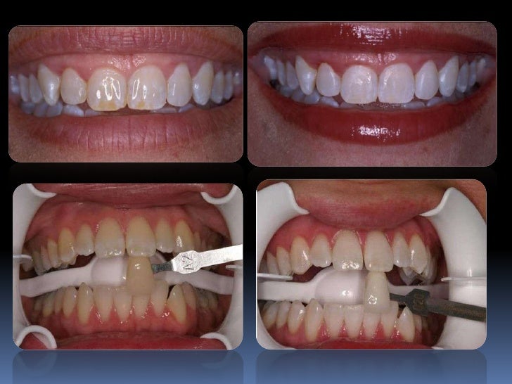
Enamel Microabrasion Procedure . Enamel microabrasion is a cosmetic dentistry treatment that involves removing a very thin layer of enamel from the. Demonstrates techniques for managing discoloured enamel defects without the use of invasive methods. Enamel microabrasion involves the use of acidic and abrasive agents, such as with. Explores new resin infiltrant techniques to further. First, the teeth need to be isolated from the rest of the mouth to not catch the gums or damage any other parts of your soft tissue. Ideal for removing superficial white and brown decalcification stains due to enamel mottling from fluorosis,. Enamel microabrasion (em) is a conservative procedure used to remove superficial enamel discolorations.
from en.ultradent.blog
First, the teeth need to be isolated from the rest of the mouth to not catch the gums or damage any other parts of your soft tissue. Explores new resin infiltrant techniques to further. Enamel microabrasion involves the use of acidic and abrasive agents, such as with. Enamel microabrasion is a cosmetic dentistry treatment that involves removing a very thin layer of enamel from the. Enamel microabrasion (em) is a conservative procedure used to remove superficial enamel discolorations. Ideal for removing superficial white and brown decalcification stains due to enamel mottling from fluorosis,. Demonstrates techniques for managing discoloured enamel defects without the use of invasive methods.
Enamel Microabrasion StepbyStep Technique
Enamel Microabrasion Procedure Enamel microabrasion is a cosmetic dentistry treatment that involves removing a very thin layer of enamel from the. Enamel microabrasion (em) is a conservative procedure used to remove superficial enamel discolorations. Ideal for removing superficial white and brown decalcification stains due to enamel mottling from fluorosis,. Enamel microabrasion is a cosmetic dentistry treatment that involves removing a very thin layer of enamel from the. Enamel microabrasion involves the use of acidic and abrasive agents, such as with. Explores new resin infiltrant techniques to further. Demonstrates techniques for managing discoloured enamel defects without the use of invasive methods. First, the teeth need to be isolated from the rest of the mouth to not catch the gums or damage any other parts of your soft tissue.
From www.dentaly.org
What is Enamel Microabrasion? Costs and Treatment Options Enamel Microabrasion Procedure Enamel microabrasion is a cosmetic dentistry treatment that involves removing a very thin layer of enamel from the. Enamel microabrasion involves the use of acidic and abrasive agents, such as with. First, the teeth need to be isolated from the rest of the mouth to not catch the gums or damage any other parts of your soft tissue. Ideal for. Enamel Microabrasion Procedure.
From www.downtowndentistsf.com
What Is Enamel Microabrasion and Is It Good For Your Teeth? — Downtown Enamel Microabrasion Procedure First, the teeth need to be isolated from the rest of the mouth to not catch the gums or damage any other parts of your soft tissue. Enamel microabrasion is a cosmetic dentistry treatment that involves removing a very thin layer of enamel from the. Demonstrates techniques for managing discoloured enamel defects without the use of invasive methods. Enamel microabrasion. Enamel Microabrasion Procedure.
From www.researchgate.net
Esthetic result achieved one week after the second microabrasion Enamel Microabrasion Procedure Enamel microabrasion involves the use of acidic and abrasive agents, such as with. Ideal for removing superficial white and brown decalcification stains due to enamel mottling from fluorosis,. Enamel microabrasion is a cosmetic dentistry treatment that involves removing a very thin layer of enamel from the. Enamel microabrasion (em) is a conservative procedure used to remove superficial enamel discolorations. Explores. Enamel Microabrasion Procedure.
