Palatal Bar Dental Definition . Except for a palatal torus or a prominent median palatal suture area, palatal connectors ordinarily require no relief. Labial bar •it is half pear shaped simillar to mandibular lingual bar but the thickness and hight is more •in cases of extreme lingual inclination. The transpalatal arch (tpa) is a stainless steel wire connecting the maxillary molars during fixed appliance orthodontic treatment to assist with anchorage reinforcement. Major connector that crosses palate and unites two or more parts of a maxillary removable partial denture. Except for gingival areas, intimacy of contact elsewhere in the palate is not. Intimate contact between the connector and the supporting tissue adds much to the support, stability, and retention of the denture. The term palatal surface is used for surfaces of maxillary teeth (both anterior and posterior teeth). The surface that is towards or adjacent to the palate is the palatal surface. 14 — dental bar spaces between the incisors are likely to preclude the use of the dental bar or continuous clasp on aesthetic grounds as the metal will show
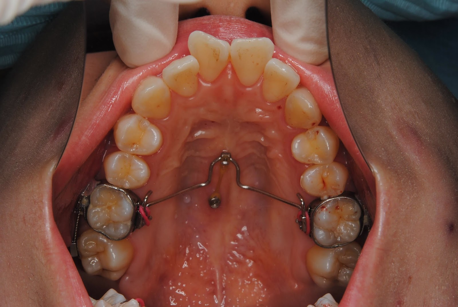
from katosika1000.blogspot.com
14 — dental bar spaces between the incisors are likely to preclude the use of the dental bar or continuous clasp on aesthetic grounds as the metal will show The transpalatal arch (tpa) is a stainless steel wire connecting the maxillary molars during fixed appliance orthodontic treatment to assist with anchorage reinforcement. The surface that is towards or adjacent to the palate is the palatal surface. The term palatal surface is used for surfaces of maxillary teeth (both anterior and posterior teeth). Except for a palatal torus or a prominent median palatal suture area, palatal connectors ordinarily require no relief. Major connector that crosses palate and unites two or more parts of a maxillary removable partial denture. Intimate contact between the connector and the supporting tissue adds much to the support, stability, and retention of the denture. Except for gingival areas, intimacy of contact elsewhere in the palate is not. Labial bar •it is half pear shaped simillar to mandibular lingual bar but the thickness and hight is more •in cases of extreme lingual inclination.
THE METHOD OF PALATAL MINISCREW WITH TRANSPALATALBAR FOR MOLARS
Palatal Bar Dental Definition Except for a palatal torus or a prominent median palatal suture area, palatal connectors ordinarily require no relief. The transpalatal arch (tpa) is a stainless steel wire connecting the maxillary molars during fixed appliance orthodontic treatment to assist with anchorage reinforcement. Major connector that crosses palate and unites two or more parts of a maxillary removable partial denture. Except for gingival areas, intimacy of contact elsewhere in the palate is not. 14 — dental bar spaces between the incisors are likely to preclude the use of the dental bar or continuous clasp on aesthetic grounds as the metal will show Labial bar •it is half pear shaped simillar to mandibular lingual bar but the thickness and hight is more •in cases of extreme lingual inclination. Intimate contact between the connector and the supporting tissue adds much to the support, stability, and retention of the denture. The term palatal surface is used for surfaces of maxillary teeth (both anterior and posterior teeth). The surface that is towards or adjacent to the palate is the palatal surface. Except for a palatal torus or a prominent median palatal suture area, palatal connectors ordinarily require no relief.
From www.muhadharaty.com
5 pptx د. شناي Muhadharaty Palatal Bar Dental Definition The term palatal surface is used for surfaces of maxillary teeth (both anterior and posterior teeth). Major connector that crosses palate and unites two or more parts of a maxillary removable partial denture. The surface that is towards or adjacent to the palate is the palatal surface. Except for a palatal torus or a prominent median palatal suture area, palatal. Palatal Bar Dental Definition.
