Boot Fracture Metatarsal . You will be provided with a removable boot support for the foot. You may walk on the. This is normal for 3 to 6 months after your injury. Diagnosis is made with plain radiographs. Swelling is often worse at the end of the day. You can find out more about base of the 5th metatarsal fractures, and see demonstrations of the exercises in this video from brighton and. A ‘metatarsal fracture’ is a small break (fracture) to one of the bones in the front of your foot. A metatarsal fracture occurs when one of the long bones of the midfoot is cracked or broken. Your foot may be swollen and painful. If required, you will also be provided with crutches. Most metatarsal fractures are managed in a pneumatic walking boot which protects the foot whilst weight is placed. This may be due to sudden injury (an. Metatarsal fractures are among the most common injuries of the foot that may occur due to trauma or repetitive microstress. It can take up to 6 to 12 weeks for this fracture to heal.
from www.reddit.com
Your foot may be swollen and painful. Metatarsal fractures are among the most common injuries of the foot that may occur due to trauma or repetitive microstress. You will be provided with a removable boot support for the foot. If required, you will also be provided with crutches. A metatarsal fracture occurs when one of the long bones of the midfoot is cracked or broken. This is normal for 3 to 6 months after your injury. A ‘metatarsal fracture’ is a small break (fracture) to one of the bones in the front of your foot. This may be due to sudden injury (an. Diagnosis is made with plain radiographs. You may walk on the.
Advice with my broken 5th metatarsal? Sleeping, resting, wearing boot
Boot Fracture Metatarsal You may walk on the. Most metatarsal fractures are managed in a pneumatic walking boot which protects the foot whilst weight is placed. Diagnosis is made with plain radiographs. Metatarsal fractures are among the most common injuries of the foot that may occur due to trauma or repetitive microstress. This may be due to sudden injury (an. It can take up to 6 to 12 weeks for this fracture to heal. Swelling is often worse at the end of the day. If required, you will also be provided with crutches. This is normal for 3 to 6 months after your injury. You will be provided with a removable boot support for the foot. You can find out more about base of the 5th metatarsal fractures, and see demonstrations of the exercises in this video from brighton and. A ‘metatarsal fracture’ is a small break (fracture) to one of the bones in the front of your foot. A metatarsal fracture occurs when one of the long bones of the midfoot is cracked or broken. Your foot may be swollen and painful. You may walk on the.
From blinkx.tv
10 Best Boot For Metatarsal Fracture Review And Buying Guide blinkx.tv Boot Fracture Metatarsal You will be provided with a removable boot support for the foot. You can find out more about base of the 5th metatarsal fractures, and see demonstrations of the exercises in this video from brighton and. Diagnosis is made with plain radiographs. This may be due to sudden injury (an. Metatarsal fractures are among the most common injuries of the. Boot Fracture Metatarsal.
From footeducation.com
5th Metatarsal Avulsion Fracture FootEducation Boot Fracture Metatarsal You will be provided with a removable boot support for the foot. A metatarsal fracture occurs when one of the long bones of the midfoot is cracked or broken. You can find out more about base of the 5th metatarsal fractures, and see demonstrations of the exercises in this video from brighton and. A ‘metatarsal fracture’ is a small break. Boot Fracture Metatarsal.
From www.pisceshealth.com
Pisces Healthcare Solutions. Metatarsal Stress Fracture Foot Brace Boot Fracture Metatarsal Diagnosis is made with plain radiographs. You can find out more about base of the 5th metatarsal fractures, and see demonstrations of the exercises in this video from brighton and. You may walk on the. This is normal for 3 to 6 months after your injury. A ‘metatarsal fracture’ is a small break (fracture) to one of the bones in. Boot Fracture Metatarsal.
From www.mdedge.com
Adult foot fractures A guide MDedge Family Medicine Boot Fracture Metatarsal You can find out more about base of the 5th metatarsal fractures, and see demonstrations of the exercises in this video from brighton and. A ‘metatarsal fracture’ is a small break (fracture) to one of the bones in the front of your foot. This may be due to sudden injury (an. Most metatarsal fractures are managed in a pneumatic walking. Boot Fracture Metatarsal.
