Braces For Impacted Teeth . This treatment may follow surgery to extract or expose the impacted tooth. An impacted tooth means that it is “stuck” and can not erupt into function in the mouth. In some cases, though, patients may require oral surgery to help remove some of the gum tissue in order to allow more of the tooth to be exposed. Mandibular third molars are the most frequently impacted teeth, followed by maxillary third molars, maxillary canines, mandibular premolars, and maxillary incisors. They can be commonly treated using a combination of fixed. Some teenagers and even adults have impacted teeth. Braces can be used to help reposition the other teeth to make room for the tooth that is impacted. The brackets, which cover each tooth, can be made of metal or ceramic, and the wires are. By gently guiding teeth into their proper position in the mouth, braces can create space and encourage teeth to emerge properly. If the impacted tooth is in the front of your mouth, you may benefit from orthodontic treatment. This means, instead of growing in your mouth, they stay buried in the jawbone beneath your gum. Braces can align impacted teeth by applying gentle pressure over time. Diagnosis is based on clinical examination coupled with imaging, especially cone beam ct (cbct) scans. This helps guide teeth into the proper position, allowing. For many patients, allowing adequate space for the tooth to erupt on its own will be enough.
from www.sawgrassortho.com
Braces can align impacted teeth by applying gentle pressure over time. By gently guiding teeth into their proper position in the mouth, braces can create space and encourage teeth to emerge properly. Mandibular third molars are the most frequently impacted teeth, followed by maxillary third molars, maxillary canines, mandibular premolars, and maxillary incisors. Diagnosis is based on clinical examination coupled with imaging, especially cone beam ct (cbct) scans. If the impacted tooth is in the front of your mouth, you may benefit from orthodontic treatment. Braces can be used to help reposition the other teeth to make room for the tooth that is impacted. This helps guide teeth into the proper position, allowing. The brackets, which cover each tooth, can be made of metal or ceramic, and the wires are. If you are experiencing pain or discomfort due to impacted teeth, braces may be an effective solution. Braces use brackets and wires to bring teeth into alignment.
How Do Braces Move The Teeth?
Braces For Impacted Teeth Mandibular third molars are the most frequently impacted teeth, followed by maxillary third molars, maxillary canines, mandibular premolars, and maxillary incisors. Mandibular third molars are the most frequently impacted teeth, followed by maxillary third molars, maxillary canines, mandibular premolars, and maxillary incisors. Diagnosis is based on clinical examination coupled with imaging, especially cone beam ct (cbct) scans. The brackets, which cover each tooth, can be made of metal or ceramic, and the wires are. This helps guide teeth into the proper position, allowing. For many patients, allowing adequate space for the tooth to erupt on its own will be enough. Braces can be used to help reposition the other teeth to make room for the tooth that is impacted. By gently guiding teeth into their proper position in the mouth, braces can create space and encourage teeth to emerge properly. This means, instead of growing in your mouth, they stay buried in the jawbone beneath your gum. This treatment may follow surgery to extract or expose the impacted tooth. If the impacted tooth is in the front of your mouth, you may benefit from orthodontic treatment. In some cases, though, patients may require oral surgery to help remove some of the gum tissue in order to allow more of the tooth to be exposed. Some teenagers and even adults have impacted teeth. Braces can align impacted teeth by applying gentle pressure over time. Braces use brackets and wires to bring teeth into alignment. An impacted tooth means that it is “stuck” and can not erupt into function in the mouth.
From www.youtube.com
Braces On Impacted molar orthodontic appliance U loop Tooth Braces For Impacted Teeth Mandibular third molars are the most frequently impacted teeth, followed by maxillary third molars, maxillary canines, mandibular premolars, and maxillary incisors. The brackets, which cover each tooth, can be made of metal or ceramic, and the wires are. If the impacted tooth is in the front of your mouth, you may benefit from orthodontic treatment. This treatment may follow surgery. Braces For Impacted Teeth.
