How To Relieve Cardiac Tamponade . Cardiac tamponade is when fluid collects around the heart muscle, for instance, due to trauma. The only successful treatment is a hospital procedure to remove the fluid around the heart. It puts strain on the heart and stops it working effectively. When your heart can’t fill with blood properly, it can’t pump as much and your blood pressure drops. Cardiac tamponade is a medical or traumatic emergency that happens when enough fluid accumulates in the pericardial sac compressing the heart and leading to a decrease. If cardiac tamponade is left untreated,. Cardiac tamponade is a clinical syndrome caused by the accumulation of fluid, blood, pus, clots, or gas in. Cardiac tamponade is the accumulation of pericardial fluid, blood, pus, or air within the pericardial space that creates an. Cardiac tamponade is a medical emergency. Your heart may beat faster (more than.
from mungfali.com
Cardiac tamponade is the accumulation of pericardial fluid, blood, pus, or air within the pericardial space that creates an. It puts strain on the heart and stops it working effectively. When your heart can’t fill with blood properly, it can’t pump as much and your blood pressure drops. Cardiac tamponade is a medical or traumatic emergency that happens when enough fluid accumulates in the pericardial sac compressing the heart and leading to a decrease. Cardiac tamponade is a clinical syndrome caused by the accumulation of fluid, blood, pus, clots, or gas in. Your heart may beat faster (more than. The only successful treatment is a hospital procedure to remove the fluid around the heart. Cardiac tamponade is when fluid collects around the heart muscle, for instance, due to trauma. Cardiac tamponade is a medical emergency. If cardiac tamponade is left untreated,.
Cardiac Tamponade Cartoon
How To Relieve Cardiac Tamponade When your heart can’t fill with blood properly, it can’t pump as much and your blood pressure drops. Cardiac tamponade is a clinical syndrome caused by the accumulation of fluid, blood, pus, clots, or gas in. Cardiac tamponade is a medical or traumatic emergency that happens when enough fluid accumulates in the pericardial sac compressing the heart and leading to a decrease. When your heart can’t fill with blood properly, it can’t pump as much and your blood pressure drops. Cardiac tamponade is the accumulation of pericardial fluid, blood, pus, or air within the pericardial space that creates an. It puts strain on the heart and stops it working effectively. If cardiac tamponade is left untreated,. Cardiac tamponade is a medical emergency. Your heart may beat faster (more than. Cardiac tamponade is when fluid collects around the heart muscle, for instance, due to trauma. The only successful treatment is a hospital procedure to remove the fluid around the heart.
From nursestudy.net
Cardiac Tamponade Nursing Diagnosis and Nursing Care Plan How To Relieve Cardiac Tamponade It puts strain on the heart and stops it working effectively. Cardiac tamponade is a medical emergency. When your heart can’t fill with blood properly, it can’t pump as much and your blood pressure drops. Your heart may beat faster (more than. If cardiac tamponade is left untreated,. Cardiac tamponade is a medical or traumatic emergency that happens when enough. How To Relieve Cardiac Tamponade.
From ar.inspiredpencil.com
Cardiac Tamponade Procedure How To Relieve Cardiac Tamponade If cardiac tamponade is left untreated,. Your heart may beat faster (more than. Cardiac tamponade is a medical emergency. It puts strain on the heart and stops it working effectively. Cardiac tamponade is the accumulation of pericardial fluid, blood, pus, or air within the pericardial space that creates an. Cardiac tamponade is when fluid collects around the heart muscle, for. How To Relieve Cardiac Tamponade.
From www.youtube.com
How to Recognize Cardiac Tamponade and What to Do YouTube How To Relieve Cardiac Tamponade Cardiac tamponade is a medical emergency. When your heart can’t fill with blood properly, it can’t pump as much and your blood pressure drops. Your heart may beat faster (more than. It puts strain on the heart and stops it working effectively. Cardiac tamponade is a medical or traumatic emergency that happens when enough fluid accumulates in the pericardial sac. How To Relieve Cardiac Tamponade.
