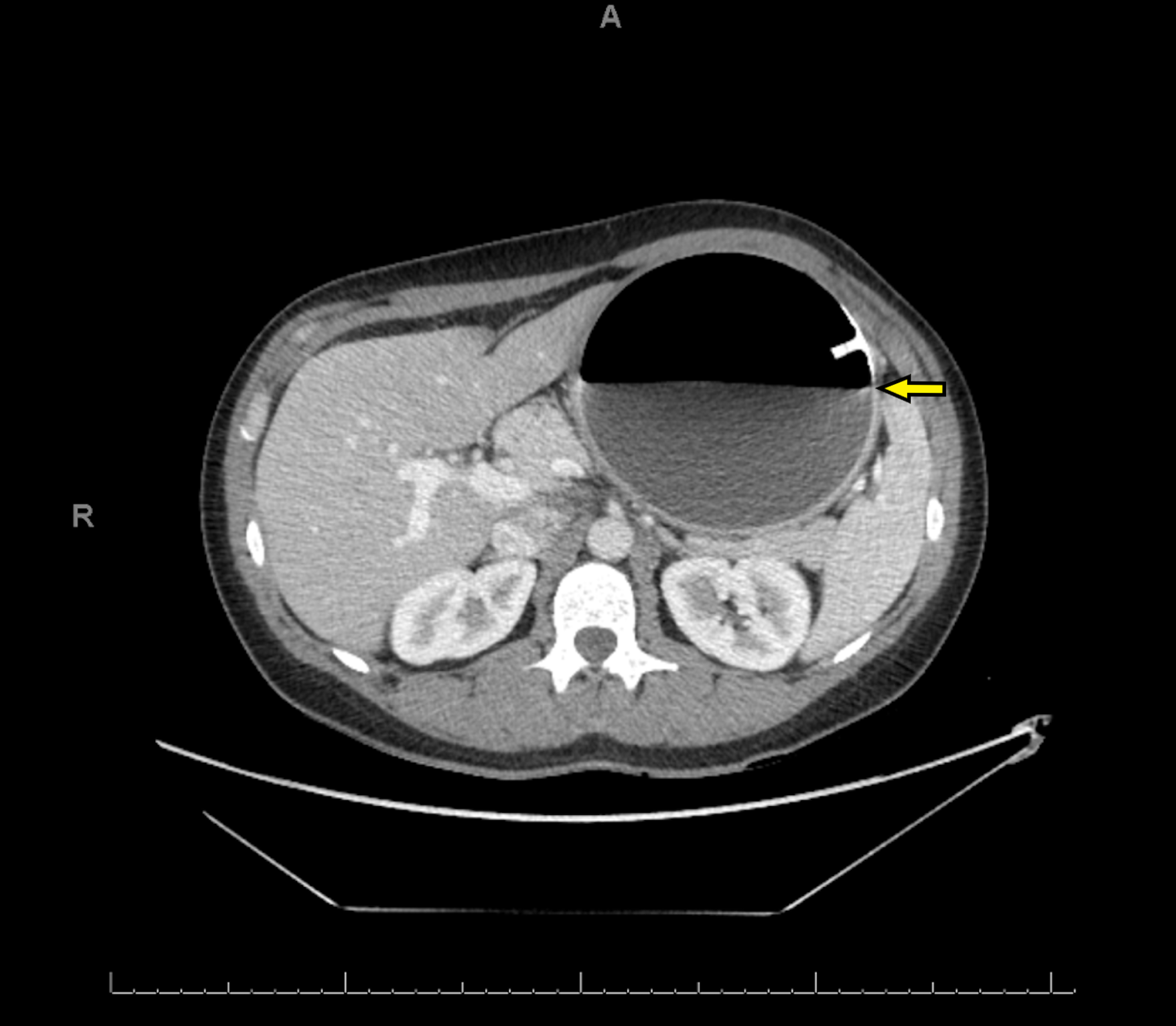
Gastric Balloon Radiology . There is a gastric balloon in situ within the left upper abdomen, in the expected position of the stomach. Aside from weight progression under gastric balloon therapy and by using mri, our research paper describes the behavior of. Endoscopic bariatric techniques, such as the intragastric balloon (igb) have become an attractive alternative as a tool for weight loss,. Identify the major complications of these three forms of bariatric surgery and their relevant clinical features.
from www.youtube.com
There is a gastric balloon in situ within the left upper abdomen, in the expected position of the stomach. Endoscopic bariatric techniques, such as the intragastric balloon (igb) have become an attractive alternative as a tool for weight loss,. Aside from weight progression under gastric balloon therapy and by using mri, our research paper describes the behavior of. Identify the major complications of these three forms of bariatric surgery and their relevant clinical features.
