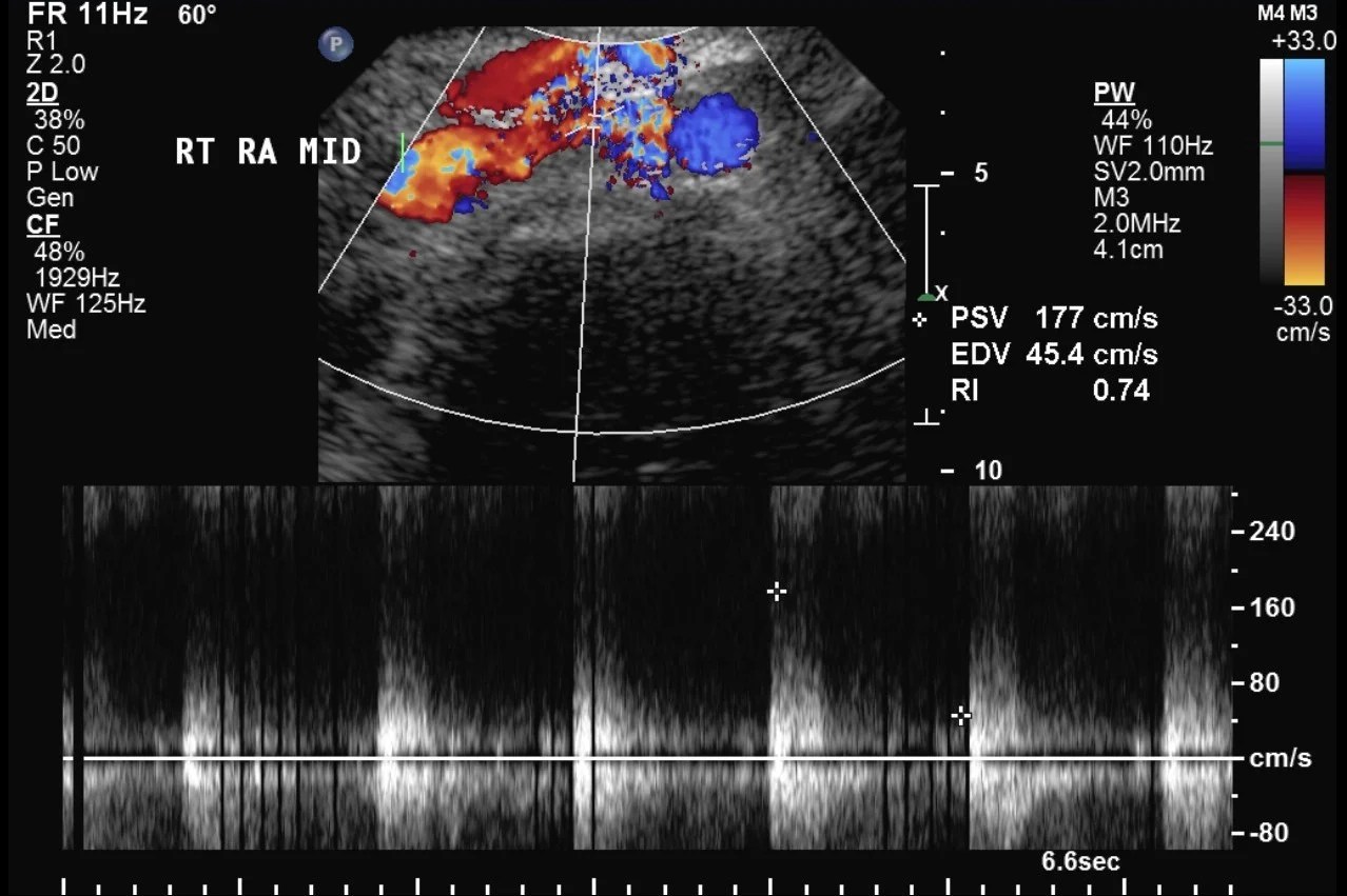
Renal Artery Duplex Scan Preparation . It usually takes around 1 hour. Renal artery duplex ultrasound is a cheap and efficient method for imaging of the renal arteries. One of the more involved exams in the sonographers arsenal, learning. These data show that renal duplex scanning can be used to diagnose renal artery stenosis in patients with hypertension or renal dysfunction, thus providing a rational basis for the. Prep for renal artery and/or aaa ltrasound day before exam: Breakfast and lunch • minimum residue diet (please read on. Renal hilum velocities can be easily obtained by scanning through the kidney at the patient’s flanks, and can yield clues to the renal artery. We use it to diagnose renal artery stenosis and for surveillance after procedures. The most common indication for a renal artery ultrasound is to assess for renal artery stenosis. Describe classic imaging findings associated with renal artery stenosis, renal artery thrombosis, renal vein thrombosis, and pseudoaneurysms/arteriovenous. Renal artery doppler is a powerful tool for the diagnosis of renal artery stenosis (ras).
