Sponge In Tooth Socket . I found out that my oral surgeon put a collagen plug in the socket. Etik collagene can be used in adults or children. Etik collagene is recommended in patients on antithrombotic medication (such as. To test whether the use of collagen matrix seal (cms) results in similar hard and soft tissue remodelling to that with collagen sponge (cs). I recently had a tooth extracted — it was non wisdom. Antimicrobial agent containing absorbable gelatin sponge to prevent dry socket: The purpose of this study was to compare the effectiveness of absorbable collagen.
from onworldofhealth.blogspot.com
Etik collagene can be used in adults or children. The purpose of this study was to compare the effectiveness of absorbable collagen. Etik collagene is recommended in patients on antithrombotic medication (such as. Antimicrobial agent containing absorbable gelatin sponge to prevent dry socket: I recently had a tooth extracted — it was non wisdom. To test whether the use of collagen matrix seal (cms) results in similar hard and soft tissue remodelling to that with collagen sponge (cs). I found out that my oral surgeon put a collagen plug in the socket.
A Non Healing Tooth Socket world of health
Sponge In Tooth Socket To test whether the use of collagen matrix seal (cms) results in similar hard and soft tissue remodelling to that with collagen sponge (cs). To test whether the use of collagen matrix seal (cms) results in similar hard and soft tissue remodelling to that with collagen sponge (cs). I recently had a tooth extracted — it was non wisdom. Etik collagene can be used in adults or children. Etik collagene is recommended in patients on antithrombotic medication (such as. I found out that my oral surgeon put a collagen plug in the socket. Antimicrobial agent containing absorbable gelatin sponge to prevent dry socket: The purpose of this study was to compare the effectiveness of absorbable collagen.
From www.youtube.com
Tooth extraction and SOCKET PRESERVATION How is it done? YouTube Sponge In Tooth Socket To test whether the use of collagen matrix seal (cms) results in similar hard and soft tissue remodelling to that with collagen sponge (cs). I recently had a tooth extracted — it was non wisdom. Etik collagene is recommended in patients on antithrombotic medication (such as. Etik collagene can be used in adults or children. Antimicrobial agent containing absorbable gelatin. Sponge In Tooth Socket.
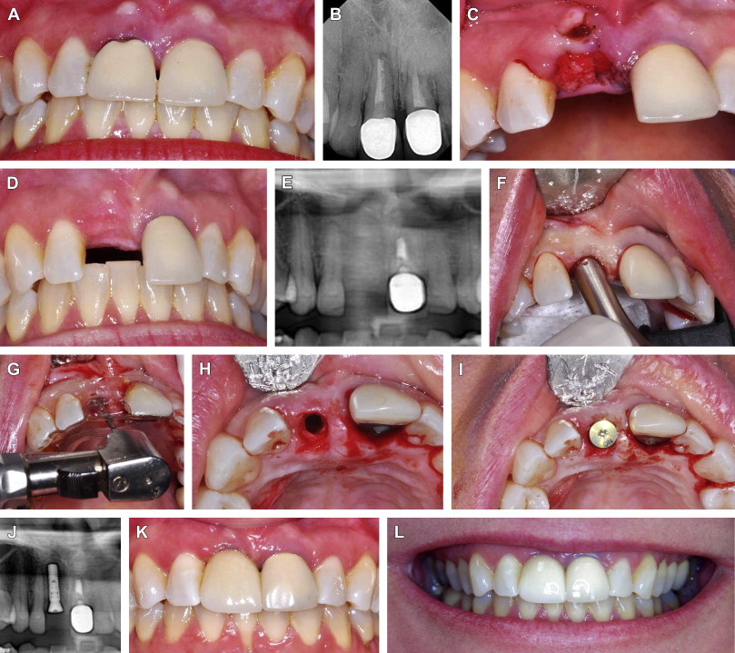
From www.stomaeduj.com
Immediate implant placement in fresh extraction sockets using the open Sponge In Tooth Socket I found out that my oral surgeon put a collagen plug in the socket. Etik collagene is recommended in patients on antithrombotic medication (such as. I recently had a tooth extracted — it was non wisdom. Antimicrobial agent containing absorbable gelatin sponge to prevent dry socket: The purpose of this study was to compare the effectiveness of absorbable collagen. Etik. Sponge In Tooth Socket.
