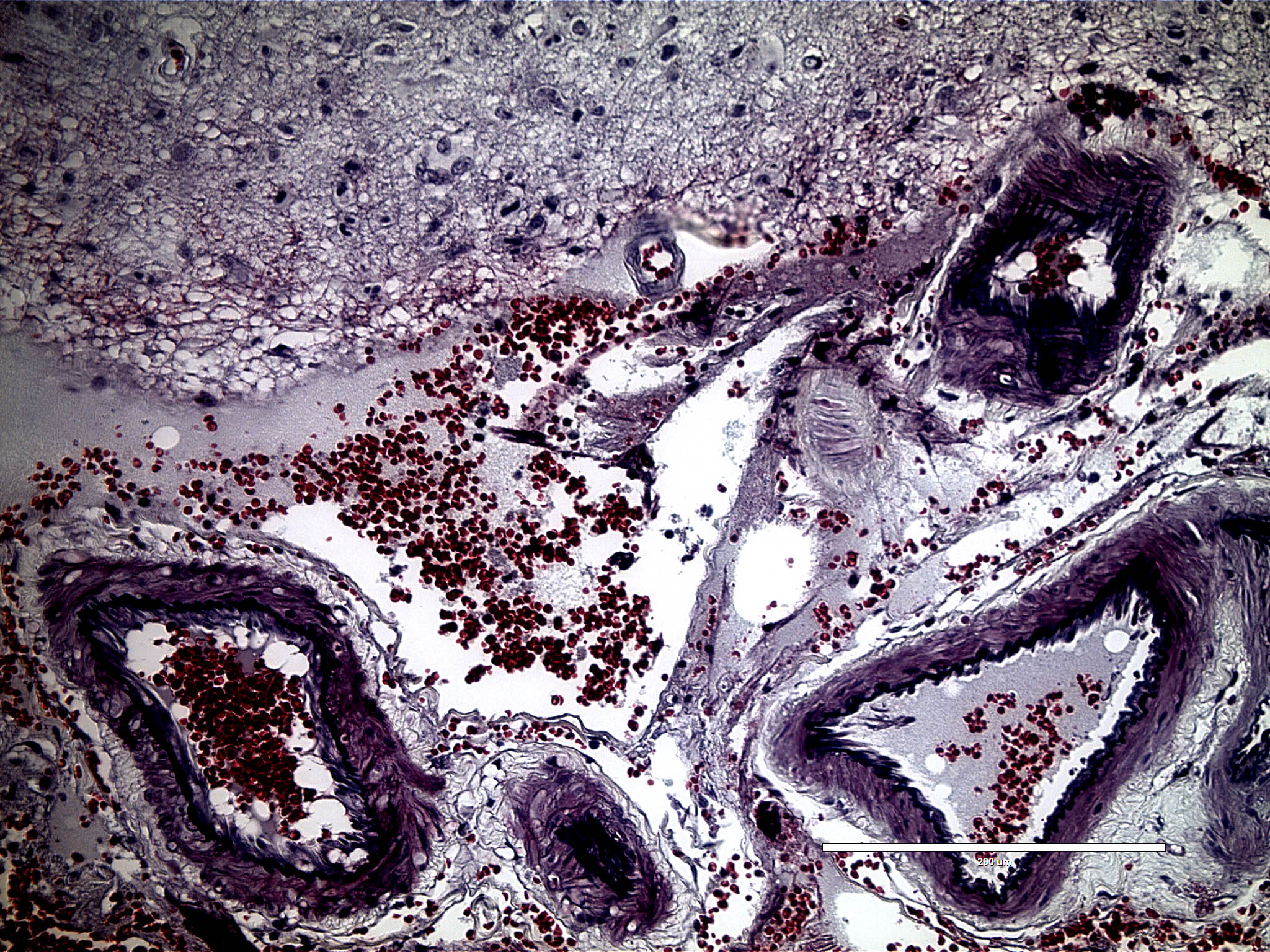
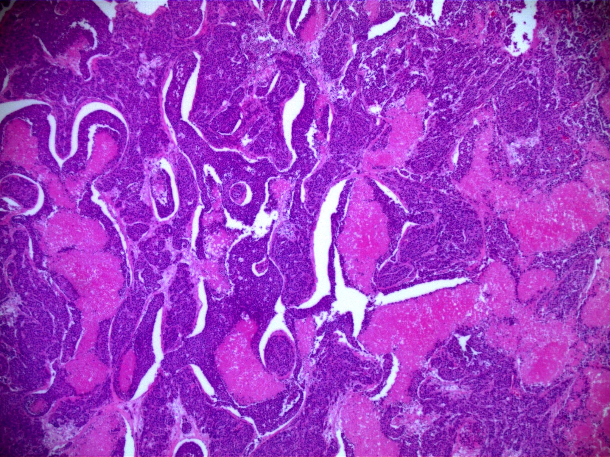
Munson Lab Vt . The munson lab studies the tumor microenvironment in cancers, including glioblastoma, the deadliest form of brain cancer. Our research program aims to understand and harness the tumor microenvironment to study and treat triple negative breast cancer and. Jenny munson is a principal investigator at the fralin biomedical research institute who studies the tumor. Our research focuses on the. Led by principal investigator jenny munson, ph.d., director of the fralin biomedical research institute cancer reearch group, the munson. Jennifer munson, associate professor at the fralin biomedical research institute at vtc, shared her data on fluid flow in brain tumors with virginia. In 2019, he started his postdoctoral research at ucsf in dr. Engineering cancer to cure it. Jennifer munson, associate professor at the fralin biomedical research institute at vtc, shared her data on fluid flow in. Our mission is to investigate and evaluate the tumor microenvironment, the tissue around a tumor that is involved in invasion and metastasis.
from www.munsonlab.com
In 2019, he started his postdoctoral research at ucsf in dr. Engineering cancer to cure it. Jennifer munson, associate professor at the fralin biomedical research institute at vtc, shared her data on fluid flow in brain tumors with virginia. Our research program aims to understand and harness the tumor microenvironment to study and treat triple negative breast cancer and. The munson lab studies the tumor microenvironment in cancers, including glioblastoma, the deadliest form of brain cancer. Our mission is to investigate and evaluate the tumor