Stress Fracture In Athletes . Stress fractures can affect every sporty person, from weekend athletes to top athletes. Revised and expanded second edition covering the presentation, diagnosis and management of stress fractures in athletes using a holistic approach. Around 0.8% of high school athletes sustained a stress fracture [2]. According to changstrom et al., sf rate is 1.54 per 100,000. Stress fractures of the foot and ankle are common injuries in athletes. Stress fractures in sport are becoming increasing more common, comprising up to 10% of all of sporting injuries. Repetitive loading of the foot and ankle in athletes should result in physiologic bone remodeling in accordance with wolff’s law. Stress fractures are common in. Athletes who play sports that put a lot of stress on their lower bodies are more likely to develop stress fractures, including: Bone stress injuries (bsi) encompass a spectrum characterized by an imbalance in bone tissue caused by repetitive. A stress fracture is a partial or complete bone fracture that results from repeated application of stress lower than the stress required to fracture. Management differs considerably based on fracture location and predisposing factors.
from www.researchgate.net
Stress fractures can affect every sporty person, from weekend athletes to top athletes. Management differs considerably based on fracture location and predisposing factors. Repetitive loading of the foot and ankle in athletes should result in physiologic bone remodeling in accordance with wolff’s law. Stress fractures of the foot and ankle are common injuries in athletes. Bone stress injuries (bsi) encompass a spectrum characterized by an imbalance in bone tissue caused by repetitive. A stress fracture is a partial or complete bone fracture that results from repeated application of stress lower than the stress required to fracture. Around 0.8% of high school athletes sustained a stress fracture [2]. Athletes who play sports that put a lot of stress on their lower bodies are more likely to develop stress fractures, including: Stress fractures in sport are becoming increasing more common, comprising up to 10% of all of sporting injuries. According to changstrom et al., sf rate is 1.54 per 100,000.
(PDF) First Rib Stress Fracture in Overhead Throwing Athletes
Stress Fracture In Athletes Stress fractures in sport are becoming increasing more common, comprising up to 10% of all of sporting injuries. A stress fracture is a partial or complete bone fracture that results from repeated application of stress lower than the stress required to fracture. Management differs considerably based on fracture location and predisposing factors. Revised and expanded second edition covering the presentation, diagnosis and management of stress fractures in athletes using a holistic approach. Stress fractures are common in. Athletes who play sports that put a lot of stress on their lower bodies are more likely to develop stress fractures, including: According to changstrom et al., sf rate is 1.54 per 100,000. Repetitive loading of the foot and ankle in athletes should result in physiologic bone remodeling in accordance with wolff’s law. Bone stress injuries (bsi) encompass a spectrum characterized by an imbalance in bone tissue caused by repetitive. Around 0.8% of high school athletes sustained a stress fracture [2]. Stress fractures of the foot and ankle are common injuries in athletes. Stress fractures can affect every sporty person, from weekend athletes to top athletes. Stress fractures in sport are becoming increasing more common, comprising up to 10% of all of sporting injuries.
From www.naturalathleteclinic.com
Stress Fractures and Bone Health in Athletes The Natural Athletes Clinic Stress Fracture In Athletes Stress fractures in sport are becoming increasing more common, comprising up to 10% of all of sporting injuries. Stress fractures can affect every sporty person, from weekend athletes to top athletes. A stress fracture is a partial or complete bone fracture that results from repeated application of stress lower than the stress required to fracture. Around 0.8% of high school. Stress Fracture In Athletes.
