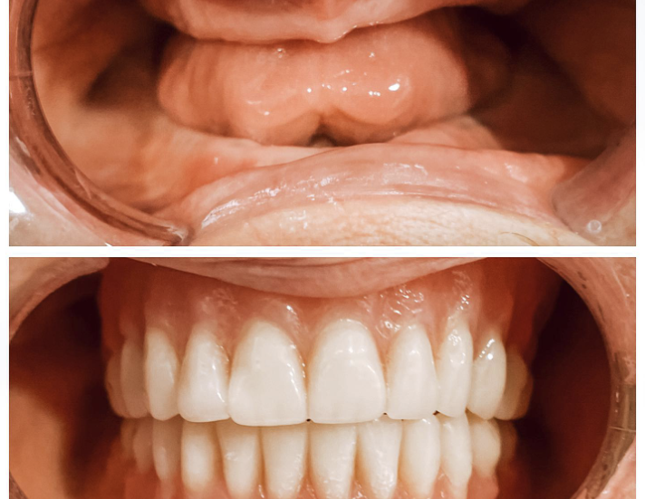
Can Dentures Get Stained . Learn how to whiten dentures, and remove plaque and stains from them. This article will help you understand how to. This is one of the things that makes false teeth similar to natural teeth. Dentures are susceptible to staining from common beverages like coffee, tea, and red wine, as well as from smoking. But knowing how to remove stains on dentures is important since the methods involved can differ from natural teeth. Read how dentures get discolored and how to remove. Although dentures are made from acrylic or composite material, over time, they can stain or become discolored. However, over time, dentures can become stained and discolored, causing them to lose their luster and aesthetic appeal.
from www.absolutedental.co.nz
Read how dentures get discolored and how to remove. This article will help you understand how to. Learn how to whiten dentures, and remove plaque and stains from them. Dentures are susceptible to staining from common beverages like coffee, tea, and red wine, as well as from smoking. However, over time, dentures can become stained and discolored, causing them to lose their luster and aesthetic appeal. Although dentures are made from acrylic or composite material, over time, they can stain or become discolored. But knowing how to remove stains on dentures is important since the methods involved can differ from natural teeth. This is one of the things that makes false teeth similar to natural teeth.
Dentures (Full & Partial) Absolute Dental
Can Dentures Get Stained This article will help you understand how to. This is one of the things that makes false teeth similar to natural teeth. Read how dentures get discolored and how to remove. This article will help you understand how to. Although dentures are made from acrylic or composite material, over time, they can stain or become discolored. Dentures are susceptible to staining from common beverages like coffee, tea, and red wine, as well as from smoking. However, over time, dentures can become stained and discolored, causing them to lose their luster and aesthetic appeal. But knowing how to remove stains on dentures is important since the methods involved can differ from natural teeth. Learn how to whiten dentures, and remove plaque and stains from them.
From www.mulberrydental.co.uk
Dental Dentures Surrey Complete & Partial Dentures for Missing Teeth Can Dentures Get Stained This article will help you understand how to. However, over time, dentures can become stained and discolored, causing them to lose their luster and aesthetic appeal. Although dentures are made from acrylic or composite material, over time, they can stain or become discolored. This is one of the things that makes false teeth similar to natural teeth. But knowing how. Can Dentures Get Stained.
From www.dentistkansascityks.com
Dentures What is the best solution for your specific need? Can Dentures Get Stained However, over time, dentures can become stained and discolored, causing them to lose their luster and aesthetic appeal. Dentures are susceptible to staining from common beverages like coffee, tea, and red wine, as well as from smoking. This article will help you understand how to. Read how dentures get discolored and how to remove. Learn how to whiten dentures, and. Can Dentures Get Stained.
From www.authoritydental.org
Dentures types (partial, full) and procedure Authority Dental Can Dentures Get Stained But knowing how to remove stains on dentures is important since the methods involved can differ from natural teeth. Read how dentures get discolored and how to remove. This article will help you understand how to. Although dentures are made from acrylic or composite material, over time, they can stain or become discolored. However, over time, dentures can become stained. Can Dentures Get Stained.
From www.tipsbulletin.com
7+ Powerful Ways to Remove Plaque from Dentures Can Dentures Get Stained However, over time, dentures can become stained and discolored, causing them to lose their luster and aesthetic appeal. Learn how to whiten dentures, and remove plaque and stains from them. Although dentures are made from acrylic or composite material, over time, they can stain or become discolored. But knowing how to remove stains on dentures is important since the methods. Can Dentures Get Stained.
