Crown Has Sharp Edge . I had crowns put on my incisors (8 and 9). The marginal integrity of the crown. If the internal shape is off, then the crown won't seat the entire way onto the tooth and the margin of the crown won't be sealed. A dental crown should adjust into your bite. An improper fit might also affect your bite or smile. A crown encases a natural tooth offering it the protection it needs. Grab a mirror and do a quick crown check: The “draping” white stuff looks to me to be the cement he had used, that should be. Pain when you bite down usually means the crown is too high on the tooth. Common symptoms of bad fitting crowns. A tiny chip on the crown’s edge might not be a big deal, but it’s still wise to see your dentist. One of the successful criteria of the full coverage restoration like crown is the marginal. I can feel the back of the crowns with my tongue when it hits the roof of my mouth, which is. Go back to your dentist. Some of the typical reasons include the following:
from www.solihulldentalcentre.co.uk
Pain when you bite down usually means the crown is too high on the tooth. A crown encases a natural tooth offering it the protection it needs. The marginal integrity of the crown. I can feel the back of the crowns with my tongue when it hits the roof of my mouth, which is. Go back to your dentist. I had crowns put on my incisors (8 and 9). A dental crown should adjust into your bite. If the internal shape is off, then the crown won't seat the entire way onto the tooth and the margin of the crown won't be sealed. The “draping” white stuff looks to me to be the cement he had used, that should be. Grab a mirror and do a quick crown check:
Black Lines Around Base of Your Crown?
Crown Has Sharp Edge I had crowns put on my incisors (8 and 9). If the internal shape is off, then the crown won't seat the entire way onto the tooth and the margin of the crown won't be sealed. One of the successful criteria of the full coverage restoration like crown is the marginal. I can feel the back of the crowns with my tongue when it hits the roof of my mouth, which is. The “draping” white stuff looks to me to be the cement he had used, that should be. The marginal integrity of the crown. Pain when you bite down usually means the crown is too high on the tooth. A tiny chip on the crown’s edge might not be a big deal, but it’s still wise to see your dentist. Go back to your dentist. An improper fit might also affect your bite or smile. Grab a mirror and do a quick crown check: Some of the typical reasons include the following: I had crowns put on my incisors (8 and 9). Common symptoms of bad fitting crowns. A crown encases a natural tooth offering it the protection it needs. A dental crown should adjust into your bite.
From vjylku.blogspot.com
Subsurf on a crown. How can I smooth some edges and keep others sharp Crown Has Sharp Edge Go back to your dentist. Grab a mirror and do a quick crown check: I can feel the back of the crowns with my tongue when it hits the roof of my mouth, which is. If the internal shape is off, then the crown won't seat the entire way onto the tooth and the margin of the crown won't be. Crown Has Sharp Edge.
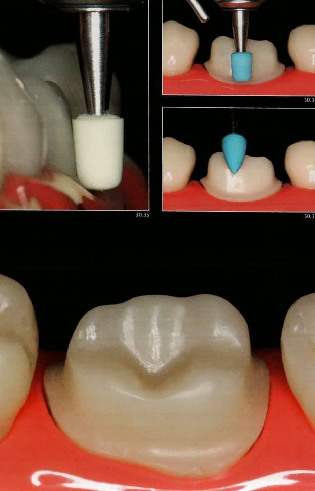
From dentistryandmedicine.blogspot.com
WatchPreparation for Full metal Crown Video Dentistry and Medicine Crown Has Sharp Edge Grab a mirror and do a quick crown check: A crown encases a natural tooth offering it the protection it needs. One of the successful criteria of the full coverage restoration like crown is the marginal. A dental crown should adjust into your bite. If the internal shape is off, then the crown won't seat the entire way onto the. Crown Has Sharp Edge.
From tlesacnemad.weebly.com
getting crown tooth procedure Crown Has Sharp Edge An improper fit might also affect your bite or smile. I can feel the back of the crowns with my tongue when it hits the roof of my mouth, which is. Go back to your dentist. I had crowns put on my incisors (8 and 9). The “draping” white stuff looks to me to be the cement he had used,. Crown Has Sharp Edge.
From www.pinterest.com
Have you ever wondered why some crowns appear to have dark lines around Crown Has Sharp Edge The “draping” white stuff looks to me to be the cement he had used, that should be. One of the successful criteria of the full coverage restoration like crown is the marginal. If the internal shape is off, then the crown won't seat the entire way onto the tooth and the margin of the crown won't be sealed. Some of. Crown Has Sharp Edge.