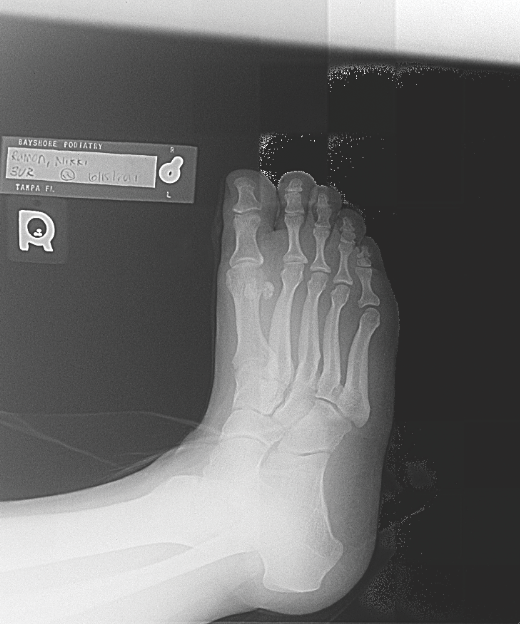
From kineticlabs.ca
The Complete Guide to a Bone Stress Fracture Labs Stress Fracture In Athletes Around 0.8% of high school athletes sustained a stress fracture [2]. Management differs considerably based on fracture location and predisposing factors. A stress fracture is a partial or complete bone fracture that results from repeated application of stress lower than the stress required to fracture. Revised and expanded second edition covering the presentation, diagnosis and management of stress fractures in. Stress Fracture In Athletes.
From www.researchgate.net
(PDF) First Rib Stress Fracture in Overhead Throwing Athletes Stress Fracture In Athletes Athletes who play sports that put a lot of stress on their lower bodies are more likely to develop stress fractures, including: Bone stress injuries (bsi) encompass a spectrum characterized by an imbalance in bone tissue caused by repetitive. Stress fractures of the foot and ankle are common injuries in athletes. Around 0.8% of high school athletes sustained a stress. Stress Fracture In Athletes.
From www.thomasharrismd.com
Stress Fractures Los Angeles Hairline Fracture Fissure Fracture La Stress Fracture In Athletes Stress fractures in sport are becoming increasing more common, comprising up to 10% of all of sporting injuries. Stress fractures can affect every sporty person, from weekend athletes to top athletes. Athletes who play sports that put a lot of stress on their lower bodies are more likely to develop stress fractures, including: Around 0.8% of high school athletes sustained. Stress Fracture In Athletes.
From www.docontherun.com
Running with a Suspected Stress Fracture Do's and Don'ts DOC Stress Fracture In Athletes According to changstrom et al., sf rate is 1.54 per 100,000. Stress fractures are common in. Revised and expanded second edition covering the presentation, diagnosis and management of stress fractures in athletes using a holistic approach. Bone stress injuries (bsi) encompass a spectrum characterized by an imbalance in bone tissue caused by repetitive. Stress fractures can affect every sporty person,. Stress Fracture In Athletes.
From www.youtube.com
Stress Fractures in the toes from running YouTube Stress Fracture In Athletes According to changstrom et al., sf rate is 1.54 per 100,000. Stress fractures are common in. A stress fracture is a partial or complete bone fracture that results from repeated application of stress lower than the stress required to fracture. Stress fractures in sport are becoming increasing more common, comprising up to 10% of all of sporting injuries. Athletes who. Stress Fracture In Athletes.
From www.sportsmedtoday.com
STRESS FRACTURE Sports Medicine Today Stress Fracture In Athletes Stress fractures are common in. A stress fracture is a partial or complete bone fracture that results from repeated application of stress lower than the stress required to fracture. According to changstrom et al., sf rate is 1.54 per 100,000. Revised and expanded second edition covering the presentation, diagnosis and management of stress fractures in athletes using a holistic approach.. Stress Fracture In Athletes.
From www.lboro.ac.uk
How stress affects the body and how practice can help athletes react Stress Fracture In Athletes Repetitive loading of the foot and ankle in athletes should result in physiologic bone remodeling in accordance with wolff’s law. Athletes who play sports that put a lot of stress on their lower bodies are more likely to develop stress fractures, including: Stress fractures in sport are becoming increasing more common, comprising up to 10% of all of sporting injuries.. Stress Fracture In Athletes.
From www.bajeczneobrazy.pl
Stress fracture and skeletal bone injury after physical overuse outline Stress Fracture In Athletes Stress fractures of the foot and ankle are common injuries in athletes. Around 0.8% of high school athletes sustained a stress fracture [2]. A stress fracture is a partial or complete bone fracture that results from repeated application of stress lower than the stress required to fracture. Stress fractures can affect every sporty person, from weekend athletes to top athletes.. Stress Fracture In Athletes.
