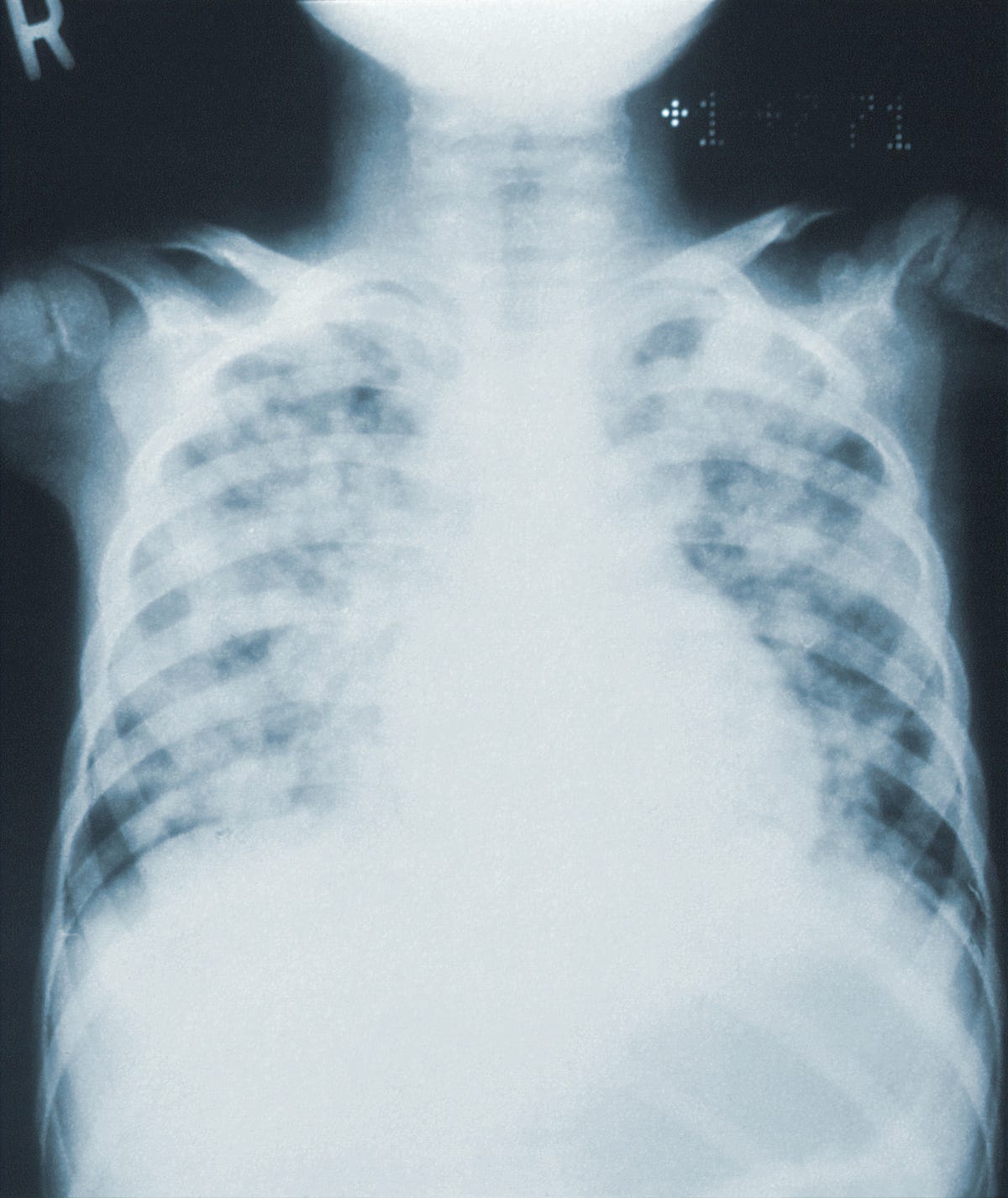
What Does A Collapsed Lung Look Like On X Ray . The volume loss due to the collapse is greater than the volume of the effusion. There is both an effusion and lung collapse. We see a large pneumothorax, which is causing collapse of the left lung and displacement of the mediastinal structures to the right. Providers usually diagnose a collapsed lung by listening to your lungs and by using imaging. The clue lies in the appearance of the left main bronchus, which is abruptly cut off (arrowhead), in this case due to a cancer.
from mungfali.com
There is both an effusion and lung collapse. We see a large pneumothorax, which is causing collapse of the left lung and displacement of the mediastinal structures to the right. The volume loss due to the collapse is greater than the volume of the effusion. The clue lies in the appearance of the left main bronchus, which is abruptly cut off (arrowhead), in this case due to a cancer. Providers usually diagnose a collapsed lung by listening to your lungs and by using imaging.
