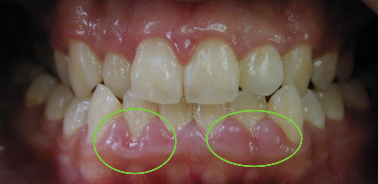
Infection In Your Gums Symptoms . It's a milder form of gum disease that can lead to periodontitis if you don't treat it. Gingivitis is swelling, redness, and bleeding in the part of your gums that surround your teeth. If you experience any of these symptoms, you should see your healthcare provider. It can damage your bones and teeth,. A gum abscess is a pocket of pus that forms on the gums due to bacterial infection. Swelling, redness, and tenderness indicate inflammation caused by bacterial infection. What are the symptoms of gum infection? Healthy gums are firm and pale pink. Periodontitis, a type of gum disease, is severe inflammation of your gums, with symptoms that include red, bleeding or swollen. Periodontitis is a serious infection of the gums caused by bacteria that have been allowed to accumulate on your teeth and gums. However, if you see your dentist and are diagnosed with gum disease, you should also. Learn how to recognize the signs, get medical treatment, and prevent complications of this.
from www.klinikartibir.com
Learn how to recognize the signs, get medical treatment, and prevent complications of this. It can damage your bones and teeth,. What are the symptoms of gum infection? A gum abscess is a pocket of pus that forms on the gums due to bacterial infection. Swelling, redness, and tenderness indicate inflammation caused by bacterial infection. However, if you see your dentist and are diagnosed with gum disease, you should also. It's a milder form of gum disease that can lead to periodontitis if you don't treat it. Periodontitis, a type of gum disease, is severe inflammation of your gums, with symptoms that include red, bleeding or swollen. Healthy gums are firm and pale pink. Periodontitis is a serious infection of the gums caused by bacteria that have been allowed to accumulate on your teeth and gums.
Gum Disease Symptoms Klinik +1
Infection In Your Gums Symptoms Gingivitis is swelling, redness, and bleeding in the part of your gums that surround your teeth. What are the symptoms of gum infection? However, if you see your dentist and are diagnosed with gum disease, you should also. It can damage your bones and teeth,. It's a milder form of gum disease that can lead to periodontitis if you don't treat it. Periodontitis, a type of gum disease, is severe inflammation of your gums, with symptoms that include red, bleeding or swollen. Healthy gums are firm and pale pink. If you experience any of these symptoms, you should see your healthcare provider. A gum abscess is a pocket of pus that forms on the gums due to bacterial infection. Gingivitis is swelling, redness, and bleeding in the part of your gums that surround your teeth. Learn how to recognize the signs, get medical treatment, and prevent complications of this. Swelling, redness, and tenderness indicate inflammation caused by bacterial infection. Periodontitis is a serious infection of the gums caused by bacteria that have been allowed to accumulate on your teeth and gums.
From otaradental.ca
What Are Common Symptoms of an Infected Gum? St. Albert Infection In Your Gums Symptoms Healthy gums are firm and pale pink. Gingivitis is swelling, redness, and bleeding in the part of your gums that surround your teeth. Learn how to recognize the signs, get medical treatment, and prevent complications of this. A gum abscess is a pocket of pus that forms on the gums due to bacterial infection. Periodontitis, a type of gum disease,. Infection In Your Gums Symptoms.
From daytonabeachdentalimplants.com
Your Guide to Early Signs of Gum Disease & Treatment Infection In Your Gums Symptoms Healthy gums are firm and pale pink. Learn how to recognize the signs, get medical treatment, and prevent complications of this. If you experience any of these symptoms, you should see your healthcare provider. What are the symptoms of gum infection? Swelling, redness, and tenderness indicate inflammation caused by bacterial infection. However, if you see your dentist and are diagnosed. Infection In Your Gums Symptoms.
