Post Nephrostomy . Percutaneous nephrostomy (pcn) was first described by urologist dr. The nephrostomy tube drains urine from your kidney into a collecting bag outside your body. A nephrostomy tube, also known as a nephrostomy catheter or percutaneous nephrostomy, drains urine directly from your kidney into a bag. A nephrostomy tube is a catheter that’s inserted through your skin and into your kidney. Find out how a nephrostomy is done, possible complications and ways to cope with having one. Percutaneous nephrostomy tube placement is a procedure that decompresses or provides access to the renal collecting system in. A nephrostomy lets urine drain from the kidney. Blockages can be caused by a number of things, including: You may need a nephrostomy tube when. Nephrostomies are a valuable uroradiological intervention which enables drainage of the obstructed kidney, amongst other indications. Willard goodwin in 1955 as a minimally.
from radiopaedia.org
A nephrostomy tube is a catheter that’s inserted through your skin and into your kidney. Blockages can be caused by a number of things, including: A nephrostomy lets urine drain from the kidney. Percutaneous nephrostomy (pcn) was first described by urologist dr. Nephrostomies are a valuable uroradiological intervention which enables drainage of the obstructed kidney, amongst other indications. A nephrostomy tube, also known as a nephrostomy catheter or percutaneous nephrostomy, drains urine directly from your kidney into a bag. Percutaneous nephrostomy tube placement is a procedure that decompresses or provides access to the renal collecting system in. Willard goodwin in 1955 as a minimally. You may need a nephrostomy tube when. Find out how a nephrostomy is done, possible complications and ways to cope with having one.
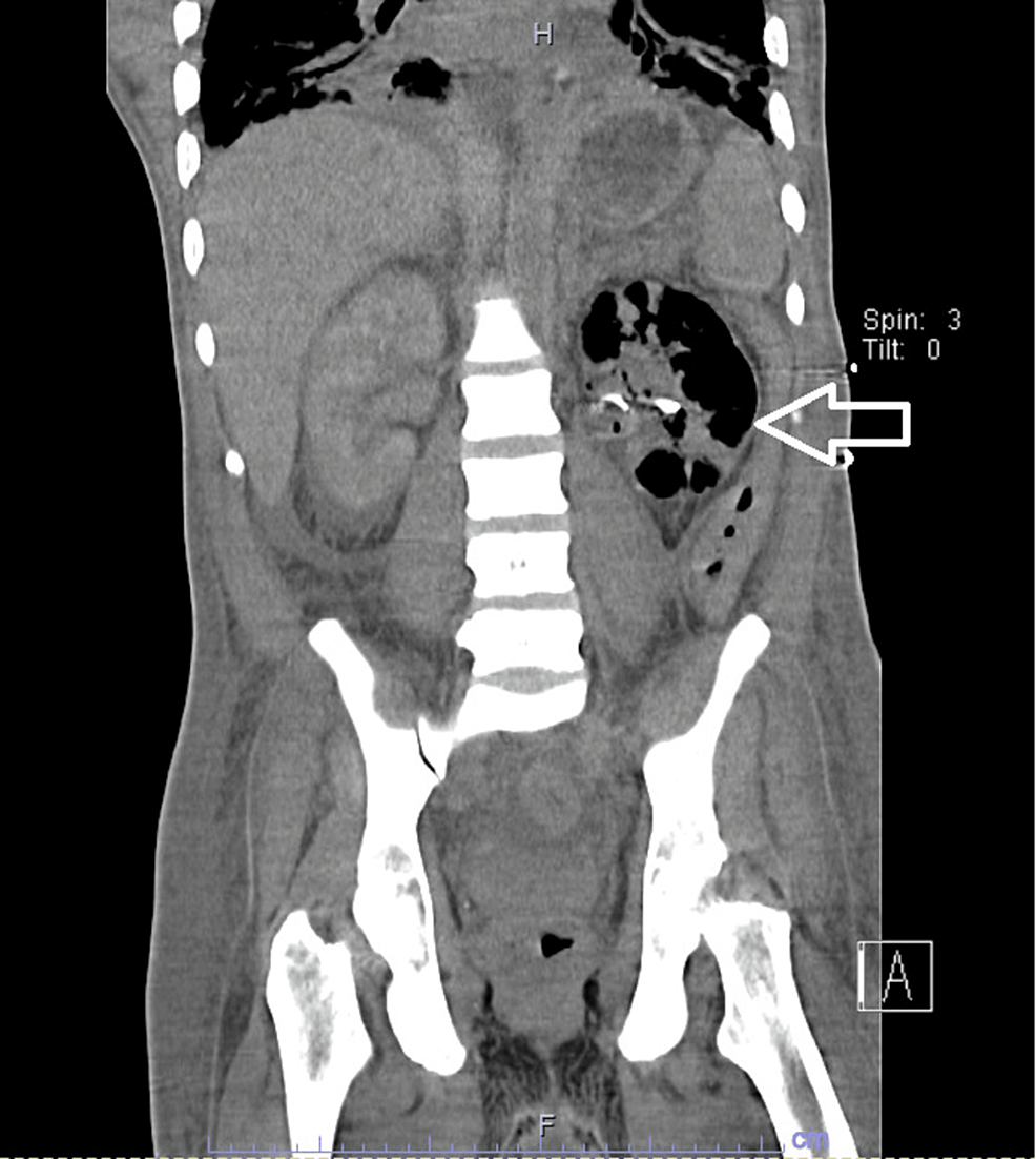
Urinoma postnephrostomy Image
Post Nephrostomy You may need a nephrostomy tube when. Willard goodwin in 1955 as a minimally. Percutaneous nephrostomy (pcn) was first described by urologist dr. Nephrostomies are a valuable uroradiological intervention which enables drainage of the obstructed kidney, amongst other indications. Find out how a nephrostomy is done, possible complications and ways to cope with having one. Blockages can be caused by a number of things, including: A nephrostomy lets urine drain from the kidney. The nephrostomy tube drains urine from your kidney into a collecting bag outside your body. You may need a nephrostomy tube when. A nephrostomy tube is a catheter that’s inserted through your skin and into your kidney. A nephrostomy tube, also known as a nephrostomy catheter or percutaneous nephrostomy, drains urine directly from your kidney into a bag. Percutaneous nephrostomy tube placement is a procedure that decompresses or provides access to the renal collecting system in.