from www.studypool.com
The most common indication for a renal artery ultrasound is to assess for renal artery stenosis. Renal hilum velocities can be easily obtained by scanning through the kidney at the patient’s flanks, and can yield clues to the renal artery. Describe classic imaging findings associated with renal artery stenosis, renal artery thrombosis, renal vein thrombosis, and pseudoaneurysms/arteriovenous. Prep for renal artery and/or aaa ltrasound day before exam: Renal artery duplex ultrasound is a cheap and efficient method for imaging of the renal arteries. One of the more involved exams in the sonographers arsenal, learning. These data show that renal duplex scanning can be used to diagnose renal artery stenosis in patients with hypertension or renal dysfunction, thus providing a rational basis for the. Renal artery doppler is a powerful tool for the diagnosis of renal artery stenosis (ras). It usually takes around 1 hour. Breakfast and lunch • minimum residue diet (please read on.
SOLUTION Renal artery duplex 1 wm Studypool
Renal Artery Duplex Scan Preparation It usually takes around 1 hour. The most common indication for a renal artery ultrasound is to assess for renal artery stenosis. Prep for renal artery and/or aaa ltrasound day before exam: Renal artery doppler is a powerful tool for the diagnosis of renal artery stenosis (ras). We use it to diagnose renal artery stenosis and for surveillance after procedures. Renal artery duplex ultrasound is a cheap and efficient method for imaging of the renal arteries. One of the more involved exams in the sonographers arsenal, learning. Renal hilum velocities can be easily obtained by scanning through the kidney at the patient’s flanks, and can yield clues to the renal artery. It usually takes around 1 hour. Describe classic imaging findings associated with renal artery stenosis, renal artery thrombosis, renal vein thrombosis, and pseudoaneurysms/arteriovenous. These data show that renal duplex scanning can be used to diagnose renal artery stenosis in patients with hypertension or renal dysfunction, thus providing a rational basis for the. Breakfast and lunch • minimum residue diet (please read on.
From www.jvascsurg.org
Duplex ultrasound scanning in the diagnosis of renal artery stenosis A Renal Artery Duplex Scan Preparation These data show that renal duplex scanning can be used to diagnose renal artery stenosis in patients with hypertension or renal dysfunction, thus providing a rational basis for the. Describe classic imaging findings associated with renal artery stenosis, renal artery thrombosis, renal vein thrombosis, and pseudoaneurysms/arteriovenous. It usually takes around 1 hour. Renal hilum velocities can be easily obtained by. Renal Artery Duplex Scan Preparation.
From slideplayer.com
Intraoperative assessment of renal and visceral artery reconstruction Renal Artery Duplex Scan Preparation Renal hilum velocities can be easily obtained by scanning through the kidney at the patient’s flanks, and can yield clues to the renal artery. Renal artery doppler is a powerful tool for the diagnosis of renal artery stenosis (ras). These data show that renal duplex scanning can be used to diagnose renal artery stenosis in patients with hypertension or renal. Renal Artery Duplex Scan Preparation.
From www.jvascsurg.org
Duplex ultrasound surveillance of renal branch grafts after fenestrated Renal Artery Duplex Scan Preparation Renal artery doppler is a powerful tool for the diagnosis of renal artery stenosis (ras). One of the more involved exams in the sonographers arsenal, learning. Breakfast and lunch • minimum residue diet (please read on. Renal hilum velocities can be easily obtained by scanning through the kidney at the patient’s flanks, and can yield clues to the renal artery.. Renal Artery Duplex Scan Preparation.
