Cowper Gland Adenocarcinoma . Cowper gland carcinoma is rare and includes adenocarcinoma and adenoid cystic carcinoma subtypes. Cowper glands recognition remains one of the key histoanatomic benign mimics of prostatic adenocarcinoma. The reported cases of cowper's gland carcinoma have all been adenoid cystic. Rare variant with abundant foamy cytoplasm and minimal cytologic atypia (am j surg pathol 2001;25:618, am j. Cowper gland adenocarcinoma, also bulbourethral gland adenocarcinoma, is a cancer of the bulbourethral gland.
from pubs.rsna.org
Cowper glands recognition remains one of the key histoanatomic benign mimics of prostatic adenocarcinoma. Rare variant with abundant foamy cytoplasm and minimal cytologic atypia (am j surg pathol 2001;25:618, am j. The reported cases of cowper's gland carcinoma have all been adenoid cystic. Cowper gland adenocarcinoma, also bulbourethral gland adenocarcinoma, is a cancer of the bulbourethral gland. Cowper gland carcinoma is rare and includes adenocarcinoma and adenoid cystic carcinoma subtypes.
Imaging of the Bulbourethral (Cowper) Gland Abnormalities and
Cowper Gland Adenocarcinoma Cowper gland adenocarcinoma, also bulbourethral gland adenocarcinoma, is a cancer of the bulbourethral gland. Cowper glands recognition remains one of the key histoanatomic benign mimics of prostatic adenocarcinoma. Cowper gland carcinoma is rare and includes adenocarcinoma and adenoid cystic carcinoma subtypes. Rare variant with abundant foamy cytoplasm and minimal cytologic atypia (am j surg pathol 2001;25:618, am j. Cowper gland adenocarcinoma, also bulbourethral gland adenocarcinoma, is a cancer of the bulbourethral gland. The reported cases of cowper's gland carcinoma have all been adenoid cystic.
From www.pathologyoutlines.com
Pathology Outlines Anatomy & histologyCowper glands Cowper Gland Adenocarcinoma Cowper gland carcinoma is rare and includes adenocarcinoma and adenoid cystic carcinoma subtypes. Cowper gland adenocarcinoma, also bulbourethral gland adenocarcinoma, is a cancer of the bulbourethral gland. Cowper glands recognition remains one of the key histoanatomic benign mimics of prostatic adenocarcinoma. Rare variant with abundant foamy cytoplasm and minimal cytologic atypia (am j surg pathol 2001;25:618, am j. The reported. Cowper Gland Adenocarcinoma.
From pubs.rsna.org
Imaging of the Bulbourethral (Cowper) Gland Abnormalities and Cowper Gland Adenocarcinoma Cowper gland carcinoma is rare and includes adenocarcinoma and adenoid cystic carcinoma subtypes. Cowper glands recognition remains one of the key histoanatomic benign mimics of prostatic adenocarcinoma. Rare variant with abundant foamy cytoplasm and minimal cytologic atypia (am j surg pathol 2001;25:618, am j. Cowper gland adenocarcinoma, also bulbourethral gland adenocarcinoma, is a cancer of the bulbourethral gland. The reported. Cowper Gland Adenocarcinoma.
From www.researchgate.net
(PDF) Parotid gland adenocarcinoma in a cow Case report Cowper Gland Adenocarcinoma Cowper gland adenocarcinoma, also bulbourethral gland adenocarcinoma, is a cancer of the bulbourethral gland. Cowper glands recognition remains one of the key histoanatomic benign mimics of prostatic adenocarcinoma. Rare variant with abundant foamy cytoplasm and minimal cytologic atypia (am j surg pathol 2001;25:618, am j. Cowper gland carcinoma is rare and includes adenocarcinoma and adenoid cystic carcinoma subtypes. The reported. Cowper Gland Adenocarcinoma.
