Diluting Bleach For Endodontics . It has many potential complications ranging from. Then they use edta or another chelating. Prescribe antibiotics to prevent any secondary infection. Flush canal with water or saline to dilute the hypochlorite. Sodium hypochlorite is a commonly used irrigant in endodontic practice. It is the medicament of choice during root canal treatments. Sodium hypochlorite (bleach) is advocated as an irrigant for use in endodontic therapy for its bacteriocidal and tissue. Sodium hypochlorite (bleach) has long been routinely used in endodontic treatment because of its antimicrobial and tissue dissolving properties. Sodium hypochlorite solution, commonly known as bleach, is frequently used as a disinfectant or a bleaching agent. Tell the patient what has happened and reassure them. Sodium hypochlorite (household bleach) is the most commonly used root canal irrigant. Sodium hypochlorite (naocl) is usually encountered as a dilute solution and has been used as household bleach since the 18th. Through experience, most dentists dilute sodium hypochlorite and use it as an irrigating solution during root canal instrumentation;
from shunhair.com
It has many potential complications ranging from. Then they use edta or another chelating. Sodium hypochlorite (naocl) is usually encountered as a dilute solution and has been used as household bleach since the 18th. Sodium hypochlorite solution, commonly known as bleach, is frequently used as a disinfectant or a bleaching agent. Through experience, most dentists dilute sodium hypochlorite and use it as an irrigating solution during root canal instrumentation; Sodium hypochlorite is a commonly used irrigant in endodontic practice. Sodium hypochlorite (bleach) is advocated as an irrigant for use in endodontic therapy for its bacteriocidal and tissue. Sodium hypochlorite (household bleach) is the most commonly used root canal irrigant. Tell the patient what has happened and reassure them. Prescribe antibiotics to prevent any secondary infection.
