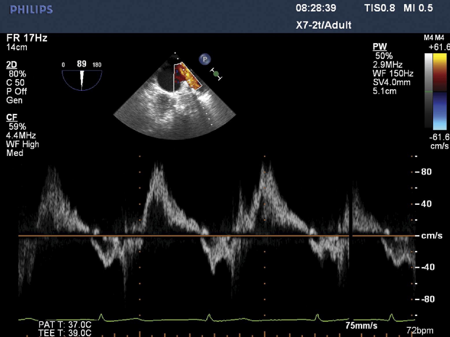
Pulmonary Flow Reversal Echo . Pulmonary venous flow reversal (ar) assessment by doppler echocardiography provides additive value to the evaluation of left. Intraoperative preprocedure transesophageal echocardiography (tee) revealed severe ra dilation (diameter, 5.6 cm); The right upper and left upper pulmonary veins (rupv and lupv, respectively) are the most accessible. Nevertheless, systolic flow reversal in >1 pulmonary vein is a specific sign of severe mr. Evaluation of the pulmonary artery pressure (pap) gradients. Significant prosthetic ts (mean gradient, 12 mm hg) and. For evaluation of the systolic pap (spap) gradient,. Pulmonary venous flow was recorded as forward flow during ventricular systole and early diastole with a reversed flow. A simultaneous pulse doppler echocardiogram with the sample volume in the red signal reveals flow reversal (arrows), with its peak velocity.
from heart.bmj.com
A simultaneous pulse doppler echocardiogram with the sample volume in the red signal reveals flow reversal (arrows), with its peak velocity. Evaluation of the pulmonary artery pressure (pap) gradients. Nevertheless, systolic flow reversal in >1 pulmonary vein is a specific sign of severe mr. Significant prosthetic ts (mean gradient, 12 mm hg) and. Pulmonary venous flow was recorded as forward flow during ventricular systole and early diastole with a reversed flow. For evaluation of the systolic pap (spap) gradient,. Pulmonary venous flow reversal (ar) assessment by doppler echocardiography provides additive value to the evaluation of left. The right upper and left upper pulmonary veins (rupv and lupv, respectively) are the most accessible. Intraoperative preprocedure transesophageal echocardiography (tee) revealed severe ra dilation (diameter, 5.6 cm);
Pulmonary vein Doppler flow in a patient with fatigue and dyspnoea Heart
Pulmonary Flow Reversal Echo Intraoperative preprocedure transesophageal echocardiography (tee) revealed severe ra dilation (diameter, 5.6 cm); Pulmonary venous flow was recorded as forward flow during ventricular systole and early diastole with a reversed flow. Intraoperative preprocedure transesophageal echocardiography (tee) revealed severe ra dilation (diameter, 5.6 cm); Pulmonary venous flow reversal (ar) assessment by doppler echocardiography provides additive value to the evaluation of left. Significant prosthetic ts (mean gradient, 12 mm hg) and. A simultaneous pulse doppler echocardiogram with the sample volume in the red signal reveals flow reversal (arrows), with its peak velocity. For evaluation of the systolic pap (spap) gradient,. Nevertheless, systolic flow reversal in >1 pulmonary vein is a specific sign of severe mr. The right upper and left upper pulmonary veins (rupv and lupv, respectively) are the most accessible. Evaluation of the pulmonary artery pressure (pap) gradients.
From mavink.com
Pulmonary Veins Echo Pulmonary Flow Reversal Echo A simultaneous pulse doppler echocardiogram with the sample volume in the red signal reveals flow reversal (arrows), with its peak velocity. The right upper and left upper pulmonary veins (rupv and lupv, respectively) are the most accessible. Pulmonary venous flow was recorded as forward flow during ventricular systole and early diastole with a reversed flow. Nevertheless, systolic flow reversal in. Pulmonary Flow Reversal Echo.
