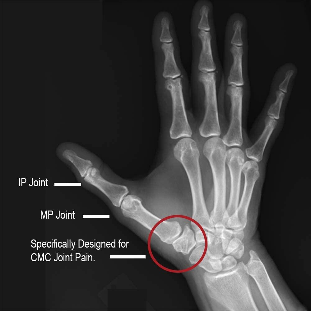
Thumb Splint For Dislocation . Diagnosis is clinical and can be confirmed by orthogonal radiographs. Check out these dislocated thumb treatments to help reduce pain & rehab your injured thumb. Phalanx dislocations are common traumatic injury of the hand involving the proximal interphalangeal joint (pip) or distal interphalangeal joint. Treatment for a sprained thumb usually involves wearing a splint or cast to keep the thumb from moving while the ligament heals. Your doctor probably put the thumb back in its. You have dislocated your thumb, meaning that your thumb came out of its normal position. If a stener lesion is suspected, immobilize the injury in a short arm thumb spica splint, and consult an orthopedist with the goal of scheduling surgical repair of the ucl within 10. Thumb cmc dislocations are rare injuries that occur due to axial force on a flexed thumb. For more severe sprains or tears of the ligament, surgery may be needed to restore stability to the joint. Understanding the pathophysiology of thumb cmc joint dislocations is important in determining appropriate management. List includes best home remedies & exercise suggestions from pts.
from www.desertcart.com.om
You have dislocated your thumb, meaning that your thumb came out of its normal position. Phalanx dislocations are common traumatic injury of the hand involving the proximal interphalangeal joint (pip) or distal interphalangeal joint. If a stener lesion is suspected, immobilize the injury in a short arm thumb spica splint, and consult an orthopedist with the goal of scheduling surgical repair of the ucl within 10. Diagnosis is clinical and can be confirmed by orthogonal radiographs. For more severe sprains or tears of the ligament, surgery may be needed to restore stability to the joint. Your doctor probably put the thumb back in its. Treatment for a sprained thumb usually involves wearing a splint or cast to keep the thumb from moving while the ligament heals. List includes best home remedies & exercise suggestions from pts. Thumb cmc dislocations are rare injuries that occur due to axial force on a flexed thumb. Check out these dislocated thumb treatments to help reduce pain & rehab your injured thumb.
Buy BraceAbility Hard Plastic Thumb Splint Brace to Immobilize
Thumb Splint For Dislocation Understanding the pathophysiology of thumb cmc joint dislocations is important in determining appropriate management. Diagnosis is clinical and can be confirmed by orthogonal radiographs. List includes best home remedies & exercise suggestions from pts. Your doctor probably put the thumb back in its. For more severe sprains or tears of the ligament, surgery may be needed to restore stability to the joint. You have dislocated your thumb, meaning that your thumb came out of its normal position. Thumb cmc dislocations are rare injuries that occur due to axial force on a flexed thumb. Treatment for a sprained thumb usually involves wearing a splint or cast to keep the thumb from moving while the ligament heals. If a stener lesion is suspected, immobilize the injury in a short arm thumb spica splint, and consult an orthopedist with the goal of scheduling surgical repair of the ucl within 10. Check out these dislocated thumb treatments to help reduce pain & rehab your injured thumb. Understanding the pathophysiology of thumb cmc joint dislocations is important in determining appropriate management. Phalanx dislocations are common traumatic injury of the hand involving the proximal interphalangeal joint (pip) or distal interphalangeal joint.
From www.amazon.ca
Comfort Cool Thumb CMC Restriction Splint. Patented Thumb Brace Thumb Splint For Dislocation For more severe sprains or tears of the ligament, surgery may be needed to restore stability to the joint. Phalanx dislocations are common traumatic injury of the hand involving the proximal interphalangeal joint (pip) or distal interphalangeal joint. List includes best home remedies & exercise suggestions from pts. Understanding the pathophysiology of thumb cmc joint dislocations is important in determining. Thumb Splint For Dislocation.