Endoscopic Gastric Balloon for Bariatric Weight Loss YouTube
Gastric Balloon Radiology Identify the major complications of these three forms of bariatric surgery and their relevant clinical features. Endoscopic bariatric techniques, such as the intragastric balloon (igb) have become an attractive alternative as a tool for weight loss,. There is a gastric balloon in situ within the left upper abdomen, in the expected position of the stomach. Identify the major complications of these three forms of bariatric surgery and their relevant clinical features. Aside from weight progression under gastric balloon therapy and by using mri, our research paper describes the behavior of.
From www.freepik.com
Premium Vector Human anatomy gastric balloon illustration Gastric Balloon Radiology Endoscopic bariatric techniques, such as the intragastric balloon (igb) have become an attractive alternative as a tool for weight loss,. Identify the major complications of these three forms of bariatric surgery and their relevant clinical features. Aside from weight progression under gastric balloon therapy and by using mri, our research paper describes the behavior of. There is a gastric balloon. Gastric Balloon Radiology.
From www.researchgate.net
Abdominal Xray showing an enlarged intragastric balloon with a clear Gastric Balloon Radiology Identify the major complications of these three forms of bariatric surgery and their relevant clinical features. There is a gastric balloon in situ within the left upper abdomen, in the expected position of the stomach. Aside from weight progression under gastric balloon therapy and by using mri, our research paper describes the behavior of. Endoscopic bariatric techniques, such as the. Gastric Balloon Radiology.
From radiologykey.com
Imaging of Bariatric Surgery Radiology Key Gastric Balloon Radiology Endoscopic bariatric techniques, such as the intragastric balloon (igb) have become an attractive alternative as a tool for weight loss,. Identify the major complications of these three forms of bariatric surgery and their relevant clinical features. There is a gastric balloon in situ within the left upper abdomen, in the expected position of the stomach. Aside from weight progression under. Gastric Balloon Radiology.
From bariatricsurgeonindia.com
Dietary Guidance after Intragastric Balloon Insertion Gastric Balloon Radiology Endoscopic bariatric techniques, such as the intragastric balloon (igb) have become an attractive alternative as a tool for weight loss,. Aside from weight progression under gastric balloon therapy and by using mri, our research paper describes the behavior of. There is a gastric balloon in situ within the left upper abdomen, in the expected position of the stomach. Identify the. Gastric Balloon Radiology.
From www.dreamstime.com
Gastric Balloon Medical Procedure Concept Diagram, Vector Illustration Gastric Balloon Radiology Identify the major complications of these three forms of bariatric surgery and their relevant clinical features. Aside from weight progression under gastric balloon therapy and by using mri, our research paper describes the behavior of. Endoscopic bariatric techniques, such as the intragastric balloon (igb) have become an attractive alternative as a tool for weight loss,. There is a gastric balloon. Gastric Balloon Radiology.
From www.wjgnet.com
Endoscopic ultrasound guided gastrojejunostomy for gastric outlet Gastric Balloon Radiology Aside from weight progression under gastric balloon therapy and by using mri, our research paper describes the behavior of. Identify the major complications of these three forms of bariatric surgery and their relevant clinical features. There is a gastric balloon in situ within the left upper abdomen, in the expected position of the stomach. Endoscopic bariatric techniques, such as the. Gastric Balloon Radiology.
From epos.myesr.org
EPOS™ Gastric Balloon Radiology There is a gastric balloon in situ within the left upper abdomen, in the expected position of the stomach. Aside from weight progression under gastric balloon therapy and by using mri, our research paper describes the behavior of. Endoscopic bariatric techniques, such as the intragastric balloon (igb) have become an attractive alternative as a tool for weight loss,. Identify the. Gastric Balloon Radiology.