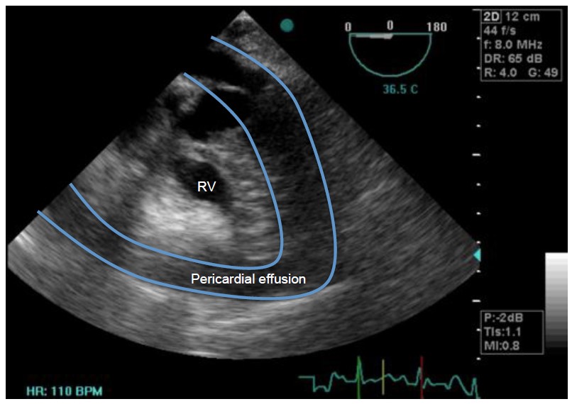
From www.researchgate.net
Echocardiography Showing Features of Cardiac Tamponade. Download How To Relieve Cardiac Tamponade Cardiac tamponade is the accumulation of pericardial fluid, blood, pus, or air within the pericardial space that creates an. Cardiac tamponade is a clinical syndrome caused by the accumulation of fluid, blood, pus, clots, or gas in. Cardiac tamponade is when fluid collects around the heart muscle, for instance, due to trauma. The only successful treatment is a hospital procedure. How To Relieve Cardiac Tamponade.
From www.jia1669.com
Cardiac Tamponade jia1669 How To Relieve Cardiac Tamponade When your heart can’t fill with blood properly, it can’t pump as much and your blood pressure drops. If cardiac tamponade is left untreated,. It puts strain on the heart and stops it working effectively. Your heart may beat faster (more than. The only successful treatment is a hospital procedure to remove the fluid around the heart. Cardiac tamponade is. How To Relieve Cardiac Tamponade.
From www.osmosis.org
Study Tips USMLE® Step 2 Question of the Day Cardiac tamponade How To Relieve Cardiac Tamponade When your heart can’t fill with blood properly, it can’t pump as much and your blood pressure drops. It puts strain on the heart and stops it working effectively. The only successful treatment is a hospital procedure to remove the fluid around the heart. Cardiac tamponade is the accumulation of pericardial fluid, blood, pus, or air within the pericardial space. How To Relieve Cardiac Tamponade.
From www.youtube.com
Cardiac tamponade YouTube How To Relieve Cardiac Tamponade Cardiac tamponade is a medical emergency. When your heart can’t fill with blood properly, it can’t pump as much and your blood pressure drops. The only successful treatment is a hospital procedure to remove the fluid around the heart. Cardiac tamponade is a clinical syndrome caused by the accumulation of fluid, blood, pus, clots, or gas in. If cardiac tamponade. How To Relieve Cardiac Tamponade.
From alonzomcybarton.blogspot.com
Cardiac Tamponade Nursing Diagnosis AlonzomcyBarton How To Relieve Cardiac Tamponade The only successful treatment is a hospital procedure to remove the fluid around the heart. Cardiac tamponade is the accumulation of pericardial fluid, blood, pus, or air within the pericardial space that creates an. Cardiac tamponade is a clinical syndrome caused by the accumulation of fluid, blood, pus, clots, or gas in. Cardiac tamponade is a medical or traumatic emergency. How To Relieve Cardiac Tamponade.
From www.studocu.com
Cardiac Tamponade Study material Pysiology Cardiac tamponade is a How To Relieve Cardiac Tamponade Your heart may beat faster (more than. Cardiac tamponade is when fluid collects around the heart muscle, for instance, due to trauma. Cardiac tamponade is the accumulation of pericardial fluid, blood, pus, or air within the pericardial space that creates an. Cardiac tamponade is a medical emergency. When your heart can’t fill with blood properly, it can’t pump as much. How To Relieve Cardiac Tamponade.
From www.studocu.com
2. Cardiac Tamponade Nursing notes Cardiac Tamponade Med Surg How To Relieve Cardiac Tamponade If cardiac tamponade is left untreated,. Your heart may beat faster (more than. The only successful treatment is a hospital procedure to remove the fluid around the heart. Cardiac tamponade is the accumulation of pericardial fluid, blood, pus, or air within the pericardial space that creates an. Cardiac tamponade is a medical emergency. Cardiac tamponade is a medical or traumatic. How To Relieve Cardiac Tamponade.