From mavink.com
Metatarsal Fracture Left Foot Boot Fracture Metatarsal A metatarsal fracture occurs when one of the long bones of the midfoot is cracked or broken. Metatarsal fractures are among the most common injuries of the foot that may occur due to trauma or repetitive microstress. Most metatarsal fractures are managed in a pneumatic walking boot which protects the foot whilst weight is placed. If required, you will also. Boot Fracture Metatarsal.
From www.braceability.com
BraceAbility Walker Boot Foot Brace for Stress Fracture Healing Boot Fracture Metatarsal You may walk on the. A metatarsal fracture occurs when one of the long bones of the midfoot is cracked or broken. It can take up to 6 to 12 weeks for this fracture to heal. Most metatarsal fractures are managed in a pneumatic walking boot which protects the foot whilst weight is placed. This may be due to sudden. Boot Fracture Metatarsal.
From footeducation.com
5th Metatarsal Shaft "Dancer's" Fracture FootEducation Boot Fracture Metatarsal It can take up to 6 to 12 weeks for this fracture to heal. This is normal for 3 to 6 months after your injury. You will be provided with a removable boot support for the foot. A metatarsal fracture occurs when one of the long bones of the midfoot is cracked or broken. You can find out more about. Boot Fracture Metatarsal.
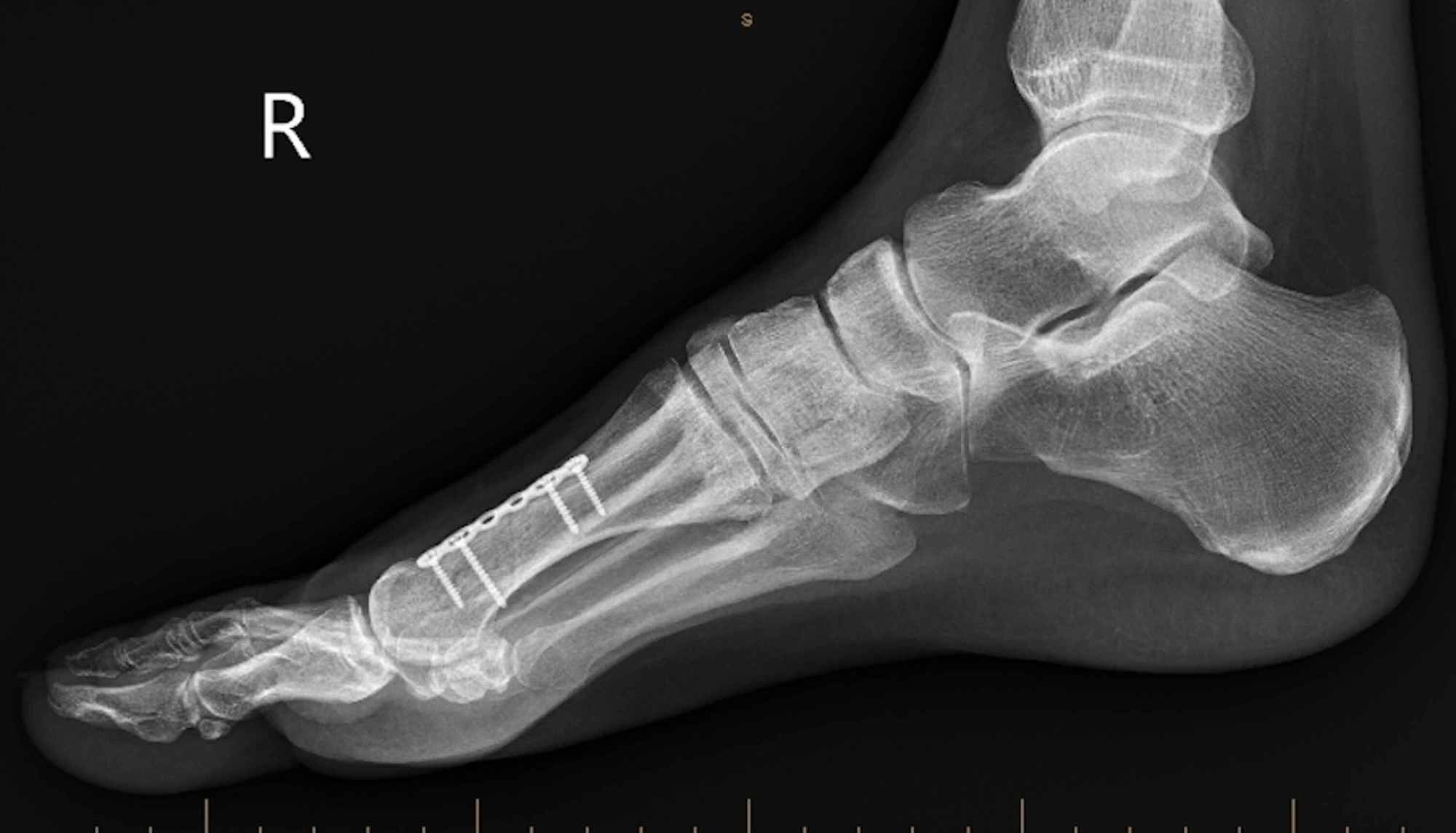
From www.cureus.com
Surgical Realignment of a Dorsiflexed Metatarsal Fracture Cureus Boot Fracture Metatarsal This is normal for 3 to 6 months after your injury. You may walk on the. It can take up to 6 to 12 weeks for this fracture to heal. A metatarsal fracture occurs when one of the long bones of the midfoot is cracked or broken. This may be due to sudden injury (an. Most metatarsal fractures are managed. Boot Fracture Metatarsal.