From dentagama.com
Enamel Microabrasion News Dentagama Enamel Microabrasion Procedure Explores new resin infiltrant techniques to further. Enamel microabrasion is a cosmetic dentistry treatment that involves removing a very thin layer of enamel from the. Ideal for removing superficial white and brown decalcification stains due to enamel mottling from fluorosis,. Enamel microabrasion (em) is a conservative procedure used to remove superficial enamel discolorations. First, the teeth need to be isolated. Enamel Microabrasion Procedure.
From en.ultradent.blog
Enamel Microabrasion StepbyStep Technique Enamel Microabrasion Procedure Explores new resin infiltrant techniques to further. Enamel microabrasion (em) is a conservative procedure used to remove superficial enamel discolorations. Enamel microabrasion is a cosmetic dentistry treatment that involves removing a very thin layer of enamel from the. Ideal for removing superficial white and brown decalcification stains due to enamel mottling from fluorosis,. Enamel microabrasion involves the use of acidic. Enamel Microabrasion Procedure.
From www.researchgate.net
(PDF) Enamel microabrasion associated with resin infiltration technique Enamel Microabrasion Procedure First, the teeth need to be isolated from the rest of the mouth to not catch the gums or damage any other parts of your soft tissue. Enamel microabrasion involves the use of acidic and abrasive agents, such as with. Explores new resin infiltrant techniques to further. Demonstrates techniques for managing discoloured enamel defects without the use of invasive methods.. Enamel Microabrasion Procedure.
From www.wjgnet.com
Effectiveness of a microabrasion technique using 16 HCL with manual Enamel Microabrasion Procedure Explores new resin infiltrant techniques to further. Demonstrates techniques for managing discoloured enamel defects without the use of invasive methods. First, the teeth need to be isolated from the rest of the mouth to not catch the gums or damage any other parts of your soft tissue. Ideal for removing superficial white and brown decalcification stains due to enamel mottling. Enamel Microabrasion Procedure.
From dandal.ir
UltraDent Opalustre Enamel Microabrasion Dandal Enamel Microabrasion Procedure Enamel microabrasion involves the use of acidic and abrasive agents, such as with. Enamel microabrasion is a cosmetic dentistry treatment that involves removing a very thin layer of enamel from the. First, the teeth need to be isolated from the rest of the mouth to not catch the gums or damage any other parts of your soft tissue. Enamel microabrasion. Enamel Microabrasion Procedure.
From wayzatadental.com
Enamel Microabrasion What It Is & How It Works (2024 Guide) Enamel Microabrasion Procedure First, the teeth need to be isolated from the rest of the mouth to not catch the gums or damage any other parts of your soft tissue. Explores new resin infiltrant techniques to further. Enamel microabrasion (em) is a conservative procedure used to remove superficial enamel discolorations. Enamel microabrasion involves the use of acidic and abrasive agents, such as with.. Enamel Microabrasion Procedure.
From en.ultradent.blog
Enamel Microabrasion StepbyStep Technique Enamel Microabrasion Procedure Enamel microabrasion (em) is a conservative procedure used to remove superficial enamel discolorations. Enamel microabrasion is a cosmetic dentistry treatment that involves removing a very thin layer of enamel from the. First, the teeth need to be isolated from the rest of the mouth to not catch the gums or damage any other parts of your soft tissue. Enamel microabrasion. Enamel Microabrasion Procedure.
From www.pccdental.com
Enamel Microabrasion Patient Education Patient Education Enamel Microabrasion Procedure First, the teeth need to be isolated from the rest of the mouth to not catch the gums or damage any other parts of your soft tissue. Ideal for removing superficial white and brown decalcification stains due to enamel mottling from fluorosis,. Enamel microabrasion involves the use of acidic and abrasive agents, such as with. Explores new resin infiltrant techniques. Enamel Microabrasion Procedure.