From www.researchgate.net
The 7th day status of socket treated with gelatin sponge soaked in PRGF Sponge In Tooth Socket To test whether the use of collagen matrix seal (cms) results in similar hard and soft tissue remodelling to that with collagen sponge (cs). The purpose of this study was to compare the effectiveness of absorbable collagen. Antimicrobial agent containing absorbable gelatin sponge to prevent dry socket: I recently had a tooth extracted — it was non wisdom. I found. Sponge In Tooth Socket.
From dxovhtvjm.blob.core.windows.net
Tooth Extraction With Stitches Dry Socket at Dominic Ollis blog Sponge In Tooth Socket I found out that my oral surgeon put a collagen plug in the socket. The purpose of this study was to compare the effectiveness of absorbable collagen. I recently had a tooth extracted — it was non wisdom. Etik collagene can be used in adults or children. Etik collagene is recommended in patients on antithrombotic medication (such as. Antimicrobial agent. Sponge In Tooth Socket.
From pocketdentistry.com
Extraction Socket Grafting and Buccal Wall Regeneration with Sponge In Tooth Socket Etik collagene can be used in adults or children. The purpose of this study was to compare the effectiveness of absorbable collagen. I recently had a tooth extracted — it was non wisdom. Etik collagene is recommended in patients on antithrombotic medication (such as. I found out that my oral surgeon put a collagen plug in the socket. To test. Sponge In Tooth Socket.
From www.youtube.com
How to Treat Dry Socket After Tooth Extraction Natural Dry Socket Sponge In Tooth Socket To test whether the use of collagen matrix seal (cms) results in similar hard and soft tissue remodelling to that with collagen sponge (cs). Etik collagene can be used in adults or children. I recently had a tooth extracted — it was non wisdom. Antimicrobial agent containing absorbable gelatin sponge to prevent dry socket: I found out that my oral. Sponge In Tooth Socket.
From diaryofdems-awards.blogspot.com
√ When Can I Drink From A Straw After Tooth Extraction Dry Sockets Sponge In Tooth Socket Etik collagene can be used in adults or children. I found out that my oral surgeon put a collagen plug in the socket. Antimicrobial agent containing absorbable gelatin sponge to prevent dry socket: I recently had a tooth extracted — it was non wisdom. To test whether the use of collagen matrix seal (cms) results in similar hard and soft. Sponge In Tooth Socket.
From www.aikenfamilydentistry.com
Socket Preservation Aiken Dentist North Augusta Dentist Edgefield Sponge In Tooth Socket The purpose of this study was to compare the effectiveness of absorbable collagen. Etik collagene can be used in adults or children. I recently had a tooth extracted — it was non wisdom. To test whether the use of collagen matrix seal (cms) results in similar hard and soft tissue remodelling to that with collagen sponge (cs). Antimicrobial agent containing. Sponge In Tooth Socket.
From www.youtube.com
DRY SOCKET Infection after tooth extraction causes and treatment Sponge In Tooth Socket I recently had a tooth extracted — it was non wisdom. Etik collagene is recommended in patients on antithrombotic medication (such as. Etik collagene can be used in adults or children. The purpose of this study was to compare the effectiveness of absorbable collagen. Antimicrobial agent containing absorbable gelatin sponge to prevent dry socket: I found out that my oral. Sponge In Tooth Socket.
From www.rotemdentalcare.com
Tooth Implant Placement Before, During, After General and Cosmetic Sponge In Tooth Socket The purpose of this study was to compare the effectiveness of absorbable collagen. Etik collagene is recommended in patients on antithrombotic medication (such as. I found out that my oral surgeon put a collagen plug in the socket. I recently had a tooth extracted — it was non wisdom. To test whether the use of collagen matrix seal (cms) results. Sponge In Tooth Socket.
