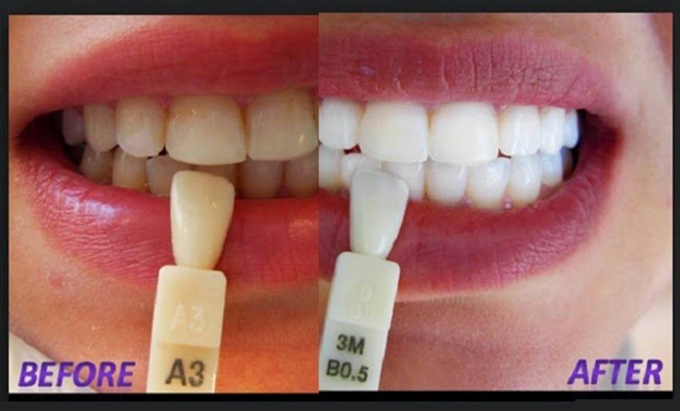
Whitest Natural Teeth . They represent the whitest tooth. Of course the bleached colors are whiter than the all natural. Home remedies remove surface stains. How to whiten your teeth depends on your preferences, goals, and budget. Unlike the stark or artificial whites that. The a1 and b1 tooth shades are the lightest and whitest natural tooth colors in the vita shade guide that is commonly used by dentists to compare teeth. The color chart for dental veneers includes the natural tooth shades as well as the bleached tooth shades. What is a natural tooth shade? Dentists offer stronger whitening treatments.
from www.youtube.com
They represent the whitest tooth. Dentists offer stronger whitening treatments. Unlike the stark or artificial whites that. What is a natural tooth shade? The color chart for dental veneers includes the natural tooth shades as well as the bleached tooth shades. Of course the bleached colors are whiter than the all natural. How to whiten your teeth depends on your preferences, goals, and budget. Home remedies remove surface stains. The a1 and b1 tooth shades are the lightest and whitest natural tooth colors in the vita shade guide that is commonly used by dentists to compare teeth.
4 Simple Natural Ways To Whiten Your Teeth At Home YouTube
Whitest Natural Teeth The a1 and b1 tooth shades are the lightest and whitest natural tooth colors in the vita shade guide that is commonly used by dentists to compare teeth. What is a natural tooth shade? They represent the whitest tooth. The a1 and b1 tooth shades are the lightest and whitest natural tooth colors in the vita shade guide that is commonly used by dentists to compare teeth. Dentists offer stronger whitening treatments. Unlike the stark or artificial whites that. Home remedies remove surface stains. How to whiten your teeth depends on your preferences, goals, and budget. Of course the bleached colors are whiter than the all natural. The color chart for dental veneers includes the natural tooth shades as well as the bleached tooth shades.
From fashiondaily.org
15 NATURAL Ways to Whiten Your Teeth Homemade Teeth Whiteners Whitest Natural Teeth Unlike the stark or artificial whites that. They represent the whitest tooth. The a1 and b1 tooth shades are the lightest and whitest natural tooth colors in the vita shade guide that is commonly used by dentists to compare teeth. Home remedies remove surface stains. How to whiten your teeth depends on your preferences, goals, and budget. Dentists offer stronger. Whitest Natural Teeth.
From simplepurebeauty.com
4 Natural DIY Teeth Whitening Recipes Simple Pure Beauty Whitest Natural Teeth Of course the bleached colors are whiter than the all natural. Unlike the stark or artificial whites that. Home remedies remove surface stains. The a1 and b1 tooth shades are the lightest and whitest natural tooth colors in the vita shade guide that is commonly used by dentists to compare teeth. They represent the whitest tooth. The color chart for. Whitest Natural Teeth.
From www.mouthhealthy.org
Natural Teeth Whitening MouthHealthy Oral Health Information from Whitest Natural Teeth Home remedies remove surface stains. What is a natural tooth shade? The a1 and b1 tooth shades are the lightest and whitest natural tooth colors in the vita shade guide that is commonly used by dentists to compare teeth. Of course the bleached colors are whiter than the all natural. Dentists offer stronger whitening treatments. The color chart for dental. Whitest Natural Teeth.
From www.cryptosavvy.com
How to Whiten Teeth Naturally And Quickly Savvy Life Mag Plus Whitest Natural Teeth Dentists offer stronger whitening treatments. What is a natural tooth shade? How to whiten your teeth depends on your preferences, goals, and budget. Home remedies remove surface stains. Of course the bleached colors are whiter than the all natural. The a1 and b1 tooth shades are the lightest and whitest natural tooth colors in the vita shade guide that is. Whitest Natural Teeth.