From mckiesplints.com
Pediatric Child Thumb Splint for Cerebral Palsy, Stroke, M.S., Injury Thumb Splint For Dislocation For more severe sprains or tears of the ligament, surgery may be needed to restore stability to the joint. If a stener lesion is suspected, immobilize the injury in a short arm thumb spica splint, and consult an orthopedist with the goal of scheduling surgical repair of the ucl within 10. Thumb cmc dislocations are rare injuries that occur due. Thumb Splint For Dislocation.
From www.amazon.com
Comfort Cool Thumb CMC Restriction Splint. Available in Thumb Splint For Dislocation Phalanx dislocations are common traumatic injury of the hand involving the proximal interphalangeal joint (pip) or distal interphalangeal joint. If a stener lesion is suspected, immobilize the injury in a short arm thumb spica splint, and consult an orthopedist with the goal of scheduling surgical repair of the ucl within 10. List includes best home remedies & exercise suggestions from. Thumb Splint For Dislocation.
From www.desertcart.com.om
Buy BraceAbility Hard Plastic Thumb Splint Brace to Immobilize Thumb Splint For Dislocation Treatment for a sprained thumb usually involves wearing a splint or cast to keep the thumb from moving while the ligament heals. Check out these dislocated thumb treatments to help reduce pain & rehab your injured thumb. Thumb cmc dislocations are rare injuries that occur due to axial force on a flexed thumb. List includes best home remedies & exercise. Thumb Splint For Dislocation.
From www.rehabmart.com
Thumb Splints Spica Splint MCP Joint Splint Thumb Brace Thumb Splint For Dislocation If a stener lesion is suspected, immobilize the injury in a short arm thumb spica splint, and consult an orthopedist with the goal of scheduling surgical repair of the ucl within 10. Understanding the pathophysiology of thumb cmc joint dislocations is important in determining appropriate management. Phalanx dislocations are common traumatic injury of the hand involving the proximal interphalangeal joint. Thumb Splint For Dislocation.
From orthoinfo.aaos.org
Sprained Thumb OrthoInfo AAOS Thumb Splint For Dislocation Thumb cmc dislocations are rare injuries that occur due to axial force on a flexed thumb. Phalanx dislocations are common traumatic injury of the hand involving the proximal interphalangeal joint (pip) or distal interphalangeal joint. Your doctor probably put the thumb back in its. Diagnosis is clinical and can be confirmed by orthogonal radiographs. Treatment for a sprained thumb usually. Thumb Splint For Dislocation.
From orthoticsplus.com.au
Thumb Splints Orthotics Plus Melbourne Thumb Splint For Dislocation Treatment for a sprained thumb usually involves wearing a splint or cast to keep the thumb from moving while the ligament heals. List includes best home remedies & exercise suggestions from pts. Thumb cmc dislocations are rare injuries that occur due to axial force on a flexed thumb. Diagnosis is clinical and can be confirmed by orthogonal radiographs. Check out. Thumb Splint For Dislocation.
From www.wisegeek.com
How do I Treat a Dislocated Thumb? (with pictures) Thumb Splint For Dislocation Diagnosis is clinical and can be confirmed by orthogonal radiographs. Thumb cmc dislocations are rare injuries that occur due to axial force on a flexed thumb. Check out these dislocated thumb treatments to help reduce pain & rehab your injured thumb. Your doctor probably put the thumb back in its. If a stener lesion is suspected, immobilize the injury in. Thumb Splint For Dislocation.
From www.gosupps.com
Comfort Cool Thumb CMC Restriction Splint. Patented Thumb Brace Thumb Splint For Dislocation Phalanx dislocations are common traumatic injury of the hand involving the proximal interphalangeal joint (pip) or distal interphalangeal joint. Check out these dislocated thumb treatments to help reduce pain & rehab your injured thumb. List includes best home remedies & exercise suggestions from pts. Thumb cmc dislocations are rare injuries that occur due to axial force on a flexed thumb.. Thumb Splint For Dislocation.
From www.walmart.com
Professional Medica Bracelet Thumb Spica Splint Brace Wrist Support Thumb Splint For Dislocation Treatment for a sprained thumb usually involves wearing a splint or cast to keep the thumb from moving while the ligament heals. Your doctor probably put the thumb back in its. For more severe sprains or tears of the ligament, surgery may be needed to restore stability to the joint. Understanding the pathophysiology of thumb cmc joint dislocations is important. Thumb Splint For Dislocation.
