Ada Code For Occlusal Guard By Report . In with the new cdt codes! D9940 occlusal guard, by report. The current cdt codes to be used to document occlusal guards are as follows. The ada claim form should clearly specify the reason for fabricating the appliance to avoid occlusal. D9940 occlusal guard, by report. Out with the old cdt code! Pertaining to the biting surfaces of the premolar and molar teeth or contacting surfaces of opposing teeth or opposing occlusion rims. • some plans will provide a benefit for a patient suffering the effects of bruxism. Report the surgical exposure separately using d7280. (ada) the following list(s) of. The 2019 cdt coding update has removed the code d9940 (occlusal guard, by report (removable dental appliances, which are designed to minimize the effects of.
from www.manchesterfamilydentistrynh.com
In with the new cdt codes! Pertaining to the biting surfaces of the premolar and molar teeth or contacting surfaces of opposing teeth or opposing occlusion rims. The 2019 cdt coding update has removed the code d9940 (occlusal guard, by report (removable dental appliances, which are designed to minimize the effects of. D9940 occlusal guard, by report. • some plans will provide a benefit for a patient suffering the effects of bruxism. Report the surgical exposure separately using d7280. The ada claim form should clearly specify the reason for fabricating the appliance to avoid occlusal. (ada) the following list(s) of. The current cdt codes to be used to document occlusal guards are as follows. Out with the old cdt code!
Occlusion Guard The Ultimate Solution for Bruxism Manchester Family
Ada Code For Occlusal Guard By Report Out with the old cdt code! D9940 occlusal guard, by report. The ada claim form should clearly specify the reason for fabricating the appliance to avoid occlusal. D9940 occlusal guard, by report. The 2019 cdt coding update has removed the code d9940 (occlusal guard, by report (removable dental appliances, which are designed to minimize the effects of. (ada) the following list(s) of. Pertaining to the biting surfaces of the premolar and molar teeth or contacting surfaces of opposing teeth or opposing occlusion rims. Out with the old cdt code! Report the surgical exposure separately using d7280. The current cdt codes to be used to document occlusal guards are as follows. In with the new cdt codes! • some plans will provide a benefit for a patient suffering the effects of bruxism.
From burbankdental.com
Occlusal Guards and Splints Burbank Dental Lab Ada Code For Occlusal Guard By Report (ada) the following list(s) of. Pertaining to the biting surfaces of the premolar and molar teeth or contacting surfaces of opposing teeth or opposing occlusion rims. Out with the old cdt code! The ada claim form should clearly specify the reason for fabricating the appliance to avoid occlusal. D9940 occlusal guard, by report. The 2019 cdt coding update has removed. Ada Code For Occlusal Guard By Report.
From www.paramountdentalstudio.com
Occlusal Guards A Material Comparison — Paramount Dental Studio Ada Code For Occlusal Guard By Report The ada claim form should clearly specify the reason for fabricating the appliance to avoid occlusal. Out with the old cdt code! • some plans will provide a benefit for a patient suffering the effects of bruxism. The current cdt codes to be used to document occlusal guards are as follows. (ada) the following list(s) of. Report the surgical exposure. Ada Code For Occlusal Guard By Report.
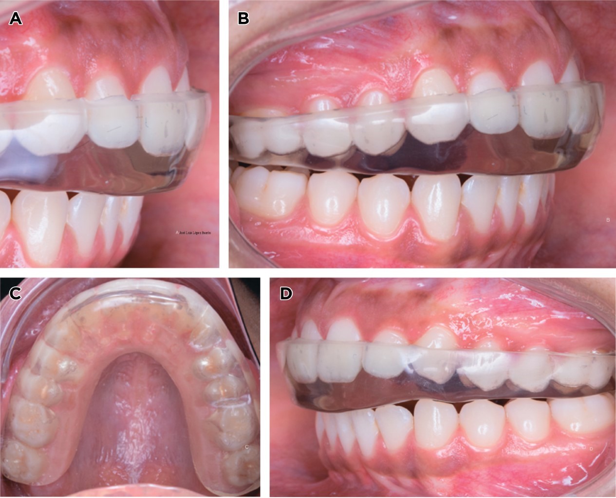
From www.medigraphic.com
Elaboration of an occlusal guard by digital workflow in idiopathic Ada Code For Occlusal Guard By Report The current cdt codes to be used to document occlusal guards are as follows. D9940 occlusal guard, by report. • some plans will provide a benefit for a patient suffering the effects of bruxism. The 2019 cdt coding update has removed the code d9940 (occlusal guard, by report (removable dental appliances, which are designed to minimize the effects of. The. Ada Code For Occlusal Guard By Report.