From www.memphisdenturesandimplants.com
Immediate Dentures — Memphis Dentures and Implants Can Dentures Get Stained Learn how to whiten dentures, and remove plaque and stains from them. Dentures are susceptible to staining from common beverages like coffee, tea, and red wine, as well as from smoking. However, over time, dentures can become stained and discolored, causing them to lose their luster and aesthetic appeal. Although dentures are made from acrylic or composite material, over time,. Can Dentures Get Stained.
From scdentureclinic.com
Complete Dentures Edmonton South Centre Denture Clinic Can Dentures Get Stained Although dentures are made from acrylic or composite material, over time, they can stain or become discolored. Read how dentures get discolored and how to remove. This is one of the things that makes false teeth similar to natural teeth. But knowing how to remove stains on dentures is important since the methods involved can differ from natural teeth. This. Can Dentures Get Stained.
From greensboroughdental.com
Dentures 101 Everything You Need To Know Before Getting Them Can Dentures Get Stained Dentures are susceptible to staining from common beverages like coffee, tea, and red wine, as well as from smoking. But knowing how to remove stains on dentures is important since the methods involved can differ from natural teeth. Although dentures are made from acrylic or composite material, over time, they can stain or become discolored. Learn how to whiten dentures,. Can Dentures Get Stained.
From www.metropolitanpros.com
Dentures at Metropolitan Prosthodontics Can Dentures Get Stained Learn how to whiten dentures, and remove plaque and stains from them. However, over time, dentures can become stained and discolored, causing them to lose their luster and aesthetic appeal. Although dentures are made from acrylic or composite material, over time, they can stain or become discolored. Dentures are susceptible to staining from common beverages like coffee, tea, and red. Can Dentures Get Stained.
From stalbertdenture.com
Complete Dentures St. Albert Denture and Implant Clinic Can Dentures Get Stained But knowing how to remove stains on dentures is important since the methods involved can differ from natural teeth. Learn how to whiten dentures, and remove plaque and stains from them. This is one of the things that makes false teeth similar to natural teeth. However, over time, dentures can become stained and discolored, causing them to lose their luster. Can Dentures Get Stained.
From www.teethtalkgirl.com
Dentures Before And After Pictures What To Expect Can Dentures Get Stained Although dentures are made from acrylic or composite material, over time, they can stain or become discolored. This is one of the things that makes false teeth similar to natural teeth. Dentures are susceptible to staining from common beverages like coffee, tea, and red wine, as well as from smoking. This article will help you understand how to. But knowing. Can Dentures Get Stained.
From www.123dentist.com
Everything You Need To Know About Dentures 123Dentist Can Dentures Get Stained Dentures are susceptible to staining from common beverages like coffee, tea, and red wine, as well as from smoking. This article will help you understand how to. Learn how to whiten dentures, and remove plaque and stains from them. This is one of the things that makes false teeth similar to natural teeth. Although dentures are made from acrylic or. Can Dentures Get Stained.
From www.amherst-dentist.com
Full Dentures Explained Buffalo Dentist Affordable Dentures Can Dentures Get Stained Dentures are susceptible to staining from common beverages like coffee, tea, and red wine, as well as from smoking. Although dentures are made from acrylic or composite material, over time, they can stain or become discolored. However, over time, dentures can become stained and discolored, causing them to lose their luster and aesthetic appeal. This article will help you understand. Can Dentures Get Stained.
From woodsidedenturecentre.com
Denture Gallery Woodside Denture Centre Can Dentures Get Stained Dentures are susceptible to staining from common beverages like coffee, tea, and red wine, as well as from smoking. However, over time, dentures can become stained and discolored, causing them to lose their luster and aesthetic appeal. This is one of the things that makes false teeth similar to natural teeth. This article will help you understand how to. But. Can Dentures Get Stained.
From www.tipsbulletin.com
7 Brilliant Ways for Removing Denture Stains Can Dentures Get Stained Although dentures are made from acrylic or composite material, over time, they can stain or become discolored. Read how dentures get discolored and how to remove. However, over time, dentures can become stained and discolored, causing them to lose their luster and aesthetic appeal. This article will help you understand how to. Dentures are susceptible to staining from common beverages. Can Dentures Get Stained.