From www.verywellhealth.com
4 Types of Fifth Metatarsal Fracture Boot Fracture Metatarsal Most metatarsal fractures are managed in a pneumatic walking boot which protects the foot whilst weight is placed. Diagnosis is made with plain radiographs. A ‘metatarsal fracture’ is a small break (fracture) to one of the bones in the front of your foot. If required, you will also be provided with crutches. This may be due to sudden injury (an.. Boot Fracture Metatarsal.
From journals.sagepub.com
Metatarsal Fractures Nana O. Sarpong, Hasani W. Swindell, Evan P Boot Fracture Metatarsal A metatarsal fracture occurs when one of the long bones of the midfoot is cracked or broken. Metatarsal fractures are among the most common injuries of the foot that may occur due to trauma or repetitive microstress. Most metatarsal fractures are managed in a pneumatic walking boot which protects the foot whilst weight is placed. This is normal for 3. Boot Fracture Metatarsal.
From drsteinlauf.com
Metatarsal Fractures Doctor Steinlauf Boot Fracture Metatarsal Most metatarsal fractures are managed in a pneumatic walking boot which protects the foot whilst weight is placed. Metatarsal fractures are among the most common injuries of the foot that may occur due to trauma or repetitive microstress. Your foot may be swollen and painful. A metatarsal fracture occurs when one of the long bones of the midfoot is cracked. Boot Fracture Metatarsal.
From www.footeducation.com
2nd Metatarsal Stress Fractures FootEducation Boot Fracture Metatarsal A metatarsal fracture occurs when one of the long bones of the midfoot is cracked or broken. It can take up to 6 to 12 weeks for this fracture to heal. Swelling is often worse at the end of the day. You will be provided with a removable boot support for the foot. A ‘metatarsal fracture’ is a small break. Boot Fracture Metatarsal.
From www.cureus.com
Cureus Surgical Realignment of a Dorsiflexed Metatarsal Fracture Boot Fracture Metatarsal You may walk on the. Most metatarsal fractures are managed in a pneumatic walking boot which protects the foot whilst weight is placed. Metatarsal fractures are among the most common injuries of the foot that may occur due to trauma or repetitive microstress. This is normal for 3 to 6 months after your injury. A metatarsal fracture occurs when one. Boot Fracture Metatarsal.
From www.epainassist.com
Metatarsal Stress Fracture Treatment, Symptoms, Recovery, Causes Boot Fracture Metatarsal If required, you will also be provided with crutches. A metatarsal fracture occurs when one of the long bones of the midfoot is cracked or broken. Most metatarsal fractures are managed in a pneumatic walking boot which protects the foot whilst weight is placed. A ‘metatarsal fracture’ is a small break (fracture) to one of the bones in the front. Boot Fracture Metatarsal.
From www.walmart.com
Boot Fracture Broken Foot Walking Toe Immobilization Night Fasciitis Boot Fracture Metatarsal You can find out more about base of the 5th metatarsal fractures, and see demonstrations of the exercises in this video from brighton and. If required, you will also be provided with crutches. A ‘metatarsal fracture’ is a small break (fracture) to one of the bones in the front of your foot. This may be due to sudden injury (an.. Boot Fracture Metatarsal.