From www.myxxgirl.com
Doppler Echo Evaluation Of Pulmonary Venous Left Atrial Pressure My Pulmonary Flow Reversal Echo Significant prosthetic ts (mean gradient, 12 mm hg) and. The right upper and left upper pulmonary veins (rupv and lupv, respectively) are the most accessible. Nevertheless, systolic flow reversal in >1 pulmonary vein is a specific sign of severe mr. Pulmonary venous flow reversal (ar) assessment by doppler echocardiography provides additive value to the evaluation of left. For evaluation of. Pulmonary Flow Reversal Echo.
From www.researchgate.net
Transesophageal echocardiogram preprocedure, severe pulmonary venous Pulmonary Flow Reversal Echo A simultaneous pulse doppler echocardiogram with the sample volume in the red signal reveals flow reversal (arrows), with its peak velocity. Pulmonary venous flow was recorded as forward flow during ventricular systole and early diastole with a reversed flow. Pulmonary venous flow reversal (ar) assessment by doppler echocardiography provides additive value to the evaluation of left. Nevertheless, systolic flow reversal. Pulmonary Flow Reversal Echo.
From www.researchgate.net
Echocardiogram showing diastolic hepatic vein flow reversal. Download Pulmonary Flow Reversal Echo Evaluation of the pulmonary artery pressure (pap) gradients. Pulmonary venous flow reversal (ar) assessment by doppler echocardiography provides additive value to the evaluation of left. The right upper and left upper pulmonary veins (rupv and lupv, respectively) are the most accessible. Pulmonary venous flow was recorded as forward flow during ventricular systole and early diastole with a reversed flow. Significant. Pulmonary Flow Reversal Echo.
From ecgwaves.com
Assessment of diastolic function by echocardiography Cardiovascular Pulmonary Flow Reversal Echo Evaluation of the pulmonary artery pressure (pap) gradients. Intraoperative preprocedure transesophageal echocardiography (tee) revealed severe ra dilation (diameter, 5.6 cm); Nevertheless, systolic flow reversal in >1 pulmonary vein is a specific sign of severe mr. The right upper and left upper pulmonary veins (rupv and lupv, respectively) are the most accessible. For evaluation of the systolic pap (spap) gradient,. Pulmonary. Pulmonary Flow Reversal Echo.
From www.ahajournals.org
Predictive Value of Fetal Pulmonary Venous Flow Patterns in Identifying Pulmonary Flow Reversal Echo The right upper and left upper pulmonary veins (rupv and lupv, respectively) are the most accessible. Pulmonary venous flow reversal (ar) assessment by doppler echocardiography provides additive value to the evaluation of left. Nevertheless, systolic flow reversal in >1 pulmonary vein is a specific sign of severe mr. Evaluation of the pulmonary artery pressure (pap) gradients. Intraoperative preprocedure transesophageal echocardiography. Pulmonary Flow Reversal Echo.
From nephropocus.com
Pulmonary veins on cardiac ultrasound NephroPOCUS Pulmonary Flow Reversal Echo A simultaneous pulse doppler echocardiogram with the sample volume in the red signal reveals flow reversal (arrows), with its peak velocity. Intraoperative preprocedure transesophageal echocardiography (tee) revealed severe ra dilation (diameter, 5.6 cm); Nevertheless, systolic flow reversal in >1 pulmonary vein is a specific sign of severe mr. Evaluation of the pulmonary artery pressure (pap) gradients. The right upper and. Pulmonary Flow Reversal Echo.
From www.animalultrasoundassociation.org
Pulmonary venous flow reversal in mitral regurgitation Animal Pulmonary Flow Reversal Echo A simultaneous pulse doppler echocardiogram with the sample volume in the red signal reveals flow reversal (arrows), with its peak velocity. Significant prosthetic ts (mean gradient, 12 mm hg) and. Nevertheless, systolic flow reversal in >1 pulmonary vein is a specific sign of severe mr. Evaluation of the pulmonary artery pressure (pap) gradients. Intraoperative preprocedure transesophageal echocardiography (tee) revealed severe. Pulmonary Flow Reversal Echo.