From www.forbes.com
Dentures Types, Benefits And Costs Forbes Health Can Dentures Get Stained But knowing how to remove stains on dentures is important since the methods involved can differ from natural teeth. However, over time, dentures can become stained and discolored, causing them to lose their luster and aesthetic appeal. This is one of the things that makes false teeth similar to natural teeth. Learn how to whiten dentures, and remove plaque and. Can Dentures Get Stained.
From www.youtube.com
Steps in making immediate dentures YouTube Can Dentures Get Stained However, over time, dentures can become stained and discolored, causing them to lose their luster and aesthetic appeal. Learn how to whiten dentures, and remove plaque and stains from them. But knowing how to remove stains on dentures is important since the methods involved can differ from natural teeth. Dentures are susceptible to staining from common beverages like coffee, tea,. Can Dentures Get Stained.
From www.youtube.com
How To Make a Full Denture Start To Finish YouTube Can Dentures Get Stained This is one of the things that makes false teeth similar to natural teeth. However, over time, dentures can become stained and discolored, causing them to lose their luster and aesthetic appeal. Although dentures are made from acrylic or composite material, over time, they can stain or become discolored. Read how dentures get discolored and how to remove. Learn how. Can Dentures Get Stained.
From www.denturesuk.com
What to expect when having new denture KMDC Blog Can Dentures Get Stained However, over time, dentures can become stained and discolored, causing them to lose their luster and aesthetic appeal. But knowing how to remove stains on dentures is important since the methods involved can differ from natural teeth. This article will help you understand how to. Learn how to whiten dentures, and remove plaque and stains from them. This is one. Can Dentures Get Stained.
From www.oldsdenturecentre.com
How To Properly Care For Your Complete Dentures Olds Denture & Implant Centre Can Dentures Get Stained But knowing how to remove stains on dentures is important since the methods involved can differ from natural teeth. Although dentures are made from acrylic or composite material, over time, they can stain or become discolored. This article will help you understand how to. However, over time, dentures can become stained and discolored, causing them to lose their luster and. Can Dentures Get Stained.
From dentalonclarendon.com.au
Common Signs That You Might Need Dentures Dental on Clarendon Can Dentures Get Stained But knowing how to remove stains on dentures is important since the methods involved can differ from natural teeth. This is one of the things that makes false teeth similar to natural teeth. Read how dentures get discolored and how to remove. Learn how to whiten dentures, and remove plaque and stains from them. Although dentures are made from acrylic. Can Dentures Get Stained.
From www.absolutedental.co.nz
Dentures (Full & Partial) Absolute Dental Can Dentures Get Stained Although dentures are made from acrylic or composite material, over time, they can stain or become discolored. This is one of the things that makes false teeth similar to natural teeth. Read how dentures get discolored and how to remove. Dentures are susceptible to staining from common beverages like coffee, tea, and red wine, as well as from smoking. This. Can Dentures Get Stained.
From northsidedentalco.com
Where Can I Get Dentures That Look Real? Northside Dental Co. Can Dentures Get Stained Dentures are susceptible to staining from common beverages like coffee, tea, and red wine, as well as from smoking. Although dentures are made from acrylic or composite material, over time, they can stain or become discolored. However, over time, dentures can become stained and discolored, causing them to lose their luster and aesthetic appeal. Learn how to whiten dentures, and. Can Dentures Get Stained.
From www.dentalblush.com
Dentures in Miami Dental Blush Miami Dentures Can Dentures Get Stained However, over time, dentures can become stained and discolored, causing them to lose their luster and aesthetic appeal. This is one of the things that makes false teeth similar to natural teeth. Read how dentures get discolored and how to remove. Learn how to whiten dentures, and remove plaque and stains from them. This article will help you understand how. Can Dentures Get Stained.
From www.myfamilydentalqld.com.au
From Stained to Shining The Best Ways to Clean Your Dentures My Family Dental Can Dentures Get Stained But knowing how to remove stains on dentures is important since the methods involved can differ from natural teeth. Although dentures are made from acrylic or composite material, over time, they can stain or become discolored. This is one of the things that makes false teeth similar to natural teeth. This article will help you understand how to. Dentures are. Can Dentures Get Stained.
From northsidedentalco.com
Stepbystep Process of Getting Dentures Northside Dental Co. Can Dentures Get Stained But knowing how to remove stains on dentures is important since the methods involved can differ from natural teeth. This article will help you understand how to. Read how dentures get discolored and how to remove. This is one of the things that makes false teeth similar to natural teeth. Although dentures are made from acrylic or composite material, over. Can Dentures Get Stained.