From www.researchgate.net
(PDF) Enamel microabrasion associated with resin infiltration technique Enamel Microabrasion Procedure Enamel microabrasion is a cosmetic dentistry treatment that involves removing a very thin layer of enamel from the. Enamel microabrasion (em) is a conservative procedure used to remove superficial enamel discolorations. Demonstrates techniques for managing discoloured enamel defects without the use of invasive methods. Ideal for removing superficial white and brown decalcification stains due to enamel mottling from fluorosis,. Explores. Enamel Microabrasion Procedure.
From alrezfamilydentistry.com
Enamel Microabrasion in Glen Mills, PA Alrez Family Dentistry Enamel Microabrasion Procedure First, the teeth need to be isolated from the rest of the mouth to not catch the gums or damage any other parts of your soft tissue. Enamel microabrasion (em) is a conservative procedure used to remove superficial enamel discolorations. Enamel microabrasion involves the use of acidic and abrasive agents, such as with. Demonstrates techniques for managing discoloured enamel defects. Enamel Microabrasion Procedure.
From dentagama.com
Enamel Microabrasion News Dentagama Enamel Microabrasion Procedure Demonstrates techniques for managing discoloured enamel defects without the use of invasive methods. Enamel microabrasion is a cosmetic dentistry treatment that involves removing a very thin layer of enamel from the. Ideal for removing superficial white and brown decalcification stains due to enamel mottling from fluorosis,. Enamel microabrasion (em) is a conservative procedure used to remove superficial enamel discolorations. Explores. Enamel Microabrasion Procedure.
From www.dentalclinique.us
Dental Microabrasion Dental Clinique Enamel Microabrasion Procedure First, the teeth need to be isolated from the rest of the mouth to not catch the gums or damage any other parts of your soft tissue. Ideal for removing superficial white and brown decalcification stains due to enamel mottling from fluorosis,. Explores new resin infiltrant techniques to further. Enamel microabrasion (em) is a conservative procedure used to remove superficial. Enamel Microabrasion Procedure.
From www.slideshare.net
Bleaching Teeth Enamel Microabrasion Procedure Ideal for removing superficial white and brown decalcification stains due to enamel mottling from fluorosis,. Enamel microabrasion is a cosmetic dentistry treatment that involves removing a very thin layer of enamel from the. Enamel microabrasion (em) is a conservative procedure used to remove superficial enamel discolorations. Demonstrates techniques for managing discoloured enamel defects without the use of invasive methods. Explores. Enamel Microabrasion Procedure.
From www.youtube.com
Case Selection for Enamel Microabrasion YouTube Enamel Microabrasion Procedure Enamel microabrasion involves the use of acidic and abrasive agents, such as with. Explores new resin infiltrant techniques to further. Demonstrates techniques for managing discoloured enamel defects without the use of invasive methods. Enamel microabrasion (em) is a conservative procedure used to remove superficial enamel discolorations. Ideal for removing superficial white and brown decalcification stains due to enamel mottling from. Enamel Microabrasion Procedure.
From dentagama.com
Enamel Microabrasion News Dentagama Enamel Microabrasion Procedure First, the teeth need to be isolated from the rest of the mouth to not catch the gums or damage any other parts of your soft tissue. Enamel microabrasion (em) is a conservative procedure used to remove superficial enamel discolorations. Explores new resin infiltrant techniques to further. Enamel microabrasion is a cosmetic dentistry treatment that involves removing a very thin. Enamel Microabrasion Procedure.
From www.researchgate.net
(PDF) Enamel microabrasion associated with resin infiltration technique Enamel Microabrasion Procedure Enamel microabrasion is a cosmetic dentistry treatment that involves removing a very thin layer of enamel from the. Ideal for removing superficial white and brown decalcification stains due to enamel mottling from fluorosis,. Enamel microabrasion involves the use of acidic and abrasive agents, such as with. First, the teeth need to be isolated from the rest of the mouth to. Enamel Microabrasion Procedure.