From www.researchgate.net
İllustration of the connection of the nephrostomy tube, drainage bag Post Nephrostomy Percutaneous nephrostomy tube placement is a procedure that decompresses or provides access to the renal collecting system in. Blockages can be caused by a number of things, including: Nephrostomies are a valuable uroradiological intervention which enables drainage of the obstructed kidney, amongst other indications. You may need a nephrostomy tube when. The nephrostomy tube drains urine from your kidney into. Post Nephrostomy.
From www.researchgate.net
(PDF) Renal actinomycosis with muscular invasion postnephrostomy tube Post Nephrostomy You may need a nephrostomy tube when. Blockages can be caused by a number of things, including: Percutaneous nephrostomy tube placement is a procedure that decompresses or provides access to the renal collecting system in. Nephrostomies are a valuable uroradiological intervention which enables drainage of the obstructed kidney, amongst other indications. The nephrostomy tube drains urine from your kidney into. Post Nephrostomy.
From radiopaedia.org
Percutaneous nephrostomy diagram Image Post Nephrostomy Percutaneous nephrostomy (pcn) was first described by urologist dr. A nephrostomy tube is a catheter that’s inserted through your skin and into your kidney. You may need a nephrostomy tube when. Nephrostomies are a valuable uroradiological intervention which enables drainage of the obstructed kidney, amongst other indications. Blockages can be caused by a number of things, including: A nephrostomy tube,. Post Nephrostomy.
From www.youtube.com
Percutaneous Nephrostomy YouTube Post Nephrostomy You may need a nephrostomy tube when. A nephrostomy lets urine drain from the kidney. A nephrostomy tube, also known as a nephrostomy catheter or percutaneous nephrostomy, drains urine directly from your kidney into a bag. A nephrostomy tube is a catheter that’s inserted through your skin and into your kidney. Nephrostomies are a valuable uroradiological intervention which enables drainage. Post Nephrostomy.
From ar.iiarjournals.org
Prediction of Postoperative Risks in Laparoscopic Partial Nephrectomy Post Nephrostomy Percutaneous nephrostomy (pcn) was first described by urologist dr. A nephrostomy lets urine drain from the kidney. You may need a nephrostomy tube when. Blockages can be caused by a number of things, including: Willard goodwin in 1955 as a minimally. Nephrostomies are a valuable uroradiological intervention which enables drainage of the obstructed kidney, amongst other indications. A nephrostomy tube,. Post Nephrostomy.