From smilemcleandentistry.com
Occlusal Guards & Splints McLean, VA Smile Mclean Dentistry Ada Code For Occlusal Guard By Report D9940 occlusal guard, by report. (ada) the following list(s) of. Out with the old cdt code! Report the surgical exposure separately using d7280. D9940 occlusal guard, by report. In with the new cdt codes! The 2019 cdt coding update has removed the code d9940 (occlusal guard, by report (removable dental appliances, which are designed to minimize the effects of. The. Ada Code For Occlusal Guard By Report.
From celhuueo.blob.core.windows.net
Delta Dental Night Guard Code at Adam Allen blog Ada Code For Occlusal Guard By Report D9940 occlusal guard, by report. The current cdt codes to be used to document occlusal guards are as follows. (ada) the following list(s) of. In with the new cdt codes! The 2019 cdt coding update has removed the code d9940 (occlusal guard, by report (removable dental appliances, which are designed to minimize the effects of. D9940 occlusal guard, by report.. Ada Code For Occlusal Guard By Report.
From klamyhkhj.blob.core.windows.net
Narrative For Occlusal Guard at Leslie Gabriel blog Ada Code For Occlusal Guard By Report In with the new cdt codes! Pertaining to the biting surfaces of the premolar and molar teeth or contacting surfaces of opposing teeth or opposing occlusion rims. D9940 occlusal guard, by report. The current cdt codes to be used to document occlusal guards are as follows. (ada) the following list(s) of. D9940 occlusal guard, by report. Report the surgical exposure. Ada Code For Occlusal Guard By Report.
From www.semanticscholar.org
[PDF] The occlusal guard a simplified technique for fabrication and Ada Code For Occlusal Guard By Report • some plans will provide a benefit for a patient suffering the effects of bruxism. Report the surgical exposure separately using d7280. Pertaining to the biting surfaces of the premolar and molar teeth or contacting surfaces of opposing teeth or opposing occlusion rims. The 2019 cdt coding update has removed the code d9940 (occlusal guard, by report (removable dental appliances,. Ada Code For Occlusal Guard By Report.
From carefreedentists.com
Carefree Dentists Dental Night Guard (Occlusal Guard) Instructions Ada Code For Occlusal Guard By Report • some plans will provide a benefit for a patient suffering the effects of bruxism. The current cdt codes to be used to document occlusal guards are as follows. Report the surgical exposure separately using d7280. D9940 occlusal guard, by report. In with the new cdt codes! The ada claim form should clearly specify the reason for fabricating the appliance. Ada Code For Occlusal Guard By Report.
From ellisdentistry.com
Occlusal Guards & Oral Appliances Ellis Family Dentistry Ada Code For Occlusal Guard By Report Out with the old cdt code! Report the surgical exposure separately using d7280. The 2019 cdt coding update has removed the code d9940 (occlusal guard, by report (removable dental appliances, which are designed to minimize the effects of. • some plans will provide a benefit for a patient suffering the effects of bruxism. (ada) the following list(s) of. In with. Ada Code For Occlusal Guard By Report.
From www.researchgate.net
Treatment sequence according to the ADA Stage 1 Mandibular teeth to Ada Code For Occlusal Guard By Report • some plans will provide a benefit for a patient suffering the effects of bruxism. The current cdt codes to be used to document occlusal guards are as follows. D9940 occlusal guard, by report. Report the surgical exposure separately using d7280. The ada claim form should clearly specify the reason for fabricating the appliance to avoid occlusal. The 2019 cdt. Ada Code For Occlusal Guard By Report.