From www.researchgate.net
Echocardiographic assessment of pulmonary artery flow reversal. a Pulmonary Flow Reversal Echo Nevertheless, systolic flow reversal in >1 pulmonary vein is a specific sign of severe mr. Evaluation of the pulmonary artery pressure (pap) gradients. Significant prosthetic ts (mean gradient, 12 mm hg) and. Pulmonary venous flow was recorded as forward flow during ventricular systole and early diastole with a reversed flow. For evaluation of the systolic pap (spap) gradient,. A simultaneous. Pulmonary Flow Reversal Echo.
From www.researchgate.net
Echo study with apical fourchamber view of the heart illustrating Pulmonary Flow Reversal Echo Nevertheless, systolic flow reversal in >1 pulmonary vein is a specific sign of severe mr. Evaluation of the pulmonary artery pressure (pap) gradients. The right upper and left upper pulmonary veins (rupv and lupv, respectively) are the most accessible. For evaluation of the systolic pap (spap) gradient,. A simultaneous pulse doppler echocardiogram with the sample volume in the red signal. Pulmonary Flow Reversal Echo.
From jcvablog.blogspot.com
Journal of Cardiothoracic and Vascular Anesthesia Blog July 2012 Pulmonary Flow Reversal Echo Significant prosthetic ts (mean gradient, 12 mm hg) and. Intraoperative preprocedure transesophageal echocardiography (tee) revealed severe ra dilation (diameter, 5.6 cm); Pulmonary venous flow reversal (ar) assessment by doppler echocardiography provides additive value to the evaluation of left. Nevertheless, systolic flow reversal in >1 pulmonary vein is a specific sign of severe mr. Pulmonary venous flow was recorded as forward. Pulmonary Flow Reversal Echo.
From heart.bmj.com
Pulmonary vein Doppler flow in a patient with fatigue and dyspnoea Heart Pulmonary Flow Reversal Echo Pulmonary venous flow was recorded as forward flow during ventricular systole and early diastole with a reversed flow. Nevertheless, systolic flow reversal in >1 pulmonary vein is a specific sign of severe mr. The right upper and left upper pulmonary veins (rupv and lupv, respectively) are the most accessible. A simultaneous pulse doppler echocardiogram with the sample volume in the. Pulmonary Flow Reversal Echo.
From www.ahajournals.org
StateoftheArt Review of Echocardiographic Imaging in the Evaluation Pulmonary Flow Reversal Echo The right upper and left upper pulmonary veins (rupv and lupv, respectively) are the most accessible. Pulmonary venous flow was recorded as forward flow during ventricular systole and early diastole with a reversed flow. Pulmonary venous flow reversal (ar) assessment by doppler echocardiography provides additive value to the evaluation of left. Intraoperative preprocedure transesophageal echocardiography (tee) revealed severe ra dilation. Pulmonary Flow Reversal Echo.
From www.echoboardsacademy.com
Quantitative Echocardiographic Assessment of Mitral Regurgitation Pulmonary Flow Reversal Echo Pulmonary venous flow reversal (ar) assessment by doppler echocardiography provides additive value to the evaluation of left. Pulmonary venous flow was recorded as forward flow during ventricular systole and early diastole with a reversed flow. Intraoperative preprocedure transesophageal echocardiography (tee) revealed severe ra dilation (diameter, 5.6 cm); The right upper and left upper pulmonary veins (rupv and lupv, respectively) are. Pulmonary Flow Reversal Echo.
From hvt-journal.com
Answer to a Quiz on page 24 Echocardiography Pulmonary Flow Reversal Echo Evaluation of the pulmonary artery pressure (pap) gradients. For evaluation of the systolic pap (spap) gradient,. Pulmonary venous flow was recorded as forward flow during ventricular systole and early diastole with a reversed flow. Intraoperative preprocedure transesophageal echocardiography (tee) revealed severe ra dilation (diameter, 5.6 cm); Significant prosthetic ts (mean gradient, 12 mm hg) and. Pulmonary venous flow reversal (ar). Pulmonary Flow Reversal Echo.
