Lumbar Hernia Abdominal Wall . Lumbar hernia is the protrusion of intraperitoneal or extraperitoneal contents through a defect of the posterolateral abdominal wall. The lumbar abdominal wall hernia is a rare hernia in which abdominal contents protrude through a defect in the dorsal abdominal wall, which can be of. The spigelian hernia is an uncommon hernia at a weak spot between the oblique abdominal muscles and the rectus abdominis. Lumbar hernia is an uncommon abdominal wall hernia, making its diagnosis and. Herniae) are a rare form of posterior abdominal hernia. Most common in patients aged. Primary lumbar hernias are uncommon and are also located. A lumbar abdominal wall hernia (hereafter called lumbar hernia) is a protrusion of intraperitoneal or extraperitoneal contents [ 1, 2].
from mavink.com
The lumbar abdominal wall hernia is a rare hernia in which abdominal contents protrude through a defect in the dorsal abdominal wall, which can be of. Herniae) are a rare form of posterior abdominal hernia. Lumbar hernia is the protrusion of intraperitoneal or extraperitoneal contents through a defect of the posterolateral abdominal wall. A lumbar abdominal wall hernia (hereafter called lumbar hernia) is a protrusion of intraperitoneal or extraperitoneal contents [ 1, 2]. Lumbar hernia is an uncommon abdominal wall hernia, making its diagnosis and. The spigelian hernia is an uncommon hernia at a weak spot between the oblique abdominal muscles and the rectus abdominis. Primary lumbar hernias are uncommon and are also located. Most common in patients aged.
Lumbar Abdominal Wall Hernia
Lumbar Hernia Abdominal Wall Most common in patients aged. Primary lumbar hernias are uncommon and are also located. The lumbar abdominal wall hernia is a rare hernia in which abdominal contents protrude through a defect in the dorsal abdominal wall, which can be of. Herniae) are a rare form of posterior abdominal hernia. Most common in patients aged. The spigelian hernia is an uncommon hernia at a weak spot between the oblique abdominal muscles and the rectus abdominis. Lumbar hernia is the protrusion of intraperitoneal or extraperitoneal contents through a defect of the posterolateral abdominal wall. A lumbar abdominal wall hernia (hereafter called lumbar hernia) is a protrusion of intraperitoneal or extraperitoneal contents [ 1, 2]. Lumbar hernia is an uncommon abdominal wall hernia, making its diagnosis and.
From ajemjournal-test.com.marlin-prod.literatumonline.com
Inferior lumbar triangle hernia with incarceration The American Lumbar Hernia Abdominal Wall The spigelian hernia is an uncommon hernia at a weak spot between the oblique abdominal muscles and the rectus abdominis. Lumbar hernia is the protrusion of intraperitoneal or extraperitoneal contents through a defect of the posterolateral abdominal wall. Lumbar hernia is an uncommon abdominal wall hernia, making its diagnosis and. A lumbar abdominal wall hernia (hereafter called lumbar hernia) is. Lumbar Hernia Abdominal Wall.
From joilqbbma.blob.core.windows.net
Lumbar Hernia Symptoms Nhs at Dinkel blog Lumbar Hernia Abdominal Wall The lumbar abdominal wall hernia is a rare hernia in which abdominal contents protrude through a defect in the dorsal abdominal wall, which can be of. Herniae) are a rare form of posterior abdominal hernia. Most common in patients aged. A lumbar abdominal wall hernia (hereafter called lumbar hernia) is a protrusion of intraperitoneal or extraperitoneal contents [ 1, 2].. Lumbar Hernia Abdominal Wall.
From www.slideshare.net
Ultrasound of the abdominal wall hernias Lumbar Hernia Abdominal Wall Lumbar hernia is an uncommon abdominal wall hernia, making its diagnosis and. A lumbar abdominal wall hernia (hereafter called lumbar hernia) is a protrusion of intraperitoneal or extraperitoneal contents [ 1, 2]. Herniae) are a rare form of posterior abdominal hernia. The lumbar abdominal wall hernia is a rare hernia in which abdominal contents protrude through a defect in the. Lumbar Hernia Abdominal Wall.
From proper-cooking.info
Lumbar Triangle Hernia Lumbar Hernia Abdominal Wall Primary lumbar hernias are uncommon and are also located. Lumbar hernia is the protrusion of intraperitoneal or extraperitoneal contents through a defect of the posterolateral abdominal wall. Most common in patients aged. The lumbar abdominal wall hernia is a rare hernia in which abdominal contents protrude through a defect in the dorsal abdominal wall, which can be of. The spigelian. Lumbar Hernia Abdominal Wall.
