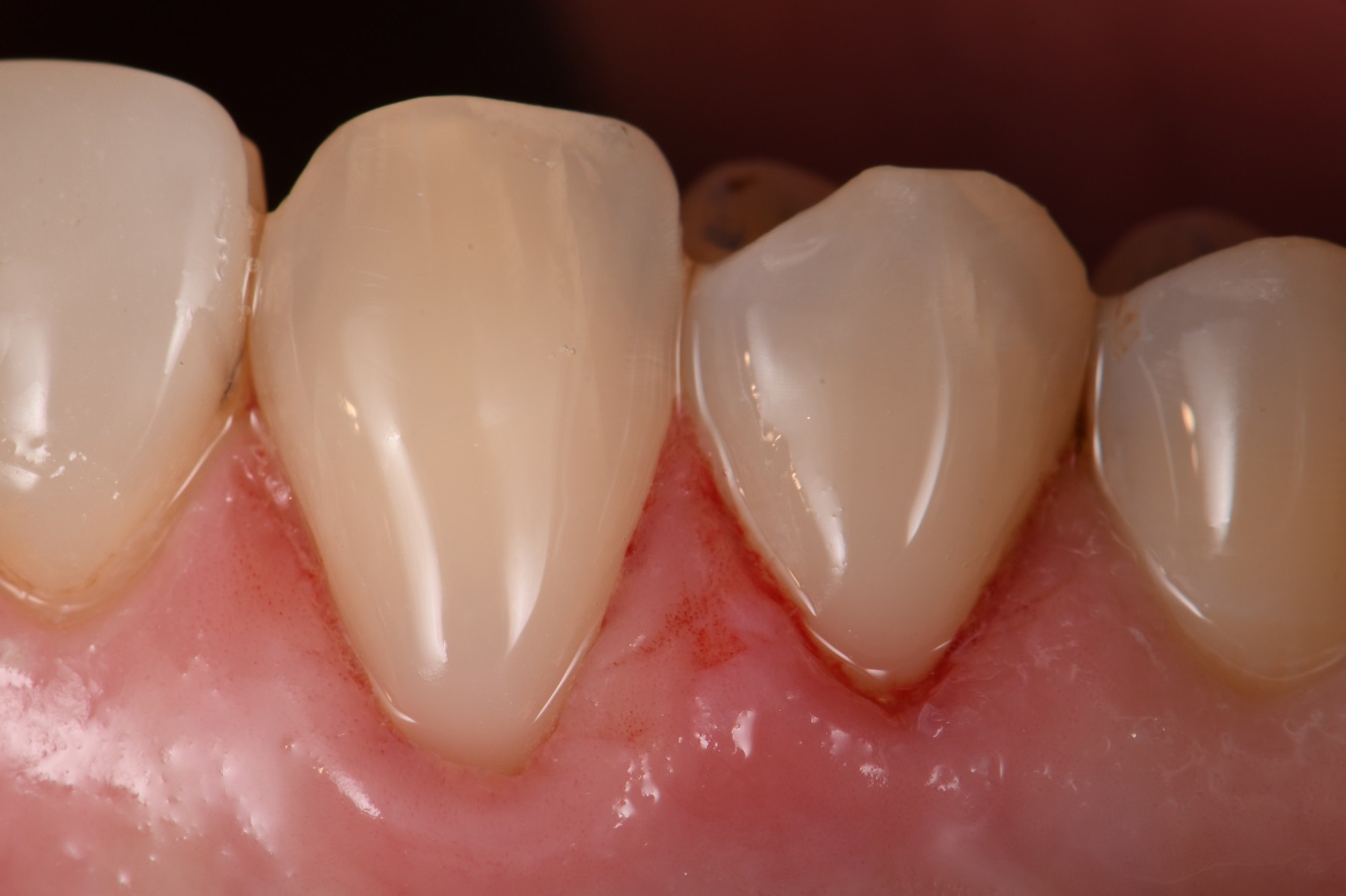
Sensitivity At Root Of Tooth . How to diagnose sensitive teeth. Dentin hypersensitivity (dh), more commonly known as sensitive teeth, refers to a type. When to visit the dentist for. Sensitive teeth can happen due to tooth enamel that's worn down or tooth roots that become exposed. You may have noticed that your teeth are feeling more sensitive, making you wince from time to time or even causing real pain. Frequent discomfort in your teeth while eating, drinking or exposing your mouth to hot and cold elements is a sign of tooth sensitivity. If your teeth suddenly feel sensitive and you’re experiencing pain or discomfort while eating something hot or cold, you. The primary cause of sensitive teeth is dentine hypersensitivity. Dentine is layer of calcified material that lies immediately. Sensitive teeth are quite common.
