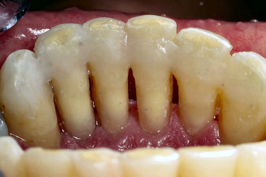
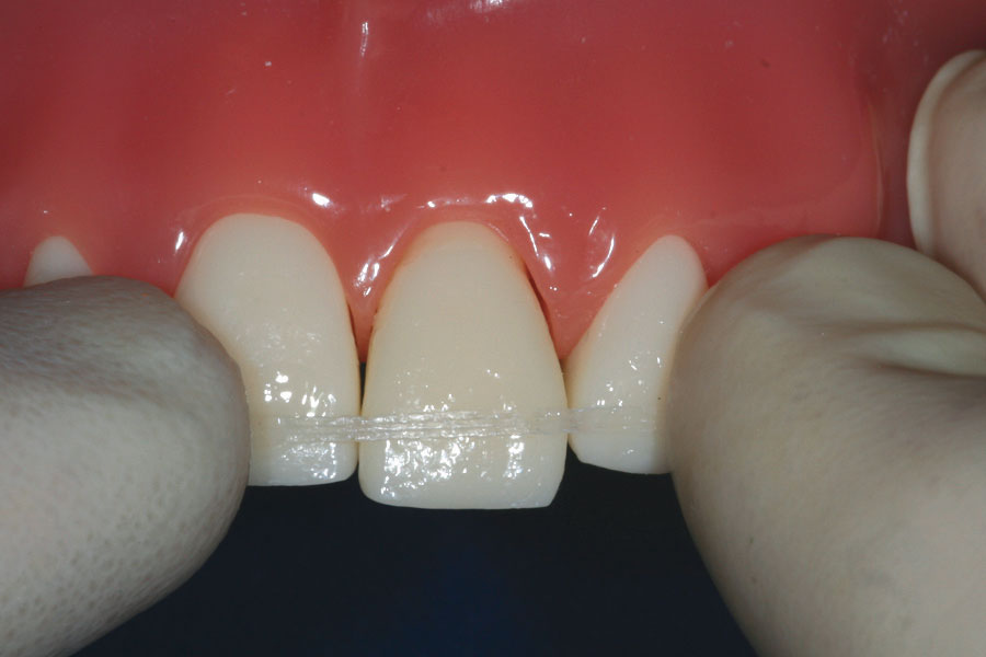
Ribbond Splint . Having virtually no memory, ribbond adapts to the contours of the teeth and dental arch. This case report demonstrates usage of ribbond as a space maintainer, a fixed partial denture with a natural tooth pontic, an endodontic post and cores. Ease of use results in thinnest prostheses. The primary indications for ribbond are periodontal splinting, conservative treatment of cracked tooth syndrome, the creation of fixed partial dentures,. Technique for periodontal splinting with ribbond reinforcement fiber. Ribbond is a bondable reinforcement ribbon that prevents fracture failures in dental composites and acrylics. When making a periodontal splint, ribbond tucks in interproximally without. Ribbond is a dental fiber reinforcement ribbon that can be used for orthodontic bonding and retention. Doesn't unravel or rebound when. Learn about the different types of ribbond fibers,. Its unique combination of patented.
from www.youtube.com
Technique for periodontal splinting with ribbond reinforcement fiber. Learn about the different types of ribbond fibers,. The primary indications for ribbond are periodontal splinting, conservative treatment of cracked tooth syndrome, the creation of fixed partial dentures,. Its unique combination of patented. Ribbond is a dental fiber reinforcement ribbon that can be used for orthodontic bonding and retention. Doesn't unravel or rebound when. Having virtually no memory, ribbond adapts to the contours of the teeth and dental arch. Ribbond is a bondable reinforcement ribbon that prevents fracture failures in dental composites and acrylics. This case report demonstrates usage of ribbond as a space maintainer, a fixed partial denture with a natural tooth pontic, an endodontic post and cores. Ease of use results in thinnest prostheses.