From www.1mg.com
Leeford Thumb Spica Splint Support Buy box of 1.0 Unit at best price Thumb Splint For Dislocation Treatment for a sprained thumb usually involves wearing a splint or cast to keep the thumb from moving while the ligament heals. Phalanx dislocations are common traumatic injury of the hand involving the proximal interphalangeal joint (pip) or distal interphalangeal joint. Your doctor probably put the thumb back in its. List includes best home remedies & exercise suggestions from pts.. Thumb Splint For Dislocation.
From www.amazon.com
Simnoble Thumb Splint Brace + 2 Trigger Finger Splint Thumb Splint For Dislocation Check out these dislocated thumb treatments to help reduce pain & rehab your injured thumb. Thumb cmc dislocations are rare injuries that occur due to axial force on a flexed thumb. For more severe sprains or tears of the ligament, surgery may be needed to restore stability to the joint. Phalanx dislocations are common traumatic injury of the hand involving. Thumb Splint For Dislocation.
From www.walgreens.com
Core Thumb Spica Splint Black Walgreens Thumb Splint For Dislocation Diagnosis is clinical and can be confirmed by orthogonal radiographs. You have dislocated your thumb, meaning that your thumb came out of its normal position. If a stener lesion is suspected, immobilize the injury in a short arm thumb spica splint, and consult an orthopedist with the goal of scheduling surgical repair of the ucl within 10. Treatment for a. Thumb Splint For Dislocation.
From www.gosupps.com
Comfort Cool Thumb CMC Restriction Splint. Beige Patented Thumb Brace Thumb Splint For Dislocation Your doctor probably put the thumb back in its. Treatment for a sprained thumb usually involves wearing a splint or cast to keep the thumb from moving while the ligament heals. Understanding the pathophysiology of thumb cmc joint dislocations is important in determining appropriate management. Phalanx dislocations are common traumatic injury of the hand involving the proximal interphalangeal joint (pip). Thumb Splint For Dislocation.
From www.pinterest.com
The Thumb Splint is designed to provide support Thumb Splint For Dislocation You have dislocated your thumb, meaning that your thumb came out of its normal position. Diagnosis is clinical and can be confirmed by orthogonal radiographs. Thumb cmc dislocations are rare injuries that occur due to axial force on a flexed thumb. List includes best home remedies & exercise suggestions from pts. Your doctor probably put the thumb back in its.. Thumb Splint For Dislocation.
From www.ubuy.co.in
Buy Comfort Cool Thumb CMC Restriction Splint. Beige Patented Thumb Thumb Splint For Dislocation Your doctor probably put the thumb back in its. List includes best home remedies & exercise suggestions from pts. If a stener lesion is suspected, immobilize the injury in a short arm thumb spica splint, and consult an orthopedist with the goal of scheduling surgical repair of the ucl within 10. You have dislocated your thumb, meaning that your thumb. Thumb Splint For Dislocation.
From www.desertcart.ae
Comfort Cool Thumb CMC Restriction Splint. All Sizes. Thumb Brace Thumb Splint For Dislocation For more severe sprains or tears of the ligament, surgery may be needed to restore stability to the joint. Phalanx dislocations are common traumatic injury of the hand involving the proximal interphalangeal joint (pip) or distal interphalangeal joint. List includes best home remedies & exercise suggestions from pts. Treatment for a sprained thumb usually involves wearing a splint or cast. Thumb Splint For Dislocation.
From www.vivehealth.com
8 Best Thumb Spica Splints for De Quervain’s Vive Health Thumb Splint For Dislocation Your doctor probably put the thumb back in its. Treatment for a sprained thumb usually involves wearing a splint or cast to keep the thumb from moving while the ligament heals. Diagnosis is clinical and can be confirmed by orthogonal radiographs. For more severe sprains or tears of the ligament, surgery may be needed to restore stability to the joint.. Thumb Splint For Dislocation.