From www.youtube.com
Enamel microabrasion by Dr Mario Romero YouTube Enamel Microabrasion Procedure Explores new resin infiltrant techniques to further. Ideal for removing superficial white and brown decalcification stains due to enamel mottling from fluorosis,. Demonstrates techniques for managing discoloured enamel defects without the use of invasive methods. First, the teeth need to be isolated from the rest of the mouth to not catch the gums or damage any other parts of your. Enamel Microabrasion Procedure.
From en.ultradent.blog
Enamel Microabrasion StepbyStep Technique Enamel Microabrasion Procedure Enamel microabrasion (em) is a conservative procedure used to remove superficial enamel discolorations. Enamel microabrasion involves the use of acidic and abrasive agents, such as with. Enamel microabrasion is a cosmetic dentistry treatment that involves removing a very thin layer of enamel from the. First, the teeth need to be isolated from the rest of the mouth to not catch. Enamel Microabrasion Procedure.
From www.slideshare.net
Conservative esthetic procedures Enamel Microabrasion Procedure Ideal for removing superficial white and brown decalcification stains due to enamel mottling from fluorosis,. Demonstrates techniques for managing discoloured enamel defects without the use of invasive methods. Enamel microabrasion is a cosmetic dentistry treatment that involves removing a very thin layer of enamel from the. Enamel microabrasion (em) is a conservative procedure used to remove superficial enamel discolorations. Enamel. Enamel Microabrasion Procedure.
From www.semanticscholar.org
Enamel Microabrasion Semantic Scholar Enamel Microabrasion Procedure Ideal for removing superficial white and brown decalcification stains due to enamel mottling from fluorosis,. Demonstrates techniques for managing discoloured enamel defects without the use of invasive methods. First, the teeth need to be isolated from the rest of the mouth to not catch the gums or damage any other parts of your soft tissue. Enamel microabrasion (em) is a. Enamel Microabrasion Procedure.
From dentagama.com
Enamel Microabrasion News Dentagama Enamel Microabrasion Procedure First, the teeth need to be isolated from the rest of the mouth to not catch the gums or damage any other parts of your soft tissue. Explores new resin infiltrant techniques to further. Demonstrates techniques for managing discoloured enamel defects without the use of invasive methods. Ideal for removing superficial white and brown decalcification stains due to enamel mottling. Enamel Microabrasion Procedure.
From wayzatadental.com
Enamel Microabrasion What It Is & How It Works (2022 Guide) Enamel Microabrasion Procedure Ideal for removing superficial white and brown decalcification stains due to enamel mottling from fluorosis,. Demonstrates techniques for managing discoloured enamel defects without the use of invasive methods. Enamel microabrasion (em) is a conservative procedure used to remove superficial enamel discolorations. Enamel microabrasion is a cosmetic dentistry treatment that involves removing a very thin layer of enamel from the. Enamel. Enamel Microabrasion Procedure.
From www.youtube.com
Enamel microabrasion enamel_microabrasion YouTube Enamel Microabrasion Procedure First, the teeth need to be isolated from the rest of the mouth to not catch the gums or damage any other parts of your soft tissue. Demonstrates techniques for managing discoloured enamel defects without the use of invasive methods. Ideal for removing superficial white and brown decalcification stains due to enamel mottling from fluorosis,. Explores new resin infiltrant techniques. Enamel Microabrasion Procedure.
From www.semanticscholar.org
[PDF] Considerations about enamel microabrasion after 18 years Enamel Microabrasion Procedure First, the teeth need to be isolated from the rest of the mouth to not catch the gums or damage any other parts of your soft tissue. Demonstrates techniques for managing discoloured enamel defects without the use of invasive methods. Enamel microabrasion involves the use of acidic and abrasive agents, such as with. Explores new resin infiltrant techniques to further.. Enamel Microabrasion Procedure.
