Painful Lump Breast Postpartum . Mastitis is a painful inflammation of breast tissue that affects breastfeeding women. You may also be able to feel a hard or thick lump in your breast — that’s likely the clogged milk duct that caused the mastitis. Pitties, a rare side effect of breastfeeding that results in armpits swollen with breast milk. Mastitis, which mainly affects people who are breastfeeding, causes redness, swelling and pain in one or both breasts. Breast engorgement (also called early postpartum engorgement) is swelling of your breasts that occurs soon after giving birth. Symptoms can include pain, swelling, and redness in the affected breast. Most breast lumps turn out to be nothing serious, but about 20% of lumps are malignant (cancerous).
from www.lybrate.com
Most breast lumps turn out to be nothing serious, but about 20% of lumps are malignant (cancerous). Pitties, a rare side effect of breastfeeding that results in armpits swollen with breast milk. You may also be able to feel a hard or thick lump in your breast — that’s likely the clogged milk duct that caused the mastitis. Breast engorgement (also called early postpartum engorgement) is swelling of your breasts that occurs soon after giving birth. Symptoms can include pain, swelling, and redness in the affected breast. Mastitis is a painful inflammation of breast tissue that affects breastfeeding women. Mastitis, which mainly affects people who are breastfeeding, causes redness, swelling and pain in one or both breasts.
Surgical Treatment For Pain And Lumps In Breasts Of Women! By Dr. Ajay Kumar Gupta Lybrate
Painful Lump Breast Postpartum Pitties, a rare side effect of breastfeeding that results in armpits swollen with breast milk. Pitties, a rare side effect of breastfeeding that results in armpits swollen with breast milk. Mastitis is a painful inflammation of breast tissue that affects breastfeeding women. Mastitis, which mainly affects people who are breastfeeding, causes redness, swelling and pain in one or both breasts. Most breast lumps turn out to be nothing serious, but about 20% of lumps are malignant (cancerous). You may also be able to feel a hard or thick lump in your breast — that’s likely the clogged milk duct that caused the mastitis. Symptoms can include pain, swelling, and redness in the affected breast. Breast engorgement (also called early postpartum engorgement) is swelling of your breasts that occurs soon after giving birth.
From www.studocu.com
Breast Pain Lumps Breast Pain and Lumps Laila Parvanta Consultant Breast & Endocrine Surgeon Painful Lump Breast Postpartum Pitties, a rare side effect of breastfeeding that results in armpits swollen with breast milk. Mastitis, which mainly affects people who are breastfeeding, causes redness, swelling and pain in one or both breasts. Mastitis is a painful inflammation of breast tissue that affects breastfeeding women. Symptoms can include pain, swelling, and redness in the affected breast. Breast engorgement (also called. Painful Lump Breast Postpartum.
From shopee.ph
Hyperplasia of mammary glands post breast cyst breast lumps breast nodules fights against Painful Lump Breast Postpartum Most breast lumps turn out to be nothing serious, but about 20% of lumps are malignant (cancerous). Breast engorgement (also called early postpartum engorgement) is swelling of your breasts that occurs soon after giving birth. Mastitis is a painful inflammation of breast tissue that affects breastfeeding women. Pitties, a rare side effect of breastfeeding that results in armpits swollen with. Painful Lump Breast Postpartum.
From www.mypregnancybaby.com
How to Cope with Postpartum Pain Painful Lump Breast Postpartum Mastitis is a painful inflammation of breast tissue that affects breastfeeding women. Pitties, a rare side effect of breastfeeding that results in armpits swollen with breast milk. You may also be able to feel a hard or thick lump in your breast — that’s likely the clogged milk duct that caused the mastitis. Most breast lumps turn out to be. Painful Lump Breast Postpartum.
From www.pristyncare.com
Benign Breast LumpCauses, Types, & Treatment Pristyn Care Painful Lump Breast Postpartum Most breast lumps turn out to be nothing serious, but about 20% of lumps are malignant (cancerous). You may also be able to feel a hard or thick lump in your breast — that’s likely the clogged milk duct that caused the mastitis. Symptoms can include pain, swelling, and redness in the affected breast. Mastitis, which mainly affects people who. Painful Lump Breast Postpartum.