From info-pregnancysymthom.blogspot.com
Is Bleeding Gums An Early Pregnancy Symptom, Pregnancy Sympthom Infection In Your Gums Symptoms It can damage your bones and teeth,. Gingivitis is swelling, redness, and bleeding in the part of your gums that surround your teeth. If you experience any of these symptoms, you should see your healthcare provider. It's a milder form of gum disease that can lead to periodontitis if you don't treat it. A gum abscess is a pocket of. Infection In Your Gums Symptoms.
From dentistkansascityks.com
Gum Disease Explained Signs, Symptoms, and Treatments Infection In Your Gums Symptoms It can damage your bones and teeth,. Learn how to recognize the signs, get medical treatment, and prevent complications of this. What are the symptoms of gum infection? It's a milder form of gum disease that can lead to periodontitis if you don't treat it. Gingivitis is swelling, redness, and bleeding in the part of your gums that surround your. Infection In Your Gums Symptoms.
From eastportdentalaz.com
Gum Disease Signs and Treatment in Mesa Top Rated Cosmetic & General Infection In Your Gums Symptoms A gum abscess is a pocket of pus that forms on the gums due to bacterial infection. Learn how to recognize the signs, get medical treatment, and prevent complications of this. What are the symptoms of gum infection? Gingivitis is swelling, redness, and bleeding in the part of your gums that surround your teeth. Periodontitis, a type of gum disease,. Infection In Your Gums Symptoms.
From www.healthresource4u.com
Gum Disease (Gingivitis) Causes, Risk Factors ,Symptoms and Treatment Infection In Your Gums Symptoms Periodontitis is a serious infection of the gums caused by bacteria that have been allowed to accumulate on your teeth and gums. It's a milder form of gum disease that can lead to periodontitis if you don't treat it. It can damage your bones and teeth,. What are the symptoms of gum infection? Gingivitis is swelling, redness, and bleeding in. Infection In Your Gums Symptoms.
From www.drmolayem.com
Removal of Gum & Bone Infections Dr. Shervin Molayem Periodontist Infection In Your Gums Symptoms Swelling, redness, and tenderness indicate inflammation caused by bacterial infection. A gum abscess is a pocket of pus that forms on the gums due to bacterial infection. Healthy gums are firm and pale pink. What are the symptoms of gum infection? Gingivitis is swelling, redness, and bleeding in the part of your gums that surround your teeth. Learn how to. Infection In Your Gums Symptoms.
From affinitydentalaz.com
Gum Infection Therapy Queen Creek, AZ Affinity Dental Queen Creek Infection In Your Gums Symptoms Periodontitis, a type of gum disease, is severe inflammation of your gums, with symptoms that include red, bleeding or swollen. What are the symptoms of gum infection? Healthy gums are firm and pale pink. However, if you see your dentist and are diagnosed with gum disease, you should also. Gingivitis is swelling, redness, and bleeding in the part of your. Infection In Your Gums Symptoms.
From ar.inspiredpencil.com
Beginning Signs Of Gingivitis Infection In Your Gums Symptoms Learn how to recognize the signs, get medical treatment, and prevent complications of this. Periodontitis, a type of gum disease, is severe inflammation of your gums, with symptoms that include red, bleeding or swollen. It can damage your bones and teeth,. What are the symptoms of gum infection? Periodontitis is a serious infection of the gums caused by bacteria that. Infection In Your Gums Symptoms.
From regencydentalpsl.com
The most common causes of gum disease Regency Dental Infection In Your Gums Symptoms What are the symptoms of gum infection? Periodontitis is a serious infection of the gums caused by bacteria that have been allowed to accumulate on your teeth and gums. Swelling, redness, and tenderness indicate inflammation caused by bacterial infection. Gingivitis is swelling, redness, and bleeding in the part of your gums that surround your teeth. Healthy gums are firm and. Infection In Your Gums Symptoms.