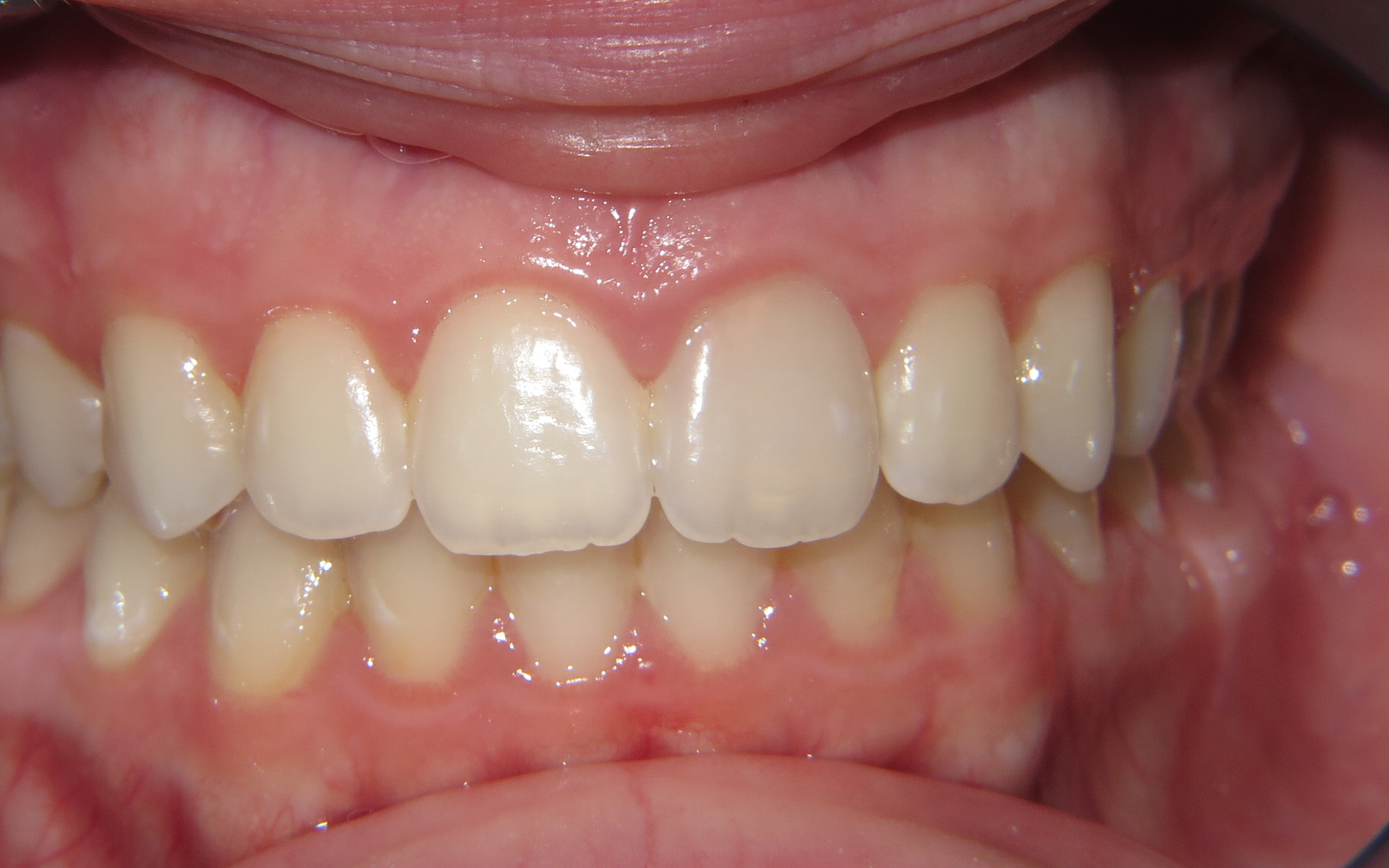
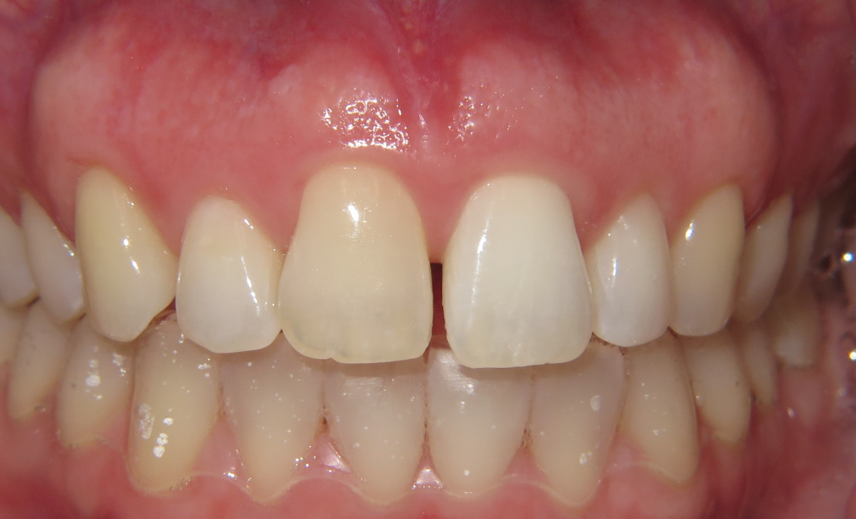
Understanding The Safety And Effectiveness Of Diluting Bleach With
Diluting Bleach For Endodontics Then they use edta or another chelating. Tell the patient what has happened and reassure them. It is the medicament of choice during root canal treatments. Then they use edta or another chelating. Sodium hypochlorite is a commonly used irrigant in endodontic practice. Sodium hypochlorite (bleach) has long been routinely used in endodontic treatment because of its antimicrobial and tissue dissolving properties. Sodium hypochlorite solution, commonly known as bleach, is frequently used as a disinfectant or a bleaching agent. Sodium hypochlorite (household bleach) is the most commonly used root canal irrigant. Sodium hypochlorite (bleach) is advocated as an irrigant for use in endodontic therapy for its bacteriocidal and tissue. It has many potential complications ranging from. Prescribe antibiotics to prevent any secondary infection. Sodium hypochlorite (naocl) is usually encountered as a dilute solution and has been used as household bleach since the 18th. Through experience, most dentists dilute sodium hypochlorite and use it as an irrigating solution during root canal instrumentation; Flush canal with water or saline to dilute the hypochlorite.
From dokumen.tips
(PDF) Lecture 15 & 16 Endodontic materials and bleaching systems Diluting Bleach For Endodontics Sodium hypochlorite (bleach) is advocated as an irrigant for use in endodontic therapy for its bacteriocidal and tissue. Then they use edta or another chelating. Sodium hypochlorite solution, commonly known as bleach, is frequently used as a disinfectant or a bleaching agent. Tell the patient what has happened and reassure them. Prescribe antibiotics to prevent any secondary infection. Sodium hypochlorite. Diluting Bleach For Endodontics.