From geekymedics.com
Complications of Dental Extractions Geeky Medics Sponge In Tooth Socket The purpose of this study was to compare the effectiveness of absorbable collagen. I found out that my oral surgeon put a collagen plug in the socket. Etik collagene is recommended in patients on antithrombotic medication (such as. Antimicrobial agent containing absorbable gelatin sponge to prevent dry socket: Etik collagene can be used in adults or children. To test whether. Sponge In Tooth Socket.
From www.bmj.com
A bleeding socket after tooth extraction The BMJ Sponge In Tooth Socket Etik collagene can be used in adults or children. I found out that my oral surgeon put a collagen plug in the socket. To test whether the use of collagen matrix seal (cms) results in similar hard and soft tissue remodelling to that with collagen sponge (cs). Antimicrobial agent containing absorbable gelatin sponge to prevent dry socket: I recently had. Sponge In Tooth Socket.
From www.sparklingsmilesfayetteville.com
Socket Preservation Tooth Extraction Sparkling Smiles Family Dental Sponge In Tooth Socket Etik collagene can be used in adults or children. The purpose of this study was to compare the effectiveness of absorbable collagen. I found out that my oral surgeon put a collagen plug in the socket. Antimicrobial agent containing absorbable gelatin sponge to prevent dry socket: To test whether the use of collagen matrix seal (cms) results in similar hard. Sponge In Tooth Socket.
From pocketdentistry.com
4 Extraction Site (Socket) Preservation Pocket Dentistry Sponge In Tooth Socket I found out that my oral surgeon put a collagen plug in the socket. I recently had a tooth extracted — it was non wisdom. The purpose of this study was to compare the effectiveness of absorbable collagen. Antimicrobial agent containing absorbable gelatin sponge to prevent dry socket: Etik collagene is recommended in patients on antithrombotic medication (such as. To. Sponge In Tooth Socket.
From www.youtube.com
Socket Preservation after tooth extraction. YouTube Sponge In Tooth Socket To test whether the use of collagen matrix seal (cms) results in similar hard and soft tissue remodelling to that with collagen sponge (cs). I recently had a tooth extracted — it was non wisdom. The purpose of this study was to compare the effectiveness of absorbable collagen. Etik collagene can be used in adults or children. I found out. Sponge In Tooth Socket.
From www.greaterhoustonoralsurgery.com
Socket Preservation Greater Houston TX Sponge In Tooth Socket I found out that my oral surgeon put a collagen plug in the socket. Antimicrobial agent containing absorbable gelatin sponge to prevent dry socket: I recently had a tooth extracted — it was non wisdom. The purpose of this study was to compare the effectiveness of absorbable collagen. To test whether the use of collagen matrix seal (cms) results in. Sponge In Tooth Socket.
From www.springvaledentalsmiles.com.au
How To Avoid A Dry Socket After Tooth Extraction Sponge In Tooth Socket I recently had a tooth extracted — it was non wisdom. To test whether the use of collagen matrix seal (cms) results in similar hard and soft tissue remodelling to that with collagen sponge (cs). Antimicrobial agent containing absorbable gelatin sponge to prevent dry socket: Etik collagene can be used in adults or children. Etik collagene is recommended in patients. Sponge In Tooth Socket.
From southgablesdental.com
Periodontic Services That Will Make You Smile South Gables Dental Sponge In Tooth Socket Etik collagene can be used in adults or children. Etik collagene is recommended in patients on antithrombotic medication (such as. The purpose of this study was to compare the effectiveness of absorbable collagen. I recently had a tooth extracted — it was non wisdom. Antimicrobial agent containing absorbable gelatin sponge to prevent dry socket: I found out that my oral. Sponge In Tooth Socket.