From journals.sagepub.com
Resistant Hypertension Secondary to Severe Renal Artery Stenosis With Renal Artery Duplex Scan Preparation One of the more involved exams in the sonographers arsenal, learning. Breakfast and lunch • minimum residue diet (please read on. Prep for renal artery and/or aaa ltrasound day before exam: We use it to diagnose renal artery stenosis and for surveillance after procedures. These data show that renal duplex scanning can be used to diagnose renal artery stenosis in. Renal Artery Duplex Scan Preparation.
From www.youtube.com
Renal Artery Duplex Anatomy, Protocol and Pathology YouTube Renal Artery Duplex Scan Preparation The most common indication for a renal artery ultrasound is to assess for renal artery stenosis. Describe classic imaging findings associated with renal artery stenosis, renal artery thrombosis, renal vein thrombosis, and pseudoaneurysms/arteriovenous. These data show that renal duplex scanning can be used to diagnose renal artery stenosis in patients with hypertension or renal dysfunction, thus providing a rational basis. Renal Artery Duplex Scan Preparation.
From www.researchgate.net
Renal artery duplex ultrasound of the left renal artery obtained in Renal Artery Duplex Scan Preparation These data show that renal duplex scanning can be used to diagnose renal artery stenosis in patients with hypertension or renal dysfunction, thus providing a rational basis for the. Prep for renal artery and/or aaa ltrasound day before exam: The most common indication for a renal artery ultrasound is to assess for renal artery stenosis. Renal artery doppler is a. Renal Artery Duplex Scan Preparation.
From www.researchgate.net
Renal artery duplex ultrasound of the left renal artery obtained in Renal Artery Duplex Scan Preparation Prep for renal artery and/or aaa ltrasound day before exam: Breakfast and lunch • minimum residue diet (please read on. Renal artery duplex ultrasound is a cheap and efficient method for imaging of the renal arteries. The most common indication for a renal artery ultrasound is to assess for renal artery stenosis. Describe classic imaging findings associated with renal artery. Renal Artery Duplex Scan Preparation.
From www.researchgate.net
(PDF) The performance of duplex ultrasonography for the assessment of Renal Artery Duplex Scan Preparation Breakfast and lunch • minimum residue diet (please read on. Describe classic imaging findings associated with renal artery stenosis, renal artery thrombosis, renal vein thrombosis, and pseudoaneurysms/arteriovenous. Renal hilum velocities can be easily obtained by scanning through the kidney at the patient’s flanks, and can yield clues to the renal artery. These data show that renal duplex scanning can be. Renal Artery Duplex Scan Preparation.
From www.youtube.com
Renal Artery Doppler Ultrasound Normal Vs Abnormal Images Stenosis Renal Artery Duplex Scan Preparation Breakfast and lunch • minimum residue diet (please read on. Renal hilum velocities can be easily obtained by scanning through the kidney at the patient’s flanks, and can yield clues to the renal artery. We use it to diagnose renal artery stenosis and for surveillance after procedures. These data show that renal duplex scanning can be used to diagnose renal. Renal Artery Duplex Scan Preparation.
From www.videre.com
Mobile Ultrasound NC, SC, TN, GA, MS, VA Videre Diagnostics Renal Artery Duplex Scan Preparation Renal artery duplex ultrasound is a cheap and efficient method for imaging of the renal arteries. Describe classic imaging findings associated with renal artery stenosis, renal artery thrombosis, renal vein thrombosis, and pseudoaneurysms/arteriovenous. One of the more involved exams in the sonographers arsenal, learning. These data show that renal duplex scanning can be used to diagnose renal artery stenosis in. Renal Artery Duplex Scan Preparation.
From www.harbourvascular.com.au
Renal Artery Duplex Ultrasound Vascular & Endovascular Surgeon Renal Artery Duplex Scan Preparation These data show that renal duplex scanning can be used to diagnose renal artery stenosis in patients with hypertension or renal dysfunction, thus providing a rational basis for the. We use it to diagnose renal artery stenosis and for surveillance after procedures. Prep for renal artery and/or aaa ltrasound day before exam: Describe classic imaging findings associated with renal artery. Renal Artery Duplex Scan Preparation.