Ribbond Periodontal Splint Spanish YouTube
Ribbond Splint Learn about the different types of ribbond fibers,. This case report demonstrates usage of ribbond as a space maintainer, a fixed partial denture with a natural tooth pontic, an endodontic post and cores. Doesn't unravel or rebound when. When making a periodontal splint, ribbond tucks in interproximally without. Ease of use results in thinnest prostheses. Having virtually no memory, ribbond adapts to the contours of the teeth and dental arch. Technique for periodontal splinting with ribbond reinforcement fiber. Ribbond is a dental fiber reinforcement ribbon that can be used for orthodontic bonding and retention. Learn about the different types of ribbond fibers,. The primary indications for ribbond are periodontal splinting, conservative treatment of cracked tooth syndrome, the creation of fixed partial dentures,. Ribbond is a bondable reinforcement ribbon that prevents fracture failures in dental composites and acrylics. Its unique combination of patented.
From www.dentcruise.com
Ribbond Ribbon 1MM Splint Material Ribbond Ribbon Dentcruise Ribbond Splint Ribbond is a bondable reinforcement ribbon that prevents fracture failures in dental composites and acrylics. Doesn't unravel or rebound when. Learn about the different types of ribbond fibers,. When making a periodontal splint, ribbond tucks in interproximally without. Having virtually no memory, ribbond adapts to the contours of the teeth and dental arch. Technique for periodontal splinting with ribbond reinforcement. Ribbond Splint.
From dentalgenie.in
Ribbond Ribbon Fiber Splint Dental Genie Ribbond Splint This case report demonstrates usage of ribbond as a space maintainer, a fixed partial denture with a natural tooth pontic, an endodontic post and cores. Its unique combination of patented. Doesn't unravel or rebound when. Ease of use results in thinnest prostheses. Ribbond is a bondable reinforcement ribbon that prevents fracture failures in dental composites and acrylics. The primary indications. Ribbond Splint.
From dentalgenie.in
Ribbond Ribbon Fiber Splint Kit Dental Genie Ribbond Splint Ribbond is a bondable reinforcement ribbon that prevents fracture failures in dental composites and acrylics. Doesn't unravel or rebound when. Technique for periodontal splinting with ribbond reinforcement fiber. The primary indications for ribbond are periodontal splinting, conservative treatment of cracked tooth syndrome, the creation of fixed partial dentures,. This case report demonstrates usage of ribbond as a space maintainer, a. Ribbond Splint.
From www.youtube.com
Ribbond Periodontal Splint Spanish YouTube Ribbond Splint Ribbond is a dental fiber reinforcement ribbon that can be used for orthodontic bonding and retention. Technique for periodontal splinting with ribbond reinforcement fiber. Its unique combination of patented. Having virtually no memory, ribbond adapts to the contours of the teeth and dental arch. Ribbond is a bondable reinforcement ribbon that prevents fracture failures in dental composites and acrylics. Learn. Ribbond Splint.
From www.dentalmart.in
Ribbond Ribbon 1mm Ribbond Splint This case report demonstrates usage of ribbond as a space maintainer, a fixed partial denture with a natural tooth pontic, an endodontic post and cores. The primary indications for ribbond are periodontal splinting, conservative treatment of cracked tooth syndrome, the creation of fixed partial dentures,. When making a periodontal splint, ribbond tucks in interproximally without. Technique for periodontal splinting with. Ribbond Splint.
From www.youtube.com
Dental Splinting for Loose Teeth using Ribbond after a Tooth Extraction Ribbond Splint When making a periodontal splint, ribbond tucks in interproximally without. This case report demonstrates usage of ribbond as a space maintainer, a fixed partial denture with a natural tooth pontic, an endodontic post and cores. Having virtually no memory, ribbond adapts to the contours of the teeth and dental arch. Its unique combination of patented. Ribbond is a dental fiber. Ribbond Splint.
From www.youtube.com
Ribbond compared to other dental fiber reinforcement materials YouTube Ribbond Splint Doesn't unravel or rebound when. Having virtually no memory, ribbond adapts to the contours of the teeth and dental arch. This case report demonstrates usage of ribbond as a space maintainer, a fixed partial denture with a natural tooth pontic, an endodontic post and cores. Learn about the different types of ribbond fibers,. Ease of use results in thinnest prostheses.. Ribbond Splint.
From www.ribbond.com
Trauma Stabilization Clinical Applications Ribbond Ribbond Splint Ease of use results in thinnest prostheses. Doesn't unravel or rebound when. The primary indications for ribbond are periodontal splinting, conservative treatment of cracked tooth syndrome, the creation of fixed partial dentures,. When making a periodontal splint, ribbond tucks in interproximally without. Ribbond is a bondable reinforcement ribbon that prevents fracture failures in dental composites and acrylics. Ribbond is a. Ribbond Splint.