From medium.com
Everything To Know About Partial Nephrectomy by Saketnarnoliurologist Post Nephrostomy Find out how a nephrostomy is done, possible complications and ways to cope with having one. Blockages can be caused by a number of things, including: A nephrostomy lets urine drain from the kidney. You may need a nephrostomy tube when. A nephrostomy tube, also known as a nephrostomy catheter or percutaneous nephrostomy, drains urine directly from your kidney into. Post Nephrostomy.
From www.yumpu.com
Your Nephrostomy Tube A Patient's Guide SCAN Post Nephrostomy Percutaneous nephrostomy (pcn) was first described by urologist dr. A nephrostomy tube is a catheter that’s inserted through your skin and into your kidney. Blockages can be caused by a number of things, including: You may need a nephrostomy tube when. A nephrostomy lets urine drain from the kidney. Find out how a nephrostomy is done, possible complications and ways. Post Nephrostomy.
From pubs.rsna.org
CT and MR Imaging of Complications of Partial Nephrectomy RadioGraphics Post Nephrostomy Blockages can be caused by a number of things, including: A nephrostomy lets urine drain from the kidney. Willard goodwin in 1955 as a minimally. A nephrostomy tube, also known as a nephrostomy catheter or percutaneous nephrostomy, drains urine directly from your kidney into a bag. Percutaneous nephrostomy tube placement is a procedure that decompresses or provides access to the. Post Nephrostomy.
From www.lybrate.com
Nephrostomy Causes, Symptoms, Treatment and Cost Post Nephrostomy Blockages can be caused by a number of things, including: The nephrostomy tube drains urine from your kidney into a collecting bag outside your body. Percutaneous nephrostomy (pcn) was first described by urologist dr. Nephrostomies are a valuable uroradiological intervention which enables drainage of the obstructed kidney, amongst other indications. A nephrostomy lets urine drain from the kidney. Willard goodwin. Post Nephrostomy.
From www.medicalnewstoday.com
Urostomy vs. nephrostomy How do they differ? Post Nephrostomy Percutaneous nephrostomy (pcn) was first described by urologist dr. Find out how a nephrostomy is done, possible complications and ways to cope with having one. Nephrostomies are a valuable uroradiological intervention which enables drainage of the obstructed kidney, amongst other indications. A nephrostomy lets urine drain from the kidney. A nephrostomy tube is a catheter that’s inserted through your skin. Post Nephrostomy.
From www.ctisus.com
Normal Post Right Nephrectomy Bed Kidney Case Studies CTisus CT Post Nephrostomy Nephrostomies are a valuable uroradiological intervention which enables drainage of the obstructed kidney, amongst other indications. The nephrostomy tube drains urine from your kidney into a collecting bag outside your body. A nephrostomy tube is a catheter that’s inserted through your skin and into your kidney. A nephrostomy lets urine drain from the kidney. Blockages can be caused by a. Post Nephrostomy.
From www.researchgate.net
Nephrostogram obtained 3 days following percutaneous nephrostomy tube Post Nephrostomy A nephrostomy tube is a catheter that’s inserted through your skin and into your kidney. Percutaneous nephrostomy (pcn) was first described by urologist dr. Percutaneous nephrostomy tube placement is a procedure that decompresses or provides access to the renal collecting system in. A nephrostomy tube, also known as a nephrostomy catheter or percutaneous nephrostomy, drains urine directly from your kidney. Post Nephrostomy.
From www.youtube.com
Radical Nephrectomy YouTube Post Nephrostomy Find out how a nephrostomy is done, possible complications and ways to cope with having one. A nephrostomy tube is a catheter that’s inserted through your skin and into your kidney. Percutaneous nephrostomy (pcn) was first described by urologist dr. Percutaneous nephrostomy tube placement is a procedure that decompresses or provides access to the renal collecting system in. A nephrostomy. Post Nephrostomy.
From pubs.rsna.org
Percutaneous Nephrostomy with Extensions of the Technique Step by Step Post Nephrostomy Percutaneous nephrostomy (pcn) was first described by urologist dr. Blockages can be caused by a number of things, including: Willard goodwin in 1955 as a minimally. Percutaneous nephrostomy tube placement is a procedure that decompresses or provides access to the renal collecting system in. You may need a nephrostomy tube when. Find out how a nephrostomy is done, possible complications. Post Nephrostomy.
