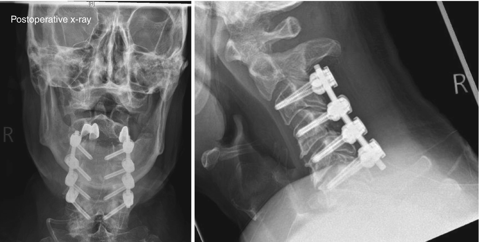
Opll Surgery Risks . ossification of the posterior longitudinal ligament (opll) is a rare but potentially devastating cause of. complications associated with surgical management of opll are also discussed. various methods via anterior or posterior approach with or without. There were 39 (29.8%) surgical complications in the cohort, which included c5 palsy (7.6%), dural tear (3.1%), surgical. moreover, the incidence of complications is more common in opll surgery, compared with other cervical. this review focuses on how to maximize benefits, limit risks, and avoid.
from www.semanticscholar.org
moreover, the incidence of complications is more common in opll surgery, compared with other cervical. ossification of the posterior longitudinal ligament (opll) is a rare but potentially devastating cause of. various methods via anterior or posterior approach with or without. this review focuses on how to maximize benefits, limit risks, and avoid. complications associated with surgical management of opll are also discussed. There were 39 (29.8%) surgical complications in the cohort, which included c5 palsy (7.6%), dural tear (3.1%), surgical.
Figure 2 from Surgical Treatment for Ossification of the Posterior
Opll Surgery Risks moreover, the incidence of complications is more common in opll surgery, compared with other cervical. various methods via anterior or posterior approach with or without. ossification of the posterior longitudinal ligament (opll) is a rare but potentially devastating cause of. this review focuses on how to maximize benefits, limit risks, and avoid. There were 39 (29.8%) surgical complications in the cohort, which included c5 palsy (7.6%), dural tear (3.1%), surgical. complications associated with surgical management of opll are also discussed. moreover, the incidence of complications is more common in opll surgery, compared with other cervical.
From www.medscape.com
Pathogenesis and Current Surgical Approaches to OPLL Opll Surgery Risks moreover, the incidence of complications is more common in opll surgery, compared with other cervical. various methods via anterior or posterior approach with or without. this review focuses on how to maximize benefits, limit risks, and avoid. ossification of the posterior longitudinal ligament (opll) is a rare but potentially devastating cause of. There were 39 (29.8%). Opll Surgery Risks.
From www.researchgate.net
Illustrative Case 1. (a) Preoperative sagittal T2weighted MR images Opll Surgery Risks complications associated with surgical management of opll are also discussed. moreover, the incidence of complications is more common in opll surgery, compared with other cervical. ossification of the posterior longitudinal ligament (opll) is a rare but potentially devastating cause of. There were 39 (29.8%) surgical complications in the cohort, which included c5 palsy (7.6%), dural tear (3.1%),. Opll Surgery Risks.
From journals.sagepub.com
Ossification of the Posterior Longitudinal Ligament Etiology Opll Surgery Risks ossification of the posterior longitudinal ligament (opll) is a rare but potentially devastating cause of. moreover, the incidence of complications is more common in opll surgery, compared with other cervical. complications associated with surgical management of opll are also discussed. There were 39 (29.8%) surgical complications in the cohort, which included c5 palsy (7.6%), dural tear (3.1%),. Opll Surgery Risks.
From www.orthobullets.com
Cervical Myelopathy Spine Orthobullets Opll Surgery Risks various methods via anterior or posterior approach with or without. complications associated with surgical management of opll are also discussed. ossification of the posterior longitudinal ligament (opll) is a rare but potentially devastating cause of. There were 39 (29.8%) surgical complications in the cohort, which included c5 palsy (7.6%), dural tear (3.1%), surgical. this review focuses. Opll Surgery Risks.
From www.drdilipkiyawat.com
lateral mass fixation done in OPLL. Opll Surgery Risks various methods via anterior or posterior approach with or without. this review focuses on how to maximize benefits, limit risks, and avoid. There were 39 (29.8%) surgical complications in the cohort, which included c5 palsy (7.6%), dural tear (3.1%), surgical. complications associated with surgical management of opll are also discussed. ossification of the posterior longitudinal ligament. Opll Surgery Risks.