From kerrycropper.com
Dental coding with Kyle Occlusal guards Dentistry IQ CDT Codes for Ada Code For Occlusal Guard By Report Pertaining to the biting surfaces of the premolar and molar teeth or contacting surfaces of opposing teeth or opposing occlusion rims. Out with the old cdt code! The current cdt codes to be used to document occlusal guards are as follows. The 2019 cdt coding update has removed the code d9940 (occlusal guard, by report (removable dental appliances, which are. Ada Code For Occlusal Guard By Report.
From www.manchesterfamilydentistrynh.com
Occlusion Guard The Ultimate Solution for Bruxism Manchester Family Ada Code For Occlusal Guard By Report The 2019 cdt coding update has removed the code d9940 (occlusal guard, by report (removable dental appliances, which are designed to minimize the effects of. The current cdt codes to be used to document occlusal guards are as follows. Pertaining to the biting surfaces of the premolar and molar teeth or contacting surfaces of opposing teeth or opposing occlusion rims.. Ada Code For Occlusal Guard By Report.
From www.paramountdentalstudio.com
Occlusal Guards A Material Comparison — Paramount Dental Studio Ada Code For Occlusal Guard By Report (ada) the following list(s) of. D9940 occlusal guard, by report. Out with the old cdt code! • some plans will provide a benefit for a patient suffering the effects of bruxism. In with the new cdt codes! D9940 occlusal guard, by report. Pertaining to the biting surfaces of the premolar and molar teeth or contacting surfaces of opposing teeth or. Ada Code For Occlusal Guard By Report.
From www.slideserve.com
PPT What Does An Occlusal Guard Do PowerPoint Presentation, free Ada Code For Occlusal Guard By Report D9940 occlusal guard, by report. D9940 occlusal guard, by report. The ada claim form should clearly specify the reason for fabricating the appliance to avoid occlusal. In with the new cdt codes! Report the surgical exposure separately using d7280. The 2019 cdt coding update has removed the code d9940 (occlusal guard, by report (removable dental appliances, which are designed to. Ada Code For Occlusal Guard By Report.
From sentinelmouthguards.com
Occlusal Guards and Splints Your Ultimate Guide in 2023 Sentinel Ada Code For Occlusal Guard By Report The ada claim form should clearly specify the reason for fabricating the appliance to avoid occlusal. (ada) the following list(s) of. • some plans will provide a benefit for a patient suffering the effects of bruxism. Out with the old cdt code! The current cdt codes to be used to document occlusal guards are as follows. Report the surgical exposure. Ada Code For Occlusal Guard By Report.
From www.outsourcestrategies.com
CDT Codes for Occlusal Appliances OSI Ada Code For Occlusal Guard By Report Report the surgical exposure separately using d7280. D9940 occlusal guard, by report. Out with the old cdt code! • some plans will provide a benefit for a patient suffering the effects of bruxism. (ada) the following list(s) of. In with the new cdt codes! The ada claim form should clearly specify the reason for fabricating the appliance to avoid occlusal.. Ada Code For Occlusal Guard By Report.
From jsdentallab.com
Occlusal Dental Guards — Everything You Need to Know JS Dental Lab Ada Code For Occlusal Guard By Report (ada) the following list(s) of. Out with the old cdt code! • some plans will provide a benefit for a patient suffering the effects of bruxism. The current cdt codes to be used to document occlusal guards are as follows. In with the new cdt codes! The 2019 cdt coding update has removed the code d9940 (occlusal guard, by report. Ada Code For Occlusal Guard By Report.
From www.drbestprice.com
🦷 Dental Code D9942 Repair and/or reline of occlusal guard Ada Code For Occlusal Guard By Report Pertaining to the biting surfaces of the premolar and molar teeth or contacting surfaces of opposing teeth or opposing occlusion rims. Out with the old cdt code! In with the new cdt codes! The current cdt codes to be used to document occlusal guards are as follows. D9940 occlusal guard, by report. • some plans will provide a benefit for. Ada Code For Occlusal Guard By Report.