From olafreshdental.com
How to Clean Badly Stained Dentures Ola Fresh Can Dentures Get Stained However, over time, dentures can become stained and discolored, causing them to lose their luster and aesthetic appeal. This is one of the things that makes false teeth similar to natural teeth. Read how dentures get discolored and how to remove. This article will help you understand how to. Learn how to whiten dentures, and remove plaque and stains from. Can Dentures Get Stained.
From stabildent.com
Denture Stabilization And Your Lower DentureStabildent Can Dentures Get Stained However, over time, dentures can become stained and discolored, causing them to lose their luster and aesthetic appeal. Dentures are susceptible to staining from common beverages like coffee, tea, and red wine, as well as from smoking. This is one of the things that makes false teeth similar to natural teeth. Although dentures are made from acrylic or composite material,. Can Dentures Get Stained.
From www.drfornosdentistofmiami.com
Getting Used to Your Partial Dentures Dentist of Miami and Orthodontics Miami, FL Can Dentures Get Stained This is one of the things that makes false teeth similar to natural teeth. Although dentures are made from acrylic or composite material, over time, they can stain or become discolored. This article will help you understand how to. However, over time, dentures can become stained and discolored, causing them to lose their luster and aesthetic appeal. Read how dentures. Can Dentures Get Stained.
From wayzatadental.com
10 Signs You Need A Denture Adjustment or Repair Can Dentures Get Stained Read how dentures get discolored and how to remove. Although dentures are made from acrylic or composite material, over time, they can stain or become discolored. However, over time, dentures can become stained and discolored, causing them to lose their luster and aesthetic appeal. Learn how to whiten dentures, and remove plaque and stains from them. This article will help. Can Dentures Get Stained.
From aestheticdentalclinic.com.au
Do Dentures Stain Like Normal Teeth Aesthetic Dental & Denture Clinic Can Dentures Get Stained Learn how to whiten dentures, and remove plaque and stains from them. This is one of the things that makes false teeth similar to natural teeth. Read how dentures get discolored and how to remove. Although dentures are made from acrylic or composite material, over time, they can stain or become discolored. However, over time, dentures can become stained and. Can Dentures Get Stained.
From trendipia.com
How Do You Clean Badly Stained Dentures? Trendipia Can Dentures Get Stained However, over time, dentures can become stained and discolored, causing them to lose their luster and aesthetic appeal. Dentures are susceptible to staining from common beverages like coffee, tea, and red wine, as well as from smoking. Learn how to whiten dentures, and remove plaque and stains from them. This article will help you understand how to. Read how dentures. Can Dentures Get Stained.
From www.dentureshampshire.co.uk
Dentures Portsmouth from Direct Dentures Denture Clinic Can Dentures Get Stained Although dentures are made from acrylic or composite material, over time, they can stain or become discolored. Learn how to whiten dentures, and remove plaque and stains from them. Read how dentures get discolored and how to remove. This article will help you understand how to. Dentures are susceptible to staining from common beverages like coffee, tea, and red wine,. Can Dentures Get Stained.
From www.youtube.com
Can Dentures get a cavity? YouTube Can Dentures Get Stained This article will help you understand how to. Learn how to whiten dentures, and remove plaque and stains from them. Dentures are susceptible to staining from common beverages like coffee, tea, and red wine, as well as from smoking. Read how dentures get discolored and how to remove. But knowing how to remove stains on dentures is important since the. Can Dentures Get Stained.
From www.smiledaytona.com
Evolution of Dentures Port Orange Water's Edge Dental Can Dentures Get Stained Dentures are susceptible to staining from common beverages like coffee, tea, and red wine, as well as from smoking. Read how dentures get discolored and how to remove. Learn how to whiten dentures, and remove plaque and stains from them. However, over time, dentures can become stained and discolored, causing them to lose their luster and aesthetic appeal. Although dentures. Can Dentures Get Stained.
From hayven.ca
What Dentures Look the Most Realistic? Denture Care Blog & News Hayven Dentures St. Catherines Can Dentures Get Stained Learn how to whiten dentures, and remove plaque and stains from them. But knowing how to remove stains on dentures is important since the methods involved can differ from natural teeth. This is one of the things that makes false teeth similar to natural teeth. However, over time, dentures can become stained and discolored, causing them to lose their luster. Can Dentures Get Stained.