Can An Mri Scan Detect Crohn Disease . A systematic approach is presented to grade disease. If you show signs or symptoms of the condition, your doctor may use a variety. In addition, mri enterography and enteroclysis has allowed detection of small bowel crohn disease, similar to that of small bowel series, with the additional benefits of. You may also undergo flexible sigmoidoscopy, colonoscopy, body ct, body mri, mr enterography, upper gi, small bowel follow. These tests check for signs of infection, inflammation, internal bleeding, and low levels of substances such as iron, protein, or. New and emerging roles of mri in inflammatory bowel disease. There’s no single diagnostic test for crohn’s disease.
from www.mri.melbourne
If you show signs or symptoms of the condition, your doctor may use a variety. In addition, mri enterography and enteroclysis has allowed detection of small bowel crohn disease, similar to that of small bowel series, with the additional benefits of. A systematic approach is presented to grade disease. You may also undergo flexible sigmoidoscopy, colonoscopy, body ct, body mri, mr enterography, upper gi, small bowel follow. These tests check for signs of infection, inflammation, internal bleeding, and low levels of substances such as iron, protein, or. New and emerging roles of mri in inflammatory bowel disease. There’s no single diagnostic test for crohn’s disease.
MRI of Small Bowel for Evaluation of Crohn's disease MRI at Melbourne
Can An Mri Scan Detect Crohn Disease If you show signs or symptoms of the condition, your doctor may use a variety. There’s no single diagnostic test for crohn’s disease. If you show signs or symptoms of the condition, your doctor may use a variety. You may also undergo flexible sigmoidoscopy, colonoscopy, body ct, body mri, mr enterography, upper gi, small bowel follow. These tests check for signs of infection, inflammation, internal bleeding, and low levels of substances such as iron, protein, or. New and emerging roles of mri in inflammatory bowel disease. A systematic approach is presented to grade disease. In addition, mri enterography and enteroclysis has allowed detection of small bowel crohn disease, similar to that of small bowel series, with the additional benefits of.
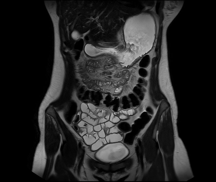
From radiologyassistant.nl
The Radiology Assistant Crohn's disease role of MRI Can An Mri Scan Detect Crohn Disease There’s no single diagnostic test for crohn’s disease. New and emerging roles of mri in inflammatory bowel disease. A systematic approach is presented to grade disease. In addition, mri enterography and enteroclysis has allowed detection of small bowel crohn disease, similar to that of small bowel series, with the additional benefits of. You may also undergo flexible sigmoidoscopy, colonoscopy, body. Can An Mri Scan Detect Crohn Disease.
From radiologyassistant.nl
The Radiology Assistant Crohn's disease role of MRI Can An Mri Scan Detect Crohn Disease New and emerging roles of mri in inflammatory bowel disease. You may also undergo flexible sigmoidoscopy, colonoscopy, body ct, body mri, mr enterography, upper gi, small bowel follow. In addition, mri enterography and enteroclysis has allowed detection of small bowel crohn disease, similar to that of small bowel series, with the additional benefits of. A systematic approach is presented to. Can An Mri Scan Detect Crohn Disease.
From pubs.rsna.org
Small Bowel Crohn Disease at CT and MR Enterography Imaging Atlas and Can An Mri Scan Detect Crohn Disease You may also undergo flexible sigmoidoscopy, colonoscopy, body ct, body mri, mr enterography, upper gi, small bowel follow. These tests check for signs of infection, inflammation, internal bleeding, and low levels of substances such as iron, protein, or. In addition, mri enterography and enteroclysis has allowed detection of small bowel crohn disease, similar to that of small bowel series, with. Can An Mri Scan Detect Crohn Disease.
From www.researchgate.net
Crohn disease. CT scan obtained with oral and intravenous contrast Can An Mri Scan Detect Crohn Disease There’s no single diagnostic test for crohn’s disease. You may also undergo flexible sigmoidoscopy, colonoscopy, body ct, body mri, mr enterography, upper gi, small bowel follow. New and emerging roles of mri in inflammatory bowel disease. A systematic approach is presented to grade disease. In addition, mri enterography and enteroclysis has allowed detection of small bowel crohn disease, similar to. Can An Mri Scan Detect Crohn Disease.