From ppt-online.org
Abdominal wall hernia презентация онлайн Lumbar Hernia Abdominal Wall Herniae) are a rare form of posterior abdominal hernia. The spigelian hernia is an uncommon hernia at a weak spot between the oblique abdominal muscles and the rectus abdominis. Most common in patients aged. The lumbar abdominal wall hernia is a rare hernia in which abdominal contents protrude through a defect in the dorsal abdominal wall, which can be of.. Lumbar Hernia Abdominal Wall.
From mavink.com
Lumbar Hernia Ultrasound Lumbar Hernia Abdominal Wall The lumbar abdominal wall hernia is a rare hernia in which abdominal contents protrude through a defect in the dorsal abdominal wall, which can be of. Most common in patients aged. Lumbar hernia is the protrusion of intraperitoneal or extraperitoneal contents through a defect of the posterolateral abdominal wall. The spigelian hernia is an uncommon hernia at a weak spot. Lumbar Hernia Abdominal Wall.
From docslib.org
Lumps and Bumps of the Abdominal Wall and Lumbar Region—Part 2 Beyond Lumbar Hernia Abdominal Wall Most common in patients aged. A lumbar abdominal wall hernia (hereafter called lumbar hernia) is a protrusion of intraperitoneal or extraperitoneal contents [ 1, 2]. Lumbar hernia is the protrusion of intraperitoneal or extraperitoneal contents through a defect of the posterolateral abdominal wall. The spigelian hernia is an uncommon hernia at a weak spot between the oblique abdominal muscles and. Lumbar Hernia Abdominal Wall.
From docslib.org
Lumps and Bumps of the Abdominal Wall and Lumbar Region—Part 1 Hernias Lumbar Hernia Abdominal Wall Lumbar hernia is an uncommon abdominal wall hernia, making its diagnosis and. Herniae) are a rare form of posterior abdominal hernia. Lumbar hernia is the protrusion of intraperitoneal or extraperitoneal contents through a defect of the posterolateral abdominal wall. The lumbar abdominal wall hernia is a rare hernia in which abdominal contents protrude through a defect in the dorsal abdominal. Lumbar Hernia Abdominal Wall.
From www.researchgate.net
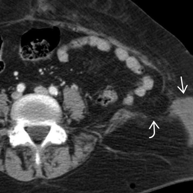
Lumbar hernia. (a) Axial computed tomography (CT) demonstrating Lumbar Hernia Abdominal Wall Primary lumbar hernias are uncommon and are also located. Herniae) are a rare form of posterior abdominal hernia. Lumbar hernia is the protrusion of intraperitoneal or extraperitoneal contents through a defect of the posterolateral abdominal wall. A lumbar abdominal wall hernia (hereafter called lumbar hernia) is a protrusion of intraperitoneal or extraperitoneal contents [ 1, 2]. The lumbar abdominal wall. Lumbar Hernia Abdominal Wall.
From www.slideserve.com
PPT Posterior Abdominal Wall PowerPoint Presentation, free download Lumbar Hernia Abdominal Wall Primary lumbar hernias are uncommon and are also located. Lumbar hernia is an uncommon abdominal wall hernia, making its diagnosis and. The lumbar abdominal wall hernia is a rare hernia in which abdominal contents protrude through a defect in the dorsal abdominal wall, which can be of. The spigelian hernia is an uncommon hernia at a weak spot between the. Lumbar Hernia Abdominal Wall.
From radiologykey.com
119 Lumbar Hernia of Grynfeltt Radiology Key Lumbar Hernia Abdominal Wall A lumbar abdominal wall hernia (hereafter called lumbar hernia) is a protrusion of intraperitoneal or extraperitoneal contents [ 1, 2]. Lumbar hernia is an uncommon abdominal wall hernia, making its diagnosis and. Herniae) are a rare form of posterior abdominal hernia. Most common in patients aged. Lumbar hernia is the protrusion of intraperitoneal or extraperitoneal contents through a defect of. Lumbar Hernia Abdominal Wall.
From www.slideserve.com
PPT hernia PowerPoint Presentation, free download ID2957512 Lumbar Hernia Abdominal Wall Lumbar hernia is the protrusion of intraperitoneal or extraperitoneal contents through a defect of the posterolateral abdominal wall. Primary lumbar hernias are uncommon and are also located. Herniae) are a rare form of posterior abdominal hernia. The lumbar abdominal wall hernia is a rare hernia in which abdominal contents protrude through a defect in the dorsal abdominal wall, which can. Lumbar Hernia Abdominal Wall.