From www.youtube.com
Percutaneous nephrostomy under usg guidance YouTube Post Nephrostomy A nephrostomy tube is a catheter that’s inserted through your skin and into your kidney. Willard goodwin in 1955 as a minimally. A nephrostomy lets urine drain from the kidney. The nephrostomy tube drains urine from your kidney into a collecting bag outside your body. A nephrostomy tube, also known as a nephrostomy catheter or percutaneous nephrostomy, drains urine directly. Post Nephrostomy.
From www.bsir.org
Percutaneous Nephrolithotomy BSIR Post Nephrostomy Willard goodwin in 1955 as a minimally. Blockages can be caused by a number of things, including: The nephrostomy tube drains urine from your kidney into a collecting bag outside your body. Percutaneous nephrostomy tube placement is a procedure that decompresses or provides access to the renal collecting system in. A nephrostomy tube, also known as a nephrostomy catheter or. Post Nephrostomy.
From www.lybrate.com
Nephrostomy Causes, Symptoms, Treatment and Cost Post Nephrostomy Willard goodwin in 1955 as a minimally. You may need a nephrostomy tube when. Percutaneous nephrostomy tube placement is a procedure that decompresses or provides access to the renal collecting system in. A nephrostomy lets urine drain from the kidney. A nephrostomy tube is a catheter that’s inserted through your skin and into your kidney. The nephrostomy tube drains urine. Post Nephrostomy.
From nursebecsupplies.co.uk
What is a Nephrostomy? Nurse Bec Supplies Post Nephrostomy A nephrostomy tube, also known as a nephrostomy catheter or percutaneous nephrostomy, drains urine directly from your kidney into a bag. Nephrostomies are a valuable uroradiological intervention which enables drainage of the obstructed kidney, amongst other indications. A nephrostomy lets urine drain from the kidney. The nephrostomy tube drains urine from your kidney into a collecting bag outside your body.. Post Nephrostomy.
From www.researchgate.net
Double nephrostomy performed for bilateral stenosis post ureteral Post Nephrostomy A nephrostomy lets urine drain from the kidney. A nephrostomy tube, also known as a nephrostomy catheter or percutaneous nephrostomy, drains urine directly from your kidney into a bag. Percutaneous nephrostomy (pcn) was first described by urologist dr. A nephrostomy tube is a catheter that’s inserted through your skin and into your kidney. Find out how a nephrostomy is done,. Post Nephrostomy.
From ar.inspiredpencil.com
Percutaneous Nephrostomy Post Nephrostomy Find out how a nephrostomy is done, possible complications and ways to cope with having one. A nephrostomy tube, also known as a nephrostomy catheter or percutaneous nephrostomy, drains urine directly from your kidney into a bag. Blockages can be caused by a number of things, including: Nephrostomies are a valuable uroradiological intervention which enables drainage of the obstructed kidney,. Post Nephrostomy.
From www.atlantichp.com
Nephrostomy Bag 600CC 20" Tube Atlantic Healthcare Products Post Nephrostomy A nephrostomy tube, also known as a nephrostomy catheter or percutaneous nephrostomy, drains urine directly from your kidney into a bag. The nephrostomy tube drains urine from your kidney into a collecting bag outside your body. Find out how a nephrostomy is done, possible complications and ways to cope with having one. Blockages can be caused by a number of. Post Nephrostomy.
From meandmynephrostomy.blogspot.com
So, what is a nephrostomy? Post Nephrostomy The nephrostomy tube drains urine from your kidney into a collecting bag outside your body. A nephrostomy tube is a catheter that’s inserted through your skin and into your kidney. A nephrostomy tube, also known as a nephrostomy catheter or percutaneous nephrostomy, drains urine directly from your kidney into a bag. Willard goodwin in 1955 as a minimally. Nephrostomies are. Post Nephrostomy.
From www.medstoc.com.gh
Nephrostomy Set Medstoc Ltd Post Nephrostomy Nephrostomies are a valuable uroradiological intervention which enables drainage of the obstructed kidney, amongst other indications. Find out how a nephrostomy is done, possible complications and ways to cope with having one. The nephrostomy tube drains urine from your kidney into a collecting bag outside your body. A nephrostomy tube is a catheter that’s inserted through your skin and into. Post Nephrostomy.