From www.pathologyoutlines.com
Pathology Outlines Cowper glands Cowper Gland Adenocarcinoma Cowper gland carcinoma is rare and includes adenocarcinoma and adenoid cystic carcinoma subtypes. Cowper glands recognition remains one of the key histoanatomic benign mimics of prostatic adenocarcinoma. The reported cases of cowper's gland carcinoma have all been adenoid cystic. Cowper gland adenocarcinoma, also bulbourethral gland adenocarcinoma, is a cancer of the bulbourethral gland. Rare variant with abundant foamy cytoplasm and. Cowper Gland Adenocarcinoma.
From pubs.rsna.org
Imaging of the Bulbourethral (Cowper) Gland Abnormalities and Cowper Gland Adenocarcinoma Cowper glands recognition remains one of the key histoanatomic benign mimics of prostatic adenocarcinoma. Cowper gland carcinoma is rare and includes adenocarcinoma and adenoid cystic carcinoma subtypes. The reported cases of cowper's gland carcinoma have all been adenoid cystic. Cowper gland adenocarcinoma, also bulbourethral gland adenocarcinoma, is a cancer of the bulbourethral gland. Rare variant with abundant foamy cytoplasm and. Cowper Gland Adenocarcinoma.
From www.clinicalimaging.org
Cowper's gland hyperplasia A potential pitfall at MRI of the prostate Cowper Gland Adenocarcinoma Cowper glands recognition remains one of the key histoanatomic benign mimics of prostatic adenocarcinoma. The reported cases of cowper's gland carcinoma have all been adenoid cystic. Cowper gland adenocarcinoma, also bulbourethral gland adenocarcinoma, is a cancer of the bulbourethral gland. Rare variant with abundant foamy cytoplasm and minimal cytologic atypia (am j surg pathol 2001;25:618, am j. Cowper gland carcinoma. Cowper Gland Adenocarcinoma.
From pubs.rsna.org
Imaging of Penile Neoplasms RadioGraphics Cowper Gland Adenocarcinoma Cowper gland carcinoma is rare and includes adenocarcinoma and adenoid cystic carcinoma subtypes. The reported cases of cowper's gland carcinoma have all been adenoid cystic. Rare variant with abundant foamy cytoplasm and minimal cytologic atypia (am j surg pathol 2001;25:618, am j. Cowper gland adenocarcinoma, also bulbourethral gland adenocarcinoma, is a cancer of the bulbourethral gland. Cowper glands recognition remains. Cowper Gland Adenocarcinoma.
From www.asianarchpath.com
Diagnostic Pitfalls of Prostatic Adenocarcinoma in Biopsy Specimens Cowper Gland Adenocarcinoma Cowper gland adenocarcinoma, also bulbourethral gland adenocarcinoma, is a cancer of the bulbourethral gland. Cowper gland carcinoma is rare and includes adenocarcinoma and adenoid cystic carcinoma subtypes. The reported cases of cowper's gland carcinoma have all been adenoid cystic. Cowper glands recognition remains one of the key histoanatomic benign mimics of prostatic adenocarcinoma. Rare variant with abundant foamy cytoplasm and. Cowper Gland Adenocarcinoma.
From pubs.rsna.org
Imaging of the Bulbourethral (Cowper) Gland Abnormalities and Cowper Gland Adenocarcinoma Cowper glands recognition remains one of the key histoanatomic benign mimics of prostatic adenocarcinoma. The reported cases of cowper's gland carcinoma have all been adenoid cystic. Rare variant with abundant foamy cytoplasm and minimal cytologic atypia (am j surg pathol 2001;25:618, am j. Cowper gland carcinoma is rare and includes adenocarcinoma and adenoid cystic carcinoma subtypes. Cowper gland adenocarcinoma, also. Cowper Gland Adenocarcinoma.