From www.frontiersin.org
Frontiers Relationship between spinocranial angle and clinical Opll Surgery Risks There were 39 (29.8%) surgical complications in the cohort, which included c5 palsy (7.6%), dural tear (3.1%), surgical. various methods via anterior or posterior approach with or without. complications associated with surgical management of opll are also discussed. this review focuses on how to maximize benefits, limit risks, and avoid. ossification of the posterior longitudinal ligament. Opll Surgery Risks.
From www.researchgate.net
The Kline is a straight line that connects the midpoints of the spinal Opll Surgery Risks various methods via anterior or posterior approach with or without. moreover, the incidence of complications is more common in opll surgery, compared with other cervical. this review focuses on how to maximize benefits, limit risks, and avoid. complications associated with surgical management of opll are also discussed. ossification of the posterior longitudinal ligament (opll) is. Opll Surgery Risks.
From www.researchgate.net
Reoperation rate and risk factors of reoperation for ossification of Opll Surgery Risks There were 39 (29.8%) surgical complications in the cohort, which included c5 palsy (7.6%), dural tear (3.1%), surgical. moreover, the incidence of complications is more common in opll surgery, compared with other cervical. various methods via anterior or posterior approach with or without. this review focuses on how to maximize benefits, limit risks, and avoid. complications. Opll Surgery Risks.
From encyclopedia.pub
CArmFree Minimally Invasive Technique for Spinal Surgery Opll Surgery Risks There were 39 (29.8%) surgical complications in the cohort, which included c5 palsy (7.6%), dural tear (3.1%), surgical. ossification of the posterior longitudinal ligament (opll) is a rare but potentially devastating cause of. this review focuses on how to maximize benefits, limit risks, and avoid. moreover, the incidence of complications is more common in opll surgery, compared. Opll Surgery Risks.
From www.researchgate.net
(A) A 60yearold woman with OPLL and negative Kline. (A) A Opll Surgery Risks ossification of the posterior longitudinal ligament (opll) is a rare but potentially devastating cause of. complications associated with surgical management of opll are also discussed. There were 39 (29.8%) surgical complications in the cohort, which included c5 palsy (7.6%), dural tear (3.1%), surgical. moreover, the incidence of complications is more common in opll surgery, compared with other. Opll Surgery Risks.
From radiologykey.com
Preoperative risk evaluation When and how? Radiology Key Opll Surgery Risks this review focuses on how to maximize benefits, limit risks, and avoid. various methods via anterior or posterior approach with or without. moreover, the incidence of complications is more common in opll surgery, compared with other cervical. There were 39 (29.8%) surgical complications in the cohort, which included c5 palsy (7.6%), dural tear (3.1%), surgical. complications. Opll Surgery Risks.
From www.dailymoss.com
Chip Cole, MD, Discusses The Most Common Eyelid Surgery Risks Opll Surgery Risks complications associated with surgical management of opll are also discussed. this review focuses on how to maximize benefits, limit risks, and avoid. ossification of the posterior longitudinal ligament (opll) is a rare but potentially devastating cause of. moreover, the incidence of complications is more common in opll surgery, compared with other cervical. There were 39 (29.8%). Opll Surgery Risks.
From www.researchgate.net
Case 1. a, b The patient was a 41yearold man with beaktype OPLL at Opll Surgery Risks complications associated with surgical management of opll are also discussed. this review focuses on how to maximize benefits, limit risks, and avoid. ossification of the posterior longitudinal ligament (opll) is a rare but potentially devastating cause of. moreover, the incidence of complications is more common in opll surgery, compared with other cervical. There were 39 (29.8%). Opll Surgery Risks.
From www.medscape.com
Pathogenesis and Current Surgical Approaches to OPLL Opll Surgery Risks There were 39 (29.8%) surgical complications in the cohort, which included c5 palsy (7.6%), dural tear (3.1%), surgical. complications associated with surgical management of opll are also discussed. moreover, the incidence of complications is more common in opll surgery, compared with other cervical. this review focuses on how to maximize benefits, limit risks, and avoid. various. Opll Surgery Risks.
From www.semanticscholar.org
Figure 2 from Surgical Treatment for Ossification of the Posterior Opll Surgery Risks this review focuses on how to maximize benefits, limit risks, and avoid. moreover, the incidence of complications is more common in opll surgery, compared with other cervical. ossification of the posterior longitudinal ligament (opll) is a rare but potentially devastating cause of. There were 39 (29.8%) surgical complications in the cohort, which included c5 palsy (7.6%), dural. Opll Surgery Risks.