From teethwalls.blogspot.com
The Best Way To Whiten Teeth At Home TeethWalls Whitest Natural Teeth How to whiten your teeth depends on your preferences, goals, and budget. The color chart for dental veneers includes the natural tooth shades as well as the bleached tooth shades. Dentists offer stronger whitening treatments. Home remedies remove surface stains. They represent the whitest tooth. Unlike the stark or artificial whites that. The a1 and b1 tooth shades are the. Whitest Natural Teeth.
From springorchid.com.au
What Is The Whitest Shade Of Natural & Artificial Teeth? Whitest Natural Teeth Dentists offer stronger whitening treatments. Of course the bleached colors are whiter than the all natural. Home remedies remove surface stains. They represent the whitest tooth. The color chart for dental veneers includes the natural tooth shades as well as the bleached tooth shades. How to whiten your teeth depends on your preferences, goals, and budget. The a1 and b1. Whitest Natural Teeth.
From exquisitemag.com
How To Whiten Your Teeth Naturally • Exquisite Magazine Fashion Whitest Natural Teeth Dentists offer stronger whitening treatments. Home remedies remove surface stains. Unlike the stark or artificial whites that. What is a natural tooth shade? The a1 and b1 tooth shades are the lightest and whitest natural tooth colors in the vita shade guide that is commonly used by dentists to compare teeth. How to whiten your teeth depends on your preferences,. Whitest Natural Teeth.
From www.youtube.com
How to get White Teeth in 2 minutes Natural Home Remedy YouTube Whitest Natural Teeth How to whiten your teeth depends on your preferences, goals, and budget. What is a natural tooth shade? They represent the whitest tooth. Home remedies remove surface stains. The a1 and b1 tooth shades are the lightest and whitest natural tooth colors in the vita shade guide that is commonly used by dentists to compare teeth. Of course the bleached. Whitest Natural Teeth.
From www.youtube.com
How To Have Natural White Teeth In 2 Minutes 101 I Teeth whitening At Whitest Natural Teeth What is a natural tooth shade? Unlike the stark or artificial whites that. Dentists offer stronger whitening treatments. The a1 and b1 tooth shades are the lightest and whitest natural tooth colors in the vita shade guide that is commonly used by dentists to compare teeth. Home remedies remove surface stains. Of course the bleached colors are whiter than the. Whitest Natural Teeth.
From www.pinterest.com
Lauren Curtis on Instagram “A lot of you have been asking about my Whitest Natural Teeth Dentists offer stronger whitening treatments. The a1 and b1 tooth shades are the lightest and whitest natural tooth colors in the vita shade guide that is commonly used by dentists to compare teeth. They represent the whitest tooth. Of course the bleached colors are whiter than the all natural. How to whiten your teeth depends on your preferences, goals, and. Whitest Natural Teeth.
From www.youtube.com
4 Simple Natural Ways To Whiten Your Teeth At Home YouTube Whitest Natural Teeth The color chart for dental veneers includes the natural tooth shades as well as the bleached tooth shades. How to whiten your teeth depends on your preferences, goals, and budget. What is a natural tooth shade? The a1 and b1 tooth shades are the lightest and whitest natural tooth colors in the vita shade guide that is commonly used by. Whitest Natural Teeth.
From www.goodhousekeeping.co.uk
14 tips from dentists to whitening your teeth without treatment Good Whitest Natural Teeth Of course the bleached colors are whiter than the all natural. They represent the whitest tooth. What is a natural tooth shade? Unlike the stark or artificial whites that. Home remedies remove surface stains. The a1 and b1 tooth shades are the lightest and whitest natural tooth colors in the vita shade guide that is commonly used by dentists to. Whitest Natural Teeth.
From healthjade.com
How to Whiten Teeth Naturally Home Treatment Vs Professional Therapy Whitest Natural Teeth They represent the whitest tooth. Of course the bleached colors are whiter than the all natural. The a1 and b1 tooth shades are the lightest and whitest natural tooth colors in the vita shade guide that is commonly used by dentists to compare teeth. What is a natural tooth shade? How to whiten your teeth depends on your preferences, goals,. Whitest Natural Teeth.
From www.youtube.com
DIY REMOVE PLAQUE & TARTAR FROM TEETH AT HOME (100 WORKS) How To Whitest Natural Teeth Of course the bleached colors are whiter than the all natural. Dentists offer stronger whitening treatments. Unlike the stark or artificial whites that. How to whiten your teeth depends on your preferences, goals, and budget. Home remedies remove surface stains. The a1 and b1 tooth shades are the lightest and whitest natural tooth colors in the vita shade guide that. Whitest Natural Teeth.