From www.dentalofficemanagers.com
Dental Coding with Kyle Advanced Insights on Occlusal Guards Ada Code For Occlusal Guard By Report D9940 occlusal guard, by report. D9940 occlusal guard, by report. The current cdt codes to be used to document occlusal guards are as follows. • some plans will provide a benefit for a patient suffering the effects of bruxism. In with the new cdt codes! Report the surgical exposure separately using d7280. Out with the old cdt code! (ada) the. Ada Code For Occlusal Guard By Report.
From dentalce.teachable.com
StepbyStep 3D Printing Occlusal Guards Fast Track Dental CE Ada Code For Occlusal Guard By Report In with the new cdt codes! Out with the old cdt code! Pertaining to the biting surfaces of the premolar and molar teeth or contacting surfaces of opposing teeth or opposing occlusion rims. (ada) the following list(s) of. D9940 occlusal guard, by report. The ada claim form should clearly specify the reason for fabricating the appliance to avoid occlusal. The. Ada Code For Occlusal Guard By Report.
From pacificspiritdental.ca
Occlusal Guards Pacific Spirit Dental Ada Code For Occlusal Guard By Report The 2019 cdt coding update has removed the code d9940 (occlusal guard, by report (removable dental appliances, which are designed to minimize the effects of. The ada claim form should clearly specify the reason for fabricating the appliance to avoid occlusal. Report the surgical exposure separately using d7280. D9940 occlusal guard, by report. The current cdt codes to be used. Ada Code For Occlusal Guard By Report.
From exyqvtpoq.blob.core.windows.net
Ada Code For Mouthguard at David Harvey blog Ada Code For Occlusal Guard By Report D9940 occlusal guard, by report. In with the new cdt codes! D9940 occlusal guard, by report. • some plans will provide a benefit for a patient suffering the effects of bruxism. (ada) the following list(s) of. The 2019 cdt coding update has removed the code d9940 (occlusal guard, by report (removable dental appliances, which are designed to minimize the effects. Ada Code For Occlusal Guard By Report.
From exyqvtpoq.blob.core.windows.net
Ada Code For Mouthguard at David Harvey blog Ada Code For Occlusal Guard By Report The ada claim form should clearly specify the reason for fabricating the appliance to avoid occlusal. Pertaining to the biting surfaces of the premolar and molar teeth or contacting surfaces of opposing teeth or opposing occlusion rims. Report the surgical exposure separately using d7280. Out with the old cdt code! • some plans will provide a benefit for a patient. Ada Code For Occlusal Guard By Report.
From sentinelmouthguards.com
Occlusal Guards and Splints Your Ultimate Guide in 2023 Sentinel Ada Code For Occlusal Guard By Report D9940 occlusal guard, by report. Out with the old cdt code! In with the new cdt codes! Report the surgical exposure separately using d7280. The current cdt codes to be used to document occlusal guards are as follows. Pertaining to the biting surfaces of the premolar and molar teeth or contacting surfaces of opposing teeth or opposing occlusion rims. (ada). Ada Code For Occlusal Guard By Report.
From celhuueo.blob.core.windows.net
Delta Dental Night Guard Code at Adam Allen blog Ada Code For Occlusal Guard By Report The ada claim form should clearly specify the reason for fabricating the appliance to avoid occlusal. • some plans will provide a benefit for a patient suffering the effects of bruxism. (ada) the following list(s) of. The current cdt codes to be used to document occlusal guards are as follows. Pertaining to the biting surfaces of the premolar and molar. Ada Code For Occlusal Guard By Report.
From sprintray.com
Guide to 3D Printing NightGuards SprintRay Inc. Ada Code For Occlusal Guard By Report In with the new cdt codes! The current cdt codes to be used to document occlusal guards are as follows. Report the surgical exposure separately using d7280. Pertaining to the biting surfaces of the premolar and molar teeth or contacting surfaces of opposing teeth or opposing occlusion rims. D9940 occlusal guard, by report. The 2019 cdt coding update has removed. Ada Code For Occlusal Guard By Report.
From klamyhkhj.blob.core.windows.net
Narrative For Occlusal Guard at Leslie Gabriel blog Ada Code For Occlusal Guard By Report In with the new cdt codes! (ada) the following list(s) of. Report the surgical exposure separately using d7280. The current cdt codes to be used to document occlusal guards are as follows. D9940 occlusal guard, by report. D9940 occlusal guard, by report. Out with the old cdt code! Pertaining to the biting surfaces of the premolar and molar teeth or. Ada Code For Occlusal Guard By Report.
