Horse Hip Dysplasia Symptoms . The horse may show signs of pain or lameness, depending on the severity of. Hip luxation is commonly caused by trauma, but joint degeneration or hip dysplasia increases the risk. What are the symptoms of hip dysplasia in horses? Most horses with coxofemoral pathology show some pain on proximal limb flexion or abduction. Physitis involves swelling around the growth plates of certain long bones in young horses. Rectal examination is generally unrewarding;. Traumatic hip luxation is painful, impacting weight bearing and. Broken bones, whether the pelvis or femur, have more dramatic clinical signs that make diagnosis straightforward. Trochanteric bursitis (“whirlbone” lameness) disorders of the hip include coxitis, dislocations, fractures, and bursitis.
from www.globalvetspecialists.org
Trochanteric bursitis (“whirlbone” lameness) disorders of the hip include coxitis, dislocations, fractures, and bursitis. Rectal examination is generally unrewarding;. Physitis involves swelling around the growth plates of certain long bones in young horses. The horse may show signs of pain or lameness, depending on the severity of. Hip luxation is commonly caused by trauma, but joint degeneration or hip dysplasia increases the risk. Traumatic hip luxation is painful, impacting weight bearing and. Most horses with coxofemoral pathology show some pain on proximal limb flexion or abduction. What are the symptoms of hip dysplasia in horses? Broken bones, whether the pelvis or femur, have more dramatic clinical signs that make diagnosis straightforward.
Hip Dysplasia and Its Causes Global Vet Blog
Horse Hip Dysplasia Symptoms Most horses with coxofemoral pathology show some pain on proximal limb flexion or abduction. Physitis involves swelling around the growth plates of certain long bones in young horses. Hip luxation is commonly caused by trauma, but joint degeneration or hip dysplasia increases the risk. Broken bones, whether the pelvis or femur, have more dramatic clinical signs that make diagnosis straightforward. Most horses with coxofemoral pathology show some pain on proximal limb flexion or abduction. What are the symptoms of hip dysplasia in horses? Rectal examination is generally unrewarding;. The horse may show signs of pain or lameness, depending on the severity of. Traumatic hip luxation is painful, impacting weight bearing and. Trochanteric bursitis (“whirlbone” lameness) disorders of the hip include coxitis, dislocations, fractures, and bursitis.