Lung Collapse Chest X Ray
What Does A Collapsed Lung Look Like On X Ray The volume loss due to the collapse is greater than the volume of the effusion. We see a large pneumothorax, which is causing collapse of the left lung and displacement of the mediastinal structures to the right. There is both an effusion and lung collapse. Providers usually diagnose a collapsed lung by listening to your lungs and by using imaging. The clue lies in the appearance of the left main bronchus, which is abruptly cut off (arrowhead), in this case due to a cancer. The volume loss due to the collapse is greater than the volume of the effusion.
From medium.com
We Have Been Seeing a Lot of Collapsed Lungs With COVID19 by Dr What Does A Collapsed Lung Look Like On X Ray The volume loss due to the collapse is greater than the volume of the effusion. The clue lies in the appearance of the left main bronchus, which is abruptly cut off (arrowhead), in this case due to a cancer. There is both an effusion and lung collapse. We see a large pneumothorax, which is causing collapse of the left lung. What Does A Collapsed Lung Look Like On X Ray.
From www.youtube.com
LARGE PNEUMOTHORAX COLLAPSED LUNG YouTube What Does A Collapsed Lung Look Like On X Ray The volume loss due to the collapse is greater than the volume of the effusion. We see a large pneumothorax, which is causing collapse of the left lung and displacement of the mediastinal structures to the right. The clue lies in the appearance of the left main bronchus, which is abruptly cut off (arrowhead), in this case due to a. What Does A Collapsed Lung Look Like On X Ray.
From www.sciencephoto.com
Collapsed lung, axial chest CT scan Stock Image C048/6099 Science What Does A Collapsed Lung Look Like On X Ray Providers usually diagnose a collapsed lung by listening to your lungs and by using imaging. The clue lies in the appearance of the left main bronchus, which is abruptly cut off (arrowhead), in this case due to a cancer. We see a large pneumothorax, which is causing collapse of the left lung and displacement of the mediastinal structures to the. What Does A Collapsed Lung Look Like On X Ray.
From uwaterloo.ca
AI system more accurately identifies collapsed lungs using chest xrays What Does A Collapsed Lung Look Like On X Ray The volume loss due to the collapse is greater than the volume of the effusion. The clue lies in the appearance of the left main bronchus, which is abruptly cut off (arrowhead), in this case due to a cancer. Providers usually diagnose a collapsed lung by listening to your lungs and by using imaging. There is both an effusion and. What Does A Collapsed Lung Look Like On X Ray.
From www.health.qld.gov.au
The Lungs Queensland Health What Does A Collapsed Lung Look Like On X Ray The clue lies in the appearance of the left main bronchus, which is abruptly cut off (arrowhead), in this case due to a cancer. There is both an effusion and lung collapse. The volume loss due to the collapse is greater than the volume of the effusion. We see a large pneumothorax, which is causing collapse of the left lung. What Does A Collapsed Lung Look Like On X Ray.
From www.youtube.com
Xray in Lung Collapse YouTube What Does A Collapsed Lung Look Like On X Ray Providers usually diagnose a collapsed lung by listening to your lungs and by using imaging. The volume loss due to the collapse is greater than the volume of the effusion. There is both an effusion and lung collapse. We see a large pneumothorax, which is causing collapse of the left lung and displacement of the mediastinal structures to the right.. What Does A Collapsed Lung Look Like On X Ray.
From www.svuhradiology.ie
Lung cancer CXR Radiology at St. Vincent's University Hospital What Does A Collapsed Lung Look Like On X Ray There is both an effusion and lung collapse. We see a large pneumothorax, which is causing collapse of the left lung and displacement of the mediastinal structures to the right. The clue lies in the appearance of the left main bronchus, which is abruptly cut off (arrowhead), in this case due to a cancer. Providers usually diagnose a collapsed lung. What Does A Collapsed Lung Look Like On X Ray.