From dasvsera.weebly.com
Painful lump in breast dasvsera Painful Lump Breast Postpartum Breast engorgement (also called early postpartum engorgement) is swelling of your breasts that occurs soon after giving birth. Mastitis is a painful inflammation of breast tissue that affects breastfeeding women. You may also be able to feel a hard or thick lump in your breast — that’s likely the clogged milk duct that caused the mastitis. Pitties, a rare side. Painful Lump Breast Postpartum.
From klagcnsdg.blob.core.windows.net
Painful Lump Breast Implants at Lucina Taylor blog Painful Lump Breast Postpartum Symptoms can include pain, swelling, and redness in the affected breast. Most breast lumps turn out to be nothing serious, but about 20% of lumps are malignant (cancerous). Pitties, a rare side effect of breastfeeding that results in armpits swollen with breast milk. Mastitis is a painful inflammation of breast tissue that affects breastfeeding women. Mastitis, which mainly affects people. Painful Lump Breast Postpartum.
From www.youtube.com
Causes of refered pain after breast lump surgeries Dr. Nanda Rajaneesh YouTube Painful Lump Breast Postpartum Most breast lumps turn out to be nothing serious, but about 20% of lumps are malignant (cancerous). Mastitis is a painful inflammation of breast tissue that affects breastfeeding women. Breast engorgement (also called early postpartum engorgement) is swelling of your breasts that occurs soon after giving birth. You may also be able to feel a hard or thick lump in. Painful Lump Breast Postpartum.
From br.pinterest.com
Postpartum Body Aches What To Expect Postpartum body, Postpartum, Body ache Painful Lump Breast Postpartum Mastitis, which mainly affects people who are breastfeeding, causes redness, swelling and pain in one or both breasts. Breast engorgement (also called early postpartum engorgement) is swelling of your breasts that occurs soon after giving birth. Most breast lumps turn out to be nothing serious, but about 20% of lumps are malignant (cancerous). Mastitis is a painful inflammation of breast. Painful Lump Breast Postpartum.
From www.parents.com
Postpartum Cramping Causes, Treatment, and Concerns Painful Lump Breast Postpartum Most breast lumps turn out to be nothing serious, but about 20% of lumps are malignant (cancerous). Symptoms can include pain, swelling, and redness in the affected breast. Pitties, a rare side effect of breastfeeding that results in armpits swollen with breast milk. Breast engorgement (also called early postpartum engorgement) is swelling of your breasts that occurs soon after giving. Painful Lump Breast Postpartum.
From www.youtube.com
Breast postpartum relief for sore breasts and hard breasts breastfeeding YouTube Painful Lump Breast Postpartum Most breast lumps turn out to be nothing serious, but about 20% of lumps are malignant (cancerous). Mastitis is a painful inflammation of breast tissue that affects breastfeeding women. Breast engorgement (also called early postpartum engorgement) is swelling of your breasts that occurs soon after giving birth. Pitties, a rare side effect of breastfeeding that results in armpits swollen with. Painful Lump Breast Postpartum.
From mypostnatalmanagement.com
Postpartum Breast Cancer and Breast Lumps Postnatal Management Painful Lump Breast Postpartum Mastitis, which mainly affects people who are breastfeeding, causes redness, swelling and pain in one or both breasts. Breast engorgement (also called early postpartum engorgement) is swelling of your breasts that occurs soon after giving birth. Most breast lumps turn out to be nothing serious, but about 20% of lumps are malignant (cancerous). Symptoms can include pain, swelling, and redness. Painful Lump Breast Postpartum.
From www.youtube.com
When is Breast Pain and Lumps Something To Worry About, Is it Cancer? Dr Tasha explains YouTube Painful Lump Breast Postpartum Mastitis is a painful inflammation of breast tissue that affects breastfeeding women. You may also be able to feel a hard or thick lump in your breast — that’s likely the clogged milk duct that caused the mastitis. Mastitis, which mainly affects people who are breastfeeding, causes redness, swelling and pain in one or both breasts. Most breast lumps turn. Painful Lump Breast Postpartum.