From ar.inspiredpencil.com
Stifle Injuries In Horses Signs Horse Hip Dysplasia Symptoms Trochanteric bursitis (“whirlbone” lameness) disorders of the hip include coxitis, dislocations, fractures, and bursitis. Broken bones, whether the pelvis or femur, have more dramatic clinical signs that make diagnosis straightforward. What are the symptoms of hip dysplasia in horses? The horse may show signs of pain or lameness, depending on the severity of. Physitis involves swelling around the growth plates. Horse Hip Dysplasia Symptoms.
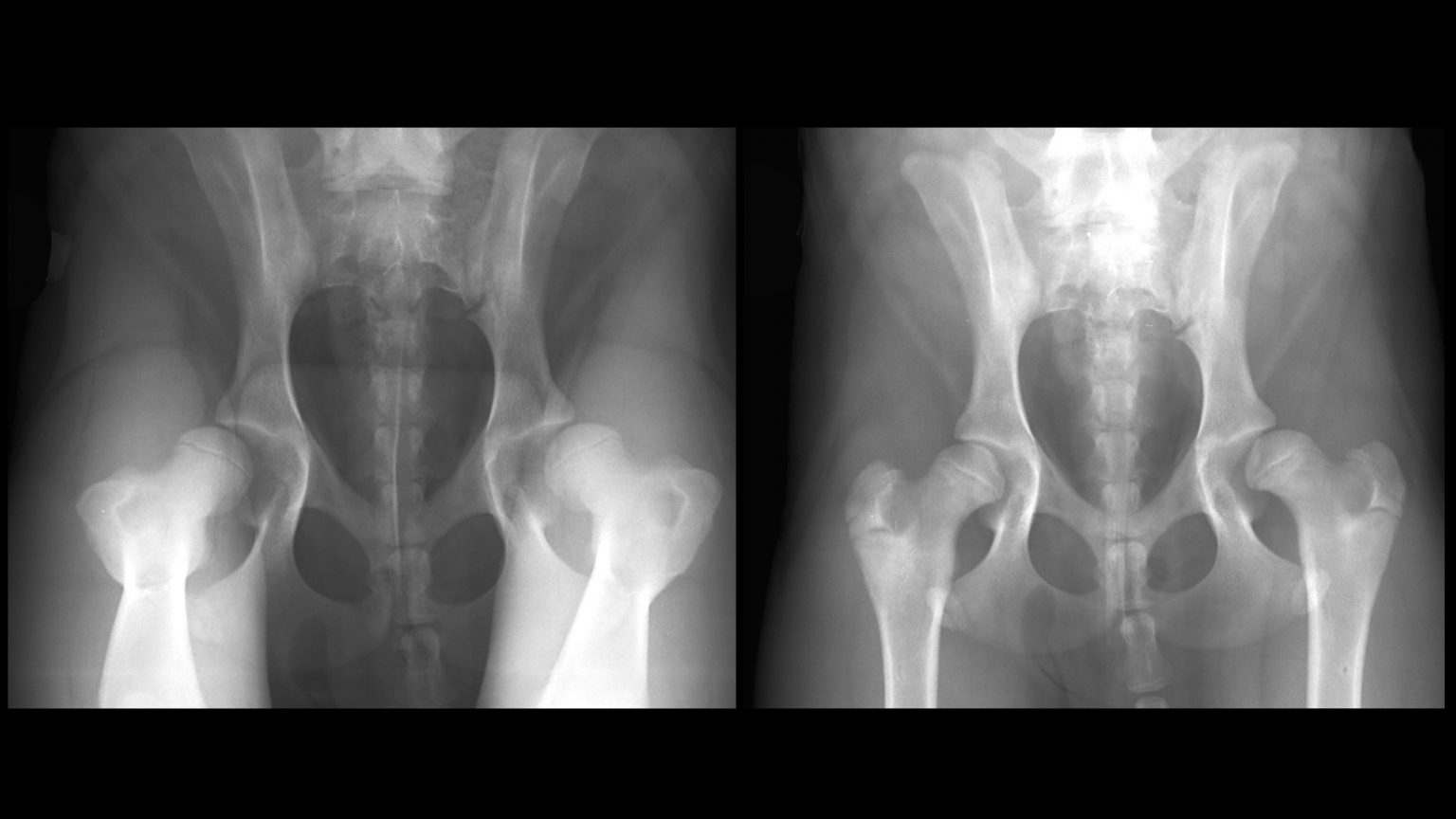
From orthofixar.com
Developmental Dysplasia Of The Hip OrthoFixar 2024 Horse Hip Dysplasia Symptoms Most horses with coxofemoral pathology show some pain on proximal limb flexion or abduction. What are the symptoms of hip dysplasia in horses? Broken bones, whether the pelvis or femur, have more dramatic clinical signs that make diagnosis straightforward. Traumatic hip luxation is painful, impacting weight bearing and. Hip luxation is commonly caused by trauma, but joint degeneration or hip. Horse Hip Dysplasia Symptoms.
From www.dutch.com
What Is Hip Dysplasia In Dogs? Signs, Causes, & Treatment Dutch Horse Hip Dysplasia Symptoms Traumatic hip luxation is painful, impacting weight bearing and. Hip luxation is commonly caused by trauma, but joint degeneration or hip dysplasia increases the risk. Most horses with coxofemoral pathology show some pain on proximal limb flexion or abduction. What are the symptoms of hip dysplasia in horses? Rectal examination is generally unrewarding;. The horse may show signs of pain. Horse Hip Dysplasia Symptoms.
From tweedcoastchiropractic.com.au
What Is Hip Dysplasia? Can It Be Treated? Horse Hip Dysplasia Symptoms Most horses with coxofemoral pathology show some pain on proximal limb flexion or abduction. Broken bones, whether the pelvis or femur, have more dramatic clinical signs that make diagnosis straightforward. Physitis involves swelling around the growth plates of certain long bones in young horses. Trochanteric bursitis (“whirlbone” lameness) disorders of the hip include coxitis, dislocations, fractures, and bursitis. What are. Horse Hip Dysplasia Symptoms.