From open.osmosis.org
Pericardial effusion & cardiac tamponade Nursing Process (ADPIE How To Relieve Cardiac Tamponade When your heart can’t fill with blood properly, it can’t pump as much and your blood pressure drops. Cardiac tamponade is a medical emergency. If cardiac tamponade is left untreated,. Cardiac tamponade is a medical or traumatic emergency that happens when enough fluid accumulates in the pericardial sac compressing the heart and leading to a decrease. Cardiac tamponade is a. How To Relieve Cardiac Tamponade.
From www.slideserve.com
PPT Cardiac Tamponade Overview, Symptoms, Signs, Causes, Risk factor How To Relieve Cardiac Tamponade Your heart may beat faster (more than. When your heart can’t fill with blood properly, it can’t pump as much and your blood pressure drops. The only successful treatment is a hospital procedure to remove the fluid around the heart. If cardiac tamponade is left untreated,. It puts strain on the heart and stops it working effectively. Cardiac tamponade is. How To Relieve Cardiac Tamponade.
From wesleydesnhfernandez.blogspot.com
Cardiac Tamponade Nursing Diagnosis How To Relieve Cardiac Tamponade When your heart can’t fill with blood properly, it can’t pump as much and your blood pressure drops. It puts strain on the heart and stops it working effectively. Cardiac tamponade is a medical emergency. Cardiac tamponade is the accumulation of pericardial fluid, blood, pus, or air within the pericardial space that creates an. Cardiac tamponade is a medical or. How To Relieve Cardiac Tamponade.
From www.pocus.org
Cardiac Tamponade PointofCare Ultrasound Certification Academy How To Relieve Cardiac Tamponade Cardiac tamponade is a clinical syndrome caused by the accumulation of fluid, blood, pus, clots, or gas in. When your heart can’t fill with blood properly, it can’t pump as much and your blood pressure drops. If cardiac tamponade is left untreated,. Cardiac tamponade is a medical emergency. The only successful treatment is a hospital procedure to remove the fluid. How To Relieve Cardiac Tamponade.
From www.slideserve.com
PPT Cardiac Tamponade Overview, Symptoms, Signs, Causes, Risk factor How To Relieve Cardiac Tamponade It puts strain on the heart and stops it working effectively. When your heart can’t fill with blood properly, it can’t pump as much and your blood pressure drops. Cardiac tamponade is a medical or traumatic emergency that happens when enough fluid accumulates in the pericardial sac compressing the heart and leading to a decrease. Cardiac tamponade is a medical. How To Relieve Cardiac Tamponade.
From www.firstaidforfree.com
What is Cardiac Tamponade? First Aid for Free How To Relieve Cardiac Tamponade Your heart may beat faster (more than. The only successful treatment is a hospital procedure to remove the fluid around the heart. If cardiac tamponade is left untreated,. When your heart can’t fill with blood properly, it can’t pump as much and your blood pressure drops. Cardiac tamponade is a medical or traumatic emergency that happens when enough fluid accumulates. How To Relieve Cardiac Tamponade.
From www.animalia-life.club
Cardiac Tamponade Symptoms How To Relieve Cardiac Tamponade Cardiac tamponade is a medical emergency. Cardiac tamponade is the accumulation of pericardial fluid, blood, pus, or air within the pericardial space that creates an. Your heart may beat faster (more than. If cardiac tamponade is left untreated,. The only successful treatment is a hospital procedure to remove the fluid around the heart. Cardiac tamponade is a clinical syndrome caused. How To Relieve Cardiac Tamponade.
From www.animalia-life.club
Cardiac Tamponade Symptoms How To Relieve Cardiac Tamponade Cardiac tamponade is when fluid collects around the heart muscle, for instance, due to trauma. Cardiac tamponade is the accumulation of pericardial fluid, blood, pus, or air within the pericardial space that creates an. Cardiac tamponade is a clinical syndrome caused by the accumulation of fluid, blood, pus, clots, or gas in. The only successful treatment is a hospital procedure. How To Relieve Cardiac Tamponade.