From mungfali.com
Renal Arteries Ultrasound Renal Artery Duplex Scan Preparation Describe classic imaging findings associated with renal artery stenosis, renal artery thrombosis, renal vein thrombosis, and pseudoaneurysms/arteriovenous. We use it to diagnose renal artery stenosis and for surveillance after procedures. Renal artery duplex ultrasound is a cheap and efficient method for imaging of the renal arteries. The most common indication for a renal artery ultrasound is to assess for renal. Renal Artery Duplex Scan Preparation.
From www.ameliaheartcenter.com
Renal Duplex Ultrasound Springfield Arlington VA Cardiologist Renal Artery Duplex Scan Preparation Describe classic imaging findings associated with renal artery stenosis, renal artery thrombosis, renal vein thrombosis, and pseudoaneurysms/arteriovenous. The most common indication for a renal artery ultrasound is to assess for renal artery stenosis. Renal hilum velocities can be easily obtained by scanning through the kidney at the patient’s flanks, and can yield clues to the renal artery. It usually takes. Renal Artery Duplex Scan Preparation.
From journals.sagepub.com
Utility of Renal Artery Duplex Ultrasound for Screening and Diagnosis Renal Artery Duplex Scan Preparation Breakfast and lunch • minimum residue diet (please read on. We use it to diagnose renal artery stenosis and for surveillance after procedures. One of the more involved exams in the sonographers arsenal, learning. Renal hilum velocities can be easily obtained by scanning through the kidney at the patient’s flanks, and can yield clues to the renal artery. Prep for. Renal Artery Duplex Scan Preparation.
From www.artofit.org
Renal artery duplex scanning vascular center Artofit Renal Artery Duplex Scan Preparation We use it to diagnose renal artery stenosis and for surveillance after procedures. Describe classic imaging findings associated with renal artery stenosis, renal artery thrombosis, renal vein thrombosis, and pseudoaneurysms/arteriovenous. The most common indication for a renal artery ultrasound is to assess for renal artery stenosis. Breakfast and lunch • minimum residue diet (please read on. Renal hilum velocities can. Renal Artery Duplex Scan Preparation.
From www.researchgate.net
Renal artery duplex ultrasound of the left renal artery obtained in Renal Artery Duplex Scan Preparation Renal hilum velocities can be easily obtained by scanning through the kidney at the patient’s flanks, and can yield clues to the renal artery. Describe classic imaging findings associated with renal artery stenosis, renal artery thrombosis, renal vein thrombosis, and pseudoaneurysms/arteriovenous. One of the more involved exams in the sonographers arsenal, learning. We use it to diagnose renal artery stenosis. Renal Artery Duplex Scan Preparation.
From www.studypool.com
SOLUTION Renal artery duplex 1 wm Studypool Renal Artery Duplex Scan Preparation One of the more involved exams in the sonographers arsenal, learning. Describe classic imaging findings associated with renal artery stenosis, renal artery thrombosis, renal vein thrombosis, and pseudoaneurysms/arteriovenous. It usually takes around 1 hour. Renal artery doppler is a powerful tool for the diagnosis of renal artery stenosis (ras). Renal artery duplex ultrasound is a cheap and efficient method for. Renal Artery Duplex Scan Preparation.
From journals.sagepub.com
Utility of Renal Artery Duplex Ultrasound for Screening and Diagnosis Renal Artery Duplex Scan Preparation One of the more involved exams in the sonographers arsenal, learning. Breakfast and lunch • minimum residue diet (please read on. It usually takes around 1 hour. Renal artery duplex ultrasound is a cheap and efficient method for imaging of the renal arteries. Prep for renal artery and/or aaa ltrasound day before exam: We use it to diagnose renal artery. Renal Artery Duplex Scan Preparation.
From sonographictendencies.com
Renal Transplant Duplex Protocol Sonographic Tendencies Renal Artery Duplex Scan Preparation Breakfast and lunch • minimum residue diet (please read on. Renal hilum velocities can be easily obtained by scanning through the kidney at the patient’s flanks, and can yield clues to the renal artery. It usually takes around 1 hour. These data show that renal duplex scanning can be used to diagnose renal artery stenosis in patients with hypertension or. Renal Artery Duplex Scan Preparation.
