Tinea Versicolor Vs Pityriasis Rosea . Learn about pityriasis versicolor, a common fungal infection that causes flaky patches on the skin. Tinea versicolor (now called pityriasis versicolor) is not caused by dermatophytes but rather by yeasts of the genus malassezia. Tinea unguium is more commonly known as onychomycosis. [1] also known as pityriasis circinata, roseola annulata, and herpes tonsurans. Find out how to identify, treat and prevent this condition, and differentiate it from other skin. It is followed by smaller scaly patches that resemble a christmas tree. Tinea versicolor is a common fungal infection that causes pigment changes on the skin. Learn about the diagnosis, management, and.
from goodcaptionsde.blogspot.com
Tinea versicolor is a common fungal infection that causes pigment changes on the skin. [1] also known as pityriasis circinata, roseola annulata, and herpes tonsurans. Learn about the diagnosis, management, and. Tinea unguium is more commonly known as onychomycosis. Tinea versicolor (now called pityriasis versicolor) is not caused by dermatophytes but rather by yeasts of the genus malassezia. Learn about pityriasis versicolor, a common fungal infection that causes flaky patches on the skin. It is followed by smaller scaly patches that resemble a christmas tree. Find out how to identify, treat and prevent this condition, and differentiate it from other skin.
pityriasis rosea vs tinea versicolor Good Captions
Tinea Versicolor Vs Pityriasis Rosea Learn about the diagnosis, management, and. Learn about the diagnosis, management, and. [1] also known as pityriasis circinata, roseola annulata, and herpes tonsurans. Find out how to identify, treat and prevent this condition, and differentiate it from other skin. Learn about pityriasis versicolor, a common fungal infection that causes flaky patches on the skin. Tinea versicolor (now called pityriasis versicolor) is not caused by dermatophytes but rather by yeasts of the genus malassezia. Tinea versicolor is a common fungal infection that causes pigment changes on the skin. It is followed by smaller scaly patches that resemble a christmas tree. Tinea unguium is more commonly known as onychomycosis.
From
Tinea Versicolor Vs Pityriasis Rosea Find out how to identify, treat and prevent this condition, and differentiate it from other skin. Learn about pityriasis versicolor, a common fungal infection that causes flaky patches on the skin. It is followed by smaller scaly patches that resemble a christmas tree. Tinea versicolor (now called pityriasis versicolor) is not caused by dermatophytes but rather by yeasts of the. Tinea Versicolor Vs Pityriasis Rosea.
From www.baptisthealth.com
Tinea Versicolor Tinea Versicolor Vs Pityriasis Rosea Tinea unguium is more commonly known as onychomycosis. Find out how to identify, treat and prevent this condition, and differentiate it from other skin. Learn about pityriasis versicolor, a common fungal infection that causes flaky patches on the skin. It is followed by smaller scaly patches that resemble a christmas tree. Tinea versicolor (now called pityriasis versicolor) is not caused. Tinea Versicolor Vs Pityriasis Rosea.
From
Tinea Versicolor Vs Pityriasis Rosea Tinea versicolor is a common fungal infection that causes pigment changes on the skin. Learn about the diagnosis, management, and. It is followed by smaller scaly patches that resemble a christmas tree. Learn about pityriasis versicolor, a common fungal infection that causes flaky patches on the skin. [1] also known as pityriasis circinata, roseola annulata, and herpes tonsurans. Find out. Tinea Versicolor Vs Pityriasis Rosea.
From mavink.com
Pityriasis Versicolor Neck Tinea Versicolor Vs Pityriasis Rosea Learn about the diagnosis, management, and. It is followed by smaller scaly patches that resemble a christmas tree. Find out how to identify, treat and prevent this condition, and differentiate it from other skin. Tinea unguium is more commonly known as onychomycosis. Tinea versicolor (now called pityriasis versicolor) is not caused by dermatophytes but rather by yeasts of the genus. Tinea Versicolor Vs Pityriasis Rosea.
From mungfali.com
Tinea Versicolor Hands Tinea Versicolor Vs Pityriasis Rosea Tinea versicolor (now called pityriasis versicolor) is not caused by dermatophytes but rather by yeasts of the genus malassezia. Find out how to identify, treat and prevent this condition, and differentiate it from other skin. Learn about the diagnosis, management, and. Learn about pityriasis versicolor, a common fungal infection that causes flaky patches on the skin. Tinea versicolor is a. Tinea Versicolor Vs Pityriasis Rosea.