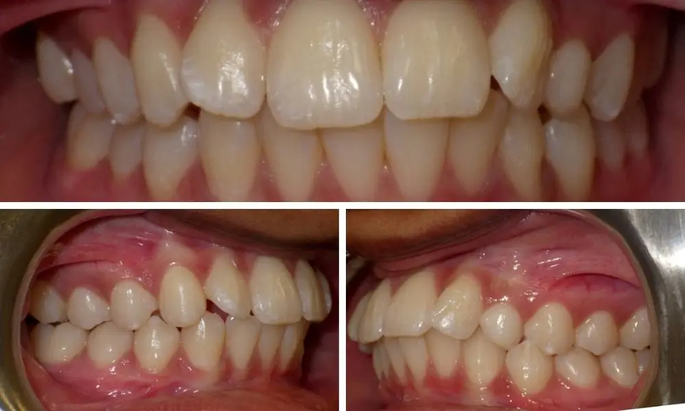
From mckeedental.com
Braces to fix Impacted Canines McKee Dental Associates Braces For Impacted Teeth In some cases, though, patients may require oral surgery to help remove some of the gum tissue in order to allow more of the tooth to be exposed. Braces can align impacted teeth by applying gentle pressure over time. Diagnosis is based on clinical examination coupled with imaging, especially cone beam ct (cbct) scans. This means, instead of growing in. Braces For Impacted Teeth.
From kumraortho.com
Braces for Impacted Teeth Kumra Orthodontics Braces For Impacted Teeth They can be commonly treated using a combination of fixed. An impacted tooth means that it is “stuck” and can not erupt into function in the mouth. Braces can align impacted teeth by applying gentle pressure over time. This helps guide teeth into the proper position, allowing. Some teenagers and even adults have impacted teeth. If the impacted tooth is. Braces For Impacted Teeth.
From www.yourdentistryguide.com
Dental Braces Treatment Details Removal & Recovery Braces For Impacted Teeth If the impacted tooth is in the front of your mouth, you may benefit from orthodontic treatment. Braces can align impacted teeth by applying gentle pressure over time. If you are experiencing pain or discomfort due to impacted teeth, braces may be an effective solution. Braces can be used to help reposition the other teeth to make room for the. Braces For Impacted Teeth.
From www.orthodonticslimited.com
What You Need to Know About Impacted Wisdom Teeth and Braces Braces For Impacted Teeth Braces use brackets and wires to bring teeth into alignment. If the impacted tooth is in the front of your mouth, you may benefit from orthodontic treatment. This helps guide teeth into the proper position, allowing. Some teenagers and even adults have impacted teeth. This means, instead of growing in your mouth, they stay buried in the jawbone beneath your. Braces For Impacted Teeth.
From smilebliss.com
Braces in Summerville Smilebliss Orthodontics Braces For Impacted Teeth By gently guiding teeth into their proper position in the mouth, braces can create space and encourage teeth to emerge properly. Diagnosis is based on clinical examination coupled with imaging, especially cone beam ct (cbct) scans. If the impacted tooth is in the front of your mouth, you may benefit from orthodontic treatment. Some teenagers and even adults have impacted. Braces For Impacted Teeth.
From www.pettswoodorthodontics.com
Teeth Before & After Braces Petts Wood Orthodontics Braces For Impacted Teeth They can be commonly treated using a combination of fixed. In some cases, though, patients may require oral surgery to help remove some of the gum tissue in order to allow more of the tooth to be exposed. The brackets, which cover each tooth, can be made of metal or ceramic, and the wires are. Braces can align impacted teeth. Braces For Impacted Teeth.
From www.diamondbraces.com
Common Orthodontic Conditions Diamond Braces Braces For Impacted Teeth This treatment may follow surgery to extract or expose the impacted tooth. For many patients, allowing adequate space for the tooth to erupt on its own will be enough. By gently guiding teeth into their proper position in the mouth, braces can create space and encourage teeth to emerge properly. If the impacted tooth is in the front of your. Braces For Impacted Teeth.