From www.horseandhound.co.uk
Pelvic fractures in horses all you need to know Horse & Hound Horse Hip Dysplasia Symptoms The horse may show signs of pain or lameness, depending on the severity of. Broken bones, whether the pelvis or femur, have more dramatic clinical signs that make diagnosis straightforward. Trochanteric bursitis (“whirlbone” lameness) disorders of the hip include coxitis, dislocations, fractures, and bursitis. Physitis involves swelling around the growth plates of certain long bones in young horses. What are. Horse Hip Dysplasia Symptoms.
From www.thehorsesadvocate.com
Dropped Hip In Horses The Horse's Advocate Horse Hip Dysplasia Symptoms Rectal examination is generally unrewarding;. Trochanteric bursitis (“whirlbone” lameness) disorders of the hip include coxitis, dislocations, fractures, and bursitis. Traumatic hip luxation is painful, impacting weight bearing and. Physitis involves swelling around the growth plates of certain long bones in young horses. The horse may show signs of pain or lameness, depending on the severity of. What are the symptoms. Horse Hip Dysplasia Symptoms.
From www.alamy.com
Hip dysplasia hires stock photography and images Alamy Horse Hip Dysplasia Symptoms Most horses with coxofemoral pathology show some pain on proximal limb flexion or abduction. What are the symptoms of hip dysplasia in horses? The horse may show signs of pain or lameness, depending on the severity of. Hip luxation is commonly caused by trauma, but joint degeneration or hip dysplasia increases the risk. Rectal examination is generally unrewarding;. Physitis involves. Horse Hip Dysplasia Symptoms.
From www.towncenterortho.com
Tua Tagovailoa Injury Town Center Orthopaedics Horse Hip Dysplasia Symptoms Trochanteric bursitis (“whirlbone” lameness) disorders of the hip include coxitis, dislocations, fractures, and bursitis. What are the symptoms of hip dysplasia in horses? Hip luxation is commonly caused by trauma, but joint degeneration or hip dysplasia increases the risk. Rectal examination is generally unrewarding;. Physitis involves swelling around the growth plates of certain long bones in young horses. The horse. Horse Hip Dysplasia Symptoms.
From healthjade.net
Developmental dysplasia of the hip causes, symptoms, diagnosis Horse Hip Dysplasia Symptoms What are the symptoms of hip dysplasia in horses? The horse may show signs of pain or lameness, depending on the severity of. Broken bones, whether the pelvis or femur, have more dramatic clinical signs that make diagnosis straightforward. Most horses with coxofemoral pathology show some pain on proximal limb flexion or abduction. Rectal examination is generally unrewarding;. Traumatic hip. Horse Hip Dysplasia Symptoms.
From www.youtube.com
Hip dysplasia key signs and symptoms YouTube Horse Hip Dysplasia Symptoms Most horses with coxofemoral pathology show some pain on proximal limb flexion or abduction. Traumatic hip luxation is painful, impacting weight bearing and. Broken bones, whether the pelvis or femur, have more dramatic clinical signs that make diagnosis straightforward. Trochanteric bursitis (“whirlbone” lameness) disorders of the hip include coxitis, dislocations, fractures, and bursitis. Rectal examination is generally unrewarding;. The horse. Horse Hip Dysplasia Symptoms.
From hipdysplasia.org
Diagnosis International Hip Dysplasia Institute Horse Hip Dysplasia Symptoms Physitis involves swelling around the growth plates of certain long bones in young horses. Traumatic hip luxation is painful, impacting weight bearing and. The horse may show signs of pain or lameness, depending on the severity of. Most horses with coxofemoral pathology show some pain on proximal limb flexion or abduction. Hip luxation is commonly caused by trauma, but joint. Horse Hip Dysplasia Symptoms.
From hipdysplasia.org
Diagnosis International Hip Dysplasia Institute Horse Hip Dysplasia Symptoms Hip luxation is commonly caused by trauma, but joint degeneration or hip dysplasia increases the risk. Most horses with coxofemoral pathology show some pain on proximal limb flexion or abduction. Broken bones, whether the pelvis or femur, have more dramatic clinical signs that make diagnosis straightforward. Trochanteric bursitis (“whirlbone” lameness) disorders of the hip include coxitis, dislocations, fractures, and bursitis.. Horse Hip Dysplasia Symptoms.