From
Tinea Versicolor Vs Pityriasis Rosea Tinea versicolor (now called pityriasis versicolor) is not caused by dermatophytes but rather by yeasts of the genus malassezia. Tinea versicolor is a common fungal infection that causes pigment changes on the skin. Find out how to identify, treat and prevent this condition, and differentiate it from other skin. [1] also known as pityriasis circinata, roseola annulata, and herpes tonsurans.. Tinea Versicolor Vs Pityriasis Rosea.
From
Tinea Versicolor Vs Pityriasis Rosea Find out how to identify, treat and prevent this condition, and differentiate it from other skin. Tinea versicolor (now called pityriasis versicolor) is not caused by dermatophytes but rather by yeasts of the genus malassezia. It is followed by smaller scaly patches that resemble a christmas tree. [1] also known as pityriasis circinata, roseola annulata, and herpes tonsurans. Learn about. Tinea Versicolor Vs Pityriasis Rosea.
From lifepathdoc.com
Pityriasis Alba Vs. Tinea Versicolor Pictures and Differences Tinea Versicolor Vs Pityriasis Rosea Tinea unguium is more commonly known as onychomycosis. Learn about the diagnosis, management, and. Find out how to identify, treat and prevent this condition, and differentiate it from other skin. Tinea versicolor (now called pityriasis versicolor) is not caused by dermatophytes but rather by yeasts of the genus malassezia. Learn about pityriasis versicolor, a common fungal infection that causes flaky. Tinea Versicolor Vs Pityriasis Rosea.
From www.pinterest.ca
Pin on Family Medicine EORE Tinea Versicolor Vs Pityriasis Rosea Find out how to identify, treat and prevent this condition, and differentiate it from other skin. Learn about pityriasis versicolor, a common fungal infection that causes flaky patches on the skin. It is followed by smaller scaly patches that resemble a christmas tree. [1] also known as pityriasis circinata, roseola annulata, and herpes tonsurans. Tinea unguium is more commonly known. Tinea Versicolor Vs Pityriasis Rosea.
From
Tinea Versicolor Vs Pityriasis Rosea [1] also known as pityriasis circinata, roseola annulata, and herpes tonsurans. Tinea unguium is more commonly known as onychomycosis. Find out how to identify, treat and prevent this condition, and differentiate it from other skin. It is followed by smaller scaly patches that resemble a christmas tree. Learn about the diagnosis, management, and. Tinea versicolor is a common fungal infection. Tinea Versicolor Vs Pityriasis Rosea.
From
Tinea Versicolor Vs Pityriasis Rosea Find out how to identify, treat and prevent this condition, and differentiate it from other skin. Tinea versicolor (now called pityriasis versicolor) is not caused by dermatophytes but rather by yeasts of the genus malassezia. Learn about pityriasis versicolor, a common fungal infection that causes flaky patches on the skin. Tinea unguium is more commonly known as onychomycosis. Learn about. Tinea Versicolor Vs Pityriasis Rosea.
From
Tinea Versicolor Vs Pityriasis Rosea Tinea versicolor is a common fungal infection that causes pigment changes on the skin. Learn about pityriasis versicolor, a common fungal infection that causes flaky patches on the skin. Tinea unguium is more commonly known as onychomycosis. It is followed by smaller scaly patches that resemble a christmas tree. Find out how to identify, treat and prevent this condition, and. Tinea Versicolor Vs Pityriasis Rosea.
From hellopediatrics.com
Understanding Skin Conditions Pityriasis Rosea vs. Tinea Versicolor Tinea Versicolor Vs Pityriasis Rosea It is followed by smaller scaly patches that resemble a christmas tree. Learn about the diagnosis, management, and. Tinea versicolor (now called pityriasis versicolor) is not caused by dermatophytes but rather by yeasts of the genus malassezia. [1] also known as pityriasis circinata, roseola annulata, and herpes tonsurans. Tinea unguium is more commonly known as onychomycosis. Find out how to. Tinea Versicolor Vs Pityriasis Rosea.
From
Tinea Versicolor Vs Pityriasis Rosea Tinea unguium is more commonly known as onychomycosis. Tinea versicolor is a common fungal infection that causes pigment changes on the skin. Learn about the diagnosis, management, and. Find out how to identify, treat and prevent this condition, and differentiate it from other skin. Tinea versicolor (now called pityriasis versicolor) is not caused by dermatophytes but rather by yeasts of. Tinea Versicolor Vs Pityriasis Rosea.