From radiopaedia.org
Cowper gland cyst Image Cowper Gland Adenocarcinoma Cowper glands recognition remains one of the key histoanatomic benign mimics of prostatic adenocarcinoma. Cowper gland carcinoma is rare and includes adenocarcinoma and adenoid cystic carcinoma subtypes. Rare variant with abundant foamy cytoplasm and minimal cytologic atypia (am j surg pathol 2001;25:618, am j. Cowper gland adenocarcinoma, also bulbourethral gland adenocarcinoma, is a cancer of the bulbourethral gland. The reported. Cowper Gland Adenocarcinoma.
From pubs.rsna.org
Imaging of the Bulbourethral (Cowper) Gland Abnormalities and Cowper Gland Adenocarcinoma Cowper gland carcinoma is rare and includes adenocarcinoma and adenoid cystic carcinoma subtypes. Cowper gland adenocarcinoma, also bulbourethral gland adenocarcinoma, is a cancer of the bulbourethral gland. The reported cases of cowper's gland carcinoma have all been adenoid cystic. Rare variant with abundant foamy cytoplasm and minimal cytologic atypia (am j surg pathol 2001;25:618, am j. Cowper glands recognition remains. Cowper Gland Adenocarcinoma.
From www.pathologyoutlines.com
Pathology Outlines Cowper glands Cowper Gland Adenocarcinoma Cowper glands recognition remains one of the key histoanatomic benign mimics of prostatic adenocarcinoma. Cowper gland adenocarcinoma, also bulbourethral gland adenocarcinoma, is a cancer of the bulbourethral gland. The reported cases of cowper's gland carcinoma have all been adenoid cystic. Rare variant with abundant foamy cytoplasm and minimal cytologic atypia (am j surg pathol 2001;25:618, am j. Cowper gland carcinoma. Cowper Gland Adenocarcinoma.
From pubs.rsna.org
Imaging of the Bulbourethral (Cowper) Gland Abnormalities and Cowper Gland Adenocarcinoma Cowper gland adenocarcinoma, also bulbourethral gland adenocarcinoma, is a cancer of the bulbourethral gland. Rare variant with abundant foamy cytoplasm and minimal cytologic atypia (am j surg pathol 2001;25:618, am j. The reported cases of cowper's gland carcinoma have all been adenoid cystic. Cowper gland carcinoma is rare and includes adenocarcinoma and adenoid cystic carcinoma subtypes. Cowper glands recognition remains. Cowper Gland Adenocarcinoma.
From www.researchgate.net
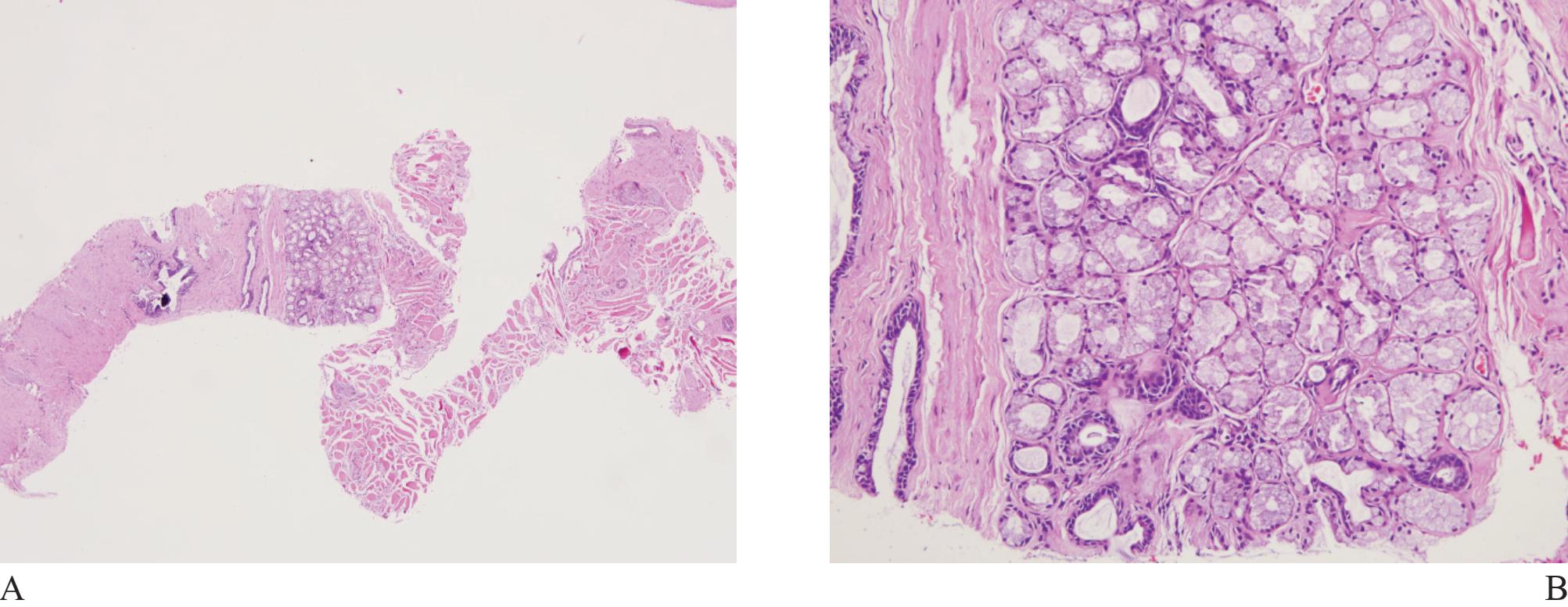