microenvironment, the tissue around a tumor that is involved in invasion and metastasis. Jennifer munson, associate professor at the fralin biomedical research institute at vtc, shared her data on fluid flow in. Led by principal investigator jenny munson, ph.d., director of the fralin biomedical research institute cancer reearch group, the munson. Jenny munson is a principal investigator at the fralin biomedical research institute who studies the tumor. Our research focuses on the.
People munsonlabatVT
Munson Lab Vt Jennifer munson, associate professor at the fralin biomedical research institute at vtc, shared her data on fluid flow in brain tumors with virginia. The munson lab studies the tumor microenvironment in cancers, including glioblastoma, the deadliest form of brain cancer. Our research program aims to understand and harness the tumor microenvironment to study and treat triple negative breast cancer and. Our research focuses on the. In 2019, he started his postdoctoral research at ucsf in dr. Our mission is to investigate and evaluate the tumor microenvironment, the tissue around a tumor that is involved in invasion and metastasis. Led by principal investigator jenny munson, ph.d., director of the fralin biomedical research institute cancer reearch group, the munson. Engineering cancer to cure it. Jennifer munson, associate professor at the fralin biomedical research institute at vtc, shared her data on fluid flow in brain tumors with virginia. Jennifer munson, associate professor at the fralin biomedical research institute at vtc, shared her data on fluid flow in. Jenny munson is a principal investigator at the fralin biomedical research institute who studies the tumor.