from www.dentalspa.com.au
When to visit the dentist for. You may have noticed that your teeth are feeling more sensitive, making you wince from time to time or even causing real pain. Frequent discomfort in your teeth while eating, drinking or exposing your mouth to hot and cold elements is a sign of tooth sensitivity. Dentine is layer of calcified material that lies immediately. The primary cause of sensitive teeth is dentine hypersensitivity. If your teeth suddenly feel sensitive and you’re experiencing pain or discomfort while eating something hot or cold, you. Dentin hypersensitivity (dh), more commonly known as sensitive teeth, refers to a type. Sensitive teeth can happen due to tooth enamel that's worn down or tooth roots that become exposed. How to diagnose sensitive teeth. Sensitive teeth are quite common.
Tooth Sensitivity
Sensitivity At Root Of Tooth When to visit the dentist for. If your teeth suddenly feel sensitive and you’re experiencing pain or discomfort while eating something hot or cold, you. Dentine is layer of calcified material that lies immediately. Frequent discomfort in your teeth while eating, drinking or exposing your mouth to hot and cold elements is a sign of tooth sensitivity. The primary cause of sensitive teeth is dentine hypersensitivity. Sensitive teeth can happen due to tooth enamel that's worn down or tooth roots that become exposed. How to diagnose sensitive teeth. When to visit the dentist for. Dentin hypersensitivity (dh), more commonly known as sensitive teeth, refers to a type. You may have noticed that your teeth are feeling more sensitive, making you wince from time to time or even causing real pain. Sensitive teeth are quite common.
From highpointsmiles.com
Before, During & After a Root Canal High Point Dentistry Sensitivity At Root Of Tooth The primary cause of sensitive teeth is dentine hypersensitivity. If your teeth suddenly feel sensitive and you’re experiencing pain or discomfort while eating something hot or cold, you. Dentin hypersensitivity (dh), more commonly known as sensitive teeth, refers to a type. Frequent discomfort in your teeth while eating, drinking or exposing your mouth to hot and cold elements is a. Sensitivity At Root Of Tooth.
From www.drheringer.com
Tooth Sensitivity and Exposed Roots Bismarck, ND Sensitivity At Root Of Tooth If your teeth suddenly feel sensitive and you’re experiencing pain or discomfort while eating something hot or cold, you. Sensitive teeth are quite common. Dentine is layer of calcified material that lies immediately. How to diagnose sensitive teeth. When to visit the dentist for. You may have noticed that your teeth are feeling more sensitive, making you wince from time. Sensitivity At Root Of Tooth.
From www.pinterest.com
Exposed Tooth Root Symptoms, Causes, and Treatments Gum Graft, Dental Sensitivity At Root Of Tooth Sensitive teeth can happen due to tooth enamel that's worn down or tooth roots that become exposed. Frequent discomfort in your teeth while eating, drinking or exposing your mouth to hot and cold elements is a sign of tooth sensitivity. When to visit the dentist for. How to diagnose sensitive teeth. Sensitive teeth are quite common. Dentin hypersensitivity (dh), more. Sensitivity At Root Of Tooth.
From dental-lifestyle.com
reasonteethsensitivity DENTALIFESTYLE Sensitivity At Root Of Tooth When to visit the dentist for. Dentine is layer of calcified material that lies immediately. If your teeth suddenly feel sensitive and you’re experiencing pain or discomfort while eating something hot or cold, you. The primary cause of sensitive teeth is dentine hypersensitivity. You may have noticed that your teeth are feeling more sensitive, making you wince from time to. Sensitivity At Root Of Tooth.