Cowper glands. HE stain, ×200. Figure 4 Prostatic mucinous Cowper Gland Adenocarcinoma Rare variant with abundant foamy cytoplasm and minimal cytologic atypia (am j surg pathol 2001;25:618, am j. Cowper gland carcinoma is rare and includes adenocarcinoma and adenoid cystic carcinoma subtypes. Cowper gland adenocarcinoma, also bulbourethral gland adenocarcinoma, is a cancer of the bulbourethral gland. Cowper glands recognition remains one of the key histoanatomic benign mimics of prostatic adenocarcinoma. The reported. Cowper Gland Adenocarcinoma.
From pubs.rsna.org
Imaging of the Bulbourethral (Cowper) Gland Abnormalities and Cowper Gland Adenocarcinoma Cowper gland adenocarcinoma, also bulbourethral gland adenocarcinoma, is a cancer of the bulbourethral gland. The reported cases of cowper's gland carcinoma have all been adenoid cystic. Cowper gland carcinoma is rare and includes adenocarcinoma and adenoid cystic carcinoma subtypes. Cowper glands recognition remains one of the key histoanatomic benign mimics of prostatic adenocarcinoma. Rare variant with abundant foamy cytoplasm and. Cowper Gland Adenocarcinoma.
From www.pathologyoutlines.com
Pathology Outlines Anatomy & histologyCowper glands Cowper Gland Adenocarcinoma The reported cases of cowper's gland carcinoma have all been adenoid cystic. Cowper gland adenocarcinoma, also bulbourethral gland adenocarcinoma, is a cancer of the bulbourethral gland. Rare variant with abundant foamy cytoplasm and minimal cytologic atypia (am j surg pathol 2001;25:618, am j. Cowper gland carcinoma is rare and includes adenocarcinoma and adenoid cystic carcinoma subtypes. Cowper glands recognition remains. Cowper Gland Adenocarcinoma.
From twitter.com
Karen Pinto DNB, FRCPath on Twitter "COWPER'S GLANDS When you get Cowper Gland Adenocarcinoma Cowper gland carcinoma is rare and includes adenocarcinoma and adenoid cystic carcinoma subtypes. The reported cases of cowper's gland carcinoma have all been adenoid cystic. Rare variant with abundant foamy cytoplasm and minimal cytologic atypia (am j surg pathol 2001;25:618, am j. Cowper gland adenocarcinoma, also bulbourethral gland adenocarcinoma, is a cancer of the bulbourethral gland. Cowper glands recognition remains. Cowper Gland Adenocarcinoma.