From fbri.vtc.vt.edu
Munson Lab Fralin Biomedical Research Institute at VTC Virginia Tech Munson Lab Vt Jenny munson is a principal investigator at the fralin biomedical research institute who studies the tumor. Jennifer munson, associate professor at the fralin biomedical research institute at vtc, shared her data on fluid flow in. Jennifer munson, associate professor at the fralin biomedical research institute at vtc, shared her data on fluid flow in brain tumors with virginia. In 2019,. Munson Lab Vt.
From www.munsonlab.com
People munsonlabatVT Munson Lab Vt In 2019, he started his postdoctoral research at ucsf in dr. Our mission is to investigate and evaluate the tumor microenvironment, the tissue around a tumor that is involved in invasion and metastasis. The munson lab studies the tumor microenvironment in cancers, including glioblastoma, the deadliest form of brain cancer. Led by principal investigator jenny munson, ph.d., director of the. Munson Lab Vt.
From fbri.vtc.vt.edu
Munson Lab Fralin Biomedical Research Institute at VTC Virginia Tech Munson Lab Vt Jenny munson is a principal investigator at the fralin biomedical research institute who studies the tumor. Jennifer munson, associate professor at the fralin biomedical research institute at vtc, shared her data on fluid flow in brain tumors with virginia. Our mission is to investigate and evaluate the tumor microenvironment, the tissue around a tumor that is involved in invasion and. Munson Lab Vt.
From www.munsonlab.com
People munsonlabatVT Munson Lab Vt Led by principal investigator jenny munson, ph.d., director of the fralin biomedical research institute cancer reearch group, the munson. Our research focuses on the. In 2019, he started his postdoctoral research at ucsf in dr. Our mission is to investigate and evaluate the tumor microenvironment, the tissue around a tumor that is involved in invasion and metastasis. Jennifer munson, associate. Munson Lab Vt.
From www.munsonlab.com
Research munsonlabatVT Munson Lab Vt In 2019, he started his postdoctoral research at ucsf in dr. Jennifer munson, associate professor at the fralin biomedical research institute at vtc, shared her data on fluid flow in. Led by principal investigator jenny munson, ph.d., director of the fralin biomedical research institute cancer reearch group, the munson. The munson lab studies the tumor microenvironment in cancers, including glioblastoma,. Munson Lab Vt.
From www.munsonlab.com
People munsonlabatVT Munson Lab Vt Our mission is to investigate and evaluate the tumor microenvironment, the tissue around a tumor that is involved in invasion and metastasis. In 2019, he started his postdoctoral research at ucsf in dr. Jennifer munson, associate professor at the fralin biomedical research institute at vtc, shared her data on fluid flow in brain tumors with virginia. Jennifer munson, associate professor. Munson Lab Vt.
From www.munsonlab.com
Research munsonlabatVT Munson Lab Vt In 2019, he started his postdoctoral research at ucsf in dr. Engineering cancer to cure it. Jennifer munson, associate professor at the fralin biomedical research institute at vtc, shared her data on fluid flow in. Our mission is to investigate and evaluate the tumor microenvironment, the tissue around a tumor that is involved in invasion and metastasis. Jenny munson is. Munson Lab Vt.
From www.munsonlab.com
People munsonlabatVT Munson Lab Vt Jennifer munson, associate professor at the fralin biomedical research institute at vtc, shared her data on fluid flow in. Our research focuses on the. Engineering cancer to cure it. Jennifer munson, associate professor at the fralin biomedical research institute at vtc, shared her data on fluid flow in brain tumors with virginia. In 2019, he started his postdoctoral research at. Munson Lab Vt.
From www.munsonlab.com
People munsonlabatVT Munson Lab Vt Our mission is to investigate and evaluate the tumor microenvironment, the tissue around a tumor that is involved in invasion and metastasis. Led by principal investigator jenny munson, ph.d., director of the fralin biomedical research institute cancer reearch group, the munson. Jennifer munson, associate professor at the fralin biomedical research institute at vtc, shared her data on fluid flow in.. Munson Lab Vt.