From www.thehealthy.com
Lump In Your Breast? 7 Times It's Not Cancer The Healthy Painful Lump Breast Postpartum Pitties, a rare side effect of breastfeeding that results in armpits swollen with breast milk. You may also be able to feel a hard or thick lump in your breast — that’s likely the clogged milk duct that caused the mastitis. Most breast lumps turn out to be nothing serious, but about 20% of lumps are malignant (cancerous). Breast engorgement. Painful Lump Breast Postpartum.
From thesurgerygroup.com
When to Worry About Lumps in Your Breasts The Surgery Group Painful Lump Breast Postpartum You may also be able to feel a hard or thick lump in your breast — that’s likely the clogged milk duct that caused the mastitis. Breast engorgement (also called early postpartum engorgement) is swelling of your breasts that occurs soon after giving birth. Symptoms can include pain, swelling, and redness in the affected breast. Pitties, a rare side effect. Painful Lump Breast Postpartum.
From www.almrsal.com
أعراض التهاب الثدي وعلاجه المرسال Painful Lump Breast Postpartum Mastitis, which mainly affects people who are breastfeeding, causes redness, swelling and pain in one or both breasts. Pitties, a rare side effect of breastfeeding that results in armpits swollen with breast milk. Most breast lumps turn out to be nothing serious, but about 20% of lumps are malignant (cancerous). Breast engorgement (also called early postpartum engorgement) is swelling of. Painful Lump Breast Postpartum.
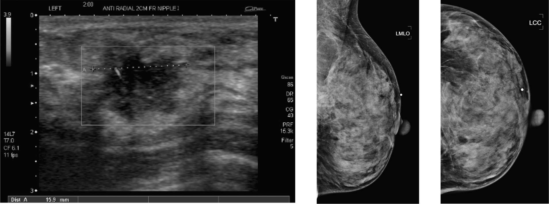
From radiologykey.com
Difficult Cases Radiology Key Painful Lump Breast Postpartum Pitties, a rare side effect of breastfeeding that results in armpits swollen with breast milk. Most breast lumps turn out to be nothing serious, but about 20% of lumps are malignant (cancerous). You may also be able to feel a hard or thick lump in your breast — that’s likely the clogged milk duct that caused the mastitis. Mastitis, which. Painful Lump Breast Postpartum.
From www.youtube.com
How To Reduce Breast Pain After Lumpectomy & Radiation YouTube Painful Lump Breast Postpartum Most breast lumps turn out to be nothing serious, but about 20% of lumps are malignant (cancerous). Pitties, a rare side effect of breastfeeding that results in armpits swollen with breast milk. Symptoms can include pain, swelling, and redness in the affected breast. Mastitis, which mainly affects people who are breastfeeding, causes redness, swelling and pain in one or both. Painful Lump Breast Postpartum.
From www.reliablerxpharmacy.com
Understanding Breast Lumps SelfExam, Conditions, and Pain ReliableRxPharmacy Blog, Health Blog Painful Lump Breast Postpartum Symptoms can include pain, swelling, and redness in the affected breast. Most breast lumps turn out to be nothing serious, but about 20% of lumps are malignant (cancerous). You may also be able to feel a hard or thick lump in your breast — that’s likely the clogged milk duct that caused the mastitis. Mastitis, which mainly affects people who. Painful Lump Breast Postpartum.
From www.hackensackmeridianhealth.org
Are Cancerous Breast Lumps Painful? Painful Lump Breast Postpartum Mastitis is a painful inflammation of breast tissue that affects breastfeeding women. Mastitis, which mainly affects people who are breastfeeding, causes redness, swelling and pain in one or both breasts. Most breast lumps turn out to be nothing serious, but about 20% of lumps are malignant (cancerous). Symptoms can include pain, swelling, and redness in the affected breast. Pitties, a. Painful Lump Breast Postpartum.