From alamoimplantcenter.com
Exposed tooth roots The “root” of tooth sensitivity in aging Alamo Sensitivity At Root Of Tooth If your teeth suddenly feel sensitive and you’re experiencing pain or discomfort while eating something hot or cold, you. Dentine is layer of calcified material that lies immediately. Sensitive teeth are quite common. Dentin hypersensitivity (dh), more commonly known as sensitive teeth, refers to a type. How to diagnose sensitive teeth. When to visit the dentist for. Frequent discomfort in. Sensitivity At Root Of Tooth.
From www.deepdentalclinic.in
Tooth Sensitivity Deep Dental Clinic And OPG Centre Sensitivity At Root Of Tooth You may have noticed that your teeth are feeling more sensitive, making you wince from time to time or even causing real pain. The primary cause of sensitive teeth is dentine hypersensitivity. Dentine is layer of calcified material that lies immediately. Frequent discomfort in your teeth while eating, drinking or exposing your mouth to hot and cold elements is a. Sensitivity At Root Of Tooth.
From www.divadentistry.com
Sensitive Teeth or Sensitive Gum? Lansdowne, VA Family Dentistry Sensitivity At Root Of Tooth How to diagnose sensitive teeth. Sensitive teeth are quite common. Frequent discomfort in your teeth while eating, drinking or exposing your mouth to hot and cold elements is a sign of tooth sensitivity. Dentin hypersensitivity (dh), more commonly known as sensitive teeth, refers to a type. The primary cause of sensitive teeth is dentine hypersensitivity. Dentine is layer of calcified. Sensitivity At Root Of Tooth.
From www.pinterest.com
Causes of Sensitive Teeth Tooth sensitivity, Tooth sensitivity relief Sensitivity At Root Of Tooth Sensitive teeth can happen due to tooth enamel that's worn down or tooth roots that become exposed. If your teeth suddenly feel sensitive and you’re experiencing pain or discomfort while eating something hot or cold, you. Sensitive teeth are quite common. Dentine is layer of calcified material that lies immediately. When to visit the dentist for. The primary cause of. Sensitivity At Root Of Tooth.
From www.capstonedental.com.au
Ask the Dentist Sensitive Teeth Why does it happen? How can I fix it Sensitivity At Root Of Tooth The primary cause of sensitive teeth is dentine hypersensitivity. Sensitive teeth are quite common. How to diagnose sensitive teeth. You may have noticed that your teeth are feeling more sensitive, making you wince from time to time or even causing real pain. Dentin hypersensitivity (dh), more commonly known as sensitive teeth, refers to a type. Frequent discomfort in your teeth. Sensitivity At Root Of Tooth.
From askyourdentist.com
Root Canal Treatment Ask Your Dentist Sensitivity At Root Of Tooth Frequent discomfort in your teeth while eating, drinking or exposing your mouth to hot and cold elements is a sign of tooth sensitivity. How to diagnose sensitive teeth. If your teeth suddenly feel sensitive and you’re experiencing pain or discomfort while eating something hot or cold, you. Sensitive teeth can happen due to tooth enamel that's worn down or tooth. Sensitivity At Root Of Tooth.
From www.clarencetam.co.nz
Eliminating root sensitivity Eliminating root sensitivity Sensitivity At Root Of Tooth Dentin hypersensitivity (dh), more commonly known as sensitive teeth, refers to a type. If your teeth suddenly feel sensitive and you’re experiencing pain or discomfort while eating something hot or cold, you. How to diagnose sensitive teeth. You may have noticed that your teeth are feeling more sensitive, making you wince from time to time or even causing real pain.. Sensitivity At Root Of Tooth.