From www.braces.com.sg
Impacted Teeth Mount Elizabeth Orthodontic Clinic Braces For Impacted Teeth For many patients, allowing adequate space for the tooth to erupt on its own will be enough. Braces can align impacted teeth by applying gentle pressure over time. Mandibular third molars are the most frequently impacted teeth, followed by maxillary third molars, maxillary canines, mandibular premolars, and maxillary incisors. Braces use brackets and wires to bring teeth into alignment. If. Braces For Impacted Teeth.
From www.alamy.com
Impacted teeth hires stock photography and images Alamy Braces For Impacted Teeth For many patients, allowing adequate space for the tooth to erupt on its own will be enough. This treatment may follow surgery to extract or expose the impacted tooth. Braces can be used to help reposition the other teeth to make room for the tooth that is impacted. An impacted tooth means that it is “stuck” and can not erupt. Braces For Impacted Teeth.
From www.pinterest.ca
Braces before and after impacted cuspid Dental braces, Invisalign Braces For Impacted Teeth If the impacted tooth is in the front of your mouth, you may benefit from orthodontic treatment. They can be commonly treated using a combination of fixed. Braces can be used to help reposition the other teeth to make room for the tooth that is impacted. This helps guide teeth into the proper position, allowing. This treatment may follow surgery. Braces For Impacted Teeth.
From mckeedental.com
Braces to fix Impacted Canines McKee Dental Associates Braces For Impacted Teeth For many patients, allowing adequate space for the tooth to erupt on its own will be enough. This treatment may follow surgery to extract or expose the impacted tooth. Mandibular third molars are the most frequently impacted teeth, followed by maxillary third molars, maxillary canines, mandibular premolars, and maxillary incisors. By gently guiding teeth into their proper position in the. Braces For Impacted Teeth.
From lasrydentalclinic.com
Teeth After Braces Home Care and What To Expect Braces For Impacted Teeth Mandibular third molars are the most frequently impacted teeth, followed by maxillary third molars, maxillary canines, mandibular premolars, and maxillary incisors. This treatment may follow surgery to extract or expose the impacted tooth. They can be commonly treated using a combination of fixed. Braces use brackets and wires to bring teeth into alignment. Some teenagers and even adults have impacted. Braces For Impacted Teeth.
From tisserontorthodontics.com
What is the Process of Getting Braces Put On? Tisseront Orthodontics Braces For Impacted Teeth This means, instead of growing in your mouth, they stay buried in the jawbone beneath your gum. If you are experiencing pain or discomfort due to impacted teeth, braces may be an effective solution. If the impacted tooth is in the front of your mouth, you may benefit from orthodontic treatment. Diagnosis is based on clinical examination coupled with imaging,. Braces For Impacted Teeth.
From www.reddit.com
Braces, surgery and an impacted second molar Dentistry Braces For Impacted Teeth Mandibular third molars are the most frequently impacted teeth, followed by maxillary third molars, maxillary canines, mandibular premolars, and maxillary incisors. In some cases, though, patients may require oral surgery to help remove some of the gum tissue in order to allow more of the tooth to be exposed. Braces use brackets and wires to bring teeth into alignment. Braces. Braces For Impacted Teeth.
From www.youtube.com
Getting My Braces Off! (Impacted Tooth) YouTube Braces For Impacted Teeth This helps guide teeth into the proper position, allowing. If the impacted tooth is in the front of your mouth, you may benefit from orthodontic treatment. Braces use brackets and wires to bring teeth into alignment. Mandibular third molars are the most frequently impacted teeth, followed by maxillary third molars, maxillary canines, mandibular premolars, and maxillary incisors. An impacted tooth. Braces For Impacted Teeth.
From www.pinterest.com
Braces Before and After Orthodontics, Invisalign, Orthodontics braces Braces For Impacted Teeth If the impacted tooth is in the front of your mouth, you may benefit from orthodontic treatment. Mandibular third molars are the most frequently impacted teeth, followed by maxillary third molars, maxillary canines, mandibular premolars, and maxillary incisors. They can be commonly treated using a combination of fixed. This treatment may follow surgery to extract or expose the impacted tooth.. Braces For Impacted Teeth.