From www.nhs.uk
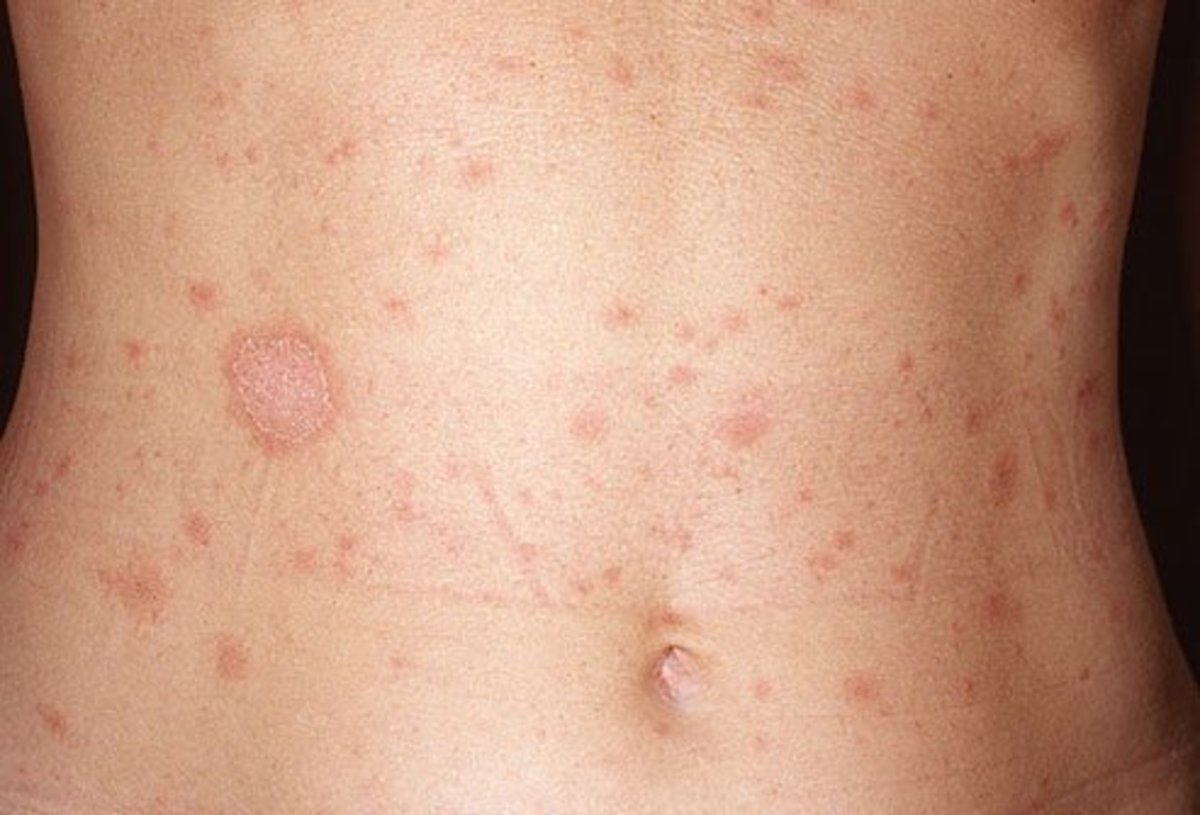
Pityriasis rosea NHS Tinea Versicolor Vs Pityriasis Rosea It is followed by smaller scaly patches that resemble a christmas tree. Tinea versicolor (now called pityriasis versicolor) is not caused by dermatophytes but rather by yeasts of the genus malassezia. [1] also known as pityriasis circinata, roseola annulata, and herpes tonsurans. Find out how to identify, treat and prevent this condition, and differentiate it from other skin. Learn about. Tinea Versicolor Vs Pityriasis Rosea.
From healthjade.net
Pityriasis versicolor, causes, symptoms, diagnosis, treatment & prognosis Tinea Versicolor Vs Pityriasis Rosea Tinea unguium is more commonly known as onychomycosis. [1] also known as pityriasis circinata, roseola annulata, and herpes tonsurans. Tinea versicolor is a common fungal infection that causes pigment changes on the skin. Learn about pityriasis versicolor, a common fungal infection that causes flaky patches on the skin. It is followed by smaller scaly patches that resemble a christmas tree.. Tinea Versicolor Vs Pityriasis Rosea.
From
Tinea Versicolor Vs Pityriasis Rosea Find out how to identify, treat and prevent this condition, and differentiate it from other skin. Tinea versicolor (now called pityriasis versicolor) is not caused by dermatophytes but rather by yeasts of the genus malassezia. Learn about the diagnosis, management, and. [1] also known as pityriasis circinata, roseola annulata, and herpes tonsurans. Tinea unguium is more commonly known as onychomycosis.. Tinea Versicolor Vs Pityriasis Rosea.