From www.slideserve.com
PPT Major Connectors PowerPoint Presentation ID421807 Palatal Bar Dental Definition The term palatal surface is used for surfaces of maxillary teeth (both anterior and posterior teeth). Intimate contact between the connector and the supporting tissue adds much to the support, stability, and retention of the denture. 14 — dental bar spaces between the incisors are likely to preclude the use of the dental bar or continuous clasp on aesthetic grounds. Palatal Bar Dental Definition.
From dentagama.com
What is Higharched palate or Gothic palate? News Dentagama Palatal Bar Dental Definition Except for a palatal torus or a prominent median palatal suture area, palatal connectors ordinarily require no relief. 14 — dental bar spaces between the incisors are likely to preclude the use of the dental bar or continuous clasp on aesthetic grounds as the metal will show Major connector that crosses palate and unites two or more parts of a. Palatal Bar Dental Definition.
From splintortho.com
Palatal Bar Splintortho Palatal Bar Dental Definition 14 — dental bar spaces between the incisors are likely to preclude the use of the dental bar or continuous clasp on aesthetic grounds as the metal will show Except for gingival areas, intimacy of contact elsewhere in the palate is not. The transpalatal arch (tpa) is a stainless steel wire connecting the maxillary molars during fixed appliance orthodontic treatment. Palatal Bar Dental Definition.
From uniortholab.com
Transpalatal Bar Distalizer with Hooks (TAD) Universal Orthodontic Lab Palatal Bar Dental Definition Except for a palatal torus or a prominent median palatal suture area, palatal connectors ordinarily require no relief. The transpalatal arch (tpa) is a stainless steel wire connecting the maxillary molars during fixed appliance orthodontic treatment to assist with anchorage reinforcement. Major connector that crosses palate and unites two or more parts of a maxillary removable partial denture. The surface. Palatal Bar Dental Definition.
From www.ashburnpediatricdentalcenter.com
Appliance Instructions in Ashburn, VA Ashburn Pediatric Dental Center Palatal Bar Dental Definition Intimate contact between the connector and the supporting tissue adds much to the support, stability, and retention of the denture. The transpalatal arch (tpa) is a stainless steel wire connecting the maxillary molars during fixed appliance orthodontic treatment to assist with anchorage reinforcement. Major connector that crosses palate and unites two or more parts of a maxillary removable partial denture.. Palatal Bar Dental Definition.
From www.youtube.com
Maxillary Major Connectors Part 1/ Single Posterior Palatal Bar Palatal Bar Dental Definition 14 — dental bar spaces between the incisors are likely to preclude the use of the dental bar or continuous clasp on aesthetic grounds as the metal will show The term palatal surface is used for surfaces of maxillary teeth (both anterior and posterior teeth). Intimate contact between the connector and the supporting tissue adds much to the support, stability,. Palatal Bar Dental Definition.
From dentalvarehuset.no
Palatal Bar Palatal Bar Dental Definition 14 — dental bar spaces between the incisors are likely to preclude the use of the dental bar or continuous clasp on aesthetic grounds as the metal will show The transpalatal arch (tpa) is a stainless steel wire connecting the maxillary molars during fixed appliance orthodontic treatment to assist with anchorage reinforcement. Intimate contact between the connector and the supporting. Palatal Bar Dental Definition.
From www.youtube.com
Moin Orthodontics Palatal Bar YouTube Palatal Bar Dental Definition Except for a palatal torus or a prominent median palatal suture area, palatal connectors ordinarily require no relief. Labial bar •it is half pear shaped simillar to mandibular lingual bar but the thickness and hight is more •in cases of extreme lingual inclination. The term palatal surface is used for surfaces of maxillary teeth (both anterior and posterior teeth). 14. Palatal Bar Dental Definition.
From www.slideshare.net
Normal+dental+development+and+oral+pathology Palatal Bar Dental Definition The term palatal surface is used for surfaces of maxillary teeth (both anterior and posterior teeth). Except for gingival areas, intimacy of contact elsewhere in the palate is not. 14 — dental bar spaces between the incisors are likely to preclude the use of the dental bar or continuous clasp on aesthetic grounds as the metal will show Intimate contact. Palatal Bar Dental Definition.