From www.slideshare.net
Collapse and consolidation Lung Radiology What Does A Collapsed Lung Look Like On X Ray Providers usually diagnose a collapsed lung by listening to your lungs and by using imaging. There is both an effusion and lung collapse. The volume loss due to the collapse is greater than the volume of the effusion. The clue lies in the appearance of the left main bronchus, which is abruptly cut off (arrowhead), in this case due to. What Does A Collapsed Lung Look Like On X Ray.
From mungfali.com
Lung Collapse Chest X Ray What Does A Collapsed Lung Look Like On X Ray Providers usually diagnose a collapsed lung by listening to your lungs and by using imaging. There is both an effusion and lung collapse. We see a large pneumothorax, which is causing collapse of the left lung and displacement of the mediastinal structures to the right. The clue lies in the appearance of the left main bronchus, which is abruptly cut. What Does A Collapsed Lung Look Like On X Ray.
From malayelly.blogspot.com
Lobar Pneumonia Chest X Ray Findings malayelly What Does A Collapsed Lung Look Like On X Ray There is both an effusion and lung collapse. Providers usually diagnose a collapsed lung by listening to your lungs and by using imaging. We see a large pneumothorax, which is causing collapse of the left lung and displacement of the mediastinal structures to the right. The clue lies in the appearance of the left main bronchus, which is abruptly cut. What Does A Collapsed Lung Look Like On X Ray.
From www.youtube.com
Chest xray, Left lower lobe collapse CT chest lower lobe collapse What Does A Collapsed Lung Look Like On X Ray We see a large pneumothorax, which is causing collapse of the left lung and displacement of the mediastinal structures to the right. The volume loss due to the collapse is greater than the volume of the effusion. Providers usually diagnose a collapsed lung by listening to your lungs and by using imaging. The clue lies in the appearance of the. What Does A Collapsed Lung Look Like On X Ray.
From medmovie.com
Collapsed Lung What Does A Collapsed Lung Look Like On X Ray We see a large pneumothorax, which is causing collapse of the left lung and displacement of the mediastinal structures to the right. There is both an effusion and lung collapse. Providers usually diagnose a collapsed lung by listening to your lungs and by using imaging. The volume loss due to the collapse is greater than the volume of the effusion.. What Does A Collapsed Lung Look Like On X Ray.
From ar.inspiredpencil.com
Collapsed Lung X Ray What Does A Collapsed Lung Look Like On X Ray Providers usually diagnose a collapsed lung by listening to your lungs and by using imaging. The volume loss due to the collapse is greater than the volume of the effusion. We see a large pneumothorax, which is causing collapse of the left lung and displacement of the mediastinal structures to the right. There is both an effusion and lung collapse.. What Does A Collapsed Lung Look Like On X Ray.
From ar.inspiredpencil.com
Collapsed Lung What Does A Collapsed Lung Look Like On X Ray The volume loss due to the collapse is greater than the volume of the effusion. Providers usually diagnose a collapsed lung by listening to your lungs and by using imaging. We see a large pneumothorax, which is causing collapse of the left lung and displacement of the mediastinal structures to the right. The clue lies in the appearance of the. What Does A Collapsed Lung Look Like On X Ray.
From loevjbqvh.blob.core.windows.net
What Do You Do If You Have A Collapsed Lung at Vanessa Montoya blog What Does A Collapsed Lung Look Like On X Ray The clue lies in the appearance of the left main bronchus, which is abruptly cut off (arrowhead), in this case due to a cancer. We see a large pneumothorax, which is causing collapse of the left lung and displacement of the mediastinal structures to the right. There is both an effusion and lung collapse. The volume loss due to the. What Does A Collapsed Lung Look Like On X Ray.
From stock.adobe.com
Film xray chest radiograph show collapsed lung (atelectasis disease What Does A Collapsed Lung Look Like On X Ray The clue lies in the appearance of the left main bronchus, which is abruptly cut off (arrowhead), in this case due to a cancer. The volume loss due to the collapse is greater than the volume of the effusion. There is both an effusion and lung collapse. Providers usually diagnose a collapsed lung by listening to your lungs and by. What Does A Collapsed Lung Look Like On X Ray.
From www.reddit.com
My left lung collapsed after beating Reality Check for the first time What Does A Collapsed Lung Look Like On X Ray Providers usually diagnose a collapsed lung by listening to your lungs and by using imaging. We see a large pneumothorax, which is causing collapse of the left lung and displacement of the mediastinal structures to the right. There is both an effusion and lung collapse. The clue lies in the appearance of the left main bronchus, which is abruptly cut. What Does A Collapsed Lung Look Like On X Ray.