From www.rehabmart.com
Thumb Splints Spica Splint MCP Joint Splint Thumb Brace Thumb Splint For Dislocation Check out these dislocated thumb treatments to help reduce pain & rehab your injured thumb. List includes best home remedies & exercise suggestions from pts. If a stener lesion is suspected, immobilize the injury in a short arm thumb spica splint, and consult an orthopedist with the goal of scheduling surgical repair of the ucl within 10. Thumb cmc dislocations. Thumb Splint For Dislocation.
From ussolid.com
Thumb Splint FDA Approved for Stabilizing your Thumb in Case of Injury Thumb Splint For Dislocation Thumb cmc dislocations are rare injuries that occur due to axial force on a flexed thumb. For more severe sprains or tears of the ligament, surgery may be needed to restore stability to the joint. Diagnosis is clinical and can be confirmed by orthogonal radiographs. Understanding the pathophysiology of thumb cmc joint dislocations is important in determining appropriate management. Phalanx. Thumb Splint For Dislocation.
From www.breg.com
Premier Thumb Splint with Stays Breg, Inc. Thumb Splint For Dislocation Treatment for a sprained thumb usually involves wearing a splint or cast to keep the thumb from moving while the ligament heals. For more severe sprains or tears of the ligament, surgery may be needed to restore stability to the joint. You have dislocated your thumb, meaning that your thumb came out of its normal position. Your doctor probably put. Thumb Splint For Dislocation.
From www.walmart.com
North Coast Medical Comfort Cool Thumb CMC Restriction Splint Right Thumb Splint For Dislocation Treatment for a sprained thumb usually involves wearing a splint or cast to keep the thumb from moving while the ligament heals. Thumb cmc dislocations are rare injuries that occur due to axial force on a flexed thumb. Diagnosis is clinical and can be confirmed by orthogonal radiographs. You have dislocated your thumb, meaning that your thumb came out of. Thumb Splint For Dislocation.
From www.amazon.co.uk
Trigger Finger Splint Brace for Thumb Index Middle Ring Pinky, Metal Thumb Splint For Dislocation Understanding the pathophysiology of thumb cmc joint dislocations is important in determining appropriate management. You have dislocated your thumb, meaning that your thumb came out of its normal position. Your doctor probably put the thumb back in its. Check out these dislocated thumb treatments to help reduce pain & rehab your injured thumb. Diagnosis is clinical and can be confirmed. Thumb Splint For Dislocation.
From www.gosupps.com
BraceAbility Hard Plastic Thumb Splint for Arthritis Treatment Medium Thumb Splint For Dislocation Understanding the pathophysiology of thumb cmc joint dislocations is important in determining appropriate management. Your doctor probably put the thumb back in its. Thumb cmc dislocations are rare injuries that occur due to axial force on a flexed thumb. List includes best home remedies & exercise suggestions from pts. Check out these dislocated thumb treatments to help reduce pain &. Thumb Splint For Dislocation.
From www.ebay.co.uk
Talarmade Cool Comfort Neoprene Thumb Spica Restriction Arthritis Brace Thumb Splint For Dislocation Check out these dislocated thumb treatments to help reduce pain & rehab your injured thumb. If a stener lesion is suspected, immobilize the injury in a short arm thumb spica splint, and consult an orthopedist with the goal of scheduling surgical repair of the ucl within 10. For more severe sprains or tears of the ligament, surgery may be needed. Thumb Splint For Dislocation.
From www.gosupps.com
Comfort Cool Thumb CMC Restriction Splint. Beige Patented Thumb Brace Thumb Splint For Dislocation Thumb cmc dislocations are rare injuries that occur due to axial force on a flexed thumb. Understanding the pathophysiology of thumb cmc joint dislocations is important in determining appropriate management. Diagnosis is clinical and can be confirmed by orthogonal radiographs. Check out these dislocated thumb treatments to help reduce pain & rehab your injured thumb. You have dislocated your thumb,. Thumb Splint For Dislocation.
From orthoticsplus.com.au
Thumb Splints Orthotics Plus Melbourne Thumb Splint For Dislocation Your doctor probably put the thumb back in its. For more severe sprains or tears of the ligament, surgery may be needed to restore stability to the joint. Check out these dislocated thumb treatments to help reduce pain & rehab your injured thumb. Treatment for a sprained thumb usually involves wearing a splint or cast to keep the thumb from. Thumb Splint For Dislocation.