From www.thehorsesadvocate.com
Dropped Hip In Horses The Horse's Advocate Horse Hip Dysplasia Symptoms Broken bones, whether the pelvis or femur, have more dramatic clinical signs that make diagnosis straightforward. What are the symptoms of hip dysplasia in horses? The horse may show signs of pain or lameness, depending on the severity of. Hip luxation is commonly caused by trauma, but joint degeneration or hip dysplasia increases the risk. Physitis involves swelling around the. Horse Hip Dysplasia Symptoms.
From www.ortho.wustl.edu
Hip Dysplasia Lydia Druin Horse Hip Dysplasia Symptoms Rectal examination is generally unrewarding;. Traumatic hip luxation is painful, impacting weight bearing and. Physitis involves swelling around the growth plates of certain long bones in young horses. Trochanteric bursitis (“whirlbone” lameness) disorders of the hip include coxitis, dislocations, fractures, and bursitis. The horse may show signs of pain or lameness, depending on the severity of. Broken bones, whether the. Horse Hip Dysplasia Symptoms.
From www.rmhhai.org
Acupressure for Canine Hip Dysplasia and Equine Hind End Lameness Horse Hip Dysplasia Symptoms Traumatic hip luxation is painful, impacting weight bearing and. Most horses with coxofemoral pathology show some pain on proximal limb flexion or abduction. Hip luxation is commonly caused by trauma, but joint degeneration or hip dysplasia increases the risk. The horse may show signs of pain or lameness, depending on the severity of. Rectal examination is generally unrewarding;. What are. Horse Hip Dysplasia Symptoms.
From www.youtube.com
Horse Tendon & Ligament Injuries and 7 Ways to Treat Them YouTube Horse Hip Dysplasia Symptoms Traumatic hip luxation is painful, impacting weight bearing and. Broken bones, whether the pelvis or femur, have more dramatic clinical signs that make diagnosis straightforward. Most horses with coxofemoral pathology show some pain on proximal limb flexion or abduction. What are the symptoms of hip dysplasia in horses? Hip luxation is commonly caused by trauma, but joint degeneration or hip. Horse Hip Dysplasia Symptoms.
From www.globalvetspecialists.org
Hip Dysplasia and Its Causes Global Vet Blog Horse Hip Dysplasia Symptoms Physitis involves swelling around the growth plates of certain long bones in young horses. Rectal examination is generally unrewarding;. Hip luxation is commonly caused by trauma, but joint degeneration or hip dysplasia increases the risk. Most horses with coxofemoral pathology show some pain on proximal limb flexion or abduction. Broken bones, whether the pelvis or femur, have more dramatic clinical. Horse Hip Dysplasia Symptoms.
From www.youtube.com
Rhodora Hip Injury Week 1 001.MOV YouTube Horse Hip Dysplasia Symptoms The horse may show signs of pain or lameness, depending on the severity of. Most horses with coxofemoral pathology show some pain on proximal limb flexion or abduction. What are the symptoms of hip dysplasia in horses? Hip luxation is commonly caused by trauma, but joint degeneration or hip dysplasia increases the risk. Traumatic hip luxation is painful, impacting weight. Horse Hip Dysplasia Symptoms.
From draftswithdots.blogspot.com
Drafts with Dots Conformation Clinic The Hip Horse Hip Dysplasia Symptoms Most horses with coxofemoral pathology show some pain on proximal limb flexion or abduction. Physitis involves swelling around the growth plates of certain long bones in young horses. The horse may show signs of pain or lameness, depending on the severity of. Traumatic hip luxation is painful, impacting weight bearing and. Trochanteric bursitis (“whirlbone” lameness) disorders of the hip include. Horse Hip Dysplasia Symptoms.
From www.joiipetcare.com
Hip dysplasia in dogs Joii Pet Care Horse Hip Dysplasia Symptoms Hip luxation is commonly caused by trauma, but joint degeneration or hip dysplasia increases the risk. What are the symptoms of hip dysplasia in horses? Trochanteric bursitis (“whirlbone” lameness) disorders of the hip include coxitis, dislocations, fractures, and bursitis. Most horses with coxofemoral pathology show some pain on proximal limb flexion or abduction. The horse may show signs of pain. Horse Hip Dysplasia Symptoms.