From medident.com.au
PDS Endoprep Bleach 25gm Jar Diluting Bleach For Endodontics Tell the patient what has happened and reassure them. Sodium hypochlorite (bleach) has long been routinely used in endodontic treatment because of its antimicrobial and tissue dissolving properties. Sodium hypochlorite (household bleach) is the most commonly used root canal irrigant. Sodium hypochlorite is a commonly used irrigant in endodontic practice. It has many potential complications ranging from. Through experience, most. Diluting Bleach For Endodontics.
From www.youtube.com
Step by Step Internal Non Vital Endodontic Bleaching /Adım Adım Diluting Bleach For Endodontics Sodium hypochlorite (bleach) has long been routinely used in endodontic treatment because of its antimicrobial and tissue dissolving properties. Prescribe antibiotics to prevent any secondary infection. Sodium hypochlorite is a commonly used irrigant in endodontic practice. It is the medicament of choice during root canal treatments. It has many potential complications ranging from. Sodium hypochlorite solution, commonly known as bleach,. Diluting Bleach For Endodontics.
From www.slideshare.net
Bleaching of tooth endodontics best pdf Diluting Bleach For Endodontics Sodium hypochlorite (household bleach) is the most commonly used root canal irrigant. Sodium hypochlorite (naocl) is usually encountered as a dilute solution and has been used as household bleach since the 18th. Flush canal with water or saline to dilute the hypochlorite. Sodium hypochlorite solution, commonly known as bleach, is frequently used as a disinfectant or a bleaching agent. Then. Diluting Bleach For Endodontics.
From www.sonriepuertorico.com
Endo Bleaching Diluting Bleach For Endodontics Prescribe antibiotics to prevent any secondary infection. Sodium hypochlorite (naocl) is usually encountered as a dilute solution and has been used as household bleach since the 18th. Flush canal with water or saline to dilute the hypochlorite. Sodium hypochlorite is a commonly used irrigant in endodontic practice. Sodium hypochlorite (household bleach) is the most commonly used root canal irrigant. Through. Diluting Bleach For Endodontics.
From www.wikihow.com
4 Ways to Dilute Bleach wikiHow Diluting Bleach For Endodontics Through experience, most dentists dilute sodium hypochlorite and use it as an irrigating solution during root canal instrumentation; It is the medicament of choice during root canal treatments. Sodium hypochlorite solution, commonly known as bleach, is frequently used as a disinfectant or a bleaching agent. Prescribe antibiotics to prevent any secondary infection. It has many potential complications ranging from. Sodium. Diluting Bleach For Endodontics.
From endodonticsonly.com.au
Endodontic Bleaching Endodontics Only Diluting Bleach For Endodontics Prescribe antibiotics to prevent any secondary infection. Sodium hypochlorite (household bleach) is the most commonly used root canal irrigant. Tell the patient what has happened and reassure them. Through experience, most dentists dilute sodium hypochlorite and use it as an irrigating solution during root canal instrumentation; Sodium hypochlorite (bleach) is advocated as an irrigant for use in endodontic therapy for. Diluting Bleach For Endodontics.
From dentalgenie.in
Ultradent Opalescence Endodontic Bleach Dental Genie Diluting Bleach For Endodontics Sodium hypochlorite is a commonly used irrigant in endodontic practice. Prescribe antibiotics to prevent any secondary infection. It has many potential complications ranging from. Sodium hypochlorite solution, commonly known as bleach, is frequently used as a disinfectant or a bleaching agent. Through experience, most dentists dilute sodium hypochlorite and use it as an irrigating solution during root canal instrumentation; It. Diluting Bleach For Endodontics.
From www.slideshare.net
Bleaching of tooth endodontics best pdf Diluting Bleach For Endodontics Sodium hypochlorite (bleach) has long been routinely used in endodontic treatment because of its antimicrobial and tissue dissolving properties. Flush canal with water or saline to dilute the hypochlorite. Sodium hypochlorite (bleach) is advocated as an irrigant for use in endodontic therapy for its bacteriocidal and tissue. Prescribe antibiotics to prevent any secondary infection. It has many potential complications ranging. Diluting Bleach For Endodontics.
From www.youtube.com
Endodontics Bleaching Dental Bleaching Thermocatalytic Bleaching Diluting Bleach For Endodontics Sodium hypochlorite (naocl) is usually encountered as a dilute solution and has been used as household bleach since the 18th. It is the medicament of choice during root canal treatments. Sodium hypochlorite is a commonly used irrigant in endodontic practice. Then they use edta or another chelating. Tell the patient what has happened and reassure them. It has many potential. Diluting Bleach For Endodontics.