From www.dentalimplantsclinic.ca
6 Tips for How To Treat A Dry Socket Sponge In Tooth Socket I found out that my oral surgeon put a collagen plug in the socket. Antimicrobial agent containing absorbable gelatin sponge to prevent dry socket: To test whether the use of collagen matrix seal (cms) results in similar hard and soft tissue remodelling to that with collagen sponge (cs). I recently had a tooth extracted — it was non wisdom. Etik. Sponge In Tooth Socket.
From onworldofhealth.blogspot.com
A Non Healing Tooth Socket world of health Sponge In Tooth Socket I recently had a tooth extracted — it was non wisdom. To test whether the use of collagen matrix seal (cms) results in similar hard and soft tissue remodelling to that with collagen sponge (cs). Antimicrobial agent containing absorbable gelatin sponge to prevent dry socket: Etik collagene can be used in adults or children. Etik collagene is recommended in patients. Sponge In Tooth Socket.
From www.researchgate.net
(A) Soft tissue healing at extraction socket with the plateletrich Sponge In Tooth Socket Antimicrobial agent containing absorbable gelatin sponge to prevent dry socket: To test whether the use of collagen matrix seal (cms) results in similar hard and soft tissue remodelling to that with collagen sponge (cs). Etik collagene can be used in adults or children. I found out that my oral surgeon put a collagen plug in the socket. I recently had. Sponge In Tooth Socket.
From districtdentistryclt.com
Dry Socket (Alveolar Osteitis) Explained District Dentistry Charlotte Sponge In Tooth Socket I found out that my oral surgeon put a collagen plug in the socket. Antimicrobial agent containing absorbable gelatin sponge to prevent dry socket: To test whether the use of collagen matrix seal (cms) results in similar hard and soft tissue remodelling to that with collagen sponge (cs). Etik collagene can be used in adults or children. I recently had. Sponge In Tooth Socket.
From ar.inspiredpencil.com
Tooth Extraction Healing Process Pictures Sponge In Tooth Socket The purpose of this study was to compare the effectiveness of absorbable collagen. Antimicrobial agent containing absorbable gelatin sponge to prevent dry socket: Etik collagene is recommended in patients on antithrombotic medication (such as. To test whether the use of collagen matrix seal (cms) results in similar hard and soft tissue remodelling to that with collagen sponge (cs). I recently. Sponge In Tooth Socket.
From www.indication-matrix.de
Filling of extraction socket with collacone® Dr. F. RojasVizcaya Sponge In Tooth Socket Etik collagene can be used in adults or children. The purpose of this study was to compare the effectiveness of absorbable collagen. I recently had a tooth extracted — it was non wisdom. To test whether the use of collagen matrix seal (cms) results in similar hard and soft tissue remodelling to that with collagen sponge (cs). Etik collagene is. Sponge In Tooth Socket.
From www.researchgate.net
Treatment group 2 (a) before extraction of tooth 36, (b) a DDBM bone Sponge In Tooth Socket Etik collagene can be used in adults or children. To test whether the use of collagen matrix seal (cms) results in similar hard and soft tissue remodelling to that with collagen sponge (cs). Antimicrobial agent containing absorbable gelatin sponge to prevent dry socket: The purpose of this study was to compare the effectiveness of absorbable collagen. I recently had a. Sponge In Tooth Socket.
From www.semanticscholar.org
Evaluation of Coagulation and Healing Effect of Laser and Hemostatic Sponge In Tooth Socket Etik collagene can be used in adults or children. To test whether the use of collagen matrix seal (cms) results in similar hard and soft tissue remodelling to that with collagen sponge (cs). Etik collagene is recommended in patients on antithrombotic medication (such as. I found out that my oral surgeon put a collagen plug in the socket. Antimicrobial agent. Sponge In Tooth Socket.
From www.koperiodontics.com
Socket Preservation Bellevue WA After Extraction Sponge In Tooth Socket Etik collagene is recommended in patients on antithrombotic medication (such as. To test whether the use of collagen matrix seal (cms) results in similar hard and soft tissue remodelling to that with collagen sponge (cs). Etik collagene can be used in adults or children. The purpose of this study was to compare the effectiveness of absorbable collagen. I recently had. Sponge In Tooth Socket.
