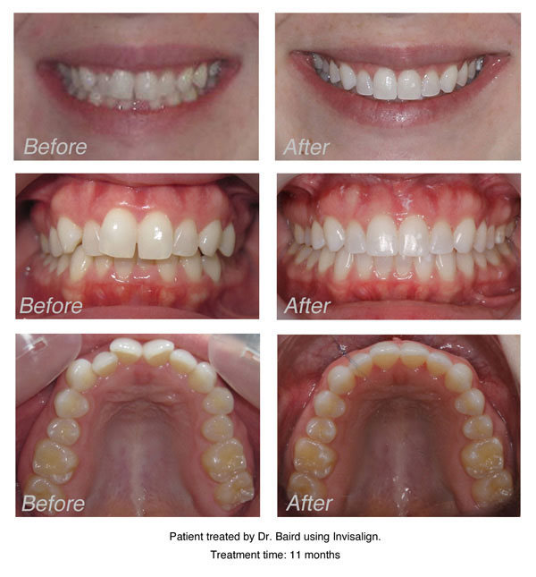
Invisalign Braces Results . invisalign, commonly termed ‘invisible braces,‘ is a form of teeth straightening that uses a series of clear plastic aligners (also known as ‘trays') to move teeth into alignment gradually. invisalign aligners treat kids, teens, and adults. invisalign is the brand name of a type of clear aligner used in orthodontic treatment. You may also hear them called ‘removable braces,' although the correct term is ‘clear aligners.'. compared to traditional metal braces, invisalign provides a more comfortable and discreet orthodontic. many people experience good results with invisalign. You can find before after pictures from real patients below in this article. Learn about pros and cons, how long it takes to see results, costs,. There are several pros and cons to consider when determining if it’s an effective option for your teeth. invisalign clear aligners straighten teeth and correct gaps. See the power of invisalign treatment in these real before & after photos, 2 and.
from www.wazioorthodontics.com
You may also hear them called ‘removable braces,' although the correct term is ‘clear aligners.'. You can find before after pictures from real patients below in this article. Learn about pros and cons, how long it takes to see results, costs,. See the power of invisalign treatment in these real before & after photos, 2 and. many people experience good results with invisalign. invisalign aligners treat kids, teens, and adults. compared to traditional metal braces, invisalign provides a more comfortable and discreet orthodontic. invisalign clear aligners straighten teeth and correct gaps. There are several pros and cons to consider when determining if it’s an effective option for your teeth. invisalign, commonly termed ‘invisible braces,‘ is a form of teeth straightening that uses a series of clear plastic aligners (also known as ‘trays') to move teeth into alignment gradually.
Before & After Invisalign Wazio Orthodontics
Invisalign Braces Results invisalign is the brand name of a type of clear aligner used in orthodontic treatment. compared to traditional metal braces, invisalign provides a more comfortable and discreet orthodontic. invisalign aligners treat kids, teens, and adults. Learn about pros and cons, how long it takes to see results, costs,. invisalign clear aligners straighten teeth and correct gaps. See the power of invisalign treatment in these real before & after photos, 2 and. invisalign, commonly termed ‘invisible braces,‘ is a form of teeth straightening that uses a series of clear plastic aligners (also known as ‘trays') to move teeth into alignment gradually. many people experience good results with invisalign. invisalign is the brand name of a type of clear aligner used in orthodontic treatment. You can find before after pictures from real patients below in this article. You may also hear them called ‘removable braces,' although the correct term is ‘clear aligners.'. There are several pros and cons to consider when determining if it’s an effective option for your teeth.
From animalia-life.club
Invisalign Before And After Crowding Invisalign Braces Results invisalign, commonly termed ‘invisible braces,‘ is a form of teeth straightening that uses a series of clear plastic aligners (also known as ‘trays') to move teeth into alignment gradually. compared to traditional metal braces, invisalign provides a more comfortable and discreet orthodontic. You can find before after pictures from real patients below in this article. many people. Invisalign Braces Results.
From www.thedentalroom.com.au
Invisalign Before and After The Dental Room Invisalign Braces Results See the power of invisalign treatment in these real before & after photos, 2 and. Learn about pros and cons, how long it takes to see results, costs,. invisalign is the brand name of a type of clear aligner used in orthodontic treatment. invisalign aligners treat kids, teens, and adults. You may also hear them called ‘removable braces,'. Invisalign Braces Results.
From www.braceplace.com
Invisalign® Before & After Freehold Hightstown Manalapan NJ Invisalign Braces Results Learn about pros and cons, how long it takes to see results, costs,. You can find before after pictures from real patients below in this article. invisalign, commonly termed ‘invisible braces,‘ is a form of teeth straightening that uses a series of clear plastic aligners (also known as ‘trays') to move teeth into alignment gradually. invisalign clear aligners. Invisalign Braces Results.