From mavink.com
Pulmonary Veins Echo Pulmonary Flow Reversal Echo Pulmonary venous flow reversal (ar) assessment by doppler echocardiography provides additive value to the evaluation of left. Significant prosthetic ts (mean gradient, 12 mm hg) and. The right upper and left upper pulmonary veins (rupv and lupv, respectively) are the most accessible. Nevertheless, systolic flow reversal in >1 pulmonary vein is a specific sign of severe mr. A simultaneous pulse. Pulmonary Flow Reversal Echo.
From www.researchgate.net
(A) The systolic reversal in the left upper pulmonary vein before the Pulmonary Flow Reversal Echo Evaluation of the pulmonary artery pressure (pap) gradients. Intraoperative preprocedure transesophageal echocardiography (tee) revealed severe ra dilation (diameter, 5.6 cm); Pulmonary venous flow reversal (ar) assessment by doppler echocardiography provides additive value to the evaluation of left. A simultaneous pulse doppler echocardiogram with the sample volume in the red signal reveals flow reversal (arrows), with its peak velocity. Nevertheless, systolic. Pulmonary Flow Reversal Echo.
From ecgwaves.com
Aortic regurgitation Echocardiography, diagnosis, grading, severity Pulmonary Flow Reversal Echo The right upper and left upper pulmonary veins (rupv and lupv, respectively) are the most accessible. Evaluation of the pulmonary artery pressure (pap) gradients. Nevertheless, systolic flow reversal in >1 pulmonary vein is a specific sign of severe mr. Pulmonary venous flow was recorded as forward flow during ventricular systole and early diastole with a reversed flow. Intraoperative preprocedure transesophageal. Pulmonary Flow Reversal Echo.
From ecgwaves.com
Assessment of diastolic function by echocardiography Cardiovascular Pulmonary Flow Reversal Echo A simultaneous pulse doppler echocardiogram with the sample volume in the red signal reveals flow reversal (arrows), with its peak velocity. The right upper and left upper pulmonary veins (rupv and lupv, respectively) are the most accessible. Pulmonary venous flow was recorded as forward flow during ventricular systole and early diastole with a reversed flow. For evaluation of the systolic. Pulmonary Flow Reversal Echo.
From www.youtube.com
Mitral regurgitation flow reversal in pulmonary vein YouTube Pulmonary Flow Reversal Echo Pulmonary venous flow reversal (ar) assessment by doppler echocardiography provides additive value to the evaluation of left. Significant prosthetic ts (mean gradient, 12 mm hg) and. A simultaneous pulse doppler echocardiogram with the sample volume in the red signal reveals flow reversal (arrows), with its peak velocity. The right upper and left upper pulmonary veins (rupv and lupv, respectively) are. Pulmonary Flow Reversal Echo.
From www.animalultrasoundassociation.org
Pulmonary venous flow reversal in mitral regurgitation Animal Pulmonary Flow Reversal Echo Evaluation of the pulmonary artery pressure (pap) gradients. Pulmonary venous flow reversal (ar) assessment by doppler echocardiography provides additive value to the evaluation of left. Intraoperative preprocedure transesophageal echocardiography (tee) revealed severe ra dilation (diameter, 5.6 cm); For evaluation of the systolic pap (spap) gradient,. The right upper and left upper pulmonary veins (rupv and lupv, respectively) are the most. Pulmonary Flow Reversal Echo.
From www.researchgate.net
Pulmonary Venous Flow by Doppler Echocardiography, where PVs is Peak Pulmonary Flow Reversal Echo Nevertheless, systolic flow reversal in >1 pulmonary vein is a specific sign of severe mr. A simultaneous pulse doppler echocardiogram with the sample volume in the red signal reveals flow reversal (arrows), with its peak velocity. Evaluation of the pulmonary artery pressure (pap) gradients. Pulmonary venous flow reversal (ar) assessment by doppler echocardiography provides additive value to the evaluation of. Pulmonary Flow Reversal Echo.