From www.pinterest.com
Stress Fractures Stress fracture, Stress fracture shin, Stress Stress Fracture In Athletes Stress fractures are common in. Stress fractures can affect every sporty person, from weekend athletes to top athletes. Bone stress injuries (bsi) encompass a spectrum characterized by an imbalance in bone tissue caused by repetitive. Athletes who play sports that put a lot of stress on their lower bodies are more likely to develop stress fractures, including: Repetitive loading of. Stress Fracture In Athletes.
From www.pinterest.com
Stress fractures of the foot, let's discuss the facts... Stress Stress Fracture In Athletes Stress fractures are common in. A stress fracture is a partial or complete bone fracture that results from repeated application of stress lower than the stress required to fracture. Bone stress injuries (bsi) encompass a spectrum characterized by an imbalance in bone tissue caused by repetitive. Revised and expanded second edition covering the presentation, diagnosis and management of stress fractures. Stress Fracture In Athletes.
From sprainsstrainsandfractures.com
Stress Fracture Sprains Strains and Fractures Stress Fracture In Athletes Revised and expanded second edition covering the presentation, diagnosis and management of stress fractures in athletes using a holistic approach. Bone stress injuries (bsi) encompass a spectrum characterized by an imbalance in bone tissue caused by repetitive. Around 0.8% of high school athletes sustained a stress fracture [2]. Stress fractures of the foot and ankle are common injuries in athletes.. Stress Fracture In Athletes.
From www.jfas.org
Navicular Stress Fracture in Athletes Analysis of 62 Injuries Stress Fracture In Athletes Stress fractures are common in. A stress fracture is a partial or complete bone fracture that results from repeated application of stress lower than the stress required to fracture. Revised and expanded second edition covering the presentation, diagnosis and management of stress fractures in athletes using a holistic approach. According to changstrom et al., sf rate is 1.54 per 100,000.. Stress Fracture In Athletes.
From www.thehansindia.com
Genes influence stress fracture injuries Stress Fracture In Athletes Revised and expanded second edition covering the presentation, diagnosis and management of stress fractures in athletes using a holistic approach. Athletes who play sports that put a lot of stress on their lower bodies are more likely to develop stress fractures, including: Stress fractures of the foot and ankle are common injuries in athletes. According to changstrom et al., sf. Stress Fracture In Athletes.
From www.wjgnet.com
Analysis of stress fractures in athletes based on our clinical experience Stress Fracture In Athletes Revised and expanded second edition covering the presentation, diagnosis and management of stress fractures in athletes using a holistic approach. According to changstrom et al., sf rate is 1.54 per 100,000. Stress fractures in sport are becoming increasing more common, comprising up to 10% of all of sporting injuries. Management differs considerably based on fracture location and predisposing factors. Stress. Stress Fracture In Athletes.
From healthjade.net
Stress Fracture Foot & Shin Causes, Symptoms, Prevention & Treatment Stress Fracture In Athletes Athletes who play sports that put a lot of stress on their lower bodies are more likely to develop stress fractures, including: Stress fractures in sport are becoming increasing more common, comprising up to 10% of all of sporting injuries. Management differs considerably based on fracture location and predisposing factors. Stress fractures of the foot and ankle are common injuries. Stress Fracture In Athletes.
From www.researchgate.net
(PDF) Stress Fracture in NonAthletes A Systematic Review Stress Fracture In Athletes Stress fractures are common in. Stress fractures can affect every sporty person, from weekend athletes to top athletes. Bone stress injuries (bsi) encompass a spectrum characterized by an imbalance in bone tissue caused by repetitive. Revised and expanded second edition covering the presentation, diagnosis and management of stress fractures in athletes using a holistic approach. Stress fractures of the foot. Stress Fracture In Athletes.
From www.drelton.com
What Causes Pain on Top of the Foot and Can We Ease It? Here Are 3 Stress Fracture In Athletes According to changstrom et al., sf rate is 1.54 per 100,000. Stress fractures in sport are becoming increasing more common, comprising up to 10% of all of sporting injuries. A stress fracture is a partial or complete bone fracture that results from repeated application of stress lower than the stress required to fracture. Revised and expanded second edition covering the. Stress Fracture In Athletes.