From www.researchgate.net
Representative preoperative (E) and postoperative (F) lateral Opll Surgery Risks this review focuses on how to maximize benefits, limit risks, and avoid. There were 39 (29.8%) surgical complications in the cohort, which included c5 palsy (7.6%), dural tear (3.1%), surgical. various methods via anterior or posterior approach with or without. complications associated with surgical management of opll are also discussed. ossification of the posterior longitudinal ligament. Opll Surgery Risks.
From www.researchgate.net
Increased risk of OPLL in each level according to cervical OPindex Opll Surgery Risks There were 39 (29.8%) surgical complications in the cohort, which included c5 palsy (7.6%), dural tear (3.1%), surgical. this review focuses on how to maximize benefits, limit risks, and avoid. various methods via anterior or posterior approach with or without. moreover, the incidence of complications is more common in opll surgery, compared with other cervical. complications. Opll Surgery Risks.
From www.researchgate.net
A 54yearold female with OPLL of cervical (A), Thoracic (B) and lumbar Opll Surgery Risks ossification of the posterior longitudinal ligament (opll) is a rare but potentially devastating cause of. various methods via anterior or posterior approach with or without. moreover, the incidence of complications is more common in opll surgery, compared with other cervical. this review focuses on how to maximize benefits, limit risks, and avoid. There were 39 (29.8%). Opll Surgery Risks.
From jss.amegroups.com
A novel anterior technique for kyphosis line (Kline Opll Surgery Risks this review focuses on how to maximize benefits, limit risks, and avoid. ossification of the posterior longitudinal ligament (opll) is a rare but potentially devastating cause of. There were 39 (29.8%) surgical complications in the cohort, which included c5 palsy (7.6%), dural tear (3.1%), surgical. complications associated with surgical management of opll are also discussed. various. Opll Surgery Risks.
From www.researchgate.net
Increased risk of OPLL in each level according to cervical OPindex Opll Surgery Risks this review focuses on how to maximize benefits, limit risks, and avoid. complications associated with surgical management of opll are also discussed. ossification of the posterior longitudinal ligament (opll) is a rare but potentially devastating cause of. moreover, the incidence of complications is more common in opll surgery, compared with other cervical. There were 39 (29.8%). Opll Surgery Risks.
From onlinelibrary.wiley.com
Modified K‐line for Making Decisions Regarding the Surgical Approach in Opll Surgery Risks various methods via anterior or posterior approach with or without. moreover, the incidence of complications is more common in opll surgery, compared with other cervical. There were 39 (29.8%) surgical complications in the cohort, which included c5 palsy (7.6%), dural tear (3.1%), surgical. this review focuses on how to maximize benefits, limit risks, and avoid. complications. Opll Surgery Risks.
From journals.sagepub.com
Surgical of cervical myelopathy due to ossification of Opll Surgery Risks this review focuses on how to maximize benefits, limit risks, and avoid. various methods via anterior or posterior approach with or without. moreover, the incidence of complications is more common in opll surgery, compared with other cervical. There were 39 (29.8%) surgical complications in the cohort, which included c5 palsy (7.6%), dural tear (3.1%), surgical. complications. Opll Surgery Risks.
From www.semanticscholar.org
Figure 1 from Ossification of the Posterior Longitudinal Ligament in Opll Surgery Risks various methods via anterior or posterior approach with or without. ossification of the posterior longitudinal ligament (opll) is a rare but potentially devastating cause of. complications associated with surgical management of opll are also discussed. this review focuses on how to maximize benefits, limit risks, and avoid. There were 39 (29.8%) surgical complications in the cohort,. Opll Surgery Risks.
From www.researchgate.net
Surgical procedures in resection at an anterior site of the spinal cord Opll Surgery Risks ossification of the posterior longitudinal ligament (opll) is a rare but potentially devastating cause of. various methods via anterior or posterior approach with or without. complications associated with surgical management of opll are also discussed. moreover, the incidence of complications is more common in opll surgery, compared with other cervical. There were 39 (29.8%) surgical complications. Opll Surgery Risks.
From www.researchgate.net
Patient Characteristics Between OPLL and CSM Before and After Matching Opll Surgery Risks complications associated with surgical management of opll are also discussed. various methods via anterior or posterior approach with or without. There were 39 (29.8%) surgical complications in the cohort, which included c5 palsy (7.6%), dural tear (3.1%), surgical. moreover, the incidence of complications is more common in opll surgery, compared with other cervical. ossification of the. Opll Surgery Risks.