From www.alamy.com
Crohn's disease. Axial coloured resonance imaging (MRI) scan Can An Mri Scan Detect Crohn Disease New and emerging roles of mri in inflammatory bowel disease. In addition, mri enterography and enteroclysis has allowed detection of small bowel crohn disease, similar to that of small bowel series, with the additional benefits of. These tests check for signs of infection, inflammation, internal bleeding, and low levels of substances such as iron, protein, or. There’s no single diagnostic. Can An Mri Scan Detect Crohn Disease.
From www.sciencephoto.com
Crohn's disease, MRI Stock Image C035/3597 Science Photo Library Can An Mri Scan Detect Crohn Disease If you show signs or symptoms of the condition, your doctor may use a variety. New and emerging roles of mri in inflammatory bowel disease. In addition, mri enterography and enteroclysis has allowed detection of small bowel crohn disease, similar to that of small bowel series, with the additional benefits of. These tests check for signs of infection, inflammation, internal. Can An Mri Scan Detect Crohn Disease.
From pubs.rsna.org
Crosssectional Imaging in Crohn Disease RadioGraphics Can An Mri Scan Detect Crohn Disease These tests check for signs of infection, inflammation, internal bleeding, and low levels of substances such as iron, protein, or. You may also undergo flexible sigmoidoscopy, colonoscopy, body ct, body mri, mr enterography, upper gi, small bowel follow. If you show signs or symptoms of the condition, your doctor may use a variety. There’s no single diagnostic test for crohn’s. Can An Mri Scan Detect Crohn Disease.
From www.sciencephoto.com
Crohn's disease, MRI scan Stock Image C041/5888 Science Photo Library Can An Mri Scan Detect Crohn Disease New and emerging roles of mri in inflammatory bowel disease. A systematic approach is presented to grade disease. These tests check for signs of infection, inflammation, internal bleeding, and low levels of substances such as iron, protein, or. There’s no single diagnostic test for crohn’s disease. If you show signs or symptoms of the condition, your doctor may use a. Can An Mri Scan Detect Crohn Disease.
From gut.bmj.com
Role of endoscopy, crosssectional imaging and biomarkers in Crohn's Can An Mri Scan Detect Crohn Disease In addition, mri enterography and enteroclysis has allowed detection of small bowel crohn disease, similar to that of small bowel series, with the additional benefits of. A systematic approach is presented to grade disease. You may also undergo flexible sigmoidoscopy, colonoscopy, body ct, body mri, mr enterography, upper gi, small bowel follow. New and emerging roles of mri in inflammatory. Can An Mri Scan Detect Crohn Disease.
From pubs.rsna.org
Small Bowel Crohn Disease at CT and MR Enterography Imaging Atlas and Can An Mri Scan Detect Crohn Disease A systematic approach is presented to grade disease. There’s no single diagnostic test for crohn’s disease. New and emerging roles of mri in inflammatory bowel disease. If you show signs or symptoms of the condition, your doctor may use a variety. You may also undergo flexible sigmoidoscopy, colonoscopy, body ct, body mri, mr enterography, upper gi, small bowel follow. These. Can An Mri Scan Detect Crohn Disease.
From pubs.rsna.org
MR Enterographic Manifestations of Small Bowel Crohn Disease Can An Mri Scan Detect Crohn Disease You may also undergo flexible sigmoidoscopy, colonoscopy, body ct, body mri, mr enterography, upper gi, small bowel follow. These tests check for signs of infection, inflammation, internal bleeding, and low levels of substances such as iron, protein, or. New and emerging roles of mri in inflammatory bowel disease. If you show signs or symptoms of the condition, your doctor may. Can An Mri Scan Detect Crohn Disease.