From www.hearthstonedentalspecialists.com
The Benefits of Internal Bleaching in Endodontics hearthstone Diluting Bleach For Endodontics Then they use edta or another chelating. It has many potential complications ranging from. Sodium hypochlorite solution, commonly known as bleach, is frequently used as a disinfectant or a bleaching agent. Prescribe antibiotics to prevent any secondary infection. Tell the patient what has happened and reassure them. Sodium hypochlorite is a commonly used irrigant in endodontic practice. Sodium hypochlorite (household. Diluting Bleach For Endodontics.
From www.slideshare.net
Bleaching of tooth endodontics best pdf Diluting Bleach For Endodontics Sodium hypochlorite (household bleach) is the most commonly used root canal irrigant. Sodium hypochlorite (bleach) has long been routinely used in endodontic treatment because of its antimicrobial and tissue dissolving properties. Flush canal with water or saline to dilute the hypochlorite. Then they use edta or another chelating. Sodium hypochlorite (naocl) is usually encountered as a dilute solution and has. Diluting Bleach For Endodontics.
From www.youtube.com
Sodium Hypochlorite Irrigation in Endodontics Part 1 Advantage Diluting Bleach For Endodontics Then they use edta or another chelating. It is the medicament of choice during root canal treatments. Sodium hypochlorite (household bleach) is the most commonly used root canal irrigant. It has many potential complications ranging from. Sodium hypochlorite (naocl) is usually encountered as a dilute solution and has been used as household bleach since the 18th. Sodium hypochlorite solution, commonly. Diluting Bleach For Endodontics.
From www.baysideendo.com
Internal Bleaching Daly City, CA Bayside Endodontics Diluting Bleach For Endodontics Through experience, most dentists dilute sodium hypochlorite and use it as an irrigating solution during root canal instrumentation; Sodium hypochlorite is a commonly used irrigant in endodontic practice. It is the medicament of choice during root canal treatments. Tell the patient what has happened and reassure them. Sodium hypochlorite solution, commonly known as bleach, is frequently used as a disinfectant. Diluting Bleach For Endodontics.
From www.prime-endodontics.com
Intracoronal Bleaching for Kirkland, WA Prime Endodontics Endodontists Diluting Bleach For Endodontics Through experience, most dentists dilute sodium hypochlorite and use it as an irrigating solution during root canal instrumentation; Then they use edta or another chelating. It has many potential complications ranging from. Sodium hypochlorite (bleach) is advocated as an irrigant for use in endodontic therapy for its bacteriocidal and tissue. Sodium hypochlorite (naocl) is usually encountered as a dilute solution. Diluting Bleach For Endodontics.
From samanthalong.z19.web.core.windows.net
Bleach Dilution Ratio Chart Diluting Bleach For Endodontics Sodium hypochlorite solution, commonly known as bleach, is frequently used as a disinfectant or a bleaching agent. It has many potential complications ranging from. Sodium hypochlorite (naocl) is usually encountered as a dilute solution and has been used as household bleach since the 18th. Sodium hypochlorite (bleach) is advocated as an irrigant for use in endodontic therapy for its bacteriocidal. Diluting Bleach For Endodontics.
From dcendocenter.com
Intracoronal Bleaching DC Endodontic Center Diluting Bleach For Endodontics Sodium hypochlorite (household bleach) is the most commonly used root canal irrigant. Flush canal with water or saline to dilute the hypochlorite. Sodium hypochlorite (bleach) is advocated as an irrigant for use in endodontic therapy for its bacteriocidal and tissue. Tell the patient what has happened and reassure them. Sodium hypochlorite solution, commonly known as bleach, is frequently used as. Diluting Bleach For Endodontics.
From gioqasmqq.blob.core.windows.net
How To Calculate Bleach Dilution at Ida Lambert blog Diluting Bleach For Endodontics Sodium hypochlorite solution, commonly known as bleach, is frequently used as a disinfectant or a bleaching agent. Sodium hypochlorite is a commonly used irrigant in endodontic practice. It is the medicament of choice during root canal treatments. Sodium hypochlorite (household bleach) is the most commonly used root canal irrigant. Sodium hypochlorite (bleach) has long been routinely used in endodontic treatment. Diluting Bleach For Endodontics.