From www.bmbdentalclinic.com.au
Dentist Mona Vale Blog Causes of Tooth Sensitivity Sensitivity At Root Of Tooth Sensitive teeth can happen due to tooth enamel that's worn down or tooth roots that become exposed. If your teeth suddenly feel sensitive and you’re experiencing pain or discomfort while eating something hot or cold, you. The primary cause of sensitive teeth is dentine hypersensitivity. Dentine is layer of calcified material that lies immediately. Frequent discomfort in your teeth while. Sensitivity At Root Of Tooth.
From mcomiedentistry.com
Why Are My Teeth Sensitive? Family Dentistry Sensitivity At Root Of Tooth If your teeth suddenly feel sensitive and you’re experiencing pain or discomfort while eating something hot or cold, you. Frequent discomfort in your teeth while eating, drinking or exposing your mouth to hot and cold elements is a sign of tooth sensitivity. How to diagnose sensitive teeth. When to visit the dentist for. Sensitive teeth can happen due to tooth. Sensitivity At Root Of Tooth.
From www.dentistcorpuschristitexas.com
Tooth Sensitivity Its Causes and Remedies Corpus Christi Family Sensitivity At Root Of Tooth Sensitive teeth are quite common. The primary cause of sensitive teeth is dentine hypersensitivity. How to diagnose sensitive teeth. When to visit the dentist for. You may have noticed that your teeth are feeling more sensitive, making you wince from time to time or even causing real pain. Frequent discomfort in your teeth while eating, drinking or exposing your mouth. Sensitivity At Root Of Tooth.
From www.nmdental.com.au
Sensitive Teeth? We Can Help New Millennium Dental Sensitivity At Root Of Tooth The primary cause of sensitive teeth is dentine hypersensitivity. Dentin hypersensitivity (dh), more commonly known as sensitive teeth, refers to a type. How to diagnose sensitive teeth. Sensitive teeth are quite common. Dentine is layer of calcified material that lies immediately. Sensitive teeth can happen due to tooth enamel that's worn down or tooth roots that become exposed. If your. Sensitivity At Root Of Tooth.
From dentagama.com
Exposed tooth root What may I expect now News Dentagama Sensitivity At Root Of Tooth When to visit the dentist for. Dentin hypersensitivity (dh), more commonly known as sensitive teeth, refers to a type. The primary cause of sensitive teeth is dentine hypersensitivity. Sensitive teeth can happen due to tooth enamel that's worn down or tooth roots that become exposed. Frequent discomfort in your teeth while eating, drinking or exposing your mouth to hot and. Sensitivity At Root Of Tooth.
From drmiski.com
Teeth Sensitivity & Exposed tooth Roots French Dental Services Dr Sensitivity At Root Of Tooth Dentine is layer of calcified material that lies immediately. How to diagnose sensitive teeth. Sensitive teeth can happen due to tooth enamel that's worn down or tooth roots that become exposed. Frequent discomfort in your teeth while eating, drinking or exposing your mouth to hot and cold elements is a sign of tooth sensitivity. Dentin hypersensitivity (dh), more commonly known. Sensitivity At Root Of Tooth.
From www.northwestdds.com
Tooth Sensitivity Northwest Dental Glyndon Maryland Sensitivity At Root Of Tooth Dentin hypersensitivity (dh), more commonly known as sensitive teeth, refers to a type. How to diagnose sensitive teeth. Sensitive teeth can happen due to tooth enamel that's worn down or tooth roots that become exposed. If your teeth suddenly feel sensitive and you’re experiencing pain or discomfort while eating something hot or cold, you. Frequent discomfort in your teeth while. Sensitivity At Root Of Tooth.
From www.kingsportdentist.com
What causes tooth sensitivity? Hagan Dentistry in Kingsport, TN Sensitivity At Root Of Tooth Dentine is layer of calcified material that lies immediately. Sensitive teeth are quite common. The primary cause of sensitive teeth is dentine hypersensitivity. When to visit the dentist for. You may have noticed that your teeth are feeling more sensitive, making you wince from time to time or even causing real pain. Dentin hypersensitivity (dh), more commonly known as sensitive. Sensitivity At Root Of Tooth.