From www.childbirthgraphics.com
Feel For Yourself Breast Lump Display Health Edco Painful Lump Breast Postpartum Symptoms can include pain, swelling, and redness in the affected breast. Mastitis is a painful inflammation of breast tissue that affects breastfeeding women. Pitties, a rare side effect of breastfeeding that results in armpits swollen with breast milk. Most breast lumps turn out to be nothing serious, but about 20% of lumps are malignant (cancerous). You may also be able. Painful Lump Breast Postpartum.
From painsportal.com
Painful Breast Lump Symptoms, Causes and More Pains Portal Painful Lump Breast Postpartum Most breast lumps turn out to be nothing serious, but about 20% of lumps are malignant (cancerous). Mastitis is a painful inflammation of breast tissue that affects breastfeeding women. Symptoms can include pain, swelling, and redness in the affected breast. You may also be able to feel a hard or thick lump in your breast — that’s likely the clogged. Painful Lump Breast Postpartum.
From www.lybrate.com
Surgical Treatment For Pain And Lumps In Breasts Of Women! By Dr. Ajay Kumar Gupta Lybrate Painful Lump Breast Postpartum You may also be able to feel a hard or thick lump in your breast — that’s likely the clogged milk duct that caused the mastitis. Pitties, a rare side effect of breastfeeding that results in armpits swollen with breast milk. Breast engorgement (also called early postpartum engorgement) is swelling of your breasts that occurs soon after giving birth. Symptoms. Painful Lump Breast Postpartum.
From www.smartparents.sg
All you need to know about breast lumps during pregnancy Painful Lump Breast Postpartum Symptoms can include pain, swelling, and redness in the affected breast. Mastitis is a painful inflammation of breast tissue that affects breastfeeding women. Most breast lumps turn out to be nothing serious, but about 20% of lumps are malignant (cancerous). Pitties, a rare side effect of breastfeeding that results in armpits swollen with breast milk. Breast engorgement (also called early. Painful Lump Breast Postpartum.
From www.time.news
I Discovered a Breast Lump at 33 Postpartum Doctor Dismissal and Cancer Diagnosis timenews Painful Lump Breast Postpartum Mastitis is a painful inflammation of breast tissue that affects breastfeeding women. Symptoms can include pain, swelling, and redness in the affected breast. You may also be able to feel a hard or thick lump in your breast — that’s likely the clogged milk duct that caused the mastitis. Breast engorgement (also called early postpartum engorgement) is swelling of your. Painful Lump Breast Postpartum.
From www.reliablerxpharmacy.com
Understanding Breast Lumps SelfExam, Conditions, and Pain ReliableRxPharmacy Blog, Health Blog Painful Lump Breast Postpartum Most breast lumps turn out to be nothing serious, but about 20% of lumps are malignant (cancerous). Mastitis is a painful inflammation of breast tissue that affects breastfeeding women. Breast engorgement (also called early postpartum engorgement) is swelling of your breasts that occurs soon after giving birth. You may also be able to feel a hard or thick lump in. Painful Lump Breast Postpartum.
From www.facebook.com
During pregnancy and postpartum, your breasts go through significant changes. 👩🍼 But what Painful Lump Breast Postpartum Breast engorgement (also called early postpartum engorgement) is swelling of your breasts that occurs soon after giving birth. Mastitis is a painful inflammation of breast tissue that affects breastfeeding women. You may also be able to feel a hard or thick lump in your breast — that’s likely the clogged milk duct that caused the mastitis. Symptoms can include pain,. Painful Lump Breast Postpartum.
From traditionalcookingschool.com
3 Home Remedies For Cystic Breast Tissue {heal lumpy breasts!} Painful Lump Breast Postpartum Symptoms can include pain, swelling, and redness in the affected breast. Pitties, a rare side effect of breastfeeding that results in armpits swollen with breast milk. Breast engorgement (also called early postpartum engorgement) is swelling of your breasts that occurs soon after giving birth. Most breast lumps turn out to be nothing serious, but about 20% of lumps are malignant. Painful Lump Breast Postpartum.