From www.oramd.com
Gum Infection What It Is And How To Treat It OraMD Infection In Your Gums Symptoms It's a milder form of gum disease that can lead to periodontitis if you don't treat it. Periodontitis is a serious infection of the gums caused by bacteria that have been allowed to accumulate on your teeth and gums. Swelling, redness, and tenderness indicate inflammation caused by bacterial infection. A gum abscess is a pocket of pus that forms on. Infection In Your Gums Symptoms.
From www.std-gov.org
Gum infection Gingivitis and Periodontitis STD.GOV Blog Infection In Your Gums Symptoms Periodontitis is a serious infection of the gums caused by bacteria that have been allowed to accumulate on your teeth and gums. A gum abscess is a pocket of pus that forms on the gums due to bacterial infection. What are the symptoms of gum infection? Learn how to recognize the signs, get medical treatment, and prevent complications of this.. Infection In Your Gums Symptoms.
From www.express.co.uk
Tooth abscess symptoms What is a dental abscess, how do you fix it Infection In Your Gums Symptoms It can damage your bones and teeth,. What are the symptoms of gum infection? Periodontitis is a serious infection of the gums caused by bacteria that have been allowed to accumulate on your teeth and gums. Periodontitis, a type of gum disease, is severe inflammation of your gums, with symptoms that include red, bleeding or swollen. Swelling, redness, and tenderness. Infection In Your Gums Symptoms.
From www.nuffielddental.com.sg
Signs of Gum Disease Infection In Your Gums Symptoms Gingivitis is swelling, redness, and bleeding in the part of your gums that surround your teeth. Swelling, redness, and tenderness indicate inflammation caused by bacterial infection. Healthy gums are firm and pale pink. If you experience any of these symptoms, you should see your healthcare provider. Periodontitis, a type of gum disease, is severe inflammation of your gums, with symptoms. Infection In Your Gums Symptoms.
From www.teethtalkgirl.com
5 Stages Of An Abscessed Tooth & What To Do Infection In Your Gums Symptoms A gum abscess is a pocket of pus that forms on the gums due to bacterial infection. Healthy gums are firm and pale pink. Gingivitis is swelling, redness, and bleeding in the part of your gums that surround your teeth. What are the symptoms of gum infection? However, if you see your dentist and are diagnosed with gum disease, you. Infection In Your Gums Symptoms.
From www.yourdentistryguide.com
Gum Disease Signs, Symptoms & Treatment Options Infection In Your Gums Symptoms It's a milder form of gum disease that can lead to periodontitis if you don't treat it. Swelling, redness, and tenderness indicate inflammation caused by bacterial infection. It can damage your bones and teeth,. Periodontitis, a type of gum disease, is severe inflammation of your gums, with symptoms that include red, bleeding or swollen. However, if you see your dentist. Infection In Your Gums Symptoms.
From www.pacificoralsurgeon.com
Wisdom Tooth Infection (Pericoronitis) in Ventura, CA Pacific Oral Infection In Your Gums Symptoms What are the symptoms of gum infection? Learn how to recognize the signs, get medical treatment, and prevent complications of this. It's a milder form of gum disease that can lead to periodontitis if you don't treat it. Swelling, redness, and tenderness indicate inflammation caused by bacterial infection. It can damage your bones and teeth,. If you experience any of. Infection In Your Gums Symptoms.
From medicalcontent.hubpages.com
Swollen Gums Symptoms, Causes, Treatment, Pictures HubPages Infection In Your Gums Symptoms It's a milder form of gum disease that can lead to periodontitis if you don't treat it. Periodontitis is a serious infection of the gums caused by bacteria that have been allowed to accumulate on your teeth and gums. It can damage your bones and teeth,. What are the symptoms of gum infection? Gingivitis is swelling, redness, and bleeding in. Infection In Your Gums Symptoms.