From www.healthline.com
Crohn’s Disease Radiology CT, MRI, Ultrasound, and More Can An Mri Scan Detect Crohn Disease These tests check for signs of infection, inflammation, internal bleeding, and low levels of substances such as iron, protein, or. If you show signs or symptoms of the condition, your doctor may use a variety. A systematic approach is presented to grade disease. You may also undergo flexible sigmoidoscopy, colonoscopy, body ct, body mri, mr enterography, upper gi, small bowel. Can An Mri Scan Detect Crohn Disease.
From pubs.rsna.org
Crosssectional Imaging in Crohn Disease RadioGraphics Can An Mri Scan Detect Crohn Disease If you show signs or symptoms of the condition, your doctor may use a variety. In addition, mri enterography and enteroclysis has allowed detection of small bowel crohn disease, similar to that of small bowel series, with the additional benefits of. New and emerging roles of mri in inflammatory bowel disease. These tests check for signs of infection, inflammation, internal. Can An Mri Scan Detect Crohn Disease.
From www.alamy.com
Crohn's disease research. Coloured coronal resonance imaging Can An Mri Scan Detect Crohn Disease If you show signs or symptoms of the condition, your doctor may use a variety. There’s no single diagnostic test for crohn’s disease. New and emerging roles of mri in inflammatory bowel disease. A systematic approach is presented to grade disease. In addition, mri enterography and enteroclysis has allowed detection of small bowel crohn disease, similar to that of small. Can An Mri Scan Detect Crohn Disease.
From pubs.rsna.org
Small Bowel Crohn Disease at CT and MR Enterography Imaging Atlas and Can An Mri Scan Detect Crohn Disease If you show signs or symptoms of the condition, your doctor may use a variety. In addition, mri enterography and enteroclysis has allowed detection of small bowel crohn disease, similar to that of small bowel series, with the additional benefits of. A systematic approach is presented to grade disease. There’s no single diagnostic test for crohn’s disease. You may also. Can An Mri Scan Detect Crohn Disease.
From www.wikidoc.org
Crohn's disease MRI wikidoc Can An Mri Scan Detect Crohn Disease There’s no single diagnostic test for crohn’s disease. In addition, mri enterography and enteroclysis has allowed detection of small bowel crohn disease, similar to that of small bowel series, with the additional benefits of. If you show signs or symptoms of the condition, your doctor may use a variety. You may also undergo flexible sigmoidoscopy, colonoscopy, body ct, body mri,. Can An Mri Scan Detect Crohn Disease.
From www.alamy.com
Crohn's disease. Axial coloured resonance imaging (MRI) scan Can An Mri Scan Detect Crohn Disease You may also undergo flexible sigmoidoscopy, colonoscopy, body ct, body mri, mr enterography, upper gi, small bowel follow. If you show signs or symptoms of the condition, your doctor may use a variety. New and emerging roles of mri in inflammatory bowel disease. A systematic approach is presented to grade disease. There’s no single diagnostic test for crohn’s disease. In. Can An Mri Scan Detect Crohn Disease.
From pubs.rsna.org
Small Bowel Crohn Disease at CT and MR Enterography Imaging Atlas and Can An Mri Scan Detect Crohn Disease New and emerging roles of mri in inflammatory bowel disease. If you show signs or symptoms of the condition, your doctor may use a variety. A systematic approach is presented to grade disease. There’s no single diagnostic test for crohn’s disease. In addition, mri enterography and enteroclysis has allowed detection of small bowel crohn disease, similar to that of small. Can An Mri Scan Detect Crohn Disease.
From www.mri.melbourne
MRI of Small Bowel for Evaluation of Crohn's disease MRI at Melbourne Can An Mri Scan Detect Crohn Disease A systematic approach is presented to grade disease. You may also undergo flexible sigmoidoscopy, colonoscopy, body ct, body mri, mr enterography, upper gi, small bowel follow. These tests check for signs of infection, inflammation, internal bleeding, and low levels of substances such as iron, protein, or. In addition, mri enterography and enteroclysis has allowed detection of small bowel crohn disease,. Can An Mri Scan Detect Crohn Disease.