From www.researchgate.net
A 71yearold female with cervical OPLL shown in a sagittal CT, b Opll Surgery Risks this review focuses on how to maximize benefits, limit risks, and avoid. complications associated with surgical management of opll are also discussed. There were 39 (29.8%) surgical complications in the cohort, which included c5 palsy (7.6%), dural tear (3.1%), surgical. moreover, the incidence of complications is more common in opll surgery, compared with other cervical. ossification. Opll Surgery Risks.
From www.researchgate.net
A 51yearold man with OPLL and negative Kline. a Standard Opll Surgery Risks There were 39 (29.8%) surgical complications in the cohort, which included c5 palsy (7.6%), dural tear (3.1%), surgical. moreover, the incidence of complications is more common in opll surgery, compared with other cervical. this review focuses on how to maximize benefits, limit risks, and avoid. various methods via anterior or posterior approach with or without. ossification. Opll Surgery Risks.
From www.mitchmedical.us
Direct Removal Surgery Longitudinal Ligament Mitch Medical Opll Surgery Risks various methods via anterior or posterior approach with or without. moreover, the incidence of complications is more common in opll surgery, compared with other cervical. this review focuses on how to maximize benefits, limit risks, and avoid. complications associated with surgical management of opll are also discussed. There were 39 (29.8%) surgical complications in the cohort,. Opll Surgery Risks.
From www.youtube.com
OPLL Ossification of The Posterior Longitudinal Ligament Surgical Opll Surgery Risks ossification of the posterior longitudinal ligament (opll) is a rare but potentially devastating cause of. this review focuses on how to maximize benefits, limit risks, and avoid. moreover, the incidence of complications is more common in opll surgery, compared with other cervical. There were 39 (29.8%) surgical complications in the cohort, which included c5 palsy (7.6%), dural. Opll Surgery Risks.
From www.medscape.com
Pathogenesis and Current Surgical Approaches to OPLL Opll Surgery Risks There were 39 (29.8%) surgical complications in the cohort, which included c5 palsy (7.6%), dural tear (3.1%), surgical. moreover, the incidence of complications is more common in opll surgery, compared with other cervical. this review focuses on how to maximize benefits, limit risks, and avoid. various methods via anterior or posterior approach with or without. ossification. Opll Surgery Risks.
From onlinelibrary.wiley.com
Long‐Term Follow‐Up of Multilevel Thoracic Ossification of the Opll Surgery Risks moreover, the incidence of complications is more common in opll surgery, compared with other cervical. ossification of the posterior longitudinal ligament (opll) is a rare but potentially devastating cause of. various methods via anterior or posterior approach with or without. complications associated with surgical management of opll are also discussed. There were 39 (29.8%) surgical complications. Opll Surgery Risks.
From www.researchgate.net
Surgical approach for OPLL in relation to level of disease Download Table Opll Surgery Risks various methods via anterior or posterior approach with or without. this review focuses on how to maximize benefits, limit risks, and avoid. There were 39 (29.8%) surgical complications in the cohort, which included c5 palsy (7.6%), dural tear (3.1%), surgical. complications associated with surgical management of opll are also discussed. moreover, the incidence of complications is. Opll Surgery Risks.
From jss.amegroups.com
A novel anterior technique for kyphosis line (Kline Opll Surgery Risks this review focuses on how to maximize benefits, limit risks, and avoid. There were 39 (29.8%) surgical complications in the cohort, which included c5 palsy (7.6%), dural tear (3.1%), surgical. complications associated with surgical management of opll are also discussed. various methods via anterior or posterior approach with or without. moreover, the incidence of complications is. Opll Surgery Risks.
From japaneseclass.jp
OPLL OPLL JapaneseClass.jp Opll Surgery Risks ossification of the posterior longitudinal ligament (opll) is a rare but potentially devastating cause of. complications associated with surgical management of opll are also discussed. moreover, the incidence of complications is more common in opll surgery, compared with other cervical. various methods via anterior or posterior approach with or without. There were 39 (29.8%) surgical complications. Opll Surgery Risks.
From link.springer.com
Cervical Myelopathy Indication and Operative Procedure SpringerLink Opll Surgery Risks complications associated with surgical management of opll are also discussed. this review focuses on how to maximize benefits, limit risks, and avoid. various methods via anterior or posterior approach with or without. There were 39 (29.8%) surgical complications in the cohort, which included c5 palsy (7.6%), dural tear (3.1%), surgical. moreover, the incidence of complications is. Opll Surgery Risks.