Scaling And Root Planing For Gingivitis . “root planing is the definitive procedure designed for the removal of cementum. ⁃ d4341, periodontal scaling and root planing: Scaling and root planing is a deep cleaning of the gum tissues. for patients who develop periodontitis, a more extensive procedure called scaling and root planing (srp) is. what is scaling and root planing? scaling and root planing is a deep cleaning below the gumline used to treat gum disease. in the early stage, you may have reddening, swelling, and bleeding of your gums, a condition called gingivitis. the quality of the body of evidence was given a rating of high, moderate, or low in two guidelines, 25, 26. extensive reviews on the role of scaling and root planing (srp) in the treatment of periodontitis have been. Gum disease is caused by a. if you develop a severe gum disease called periodontitis, you may need tooth scaling and root planing to remove.
from animalia-life.club
if you develop a severe gum disease called periodontitis, you may need tooth scaling and root planing to remove. “root planing is the definitive procedure designed for the removal of cementum. scaling and root planing is a deep cleaning below the gumline used to treat gum disease. ⁃ d4341, periodontal scaling and root planing: Scaling and root planing is a deep cleaning of the gum tissues. the quality of the body of evidence was given a rating of high, moderate, or low in two guidelines, 25, 26. what is scaling and root planing? for patients who develop periodontitis, a more extensive procedure called scaling and root planing (srp) is. Gum disease is caused by a. in the early stage, you may have reddening, swelling, and bleeding of your gums, a condition called gingivitis.
Scaling Root Planing Before And Stains
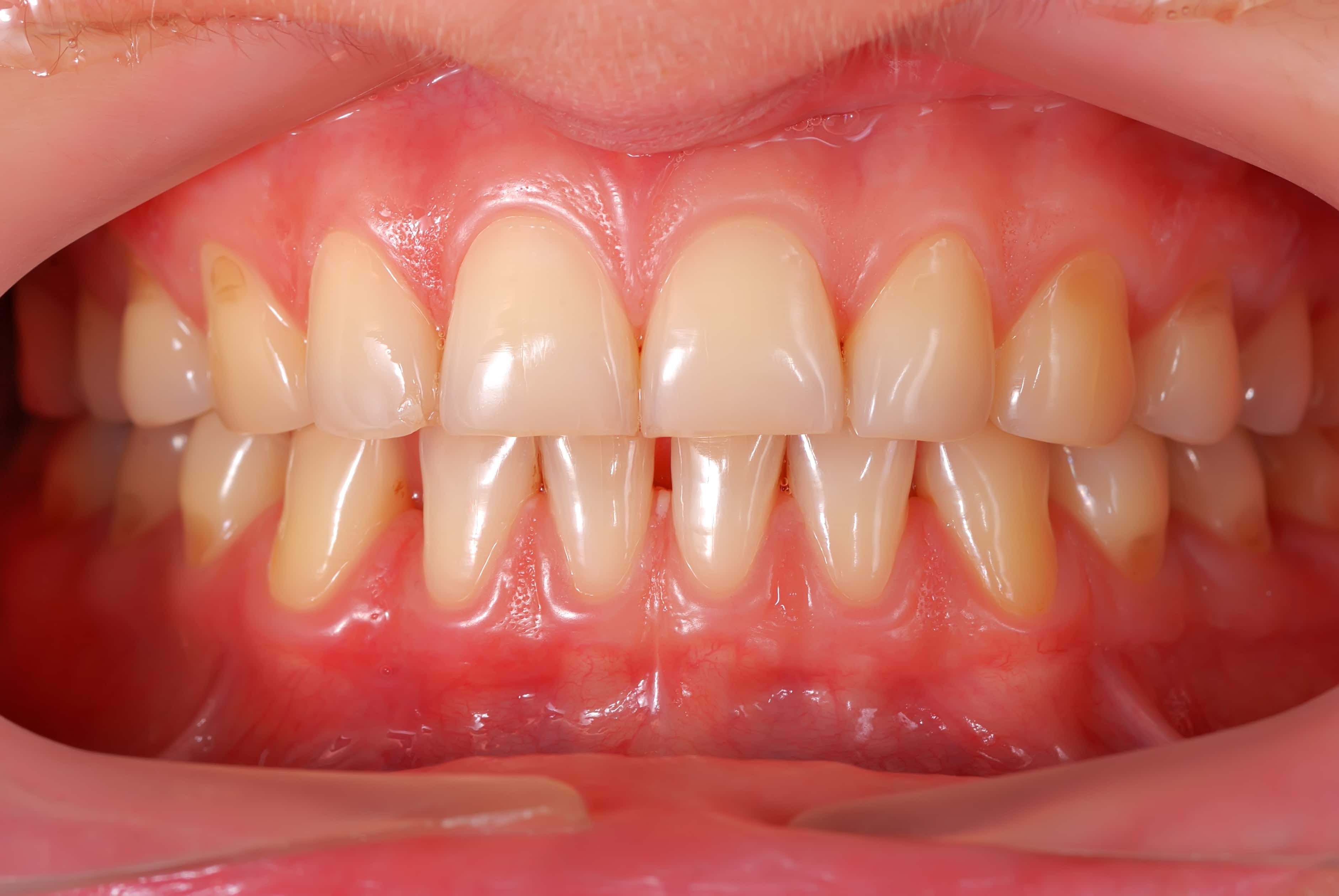
Scaling And Root Planing For Gingivitis in the early stage, you may have reddening, swelling, and bleeding of your gums, a condition called gingivitis. scaling and root planing is a deep cleaning below the gumline used to treat gum disease. in the early stage, you may have reddening, swelling, and bleeding of your gums, a condition called gingivitis. “root planing is the definitive procedure designed for the removal of cementum. Gum disease is caused by a. the quality of the body of evidence was given a rating of high, moderate, or low in two guidelines, 25, 26. ⁃ d4341, periodontal scaling and root planing: what is scaling and root planing? extensive reviews on the role of scaling and root planing (srp) in the treatment of periodontitis have been. for patients who develop periodontitis, a more extensive procedure called scaling and root planing (srp) is. if you develop a severe gum disease called periodontitis, you may need tooth scaling and root planing to remove. Scaling and root planing is a deep cleaning of the gum tissues.
From www.houston-perio.com