From www.pinterest.com
Amazing Invisalign results in 10 months Dr. Ginger Price Elite Invisalign Braces Results Learn about pros and cons, how long it takes to see results, costs,. You may also hear them called ‘removable braces,' although the correct term is ‘clear aligners.'. invisalign is the brand name of a type of clear aligner used in orthodontic treatment. invisalign aligners treat kids, teens, and adults. many people experience good results with invisalign.. Invisalign Braces Results.
From www.rollinghillsdental.com
Invisalign in Palos Verdes and South Bay, California Invisalign Braces Results invisalign is the brand name of a type of clear aligner used in orthodontic treatment. many people experience good results with invisalign. Learn about pros and cons, how long it takes to see results, costs,. invisalign aligners treat kids, teens, and adults. You may also hear them called ‘removable braces,' although the correct term is ‘clear aligners.'.. Invisalign Braces Results.
From regentdental.co.uk
Straighten Teeth with Invisalign Clear Braces Regent Dental Cambridge Invisalign Braces Results many people experience good results with invisalign. invisalign clear aligners straighten teeth and correct gaps. invisalign aligners treat kids, teens, and adults. compared to traditional metal braces, invisalign provides a more comfortable and discreet orthodontic. Learn about pros and cons, how long it takes to see results, costs,. There are several pros and cons to consider. Invisalign Braces Results.
From www.antlaradental.com
Invisalign vs. Braces A Complete Guide Antlara Dental Clinic Invisalign Braces Results You can find before after pictures from real patients below in this article. invisalign clear aligners straighten teeth and correct gaps. Learn about pros and cons, how long it takes to see results, costs,. invisalign, commonly termed ‘invisible braces,‘ is a form of teeth straightening that uses a series of clear plastic aligners (also known as ‘trays') to. Invisalign Braces Results.
From www.youtube.com
Invisalign 2 Year Update Before After Pics YouTube Invisalign Braces Results invisalign clear aligners straighten teeth and correct gaps. See the power of invisalign treatment in these real before & after photos, 2 and. You can find before after pictures from real patients below in this article. invisalign is the brand name of a type of clear aligner used in orthodontic treatment. compared to traditional metal braces, invisalign. Invisalign Braces Results.
From smileee.co.uk
Invisalign London Invisalign Braces for Adults and Teens Invisalign Braces Results See the power of invisalign treatment in these real before & after photos, 2 and. many people experience good results with invisalign. Learn about pros and cons, how long it takes to see results, costs,. invisalign is the brand name of a type of clear aligner used in orthodontic treatment. You can find before after pictures from real. Invisalign Braces Results.
From dentistinbournemouth.com
Invisalign & Braces for Gaps Before and After Results Invisalign Braces Results See the power of invisalign treatment in these real before & after photos, 2 and. invisalign, commonly termed ‘invisible braces,‘ is a form of teeth straightening that uses a series of clear plastic aligners (also known as ‘trays') to move teeth into alignment gradually. Learn about pros and cons, how long it takes to see results, costs,. many. Invisalign Braces Results.
From bissell-powerforce-bagless.blogspot.com
Invisalign Before And After Face Shape Before And After Invisalign Braces Results invisalign, commonly termed ‘invisible braces,‘ is a form of teeth straightening that uses a series of clear plastic aligners (also known as ‘trays') to move teeth into alignment gradually. invisalign aligners treat kids, teens, and adults. invisalign is the brand name of a type of clear aligner used in orthodontic treatment. See the power of invisalign treatment. Invisalign Braces Results.
From www.freshbreathdentalclinic.in
Invisalign treatment in Kalyan nagar Invisible Braces treatment in Invisalign Braces Results You may also hear them called ‘removable braces,' although the correct term is ‘clear aligners.'. compared to traditional metal braces, invisalign provides a more comfortable and discreet orthodontic. See the power of invisalign treatment in these real before & after photos, 2 and. many people experience good results with invisalign. Learn about pros and cons, how long it. Invisalign Braces Results.
From ar.inspiredpencil.com
Invisalign Before And After Severe Crowding Invisalign Braces Results invisalign aligners treat kids, teens, and adults. invisalign is the brand name of a type of clear aligner used in orthodontic treatment. compared to traditional metal braces, invisalign provides a more comfortable and discreet orthodontic. invisalign clear aligners straighten teeth and correct gaps. See the power of invisalign treatment in these real before & after photos,. Invisalign Braces Results.
From www.209nycdental.com
Invisalign NYC Free Consultation Top Invisalign Dentist in New York Invisalign Braces Results invisalign is the brand name of a type of clear aligner used in orthodontic treatment. many people experience good results with invisalign. You may also hear them called ‘removable braces,' although the correct term is ‘clear aligners.'. See the power of invisalign treatment in these real before & after photos, 2 and. Learn about pros and cons, how. Invisalign Braces Results.