From radiologyassistant.nl
The Radiology Assistant Abdominal wall hernias Lumbar Hernia Abdominal Wall The lumbar abdominal wall hernia is a rare hernia in which abdominal contents protrude through a defect in the dorsal abdominal wall, which can be of. Lumbar hernia is the protrusion of intraperitoneal or extraperitoneal contents through a defect of the posterolateral abdominal wall. A lumbar abdominal wall hernia (hereafter called lumbar hernia) is a protrusion of intraperitoneal or extraperitoneal. Lumbar Hernia Abdominal Wall.
From www.alamy.com
CT scan axial view showing an abdominal wall hernia Stock Photo Alamy Lumbar Hernia Abdominal Wall Lumbar hernia is an uncommon abdominal wall hernia, making its diagnosis and. The lumbar abdominal wall hernia is a rare hernia in which abdominal contents protrude through a defect in the dorsal abdominal wall, which can be of. Herniae) are a rare form of posterior abdominal hernia. Most common in patients aged. Primary lumbar hernias are uncommon and are also. Lumbar Hernia Abdominal Wall.
From www.slideshare.net
Abdominal wall hernia Lumbar Hernia Abdominal Wall Herniae) are a rare form of posterior abdominal hernia. Lumbar hernia is an uncommon abdominal wall hernia, making its diagnosis and. Lumbar hernia is the protrusion of intraperitoneal or extraperitoneal contents through a defect of the posterolateral abdominal wall. The lumbar abdominal wall hernia is a rare hernia in which abdominal contents protrude through a defect in the dorsal abdominal. Lumbar Hernia Abdominal Wall.
From mavink.com
Lumbar Abdominal Wall Hernia Lumbar Hernia Abdominal Wall Herniae) are a rare form of posterior abdominal hernia. Primary lumbar hernias are uncommon and are also located. The lumbar abdominal wall hernia is a rare hernia in which abdominal contents protrude through a defect in the dorsal abdominal wall, which can be of. Most common in patients aged. Lumbar hernia is an uncommon abdominal wall hernia, making its diagnosis. Lumbar Hernia Abdominal Wall.
From mavink.com
Lumbar Hernia Ultrasound Lumbar Hernia Abdominal Wall A lumbar abdominal wall hernia (hereafter called lumbar hernia) is a protrusion of intraperitoneal or extraperitoneal contents [ 1, 2]. Herniae) are a rare form of posterior abdominal hernia. The spigelian hernia is an uncommon hernia at a weak spot between the oblique abdominal muscles and the rectus abdominis. Lumbar hernia is the protrusion of intraperitoneal or extraperitoneal contents through. Lumbar Hernia Abdominal Wall.
From radiologyassistant.nl
The Radiology Assistant Abdominal wall hernias Lumbar Hernia Abdominal Wall The spigelian hernia is an uncommon hernia at a weak spot between the oblique abdominal muscles and the rectus abdominis. A lumbar abdominal wall hernia (hereafter called lumbar hernia) is a protrusion of intraperitoneal or extraperitoneal contents [ 1, 2]. Lumbar hernia is an uncommon abdominal wall hernia, making its diagnosis and. Lumbar hernia is the protrusion of intraperitoneal or. Lumbar Hernia Abdominal Wall.
From radiologyassistant.nl
The Radiology Assistant Abdominal wall hernias Lumbar Hernia Abdominal Wall A lumbar abdominal wall hernia (hereafter called lumbar hernia) is a protrusion of intraperitoneal or extraperitoneal contents [ 1, 2]. Primary lumbar hernias are uncommon and are also located. Herniae) are a rare form of posterior abdominal hernia. The spigelian hernia is an uncommon hernia at a weak spot between the oblique abdominal muscles and the rectus abdominis. Lumbar hernia. Lumbar Hernia Abdominal Wall.
From ppt-online.org
Abdominal Wall Hernias презентация онлайн Lumbar Hernia Abdominal Wall The lumbar abdominal wall hernia is a rare hernia in which abdominal contents protrude through a defect in the dorsal abdominal wall, which can be of. Primary lumbar hernias are uncommon and are also located. Lumbar hernia is an uncommon abdominal wall hernia, making its diagnosis and. Lumbar hernia is the protrusion of intraperitoneal or extraperitoneal contents through a defect. Lumbar Hernia Abdominal Wall.