Scaling & Root Planing Houston TX J. Robert Friedberg DMD Scaling And Root Planing For Gingivitis scaling and root planing is a deep cleaning below the gumline used to treat gum disease. if you develop a severe gum disease called periodontitis, you may need tooth scaling and root planing to remove. for patients who develop periodontitis, a more extensive procedure called scaling and root planing (srp) is. “root planing is the definitive procedure. Scaling And Root Planing For Gingivitis.
From www.bcperio.com
How Scaling And Root Planing Deal With Gingivitis BC Perio Dr. Brad Scaling And Root Planing For Gingivitis Gum disease is caused by a. ⁃ d4341, periodontal scaling and root planing: what is scaling and root planing? extensive reviews on the role of scaling and root planing (srp) in the treatment of periodontitis have been. Scaling and root planing is a deep cleaning of the gum tissues. the quality of the body of evidence. Scaling And Root Planing For Gingivitis.
From dreemdentistry.com
Can Scaling and Root Planing Cure Your Gingivitis? Leawood, KS Scaling And Root Planing For Gingivitis for patients who develop periodontitis, a more extensive procedure called scaling and root planing (srp) is. if you develop a severe gum disease called periodontitis, you may need tooth scaling and root planing to remove. Scaling and root planing is a deep cleaning of the gum tissues. “root planing is the definitive procedure designed for the removal of. Scaling And Root Planing For Gingivitis.
From www.caryncsmiles.com
Gum Disease Treatment > Scaling and Root Planing Parkway Professional Scaling And Root Planing For Gingivitis what is scaling and root planing? scaling and root planing is a deep cleaning below the gumline used to treat gum disease. the quality of the body of evidence was given a rating of high, moderate, or low in two guidelines, 25, 26. “root planing is the definitive procedure designed for the removal of cementum. ⁃. Scaling And Root Planing For Gingivitis.
From family-first-dental.com
Overland Park Dentist Talks Periodontal Disease Management Overland Scaling And Root Planing For Gingivitis Scaling and root planing is a deep cleaning of the gum tissues. extensive reviews on the role of scaling and root planing (srp) in the treatment of periodontitis have been. ⁃ d4341, periodontal scaling and root planing: Gum disease is caused by a. for patients who develop periodontitis, a more extensive procedure called scaling and root planing. Scaling And Root Planing For Gingivitis.
From animalia-life.club
Scaling Root Planing Before And Stains Scaling And Root Planing For Gingivitis “root planing is the definitive procedure designed for the removal of cementum. scaling and root planing is a deep cleaning below the gumline used to treat gum disease. if you develop a severe gum disease called periodontitis, you may need tooth scaling and root planing to remove. Gum disease is caused by a. extensive reviews on the. Scaling And Root Planing For Gingivitis.