From radiopaedia.org
First metatarsal fracture Image Boot Fracture Metatarsal Your foot may be swollen and painful. If required, you will also be provided with crutches. Swelling is often worse at the end of the day. Diagnosis is made with plain radiographs. You will be provided with a removable boot support for the foot. A metatarsal fracture occurs when one of the long bones of the midfoot is cracked or. Boot Fracture Metatarsal.
From www.foot.theclinics.com
Proximal Fifth Metatarsal Fractures in Athletes Foot and Ankle Clinics Boot Fracture Metatarsal You can find out more about base of the 5th metatarsal fractures, and see demonstrations of the exercises in this video from brighton and. Diagnosis is made with plain radiographs. You will be provided with a removable boot support for the foot. A metatarsal fracture occurs when one of the long bones of the midfoot is cracked or broken. A. Boot Fracture Metatarsal.
From www.mdpi.com
Osteology Free FullText Traumatic Lesser Metatarsal Fractures A Boot Fracture Metatarsal You can find out more about base of the 5th metatarsal fractures, and see demonstrations of the exercises in this video from brighton and. Metatarsal fractures are among the most common injuries of the foot that may occur due to trauma or repetitive microstress. Most metatarsal fractures are managed in a pneumatic walking boot which protects the foot whilst weight. Boot Fracture Metatarsal.
From james-mccormack.com
Best Walking Boot for 5th Metatarsal Fracture Boot Fracture Metatarsal Most metatarsal fractures are managed in a pneumatic walking boot which protects the foot whilst weight is placed. Your foot may be swollen and painful. You can find out more about base of the 5th metatarsal fractures, and see demonstrations of the exercises in this video from brighton and. A metatarsal fracture occurs when one of the long bones of. Boot Fracture Metatarsal.
From www.walmart.com
Tall Air Walking Boot NonDisplaced Ankle Fracture, Metatarsal Boot Fracture Metatarsal You may walk on the. Your foot may be swollen and painful. It can take up to 6 to 12 weeks for this fracture to heal. A metatarsal fracture occurs when one of the long bones of the midfoot is cracked or broken. This is normal for 3 to 6 months after your injury. You will be provided with a. Boot Fracture Metatarsal.
From footeducation.com
Metatarsal Shaft Fractures FootEducation Boot Fracture Metatarsal Metatarsal fractures are among the most common injuries of the foot that may occur due to trauma or repetitive microstress. This is normal for 3 to 6 months after your injury. It can take up to 6 to 12 weeks for this fracture to heal. Most metatarsal fractures are managed in a pneumatic walking boot which protects the foot whilst. Boot Fracture Metatarsal.
From irumikanzashi.blogspot.com
Fifth Metatarsal Fracture Treatment And Tips / Metatarsal Fractures Boot Fracture Metatarsal This is normal for 3 to 6 months after your injury. Most metatarsal fractures are managed in a pneumatic walking boot which protects the foot whilst weight is placed. You will be provided with a removable boot support for the foot. It can take up to 6 to 12 weeks for this fracture to heal. If required, you will also. Boot Fracture Metatarsal.
From sdanzig.blogspot.com
The Dissection The Fractured Fifth Boot Fracture Metatarsal You can find out more about base of the 5th metatarsal fractures, and see demonstrations of the exercises in this video from brighton and. It can take up to 6 to 12 weeks for this fracture to heal. A metatarsal fracture occurs when one of the long bones of the midfoot is cracked or broken. Swelling is often worse at. Boot Fracture Metatarsal.
From www.reddit.com
Advice with my broken 5th metatarsal? Sleeping, resting, wearing boot Boot Fracture Metatarsal This is normal for 3 to 6 months after your injury. Metatarsal fractures are among the most common injuries of the foot that may occur due to trauma or repetitive microstress. You can find out more about base of the 5th metatarsal fractures, and see demonstrations of the exercises in this video from brighton and. You may walk on the.. Boot Fracture Metatarsal.
From irumikanzashi.blogspot.com
Fifth Metatarsal Fracture Treatment And Tips / Metatarsal Fractures Boot Fracture Metatarsal Your foot may be swollen and painful. A ‘metatarsal fracture’ is a small break (fracture) to one of the bones in the front of your foot. Most metatarsal fractures are managed in a pneumatic walking boot which protects the foot whilst weight is placed. Swelling is often worse at the end of the day. Diagnosis is made with plain radiographs.. Boot Fracture Metatarsal.