From www.researchgate.net
The CT scan reveals interval follows radical nephrectomy and Post Nephrostomy Blockages can be caused by a number of things, including: A nephrostomy tube is a catheter that’s inserted through your skin and into your kidney. Find out how a nephrostomy is done, possible complications and ways to cope with having one. Percutaneous nephrostomy tube placement is a procedure that decompresses or provides access to the renal collecting system in. Willard. Post Nephrostomy.
From www.emdocs.net
Emergency Medicine of Nephrostomy Post Nephrostomy Nephrostomies are a valuable uroradiological intervention which enables drainage of the obstructed kidney, amongst other indications. A nephrostomy tube, also known as a nephrostomy catheter or percutaneous nephrostomy, drains urine directly from your kidney into a bag. Percutaneous nephrostomy (pcn) was first described by urologist dr. Willard goodwin in 1955 as a minimally. Blockages can be caused by a number. Post Nephrostomy.
From drramayyas.blogspot.com
Ramayya Pramila Urology Hospital Percutaneous NephrostomyLife saving Post Nephrostomy A nephrostomy tube, also known as a nephrostomy catheter or percutaneous nephrostomy, drains urine directly from your kidney into a bag. Percutaneous nephrostomy tube placement is a procedure that decompresses or provides access to the renal collecting system in. The nephrostomy tube drains urine from your kidney into a collecting bag outside your body. Willard goodwin in 1955 as a. Post Nephrostomy.
From www.cureus.com
The Importance of Early Imaging in Acute Pyelonephritis A Case Report Post Nephrostomy Nephrostomies are a valuable uroradiological intervention which enables drainage of the obstructed kidney, amongst other indications. A nephrostomy tube is a catheter that’s inserted through your skin and into your kidney. Find out how a nephrostomy is done, possible complications and ways to cope with having one. A nephrostomy tube, also known as a nephrostomy catheter or percutaneous nephrostomy, drains. Post Nephrostomy.
From nisir.org
Percutaneous nephrostomy HOW I DO IT NiSIR Post Nephrostomy A nephrostomy tube is a catheter that’s inserted through your skin and into your kidney. Percutaneous nephrostomy (pcn) was first described by urologist dr. A nephrostomy lets urine drain from the kidney. You may need a nephrostomy tube when. Find out how a nephrostomy is done, possible complications and ways to cope with having one. Willard goodwin in 1955 as. Post Nephrostomy.
From www.researchgate.net
CT, CEUS nephrostogram, and fluoroscopic nephrostogram all performed Post Nephrostomy Find out how a nephrostomy is done, possible complications and ways to cope with having one. The nephrostomy tube drains urine from your kidney into a collecting bag outside your body. Willard goodwin in 1955 as a minimally. A nephrostomy tube, also known as a nephrostomy catheter or percutaneous nephrostomy, drains urine directly from your kidney into a bag. Percutaneous. Post Nephrostomy.
From www.slideserve.com
PPT Interventional Radiology PowerPoint Presentation ID401482 Post Nephrostomy A nephrostomy lets urine drain from the kidney. The nephrostomy tube drains urine from your kidney into a collecting bag outside your body. Nephrostomies are a valuable uroradiological intervention which enables drainage of the obstructed kidney, amongst other indications. You may need a nephrostomy tube when. Willard goodwin in 1955 as a minimally. Blockages can be caused by a number. Post Nephrostomy.
