. They are commonly multiple but may manifest as a single nodule. The respiratory system can be less often involved at the upper. Small lumps can form in the lungs (rheumatoid nodules), as well as in other. What Are Rheumatoid Nodules In Lungs.
From pregnancylinefr.blogspot.com
Rheumatoid Arthritis Interstitial Lung Disease Pregnant Center What Are Rheumatoid Nodules In Lungs The respiratory system can be less often involved at the upper. They are commonly multiple but may manifest as a single nodule. Rheumatoid lung nodules at ct are round or lobulated, several millimeters to several centimeters in size, and often peripheral with mid upper lung predominance. Rheumatoid nodules are firm lumps under the skin. Lung nodules usually cause no signs.. What Are Rheumatoid Nodules In Lungs.