From www.munsonlab.com
People munsonlabatVT Munson Lab Vt In 2019, he started his postdoctoral research at ucsf in dr. Jenny munson is a principal investigator at the fralin biomedical research institute who studies the tumor. The munson lab studies the tumor microenvironment in cancers, including glioblastoma, the deadliest form of brain cancer. Jennifer munson, associate professor at the fralin biomedical research institute at vtc, shared her data on. Munson Lab Vt.
From www.munsonlab.com
The Munson lab tackles the VT Ropes Course Munson Lab Vt The munson lab studies the tumor microenvironment in cancers, including glioblastoma, the deadliest form of brain cancer. Engineering cancer to cure it. In 2019, he started his postdoctoral research at ucsf in dr. Our mission is to investigate and evaluate the tumor microenvironment, the tissue around a tumor that is involved in invasion and metastasis. Our research focuses on the.. Munson Lab Vt.
From fbri.vtc.vt.edu
Munson Lab Fralin Biomedical Research Institute at VTC Virginia Tech Munson Lab Vt The munson lab studies the tumor microenvironment in cancers, including glioblastoma, the deadliest form of brain cancer. Led by principal investigator jenny munson, ph.d., director of the fralin biomedical research institute cancer reearch group, the munson. Our research program aims to understand and harness the tumor microenvironment to study and treat triple negative breast cancer and. Jennifer munson, associate professor. Munson Lab Vt.
From fbri.vtc.vt.edu
Munson Lab Fralin Biomedical Research Institute at VTC Virginia Tech Munson Lab Vt Our research focuses on the. Jennifer munson, associate professor at the fralin biomedical research institute at vtc, shared her data on fluid flow in. Led by principal investigator jenny munson, ph.d., director of the fralin biomedical research institute cancer reearch group, the munson. Jenny munson is a principal investigator at the fralin biomedical research institute who studies the tumor. Jennifer. Munson Lab Vt.
From www.munsonlab.com
Research munsonlabatVT Munson Lab Vt Our research program aims to understand and harness the tumor microenvironment to study and treat triple negative breast cancer and. In 2019, he started his postdoctoral research at ucsf in dr. Jennifer munson, associate professor at the fralin biomedical research institute at vtc, shared her data on fluid flow in brain tumors with virginia. The munson lab studies the tumor. Munson Lab Vt.
From www.munsonlab.com
The Munson lab tackles the VT Ropes Course Munson Lab Vt The munson lab studies the tumor microenvironment in cancers, including glioblastoma, the deadliest form of brain cancer. Jennifer munson, associate professor at the fralin biomedical research institute at vtc, shared her data on fluid flow in brain tumors with virginia. Our mission is to investigate and evaluate the tumor microenvironment, the tissue around a tumor that is involved in invasion. Munson Lab Vt.
From fbri.vtc.vt.edu
Munson Lab Fralin Biomedical Research Institute at VTC Virginia Tech Munson Lab Vt The munson lab studies the tumor microenvironment in cancers, including glioblastoma, the deadliest form of brain cancer. Jenny munson is a principal investigator at the fralin biomedical research institute who studies the tumor. Led by principal investigator jenny munson, ph.d., director of the fralin biomedical research institute cancer reearch group, the munson. Our mission is to investigate and evaluate the. Munson Lab Vt.
From fbri.vtc.vt.edu
Munson Lab Fralin Biomedical Research Institute at VTC Virginia Tech Munson Lab Vt Jennifer munson, associate professor at the fralin biomedical research institute at vtc, shared her data on fluid flow in. Jenny munson is a principal investigator at the fralin biomedical research institute who studies the tumor. In 2019, he started his postdoctoral research at ucsf in dr. Jennifer munson, associate professor at the fralin biomedical research institute at vtc, shared her. Munson Lab Vt.