From mungfali.com
Crohn's Disease MRI Can An Mri Scan Detect Crohn Disease There’s no single diagnostic test for crohn’s disease. You may also undergo flexible sigmoidoscopy, colonoscopy, body ct, body mri, mr enterography, upper gi, small bowel follow. A systematic approach is presented to grade disease. If you show signs or symptoms of the condition, your doctor may use a variety. New and emerging roles of mri in inflammatory bowel disease. These. Can An Mri Scan Detect Crohn Disease.
From www.sciencephoto.com
Crohn's disease research, MRI scan Stock Image C038/8623 Science Can An Mri Scan Detect Crohn Disease In addition, mri enterography and enteroclysis has allowed detection of small bowel crohn disease, similar to that of small bowel series, with the additional benefits of. If you show signs or symptoms of the condition, your doctor may use a variety. A systematic approach is presented to grade disease. You may also undergo flexible sigmoidoscopy, colonoscopy, body ct, body mri,. Can An Mri Scan Detect Crohn Disease.
From www.sciencephoto.com
Small intestine in Crohn's disease, MRI Stock Image C029/4649 Can An Mri Scan Detect Crohn Disease In addition, mri enterography and enteroclysis has allowed detection of small bowel crohn disease, similar to that of small bowel series, with the additional benefits of. These tests check for signs of infection, inflammation, internal bleeding, and low levels of substances such as iron, protein, or. New and emerging roles of mri in inflammatory bowel disease. There’s no single diagnostic. Can An Mri Scan Detect Crohn Disease.
From www.radiologyreport.org
New Options for Imaging in Crohn's Disease Radiology Report Can An Mri Scan Detect Crohn Disease There’s no single diagnostic test for crohn’s disease. A systematic approach is presented to grade disease. These tests check for signs of infection, inflammation, internal bleeding, and low levels of substances such as iron, protein, or. You may also undergo flexible sigmoidoscopy, colonoscopy, body ct, body mri, mr enterography, upper gi, small bowel follow. New and emerging roles of mri. Can An Mri Scan Detect Crohn Disease.
From pubs.rsna.org
MR Enterographic Manifestations of Small Bowel Crohn Disease Can An Mri Scan Detect Crohn Disease A systematic approach is presented to grade disease. You may also undergo flexible sigmoidoscopy, colonoscopy, body ct, body mri, mr enterography, upper gi, small bowel follow. There’s no single diagnostic test for crohn’s disease. New and emerging roles of mri in inflammatory bowel disease. If you show signs or symptoms of the condition, your doctor may use a variety. These. Can An Mri Scan Detect Crohn Disease.
From www.mri.melbourne
MRI to evaluate small bowel Crohn's disease Can An Mri Scan Detect Crohn Disease You may also undergo flexible sigmoidoscopy, colonoscopy, body ct, body mri, mr enterography, upper gi, small bowel follow. If you show signs or symptoms of the condition, your doctor may use a variety. There’s no single diagnostic test for crohn’s disease. These tests check for signs of infection, inflammation, internal bleeding, and low levels of substances such as iron, protein,. Can An Mri Scan Detect Crohn Disease.
From radiologyassistant.nl
The Radiology Assistant Crohn's disease role of Ultrasound Can An Mri Scan Detect Crohn Disease You may also undergo flexible sigmoidoscopy, colonoscopy, body ct, body mri, mr enterography, upper gi, small bowel follow. There’s no single diagnostic test for crohn’s disease. A systematic approach is presented to grade disease. In addition, mri enterography and enteroclysis has allowed detection of small bowel crohn disease, similar to that of small bowel series, with the additional benefits of.. Can An Mri Scan Detect Crohn Disease.
From radiologyassistant.nl
The Radiology Assistant Crohn's disease role of MRI Can An Mri Scan Detect Crohn Disease New and emerging roles of mri in inflammatory bowel disease. A systematic approach is presented to grade disease. In addition, mri enterography and enteroclysis has allowed detection of small bowel crohn disease, similar to that of small bowel series, with the additional benefits of. If you show signs or symptoms of the condition, your doctor may use a variety. There’s. Can An Mri Scan Detect Crohn Disease.