From www.torontosmiledesign.ca
Sensitive Tooth and Tooth Root Exposure Sensitivity At Root Of Tooth You may have noticed that your teeth are feeling more sensitive, making you wince from time to time or even causing real pain. Dentine is layer of calcified material that lies immediately. When to visit the dentist for. Sensitive teeth are quite common. How to diagnose sensitive teeth. The primary cause of sensitive teeth is dentine hypersensitivity. Frequent discomfort in. Sensitivity At Root Of Tooth.
From leeannbrady.com
Decreasing Root Sensitivity During Treatment Lee Ann Brady DMD Sensitivity At Root Of Tooth Dentin hypersensitivity (dh), more commonly known as sensitive teeth, refers to a type. If your teeth suddenly feel sensitive and you’re experiencing pain or discomfort while eating something hot or cold, you. You may have noticed that your teeth are feeling more sensitive, making you wince from time to time or even causing real pain. Sensitive teeth can happen due. Sensitivity At Root Of Tooth.
From alamoimplantcenter.com
Exposed tooth roots The “root” of tooth sensitivity in aging Alamo Sensitivity At Root Of Tooth Dentine is layer of calcified material that lies immediately. How to diagnose sensitive teeth. Sensitive teeth can happen due to tooth enamel that's worn down or tooth roots that become exposed. Frequent discomfort in your teeth while eating, drinking or exposing your mouth to hot and cold elements is a sign of tooth sensitivity. When to visit the dentist for.. Sensitivity At Root Of Tooth.
From www.palmsdentist.co.nz
Understanding Tooth Sensitivity Palms Dentist, Shirley Christchurch Sensitivity At Root Of Tooth Sensitive teeth are quite common. Frequent discomfort in your teeth while eating, drinking or exposing your mouth to hot and cold elements is a sign of tooth sensitivity. If your teeth suddenly feel sensitive and you’re experiencing pain or discomfort while eating something hot or cold, you. Dentin hypersensitivity (dh), more commonly known as sensitive teeth, refers to a type.. Sensitivity At Root Of Tooth.
From discover.hubpages.com
What Causes Sensitive Teeth Dental Care HubPages Sensitivity At Root Of Tooth You may have noticed that your teeth are feeling more sensitive, making you wince from time to time or even causing real pain. Frequent discomfort in your teeth while eating, drinking or exposing your mouth to hot and cold elements is a sign of tooth sensitivity. If your teeth suddenly feel sensitive and you’re experiencing pain or discomfort while eating. Sensitivity At Root Of Tooth.
From medfithealth.blogspot.com
5 Signs You Need A Root Canal Treatment Health Tips Sensitivity At Root Of Tooth Sensitive teeth are quite common. Sensitive teeth can happen due to tooth enamel that's worn down or tooth roots that become exposed. If your teeth suddenly feel sensitive and you’re experiencing pain or discomfort while eating something hot or cold, you. How to diagnose sensitive teeth. You may have noticed that your teeth are feeling more sensitive, making you wince. Sensitivity At Root Of Tooth.
From health.gov.capital
What is root canal therapy and when is it for tooth Sensitivity At Root Of Tooth Sensitive teeth are quite common. Frequent discomfort in your teeth while eating, drinking or exposing your mouth to hot and cold elements is a sign of tooth sensitivity. If your teeth suddenly feel sensitive and you’re experiencing pain or discomfort while eating something hot or cold, you. When to visit the dentist for. Sensitive teeth can happen due to tooth. Sensitivity At Root Of Tooth.
From www.smilesolutionsbyemmidental.com
Tooth Sensitivity and Exposed Tooth Roots Sensitivity At Root Of Tooth How to diagnose sensitive teeth. Sensitive teeth are quite common. You may have noticed that your teeth are feeling more sensitive, making you wince from time to time or even causing real pain. Dentin hypersensitivity (dh), more commonly known as sensitive teeth, refers to a type. Dentine is layer of calcified material that lies immediately. Sensitive teeth can happen due. Sensitivity At Root Of Tooth.