From blinkx.tv
10 Best Boot For Metatarsal Fracture Review And Buying Guide blinkx.tv Boot Fracture Metatarsal This may be due to sudden injury (an. Your foot may be swollen and painful. You may walk on the. A ‘metatarsal fracture’ is a small break (fracture) to one of the bones in the front of your foot. You will be provided with a removable boot support for the foot. A metatarsal fracture occurs when one of the long. Boot Fracture Metatarsal.
From www.walmart.com
Boot Fracture Broken Foot Walking Toe Immobilization Night Fasciitis Boot Fracture Metatarsal It can take up to 6 to 12 weeks for this fracture to heal. If required, you will also be provided with crutches. A metatarsal fracture occurs when one of the long bones of the midfoot is cracked or broken. This may be due to sudden injury (an. Your foot may be swollen and painful. You can find out more. Boot Fracture Metatarsal.
From www.thebracingexperts.com
Best Brace for 5th Metatarsal Fracture or Walking Boot Boot Fracture Metatarsal Diagnosis is made with plain radiographs. This may be due to sudden injury (an. Swelling is often worse at the end of the day. If required, you will also be provided with crutches. You can find out more about base of the 5th metatarsal fractures, and see demonstrations of the exercises in this video from brighton and. Most metatarsal fractures. Boot Fracture Metatarsal.
From www.lfaclinic.co.uk
5th Metatarsal Fracture Boot Fracture Metatarsal You may walk on the. It can take up to 6 to 12 weeks for this fracture to heal. You will be provided with a removable boot support for the foot. Metatarsal fractures are among the most common injuries of the foot that may occur due to trauma or repetitive microstress. Most metatarsal fractures are managed in a pneumatic walking. Boot Fracture Metatarsal.
From foot-ankle-surgeon.co.uk
5th Metatarsal Base Fracture Sussex Foot And Ankle Clinic Boot Fracture Metatarsal You can find out more about base of the 5th metatarsal fractures, and see demonstrations of the exercises in this video from brighton and. Your foot may be swollen and painful. This is normal for 3 to 6 months after your injury. This may be due to sudden injury (an. You will be provided with a removable boot support for. Boot Fracture Metatarsal.
From footeducation.com
5th Metatarsal Shaft "Dancer's" Fracture FootEducation Boot Fracture Metatarsal Swelling is often worse at the end of the day. You may walk on the. This may be due to sudden injury (an. Your foot may be swollen and painful. You can find out more about base of the 5th metatarsal fractures, and see demonstrations of the exercises in this video from brighton and. Most metatarsal fractures are managed in. Boot Fracture Metatarsal.
From footeducation.com
Metatarsal Shaft Fractures FootEducation Boot Fracture Metatarsal This is normal for 3 to 6 months after your injury. You will be provided with a removable boot support for the foot. Most metatarsal fractures are managed in a pneumatic walking boot which protects the foot whilst weight is placed. You can find out more about base of the 5th metatarsal fractures, and see demonstrations of the exercises in. Boot Fracture Metatarsal.
From amibery.weebly.com
Air cast boot for 5th metatarsal fracture amibery Boot Fracture Metatarsal Metatarsal fractures are among the most common injuries of the foot that may occur due to trauma or repetitive microstress. A ‘metatarsal fracture’ is a small break (fracture) to one of the bones in the front of your foot. Swelling is often worse at the end of the day. You can find out more about base of the 5th metatarsal. Boot Fracture Metatarsal.
From 5th-metatarsal-fracture-boot-cast.clinic007.com
5th Metatarsal Fracture Boot Cast Clinic Boot Fracture Metatarsal You can find out more about base of the 5th metatarsal fractures, and see demonstrations of the exercises in this video from brighton and. This may be due to sudden injury (an. It can take up to 6 to 12 weeks for this fracture to heal. A metatarsal fracture occurs when one of the long bones of the midfoot is. Boot Fracture Metatarsal.
From james-mccormack.com
Best Walking Boot for 5th Metatarsal Fracture Boot Fracture Metatarsal Most metatarsal fractures are managed in a pneumatic walking boot which protects the foot whilst weight is placed. This is normal for 3 to 6 months after your injury. You can find out more about base of the 5th metatarsal fractures, and see demonstrations of the exercises in this video from brighton and. If required, you will also be provided. Boot Fracture Metatarsal.