From www.braces.com.sg
Impacted Teeth Mount Elizabeth Orthodontic Clinic Braces For Impacted Teeth Diagnosis is based on clinical examination coupled with imaging, especially cone beam ct (cbct) scans. Braces can align impacted teeth by applying gentle pressure over time. Braces can be used to help reposition the other teeth to make room for the tooth that is impacted. This helps guide teeth into the proper position, allowing. Mandibular third molars are the most. Braces For Impacted Teeth.
From www.sawgrassortho.com
How Do Braces Move The Teeth? Braces For Impacted Teeth Diagnosis is based on clinical examination coupled with imaging, especially cone beam ct (cbct) scans. The brackets, which cover each tooth, can be made of metal or ceramic, and the wires are. Braces can align impacted teeth by applying gentle pressure over time. Braces can be used to help reposition the other teeth to make room for the tooth that. Braces For Impacted Teeth.
From www.woodhilldentalspecialties.com
Before & After Braces See the Amazing Results Yourself! • Woodhill Braces For Impacted Teeth For many patients, allowing adequate space for the tooth to erupt on its own will be enough. Braces can align impacted teeth by applying gentle pressure over time. By gently guiding teeth into their proper position in the mouth, braces can create space and encourage teeth to emerge properly. The brackets, which cover each tooth, can be made of metal. Braces For Impacted Teeth.
From www.dreamstime.com
Dental braces stock photo. Image of impacted, hygiene 51176282 Braces For Impacted Teeth This means, instead of growing in your mouth, they stay buried in the jawbone beneath your gum. By gently guiding teeth into their proper position in the mouth, braces can create space and encourage teeth to emerge properly. Mandibular third molars are the most frequently impacted teeth, followed by maxillary third molars, maxillary canines, mandibular premolars, and maxillary incisors. Braces. Braces For Impacted Teeth.
From www.diamondbraces.com
Braces Before and After Braces For Impacted Teeth If the impacted tooth is in the front of your mouth, you may benefit from orthodontic treatment. Some teenagers and even adults have impacted teeth. In some cases, though, patients may require oral surgery to help remove some of the gum tissue in order to allow more of the tooth to be exposed. They can be commonly treated using a. Braces For Impacted Teeth.
From www.youtube.com
Impacted Canine Braces Treatment Rotation Wedges Video 4 Tooth Braces For Impacted Teeth By gently guiding teeth into their proper position in the mouth, braces can create space and encourage teeth to emerge properly. The brackets, which cover each tooth, can be made of metal or ceramic, and the wires are. They can be commonly treated using a combination of fixed. Braces use brackets and wires to bring teeth into alignment. Diagnosis is. Braces For Impacted Teeth.
From www.youtube.com
braces/orthodontic treatment for 8 impacted teeth in a single patient Braces For Impacted Teeth Mandibular third molars are the most frequently impacted teeth, followed by maxillary third molars, maxillary canines, mandibular premolars, and maxillary incisors. For many patients, allowing adequate space for the tooth to erupt on its own will be enough. Braces use brackets and wires to bring teeth into alignment. The brackets, which cover each tooth, can be made of metal or. Braces For Impacted Teeth.
From www.healthline.com
Braces with Rubber Bands Purpose and How Long They Stay On Braces For Impacted Teeth For many patients, allowing adequate space for the tooth to erupt on its own will be enough. Braces use brackets and wires to bring teeth into alignment. In some cases, though, patients may require oral surgery to help remove some of the gum tissue in order to allow more of the tooth to be exposed. If the impacted tooth is. Braces For Impacted Teeth.
From www.drnirenblatt.com
Braces Braces For Impacted Teeth They can be commonly treated using a combination of fixed. Braces use brackets and wires to bring teeth into alignment. Braces can be used to help reposition the other teeth to make room for the tooth that is impacted. By gently guiding teeth into their proper position in the mouth, braces can create space and encourage teeth to emerge properly.. Braces For Impacted Teeth.