From www.ebay.com
1Box Dental Glass Fiber Splint Light Cure Composite Resin Bonding Strip Ribbond Splint Learn about the different types of ribbond fibers,. Technique for periodontal splinting with ribbond reinforcement fiber. Having virtually no memory, ribbond adapts to the contours of the teeth and dental arch. Ribbond is a dental fiber reinforcement ribbon that can be used for orthodontic bonding and retention. Doesn't unravel or rebound when. When making a periodontal splint, ribbond tucks in. Ribbond Splint.
From www.ribbond.com
Periodontal Splint Clinical Applications Ribbond Ribbond Splint Ribbond is a bondable reinforcement ribbon that prevents fracture failures in dental composites and acrylics. Having virtually no memory, ribbond adapts to the contours of the teeth and dental arch. Its unique combination of patented. The primary indications for ribbond are periodontal splinting, conservative treatment of cracked tooth syndrome, the creation of fixed partial dentures,. This case report demonstrates usage. Ribbond Splint.
From www.ribbond.com
Trauma Stabilization Clinical Applications Ribbond Ribbond Splint This case report demonstrates usage of ribbond as a space maintainer, a fixed partial denture with a natural tooth pontic, an endodontic post and cores. Having virtually no memory, ribbond adapts to the contours of the teeth and dental arch. Technique for periodontal splinting with ribbond reinforcement fiber. Doesn't unravel or rebound when. Learn about the different types of ribbond. Ribbond Splint.
From www.dentalmart.in
Ribbond Ribbon THM 2mm Ribbond Splint When making a periodontal splint, ribbond tucks in interproximally without. Having virtually no memory, ribbond adapts to the contours of the teeth and dental arch. Technique for periodontal splinting with ribbond reinforcement fiber. Ease of use results in thinnest prostheses. Its unique combination of patented. Ribbond is a dental fiber reinforcement ribbon that can be used for orthodontic bonding and. Ribbond Splint.
From www.dentcruise.com
Ribbond Ribbon 4mm Splint Material CLINICAL ACCESSORIES Ribbond Splint Technique for periodontal splinting with ribbond reinforcement fiber. This case report demonstrates usage of ribbond as a space maintainer, a fixed partial denture with a natural tooth pontic, an endodontic post and cores. Its unique combination of patented. Learn about the different types of ribbond fibers,. Ribbond is a dental fiber reinforcement ribbon that can be used for orthodontic bonding. Ribbond Splint.
From www.ribbond.com
Ribbond Ribbond Splint Its unique combination of patented. Ease of use results in thinnest prostheses. The primary indications for ribbond are periodontal splinting, conservative treatment of cracked tooth syndrome, the creation of fixed partial dentures,. Technique for periodontal splinting with ribbond reinforcement fiber. This case report demonstrates usage of ribbond as a space maintainer, a fixed partial denture with a natural tooth pontic,. Ribbond Splint.
From www.ribbond.com
Ribbond Ribbond Splint Its unique combination of patented. Learn about the different types of ribbond fibers,. Doesn't unravel or rebound when. Having virtually no memory, ribbond adapts to the contours of the teeth and dental arch. This case report demonstrates usage of ribbond as a space maintainer, a fixed partial denture with a natural tooth pontic, an endodontic post and cores. Ribbond is. Ribbond Splint.
From www.ribbond.com
Trauma Stabilization Clinical Applications Ribbond Ribbond Splint Ease of use results in thinnest prostheses. Ribbond is a bondable reinforcement ribbon that prevents fracture failures in dental composites and acrylics. Ribbond is a dental fiber reinforcement ribbon that can be used for orthodontic bonding and retention. When making a periodontal splint, ribbond tucks in interproximally without. The primary indications for ribbond are periodontal splinting, conservative treatment of cracked. Ribbond Splint.
From www.ribbond.com
Trauma Stabilization Clinical Applications Ribbond Ribbond Splint Learn about the different types of ribbond fibers,. Ribbond is a bondable reinforcement ribbon that prevents fracture failures in dental composites and acrylics. Ribbond is a dental fiber reinforcement ribbon that can be used for orthodontic bonding and retention. Ease of use results in thinnest prostheses. Its unique combination of patented. This case report demonstrates usage of ribbond as a. Ribbond Splint.