From www.harbourvascular.com.au
Renal Artery Duplex Ultrasound Vascular & Endovascular Surgeon Renal Artery Duplex Scan Preparation One of the more involved exams in the sonographers arsenal, learning. Breakfast and lunch • minimum residue diet (please read on. Renal hilum velocities can be easily obtained by scanning through the kidney at the patient’s flanks, and can yield clues to the renal artery. The most common indication for a renal artery ultrasound is to assess for renal artery. Renal Artery Duplex Scan Preparation.
From mappingmemories.ca
disculpa lento ampliar renal artery duplex Clínica práctico Pequeño Renal Artery Duplex Scan Preparation Renal hilum velocities can be easily obtained by scanning through the kidney at the patient’s flanks, and can yield clues to the renal artery. Renal artery doppler is a powerful tool for the diagnosis of renal artery stenosis (ras). These data show that renal duplex scanning can be used to diagnose renal artery stenosis in patients with hypertension or renal. Renal Artery Duplex Scan Preparation.
From www.pinterest.com
Renal Artery Duplex Anatomy, Protocol and Pathology Ultrasound, Renal Renal Artery Duplex Scan Preparation It usually takes around 1 hour. Breakfast and lunch • minimum residue diet (please read on. We use it to diagnose renal artery stenosis and for surveillance after procedures. Renal artery doppler is a powerful tool for the diagnosis of renal artery stenosis (ras). These data show that renal duplex scanning can be used to diagnose renal artery stenosis in. Renal Artery Duplex Scan Preparation.
From www.researchgate.net
Preoperative renal artery duplex ultrasound demonstrating elevated Renal Artery Duplex Scan Preparation Renal artery duplex ultrasound is a cheap and efficient method for imaging of the renal arteries. We use it to diagnose renal artery stenosis and for surveillance after procedures. Renal hilum velocities can be easily obtained by scanning through the kidney at the patient’s flanks, and can yield clues to the renal artery. The most common indication for a renal. Renal Artery Duplex Scan Preparation.
From www.artofit.org
Renal artery duplex scanning vascular center Artofit Renal Artery Duplex Scan Preparation Describe classic imaging findings associated with renal artery stenosis, renal artery thrombosis, renal vein thrombosis, and pseudoaneurysms/arteriovenous. The most common indication for a renal artery ultrasound is to assess for renal artery stenosis. Renal hilum velocities can be easily obtained by scanning through the kidney at the patient’s flanks, and can yield clues to the renal artery. Renal artery doppler. Renal Artery Duplex Scan Preparation.
From www.youtube.com
Duplex Demonstration of Normal Renal Arterial Blood Flow Case Study Renal Artery Duplex Scan Preparation Breakfast and lunch • minimum residue diet (please read on. It usually takes around 1 hour. The most common indication for a renal artery ultrasound is to assess for renal artery stenosis. Renal artery duplex ultrasound is a cheap and efficient method for imaging of the renal arteries. Describe classic imaging findings associated with renal artery stenosis, renal artery thrombosis,. Renal Artery Duplex Scan Preparation.
From sonographictendencies.com
Renal Transplant Duplex Protocol Sonographic Tendencies Renal Artery Duplex Scan Preparation Breakfast and lunch • minimum residue diet (please read on. It usually takes around 1 hour. Renal artery doppler is a powerful tool for the diagnosis of renal artery stenosis (ras). One of the more involved exams in the sonographers arsenal, learning. The most common indication for a renal artery ultrasound is to assess for renal artery stenosis. Renal hilum. Renal Artery Duplex Scan Preparation.
From angiologist.com
Renal artery duplex Angiologist Renal Artery Duplex Scan Preparation Breakfast and lunch • minimum residue diet (please read on. One of the more involved exams in the sonographers arsenal, learning. The most common indication for a renal artery ultrasound is to assess for renal artery stenosis. These data show that renal duplex scanning can be used to diagnose renal artery stenosis in patients with hypertension or renal dysfunction, thus. Renal Artery Duplex Scan Preparation.