From drjockers.com
Fibrocystic Breast Changes Causes, Symptoms & Strategies Painful Lump Breast Postpartum Mastitis, which mainly affects people who are breastfeeding, causes redness, swelling and pain in one or both breasts. Symptoms can include pain, swelling, and redness in the affected breast. Breast engorgement (also called early postpartum engorgement) is swelling of your breasts that occurs soon after giving birth. Most breast lumps turn out to be nothing serious, but about 20% of. Painful Lump Breast Postpartum.
From bubbabumpbaby.com.au
Why is postpartum Intimacy painful? Painful Lump Breast Postpartum Symptoms can include pain, swelling, and redness in the affected breast. Mastitis, which mainly affects people who are breastfeeding, causes redness, swelling and pain in one or both breasts. You may also be able to feel a hard or thick lump in your breast — that’s likely the clogged milk duct that caused the mastitis. Pitties, a rare side effect. Painful Lump Breast Postpartum.
From thingshealth.com
Diagnosis and Staging of Inflammatory Breast Cancer Things Health Painful Lump Breast Postpartum Mastitis, which mainly affects people who are breastfeeding, causes redness, swelling and pain in one or both breasts. Mastitis is a painful inflammation of breast tissue that affects breastfeeding women. Symptoms can include pain, swelling, and redness in the affected breast. Most breast lumps turn out to be nothing serious, but about 20% of lumps are malignant (cancerous). Breast engorgement. Painful Lump Breast Postpartum.
From ubicaciondepersonas.cdmx.gob.mx
Breastfeeding Pain Lumps ubicaciondepersonas.cdmx.gob.mx Painful Lump Breast Postpartum Mastitis, which mainly affects people who are breastfeeding, causes redness, swelling and pain in one or both breasts. Mastitis is a painful inflammation of breast tissue that affects breastfeeding women. You may also be able to feel a hard or thick lump in your breast — that’s likely the clogged milk duct that caused the mastitis. Most breast lumps turn. Painful Lump Breast Postpartum.
From activemomsclub.com
What You Should Know About Postpartum Pain & Childbirth Injuries Active Moms Club Painful Lump Breast Postpartum Pitties, a rare side effect of breastfeeding that results in armpits swollen with breast milk. Most breast lumps turn out to be nothing serious, but about 20% of lumps are malignant (cancerous). You may also be able to feel a hard or thick lump in your breast — that’s likely the clogged milk duct that caused the mastitis. Symptoms can. Painful Lump Breast Postpartum.
From www.reddit.com
Painful breast, found a lump, thermal imaging r/doihavebreastcancer Painful Lump Breast Postpartum Symptoms can include pain, swelling, and redness in the affected breast. Mastitis is a painful inflammation of breast tissue that affects breastfeeding women. Pitties, a rare side effect of breastfeeding that results in armpits swollen with breast milk. Mastitis, which mainly affects people who are breastfeeding, causes redness, swelling and pain in one or both breasts. You may also be. Painful Lump Breast Postpartum.
From www.youtube.com
How are Multiple lumps in both breasts treated? FIBROADENOMA Dr. Nanda Rajneesh Doctors Painful Lump Breast Postpartum Symptoms can include pain, swelling, and redness in the affected breast. You may also be able to feel a hard or thick lump in your breast — that’s likely the clogged milk duct that caused the mastitis. Mastitis is a painful inflammation of breast tissue that affects breastfeeding women. Pitties, a rare side effect of breastfeeding that results in armpits. Painful Lump Breast Postpartum.
From klagcnsdg.blob.core.windows.net
Painful Lump Breast Implants at Lucina Taylor blog Painful Lump Breast Postpartum Symptoms can include pain, swelling, and redness in the affected breast. Most breast lumps turn out to be nothing serious, but about 20% of lumps are malignant (cancerous). You may also be able to feel a hard or thick lump in your breast — that’s likely the clogged milk duct that caused the mastitis. Pitties, a rare side effect of. Painful Lump Breast Postpartum.