From newsmilelaserdental.in
WHAT IS GUM INFECTION / DISEASE New Smile Laser Dental Infection In Your Gums Symptoms Gingivitis is swelling, redness, and bleeding in the part of your gums that surround your teeth. What are the symptoms of gum infection? Periodontitis, a type of gum disease, is severe inflammation of your gums, with symptoms that include red, bleeding or swollen. Swelling, redness, and tenderness indicate inflammation caused by bacterial infection. If you experience any of these symptoms,. Infection In Your Gums Symptoms.
From www.ndcs.com.sg
Gum Disease Infection In Your Gums Symptoms Learn how to recognize the signs, get medical treatment, and prevent complications of this. Gingivitis is swelling, redness, and bleeding in the part of your gums that surround your teeth. Swelling, redness, and tenderness indicate inflammation caused by bacterial infection. Periodontitis is a serious infection of the gums caused by bacteria that have been allowed to accumulate on your teeth. Infection In Your Gums Symptoms.
From www.coastalperio.net
Periodontal Gum Disease Coastal Periodontics & Implant Dentistry, P.C Infection In Your Gums Symptoms Learn how to recognize the signs, get medical treatment, and prevent complications of this. If you experience any of these symptoms, you should see your healthcare provider. A gum abscess is a pocket of pus that forms on the gums due to bacterial infection. Periodontitis is a serious infection of the gums caused by bacteria that have been allowed to. Infection In Your Gums Symptoms.
From fightgumdisease.com.au
Learn About Gum Disease Gum Infection Stages Periodontitis Treatment Infection In Your Gums Symptoms A gum abscess is a pocket of pus that forms on the gums due to bacterial infection. What are the symptoms of gum infection? It can damage your bones and teeth,. Gingivitis is swelling, redness, and bleeding in the part of your gums that surround your teeth. Healthy gums are firm and pale pink. Learn how to recognize the signs,. Infection In Your Gums Symptoms.
From www.klinikartibir.com
Gum Disease Symptoms Klinik +1 Infection In Your Gums Symptoms If you experience any of these symptoms, you should see your healthcare provider. Swelling, redness, and tenderness indicate inflammation caused by bacterial infection. It can damage your bones and teeth,. It's a milder form of gum disease that can lead to periodontitis if you don't treat it. A gum abscess is a pocket of pus that forms on the gums. Infection In Your Gums Symptoms.
From www.livescience.com
Gingivitis & Periodontitis Symptoms & Treatment of Gum Disease Live Infection In Your Gums Symptoms It's a milder form of gum disease that can lead to periodontitis if you don't treat it. However, if you see your dentist and are diagnosed with gum disease, you should also. What are the symptoms of gum infection? Swelling, redness, and tenderness indicate inflammation caused by bacterial infection. Healthy gums are firm and pale pink. Periodontitis, a type of. Infection In Your Gums Symptoms.
From www.mira-clinic.net
Miraclinic Gum infection Symptoms, causes, treatment and prevention Infection In Your Gums Symptoms What are the symptoms of gum infection? It can damage your bones and teeth,. Periodontitis is a serious infection of the gums caused by bacteria that have been allowed to accumulate on your teeth and gums. Learn how to recognize the signs, get medical treatment, and prevent complications of this. Periodontitis, a type of gum disease, is severe inflammation of. Infection In Your Gums Symptoms.
From sunshinedental.co.in
Top 10 signs of gum infection Sunshine Dental Infection In Your Gums Symptoms Learn how to recognize the signs, get medical treatment, and prevent complications of this. Periodontitis is a serious infection of the gums caused by bacteria that have been allowed to accumulate on your teeth and gums. Healthy gums are firm and pale pink. It's a milder form of gum disease that can lead to periodontitis if you don't treat it.. Infection In Your Gums Symptoms.
From www.shecares.com
Gum Problems SheCares Infection In Your Gums Symptoms It's a milder form of gum disease that can lead to periodontitis if you don't treat it. If you experience any of these symptoms, you should see your healthcare provider. Periodontitis is a serious infection of the gums caused by bacteria that have been allowed to accumulate on your teeth and gums. Healthy gums are firm and pale pink. Swelling,. Infection In Your Gums Symptoms.