From fabinjose77.blogspot.com
Cardiac Tamponade How To Relieve Cardiac Tamponade Your heart may beat faster (more than. It puts strain on the heart and stops it working effectively. Cardiac tamponade is the accumulation of pericardial fluid, blood, pus, or air within the pericardial space that creates an. The only successful treatment is a hospital procedure to remove the fluid around the heart. Cardiac tamponade is when fluid collects around the. How To Relieve Cardiac Tamponade.
From www.etsy.com
Nursing School Notes, Medsurg Cardiac Tamponade Pathophysiology Made How To Relieve Cardiac Tamponade Cardiac tamponade is the accumulation of pericardial fluid, blood, pus, or air within the pericardial space that creates an. Cardiac tamponade is a medical or traumatic emergency that happens when enough fluid accumulates in the pericardial sac compressing the heart and leading to a decrease. Your heart may beat faster (more than. If cardiac tamponade is left untreated,. Cardiac tamponade. How To Relieve Cardiac Tamponade.
From mungfali.com
Cardiac Tamponade Cartoon How To Relieve Cardiac Tamponade Cardiac tamponade is a medical or traumatic emergency that happens when enough fluid accumulates in the pericardial sac compressing the heart and leading to a decrease. If cardiac tamponade is left untreated,. Your heart may beat faster (more than. It puts strain on the heart and stops it working effectively. Cardiac tamponade is a clinical syndrome caused by the accumulation. How To Relieve Cardiac Tamponade.
From www.animalia-life.club
Cardiac Tamponade Symptoms How To Relieve Cardiac Tamponade The only successful treatment is a hospital procedure to remove the fluid around the heart. Cardiac tamponade is when fluid collects around the heart muscle, for instance, due to trauma. Your heart may beat faster (more than. Cardiac tamponade is a medical or traumatic emergency that happens when enough fluid accumulates in the pericardial sac compressing the heart and leading. How To Relieve Cardiac Tamponade.
From ar.inspiredpencil.com
Pericardial Tamponade Signs And Symptoms How To Relieve Cardiac Tamponade Cardiac tamponade is when fluid collects around the heart muscle, for instance, due to trauma. The only successful treatment is a hospital procedure to remove the fluid around the heart. When your heart can’t fill with blood properly, it can’t pump as much and your blood pressure drops. Cardiac tamponade is a medical emergency. Cardiac tamponade is a medical or. How To Relieve Cardiac Tamponade.
From ar.inspiredpencil.com
Cardiac Tamponade Procedure How To Relieve Cardiac Tamponade Cardiac tamponade is a medical emergency. Your heart may beat faster (more than. Cardiac tamponade is a clinical syndrome caused by the accumulation of fluid, blood, pus, clots, or gas in. Cardiac tamponade is a medical or traumatic emergency that happens when enough fluid accumulates in the pericardial sac compressing the heart and leading to a decrease. The only successful. How To Relieve Cardiac Tamponade.
From www.firstaidforfree.com
What is Cardiac Tamponade? First Aid for Free How To Relieve Cardiac Tamponade It puts strain on the heart and stops it working effectively. Cardiac tamponade is a medical emergency. Cardiac tamponade is a clinical syndrome caused by the accumulation of fluid, blood, pus, clots, or gas in. Cardiac tamponade is a medical or traumatic emergency that happens when enough fluid accumulates in the pericardial sac compressing the heart and leading to a. How To Relieve Cardiac Tamponade.
From mungfali.com
Cardiac Tamponade Vs Pericardial Effusion How To Relieve Cardiac Tamponade Cardiac tamponade is the accumulation of pericardial fluid, blood, pus, or air within the pericardial space that creates an. When your heart can’t fill with blood properly, it can’t pump as much and your blood pressure drops. Cardiac tamponade is when fluid collects around the heart muscle, for instance, due to trauma. Cardiac tamponade is a medical or traumatic emergency. How To Relieve Cardiac Tamponade.
From issuu.com
Cardiac tamponade by lazoithelife Issuu How To Relieve Cardiac Tamponade Cardiac tamponade is a medical emergency. If cardiac tamponade is left untreated,. When your heart can’t fill with blood properly, it can’t pump as much and your blood pressure drops. The only successful treatment is a hospital procedure to remove the fluid around the heart. Cardiac tamponade is a medical or traumatic emergency that happens when enough fluid accumulates in. How To Relieve Cardiac Tamponade.