From onlinelibrary.wiley.com
Stress fractures in older athletes a case report and literature review Stress Fracture In Athletes Repetitive loading of the foot and ankle in athletes should result in physiologic bone remodeling in accordance with wolff’s law. Stress fractures in sport are becoming increasing more common, comprising up to 10% of all of sporting injuries. Revised and expanded second edition covering the presentation, diagnosis and management of stress fractures in athletes using a holistic approach. Athletes who. Stress Fracture In Athletes.
From hughston.com
Stress Fractures in Adolescent Athletes Hughston Clinic Stress Fracture In Athletes According to changstrom et al., sf rate is 1.54 per 100,000. A stress fracture is a partial or complete bone fracture that results from repeated application of stress lower than the stress required to fracture. Management differs considerably based on fracture location and predisposing factors. Stress fractures in sport are becoming increasing more common, comprising up to 10% of all. Stress Fracture In Athletes.
From www.skillofstrength.com
Why Are Lower Back Stress Fractures Common in Young Athletes? Stress Fracture In Athletes Stress fractures of the foot and ankle are common injuries in athletes. Stress fractures in sport are becoming increasing more common, comprising up to 10% of all of sporting injuries. Management differs considerably based on fracture location and predisposing factors. Around 0.8% of high school athletes sustained a stress fracture [2]. Bone stress injuries (bsi) encompass a spectrum characterized by. Stress Fracture In Athletes.
From www.highmountainortho.com
Why Are Stress Fractures So Common In Athletes? High Mountain Orthopedics Stress Fracture In Athletes Bone stress injuries (bsi) encompass a spectrum characterized by an imbalance in bone tissue caused by repetitive. Stress fractures are common in. Athletes who play sports that put a lot of stress on their lower bodies are more likely to develop stress fractures, including: Management differs considerably based on fracture location and predisposing factors. According to changstrom et al., sf. Stress Fracture In Athletes.
From www.mygcphysio.com.au
How do you know if you have a bone stress facture? Sports Physio Stress Fracture In Athletes Stress fractures in sport are becoming increasing more common, comprising up to 10% of all of sporting injuries. Repetitive loading of the foot and ankle in athletes should result in physiologic bone remodeling in accordance with wolff’s law. A stress fracture is a partial or complete bone fracture that results from repeated application of stress lower than the stress required. Stress Fracture In Athletes.
From www.hmpgloballearningnetwork.com
Managing Stress Fractures In Athletes Stress Fracture In Athletes Revised and expanded second edition covering the presentation, diagnosis and management of stress fractures in athletes using a holistic approach. Stress fractures of the foot and ankle are common injuries in athletes. Athletes who play sports that put a lot of stress on their lower bodies are more likely to develop stress fractures, including: According to changstrom et al., sf. Stress Fracture In Athletes.
From www.orthopedic.theclinics.com
Tibial Stress Fractures in Athletes Orthopedic Clinics Stress Fracture In Athletes Around 0.8% of high school athletes sustained a stress fracture [2]. Stress fractures of the foot and ankle are common injuries in athletes. Athletes who play sports that put a lot of stress on their lower bodies are more likely to develop stress fractures, including: Bone stress injuries (bsi) encompass a spectrum characterized by an imbalance in bone tissue caused. Stress Fracture In Athletes.
From www.semanticscholar.org
Figure 1 from Recurrent Fracture After Anterior Tension Band Plating Stress Fracture In Athletes Revised and expanded second edition covering the presentation, diagnosis and management of stress fractures in athletes using a holistic approach. Stress fractures of the foot and ankle are common injuries in athletes. A stress fracture is a partial or complete bone fracture that results from repeated application of stress lower than the stress required to fracture. Management differs considerably based. Stress Fracture In Athletes.