From exyypdupd.blob.core.windows.net
What Holds A Tooth In Its Socket at Fidela Gregg blog Sponge In Tooth Socket To test whether the use of collagen matrix seal (cms) results in similar hard and soft tissue remodelling to that with collagen sponge (cs). Etik collagene is recommended in patients on antithrombotic medication (such as. The purpose of this study was to compare the effectiveness of absorbable collagen. Etik collagene can be used in adults or children. I recently had. Sponge In Tooth Socket.
From www.mdpi.com
JCM Free FullText Efficacy of a New Hemostatic Dental Sponge in Sponge In Tooth Socket Etik collagene can be used in adults or children. I recently had a tooth extracted — it was non wisdom. Etik collagene is recommended in patients on antithrombotic medication (such as. Antimicrobial agent containing absorbable gelatin sponge to prevent dry socket: To test whether the use of collagen matrix seal (cms) results in similar hard and soft tissue remodelling to. Sponge In Tooth Socket.
From www.ebay.com
Dental Surgical Socket Bleeding Collagen Hemostatic Sponge Colloidal Sponge In Tooth Socket I recently had a tooth extracted — it was non wisdom. To test whether the use of collagen matrix seal (cms) results in similar hard and soft tissue remodelling to that with collagen sponge (cs). Antimicrobial agent containing absorbable gelatin sponge to prevent dry socket: Etik collagene is recommended in patients on antithrombotic medication (such as. Etik collagene can be. Sponge In Tooth Socket.
From www.semanticscholar.org
Evaluation of Coagulation and Healing Effect of Laser and Hemostatic Sponge In Tooth Socket The purpose of this study was to compare the effectiveness of absorbable collagen. I recently had a tooth extracted — it was non wisdom. I found out that my oral surgeon put a collagen plug in the socket. Etik collagene can be used in adults or children. To test whether the use of collagen matrix seal (cms) results in similar. Sponge In Tooth Socket.
From www.youtube.com
Socket Preservation YouTube Sponge In Tooth Socket I recently had a tooth extracted — it was non wisdom. Antimicrobial agent containing absorbable gelatin sponge to prevent dry socket: Etik collagene is recommended in patients on antithrombotic medication (such as. I found out that my oral surgeon put a collagen plug in the socket. The purpose of this study was to compare the effectiveness of absorbable collagen. To. Sponge In Tooth Socket.
From truevaluedentalinstitute.in
Dry Socket Can Be Managed Efficiently. Know The Etiology, Diagnosis Sponge In Tooth Socket Etik collagene can be used in adults or children. Etik collagene is recommended in patients on antithrombotic medication (such as. Antimicrobial agent containing absorbable gelatin sponge to prevent dry socket: To test whether the use of collagen matrix seal (cms) results in similar hard and soft tissue remodelling to that with collagen sponge (cs). I found out that my oral. Sponge In Tooth Socket.
From webdmd.org
Dry Socket vs Clot Everything You Need to Know DMD Sponge In Tooth Socket To test whether the use of collagen matrix seal (cms) results in similar hard and soft tissue remodelling to that with collagen sponge (cs). Etik collagene is recommended in patients on antithrombotic medication (such as. The purpose of this study was to compare the effectiveness of absorbable collagen. I recently had a tooth extracted — it was non wisdom. Antimicrobial. Sponge In Tooth Socket.
From www.youtube.com
HEALING OF EXTRACTION SOCKET I Oral Pathology I Dental Guide I Dr Sponge In Tooth Socket Etik collagene can be used in adults or children. I recently had a tooth extracted — it was non wisdom. Antimicrobial agent containing absorbable gelatin sponge to prevent dry socket: I found out that my oral surgeon put a collagen plug in the socket. Etik collagene is recommended in patients on antithrombotic medication (such as. To test whether the use. Sponge In Tooth Socket.