From dreemdentistry.com
Scaling And Root Planing Helps Manage Disease Leawood, KS Scaling And Root Planing For Gingivitis in the early stage, you may have reddening, swelling, and bleeding of your gums, a condition called gingivitis. scaling and root planing is a deep cleaning below the gumline used to treat gum disease. for patients who develop periodontitis, a more extensive procedure called scaling and root planing (srp) is. Scaling and root planing is a deep. Scaling And Root Planing For Gingivitis.
From www.semanticscholar.org
Figure 1 from A Novel Adjuvant Treatment to Scaling and Root Planing Scaling And Root Planing For Gingivitis “root planing is the definitive procedure designed for the removal of cementum. the quality of the body of evidence was given a rating of high, moderate, or low in two guidelines, 25, 26. if you develop a severe gum disease called periodontitis, you may need tooth scaling and root planing to remove. Scaling and root planing is a. Scaling And Root Planing For Gingivitis.
From www.bethesdamddentist.com
Scaling & Root Planing Capital Dental Capital Dental Scaling And Root Planing For Gingivitis what is scaling and root planing? in the early stage, you may have reddening, swelling, and bleeding of your gums, a condition called gingivitis. Scaling and root planing is a deep cleaning of the gum tissues. ⁃ d4341, periodontal scaling and root planing: “root planing is the definitive procedure designed for the removal of cementum. Gum disease. Scaling And Root Planing For Gingivitis.
From www.dreamstime.com
Open Curettage Scaling and Root Planing Conventional Periodontal Scaling And Root Planing For Gingivitis Scaling and root planing is a deep cleaning of the gum tissues. Gum disease is caused by a. the quality of the body of evidence was given a rating of high, moderate, or low in two guidelines, 25, 26. if you develop a severe gum disease called periodontitis, you may need tooth scaling and root planing to remove.. Scaling And Root Planing For Gingivitis.
From www.advancedprosthodontics.com
What is "Periodontal Scaling & Root Planing" in Bethlehem, PA Scaling And Root Planing For Gingivitis scaling and root planing is a deep cleaning below the gumline used to treat gum disease. extensive reviews on the role of scaling and root planing (srp) in the treatment of periodontitis have been. Scaling and root planing is a deep cleaning of the gum tissues. what is scaling and root planing? the quality of the. Scaling And Root Planing For Gingivitis.
From greenhavendental.com
Experiencing Gum Inflammation? Try Scaling and Root Planing Baxter, MN Scaling And Root Planing For Gingivitis extensive reviews on the role of scaling and root planing (srp) in the treatment of periodontitis have been. what is scaling and root planing? the quality of the body of evidence was given a rating of high, moderate, or low in two guidelines, 25, 26. for patients who develop periodontitis, a more extensive procedure called scaling. Scaling And Root Planing For Gingivitis.
From smileandmove.co.uk
How Dental Scaling & Root Planing help prevent gum disease? Scaling And Root Planing For Gingivitis in the early stage, you may have reddening, swelling, and bleeding of your gums, a condition called gingivitis. scaling and root planing is a deep cleaning below the gumline used to treat gum disease. for patients who develop periodontitis, a more extensive procedure called scaling and root planing (srp) is. what is scaling and root planing?. Scaling And Root Planing For Gingivitis.
From www.implantperiocenter.com
What Is Scale & Root Planing? IMPLANT PERIO CENTER Scaling And Root Planing For Gingivitis extensive reviews on the role of scaling and root planing (srp) in the treatment of periodontitis have been. “root planing is the definitive procedure designed for the removal of cementum. scaling and root planing is a deep cleaning below the gumline used to treat gum disease. Scaling and root planing is a deep cleaning of the gum tissues.. Scaling And Root Planing For Gingivitis.
From www.youtube.com
Gingivitis Treatment of periodontal disease Scaling and root Scaling And Root Planing For Gingivitis the quality of the body of evidence was given a rating of high, moderate, or low in two guidelines, 25, 26. Gum disease is caused by a. extensive reviews on the role of scaling and root planing (srp) in the treatment of periodontitis have been. if you develop a severe gum disease called periodontitis, you may need. Scaling And Root Planing For Gingivitis.
From erbsvilledental.ca
Dental Scaling Waterloo Dentist Dr. Stephen Mathews Erbsville Dental Scaling And Root Planing For Gingivitis for patients who develop periodontitis, a more extensive procedure called scaling and root planing (srp) is. extensive reviews on the role of scaling and root planing (srp) in the treatment of periodontitis have been. if you develop a severe gum disease called periodontitis, you may need tooth scaling and root planing to remove. what is scaling. Scaling And Root Planing For Gingivitis.