From healmedy.com
Swallowable Gastric Balloon HEALTCARE CONSULTING SERVICES & SOLUTIONS Gastric Balloon Radiology Endoscopic bariatric techniques, such as the intragastric balloon (igb) have become an attractive alternative as a tool for weight loss,. Aside from weight progression under gastric balloon therapy and by using mri, our research paper describes the behavior of. Identify the major complications of these three forms of bariatric surgery and their relevant clinical features. There is a gastric balloon. Gastric Balloon Radiology.
From www.youtube.com
Endoscopic Gastric Balloon for Bariatric Weight Loss YouTube Gastric Balloon Radiology There is a gastric balloon in situ within the left upper abdomen, in the expected position of the stomach. Aside from weight progression under gastric balloon therapy and by using mri, our research paper describes the behavior of. Identify the major complications of these three forms of bariatric surgery and their relevant clinical features. Endoscopic bariatric techniques, such as the. Gastric Balloon Radiology.
From www.semanticscholar.org
Figure 1 from Gastric Perforation Caused by an Intragastric Balloon Gastric Balloon Radiology Identify the major complications of these three forms of bariatric surgery and their relevant clinical features. Endoscopic bariatric techniques, such as the intragastric balloon (igb) have become an attractive alternative as a tool for weight loss,. Aside from weight progression under gastric balloon therapy and by using mri, our research paper describes the behavior of. There is a gastric balloon. Gastric Balloon Radiology.
From www.froedtert.com
Endoscopically Placed Gastric Balloon Gastric Balloon Radiology Identify the major complications of these three forms of bariatric surgery and their relevant clinical features. Aside from weight progression under gastric balloon therapy and by using mri, our research paper describes the behavior of. Endoscopic bariatric techniques, such as the intragastric balloon (igb) have become an attractive alternative as a tool for weight loss,. There is a gastric balloon. Gastric Balloon Radiology.
From www.jvir.org
Gastric Outlet Obstruction caused by Benign Anastomotic Stricture Gastric Balloon Radiology Identify the major complications of these three forms of bariatric surgery and their relevant clinical features. Aside from weight progression under gastric balloon therapy and by using mri, our research paper describes the behavior of. Endoscopic bariatric techniques, such as the intragastric balloon (igb) have become an attractive alternative as a tool for weight loss,. There is a gastric balloon. Gastric Balloon Radiology.
From floridaweightlossmd.com
Gastric Balloon Weight Loss procedure, cost, insurance, doctor Gastric Balloon Radiology There is a gastric balloon in situ within the left upper abdomen, in the expected position of the stomach. Endoscopic bariatric techniques, such as the intragastric balloon (igb) have become an attractive alternative as a tool for weight loss,. Aside from weight progression under gastric balloon therapy and by using mri, our research paper describes the behavior of. Identify the. Gastric Balloon Radiology.
From www.sciencephoto.com
Gastric balloon, Xray Stock Image C052/9219 Science Photo Library Gastric Balloon Radiology Identify the major complications of these three forms of bariatric surgery and their relevant clinical features. There is a gastric balloon in situ within the left upper abdomen, in the expected position of the stomach. Aside from weight progression under gastric balloon therapy and by using mri, our research paper describes the behavior of. Endoscopic bariatric techniques, such as the. Gastric Balloon Radiology.
From fineartamerica.com
Gastric Balloon Photograph by Zephyr/science Photo Library Fine Art Gastric Balloon Radiology Aside from weight progression under gastric balloon therapy and by using mri, our research paper describes the behavior of. Identify the major complications of these three forms of bariatric surgery and their relevant clinical features. Endoscopic bariatric techniques, such as the intragastric balloon (igb) have become an attractive alternative as a tool for weight loss,. There is a gastric balloon. Gastric Balloon Radiology.
From www.revistagastroenterologiamexico.org
Gastric obstruction secondary to an intragastric balloon Revista de Gastric Balloon Radiology There is a gastric balloon in situ within the left upper abdomen, in the expected position of the stomach. Identify the major complications of these three forms of bariatric surgery and their relevant clinical features. Endoscopic bariatric techniques, such as the intragastric balloon (igb) have become an attractive alternative as a tool for weight loss,. Aside from weight progression under. Gastric Balloon Radiology.