From www.hazard-signs.nz
Caution This Sign Has Sharp Edges Notice/Information Sign HAZARD Crown Has Sharp Edge Common symptoms of bad fitting crowns. One of the successful criteria of the full coverage restoration like crown is the marginal. The “draping” white stuff looks to me to be the cement he had used, that should be. Pain when you bite down usually means the crown is too high on the tooth. The marginal integrity of the crown. Go. Crown Has Sharp Edge.
From www.429-460.com
Taking the sharp edges off piston crowns Crown Has Sharp Edge Some of the typical reasons include the following: The marginal integrity of the crown. If the internal shape is off, then the crown won't seat the entire way onto the tooth and the margin of the crown won't be sealed. The “draping” white stuff looks to me to be the cement he had used, that should be. Pain when you. Crown Has Sharp Edge.
From www.alamy.com
Sharp edges plant hires stock photography and images Alamy Crown Has Sharp Edge A tiny chip on the crown’s edge might not be a big deal, but it’s still wise to see your dentist. One of the successful criteria of the full coverage restoration like crown is the marginal. An improper fit might also affect your bite or smile. The “draping” white stuff looks to me to be the cement he had used,. Crown Has Sharp Edge.
From www.dentistry33.com
CHAMFER VS FEATHER EDGE FOR A SINGLE ZIRCONIA CROWNS Dentistry33 Crown Has Sharp Edge Go back to your dentist. A tiny chip on the crown’s edge might not be a big deal, but it’s still wise to see your dentist. I can feel the back of the crowns with my tongue when it hits the roof of my mouth, which is. I had crowns put on my incisors (8 and 9). The marginal integrity. Crown Has Sharp Edge.
From www.ahsmiles.com
CuttingEdge Crowns with CEREC Dentist in Arlington Heights Crown Has Sharp Edge I had crowns put on my incisors (8 and 9). Some of the typical reasons include the following: The “draping” white stuff looks to me to be the cement he had used, that should be. Grab a mirror and do a quick crown check: A tiny chip on the crown’s edge might not be a big deal, but it’s still. Crown Has Sharp Edge.
From www.royalcaribbeanblog.com
Royal Caribbean's ropes coursestyle attraction on Icon of the Seas Crown Has Sharp Edge A tiny chip on the crown’s edge might not be a big deal, but it’s still wise to see your dentist. A dental crown should adjust into your bite. I can feel the back of the crowns with my tongue when it hits the roof of my mouth, which is. One of the successful criteria of the full coverage restoration. Crown Has Sharp Edge.
From www.gentlecaredentistry.org
Do Crowns Get Cavities? Gentle Care Dentistry Crown Has Sharp Edge I had crowns put on my incisors (8 and 9). One of the successful criteria of the full coverage restoration like crown is the marginal. The marginal integrity of the crown. Some of the typical reasons include the following: A tiny chip on the crown’s edge might not be a big deal, but it’s still wise to see your dentist.. Crown Has Sharp Edge.
From www.solihulldentalcentre.co.uk
Black Lines Around Base of Your Crown? Crown Has Sharp Edge Grab a mirror and do a quick crown check: A tiny chip on the crown’s edge might not be a big deal, but it’s still wise to see your dentist. A dental crown should adjust into your bite. One of the successful criteria of the full coverage restoration like crown is the marginal. If the internal shape is off, then. Crown Has Sharp Edge.
From www.aliexpress.com
Stuff Blue Crystal Bridal Big Crown Tiaras Prom Party Wedding Crown Has Sharp Edge An improper fit might also affect your bite or smile. Grab a mirror and do a quick crown check: Go back to your dentist. I can feel the back of the crowns with my tongue when it hits the roof of my mouth, which is. The marginal integrity of the crown. I had crowns put on my incisors (8 and. Crown Has Sharp Edge.
From www.thefabricator.com
Determining sharpness of sheet metal edges Crown Has Sharp Edge The marginal integrity of the crown. Pain when you bite down usually means the crown is too high on the tooth. Grab a mirror and do a quick crown check: Common symptoms of bad fitting crowns. I had crowns put on my incisors (8 and 9). A crown encases a natural tooth offering it the protection it needs. The “draping”. Crown Has Sharp Edge.