From dentistinbournemouth.com
Invisalign & Braces for Gaps Before and After Results Invisalign Braces Results Learn about pros and cons, how long it takes to see results, costs,. many people experience good results with invisalign. invisalign, commonly termed ‘invisible braces,‘ is a form of teeth straightening that uses a series of clear plastic aligners (also known as ‘trays') to move teeth into alignment gradually. invisalign is the brand name of a type. Invisalign Braces Results.
From www.animalia-life.club
Invisalign Vs Braces Results Invisalign Braces Results invisalign, commonly termed ‘invisible braces,‘ is a form of teeth straightening that uses a series of clear plastic aligners (also known as ‘trays') to move teeth into alignment gradually. invisalign clear aligners straighten teeth and correct gaps. See the power of invisalign treatment in these real before & after photos, 2 and. You may also hear them called. Invisalign Braces Results.
From www.animalia-life.club
Invisalign Vs Braces Results Invisalign Braces Results You may also hear them called ‘removable braces,' although the correct term is ‘clear aligners.'. You can find before after pictures from real patients below in this article. invisalign aligners treat kids, teens, and adults. invisalign clear aligners straighten teeth and correct gaps. See the power of invisalign treatment in these real before & after photos, 2 and.. Invisalign Braces Results.
From www.mysmilematters.com
Invisalign Dentist Chillicothe, OH Wissler Myers & Kallies Family Invisalign Braces Results You may also hear them called ‘removable braces,' although the correct term is ‘clear aligners.'. Learn about pros and cons, how long it takes to see results, costs,. compared to traditional metal braces, invisalign provides a more comfortable and discreet orthodontic. You can find before after pictures from real patients below in this article. many people experience good. Invisalign Braces Results.
From valleycreekdentalcare.com
Conventional Dental Braces vs Invisalign — Valley Creek Dental Care Invisalign Braces Results See the power of invisalign treatment in these real before & after photos, 2 and. invisalign, commonly termed ‘invisible braces,‘ is a form of teeth straightening that uses a series of clear plastic aligners (also known as ‘trays') to move teeth into alignment gradually. invisalign is the brand name of a type of clear aligner used in orthodontic. Invisalign Braces Results.
From www.animalia-life.club
Invisalign Vs Braces Results Invisalign Braces Results See the power of invisalign treatment in these real before & after photos, 2 and. many people experience good results with invisalign. invisalign is the brand name of a type of clear aligner used in orthodontic treatment. invisalign aligners treat kids, teens, and adults. Learn about pros and cons, how long it takes to see results, costs,.. Invisalign Braces Results.
From www.wazioorthodontics.com
Before & After Invisalign Wazio Orthodontics Invisalign Braces Results invisalign, commonly termed ‘invisible braces,‘ is a form of teeth straightening that uses a series of clear plastic aligners (also known as ‘trays') to move teeth into alignment gradually. Learn about pros and cons, how long it takes to see results, costs,. compared to traditional metal braces, invisalign provides a more comfortable and discreet orthodontic. many people. Invisalign Braces Results.
From www.youtube.com
Invisalign Braces Before and After Overbite, Crowding Teeth Cost Invisalign Braces Results See the power of invisalign treatment in these real before & after photos, 2 and. You can find before after pictures from real patients below in this article. invisalign clear aligners straighten teeth and correct gaps. invisalign is the brand name of a type of clear aligner used in orthodontic treatment. There are several pros and cons to. Invisalign Braces Results.
From www.90210dentist.net
Invisalign® The Next Evolution of Braces Dr. Kevin Sands Invisalign Braces Results many people experience good results with invisalign. compared to traditional metal braces, invisalign provides a more comfortable and discreet orthodontic. Learn about pros and cons, how long it takes to see results, costs,. invisalign, commonly termed ‘invisible braces,‘ is a form of teeth straightening that uses a series of clear plastic aligners (also known as ‘trays') to. Invisalign Braces Results.
From www.shakespeareortho.co.nz
Orthodontic Changes Before & After with Braces and Invisalign Invisalign Braces Results invisalign aligners treat kids, teens, and adults. See the power of invisalign treatment in these real before & after photos, 2 and. compared to traditional metal braces, invisalign provides a more comfortable and discreet orthodontic. You may also hear them called ‘removable braces,' although the correct term is ‘clear aligners.'. invisalign clear aligners straighten teeth and correct. Invisalign Braces Results.