From www.youtube.com
how to whitening your teeth at home 7 Natural Ways to Whiten Teeth at Whitest Natural Teeth Home remedies remove surface stains. The color chart for dental veneers includes the natural tooth shades as well as the bleached tooth shades. They represent the whitest tooth. How to whiten your teeth depends on your preferences, goals, and budget. Unlike the stark or artificial whites that. The a1 and b1 tooth shades are the lightest and whitest natural tooth. Whitest Natural Teeth.
From www.youtube.com
MY TEETH TRANSFORMATION HOW TO MAINTAIN STRAIGHT, WHITE TEETH Whitest Natural Teeth Unlike the stark or artificial whites that. What is a natural tooth shade? They represent the whitest tooth. The color chart for dental veneers includes the natural tooth shades as well as the bleached tooth shades. How to whiten your teeth depends on your preferences, goals, and budget. Dentists offer stronger whitening treatments. The a1 and b1 tooth shades are. Whitest Natural Teeth.
From worldonfleek1.blogspot.com
VIDEO How To Have Natural White Teeth in 3 minutes Works 100 GLOBAL Whitest Natural Teeth How to whiten your teeth depends on your preferences, goals, and budget. Home remedies remove surface stains. The a1 and b1 tooth shades are the lightest and whitest natural tooth colors in the vita shade guide that is commonly used by dentists to compare teeth. The color chart for dental veneers includes the natural tooth shades as well as the. Whitest Natural Teeth.
From www.youtube.com
learn easily and naturally whiten your teeth YouTube Whitest Natural Teeth The a1 and b1 tooth shades are the lightest and whitest natural tooth colors in the vita shade guide that is commonly used by dentists to compare teeth. The color chart for dental veneers includes the natural tooth shades as well as the bleached tooth shades. Home remedies remove surface stains. What is a natural tooth shade? Unlike the stark. Whitest Natural Teeth.
From springorchid.com.au
What Is The Whitest Shade Of Natural & Artificial Teeth? Whitest Natural Teeth Home remedies remove surface stains. They represent the whitest tooth. Of course the bleached colors are whiter than the all natural. The a1 and b1 tooth shades are the lightest and whitest natural tooth colors in the vita shade guide that is commonly used by dentists to compare teeth. What is a natural tooth shade? Dentists offer stronger whitening treatments.. Whitest Natural Teeth.
From www.lifeadvancer.com
How to Whiten Teeth Naturally in Minutes at Home Whitest Natural Teeth Dentists offer stronger whitening treatments. The a1 and b1 tooth shades are the lightest and whitest natural tooth colors in the vita shade guide that is commonly used by dentists to compare teeth. Unlike the stark or artificial whites that. What is a natural tooth shade? The color chart for dental veneers includes the natural tooth shades as well as. Whitest Natural Teeth.
From www.pinterest.com
Whitest Teeth In The World Cosmetic dentistry, Veneers, Smile dental Whitest Natural Teeth What is a natural tooth shade? Of course the bleached colors are whiter than the all natural. The a1 and b1 tooth shades are the lightest and whitest natural tooth colors in the vita shade guide that is commonly used by dentists to compare teeth. How to whiten your teeth depends on your preferences, goals, and budget. Unlike the stark. Whitest Natural Teeth.
From diynatural.com
How to Whiten Teeth Naturally 11 Simple Ways To Lighten Them Naturally Whitest Natural Teeth What is a natural tooth shade? Of course the bleached colors are whiter than the all natural. Dentists offer stronger whitening treatments. The color chart for dental veneers includes the natural tooth shades as well as the bleached tooth shades. Home remedies remove surface stains. Unlike the stark or artificial whites that. They represent the whitest tooth. How to whiten. Whitest Natural Teeth.
From hubpages.com
How to Whiten Your Teeth Naturally at Home HubPages Whitest Natural Teeth How to whiten your teeth depends on your preferences, goals, and budget. Unlike the stark or artificial whites that. Of course the bleached colors are whiter than the all natural. The color chart for dental veneers includes the natural tooth shades as well as the bleached tooth shades. The a1 and b1 tooth shades are the lightest and whitest natural. Whitest Natural Teeth.
From www.youtube.com
How To Whiten Teeth At Home Fast Natural Teeth Whitening YouTube Whitest Natural Teeth The color chart for dental veneers includes the natural tooth shades as well as the bleached tooth shades. Dentists offer stronger whitening treatments. How to whiten your teeth depends on your preferences, goals, and budget. The a1 and b1 tooth shades are the lightest and whitest natural tooth colors in the vita shade guide that is commonly used by dentists. Whitest Natural Teeth.
From www.youtube.com
How To Whiten Teeth Instantly at Home with Charcoal! │Get White Teeth Whitest Natural Teeth The a1 and b1 tooth shades are the lightest and whitest natural tooth colors in the vita shade guide that is commonly used by dentists to compare teeth. The color chart for dental veneers includes the natural tooth shades as well as the bleached tooth shades. Home remedies remove surface stains. Dentists offer stronger whitening treatments. How to whiten your. Whitest Natural Teeth.