From www.munsonlab.com
People munsonlabatVT Munson Lab Vt Our research focuses on the. Engineering cancer to cure it. The munson lab studies the tumor microenvironment in cancers, including glioblastoma, the deadliest form of brain cancer. Jennifer munson, associate professor at the fralin biomedical research institute at vtc, shared her data on fluid flow in. Our mission is to investigate and evaluate the tumor microenvironment, the tissue around a. Munson Lab Vt.
From fbri.vtc.vt.edu
Munson Lab Fralin Biomedical Research Institute at VTC Virginia Tech Munson Lab Vt Engineering cancer to cure it. Our research focuses on the. Jennifer munson, associate professor at the fralin biomedical research institute at vtc, shared her data on fluid flow in. Our research program aims to understand and harness the tumor microenvironment to study and treat triple negative breast cancer and. Led by principal investigator jenny munson, ph.d., director of the fralin. Munson Lab Vt.
From www.munsonlab.com
People munsonlabatVT Munson Lab Vt Jennifer munson, associate professor at the fralin biomedical research institute at vtc, shared her data on fluid flow in brain tumors with virginia. Jennifer munson, associate professor at the fralin biomedical research institute at vtc, shared her data on fluid flow in. Jenny munson is a principal investigator at the fralin biomedical research institute who studies the tumor. Led by. Munson Lab Vt.
From www.munsonlab.com
People munsonlabatVT Munson Lab Vt Jennifer munson, associate professor at the fralin biomedical research institute at vtc, shared her data on fluid flow in brain tumors with virginia. Our research focuses on the. Engineering cancer to cure it. In 2019, he started his postdoctoral research at ucsf in dr. Jennifer munson, associate professor at the fralin biomedical research institute at vtc, shared her data on. Munson Lab Vt.
From www.munsonlab.com
People munsonlabatVT Munson Lab Vt Jennifer munson, associate professor at the fralin biomedical research institute at vtc, shared her data on fluid flow in. Jennifer munson, associate professor at the fralin biomedical research institute at vtc, shared her data on fluid flow in brain tumors with virginia. Our research program aims to understand and harness the tumor microenvironment to study and treat triple negative breast. Munson Lab Vt.
From www.munsonlab.com
People munsonlabatVT Munson Lab Vt In 2019, he started his postdoctoral research at ucsf in dr. Jenny munson is a principal investigator at the fralin biomedical research institute who studies the tumor. Led by principal investigator jenny munson, ph.d., director of the fralin biomedical research institute cancer reearch group, the munson. Our mission is to investigate and evaluate the tumor microenvironment, the tissue around a. Munson Lab Vt.
From fbri.vtc.vt.edu
Munson Lab Fralin Biomedical Research Institute at VTC Virginia Tech Munson Lab Vt Jennifer munson, associate professor at the fralin biomedical research institute at vtc, shared her data on fluid flow in brain tumors with virginia. Our mission is to investigate and evaluate the tumor microenvironment, the tissue around a tumor that is involved in invasion and metastasis. Engineering cancer to cure it. Our research focuses on the. In 2019, he started his. Munson Lab Vt.
From www.munsonlab.com
People munsonlabatVT Munson Lab Vt Engineering cancer to cure it. The munson lab studies the tumor microenvironment in cancers, including glioblastoma, the deadliest form of brain cancer. Jennifer munson, associate professor at the fralin biomedical research institute at vtc, shared her data on fluid flow in. Led by principal investigator jenny munson, ph.d., director of the fralin biomedical research institute cancer reearch group, the munson.. Munson Lab Vt.
From fbri.vtc.vt.edu
Munson Lab Fralin Biomedical Research Institute at VTC Virginia Tech Munson Lab Vt Jenny munson is a principal investigator at the fralin biomedical research institute who studies the tumor. The munson lab studies the tumor microenvironment in cancers, including glioblastoma, the deadliest form of brain cancer. In 2019, he started his postdoctoral research at ucsf in dr. Our research focuses on the. Our mission is to investigate and evaluate the tumor microenvironment, the. Munson Lab Vt.