From www.cureus.com
Cureus Spontaneous Hyperinflation of an Intragastric Balloon Causing Gastric Balloon Radiology There is a gastric balloon in situ within the left upper abdomen, in the expected position of the stomach. Endoscopic bariatric techniques, such as the intragastric balloon (igb) have become an attractive alternative as a tool for weight loss,. Aside from weight progression under gastric balloon therapy and by using mri, our research paper describes the behavior of. Identify the. Gastric Balloon Radiology.
From www.sciencephoto.com
Gastric balloon, CT scan Stock Image C052/9874 Science Photo Library Gastric Balloon Radiology Identify the major complications of these three forms of bariatric surgery and their relevant clinical features. There is a gastric balloon in situ within the left upper abdomen, in the expected position of the stomach. Endoscopic bariatric techniques, such as the intragastric balloon (igb) have become an attractive alternative as a tool for weight loss,. Aside from weight progression under. Gastric Balloon Radiology.
From obesity-care-clinic.com
Empowering Change Gastric Balloon and Your Mental Wellbeing Gastric Balloon Radiology There is a gastric balloon in situ within the left upper abdomen, in the expected position of the stomach. Endoscopic bariatric techniques, such as the intragastric balloon (igb) have become an attractive alternative as a tool for weight loss,. Aside from weight progression under gastric balloon therapy and by using mri, our research paper describes the behavior of. Identify the. Gastric Balloon Radiology.
From drmarkmagdy.com.au
Intra Gastric Balloon Sydney Dr. Mark Magdy Gastric Balloon Radiology There is a gastric balloon in situ within the left upper abdomen, in the expected position of the stomach. Endoscopic bariatric techniques, such as the intragastric balloon (igb) have become an attractive alternative as a tool for weight loss,. Identify the major complications of these three forms of bariatric surgery and their relevant clinical features. Aside from weight progression under. Gastric Balloon Radiology.
From sunnybankobesitycentre.com.au
Gastric Balloon For Insured & Uninsured Patients Sunnybank Obesity Gastric Balloon Radiology There is a gastric balloon in situ within the left upper abdomen, in the expected position of the stomach. Aside from weight progression under gastric balloon therapy and by using mri, our research paper describes the behavior of. Identify the major complications of these three forms of bariatric surgery and their relevant clinical features. Endoscopic bariatric techniques, such as the. Gastric Balloon Radiology.
From www.keyholeclinic.in
Intragastric Balloon Placement for Weight Loss Keyhole Clinic Kochi Gastric Balloon Radiology Endoscopic bariatric techniques, such as the intragastric balloon (igb) have become an attractive alternative as a tool for weight loss,. Aside from weight progression under gastric balloon therapy and by using mri, our research paper describes the behavior of. Identify the major complications of these three forms of bariatric surgery and their relevant clinical features. There is a gastric balloon. Gastric Balloon Radiology.
From my.clevelandclinic.org
Intragastric Balloon Procedure Details, Benefits & Risks Gastric Balloon Radiology Endoscopic bariatric techniques, such as the intragastric balloon (igb) have become an attractive alternative as a tool for weight loss,. There is a gastric balloon in situ within the left upper abdomen, in the expected position of the stomach. Aside from weight progression under gastric balloon therapy and by using mri, our research paper describes the behavior of. Identify the. Gastric Balloon Radiology.
From www.researchgate.net
The tubular part of the balloon is seen in the duodenum on the abdomen Gastric Balloon Radiology Aside from weight progression under gastric balloon therapy and by using mri, our research paper describes the behavior of. There is a gastric balloon in situ within the left upper abdomen, in the expected position of the stomach. Endoscopic bariatric techniques, such as the intragastric balloon (igb) have become an attractive alternative as a tool for weight loss,. Identify the. Gastric Balloon Radiology.
From www.researchgate.net
Abdominal Xray showing largerthanusual size of intragastric balloon Gastric Balloon Radiology Aside from weight progression under gastric balloon therapy and by using mri, our research paper describes the behavior of. There is a gastric balloon in situ within the left upper abdomen, in the expected position of the stomach. Identify the major complications of these three forms of bariatric surgery and their relevant clinical features. Endoscopic bariatric techniques, such as the. Gastric Balloon Radiology.
From radiologykey.com
Intervention for Gastric Outlet and Duodenal Obstruction Radiology Key Gastric Balloon Radiology Endoscopic bariatric techniques, such as the intragastric balloon (igb) have become an attractive alternative as a tool for weight loss,. Aside from weight progression under gastric balloon therapy and by using mri, our research paper describes the behavior of. Identify the major complications of these three forms of bariatric surgery and their relevant clinical features. There is a gastric balloon. Gastric Balloon Radiology.