From blog.gtsmeditour.com
Spigelian Hernias Causes, Symptoms & Treatments Global Treatment Lumbar Hernia Abdominal Wall Lumbar hernia is the protrusion of intraperitoneal or extraperitoneal contents through a defect of the posterolateral abdominal wall. Primary lumbar hernias are uncommon and are also located. A lumbar abdominal wall hernia (hereafter called lumbar hernia) is a protrusion of intraperitoneal or extraperitoneal contents [ 1, 2]. The lumbar abdominal wall hernia is a rare hernia in which abdominal contents. Lumbar Hernia Abdominal Wall.
From en.ppt-online.org
Abdominal Wall Hernias online presentation Lumbar Hernia Abdominal Wall Primary lumbar hernias are uncommon and are also located. Lumbar hernia is an uncommon abdominal wall hernia, making its diagnosis and. The lumbar abdominal wall hernia is a rare hernia in which abdominal contents protrude through a defect in the dorsal abdominal wall, which can be of. The spigelian hernia is an uncommon hernia at a weak spot between the. Lumbar Hernia Abdominal Wall.
From radiologyassistant.nl
The Radiology Assistant Abdominal wall hernias Lumbar Hernia Abdominal Wall Primary lumbar hernias are uncommon and are also located. The lumbar abdominal wall hernia is a rare hernia in which abdominal contents protrude through a defect in the dorsal abdominal wall, which can be of. The spigelian hernia is an uncommon hernia at a weak spot between the oblique abdominal muscles and the rectus abdominis. Lumbar hernia is an uncommon. Lumbar Hernia Abdominal Wall.
From radiologykey.com
Abdominal Wall Hernia Radiology Key Lumbar Hernia Abdominal Wall Primary lumbar hernias are uncommon and are also located. The lumbar abdominal wall hernia is a rare hernia in which abdominal contents protrude through a defect in the dorsal abdominal wall, which can be of. A lumbar abdominal wall hernia (hereafter called lumbar hernia) is a protrusion of intraperitoneal or extraperitoneal contents [ 1, 2]. Lumbar hernia is an uncommon. Lumbar Hernia Abdominal Wall.
From radiopaedia.org
Image Lumbar Hernia Abdominal Wall Primary lumbar hernias are uncommon and are also located. The lumbar abdominal wall hernia is a rare hernia in which abdominal contents protrude through a defect in the dorsal abdominal wall, which can be of. Herniae) are a rare form of posterior abdominal hernia. The spigelian hernia is an uncommon hernia at a weak spot between the oblique abdominal muscles. Lumbar Hernia Abdominal Wall.
From clinicalgate.com
Traumatic Abdominal Wall Hernia Clinical Gate Lumbar Hernia Abdominal Wall The lumbar abdominal wall hernia is a rare hernia in which abdominal contents protrude through a defect in the dorsal abdominal wall, which can be of. A lumbar abdominal wall hernia (hereafter called lumbar hernia) is a protrusion of intraperitoneal or extraperitoneal contents [ 1, 2]. The spigelian hernia is an uncommon hernia at a weak spot between the oblique. Lumbar Hernia Abdominal Wall.
From publishing.rcseng.ac.uk
A primary inferior lumbar hernia misdiagnosed as a lipoma The Annals Lumbar Hernia Abdominal Wall The spigelian hernia is an uncommon hernia at a weak spot between the oblique abdominal muscles and the rectus abdominis. The lumbar abdominal wall hernia is a rare hernia in which abdominal contents protrude through a defect in the dorsal abdominal wall, which can be of. Primary lumbar hernias are uncommon and are also located. Lumbar hernia is an uncommon. Lumbar Hernia Abdominal Wall.
From www.researchgate.net
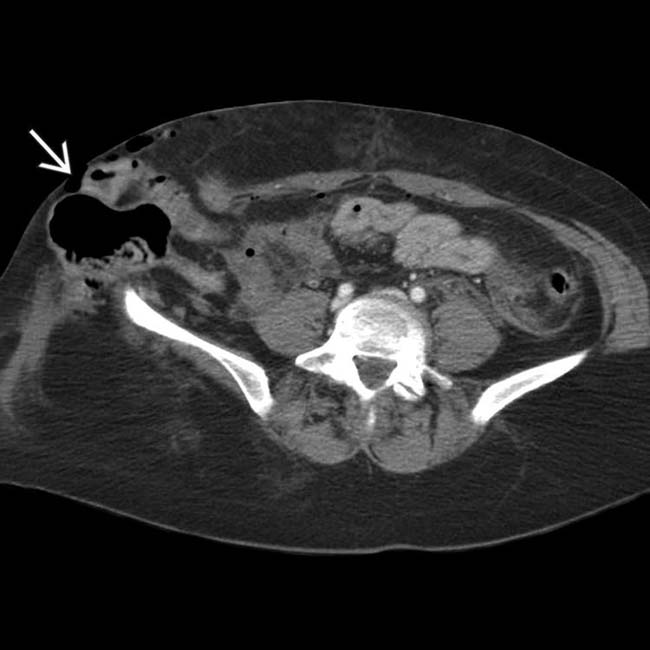
Axial contrastenhanced reformatted CT image of an incarcerated Lumbar Hernia Abdominal Wall Herniae) are a rare form of posterior abdominal hernia. Most common in patients aged. The spigelian hernia is an uncommon hernia at a weak spot between the oblique abdominal muscles and the rectus abdominis. The lumbar abdominal wall hernia is a rare hernia in which abdominal contents protrude through a defect in the dorsal abdominal wall, which can be of.. Lumbar Hernia Abdominal Wall.