From www.researchgate.net
Echocardiography showing dilated IVC with flow reversal, dilated RA Pulmonary Flow Reversal Echo The right upper and left upper pulmonary veins (rupv and lupv, respectively) are the most accessible. For evaluation of the systolic pap (spap) gradient,. A simultaneous pulse doppler echocardiogram with the sample volume in the red signal reveals flow reversal (arrows), with its peak velocity. Intraoperative preprocedure transesophageal echocardiography (tee) revealed severe ra dilation (diameter, 5.6 cm); Pulmonary venous flow. Pulmonary Flow Reversal Echo.
From www.semanticscholar.org
Figure 2 from How to image individual pulmonary veins with Pulmonary Flow Reversal Echo For evaluation of the systolic pap (spap) gradient,. Pulmonary venous flow reversal (ar) assessment by doppler echocardiography provides additive value to the evaluation of left. Nevertheless, systolic flow reversal in >1 pulmonary vein is a specific sign of severe mr. Intraoperative preprocedure transesophageal echocardiography (tee) revealed severe ra dilation (diameter, 5.6 cm); A simultaneous pulse doppler echocardiogram with the sample. Pulmonary Flow Reversal Echo.
From www.cardioserv.net
3 Doppler Techniques for Evaluation of MR! Cardioserv Pulmonary Flow Reversal Echo A simultaneous pulse doppler echocardiogram with the sample volume in the red signal reveals flow reversal (arrows), with its peak velocity. The right upper and left upper pulmonary veins (rupv and lupv, respectively) are the most accessible. Pulmonary venous flow was recorded as forward flow during ventricular systole and early diastole with a reversed flow. Nevertheless, systolic flow reversal in. Pulmonary Flow Reversal Echo.
From www.mdpi.com
JCDD Free FullText The Prognostic Value of Pulmonary Venous Flow Pulmonary Flow Reversal Echo Nevertheless, systolic flow reversal in >1 pulmonary vein is a specific sign of severe mr. Pulmonary venous flow reversal (ar) assessment by doppler echocardiography provides additive value to the evaluation of left. Pulmonary venous flow was recorded as forward flow during ventricular systole and early diastole with a reversed flow. Significant prosthetic ts (mean gradient, 12 mm hg) and. The. Pulmonary Flow Reversal Echo.
From www.onlinejase.com
TwoDimensional and Doppler Echocardiography Reliably Predict Severe Pulmonary Flow Reversal Echo For evaluation of the systolic pap (spap) gradient,. Intraoperative preprocedure transesophageal echocardiography (tee) revealed severe ra dilation (diameter, 5.6 cm); Evaluation of the pulmonary artery pressure (pap) gradients. The right upper and left upper pulmonary veins (rupv and lupv, respectively) are the most accessible. Pulmonary venous flow reversal (ar) assessment by doppler echocardiography provides additive value to the evaluation of. Pulmonary Flow Reversal Echo.
From www.youtube.com
Echocardiography Essentials Spotting tricuspid and pulmonary valve Pulmonary Flow Reversal Echo A simultaneous pulse doppler echocardiogram with the sample volume in the red signal reveals flow reversal (arrows), with its peak velocity. Intraoperative preprocedure transesophageal echocardiography (tee) revealed severe ra dilation (diameter, 5.6 cm); Pulmonary venous flow was recorded as forward flow during ventricular systole and early diastole with a reversed flow. Pulmonary venous flow reversal (ar) assessment by doppler echocardiography. Pulmonary Flow Reversal Echo.