From www.prominent-dental.com
PALATAL BARS prominentdental Palatal Bar Dental Definition The surface that is towards or adjacent to the palate is the palatal surface. Except for gingival areas, intimacy of contact elsewhere in the palate is not. Except for a palatal torus or a prominent median palatal suture area, palatal connectors ordinarily require no relief. Labial bar •it is half pear shaped simillar to mandibular lingual bar but the thickness. Palatal Bar Dental Definition.
From www.slideserve.com
PPT Major Connectors PowerPoint Presentation, free download ID421807 Palatal Bar Dental Definition 14 — dental bar spaces between the incisors are likely to preclude the use of the dental bar or continuous clasp on aesthetic grounds as the metal will show Major connector that crosses palate and unites two or more parts of a maxillary removable partial denture. Labial bar •it is half pear shaped simillar to mandibular lingual bar but the. Palatal Bar Dental Definition.
From www.aliexpress.com
Denxy High Quality Dental Orthodontic Palatal Arch Bar On The Molar Palatal Bar Dental Definition The term palatal surface is used for surfaces of maxillary teeth (both anterior and posterior teeth). Except for a palatal torus or a prominent median palatal suture area, palatal connectors ordinarily require no relief. 14 — dental bar spaces between the incisors are likely to preclude the use of the dental bar or continuous clasp on aesthetic grounds as the. Palatal Bar Dental Definition.
From www.youtube.com
Wide range of palatal TADs applications, mini screws palatelly Palatal Bar Dental Definition Labial bar •it is half pear shaped simillar to mandibular lingual bar but the thickness and hight is more •in cases of extreme lingual inclination. The term palatal surface is used for surfaces of maxillary teeth (both anterior and posterior teeth). Intimate contact between the connector and the supporting tissue adds much to the support, stability, and retention of the. Palatal Bar Dental Definition.
From www.dentaico.com
PALATAL BAR WITH DISTAL LOOP 43MM PAK/10UN MORELLI COD_3030143 Dentaico Palatal Bar Dental Definition The transpalatal arch (tpa) is a stainless steel wire connecting the maxillary molars during fixed appliance orthodontic treatment to assist with anchorage reinforcement. Intimate contact between the connector and the supporting tissue adds much to the support, stability, and retention of the denture. Except for a palatal torus or a prominent median palatal suture area, palatal connectors ordinarily require no. Palatal Bar Dental Definition.
From www.youtube.com
upper single palatal bar type design EXOCAD YouTube Palatal Bar Dental Definition The transpalatal arch (tpa) is a stainless steel wire connecting the maxillary molars during fixed appliance orthodontic treatment to assist with anchorage reinforcement. Except for gingival areas, intimacy of contact elsewhere in the palate is not. Major connector that crosses palate and unites two or more parts of a maxillary removable partial denture. The term palatal surface is used for. Palatal Bar Dental Definition.
From www.aliexpress.com
Store Home Products Feedback Palatal Bar Dental Definition 14 — dental bar spaces between the incisors are likely to preclude the use of the dental bar or continuous clasp on aesthetic grounds as the metal will show The transpalatal arch (tpa) is a stainless steel wire connecting the maxillary molars during fixed appliance orthodontic treatment to assist with anchorage reinforcement. Major connector that crosses palate and unites two. Palatal Bar Dental Definition.
From www.orthodonticshd.com
DISTAL PALATAL BAR 34mm Orthodontics High Design Palatal Bar Dental Definition Except for gingival areas, intimacy of contact elsewhere in the palate is not. Except for a palatal torus or a prominent median palatal suture area, palatal connectors ordinarily require no relief. Intimate contact between the connector and the supporting tissue adds much to the support, stability, and retention of the denture. Labial bar •it is half pear shaped simillar to. Palatal Bar Dental Definition.