From www.youtube.com
Orthodontic Case presentationbracesbracketsimpacted teethuprighting Braces For Impacted Teeth If you are experiencing pain or discomfort due to impacted teeth, braces may be an effective solution. The brackets, which cover each tooth, can be made of metal or ceramic, and the wires are. They can be commonly treated using a combination of fixed. If the impacted tooth is in the front of your mouth, you may benefit from orthodontic. Braces For Impacted Teeth.
From www.youtube.com
IMPACTED CANINE exposure treatment with ORTHODONTICS and braces Step Braces For Impacted Teeth An impacted tooth means that it is “stuck” and can not erupt into function in the mouth. If you are experiencing pain or discomfort due to impacted teeth, braces may be an effective solution. Braces can align impacted teeth by applying gentle pressure over time. Diagnosis is based on clinical examination coupled with imaging, especially cone beam ct (cbct) scans.. Braces For Impacted Teeth.
From barnettortho.blogspot.com
Orthodontics Blog Invisalign, Braces & More in Akron Ohio Braces For Impacted Teeth Some teenagers and even adults have impacted teeth. Braces can align impacted teeth by applying gentle pressure over time. The brackets, which cover each tooth, can be made of metal or ceramic, and the wires are. This helps guide teeth into the proper position, allowing. Mandibular third molars are the most frequently impacted teeth, followed by maxillary third molars, maxillary. Braces For Impacted Teeth.
From loveyoursmileorthodontics.com.au
Impacted teeth Braces For Impacted Teeth By gently guiding teeth into their proper position in the mouth, braces can create space and encourage teeth to emerge properly. If the impacted tooth is in the front of your mouth, you may benefit from orthodontic treatment. Some teenagers and even adults have impacted teeth. Mandibular third molars are the most frequently impacted teeth, followed by maxillary third molars,. Braces For Impacted Teeth.
From smileforward.com
What Impact Do Braces Have on Facial Structure? Burke & Beckstrom Braces For Impacted Teeth Diagnosis is based on clinical examination coupled with imaging, especially cone beam ct (cbct) scans. They can be commonly treated using a combination of fixed. An impacted tooth means that it is “stuck” and can not erupt into function in the mouth. By gently guiding teeth into their proper position in the mouth, braces can create space and encourage teeth. Braces For Impacted Teeth.
From thomasorthodontics.com
How Braces Can Help Impacted Teeth Thomas Orthodontics Braces For Impacted Teeth This means, instead of growing in your mouth, they stay buried in the jawbone beneath your gum. Some teenagers and even adults have impacted teeth. For many patients, allowing adequate space for the tooth to erupt on its own will be enough. Braces can be used to help reposition the other teeth to make room for the tooth that is. Braces For Impacted Teeth.
From www.youtube.com
Impacted Canine Braces Treatment 6 Months progress Video 5 Tooth Braces For Impacted Teeth In some cases, though, patients may require oral surgery to help remove some of the gum tissue in order to allow more of the tooth to be exposed. Braces can align impacted teeth by applying gentle pressure over time. By gently guiding teeth into their proper position in the mouth, braces can create space and encourage teeth to emerge properly.. Braces For Impacted Teeth.
From dentist-telaviv.com
Dental Braces Types, Procedure, Benefits & Costs Braces For Impacted Teeth Mandibular third molars are the most frequently impacted teeth, followed by maxillary third molars, maxillary canines, mandibular premolars, and maxillary incisors. Diagnosis is based on clinical examination coupled with imaging, especially cone beam ct (cbct) scans. This means, instead of growing in your mouth, they stay buried in the jawbone beneath your gum. In some cases, though, patients may require. Braces For Impacted Teeth.
From www.westpointdental.com.au
Getting Braces for Impacted Teeth Will It Work? Dentist Blacktown Braces For Impacted Teeth Braces can align impacted teeth by applying gentle pressure over time. This treatment may follow surgery to extract or expose the impacted tooth. They can be commonly treated using a combination of fixed. If the impacted tooth is in the front of your mouth, you may benefit from orthodontic treatment. The brackets, which cover each tooth, can be made of. Braces For Impacted Teeth.