From ideastand.com
15 Natural Ways to Whiten Your Teeth Homemade Teeth Whiteners 2017 Whitest Natural Teeth Dentists offer stronger whitening treatments. What is a natural tooth shade? The a1 and b1 tooth shades are the lightest and whitest natural tooth colors in the vita shade guide that is commonly used by dentists to compare teeth. They represent the whitest tooth. Unlike the stark or artificial whites that. The color chart for dental veneers includes the natural. Whitest Natural Teeth.
From www.greenmatters.com
How to Naturally Whiten Your Teeth at Home Whitest Natural Teeth Home remedies remove surface stains. The color chart for dental veneers includes the natural tooth shades as well as the bleached tooth shades. Of course the bleached colors are whiter than the all natural. What is a natural tooth shade? How to whiten your teeth depends on your preferences, goals, and budget. The a1 and b1 tooth shades are the. Whitest Natural Teeth.
From draxe.com
Health Tips 6 Ways to Whiten Your Teeth Naturally Dr. Axe Whitest Natural Teeth They represent the whitest tooth. The a1 and b1 tooth shades are the lightest and whitest natural tooth colors in the vita shade guide that is commonly used by dentists to compare teeth. How to whiten your teeth depends on your preferences, goals, and budget. Dentists offer stronger whitening treatments. What is a natural tooth shade? Of course the bleached. Whitest Natural Teeth.
From ladies-trends.com
How to whiten your teeth naturally Whitest Natural Teeth The color chart for dental veneers includes the natural tooth shades as well as the bleached tooth shades. How to whiten your teeth depends on your preferences, goals, and budget. The a1 and b1 tooth shades are the lightest and whitest natural tooth colors in the vita shade guide that is commonly used by dentists to compare teeth. Unlike the. Whitest Natural Teeth.
From road2beauty.com
How to Whiten Teeth Naturally at Home Whitest Natural Teeth How to whiten your teeth depends on your preferences, goals, and budget. Home remedies remove surface stains. Of course the bleached colors are whiter than the all natural. Dentists offer stronger whitening treatments. What is a natural tooth shade? The color chart for dental veneers includes the natural tooth shades as well as the bleached tooth shades. Unlike the stark. Whitest Natural Teeth.
From www.frommyvanity.com
Achieve Whiter Teeth Naturally with Tom's of Maine From My Vanity Whitest Natural Teeth Of course the bleached colors are whiter than the all natural. Home remedies remove surface stains. They represent the whitest tooth. How to whiten your teeth depends on your preferences, goals, and budget. The a1 and b1 tooth shades are the lightest and whitest natural tooth colors in the vita shade guide that is commonly used by dentists to compare. Whitest Natural Teeth.
From www.cookist.com
11 ways to naturally whiten the teeth Whitest Natural Teeth Of course the bleached colors are whiter than the all natural. The color chart for dental veneers includes the natural tooth shades as well as the bleached tooth shades. How to whiten your teeth depends on your preferences, goals, and budget. Dentists offer stronger whitening treatments. They represent the whitest tooth. Unlike the stark or artificial whites that. What is. Whitest Natural Teeth.
From www.toothstars.co.uk
Natural Teeth Whitening with Olive Oil ToothStars Whitest Natural Teeth What is a natural tooth shade? Dentists offer stronger whitening treatments. How to whiten your teeth depends on your preferences, goals, and budget. They represent the whitest tooth. Of course the bleached colors are whiter than the all natural. The a1 and b1 tooth shades are the lightest and whitest natural tooth colors in the vita shade guide that is. Whitest Natural Teeth.
From www.justhealthyway.com
15 Natural Ways to Whiten Your Teeth Homemade Teeth Whiteners Just Whitest Natural Teeth Of course the bleached colors are whiter than the all natural. How to whiten your teeth depends on your preferences, goals, and budget. The a1 and b1 tooth shades are the lightest and whitest natural tooth colors in the vita shade guide that is commonly used by dentists to compare teeth. They represent the whitest tooth. Dentists offer stronger whitening. Whitest Natural Teeth.
From www.suttonpda.com
Teeth whitening results the definitive guide for 2022 Whitest Natural Teeth Home remedies remove surface stains. What is a natural tooth shade? Dentists offer stronger whitening treatments. They represent the whitest tooth. Unlike the stark or artificial whites that. Of course the bleached colors are whiter than the all natural. The a1 and b1 tooth shades are the lightest and whitest natural tooth colors in the vita shade guide that is. Whitest Natural Teeth.