From shunhair.com
Understanding The Safety And Effectiveness Of Diluting Bleach With Diluting Bleach For Endodontics Sodium hypochlorite solution, commonly known as bleach, is frequently used as a disinfectant or a bleaching agent. Sodium hypochlorite is a commonly used irrigant in endodontic practice. Through experience, most dentists dilute sodium hypochlorite and use it as an irrigating solution during root canal instrumentation; It has many potential complications ranging from. Flush canal with water or saline to dilute. Diluting Bleach For Endodontics.
From www.youtube.com
Endodontics Bleaching Dental Bleaching Classification of Dental Diluting Bleach For Endodontics It is the medicament of choice during root canal treatments. Sodium hypochlorite solution, commonly known as bleach, is frequently used as a disinfectant or a bleaching agent. Prescribe antibiotics to prevent any secondary infection. Through experience, most dentists dilute sodium hypochlorite and use it as an irrigating solution during root canal instrumentation; Sodium hypochlorite (bleach) has long been routinely used. Diluting Bleach For Endodontics.
From www.prime-endodontics.com
Intracoronal Bleaching for Kirkland, WA Prime Endodontics Endodontists Diluting Bleach For Endodontics Tell the patient what has happened and reassure them. Flush canal with water or saline to dilute the hypochlorite. Sodium hypochlorite (naocl) is usually encountered as a dilute solution and has been used as household bleach since the 18th. Sodium hypochlorite solution, commonly known as bleach, is frequently used as a disinfectant or a bleaching agent. Sodium hypochlorite (bleach) is. Diluting Bleach For Endodontics.
From www.slideshare.net
Bleaching of tooth endodontics best pdf Diluting Bleach For Endodontics Flush canal with water or saline to dilute the hypochlorite. Sodium hypochlorite (bleach) is advocated as an irrigant for use in endodontic therapy for its bacteriocidal and tissue. It has many potential complications ranging from. Sodium hypochlorite (household bleach) is the most commonly used root canal irrigant. Tell the patient what has happened and reassure them. Sodium hypochlorite (naocl) is. Diluting Bleach For Endodontics.
From www.reddit.com
Bleach Dilution Chart r/coolguides Diluting Bleach For Endodontics Sodium hypochlorite (naocl) is usually encountered as a dilute solution and has been used as household bleach since the 18th. Prescribe antibiotics to prevent any secondary infection. Sodium hypochlorite (bleach) is advocated as an irrigant for use in endodontic therapy for its bacteriocidal and tissue. Through experience, most dentists dilute sodium hypochlorite and use it as an irrigating solution during. Diluting Bleach For Endodontics.
From dentmake.com
Ultradent Opalescence Endo Dentmake Diluting Bleach For Endodontics It is the medicament of choice during root canal treatments. Prescribe antibiotics to prevent any secondary infection. Sodium hypochlorite (naocl) is usually encountered as a dilute solution and has been used as household bleach since the 18th. Through experience, most dentists dilute sodium hypochlorite and use it as an irrigating solution during root canal instrumentation; It has many potential complications. Diluting Bleach For Endodontics.
From www.baysideendo.com
Internal Bleaching Daly City, CA Bayside Endodontics Diluting Bleach For Endodontics Sodium hypochlorite (bleach) has long been routinely used in endodontic treatment because of its antimicrobial and tissue dissolving properties. Sodium hypochlorite (bleach) is advocated as an irrigant for use in endodontic therapy for its bacteriocidal and tissue. Sodium hypochlorite solution, commonly known as bleach, is frequently used as a disinfectant or a bleaching agent. Tell the patient what has happened. Diluting Bleach For Endodontics.
From www.youtube.com
post endodontic direct restoration anterior post internal bleaching Diluting Bleach For Endodontics Sodium hypochlorite (naocl) is usually encountered as a dilute solution and has been used as household bleach since the 18th. Sodium hypochlorite (household bleach) is the most commonly used root canal irrigant. Sodium hypochlorite (bleach) is advocated as an irrigant for use in endodontic therapy for its bacteriocidal and tissue. Flush canal with water or saline to dilute the hypochlorite.. Diluting Bleach For Endodontics.
From medemaendo.com
Endodontic Care Medema Endodontics Experts in Saving Teeth Diluting Bleach For Endodontics Sodium hypochlorite (bleach) has long been routinely used in endodontic treatment because of its antimicrobial and tissue dissolving properties. It has many potential complications ranging from. Sodium hypochlorite (bleach) is advocated as an irrigant for use in endodontic therapy for its bacteriocidal and tissue. Through experience, most dentists dilute sodium hypochlorite and use it as an irrigating solution during root. Diluting Bleach For Endodontics.