From pubs.rsna.org
Imaging of the Bulbourethral (Cowper) Gland Abnormalities and Cowper Gland Adenocarcinoma The reported cases of cowper's gland carcinoma have all been adenoid cystic. Rare variant with abundant foamy cytoplasm and minimal cytologic atypia (am j surg pathol 2001;25:618, am j. Cowper gland carcinoma is rare and includes adenocarcinoma and adenoid cystic carcinoma subtypes. Cowper gland adenocarcinoma, also bulbourethral gland adenocarcinoma, is a cancer of the bulbourethral gland. Cowper glands recognition remains. Cowper Gland Adenocarcinoma.
From pubs.rsna.org
Imaging of the Bulbourethral (Cowper) Gland Abnormalities and Cowper Gland Adenocarcinoma Rare variant with abundant foamy cytoplasm and minimal cytologic atypia (am j surg pathol 2001;25:618, am j. The reported cases of cowper's gland carcinoma have all been adenoid cystic. Cowper gland adenocarcinoma, also bulbourethral gland adenocarcinoma, is a cancer of the bulbourethral gland. Cowper glands recognition remains one of the key histoanatomic benign mimics of prostatic adenocarcinoma. Cowper gland carcinoma. Cowper Gland Adenocarcinoma.
From www.pathologyoutlines.com
Pathology Outlines Cowper glands Cowper Gland Adenocarcinoma The reported cases of cowper's gland carcinoma have all been adenoid cystic. Rare variant with abundant foamy cytoplasm and minimal cytologic atypia (am j surg pathol 2001;25:618, am j. Cowper gland adenocarcinoma, also bulbourethral gland adenocarcinoma, is a cancer of the bulbourethral gland. Cowper gland carcinoma is rare and includes adenocarcinoma and adenoid cystic carcinoma subtypes. Cowper glands recognition remains. Cowper Gland Adenocarcinoma.
From twitter.com
Karen Pinto DNB, FRCPath on Twitter "COWPER'S GLANDS When you get Cowper Gland Adenocarcinoma Cowper gland adenocarcinoma, also bulbourethral gland adenocarcinoma, is a cancer of the bulbourethral gland. Cowper glands recognition remains one of the key histoanatomic benign mimics of prostatic adenocarcinoma. The reported cases of cowper's gland carcinoma have all been adenoid cystic. Cowper gland carcinoma is rare and includes adenocarcinoma and adenoid cystic carcinoma subtypes. Rare variant with abundant foamy cytoplasm and. Cowper Gland Adenocarcinoma.
From pubs.rsna.org
Imaging of the Bulbourethral (Cowper) Gland Abnormalities and Cowper Gland Adenocarcinoma The reported cases of cowper's gland carcinoma have all been adenoid cystic. Cowper glands recognition remains one of the key histoanatomic benign mimics of prostatic adenocarcinoma. Cowper gland adenocarcinoma, also bulbourethral gland adenocarcinoma, is a cancer of the bulbourethral gland. Rare variant with abundant foamy cytoplasm and minimal cytologic atypia (am j surg pathol 2001;25:618, am j. Cowper gland carcinoma. Cowper Gland Adenocarcinoma.
From www.researchgate.net
Cowper' s gland duct cyst a Axial, (b) coronal and (c) sagittal T2 Cowper Gland Adenocarcinoma Rare variant with abundant foamy cytoplasm and minimal cytologic atypia (am j surg pathol 2001;25:618, am j. The reported cases of cowper's gland carcinoma have all been adenoid cystic. Cowper gland carcinoma is rare and includes adenocarcinoma and adenoid cystic carcinoma subtypes. Cowper gland adenocarcinoma, also bulbourethral gland adenocarcinoma, is a cancer of the bulbourethral gland. Cowper glands recognition remains. Cowper Gland Adenocarcinoma.