From vetic.in
Hip Dysplasia in Dogs Does Your Pupper Have it? Horse Hip Dysplasia Symptoms The horse may show signs of pain or lameness, depending on the severity of. Rectal examination is generally unrewarding;. Broken bones, whether the pelvis or femur, have more dramatic clinical signs that make diagnosis straightforward. Traumatic hip luxation is painful, impacting weight bearing and. Most horses with coxofemoral pathology show some pain on proximal limb flexion or abduction. Physitis involves. Horse Hip Dysplasia Symptoms.
From www.pinterest.com
Vitals & Anatomy Horse anatomy, Horse health, Horse care Horse Hip Dysplasia Symptoms Physitis involves swelling around the growth plates of certain long bones in young horses. Trochanteric bursitis (“whirlbone” lameness) disorders of the hip include coxitis, dislocations, fractures, and bursitis. What are the symptoms of hip dysplasia in horses? Most horses with coxofemoral pathology show some pain on proximal limb flexion or abduction. Hip luxation is commonly caused by trauma, but joint. Horse Hip Dysplasia Symptoms.
From www.prepladder.com
Hip Dysplasia Causes, Symptoms, Risk Factors, Diagnosis, Treatment and Horse Hip Dysplasia Symptoms Broken bones, whether the pelvis or femur, have more dramatic clinical signs that make diagnosis straightforward. Traumatic hip luxation is painful, impacting weight bearing and. Rectal examination is generally unrewarding;. Trochanteric bursitis (“whirlbone” lameness) disorders of the hip include coxitis, dislocations, fractures, and bursitis. The horse may show signs of pain or lameness, depending on the severity of. Hip luxation. Horse Hip Dysplasia Symptoms.
From www.horseandhound.co.uk
Pelvic fractures in horses all you need to know Horse & Hound Horse Hip Dysplasia Symptoms Broken bones, whether the pelvis or femur, have more dramatic clinical signs that make diagnosis straightforward. Most horses with coxofemoral pathology show some pain on proximal limb flexion or abduction. Rectal examination is generally unrewarding;. Traumatic hip luxation is painful, impacting weight bearing and. What are the symptoms of hip dysplasia in horses? Trochanteric bursitis (“whirlbone” lameness) disorders of the. Horse Hip Dysplasia Symptoms.
From www.arizonacanineorthopedics.com
Hip Dysplasia Arizona Canine Orthopedics & Sports Medicine Horse Hip Dysplasia Symptoms Hip luxation is commonly caused by trauma, but joint degeneration or hip dysplasia increases the risk. Traumatic hip luxation is painful, impacting weight bearing and. Rectal examination is generally unrewarding;. The horse may show signs of pain or lameness, depending on the severity of. Most horses with coxofemoral pathology show some pain on proximal limb flexion or abduction. Physitis involves. Horse Hip Dysplasia Symptoms.
From www.horseandhound.co.uk
Pelvic fractures in horses all you need to know Horse & Hound Horse Hip Dysplasia Symptoms Hip luxation is commonly caused by trauma, but joint degeneration or hip dysplasia increases the risk. Broken bones, whether the pelvis or femur, have more dramatic clinical signs that make diagnosis straightforward. Most horses with coxofemoral pathology show some pain on proximal limb flexion or abduction. The horse may show signs of pain or lameness, depending on the severity of.. Horse Hip Dysplasia Symptoms.
From atelier-yuwa.ciao.jp
German Shepherd Hip Dysplasia Signs And Treatments Petietec atelier Horse Hip Dysplasia Symptoms Broken bones, whether the pelvis or femur, have more dramatic clinical signs that make diagnosis straightforward. Most horses with coxofemoral pathology show some pain on proximal limb flexion or abduction. Hip luxation is commonly caused by trauma, but joint degeneration or hip dysplasia increases the risk. Traumatic hip luxation is painful, impacting weight bearing and. The horse may show signs. Horse Hip Dysplasia Symptoms.