From www.theinjurysource.com
Stress Fracture of the Spine (Spondylolysis) Stress Fracture In Athletes Revised and expanded second edition covering the presentation, diagnosis and management of stress fractures in athletes using a holistic approach. Bone stress injuries (bsi) encompass a spectrum characterized by an imbalance in bone tissue caused by repetitive. Stress fractures in sport are becoming increasing more common, comprising up to 10% of all of sporting injuries. A stress fracture is a. Stress Fracture In Athletes.
From www.hmpgloballearningnetwork.com
Managing Stress Fractures In Athletes Stress Fracture In Athletes Stress fractures can affect every sporty person, from weekend athletes to top athletes. Revised and expanded second edition covering the presentation, diagnosis and management of stress fractures in athletes using a holistic approach. Stress fractures of the foot and ankle are common injuries in athletes. Stress fractures in sport are becoming increasing more common, comprising up to 10% of all. Stress Fracture In Athletes.
From share.upmc.com
Stress Fractures Causes, Treatment, and Prevention UPMC HealthBeat Stress Fracture In Athletes Around 0.8% of high school athletes sustained a stress fracture [2]. Bone stress injuries (bsi) encompass a spectrum characterized by an imbalance in bone tissue caused by repetitive. Stress fractures are common in. Stress fractures in sport are becoming increasing more common, comprising up to 10% of all of sporting injuries. A stress fracture is a partial or complete bone. Stress Fracture In Athletes.
From pharmaceutical-journal.com
Advising patients on prevention and management of sporting injuries in Stress Fracture In Athletes Stress fractures are common in. Repetitive loading of the foot and ankle in athletes should result in physiologic bone remodeling in accordance with wolff’s law. Bone stress injuries (bsi) encompass a spectrum characterized by an imbalance in bone tissue caused by repetitive. According to changstrom et al., sf rate is 1.54 per 100,000. Athletes who play sports that put a. Stress Fracture In Athletes.
From mavink.com
Tibial Stress Fracture Stress Fracture In Athletes Revised and expanded second edition covering the presentation, diagnosis and management of stress fractures in athletes using a holistic approach. Stress fractures in sport are becoming increasing more common, comprising up to 10% of all of sporting injuries. Around 0.8% of high school athletes sustained a stress fracture [2]. A stress fracture is a partial or complete bone fracture that. Stress Fracture In Athletes.
From www.pinterest.com
Stress Fractures Stress fracture, Feet care, Stress Stress Fracture In Athletes Repetitive loading of the foot and ankle in athletes should result in physiologic bone remodeling in accordance with wolff’s law. Bone stress injuries (bsi) encompass a spectrum characterized by an imbalance in bone tissue caused by repetitive. According to changstrom et al., sf rate is 1.54 per 100,000. Around 0.8% of high school athletes sustained a stress fracture [2]. Stress. Stress Fracture In Athletes.
From sodelfootandankle.com
Stress Fracture Foot and Ankle Services in Delaware Stress Fracture In Athletes According to changstrom et al., sf rate is 1.54 per 100,000. Management differs considerably based on fracture location and predisposing factors. Stress fractures can affect every sporty person, from weekend athletes to top athletes. Repetitive loading of the foot and ankle in athletes should result in physiologic bone remodeling in accordance with wolff’s law. A stress fracture is a partial. Stress Fracture In Athletes.
From www.animalia-life.club
Stress Fracture X Ray Tibia Stress Fracture In Athletes Management differs considerably based on fracture location and predisposing factors. Around 0.8% of high school athletes sustained a stress fracture [2]. Stress fractures of the foot and ankle are common injuries in athletes. Stress fractures in sport are becoming increasing more common, comprising up to 10% of all of sporting injuries. According to changstrom et al., sf rate is 1.54. Stress Fracture In Athletes.
From www.researchgate.net
(PDF) Treatment of stress fracture of the olecranon in throwing Stress Fracture In Athletes Revised and expanded second edition covering the presentation, diagnosis and management of stress fractures in athletes using a holistic approach. Bone stress injuries (bsi) encompass a spectrum characterized by an imbalance in bone tissue caused by repetitive. Stress fractures of the foot and ankle are common injuries in athletes. Stress fractures in sport are becoming increasing more common, comprising up. Stress Fracture In Athletes.