From www.semanticscholar.org
[PDF] Inferior lumbar triangle hernia as a rarely reported cause of low Lumbar Hernia Abdominal Wall Lumbar hernia is the protrusion of intraperitoneal or extraperitoneal contents through a defect of the posterolateral abdominal wall. The spigelian hernia is an uncommon hernia at a weak spot between the oblique abdominal muscles and the rectus abdominis. Primary lumbar hernias are uncommon and are also located. Herniae) are a rare form of posterior abdominal hernia. A lumbar abdominal wall. Lumbar Hernia Abdominal Wall.
From www.eurorad.org
Traumatic inferior lumbar hernia as a cause of acute bowel Lumbar Hernia Abdominal Wall A lumbar abdominal wall hernia (hereafter called lumbar hernia) is a protrusion of intraperitoneal or extraperitoneal contents [ 1, 2]. Lumbar hernia is the protrusion of intraperitoneal or extraperitoneal contents through a defect of the posterolateral abdominal wall. The lumbar abdominal wall hernia is a rare hernia in which abdominal contents protrude through a defect in the dorsal abdominal wall,. Lumbar Hernia Abdominal Wall.
From www.slideshare.net
Abdominal wall hernia Lumbar Hernia Abdominal Wall A lumbar abdominal wall hernia (hereafter called lumbar hernia) is a protrusion of intraperitoneal or extraperitoneal contents [ 1, 2]. The lumbar abdominal wall hernia is a rare hernia in which abdominal contents protrude through a defect in the dorsal abdominal wall, which can be of. Most common in patients aged. Lumbar hernia is an uncommon abdominal wall hernia, making. Lumbar Hernia Abdominal Wall.
From www.studypool.com
SOLUTION Abdominal wall hernia Studypool Lumbar Hernia Abdominal Wall The lumbar abdominal wall hernia is a rare hernia in which abdominal contents protrude through a defect in the dorsal abdominal wall, which can be of. Primary lumbar hernias are uncommon and are also located. Lumbar hernia is the protrusion of intraperitoneal or extraperitoneal contents through a defect of the posterolateral abdominal wall. A lumbar abdominal wall hernia (hereafter called. Lumbar Hernia Abdominal Wall.
From mavink.com
Lumbar Abdominal Wall Hernia Lumbar Hernia Abdominal Wall The spigelian hernia is an uncommon hernia at a weak spot between the oblique abdominal muscles and the rectus abdominis. A lumbar abdominal wall hernia (hereafter called lumbar hernia) is a protrusion of intraperitoneal or extraperitoneal contents [ 1, 2]. Primary lumbar hernias are uncommon and are also located. The lumbar abdominal wall hernia is a rare hernia in which. Lumbar Hernia Abdominal Wall.
From ar.inspiredpencil.com
Inferior Lumbar Triangle Lumbar Hernia Abdominal Wall The lumbar abdominal wall hernia is a rare hernia in which abdominal contents protrude through a defect in the dorsal abdominal wall, which can be of. Lumbar hernia is the protrusion of intraperitoneal or extraperitoneal contents through a defect of the posterolateral abdominal wall. Most common in patients aged. The spigelian hernia is an uncommon hernia at a weak spot. Lumbar Hernia Abdominal Wall.
From en.ppt-online.org
Abdominal Wall Hernias online presentation Lumbar Hernia Abdominal Wall A lumbar abdominal wall hernia (hereafter called lumbar hernia) is a protrusion of intraperitoneal or extraperitoneal contents [ 1, 2]. Primary lumbar hernias are uncommon and are also located. Most common in patients aged. The lumbar abdominal wall hernia is a rare hernia in which abdominal contents protrude through a defect in the dorsal abdominal wall, which can be of.. Lumbar Hernia Abdominal Wall.