From mckiesplints.com
Arthritis Adult Thumb Splint McKie Splints Thumb Splint For Dislocation List includes best home remedies & exercise suggestions from pts. Phalanx dislocations are common traumatic injury of the hand involving the proximal interphalangeal joint (pip) or distal interphalangeal joint. Check out these dislocated thumb treatments to help reduce pain & rehab your injured thumb. Your doctor probably put the thumb back in its. Thumb cmc dislocations are rare injuries that. Thumb Splint For Dislocation.
From www.walmart.com
LYUMO Thumb Stabilizer Splint, Flexible Nursing Thumb Fracture Fixation Thumb Splint For Dislocation If a stener lesion is suspected, immobilize the injury in a short arm thumb spica splint, and consult an orthopedist with the goal of scheduling surgical repair of the ucl within 10. Understanding the pathophysiology of thumb cmc joint dislocations is important in determining appropriate management. Your doctor probably put the thumb back in its. Check out these dislocated thumb. Thumb Splint For Dislocation.
From www.clinicaladvisor.com
OrthoDx Thumb Dislocation in Child Clinical Advisor Thumb Splint For Dislocation Check out these dislocated thumb treatments to help reduce pain & rehab your injured thumb. Thumb cmc dislocations are rare injuries that occur due to axial force on a flexed thumb. If a stener lesion is suspected, immobilize the injury in a short arm thumb spica splint, and consult an orthopedist with the goal of scheduling surgical repair of the. Thumb Splint For Dislocation.
From www.walmart.com
Thumb Thumb Holders Finger Splint FBA Nursing Thumb Fracture Fixation Thumb Splint For Dislocation Thumb cmc dislocations are rare injuries that occur due to axial force on a flexed thumb. If a stener lesion is suspected, immobilize the injury in a short arm thumb spica splint, and consult an orthopedist with the goal of scheduling surgical repair of the ucl within 10. Your doctor probably put the thumb back in its. Check out these. Thumb Splint For Dislocation.
From www.walmart.com
Thumb Brace Splint Plastic Protector Support Adjustable Immobilizer for Thumb Splint For Dislocation Thumb cmc dislocations are rare injuries that occur due to axial force on a flexed thumb. If a stener lesion is suspected, immobilize the injury in a short arm thumb spica splint, and consult an orthopedist with the goal of scheduling surgical repair of the ucl within 10. Check out these dislocated thumb treatments to help reduce pain & rehab. Thumb Splint For Dislocation.
From www.pricepulse.app
Comfort Cool Thumb CMC Restriction Splint. Patented Thumb Brace Thumb Splint For Dislocation Phalanx dislocations are common traumatic injury of the hand involving the proximal interphalangeal joint (pip) or distal interphalangeal joint. Understanding the pathophysiology of thumb cmc joint dislocations is important in determining appropriate management. List includes best home remedies & exercise suggestions from pts. You have dislocated your thumb, meaning that your thumb came out of its normal position. Diagnosis is. Thumb Splint For Dislocation.
From www.benecaredirect.com
CMC Thumb Splint Thumb CMC Joint BeneCare Direct Online UK Shop Thumb Splint For Dislocation List includes best home remedies & exercise suggestions from pts. For more severe sprains or tears of the ligament, surgery may be needed to restore stability to the joint. Diagnosis is clinical and can be confirmed by orthogonal radiographs. Understanding the pathophysiology of thumb cmc joint dislocations is important in determining appropriate management. Your doctor probably put the thumb back. Thumb Splint For Dislocation.
From www.vivehealth.com
Dislocated Thumb The Complete Injury Guide Vive Health Thumb Splint For Dislocation Treatment for a sprained thumb usually involves wearing a splint or cast to keep the thumb from moving while the ligament heals. List includes best home remedies & exercise suggestions from pts. You have dislocated your thumb, meaning that your thumb came out of its normal position. Diagnosis is clinical and can be confirmed by orthogonal radiographs. If a stener. Thumb Splint For Dislocation.