From www.pcdentistry.com
Sensitive Teeth? Root Canals In Lacey Can Cure Your Pain Peterson Sensitivity At Root Of Tooth Sensitive teeth can happen due to tooth enamel that's worn down or tooth roots that become exposed. You may have noticed that your teeth are feeling more sensitive, making you wince from time to time or even causing real pain. Sensitive teeth are quite common. How to diagnose sensitive teeth. The primary cause of sensitive teeth is dentine hypersensitivity. If. Sensitivity At Root Of Tooth.
From pngtree.com
Vector Illustration Depicting The Root Causes And Mechanisms Of Tooth Sensitivity At Root Of Tooth Sensitive teeth can happen due to tooth enamel that's worn down or tooth roots that become exposed. How to diagnose sensitive teeth. Frequent discomfort in your teeth while eating, drinking or exposing your mouth to hot and cold elements is a sign of tooth sensitivity. Dentin hypersensitivity (dh), more commonly known as sensitive teeth, refers to a type. The primary. Sensitivity At Root Of Tooth.
From www.dentalspa.com.au
Tooth Sensitivity Sensitivity At Root Of Tooth Sensitive teeth are quite common. Dentine is layer of calcified material that lies immediately. Dentin hypersensitivity (dh), more commonly known as sensitive teeth, refers to a type. Sensitive teeth can happen due to tooth enamel that's worn down or tooth roots that become exposed. If your teeth suddenly feel sensitive and you’re experiencing pain or discomfort while eating something hot. Sensitivity At Root Of Tooth.
From ushinedental.ca
Treating Root Sensitivity with Toothpaste Natural Dentistry Maple Sensitivity At Root Of Tooth If your teeth suddenly feel sensitive and you’re experiencing pain or discomfort while eating something hot or cold, you. Sensitive teeth are quite common. Dentin hypersensitivity (dh), more commonly known as sensitive teeth, refers to a type. Frequent discomfort in your teeth while eating, drinking or exposing your mouth to hot and cold elements is a sign of tooth sensitivity.. Sensitivity At Root Of Tooth.
From www.smileboston.com
The Scoop on Tooth Sensitivity Sensitivity At Root Of Tooth Sensitive teeth can happen due to tooth enamel that's worn down or tooth roots that become exposed. How to diagnose sensitive teeth. Sensitive teeth are quite common. Dentine is layer of calcified material that lies immediately. If your teeth suddenly feel sensitive and you’re experiencing pain or discomfort while eating something hot or cold, you. Dentin hypersensitivity (dh), more commonly. Sensitivity At Root Of Tooth.
From theelitedental.com
Tooth Sensitivity Treatment Causes and Treatment Elite Dental Care Sensitivity At Root Of Tooth You may have noticed that your teeth are feeling more sensitive, making you wince from time to time or even causing real pain. How to diagnose sensitive teeth. The primary cause of sensitive teeth is dentine hypersensitivity. Frequent discomfort in your teeth while eating, drinking or exposing your mouth to hot and cold elements is a sign of tooth sensitivity.. Sensitivity At Root Of Tooth.
From sherwaydentalcentre.com
Archives for June 2016 Sherway Gardens Dental Centre Sensitivity At Root Of Tooth You may have noticed that your teeth are feeling more sensitive, making you wince from time to time or even causing real pain. Dentine is layer of calcified material that lies immediately. Dentin hypersensitivity (dh), more commonly known as sensitive teeth, refers to a type. When to visit the dentist for. The primary cause of sensitive teeth is dentine hypersensitivity.. Sensitivity At Root Of Tooth.
From www.top10homeremedies.com
How to Get Rid of Tooth Sensitivity Fast at Home Top 10 Home Remedies Sensitivity At Root Of Tooth How to diagnose sensitive teeth. Dentin hypersensitivity (dh), more commonly known as sensitive teeth, refers to a type. If your teeth suddenly feel sensitive and you’re experiencing pain or discomfort while eating something hot or cold, you. When to visit the dentist for. The primary cause of sensitive teeth is dentine hypersensitivity. Dentine is layer of calcified material that lies. Sensitivity At Root Of Tooth.