From www.youtube.com
USMLE Step 1 Questions Cardiac Tamponade vs Tension Pneumothorax vs How To Relieve Cardiac Tamponade Your heart may beat faster (more than. It puts strain on the heart and stops it working effectively. Cardiac tamponade is a clinical syndrome caused by the accumulation of fluid, blood, pus, clots, or gas in. Cardiac tamponade is the accumulation of pericardial fluid, blood, pus, or air within the pericardial space that creates an. The only successful treatment is. How To Relieve Cardiac Tamponade.
From www.medicalnewstoday.com
Cardiac tamponade Definition, causes, symptoms, and treatment How To Relieve Cardiac Tamponade It puts strain on the heart and stops it working effectively. Cardiac tamponade is a clinical syndrome caused by the accumulation of fluid, blood, pus, clots, or gas in. The only successful treatment is a hospital procedure to remove the fluid around the heart. Your heart may beat faster (more than. Cardiac tamponade is a medical or traumatic emergency that. How To Relieve Cardiac Tamponade.
From www.animalia-life.club
Cardiac Tamponade Symptoms How To Relieve Cardiac Tamponade Your heart may beat faster (more than. Cardiac tamponade is a medical emergency. Cardiac tamponade is when fluid collects around the heart muscle, for instance, due to trauma. It puts strain on the heart and stops it working effectively. The only successful treatment is a hospital procedure to remove the fluid around the heart. If cardiac tamponade is left untreated,.. How To Relieve Cardiac Tamponade.
From resources.wfsahq.org
Cardiac Tamponade Virtual Library How To Relieve Cardiac Tamponade Cardiac tamponade is the accumulation of pericardial fluid, blood, pus, or air within the pericardial space that creates an. Cardiac tamponade is a medical emergency. When your heart can’t fill with blood properly, it can’t pump as much and your blood pressure drops. Cardiac tamponade is when fluid collects around the heart muscle, for instance, due to trauma. Cardiac tamponade. How To Relieve Cardiac Tamponade.
From recapem.com
Cardiac Tamponade RECAPEM How To Relieve Cardiac Tamponade Cardiac tamponade is the accumulation of pericardial fluid, blood, pus, or air within the pericardial space that creates an. Cardiac tamponade is a clinical syndrome caused by the accumulation of fluid, blood, pus, clots, or gas in. Cardiac tamponade is a medical emergency. If cardiac tamponade is left untreated,. Your heart may beat faster (more than. It puts strain on. How To Relieve Cardiac Tamponade.
From ar.inspiredpencil.com
Cardiac Tamponade How To Relieve Cardiac Tamponade If cardiac tamponade is left untreated,. Cardiac tamponade is a medical or traumatic emergency that happens when enough fluid accumulates in the pericardial sac compressing the heart and leading to a decrease. Your heart may beat faster (more than. Cardiac tamponade is the accumulation of pericardial fluid, blood, pus, or air within the pericardial space that creates an. It puts. How To Relieve Cardiac Tamponade.
From www.hospimedica.com
Pericardial Drain Removal Safe Following Cardiac Tamponade Surgical How To Relieve Cardiac Tamponade Cardiac tamponade is a clinical syndrome caused by the accumulation of fluid, blood, pus, clots, or gas in. If cardiac tamponade is left untreated,. When your heart can’t fill with blood properly, it can’t pump as much and your blood pressure drops. Your heart may beat faster (more than. The only successful treatment is a hospital procedure to remove the. How To Relieve Cardiac Tamponade.
From issuu.com
Cardiac tamponade by lazoithelife Issuu How To Relieve Cardiac Tamponade It puts strain on the heart and stops it working effectively. When your heart can’t fill with blood properly, it can’t pump as much and your blood pressure drops. Cardiac tamponade is when fluid collects around the heart muscle, for instance, due to trauma. The only successful treatment is a hospital procedure to remove the fluid around the heart. Cardiac. How To Relieve Cardiac Tamponade.