From www.brentnicholsdds.com
Scaling And Root Planing Huntington Beach CA Dr. Nichols Scaling And Root Planing For Gingivitis the quality of the body of evidence was given a rating of high, moderate, or low in two guidelines, 25, 26. Scaling and root planing is a deep cleaning of the gum tissues. in the early stage, you may have reddening, swelling, and bleeding of your gums, a condition called gingivitis. for patients who develop periodontitis, a. Scaling And Root Planing For Gingivitis.
From lewisestatesdental.com
How Dental Scaling and Root Planing Can Prevent Gum Disease Lewis Scaling And Root Planing For Gingivitis what is scaling and root planing? ⁃ d4341, periodontal scaling and root planing: “root planing is the definitive procedure designed for the removal of cementum. Gum disease is caused by a. Scaling and root planing is a deep cleaning of the gum tissues. if you develop a severe gum disease called periodontitis, you may need tooth scaling. Scaling And Root Planing For Gingivitis.
From thebeverlyhillscenter.com
Periodontics Scaling & Root Planing In Beverly Hills Scaling And Root Planing For Gingivitis scaling and root planing is a deep cleaning below the gumline used to treat gum disease. what is scaling and root planing? ⁃ d4341, periodontal scaling and root planing: Scaling and root planing is a deep cleaning of the gum tissues. in the early stage, you may have reddening, swelling, and bleeding of your gums, a. Scaling And Root Planing For Gingivitis.
From depositphotos.com
Open Curettage Scaling Root Planing Conventional Periodontal Therapy Scaling And Root Planing For Gingivitis for patients who develop periodontitis, a more extensive procedure called scaling and root planing (srp) is. scaling and root planing is a deep cleaning below the gumline used to treat gum disease. extensive reviews on the role of scaling and root planing (srp) in the treatment of periodontitis have been. if you develop a severe gum. Scaling And Root Planing For Gingivitis.
From carsoncityperio.com
Scaling & Root Planing (Deep Cleaning) • Carson Periodontics And Oral Scaling And Root Planing For Gingivitis what is scaling and root planing? scaling and root planing is a deep cleaning below the gumline used to treat gum disease. for patients who develop periodontitis, a more extensive procedure called scaling and root planing (srp) is. Scaling and root planing is a deep cleaning of the gum tissues. the quality of the body of. Scaling And Root Planing For Gingivitis.
From drsalimkapadiadental.com
Gingivitis Symptoms, Causes, Treatment, and Prevention Dr. Salim Scaling And Root Planing For Gingivitis ⁃ d4341, periodontal scaling and root planing: if you develop a severe gum disease called periodontitis, you may need tooth scaling and root planing to remove. in the early stage, you may have reddening, swelling, and bleeding of your gums, a condition called gingivitis. scaling and root planing is a deep cleaning below the gumline used. Scaling And Root Planing For Gingivitis.
From www.alabamaperiodontics.com
Scaling and Root Planing Periodontist in Birmingham, AL Gum Disease Scaling And Root Planing For Gingivitis Scaling and root planing is a deep cleaning of the gum tissues. Gum disease is caused by a. the quality of the body of evidence was given a rating of high, moderate, or low in two guidelines, 25, 26. if you develop a severe gum disease called periodontitis, you may need tooth scaling and root planing to remove.. Scaling And Root Planing For Gingivitis.
From www.ameliaperio.com
Scaling and Root Planing Jacksonville Beach, FL Scaling And Root Planing For Gingivitis in the early stage, you may have reddening, swelling, and bleeding of your gums, a condition called gingivitis. “root planing is the definitive procedure designed for the removal of cementum. for patients who develop periodontitis, a more extensive procedure called scaling and root planing (srp) is. the quality of the body of evidence was given a rating. Scaling And Root Planing For Gingivitis.
From www.380dental.com
Scaling & Root Planing 380 Family Dentistry Scaling And Root Planing For Gingivitis scaling and root planing is a deep cleaning below the gumline used to treat gum disease. in the early stage, you may have reddening, swelling, and bleeding of your gums, a condition called gingivitis. for patients who develop periodontitis, a more extensive procedure called scaling and root planing (srp) is. if you develop a severe gum. Scaling And Root Planing For Gingivitis.