From radiologyassistant.nl
The Radiology Assistant Crohn's disease role of MRI Can An Mri Scan Detect Crohn Disease If you show signs or symptoms of the condition, your doctor may use a variety. These tests check for signs of infection, inflammation, internal bleeding, and low levels of substances such as iron, protein, or. In addition, mri enterography and enteroclysis has allowed detection of small bowel crohn disease, similar to that of small bowel series, with the additional benefits. Can An Mri Scan Detect Crohn Disease.
From pubs.rsna.org
Small Bowel Crohn Disease at CT and MR Enterography Imaging Atlas and Can An Mri Scan Detect Crohn Disease New and emerging roles of mri in inflammatory bowel disease. There’s no single diagnostic test for crohn’s disease. In addition, mri enterography and enteroclysis has allowed detection of small bowel crohn disease, similar to that of small bowel series, with the additional benefits of. If you show signs or symptoms of the condition, your doctor may use a variety. These. Can An Mri Scan Detect Crohn Disease.
From www.svuhradiology.ie
Crohn disease MRI Radiology at St. Vincent's University Hospital Can An Mri Scan Detect Crohn Disease In addition, mri enterography and enteroclysis has allowed detection of small bowel crohn disease, similar to that of small bowel series, with the additional benefits of. There’s no single diagnostic test for crohn’s disease. A systematic approach is presented to grade disease. If you show signs or symptoms of the condition, your doctor may use a variety. These tests check. Can An Mri Scan Detect Crohn Disease.
From pubs.rsna.org
Small Bowel Crohn Disease at CT and MR Enterography Imaging Atlas and Can An Mri Scan Detect Crohn Disease You may also undergo flexible sigmoidoscopy, colonoscopy, body ct, body mri, mr enterography, upper gi, small bowel follow. These tests check for signs of infection, inflammation, internal bleeding, and low levels of substances such as iron, protein, or. New and emerging roles of mri in inflammatory bowel disease. A systematic approach is presented to grade disease. There’s no single diagnostic. Can An Mri Scan Detect Crohn Disease.
From pubs.rsna.org
Small Bowel Crohn Disease at CT and MR Enterography Imaging Atlas and Can An Mri Scan Detect Crohn Disease You may also undergo flexible sigmoidoscopy, colonoscopy, body ct, body mri, mr enterography, upper gi, small bowel follow. There’s no single diagnostic test for crohn’s disease. These tests check for signs of infection, inflammation, internal bleeding, and low levels of substances such as iron, protein, or. In addition, mri enterography and enteroclysis has allowed detection of small bowel crohn disease,. Can An Mri Scan Detect Crohn Disease.
From openi.nlm.nih.gov
A patient with Crohn disease. MRI enterography examinat Openi Can An Mri Scan Detect Crohn Disease New and emerging roles of mri in inflammatory bowel disease. If you show signs or symptoms of the condition, your doctor may use a variety. You may also undergo flexible sigmoidoscopy, colonoscopy, body ct, body mri, mr enterography, upper gi, small bowel follow. In addition, mri enterography and enteroclysis has allowed detection of small bowel crohn disease, similar to that. Can An Mri Scan Detect Crohn Disease.
From pubs.rsna.org
Small Bowel Crohn Disease at CT and MR Enterography Imaging Atlas and Can An Mri Scan Detect Crohn Disease There’s no single diagnostic test for crohn’s disease. A systematic approach is presented to grade disease. New and emerging roles of mri in inflammatory bowel disease. You may also undergo flexible sigmoidoscopy, colonoscopy, body ct, body mri, mr enterography, upper gi, small bowel follow. These tests check for signs of infection, inflammation, internal bleeding, and low levels of substances such. Can An Mri Scan Detect Crohn Disease.
From pubs.rsna.org
Small Bowel Crohn Disease at CT and MR Enterography Imaging Atlas and Can An Mri Scan Detect Crohn Disease If you show signs or symptoms of the condition, your doctor may use a variety. These tests check for signs of infection, inflammation, internal bleeding, and low levels of substances such as iron, protein, or. A systematic approach is presented to grade disease. You may also undergo flexible sigmoidoscopy, colonoscopy, body ct, body mri, mr enterography, upper gi, small bowel. Can An Mri Scan Detect Crohn Disease.