From endodontics.tumblr.com
Referred to the Endodontist Diluting Bleach For Endodontics Flush canal with water or saline to dilute the hypochlorite. Sodium hypochlorite solution, commonly known as bleach, is frequently used as a disinfectant or a bleaching agent. Prescribe antibiotics to prevent any secondary infection. Sodium hypochlorite (bleach) is advocated as an irrigant for use in endodontic therapy for its bacteriocidal and tissue. Then they use edta or another chelating. Sodium. Diluting Bleach For Endodontics.
From www.walmart.com
Ultradent 1270 Opalescence Endodontic Whitening System Walking Bleach Diluting Bleach For Endodontics Sodium hypochlorite (household bleach) is the most commonly used root canal irrigant. Sodium hypochlorite (bleach) has long been routinely used in endodontic treatment because of its antimicrobial and tissue dissolving properties. Flush canal with water or saline to dilute the hypochlorite. Sodium hypochlorite (bleach) is advocated as an irrigant for use in endodontic therapy for its bacteriocidal and tissue. Sodium. Diluting Bleach For Endodontics.
From www.slideshare.net
Bleaching of tooth endodontics best pdf Diluting Bleach For Endodontics Sodium hypochlorite (naocl) is usually encountered as a dilute solution and has been used as household bleach since the 18th. Sodium hypochlorite (household bleach) is the most commonly used root canal irrigant. Sodium hypochlorite solution, commonly known as bleach, is frequently used as a disinfectant or a bleaching agent. Flush canal with water or saline to dilute the hypochlorite. Prescribe. Diluting Bleach For Endodontics.
From www.endodonticgroup.com.au
Internal / Endodontic Bleaching Endodontic Group Diluting Bleach For Endodontics Through experience, most dentists dilute sodium hypochlorite and use it as an irrigating solution during root canal instrumentation; Sodium hypochlorite (bleach) has long been routinely used in endodontic treatment because of its antimicrobial and tissue dissolving properties. Then they use edta or another chelating. Sodium hypochlorite solution, commonly known as bleach, is frequently used as a disinfectant or a bleaching. Diluting Bleach For Endodontics.
From www.scribd.com
Lecture 15 & 16 Endodontic Materials and Bleaching Systems (Slides) PDF Diluting Bleach For Endodontics Then they use edta or another chelating. Sodium hypochlorite (bleach) is advocated as an irrigant for use in endodontic therapy for its bacteriocidal and tissue. Tell the patient what has happened and reassure them. Flush canal with water or saline to dilute the hypochlorite. Sodium hypochlorite (household bleach) is the most commonly used root canal irrigant. Prescribe antibiotics to prevent. Diluting Bleach For Endodontics.
From www.pinterest.com
The Endo Blog Internal Bleaching of VITAL Teeth Dental art, Dental Diluting Bleach For Endodontics Sodium hypochlorite (naocl) is usually encountered as a dilute solution and has been used as household bleach since the 18th. Sodium hypochlorite (bleach) is advocated as an irrigant for use in endodontic therapy for its bacteriocidal and tissue. It is the medicament of choice during root canal treatments. Then they use edta or another chelating. Sodium hypochlorite is a commonly. Diluting Bleach For Endodontics.
From slideplayer.com
Exodontics Extraction of the tooth Possible complications When? ppt Diluting Bleach For Endodontics Sodium hypochlorite (bleach) is advocated as an irrigant for use in endodontic therapy for its bacteriocidal and tissue. Sodium hypochlorite solution, commonly known as bleach, is frequently used as a disinfectant or a bleaching agent. Through experience, most dentists dilute sodium hypochlorite and use it as an irrigating solution during root canal instrumentation; Sodium hypochlorite (naocl) is usually encountered as. Diluting Bleach For Endodontics.
From www.youtube.com
Endodontics, Periodontology and Bleaching YouTube Diluting Bleach For Endodontics Then they use edta or another chelating. Sodium hypochlorite (bleach) has long been routinely used in endodontic treatment because of its antimicrobial and tissue dissolving properties. Through experience, most dentists dilute sodium hypochlorite and use it as an irrigating solution during root canal instrumentation; It has many potential complications ranging from. It is the medicament of choice during root canal. Diluting Bleach For Endodontics.