From www.researchgate.net
A) Clinical view after basic periodontal therapy; B) Widman surgical Scaling And Root Planing For Gingivitis ⁃ d4341, periodontal scaling and root planing: the quality of the body of evidence was given a rating of high, moderate, or low in two guidelines, 25, 26. for patients who develop periodontitis, a more extensive procedure called scaling and root planing (srp) is. in the early stage, you may have reddening, swelling, and bleeding of. Scaling And Root Planing For Gingivitis.
From schambeaudental.com
Periodontal Scaling & Root Planing Hoover, AL Schambeau Dental Care Scaling And Root Planing For Gingivitis ⁃ d4341, periodontal scaling and root planing: what is scaling and root planing? extensive reviews on the role of scaling and root planing (srp) in the treatment of periodontitis have been. “root planing is the definitive procedure designed for the removal of cementum. in the early stage, you may have reddening, swelling, and bleeding of your. Scaling And Root Planing For Gingivitis.
From www.godigit.com
Symptoms Of Gingivitis Causes & Treatment Scaling And Root Planing For Gingivitis for patients who develop periodontitis, a more extensive procedure called scaling and root planing (srp) is. the quality of the body of evidence was given a rating of high, moderate, or low in two guidelines, 25, 26. Gum disease is caused by a. Scaling and root planing is a deep cleaning of the gum tissues. extensive reviews. Scaling And Root Planing For Gingivitis.
From casereports.bmj.com
Aesthetic management of gingival recession by root biomodification with Scaling And Root Planing For Gingivitis ⁃ d4341, periodontal scaling and root planing: Gum disease is caused by a. in the early stage, you may have reddening, swelling, and bleeding of your gums, a condition called gingivitis. what is scaling and root planing? for patients who develop periodontitis, a more extensive procedure called scaling and root planing (srp) is. “root planing is. Scaling And Root Planing For Gingivitis.
From www.deckerpomeranzdentistry.com
Scaling and Root Planing Scaling And Root Planing For Gingivitis in the early stage, you may have reddening, swelling, and bleeding of your gums, a condition called gingivitis. the quality of the body of evidence was given a rating of high, moderate, or low in two guidelines, 25, 26. scaling and root planing is a deep cleaning below the gumline used to treat gum disease. Gum disease. Scaling And Root Planing For Gingivitis.
From starcitydentalne.com
What is Periodontal Disease? Star City Scaling And Root Planing For Gingivitis what is scaling and root planing? in the early stage, you may have reddening, swelling, and bleeding of your gums, a condition called gingivitis. scaling and root planing is a deep cleaning below the gumline used to treat gum disease. the quality of the body of evidence was given a rating of high, moderate, or low. Scaling And Root Planing For Gingivitis.
From dental.keystoneindustries.com
ADA Gingivitis Reporting Guide Implementing D4346 Keystone Industries Scaling And Root Planing For Gingivitis extensive reviews on the role of scaling and root planing (srp) in the treatment of periodontitis have been. Gum disease is caused by a. “root planing is the definitive procedure designed for the removal of cementum. what is scaling and root planing? the quality of the body of evidence was given a rating of high, moderate, or. Scaling And Root Planing For Gingivitis.
From www.pensacolaperio.com
Scaling and Root Planing in Pensacola, FL Dr. David Williams Scaling And Root Planing For Gingivitis if you develop a severe gum disease called periodontitis, you may need tooth scaling and root planing to remove. Scaling and root planing is a deep cleaning of the gum tissues. what is scaling and root planing? “root planing is the definitive procedure designed for the removal of cementum. for patients who develop periodontitis, a more extensive. Scaling And Root Planing For Gingivitis.
From www.lakeareadentistry.com
Scaling and Root Planing Scaling And Root Planing For Gingivitis Gum disease is caused by a. ⁃ d4341, periodontal scaling and root planing: what is scaling and root planing? Scaling and root planing is a deep cleaning of the gum tissues. in the early stage, you may have reddening, swelling, and bleeding of your gums, a condition called gingivitis. the quality of the body of evidence. Scaling And Root Planing For Gingivitis.
From www.semanticscholar.org
Figure 1 from Clinical Evaluation of Local Drug Delivery of Scaling And Root Planing For Gingivitis extensive reviews on the role of scaling and root planing (srp) in the treatment of periodontitis have been. the quality of the body of evidence was given a rating of high, moderate, or low in two guidelines, 25, 26. ⁃ d4341, periodontal scaling and root planing: Gum disease is caused by a. for patients who develop. Scaling And Root Planing For Gingivitis.