From pubs.rsna.org
Imaging of the Bulbourethral (Cowper) Gland Abnormalities and Cowper Gland Adenocarcinoma Cowper glands recognition remains one of the key histoanatomic benign mimics of prostatic adenocarcinoma. The reported cases of cowper's gland carcinoma have all been adenoid cystic. Cowper gland adenocarcinoma, also bulbourethral gland adenocarcinoma, is a cancer of the bulbourethral gland. Rare variant with abundant foamy cytoplasm and minimal cytologic atypia (am j surg pathol 2001;25:618, am j. Cowper gland carcinoma. Cowper Gland Adenocarcinoma.
From www.clinicalimaging.org
Cowper's gland hyperplasia A potential pitfall at MRI of the prostate Cowper Gland Adenocarcinoma The reported cases of cowper's gland carcinoma have all been adenoid cystic. Cowper gland adenocarcinoma, also bulbourethral gland adenocarcinoma, is a cancer of the bulbourethral gland. Cowper glands recognition remains one of the key histoanatomic benign mimics of prostatic adenocarcinoma. Rare variant with abundant foamy cytoplasm and minimal cytologic atypia (am j surg pathol 2001;25:618, am j. Cowper gland carcinoma. Cowper Gland Adenocarcinoma.
From dxorbotyq.blob.core.windows.net
Cowper's Gland Discharge at Barry Erby blog Cowper Gland Adenocarcinoma Cowper gland adenocarcinoma, also bulbourethral gland adenocarcinoma, is a cancer of the bulbourethral gland. The reported cases of cowper's gland carcinoma have all been adenoid cystic. Rare variant with abundant foamy cytoplasm and minimal cytologic atypia (am j surg pathol 2001;25:618, am j. Cowper gland carcinoma is rare and includes adenocarcinoma and adenoid cystic carcinoma subtypes. Cowper glands recognition remains. Cowper Gland Adenocarcinoma.
From www.academia.edu
(PDF) Adenoid cystic carcinoma of Cowper's gland Takeshi Igawa Cowper Gland Adenocarcinoma Cowper glands recognition remains one of the key histoanatomic benign mimics of prostatic adenocarcinoma. The reported cases of cowper's gland carcinoma have all been adenoid cystic. Rare variant with abundant foamy cytoplasm and minimal cytologic atypia (am j surg pathol 2001;25:618, am j. Cowper gland adenocarcinoma, also bulbourethral gland adenocarcinoma, is a cancer of the bulbourethral gland. Cowper gland carcinoma. Cowper Gland Adenocarcinoma.
From twitter.com
Karen Pinto DNB, FRCPath on Twitter "COWPER'S GLANDS When you get Cowper Gland Adenocarcinoma The reported cases of cowper's gland carcinoma have all been adenoid cystic. Cowper gland adenocarcinoma, also bulbourethral gland adenocarcinoma, is a cancer of the bulbourethral gland. Rare variant with abundant foamy cytoplasm and minimal cytologic atypia (am j surg pathol 2001;25:618, am j. Cowper glands recognition remains one of the key histoanatomic benign mimics of prostatic adenocarcinoma. Cowper gland carcinoma. Cowper Gland Adenocarcinoma.
From www.pathologyoutlines.com
Pathology Outlines Cowper glands Cowper Gland Adenocarcinoma Cowper gland adenocarcinoma, also bulbourethral gland adenocarcinoma, is a cancer of the bulbourethral gland. Cowper glands recognition remains one of the key histoanatomic benign mimics of prostatic adenocarcinoma. Rare variant with abundant foamy cytoplasm and minimal cytologic atypia (am j surg pathol 2001;25:618, am j. Cowper gland carcinoma is rare and includes adenocarcinoma and adenoid cystic carcinoma subtypes. The reported. Cowper Gland Adenocarcinoma.