From orthodontiepraktijk.nl
Orthodontiepraktijk Leeuwarden Palatal bar Orthodontiepraktijk Leeuwarden Palatal Bar Dental Definition The surface that is towards or adjacent to the palate is the palatal surface. Intimate contact between the connector and the supporting tissue adds much to the support, stability, and retention of the denture. The transpalatal arch (tpa) is a stainless steel wire connecting the maxillary molars during fixed appliance orthodontic treatment to assist with anchorage reinforcement. Labial bar •it. Palatal Bar Dental Definition.
From slidetodoc.com
PALATE INTRODUCTION Palate roof of the oral cavity Palatal Bar Dental Definition Major connector that crosses palate and unites two or more parts of a maxillary removable partial denture. Intimate contact between the connector and the supporting tissue adds much to the support, stability, and retention of the denture. The transpalatal arch (tpa) is a stainless steel wire connecting the maxillary molars during fixed appliance orthodontic treatment to assist with anchorage reinforcement.. Palatal Bar Dental Definition.
From www.aliexpress.com
20Pcs Dental Instruments Lingual Bar Palatal Bars Large Middle Small Palatal Bar Dental Definition Except for a palatal torus or a prominent median palatal suture area, palatal connectors ordinarily require no relief. The term palatal surface is used for surfaces of maxillary teeth (both anterior and posterior teeth). Labial bar •it is half pear shaped simillar to mandibular lingual bar but the thickness and hight is more •in cases of extreme lingual inclination. Major. Palatal Bar Dental Definition.
From china-ortholab.com
Transpalatal Arch Ortho Appliance TPA Orthodontics Palatal Bar Dental Definition 14 — dental bar spaces between the incisors are likely to preclude the use of the dental bar or continuous clasp on aesthetic grounds as the metal will show Except for a palatal torus or a prominent median palatal suture area, palatal connectors ordinarily require no relief. The term palatal surface is used for surfaces of maxillary teeth (both anterior. Palatal Bar Dental Definition.
From www.youtube.com
The Anteroposterior Palatal Strap major connector YouTube Palatal Bar Dental Definition The term palatal surface is used for surfaces of maxillary teeth (both anterior and posterior teeth). The surface that is towards or adjacent to the palate is the palatal surface. Major connector that crosses palate and unites two or more parts of a maxillary removable partial denture. 14 — dental bar spaces between the incisors are likely to preclude the. Palatal Bar Dental Definition.
From www.dentalcliniquespokane.com
Your Tooth Surfaces Explained Dental Clinique Palatal Bar Dental Definition Intimate contact between the connector and the supporting tissue adds much to the support, stability, and retention of the denture. Major connector that crosses palate and unites two or more parts of a maxillary removable partial denture. The term palatal surface is used for surfaces of maxillary teeth (both anterior and posterior teeth). 14 — dental bar spaces between the. Palatal Bar Dental Definition.
From www.creativechrome.co.uk
Creative Chrome Dental Laboratory East Devon Gallery Palatal Bar Dental Definition Intimate contact between the connector and the supporting tissue adds much to the support, stability, and retention of the denture. Major connector that crosses palate and unites two or more parts of a maxillary removable partial denture. Except for gingival areas, intimacy of contact elsewhere in the palate is not. The term palatal surface is used for surfaces of maxillary. Palatal Bar Dental Definition.
From www.creativechrome.co.uk
Creative Chrome Dental Laboratory East Devon Gallery Palatal Bar Dental Definition The transpalatal arch (tpa) is a stainless steel wire connecting the maxillary molars during fixed appliance orthodontic treatment to assist with anchorage reinforcement. Except for gingival areas, intimacy of contact elsewhere in the palate is not. Except for a palatal torus or a prominent median palatal suture area, palatal connectors ordinarily require no relief. The surface that is towards or. Palatal Bar Dental Definition.