From medicalxpress.com
AI system more accurately identifies collapsed lungs using chest Xrays What Does A Collapsed Lung Look Like On X Ray The clue lies in the appearance of the left main bronchus, which is abruptly cut off (arrowhead), in this case due to a cancer. The volume loss due to the collapse is greater than the volume of the effusion. There is both an effusion and lung collapse. We see a large pneumothorax, which is causing collapse of the left lung. What Does A Collapsed Lung Look Like On X Ray.
From www.sciencephoto.com
Collapsed lung, CT scan Stock Image M170/0275 Science Photo Library What Does A Collapsed Lung Look Like On X Ray The volume loss due to the collapse is greater than the volume of the effusion. We see a large pneumothorax, which is causing collapse of the left lung and displacement of the mediastinal structures to the right. There is both an effusion and lung collapse. Providers usually diagnose a collapsed lung by listening to your lungs and by using imaging.. What Does A Collapsed Lung Look Like On X Ray.
From www.youtube.com
Chest XRay Lung Normal Vs Abnormal Image Appearances Part 1 TB What Does A Collapsed Lung Look Like On X Ray There is both an effusion and lung collapse. The volume loss due to the collapse is greater than the volume of the effusion. The clue lies in the appearance of the left main bronchus, which is abruptly cut off (arrowhead), in this case due to a cancer. Providers usually diagnose a collapsed lung by listening to your lungs and by. What Does A Collapsed Lung Look Like On X Ray.
From www.medicalnewstoday.com
Pneumothorax (collapsed lung) Causes, symptoms, and treatment What Does A Collapsed Lung Look Like On X Ray Providers usually diagnose a collapsed lung by listening to your lungs and by using imaging. The volume loss due to the collapse is greater than the volume of the effusion. The clue lies in the appearance of the left main bronchus, which is abruptly cut off (arrowhead), in this case due to a cancer. There is both an effusion and. What Does A Collapsed Lung Look Like On X Ray.
From joe-antognini.github.io
When My Left Lung Collapsed Joe Antognini What Does A Collapsed Lung Look Like On X Ray The clue lies in the appearance of the left main bronchus, which is abruptly cut off (arrowhead), in this case due to a cancer. Providers usually diagnose a collapsed lung by listening to your lungs and by using imaging. The volume loss due to the collapse is greater than the volume of the effusion. There is both an effusion and. What Does A Collapsed Lung Look Like On X Ray.
From mungfali.com
Lung Collapse Chest X Ray What Does A Collapsed Lung Look Like On X Ray The volume loss due to the collapse is greater than the volume of the effusion. The clue lies in the appearance of the left main bronchus, which is abruptly cut off (arrowhead), in this case due to a cancer. We see a large pneumothorax, which is causing collapse of the left lung and displacement of the mediastinal structures to the. What Does A Collapsed Lung Look Like On X Ray.
From www.slideshare.net
Collapse and consolidation Lung Radiology What Does A Collapsed Lung Look Like On X Ray There is both an effusion and lung collapse. The clue lies in the appearance of the left main bronchus, which is abruptly cut off (arrowhead), in this case due to a cancer. We see a large pneumothorax, which is causing collapse of the left lung and displacement of the mediastinal structures to the right. Providers usually diagnose a collapsed lung. What Does A Collapsed Lung Look Like On X Ray.
From www.sciencephoto.com
Collapsed Lung Stock Image C004/7420 Science Photo Library What Does A Collapsed Lung Look Like On X Ray The volume loss due to the collapse is greater than the volume of the effusion. Providers usually diagnose a collapsed lung by listening to your lungs and by using imaging. The clue lies in the appearance of the left main bronchus, which is abruptly cut off (arrowhead), in this case due to a cancer. We see a large pneumothorax, which. What Does A Collapsed Lung Look Like On X Ray.
From litfl.com
Lung collapse Case 1 • LITFL • Ultrasound library clinical case What Does A Collapsed Lung Look Like On X Ray There is both an effusion and lung collapse. Providers usually diagnose a collapsed lung by listening to your lungs and by using imaging. The volume loss due to the collapse is greater than the volume of the effusion. We see a large pneumothorax, which is causing collapse of the left lung and displacement of the mediastinal structures to the right.. What Does A Collapsed Lung Look Like On X Ray.