From www.drwilliammckenzie.com
The Five Stages of Gum Disease — The McKenzie Center Implants Infection In Your Gums Symptoms It can damage your bones and teeth,. Periodontitis, a type of gum disease, is severe inflammation of your gums, with symptoms that include red, bleeding or swollen. Swelling, redness, and tenderness indicate inflammation caused by bacterial infection. Periodontitis is a serious infection of the gums caused by bacteria that have been allowed to accumulate on your teeth and gums. However,. Infection In Your Gums Symptoms.
From www.shiningsmilesga.com
Gum Disease Treatment Our Marietta Dentist Explains Shining Smiles Infection In Your Gums Symptoms Healthy gums are firm and pale pink. It can damage your bones and teeth,. Periodontitis is a serious infection of the gums caused by bacteria that have been allowed to accumulate on your teeth and gums. Periodontitis, a type of gum disease, is severe inflammation of your gums, with symptoms that include red, bleeding or swollen. What are the symptoms. Infection In Your Gums Symptoms.
From www.pinterest.com
Gingivitis, usually known as gum disease, is a dental issue Infection In Your Gums Symptoms It's a milder form of gum disease that can lead to periodontitis if you don't treat it. Gingivitis is swelling, redness, and bleeding in the part of your gums that surround your teeth. If you experience any of these symptoms, you should see your healthcare provider. Periodontitis, a type of gum disease, is severe inflammation of your gums, with symptoms. Infection In Your Gums Symptoms.
From www.menopausenow.com
5 Symptoms of Infected Gums Menopause Now Infection In Your Gums Symptoms It can damage your bones and teeth,. It's a milder form of gum disease that can lead to periodontitis if you don't treat it. Swelling, redness, and tenderness indicate inflammation caused by bacterial infection. What are the symptoms of gum infection? Gingivitis is swelling, redness, and bleeding in the part of your gums that surround your teeth. Healthy gums are. Infection In Your Gums Symptoms.
From www.artofit.org
Gingivitis symptoms and how to treat it Artofit Infection In Your Gums Symptoms Healthy gums are firm and pale pink. It's a milder form of gum disease that can lead to periodontitis if you don't treat it. Swelling, redness, and tenderness indicate inflammation caused by bacterial infection. Periodontitis is a serious infection of the gums caused by bacteria that have been allowed to accumulate on your teeth and gums. Gingivitis is swelling, redness,. Infection In Your Gums Symptoms.
From ar.inspiredpencil.com
Gum Infection Treatment Infection In Your Gums Symptoms However, if you see your dentist and are diagnosed with gum disease, you should also. It's a milder form of gum disease that can lead to periodontitis if you don't treat it. It can damage your bones and teeth,. What are the symptoms of gum infection? Learn how to recognize the signs, get medical treatment, and prevent complications of this.. Infection In Your Gums Symptoms.
From www.carolinasdentist.com
5 Reasons to Care for Your Gum Health CarolinasDentist Infection In Your Gums Symptoms It's a milder form of gum disease that can lead to periodontitis if you don't treat it. Swelling, redness, and tenderness indicate inflammation caused by bacterial infection. It can damage your bones and teeth,. Healthy gums are firm and pale pink. Gingivitis is swelling, redness, and bleeding in the part of your gums that surround your teeth. A gum abscess. Infection In Your Gums Symptoms.
From royaloakfamilydental.com
The 4 Stages of Gum Disease Royal Oak Family Dental Infection In Your Gums Symptoms Gingivitis is swelling, redness, and bleeding in the part of your gums that surround your teeth. However, if you see your dentist and are diagnosed with gum disease, you should also. Learn how to recognize the signs, get medical treatment, and prevent complications of this. Periodontitis is a serious infection of the gums caused by bacteria that have been allowed. Infection In Your Gums Symptoms.