From schapmanorthodontics.com
Palatal Expander Orthodontics by Steve Chapman Palatal Bar Dental Definition The term palatal surface is used for surfaces of maxillary teeth (both anterior and posterior teeth). Major connector that crosses palate and unites two or more parts of a maxillary removable partial denture. 14 — dental bar spaces between the incisors are likely to preclude the use of the dental bar or continuous clasp on aesthetic grounds as the metal. Palatal Bar Dental Definition.
From www.pinterest.com
Palatal Bar Orthodontics, Modern technology, Clear aligners Palatal Bar Dental Definition Intimate contact between the connector and the supporting tissue adds much to the support, stability, and retention of the denture. The term palatal surface is used for surfaces of maxillary teeth (both anterior and posterior teeth). Labial bar •it is half pear shaped simillar to mandibular lingual bar but the thickness and hight is more •in cases of extreme lingual. Palatal Bar Dental Definition.
From www.youtube.com
Palatal orthodontic miniimplants placement in the M4 position by Dr Palatal Bar Dental Definition The surface that is towards or adjacent to the palate is the palatal surface. Except for gingival areas, intimacy of contact elsewhere in the palate is not. 14 — dental bar spaces between the incisors are likely to preclude the use of the dental bar or continuous clasp on aesthetic grounds as the metal will show Intimate contact between the. Palatal Bar Dental Definition.
From www.siaorthodontics.com
Palatal Bar Sia Orthodontics Palatal Bar Dental Definition Except for gingival areas, intimacy of contact elsewhere in the palate is not. Intimate contact between the connector and the supporting tissue adds much to the support, stability, and retention of the denture. The surface that is towards or adjacent to the palate is the palatal surface. The term palatal surface is used for surfaces of maxillary teeth (both anterior. Palatal Bar Dental Definition.
From www.researchgate.net
Final overview of restorative dental care. A Palatal view of the bar Palatal Bar Dental Definition Major connector that crosses palate and unites two or more parts of a maxillary removable partial denture. 14 — dental bar spaces between the incisors are likely to preclude the use of the dental bar or continuous clasp on aesthetic grounds as the metal will show Except for a palatal torus or a prominent median palatal suture area, palatal connectors. Palatal Bar Dental Definition.
From gionnftgz.blob.core.windows.net
What Is An Expander at Margaret Cedeno blog Palatal Bar Dental Definition Intimate contact between the connector and the supporting tissue adds much to the support, stability, and retention of the denture. Except for gingival areas, intimacy of contact elsewhere in the palate is not. The term palatal surface is used for surfaces of maxillary teeth (both anterior and posterior teeth). Labial bar •it is half pear shaped simillar to mandibular lingual. Palatal Bar Dental Definition.
From www.slideserve.com
PPT Major Connectors PowerPoint Presentation ID421807 Palatal Bar Dental Definition 14 — dental bar spaces between the incisors are likely to preclude the use of the dental bar or continuous clasp on aesthetic grounds as the metal will show The surface that is towards or adjacent to the palate is the palatal surface. Labial bar •it is half pear shaped simillar to mandibular lingual bar but the thickness and hight. Palatal Bar Dental Definition.
From www.dentistskopje.com
How to Identify Mesial and Distal Sides of Your Teeth Palatal Bar Dental Definition Major connector that crosses palate and unites two or more parts of a maxillary removable partial denture. Labial bar •it is half pear shaped simillar to mandibular lingual bar but the thickness and hight is more •in cases of extreme lingual inclination. 14 — dental bar spaces between the incisors are likely to preclude the use of the dental bar. Palatal Bar Dental Definition.
From katosika1000.blogspot.com
THE METHOD OF PALATAL MINISCREW WITH TRANSPALATALBAR FOR MOLARS Palatal Bar Dental Definition The term palatal surface is used for surfaces of maxillary teeth (both anterior and posterior teeth). Intimate contact between the connector and the supporting tissue adds much to the support, stability, and retention of the denture. The transpalatal arch (tpa) is a stainless steel wire connecting the maxillary molars during fixed appliance orthodontic treatment to assist with anchorage reinforcement. Labial. Palatal Bar Dental Definition.