From goodcaptionsde.blogspot.com
pityriasis rosea vs tinea versicolor Good Captions Tinea Versicolor Vs Pityriasis Rosea Learn about the diagnosis, management, and. Tinea versicolor (now called pityriasis versicolor) is not caused by dermatophytes but rather by yeasts of the genus malassezia. Tinea unguium is more commonly known as onychomycosis. It is followed by smaller scaly patches that resemble a christmas tree. [1] also known as pityriasis circinata, roseola annulata, and herpes tonsurans. Tinea versicolor is a. Tinea Versicolor Vs Pityriasis Rosea.
From
Tinea Versicolor Vs Pityriasis Rosea Learn about the diagnosis, management, and. Tinea unguium is more commonly known as onychomycosis. It is followed by smaller scaly patches that resemble a christmas tree. Find out how to identify, treat and prevent this condition, and differentiate it from other skin. Tinea versicolor (now called pityriasis versicolor) is not caused by dermatophytes but rather by yeasts of the genus. Tinea Versicolor Vs Pityriasis Rosea.
From mavink.com
Tinea Corporis Arm Tinea Versicolor Vs Pityriasis Rosea [1] also known as pityriasis circinata, roseola annulata, and herpes tonsurans. Learn about the diagnosis, management, and. Tinea versicolor is a common fungal infection that causes pigment changes on the skin. It is followed by smaller scaly patches that resemble a christmas tree. Learn about pityriasis versicolor, a common fungal infection that causes flaky patches on the skin. Tinea unguium. Tinea Versicolor Vs Pityriasis Rosea.
From
Tinea Versicolor Vs Pityriasis Rosea Tinea versicolor (now called pityriasis versicolor) is not caused by dermatophytes but rather by yeasts of the genus malassezia. [1] also known as pityriasis circinata, roseola annulata, and herpes tonsurans. It is followed by smaller scaly patches that resemble a christmas tree. Find out how to identify, treat and prevent this condition, and differentiate it from other skin. Learn about. Tinea Versicolor Vs Pityriasis Rosea.
From
Tinea Versicolor Vs Pityriasis Rosea It is followed by smaller scaly patches that resemble a christmas tree. Find out how to identify, treat and prevent this condition, and differentiate it from other skin. Tinea unguium is more commonly known as onychomycosis. [1] also known as pityriasis circinata, roseola annulata, and herpes tonsurans. Tinea versicolor is a common fungal infection that causes pigment changes on the. Tinea Versicolor Vs Pityriasis Rosea.
From www.pcds.org.uk
Pityriasis versicolor Tinea Versicolor Vs Pityriasis Rosea Learn about the diagnosis, management, and. Tinea versicolor (now called pityriasis versicolor) is not caused by dermatophytes but rather by yeasts of the genus malassezia. Learn about pityriasis versicolor, a common fungal infection that causes flaky patches on the skin. [1] also known as pityriasis circinata, roseola annulata, and herpes tonsurans. Tinea unguium is more commonly known as onychomycosis. Tinea. Tinea Versicolor Vs Pityriasis Rosea.
From mungfali.com
Pityriasis Rosea Collarette Scale Tinea Versicolor Vs Pityriasis Rosea Find out how to identify, treat and prevent this condition, and differentiate it from other skin. Tinea versicolor (now called pityriasis versicolor) is not caused by dermatophytes but rather by yeasts of the genus malassezia. Tinea versicolor is a common fungal infection that causes pigment changes on the skin. [1] also known as pityriasis circinata, roseola annulata, and herpes tonsurans.. Tinea Versicolor Vs Pityriasis Rosea.
From
Tinea Versicolor Vs Pityriasis Rosea [1] also known as pityriasis circinata, roseola annulata, and herpes tonsurans. Learn about the diagnosis, management, and. It is followed by smaller scaly patches that resemble a christmas tree. Tinea versicolor (now called pityriasis versicolor) is not caused by dermatophytes but rather by yeasts of the genus malassezia. Learn about pityriasis versicolor, a common fungal infection that causes flaky patches. Tinea Versicolor Vs Pityriasis Rosea.
From www.gponline.com
Differential diagnosis Pityriasis Tinea Versicolor Vs Pityriasis Rosea Learn about the diagnosis, management, and. Find out how to identify, treat and prevent this condition, and differentiate it from other skin. Tinea unguium is more commonly known as onychomycosis. Tinea versicolor (now called pityriasis versicolor) is not caused by dermatophytes but rather by yeasts of the genus malassezia. Tinea versicolor is a common fungal infection that causes pigment changes. Tinea Versicolor Vs Pityriasis Rosea.