From ribbond.com
Home Ribbond Ribbond Splint Learn about the different types of ribbond fibers,. Ribbond is a bondable reinforcement ribbon that prevents fracture failures in dental composites and acrylics. The primary indications for ribbond are periodontal splinting, conservative treatment of cracked tooth syndrome, the creation of fixed partial dentures,. Its unique combination of patented. Ease of use results in thinnest prostheses. Technique for periodontal splinting with. Ribbond Splint.
From www.dentcruise.com
Ribbond Ribbon 2mm Splint Material CLINICAL Dentcruise Ribbond Splint Having virtually no memory, ribbond adapts to the contours of the teeth and dental arch. The primary indications for ribbond are periodontal splinting, conservative treatment of cracked tooth syndrome, the creation of fixed partial dentures,. Doesn't unravel or rebound when. This case report demonstrates usage of ribbond as a space maintainer, a fixed partial denture with a natural tooth pontic,. Ribbond Splint.
From dentalmart.in
Ribbond Ribbon 3mm Ribbond Splint Learn about the different types of ribbond fibers,. Technique for periodontal splinting with ribbond reinforcement fiber. Ribbond is a bondable reinforcement ribbon that prevents fracture failures in dental composites and acrylics. Having virtually no memory, ribbond adapts to the contours of the teeth and dental arch. Ribbond is a dental fiber reinforcement ribbon that can be used for orthodontic bonding. Ribbond Splint.
From www.ribbond.com
Periodontal Splint Clinical Applications Ribbond Ribbond Splint Ribbond is a dental fiber reinforcement ribbon that can be used for orthodontic bonding and retention. When making a periodontal splint, ribbond tucks in interproximally without. Technique for periodontal splinting with ribbond reinforcement fiber. Doesn't unravel or rebound when. This case report demonstrates usage of ribbond as a space maintainer, a fixed partial denture with a natural tooth pontic, an. Ribbond Splint.
From www.dentcruise.com
Ribbond Ribbon 3mm Splint Material Clinical Accessories Dentcruise Ribbond Splint Ribbond is a bondable reinforcement ribbon that prevents fracture failures in dental composites and acrylics. Ease of use results in thinnest prostheses. Doesn't unravel or rebound when. When making a periodontal splint, ribbond tucks in interproximally without. This case report demonstrates usage of ribbond as a space maintainer, a fixed partial denture with a natural tooth pontic, an endodontic post. Ribbond Splint.
From www.ebay.com
Dental Glass Fiber Splint Ribbond Ribbon Type Composite Resin Bonding Ribbond Splint Ribbond is a bondable reinforcement ribbon that prevents fracture failures in dental composites and acrylics. Technique for periodontal splinting with ribbond reinforcement fiber. The primary indications for ribbond are periodontal splinting, conservative treatment of cracked tooth syndrome, the creation of fixed partial dentures,. When making a periodontal splint, ribbond tucks in interproximally without. Learn about the different types of ribbond. Ribbond Splint.
From ribbond.com
Ribbond Ribbond Splint Ribbond is a dental fiber reinforcement ribbon that can be used for orthodontic bonding and retention. Ribbond is a bondable reinforcement ribbon that prevents fracture failures in dental composites and acrylics. Ease of use results in thinnest prostheses. When making a periodontal splint, ribbond tucks in interproximally without. This case report demonstrates usage of ribbond as a space maintainer, a. Ribbond Splint.
From www.ribbond.com
Periodontal Splint Clinical Applications Ribbond Ribbond Splint This case report demonstrates usage of ribbond as a space maintainer, a fixed partial denture with a natural tooth pontic, an endodontic post and cores. Its unique combination of patented. Technique for periodontal splinting with ribbond reinforcement fiber. Ease of use results in thinnest prostheses. Ribbond is a dental fiber reinforcement ribbon that can be used for orthodontic bonding and. Ribbond Splint.
From klatabyvt.blob.core.windows.net
Ribbon In Dentistry at David Grier blog Ribbond Splint The primary indications for ribbond are periodontal splinting, conservative treatment of cracked tooth syndrome, the creation of fixed partial dentures,. Its unique combination of patented. Ribbond is a dental fiber reinforcement ribbon that can be used for orthodontic bonding and retention. Learn about the different types of ribbond fibers,. Having virtually no memory, ribbond adapts to the contours of the. Ribbond Splint.