From www.tatler.com
Watch The Evolution of the British Royal Crown Jewels, Explained Tatler Crown Has Sharp Edge If the internal shape is off, then the crown won't seat the entire way onto the tooth and the margin of the crown won't be sealed. Grab a mirror and do a quick crown check: Common symptoms of bad fitting crowns. A crown encases a natural tooth offering it the protection it needs. One of the successful criteria of the. Crown Has Sharp Edge.
From www.logoengine.net
What Is The Process Of Having A Cap Or Crown Placed On Your Teeth Crown Has Sharp Edge I had crowns put on my incisors (8 and 9). Go back to your dentist. The “draping” white stuff looks to me to be the cement he had used, that should be. Pain when you bite down usually means the crown is too high on the tooth. Some of the typical reasons include the following: A crown encases a natural. Crown Has Sharp Edge.
From lakeforestdentalarts.com
Metal under crown is showing Causes, Alternative designs Crown Has Sharp Edge One of the successful criteria of the full coverage restoration like crown is the marginal. The marginal integrity of the crown. I had crowns put on my incisors (8 and 9). Pain when you bite down usually means the crown is too high on the tooth. Common symptoms of bad fitting crowns. A crown encases a natural tooth offering it. Crown Has Sharp Edge.
From www.dentalestheticszak.com
Posterior crown preparation Dental Esthetics Crown Has Sharp Edge Some of the typical reasons include the following: Common symptoms of bad fitting crowns. If the internal shape is off, then the crown won't seat the entire way onto the tooth and the margin of the crown won't be sealed. Go back to your dentist. An improper fit might also affect your bite or smile. I can feel the back. Crown Has Sharp Edge.
From www.dreamstime.com
King Crown Stock Vector Image 42751492 Crown Has Sharp Edge A dental crown should adjust into your bite. Grab a mirror and do a quick crown check: I had crowns put on my incisors (8 and 9). One of the successful criteria of the full coverage restoration like crown is the marginal. If the internal shape is off, then the crown won't seat the entire way onto the tooth and. Crown Has Sharp Edge.
From dentistry.co.uk
Incisal edge design on lithium disilicate crowns Dentistry Crown Has Sharp Edge Some of the typical reasons include the following: I had crowns put on my incisors (8 and 9). Pain when you bite down usually means the crown is too high on the tooth. The marginal integrity of the crown. Common symptoms of bad fitting crowns. The “draping” white stuff looks to me to be the cement he had used, that. Crown Has Sharp Edge.
From blyssdental.com
Types of Dental Crowns Insider Tips to Choose the Best One for You Crown Has Sharp Edge I can feel the back of the crowns with my tongue when it hits the roof of my mouth, which is. Some of the typical reasons include the following: The marginal integrity of the crown. Grab a mirror and do a quick crown check: An improper fit might also affect your bite or smile. The “draping” white stuff looks to. Crown Has Sharp Edge.
From stock.adobe.com
Set of two golden crowns for King and Queen with sharp edges in sample Crown Has Sharp Edge Common symptoms of bad fitting crowns. A crown encases a natural tooth offering it the protection it needs. The “draping” white stuff looks to me to be the cement he had used, that should be. One of the successful criteria of the full coverage restoration like crown is the marginal. A dental crown should adjust into your bite. Pain when. Crown Has Sharp Edge.
From braidc.com
Broken Teeth Beverly Restorative and Implant Dentistry Center Crown Has Sharp Edge If the internal shape is off, then the crown won't seat the entire way onto the tooth and the margin of the crown won't be sealed. Pain when you bite down usually means the crown is too high on the tooth. An improper fit might also affect your bite or smile. A crown encases a natural tooth offering it the. Crown Has Sharp Edge.
From www.youtube.com
Finish lines in Fixed Partial Denture/ Finish Lines in Tooth Crown Has Sharp Edge Pain when you bite down usually means the crown is too high on the tooth. Common symptoms of bad fitting crowns. Some of the typical reasons include the following: Grab a mirror and do a quick crown check: Go back to your dentist. The marginal integrity of the crown. One of the successful criteria of the full coverage restoration like. Crown Has Sharp Edge.