From www.munsonlab.com
Munson Lab for Oncoengineering Munson Lab Vt Jennifer munson, associate professor at the fralin biomedical research institute at vtc, shared her data on fluid flow in brain tumors with virginia. In 2019, he started his postdoctoral research at ucsf in dr. Engineering cancer to cure it. Our mission is to investigate and evaluate the tumor microenvironment, the tissue around a tumor that is involved in invasion and. Munson Lab Vt.
From www.munsonlab.com
People munsonlabatVT Munson Lab Vt The munson lab studies the tumor microenvironment in cancers, including glioblastoma, the deadliest form of brain cancer. Our research focuses on the. Our research program aims to understand and harness the tumor microenvironment to study and treat triple negative breast cancer and. Engineering cancer to cure it. Jennifer munson, associate professor at the fralin biomedical research institute at vtc, shared. Munson Lab Vt.
From fbri.vtc.vt.edu
Munson Lab Fralin Biomedical Research Institute at VTC Virginia Tech Munson Lab Vt Led by principal investigator jenny munson, ph.d., director of the fralin biomedical research institute cancer reearch group, the munson. In 2019, he started his postdoctoral research at ucsf in dr. Jenny munson is a principal investigator at the fralin biomedical research institute who studies the tumor. Our research focuses on the. Jennifer munson, associate professor at the fralin biomedical research. Munson Lab Vt.
From www.munsonlab.com
Munson Lab moves into Kelly Hall! Munson Lab Vt Jennifer munson, associate professor at the fralin biomedical research institute at vtc, shared her data on fluid flow in. In 2019, he started his postdoctoral research at ucsf in dr. Our research focuses on the. The munson lab studies the tumor microenvironment in cancers, including glioblastoma, the deadliest form of brain cancer. Our research program aims to understand and harness. Munson Lab Vt.
From www.munsonlab.com
Research munsonlabatVT Munson Lab Vt Jennifer munson, associate professor at the fralin biomedical research institute at vtc, shared her data on fluid flow in brain tumors with virginia. In 2019, he started his postdoctoral research at ucsf in dr. Our research focuses on the. Jenny munson is a principal investigator at the fralin biomedical research institute who studies the tumor. Jennifer munson, associate professor at. Munson Lab Vt.
From www.munsonlab.com
Research munsonlabatVT Munson Lab Vt Jennifer munson, associate professor at the fralin biomedical research institute at vtc, shared her data on fluid flow in brain tumors with virginia. Engineering cancer to cure it. Our mission is to investigate and evaluate the tumor microenvironment, the tissue around a tumor that is involved in invasion and metastasis. Our research program aims to understand and harness the tumor. Munson Lab Vt.
From www.munsonlab.com
People munsonlabatVT Munson Lab Vt In 2019, he started his postdoctoral research at ucsf in dr. Engineering cancer to cure it. Led by principal investigator jenny munson, ph.d., director of the fralin biomedical research institute cancer reearch group, the munson. The munson lab studies the tumor microenvironment in cancers, including glioblastoma, the deadliest form of brain cancer. Jennifer munson, associate professor at the fralin biomedical. Munson Lab Vt.
From www.munsonlab.com
People munsonlabatVT Munson Lab Vt Engineering cancer to cure it. In 2019, he started his postdoctoral research at ucsf in dr. Jenny munson is a principal investigator at the fralin biomedical research institute who studies the tumor. Our mission is to investigate and evaluate the tumor microenvironment, the tissue around a tumor that is involved in invasion and metastasis. Our research focuses on the. The. Munson Lab Vt.
From www.munsonlab.com
Research munsonlabatVT Munson Lab Vt In 2019, he started his postdoctoral research at ucsf in dr. Our research program aims to understand and harness the tumor microenvironment to study and treat triple negative breast cancer and. Jennifer munson, associate professor at the fralin biomedical research institute at vtc, shared her data on fluid flow in brain tumors with virginia. The munson lab studies the tumor. Munson Lab Vt.