From ladyandcare.com
Renal artery duplex scan Lady and Care Renal Artery Duplex Scan Preparation The most common indication for a renal artery ultrasound is to assess for renal artery stenosis. These data show that renal duplex scanning can be used to diagnose renal artery stenosis in patients with hypertension or renal dysfunction, thus providing a rational basis for the. It usually takes around 1 hour. We use it to diagnose renal artery stenosis and. Renal Artery Duplex Scan Preparation.
From sonographictendencies.com
Renal Transplant Duplex Protocol Sonographic Tendencies Renal Artery Duplex Scan Preparation One of the more involved exams in the sonographers arsenal, learning. These data show that renal duplex scanning can be used to diagnose renal artery stenosis in patients with hypertension or renal dysfunction, thus providing a rational basis for the. Renal hilum velocities can be easily obtained by scanning through the kidney at the patient’s flanks, and can yield clues. Renal Artery Duplex Scan Preparation.
From journals.sagepub.com
Utility of Renal Artery Duplex Ultrasound for Screening and Diagnosis Renal Artery Duplex Scan Preparation One of the more involved exams in the sonographers arsenal, learning. Describe classic imaging findings associated with renal artery stenosis, renal artery thrombosis, renal vein thrombosis, and pseudoaneurysms/arteriovenous. Renal hilum velocities can be easily obtained by scanning through the kidney at the patient’s flanks, and can yield clues to the renal artery. Prep for renal artery and/or aaa ltrasound day. Renal Artery Duplex Scan Preparation.
From www.youtube.com
Renal Artery Duplex Anatomy, Protocol and Pathology YouTube Renal Artery Duplex Scan Preparation We use it to diagnose renal artery stenosis and for surveillance after procedures. Renal hilum velocities can be easily obtained by scanning through the kidney at the patient’s flanks, and can yield clues to the renal artery. Breakfast and lunch • minimum residue diet (please read on. One of the more involved exams in the sonographers arsenal, learning. Describe classic. Renal Artery Duplex Scan Preparation.
From sonographictendencies.com
Renal Transplant Duplex Protocol Sonographic Tendencies Renal Artery Duplex Scan Preparation Describe classic imaging findings associated with renal artery stenosis, renal artery thrombosis, renal vein thrombosis, and pseudoaneurysms/arteriovenous. Renal artery duplex ultrasound is a cheap and efficient method for imaging of the renal arteries. The most common indication for a renal artery ultrasound is to assess for renal artery stenosis. Renal artery doppler is a powerful tool for the diagnosis of. Renal Artery Duplex Scan Preparation.
From www.artofit.org
Renal artery duplex scanning vascular center Artofit Renal Artery Duplex Scan Preparation Describe classic imaging findings associated with renal artery stenosis, renal artery thrombosis, renal vein thrombosis, and pseudoaneurysms/arteriovenous. The most common indication for a renal artery ultrasound is to assess for renal artery stenosis. Prep for renal artery and/or aaa ltrasound day before exam: We use it to diagnose renal artery stenosis and for surveillance after procedures. Renal hilum velocities can. Renal Artery Duplex Scan Preparation.
From journals.sagepub.com
Utility of Renal Artery Duplex Ultrasound for Screening and Diagnosis Renal Artery Duplex Scan Preparation Renal artery doppler is a powerful tool for the diagnosis of renal artery stenosis (ras). Describe classic imaging findings associated with renal artery stenosis, renal artery thrombosis, renal vein thrombosis, and pseudoaneurysms/arteriovenous. We use it to diagnose renal artery stenosis and for surveillance after procedures. Breakfast and lunch • minimum residue diet (please read on. The most common indication for. Renal Artery Duplex Scan Preparation.
From www.yumpu.com
Native Renal Artery Duplex Sonography AIUM Renal Artery Duplex Scan Preparation It usually takes around 1 hour. Describe classic imaging findings associated with renal artery stenosis, renal artery thrombosis, renal vein thrombosis, and pseudoaneurysms/arteriovenous. Renal artery doppler is a powerful tool for the diagnosis of renal artery stenosis (ras). Breakfast and lunch • minimum residue diet (please read on. One of the more involved exams in the sonographers arsenal, learning. The. Renal Artery Duplex Scan Preparation.