From www.elwoodvet.net
Hip dysplasia — Elwood vet Horse Hip Dysplasia Symptoms Rectal examination is generally unrewarding;. The horse may show signs of pain or lameness, depending on the severity of. What are the symptoms of hip dysplasia in horses? Trochanteric bursitis (“whirlbone” lameness) disorders of the hip include coxitis, dislocations, fractures, and bursitis. Broken bones, whether the pelvis or femur, have more dramatic clinical signs that make diagnosis straightforward. Hip luxation. Horse Hip Dysplasia Symptoms.
From madbarn.ca
Hunter’s Bump in Horses Causes, Symptoms & Treatments Mad Barn Horse Hip Dysplasia Symptoms Most horses with coxofemoral pathology show some pain on proximal limb flexion or abduction. The horse may show signs of pain or lameness, depending on the severity of. Rectal examination is generally unrewarding;. Trochanteric bursitis (“whirlbone” lameness) disorders of the hip include coxitis, dislocations, fractures, and bursitis. What are the symptoms of hip dysplasia in horses? Hip luxation is commonly. Horse Hip Dysplasia Symptoms.
From atelier-yuwa.ciao.jp
German Shepherd Hip Dysplasia Signs And Treatments Petietec atelier Horse Hip Dysplasia Symptoms Physitis involves swelling around the growth plates of certain long bones in young horses. Trochanteric bursitis (“whirlbone” lameness) disorders of the hip include coxitis, dislocations, fractures, and bursitis. The horse may show signs of pain or lameness, depending on the severity of. Broken bones, whether the pelvis or femur, have more dramatic clinical signs that make diagnosis straightforward. Most horses. Horse Hip Dysplasia Symptoms.
From www.kyon.ch
Hip Dysplasia KYON Horse Hip Dysplasia Symptoms What are the symptoms of hip dysplasia in horses? Most horses with coxofemoral pathology show some pain on proximal limb flexion or abduction. Trochanteric bursitis (“whirlbone” lameness) disorders of the hip include coxitis, dislocations, fractures, and bursitis. Physitis involves swelling around the growth plates of certain long bones in young horses. Rectal examination is generally unrewarding;. The horse may show. Horse Hip Dysplasia Symptoms.
From www.dogheirs.com
Canine Hip Dysplasia Symptoms, Diagnosis, Treatment and Prevention Horse Hip Dysplasia Symptoms Hip luxation is commonly caused by trauma, but joint degeneration or hip dysplasia increases the risk. Broken bones, whether the pelvis or femur, have more dramatic clinical signs that make diagnosis straightforward. Traumatic hip luxation is painful, impacting weight bearing and. Trochanteric bursitis (“whirlbone” lameness) disorders of the hip include coxitis, dislocations, fractures, and bursitis. Physitis involves swelling around the. Horse Hip Dysplasia Symptoms.
From www.slideserve.com
PPT Hip Dysplasia PowerPoint Presentation, free download ID331229 Horse Hip Dysplasia Symptoms Trochanteric bursitis (“whirlbone” lameness) disorders of the hip include coxitis, dislocations, fractures, and bursitis. Broken bones, whether the pelvis or femur, have more dramatic clinical signs that make diagnosis straightforward. Physitis involves swelling around the growth plates of certain long bones in young horses. Hip luxation is commonly caused by trauma, but joint degeneration or hip dysplasia increases the risk.. Horse Hip Dysplasia Symptoms.
From www.vrogue.co
Understanding Hip Dysplasia Types Causes Treatments O vrogue.co Horse Hip Dysplasia Symptoms Rectal examination is generally unrewarding;. Most horses with coxofemoral pathology show some pain on proximal limb flexion or abduction. Hip luxation is commonly caused by trauma, but joint degeneration or hip dysplasia increases the risk. Broken bones, whether the pelvis or femur, have more dramatic clinical signs that make diagnosis straightforward. Physitis involves swelling around the growth plates of certain. Horse Hip Dysplasia Symptoms.
From blockbath71.pythonanywhere.com
Heartwarming Tips About How To Detect Hip Dysplasia Blockbath71 Horse Hip Dysplasia Symptoms Most horses with coxofemoral pathology show some pain on proximal limb flexion or abduction. What are the symptoms of hip dysplasia in horses? Physitis involves swelling around the growth plates of certain long bones in young horses. Traumatic hip luxation is painful, impacting weight bearing and. Broken bones, whether the pelvis or femur, have more dramatic clinical signs that make. Horse Hip Dysplasia Symptoms.