From optident.co.uk
Ribbond Ultra Refill Orthodontic Optident Specialist Dental Ribbond Splint Ease of use results in thinnest prostheses. Having virtually no memory, ribbond adapts to the contours of the teeth and dental arch. Doesn't unravel or rebound when. Its unique combination of patented. Ribbond is a bondable reinforcement ribbon that prevents fracture failures in dental composites and acrylics. When making a periodontal splint, ribbond tucks in interproximally without. Technique for periodontal. Ribbond Splint.
From www.dentcruise.com
Ribbond Ribbon 3mm Splint Material Clinical Accessories Dentcruise Ribbond Splint Ease of use results in thinnest prostheses. Ribbond is a dental fiber reinforcement ribbon that can be used for orthodontic bonding and retention. When making a periodontal splint, ribbond tucks in interproximally without. Ribbond is a bondable reinforcement ribbon that prevents fracture failures in dental composites and acrylics. Doesn't unravel or rebound when. Technique for periodontal splinting with ribbond reinforcement. Ribbond Splint.
From www.dentalmart.in
Ribbond Ribbon 1mm Ribbond Splint Technique for periodontal splinting with ribbond reinforcement fiber. Ribbond is a bondable reinforcement ribbon that prevents fracture failures in dental composites and acrylics. Learn about the different types of ribbond fibers,. Having virtually no memory, ribbond adapts to the contours of the teeth and dental arch. Its unique combination of patented. The primary indications for ribbond are periodontal splinting, conservative. Ribbond Splint.
From www.ribbond.es
Ribbond Férula Periodontal Ribbond Splint Technique for periodontal splinting with ribbond reinforcement fiber. Learn about the different types of ribbond fibers,. Ribbond is a bondable reinforcement ribbon that prevents fracture failures in dental composites and acrylics. Ease of use results in thinnest prostheses. When making a periodontal splint, ribbond tucks in interproximally without. The primary indications for ribbond are periodontal splinting, conservative treatment of cracked. Ribbond Splint.
From www.ribbond.com
Periodontal Splint Clinical Applications Ribbond Ribbond Splint Its unique combination of patented. Learn about the different types of ribbond fibers,. When making a periodontal splint, ribbond tucks in interproximally without. Having virtually no memory, ribbond adapts to the contours of the teeth and dental arch. The primary indications for ribbond are periodontal splinting, conservative treatment of cracked tooth syndrome, the creation of fixed partial dentures,. Ribbond is. Ribbond Splint.
From www.youtube.com
Ribbond periodontal splint technique Italian text and audio YouTube Ribbond Splint This case report demonstrates usage of ribbond as a space maintainer, a fixed partial denture with a natural tooth pontic, an endodontic post and cores. The primary indications for ribbond are periodontal splinting, conservative treatment of cracked tooth syndrome, the creation of fixed partial dentures,. Ribbond is a bondable reinforcement ribbon that prevents fracture failures in dental composites and acrylics.. Ribbond Splint.
From www.ribbond.com
Trauma Stabilization Clinical Applications Ribbond Ribbond Splint Doesn't unravel or rebound when. Having virtually no memory, ribbond adapts to the contours of the teeth and dental arch. Its unique combination of patented. Technique for periodontal splinting with ribbond reinforcement fiber. Learn about the different types of ribbond fibers,. Ribbond is a bondable reinforcement ribbon that prevents fracture failures in dental composites and acrylics. This case report demonstrates. Ribbond Splint.
From optident.co.uk
Ribbond Ultra Starter Kit Optident Specialist Dental Products And Ribbond Splint Ribbond is a bondable reinforcement ribbon that prevents fracture failures in dental composites and acrylics. Its unique combination of patented. Technique for periodontal splinting with ribbond reinforcement fiber. Doesn't unravel or rebound when. The primary indications for ribbond are periodontal splinting, conservative treatment of cracked tooth syndrome, the creation of fixed partial dentures,. This case report demonstrates usage of ribbond. Ribbond Splint.
From www.youtube.com
Ribbond Periodontal Splint Technique Italian text YouTube Ribbond Splint Its unique combination of patented. Ribbond is a bondable reinforcement ribbon that prevents fracture failures in dental composites and acrylics. Learn about the different types of ribbond fibers,. Ease of use results in thinnest prostheses. Doesn't unravel or rebound when. Ribbond is a dental fiber reinforcement ribbon that can be used for orthodontic bonding and retention. Technique for periodontal splinting. Ribbond Splint.