From www.vrogue.co
Types Of Dental Crowns And Cost A Complete Guide 2021 vrogue.co Crown Has Sharp Edge Pain when you bite down usually means the crown is too high on the tooth. Common symptoms of bad fitting crowns. I can feel the back of the crowns with my tongue when it hits the roof of my mouth, which is. Grab a mirror and do a quick crown check: A tiny chip on the crown’s edge might not. Crown Has Sharp Edge.
From www.pinterest.com
Shape of your teeth speak about your personality Dental cosmetics Crown Has Sharp Edge The marginal integrity of the crown. A dental crown should adjust into your bite. A tiny chip on the crown’s edge might not be a big deal, but it’s still wise to see your dentist. Pain when you bite down usually means the crown is too high on the tooth. Grab a mirror and do a quick crown check: An. Crown Has Sharp Edge.
From www.dentalestheticszak.com
Posterior crown preparation Dental Esthetics Crown Has Sharp Edge Common symptoms of bad fitting crowns. I can feel the back of the crowns with my tongue when it hits the roof of my mouth, which is. I had crowns put on my incisors (8 and 9). If the internal shape is off, then the crown won't seat the entire way onto the tooth and the margin of the crown. Crown Has Sharp Edge.
From www.discountsafetysignsaustralia.com.au
Sharp Edges Watch Your Fingers Buy Now Discount Safety Signs Australia Crown Has Sharp Edge A dental crown should adjust into your bite. I can feel the back of the crowns with my tongue when it hits the roof of my mouth, which is. Grab a mirror and do a quick crown check: A tiny chip on the crown’s edge might not be a big deal, but it’s still wise to see your dentist. An. Crown Has Sharp Edge.
From www.researchgate.net
Dental preparation for a full contour crown with a knife edge margin Crown Has Sharp Edge I had crowns put on my incisors (8 and 9). A dental crown should adjust into your bite. I can feel the back of the crowns with my tongue when it hits the roof of my mouth, which is. A tiny chip on the crown’s edge might not be a big deal, but it’s still wise to see your dentist.. Crown Has Sharp Edge.
From dentistry.co.uk
Incisal edge design on lithium disilicate crowns Dentistry Crown Has Sharp Edge A crown encases a natural tooth offering it the protection it needs. Grab a mirror and do a quick crown check: Common symptoms of bad fitting crowns. I can feel the back of the crowns with my tongue when it hits the roof of my mouth, which is. If the internal shape is off, then the crown won't seat the. Crown Has Sharp Edge.
From ksmiledentalcare.com
Dental Crowns Everything you need to know K Smile Dental Care Crown Has Sharp Edge A dental crown should adjust into your bite. Pain when you bite down usually means the crown is too high on the tooth. The “draping” white stuff looks to me to be the cement he had used, that should be. Some of the typical reasons include the following: A tiny chip on the crown’s edge might not be a big. Crown Has Sharp Edge.
From lakeforestdentalarts.com
Gum receding around crown Does dentistry cause recession? Crown Has Sharp Edge The marginal integrity of the crown. Some of the typical reasons include the following: An improper fit might also affect your bite or smile. One of the successful criteria of the full coverage restoration like crown is the marginal. If the internal shape is off, then the crown won't seat the entire way onto the tooth and the margin of. Crown Has Sharp Edge.
From www.pinterest.co.uk
"Base measures 6\" across, about 5\" tall This listing is for Antiqued Crown Has Sharp Edge A tiny chip on the crown’s edge might not be a big deal, but it’s still wise to see your dentist. If the internal shape is off, then the crown won't seat the entire way onto the tooth and the margin of the crown won't be sealed. The marginal integrity of the crown. Some of the typical reasons include the. Crown Has Sharp Edge.
From www.teethtalkgirl.com
Broken & Sharp Tooth How to Fix Fast, Repair Options & Cost Crown Has Sharp Edge Some of the typical reasons include the following: Go back to your dentist. The “draping” white stuff looks to me to be the cement he had used, that should be. If the internal shape is off, then the crown won't seat the entire way onto the tooth and the margin of the crown won't be sealed. A tiny chip on. Crown Has Sharp Edge.
From thewanderingwildflower.co.uk
Blencathra via Sharp Edge 5 Miles Crown Has Sharp Edge One of the successful criteria of the full coverage restoration like crown is the marginal. I can feel the back of the crowns with my tongue when it hits the roof of my mouth, which is. A crown encases a natural tooth offering it the protection it needs. Pain when you bite down usually means the crown is too high. Crown Has Sharp Edge.