From www.pro-craft.com
Occlusal Guards & Appliances PROCraft Dental Laboratory Ada Code For Occlusal Guard By Report Out with the old cdt code! D9940 occlusal guard, by report. Pertaining to the biting surfaces of the premolar and molar teeth or contacting surfaces of opposing teeth or opposing occlusion rims. The current cdt codes to be used to document occlusal guards are as follows. Report the surgical exposure separately using d7280. The 2019 cdt coding update has removed. Ada Code For Occlusal Guard By Report.
From www.dentalclaimsupport.com
What are occlusal appliances? How to use dental codes for occlusal Ada Code For Occlusal Guard By Report The current cdt codes to be used to document occlusal guards are as follows. The ada claim form should clearly specify the reason for fabricating the appliance to avoid occlusal. • some plans will provide a benefit for a patient suffering the effects of bruxism. D9940 occlusal guard, by report. D9940 occlusal guard, by report. In with the new cdt. Ada Code For Occlusal Guard By Report.
From www.thejpd.org
An occlusal guard for preventing and treating selfinflicted tongue Ada Code For Occlusal Guard By Report In with the new cdt codes! The ada claim form should clearly specify the reason for fabricating the appliance to avoid occlusal. Pertaining to the biting surfaces of the premolar and molar teeth or contacting surfaces of opposing teeth or opposing occlusion rims. Out with the old cdt code! The current cdt codes to be used to document occlusal guards. Ada Code For Occlusal Guard By Report.
From www.youtube.com
How To Adjust Your BITE? Occlusal Adjustment Explained! YouTube Ada Code For Occlusal Guard By Report Report the surgical exposure separately using d7280. The current cdt codes to be used to document occlusal guards are as follows. D9940 occlusal guard, by report. The 2019 cdt coding update has removed the code d9940 (occlusal guard, by report (removable dental appliances, which are designed to minimize the effects of. The ada claim form should clearly specify the reason. Ada Code For Occlusal Guard By Report.
From ellisdentistry.com
Occlusal Guards & Oral Appliances Ellis Family Dentistry Ada Code For Occlusal Guard By Report D9940 occlusal guard, by report. (ada) the following list(s) of. • some plans will provide a benefit for a patient suffering the effects of bruxism. In with the new cdt codes! Report the surgical exposure separately using d7280. Out with the old cdt code! The 2019 cdt coding update has removed the code d9940 (occlusal guard, by report (removable dental. Ada Code For Occlusal Guard By Report.
From burbankdental.com
Occlusal Guards and Splints Burbank Dental Lab Ada Code For Occlusal Guard By Report Out with the old cdt code! • some plans will provide a benefit for a patient suffering the effects of bruxism. The 2019 cdt coding update has removed the code d9940 (occlusal guard, by report (removable dental appliances, which are designed to minimize the effects of. The current cdt codes to be used to document occlusal guards are as follows.. Ada Code For Occlusal Guard By Report.
From cuttingedgeperiodontist.com
Occlusal Guard Cutting Edge Periodontist Burbank, CA Ada Code For Occlusal Guard By Report Pertaining to the biting surfaces of the premolar and molar teeth or contacting surfaces of opposing teeth or opposing occlusion rims. Out with the old cdt code! Report the surgical exposure separately using d7280. In with the new cdt codes! D9940 occlusal guard, by report. The 2019 cdt coding update has removed the code d9940 (occlusal guard, by report (removable. Ada Code For Occlusal Guard By Report.
From medsdental.com
MedsDental What are occlusal appliances? CDT codes for the occlusal Ada Code For Occlusal Guard By Report • some plans will provide a benefit for a patient suffering the effects of bruxism. Out with the old cdt code! D9940 occlusal guard, by report. The current cdt codes to be used to document occlusal guards are as follows. The ada claim form should clearly specify the reason for fabricating the appliance to avoid occlusal. In with the new. Ada Code For Occlusal Guard By Report.