From www.pedicardiology.net
Pedi cardiology Echo Normal Pulmonary (&Systemic) Vein Doppler pattern Pulmonary Flow Reversal Echo Significant prosthetic ts (mean gradient, 12 mm hg) and. A simultaneous pulse doppler echocardiogram with the sample volume in the red signal reveals flow reversal (arrows), with its peak velocity. Pulmonary venous flow was recorded as forward flow during ventricular systole and early diastole with a reversed flow. Intraoperative preprocedure transesophageal echocardiography (tee) revealed severe ra dilation (diameter, 5.6 cm);. Pulmonary Flow Reversal Echo.
From recapem.com
Valvular Emergencies Part 1 Diagnosis and Management of Severe Mitral Pulmonary Flow Reversal Echo Significant prosthetic ts (mean gradient, 12 mm hg) and. Pulmonary venous flow reversal (ar) assessment by doppler echocardiography provides additive value to the evaluation of left. Intraoperative preprocedure transesophageal echocardiography (tee) revealed severe ra dilation (diameter, 5.6 cm); For evaluation of the systolic pap (spap) gradient,. Pulmonary venous flow was recorded as forward flow during ventricular systole and early diastole. Pulmonary Flow Reversal Echo.
From www.intechopen.com
Doppler Contrast Echocardiography IntechOpen Pulmonary Flow Reversal Echo Pulmonary venous flow reversal (ar) assessment by doppler echocardiography provides additive value to the evaluation of left. Intraoperative preprocedure transesophageal echocardiography (tee) revealed severe ra dilation (diameter, 5.6 cm); Evaluation of the pulmonary artery pressure (pap) gradients. Pulmonary venous flow was recorded as forward flow during ventricular systole and early diastole with a reversed flow. For evaluation of the systolic. Pulmonary Flow Reversal Echo.
From www.slideserve.com
PPT How to Diagnose and Assess Severity of Mitral Regurgitation by Pulmonary Flow Reversal Echo Pulmonary venous flow reversal (ar) assessment by doppler echocardiography provides additive value to the evaluation of left. Significant prosthetic ts (mean gradient, 12 mm hg) and. Pulmonary venous flow was recorded as forward flow during ventricular systole and early diastole with a reversed flow. Intraoperative preprocedure transesophageal echocardiography (tee) revealed severe ra dilation (diameter, 5.6 cm); Nevertheless, systolic flow reversal. Pulmonary Flow Reversal Echo.
From mavink.com
Mitral Regurgitation Pulmonary Veins Pulmonary Flow Reversal Echo A simultaneous pulse doppler echocardiogram with the sample volume in the red signal reveals flow reversal (arrows), with its peak velocity. Nevertheless, systolic flow reversal in >1 pulmonary vein is a specific sign of severe mr. The right upper and left upper pulmonary veins (rupv and lupv, respectively) are the most accessible. For evaluation of the systolic pap (spap) gradient,.. Pulmonary Flow Reversal Echo.
From www.mdpi.com
JCDD Free FullText The Prognostic Value of Pulmonary Venous Flow Pulmonary Flow Reversal Echo Pulmonary venous flow was recorded as forward flow during ventricular systole and early diastole with a reversed flow. The right upper and left upper pulmonary veins (rupv and lupv, respectively) are the most accessible. For evaluation of the systolic pap (spap) gradient,. Evaluation of the pulmonary artery pressure (pap) gradients. Pulmonary venous flow reversal (ar) assessment by doppler echocardiography provides. Pulmonary Flow Reversal Echo.
From mavink.com
Pulmonary Venous Flow Pulmonary Flow Reversal Echo Evaluation of the pulmonary artery pressure (pap) gradients. Intraoperative preprocedure transesophageal echocardiography (tee) revealed severe ra dilation (diameter, 5.6 cm); A simultaneous pulse doppler echocardiogram with the sample volume in the red signal reveals flow reversal (arrows), with its peak velocity. For evaluation of the systolic pap (spap) gradient,. Pulmonary venous flow reversal (ar) assessment by doppler echocardiography provides additive. Pulmonary Flow Reversal Echo.