From
Tinea Versicolor Vs Pityriasis Rosea [1] also known as pityriasis circinata, roseola annulata, and herpes tonsurans. Tinea versicolor is a common fungal infection that causes pigment changes on the skin. It is followed by smaller scaly patches that resemble a christmas tree. Tinea unguium is more commonly known as onychomycosis. Find out how to identify, treat and prevent this condition, and differentiate it from other. Tinea Versicolor Vs Pityriasis Rosea.
From
Tinea Versicolor Vs Pityriasis Rosea Tinea versicolor is a common fungal infection that causes pigment changes on the skin. Learn about pityriasis versicolor, a common fungal infection that causes flaky patches on the skin. Learn about the diagnosis, management, and. It is followed by smaller scaly patches that resemble a christmas tree. Tinea versicolor (now called pityriasis versicolor) is not caused by dermatophytes but rather. Tinea Versicolor Vs Pityriasis Rosea.
From
Tinea Versicolor Vs Pityriasis Rosea Tinea unguium is more commonly known as onychomycosis. Find out how to identify, treat and prevent this condition, and differentiate it from other skin. Learn about the diagnosis, management, and. Tinea versicolor is a common fungal infection that causes pigment changes on the skin. [1] also known as pityriasis circinata, roseola annulata, and herpes tonsurans. Tinea versicolor (now called pityriasis. Tinea Versicolor Vs Pityriasis Rosea.
From
Tinea Versicolor Vs Pityriasis Rosea It is followed by smaller scaly patches that resemble a christmas tree. [1] also known as pityriasis circinata, roseola annulata, and herpes tonsurans. Find out how to identify, treat and prevent this condition, and differentiate it from other skin. Tinea unguium is more commonly known as onychomycosis. Learn about pityriasis versicolor, a common fungal infection that causes flaky patches on. Tinea Versicolor Vs Pityriasis Rosea.
From goodcaptionsde.blogspot.com
pityriasis rosea vs tinea versicolor Good Captions Tinea Versicolor Vs Pityriasis Rosea Tinea versicolor (now called pityriasis versicolor) is not caused by dermatophytes but rather by yeasts of the genus malassezia. Learn about the diagnosis, management, and. Tinea versicolor is a common fungal infection that causes pigment changes on the skin. Tinea unguium is more commonly known as onychomycosis. Learn about pityriasis versicolor, a common fungal infection that causes flaky patches on. Tinea Versicolor Vs Pityriasis Rosea.
From
Tinea Versicolor Vs Pityriasis Rosea It is followed by smaller scaly patches that resemble a christmas tree. Find out how to identify, treat and prevent this condition, and differentiate it from other skin. [1] also known as pityriasis circinata, roseola annulata, and herpes tonsurans. Tinea versicolor (now called pityriasis versicolor) is not caused by dermatophytes but rather by yeasts of the genus malassezia. Tinea versicolor. Tinea Versicolor Vs Pityriasis Rosea.
From
Tinea Versicolor Vs Pityriasis Rosea Learn about pityriasis versicolor, a common fungal infection that causes flaky patches on the skin. Tinea versicolor (now called pityriasis versicolor) is not caused by dermatophytes but rather by yeasts of the genus malassezia. [1] also known as pityriasis circinata, roseola annulata, and herpes tonsurans. Tinea unguium is more commonly known as onychomycosis. It is followed by smaller scaly patches. Tinea Versicolor Vs Pityriasis Rosea.
From lifepathdoc.com
Pityriasis Alba Vs. Tinea Versicolor Pictures and Differences Tinea Versicolor Vs Pityriasis Rosea Tinea versicolor is a common fungal infection that causes pigment changes on the skin. It is followed by smaller scaly patches that resemble a christmas tree. Tinea versicolor (now called pityriasis versicolor) is not caused by dermatophytes but rather by yeasts of the genus malassezia. Learn about pityriasis versicolor, a common fungal infection that causes flaky patches on the skin.. Tinea Versicolor Vs Pityriasis Rosea.
From
Tinea Versicolor Vs Pityriasis Rosea Learn about pityriasis versicolor, a common fungal infection that causes flaky patches on the skin. Find out how to identify, treat and prevent this condition, and differentiate it from other skin. [1] also known as pityriasis circinata, roseola annulata, and herpes tonsurans. Tinea versicolor (now called pityriasis versicolor) is not caused by dermatophytes but rather by yeasts of the genus. Tinea Versicolor Vs Pityriasis Rosea.