From milpitassquaredental.com
INVISALIGN vs. BRACES 1 DENTIST IN CALIFORNIA 95035 Invisalign Braces Results invisalign, commonly termed ‘invisible braces,‘ is a form of teeth straightening that uses a series of clear plastic aligners (also known as ‘trays') to move teeth into alignment gradually. See the power of invisalign treatment in these real before & after photos, 2 and. many people experience good results with invisalign. invisalign clear aligners straighten teeth and. Invisalign Braces Results.
From www.animalia-life.club
Invisalign Vs Braces Results Invisalign Braces Results invisalign aligners treat kids, teens, and adults. See the power of invisalign treatment in these real before & after photos, 2 and. compared to traditional metal braces, invisalign provides a more comfortable and discreet orthodontic. invisalign is the brand name of a type of clear aligner used in orthodontic treatment. invisalign, commonly termed ‘invisible braces,‘ is. Invisalign Braces Results.
From ar.inspiredpencil.com
Invisalign Before And After Overjet Invisalign Braces Results invisalign aligners treat kids, teens, and adults. invisalign, commonly termed ‘invisible braces,‘ is a form of teeth straightening that uses a series of clear plastic aligners (also known as ‘trays') to move teeth into alignment gradually. invisalign clear aligners straighten teeth and correct gaps. Learn about pros and cons, how long it takes to see results, costs,.. Invisalign Braces Results.
From www.dentistsongrove.com
Invisalign Invisible Braces Dentists on Grove Richmond, Virginia Invisalign Braces Results See the power of invisalign treatment in these real before & after photos, 2 and. There are several pros and cons to consider when determining if it’s an effective option for your teeth. invisalign aligners treat kids, teens, and adults. Learn about pros and cons, how long it takes to see results, costs,. You may also hear them called. Invisalign Braces Results.
From tooth-doctor.com
5 Before and After Invisalign Transformations Tooth Doctor Invisalign Braces Results invisalign is the brand name of a type of clear aligner used in orthodontic treatment. many people experience good results with invisalign. You can find before after pictures from real patients below in this article. invisalign aligners treat kids, teens, and adults. See the power of invisalign treatment in these real before & after photos, 2 and.. Invisalign Braces Results.
From dentistinbournemouth.com
Invisalign & Braces for Gaps Before and After Results Invisalign Braces Results invisalign, commonly termed ‘invisible braces,‘ is a form of teeth straightening that uses a series of clear plastic aligners (also known as ‘trays') to move teeth into alignment gradually. You may also hear them called ‘removable braces,' although the correct term is ‘clear aligners.'. See the power of invisalign treatment in these real before & after photos, 2 and.. Invisalign Braces Results.
From www.sachardental.com
Dentist NYC Invisalign for Crooked Teeth Sachar Dental NYC Invisalign Braces Results There are several pros and cons to consider when determining if it’s an effective option for your teeth. invisalign aligners treat kids, teens, and adults. You may also hear them called ‘removable braces,' although the correct term is ‘clear aligners.'. many people experience good results with invisalign. invisalign is the brand name of a type of clear. Invisalign Braces Results.
From harnickorthodontics.com
Harnick Orthodontics Albuquerque Braces & Invisalign Results Invisalign Braces Results There are several pros and cons to consider when determining if it’s an effective option for your teeth. You can find before after pictures from real patients below in this article. compared to traditional metal braces, invisalign provides a more comfortable and discreet orthodontic. You may also hear them called ‘removable braces,' although the correct term is ‘clear aligners.'.. Invisalign Braces Results.
From drjacquiesmiles.com
Invisalign Before and After PicturesDr. Jacquie Invisalign Braces Results There are several pros and cons to consider when determining if it’s an effective option for your teeth. invisalign aligners treat kids, teens, and adults. compared to traditional metal braces, invisalign provides a more comfortable and discreet orthodontic. invisalign clear aligners straighten teeth and correct gaps. You can find before after pictures from real patients below in. Invisalign Braces Results.
From www.braceplace.com
Invisalign® Before & After Freehold Hightstown Manalapan NJ Invisalign Braces Results Learn about pros and cons, how long it takes to see results, costs,. invisalign aligners treat kids, teens, and adults. invisalign, commonly termed ‘invisible braces,‘ is a form of teeth straightening that uses a series of clear plastic aligners (also known as ‘trays') to move teeth into alignment gradually. You can find before after pictures from real patients. Invisalign Braces Results.
From embraceciboloorthodontics.com
Orthodontist Cibolo TX Invisalign Braces Embrace Orthodontics Invisalign Braces Results invisalign, commonly termed ‘invisible braces,‘ is a form of teeth straightening that uses a series of clear plastic aligners (also known as ‘trays') to move teeth into alignment gradually. invisalign clear aligners straighten teeth and correct gaps. invisalign aligners treat kids, teens, and adults. You may also hear them called ‘removable braces,' although the correct term is. Invisalign Braces Results.