From mungfali.com
Lung Collapse Chest X Ray What Does A Collapsed Lung Look Like On X Ray There is both an effusion and lung collapse. The volume loss due to the collapse is greater than the volume of the effusion. We see a large pneumothorax, which is causing collapse of the left lung and displacement of the mediastinal structures to the right. The clue lies in the appearance of the left main bronchus, which is abruptly cut. What Does A Collapsed Lung Look Like On X Ray.
From casereports.bmj.com
Lung lobar collapse as the first manifestation of pulmonary epithelioid What Does A Collapsed Lung Look Like On X Ray We see a large pneumothorax, which is causing collapse of the left lung and displacement of the mediastinal structures to the right. The clue lies in the appearance of the left main bronchus, which is abruptly cut off (arrowhead), in this case due to a cancer. There is both an effusion and lung collapse. Providers usually diagnose a collapsed lung. What Does A Collapsed Lung Look Like On X Ray.
From www.radiologymasterclass.co.uk
Chest Xray Airways and lung collapse Effusion and collapse What Does A Collapsed Lung Look Like On X Ray We see a large pneumothorax, which is causing collapse of the left lung and displacement of the mediastinal structures to the right. Providers usually diagnose a collapsed lung by listening to your lungs and by using imaging. The volume loss due to the collapse is greater than the volume of the effusion. The clue lies in the appearance of the. What Does A Collapsed Lung Look Like On X Ray.
From www.researchgate.net
The lungs and chest Xrays showing inflammation leading to pneumonia What Does A Collapsed Lung Look Like On X Ray There is both an effusion and lung collapse. We see a large pneumothorax, which is causing collapse of the left lung and displacement of the mediastinal structures to the right. The clue lies in the appearance of the left main bronchus, which is abruptly cut off (arrowhead), in this case due to a cancer. Providers usually diagnose a collapsed lung. What Does A Collapsed Lung Look Like On X Ray.
From moosmosis.org
The Collapsed Lung Types of Pneumothorax Moosmosis What Does A Collapsed Lung Look Like On X Ray The clue lies in the appearance of the left main bronchus, which is abruptly cut off (arrowhead), in this case due to a cancer. Providers usually diagnose a collapsed lung by listening to your lungs and by using imaging. There is both an effusion and lung collapse. We see a large pneumothorax, which is causing collapse of the left lung. What Does A Collapsed Lung Look Like On X Ray.
From www.researchgate.net
Chest Xray showing the development of complete collapse of (R) lung What Does A Collapsed Lung Look Like On X Ray The volume loss due to the collapse is greater than the volume of the effusion. The clue lies in the appearance of the left main bronchus, which is abruptly cut off (arrowhead), in this case due to a cancer. Providers usually diagnose a collapsed lung by listening to your lungs and by using imaging. There is both an effusion and. What Does A Collapsed Lung Look Like On X Ray.
From litfl.com
Lung collapse Case 1 • LITFL • Ultrasound library clinical case What Does A Collapsed Lung Look Like On X Ray There is both an effusion and lung collapse. We see a large pneumothorax, which is causing collapse of the left lung and displacement of the mediastinal structures to the right. Providers usually diagnose a collapsed lung by listening to your lungs and by using imaging. The clue lies in the appearance of the left main bronchus, which is abruptly cut. What Does A Collapsed Lung Look Like On X Ray.
From www.youtube.com
Right upper lobe lung collapse on chest x ray YouTube What Does A Collapsed Lung Look Like On X Ray The volume loss due to the collapse is greater than the volume of the effusion. We see a large pneumothorax, which is causing collapse of the left lung and displacement of the mediastinal structures to the right. Providers usually diagnose a collapsed lung by listening to your lungs and by using imaging. The clue lies in the appearance of the. What Does A Collapsed Lung Look Like On X Ray.
From www.slideshare.net
Collapse and consolidation Lung Radiology What Does A Collapsed Lung Look Like On X Ray Providers usually diagnose a collapsed lung by listening to your lungs and by using imaging. The volume loss due to the collapse is greater than the volume of the effusion. We see a large pneumothorax, which is causing collapse of the left lung and displacement of the mediastinal structures to the right. There is both an effusion and lung collapse.. What Does A Collapsed Lung Look Like On X Ray.