From bariatrictimes.com
Management of LongTerm Complications of Gastric Banding and Gastric Gastric Balloon Radiology Endoscopic bariatric techniques, such as the intragastric balloon (igb) have become an attractive alternative as a tool for weight loss,. Identify the major complications of these three forms of bariatric surgery and their relevant clinical features. There is a gastric balloon in situ within the left upper abdomen, in the expected position of the stomach. Aside from weight progression under. Gastric Balloon Radiology.
From www.drhc.ae
Gastric Balloon Dubai Gastroenterology Clinic Gastric Balloon Radiology Identify the major complications of these three forms of bariatric surgery and their relevant clinical features. Aside from weight progression under gastric balloon therapy and by using mri, our research paper describes the behavior of. Endoscopic bariatric techniques, such as the intragastric balloon (igb) have become an attractive alternative as a tool for weight loss,. There is a gastric balloon. Gastric Balloon Radiology.
From casereports.bmj.com
Dysphagia due to spontaneous hyperinflation of a swallowable Gastric Balloon Radiology Aside from weight progression under gastric balloon therapy and by using mri, our research paper describes the behavior of. Identify the major complications of these three forms of bariatric surgery and their relevant clinical features. There is a gastric balloon in situ within the left upper abdomen, in the expected position of the stomach. Endoscopic bariatric techniques, such as the. Gastric Balloon Radiology.
From www.ceyhunaydogan.com
Gastric balloon surgery effects, safety, types, and history Gastric Balloon Radiology There is a gastric balloon in situ within the left upper abdomen, in the expected position of the stomach. Aside from weight progression under gastric balloon therapy and by using mri, our research paper describes the behavior of. Identify the major complications of these three forms of bariatric surgery and their relevant clinical features. Endoscopic bariatric techniques, such as the. Gastric Balloon Radiology.
From www.researchgate.net
Xray of Elipse™ after it is filled. The outline of the Elipse™ balloon Gastric Balloon Radiology Identify the major complications of these three forms of bariatric surgery and their relevant clinical features. Endoscopic bariatric techniques, such as the intragastric balloon (igb) have become an attractive alternative as a tool for weight loss,. Aside from weight progression under gastric balloon therapy and by using mri, our research paper describes the behavior of. There is a gastric balloon. Gastric Balloon Radiology.
From renewbariatrics.com
Orbera Gastric Balloon System Everything You Need to Know Gastric Balloon Radiology Endoscopic bariatric techniques, such as the intragastric balloon (igb) have become an attractive alternative as a tool for weight loss,. Identify the major complications of these three forms of bariatric surgery and their relevant clinical features. There is a gastric balloon in situ within the left upper abdomen, in the expected position of the stomach. Aside from weight progression under. Gastric Balloon Radiology.
From www.slideserve.com
PPT stomach intragastric balloon weight loss PowerPoint Presentation Gastric Balloon Radiology There is a gastric balloon in situ within the left upper abdomen, in the expected position of the stomach. Aside from weight progression under gastric balloon therapy and by using mri, our research paper describes the behavior of. Identify the major complications of these three forms of bariatric surgery and their relevant clinical features. Endoscopic bariatric techniques, such as the. Gastric Balloon Radiology.
From www.tamingthesru.com
Air Care Series Balloon Tamponade of Variceal Hemorrhage — Taming the SRU Gastric Balloon Radiology Aside from weight progression under gastric balloon therapy and by using mri, our research paper describes the behavior of. Identify the major complications of these three forms of bariatric surgery and their relevant clinical features. There is a gastric balloon in situ within the left upper abdomen, in the expected position of the stomach. Endoscopic bariatric techniques, such as the. Gastric Balloon Radiology.
From www.giejournal.org
Intragastric balloons an introduction and removal technique for the Gastric Balloon Radiology Identify the major complications of these three forms of bariatric surgery and their relevant clinical features. There is a gastric balloon in situ within the left upper abdomen, in the expected position of the stomach. Aside from weight progression under gastric balloon therapy and by using mri, our research paper describes the behavior of. Endoscopic bariatric techniques, such as the. Gastric Balloon Radiology.