From www.dovemed.com
Cowper Gland Adenocarcinoma of the Urethra Cowper Gland Adenocarcinoma Cowper glands recognition remains one of the key histoanatomic benign mimics of prostatic adenocarcinoma. The reported cases of cowper's gland carcinoma have all been adenoid cystic. Cowper gland adenocarcinoma, also bulbourethral gland adenocarcinoma, is a cancer of the bulbourethral gland. Cowper gland carcinoma is rare and includes adenocarcinoma and adenoid cystic carcinoma subtypes. Rare variant with abundant foamy cytoplasm and. Cowper Gland Adenocarcinoma.
From pubs.rsna.org
Imaging of the Bulbourethral (Cowper) Gland Abnormalities and Cowper Gland Adenocarcinoma Cowper gland adenocarcinoma, also bulbourethral gland adenocarcinoma, is a cancer of the bulbourethral gland. Cowper glands recognition remains one of the key histoanatomic benign mimics of prostatic adenocarcinoma. Cowper gland carcinoma is rare and includes adenocarcinoma and adenoid cystic carcinoma subtypes. Rare variant with abundant foamy cytoplasm and minimal cytologic atypia (am j surg pathol 2001;25:618, am j. The reported. Cowper Gland Adenocarcinoma.
From www.semanticscholar.org
Cowper’s glands and ducts radiological findings in children Semantic Cowper Gland Adenocarcinoma The reported cases of cowper's gland carcinoma have all been adenoid cystic. Cowper gland adenocarcinoma, also bulbourethral gland adenocarcinoma, is a cancer of the bulbourethral gland. Cowper gland carcinoma is rare and includes adenocarcinoma and adenoid cystic carcinoma subtypes. Cowper glands recognition remains one of the key histoanatomic benign mimics of prostatic adenocarcinoma. Rare variant with abundant foamy cytoplasm and. Cowper Gland Adenocarcinoma.
From pubs.rsna.org
Imaging of the Bulbourethral (Cowper) Gland Abnormalities and Cowper Gland Adenocarcinoma Cowper gland carcinoma is rare and includes adenocarcinoma and adenoid cystic carcinoma subtypes. The reported cases of cowper's gland carcinoma have all been adenoid cystic. Cowper glands recognition remains one of the key histoanatomic benign mimics of prostatic adenocarcinoma. Rare variant with abundant foamy cytoplasm and minimal cytologic atypia (am j surg pathol 2001;25:618, am j. Cowper gland adenocarcinoma, also. Cowper Gland Adenocarcinoma.
From www.auajournals.org
Adenoid Cystic Carcinoma of Cowper’s Gland Case Report Journal of Cowper Gland Adenocarcinoma Cowper gland adenocarcinoma, also bulbourethral gland adenocarcinoma, is a cancer of the bulbourethral gland. Cowper glands recognition remains one of the key histoanatomic benign mimics of prostatic adenocarcinoma. Cowper gland carcinoma is rare and includes adenocarcinoma and adenoid cystic carcinoma subtypes. The reported cases of cowper's gland carcinoma have all been adenoid cystic. Rare variant with abundant foamy cytoplasm and. Cowper Gland Adenocarcinoma.
From www.pathologyoutlines.com
You are being redirected... Cowper Gland Adenocarcinoma Cowper gland carcinoma is rare and includes adenocarcinoma and adenoid cystic carcinoma subtypes. Cowper gland adenocarcinoma, also bulbourethral gland adenocarcinoma, is a cancer of the bulbourethral gland. Rare variant with abundant foamy cytoplasm and minimal cytologic atypia (am j surg pathol 2001;25:618, am j. Cowper glands recognition remains one of the key histoanatomic benign mimics of prostatic adenocarcinoma. The reported. Cowper Gland Adenocarcinoma.