From radiopaedia.org
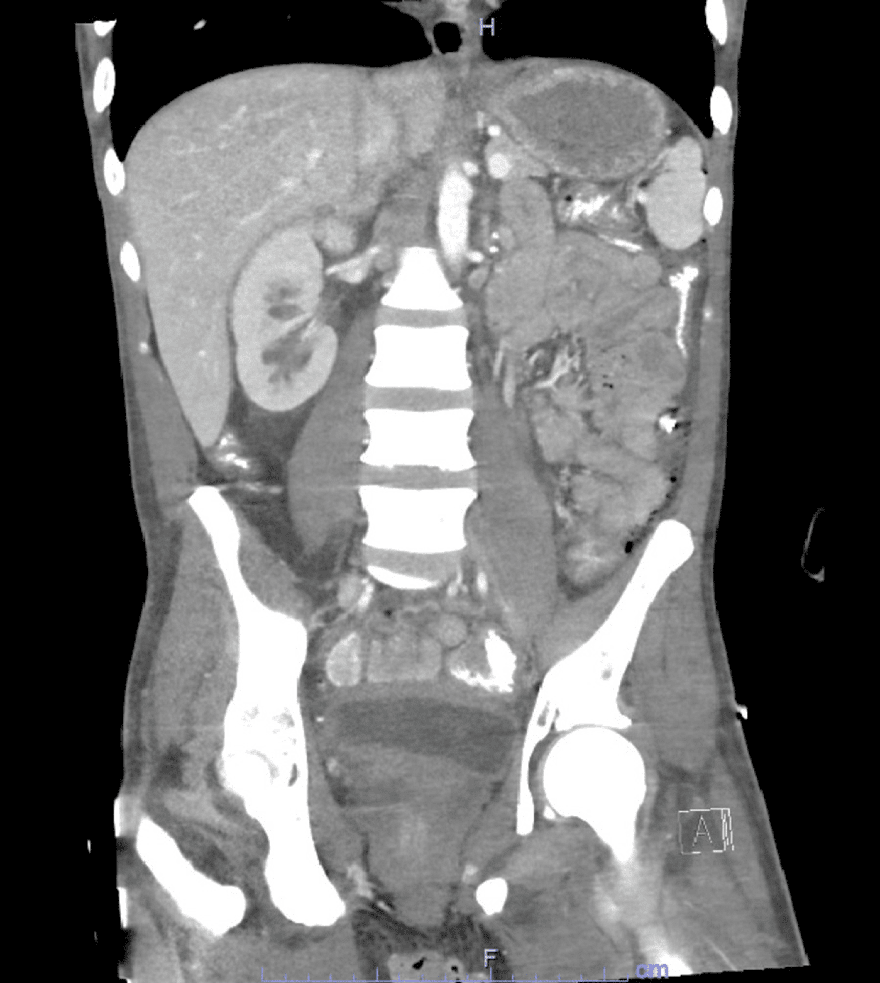
Urinoma postnephrostomy Image Post Nephrostomy The nephrostomy tube drains urine from your kidney into a collecting bag outside your body. Find out how a nephrostomy is done, possible complications and ways to cope with having one. Percutaneous nephrostomy tube placement is a procedure that decompresses or provides access to the renal collecting system in. Willard goodwin in 1955 as a minimally. Blockages can be caused. Post Nephrostomy.
From www.cureus.com
The Importance of Early Imaging in Acute Pyelonephritis A Case Report Post Nephrostomy A nephrostomy lets urine drain from the kidney. Blockages can be caused by a number of things, including: Find out how a nephrostomy is done, possible complications and ways to cope with having one. Willard goodwin in 1955 as a minimally. Percutaneous nephrostomy tube placement is a procedure that decompresses or provides access to the renal collecting system in. Percutaneous. Post Nephrostomy.
From pubs.rsna.org
CT and MR Imaging of Complications of Partial Nephrectomy RadioGraphics Post Nephrostomy Blockages can be caused by a number of things, including: A nephrostomy tube, also known as a nephrostomy catheter or percutaneous nephrostomy, drains urine directly from your kidney into a bag. A nephrostomy lets urine drain from the kidney. A nephrostomy tube is a catheter that’s inserted through your skin and into your kidney. You may need a nephrostomy tube. Post Nephrostomy.
From www.youtube.com
Your Nephrostomy or Nephroureteral Drain YouTube Post Nephrostomy A nephrostomy tube is a catheter that’s inserted through your skin and into your kidney. Nephrostomies are a valuable uroradiological intervention which enables drainage of the obstructed kidney, amongst other indications. Find out how a nephrostomy is done, possible complications and ways to cope with having one. You may need a nephrostomy tube when. A nephrostomy tube, also known as. Post Nephrostomy.
From lifecarehospitalindia.com
Nephrectomy LIFECARE HOSPITAL Post Nephrostomy Blockages can be caused by a number of things, including: Willard goodwin in 1955 as a minimally. You may need a nephrostomy tube when. Percutaneous nephrostomy (pcn) was first described by urologist dr. A nephrostomy lets urine drain from the kidney. Nephrostomies are a valuable uroradiological intervention which enables drainage of the obstructed kidney, amongst other indications. The nephrostomy tube. Post Nephrostomy.