From leedervilledental.com.au
Microabrasion Of Mottled Teeth Leederville Dental Enamel Microabrasion Procedure Enamel microabrasion involves the use of acidic and abrasive agents, such as with. Explores new resin infiltrant techniques to further. Enamel microabrasion (em) is a conservative procedure used to remove superficial enamel discolorations. Enamel microabrasion is a cosmetic dentistry treatment that involves removing a very thin layer of enamel from the. Ideal for removing superficial white and brown decalcification stains. Enamel Microabrasion Procedure.
From dentagama.com
Enamel Microabrasion News Dentagama Enamel Microabrasion Procedure Enamel microabrasion (em) is a conservative procedure used to remove superficial enamel discolorations. Enamel microabrasion is a cosmetic dentistry treatment that involves removing a very thin layer of enamel from the. First, the teeth need to be isolated from the rest of the mouth to not catch the gums or damage any other parts of your soft tissue. Enamel microabrasion. Enamel Microabrasion Procedure.
From alrezfamilydentistry.com
Enamel Microabrasion in Glen Mills, PA Alrez Family Dentistry Enamel Microabrasion Procedure Ideal for removing superficial white and brown decalcification stains due to enamel mottling from fluorosis,. First, the teeth need to be isolated from the rest of the mouth to not catch the gums or damage any other parts of your soft tissue. Enamel microabrasion involves the use of acidic and abrasive agents, such as with. Enamel microabrasion is a cosmetic. Enamel Microabrasion Procedure.
From www.researchgate.net
Microabrasion procedure. (a) Application of Opalustre microabrasion Enamel Microabrasion Procedure Enamel microabrasion involves the use of acidic and abrasive agents, such as with. Enamel microabrasion (em) is a conservative procedure used to remove superficial enamel discolorations. Ideal for removing superficial white and brown decalcification stains due to enamel mottling from fluorosis,. Explores new resin infiltrant techniques to further. Enamel microabrasion is a cosmetic dentistry treatment that involves removing a very. Enamel Microabrasion Procedure.
From www.semanticscholar.org
Enamel Microabrasion Semantic Scholar Enamel Microabrasion Procedure First, the teeth need to be isolated from the rest of the mouth to not catch the gums or damage any other parts of your soft tissue. Demonstrates techniques for managing discoloured enamel defects without the use of invasive methods. Enamel microabrasion (em) is a conservative procedure used to remove superficial enamel discolorations. Explores new resin infiltrant techniques to further.. Enamel Microabrasion Procedure.
From www.scribd.com
Microabrasion technique Tooth Enamel Dentistry Enamel Microabrasion Procedure First, the teeth need to be isolated from the rest of the mouth to not catch the gums or damage any other parts of your soft tissue. Ideal for removing superficial white and brown decalcification stains due to enamel mottling from fluorosis,. Enamel microabrasion (em) is a conservative procedure used to remove superficial enamel discolorations. Demonstrates techniques for managing discoloured. Enamel Microabrasion Procedure.
From dentagama.com
Enamel Microabrasion News Dentagama Enamel Microabrasion Procedure Enamel microabrasion involves the use of acidic and abrasive agents, such as with. Enamel microabrasion (em) is a conservative procedure used to remove superficial enamel discolorations. First, the teeth need to be isolated from the rest of the mouth to not catch the gums or damage any other parts of your soft tissue. Explores new resin infiltrant techniques to further.. Enamel Microabrasion Procedure.
From en.ultradent.blog
Enamel Microabrasion StepbyStep Technique Enamel Microabrasion Procedure Ideal for removing superficial white and brown decalcification stains due to enamel mottling from fluorosis,. Explores new resin infiltrant techniques to further. Enamel microabrasion involves the use of acidic and abrasive agents, such as with. Enamel microabrasion is a cosmetic dentistry treatment that involves removing a very thin layer of enamel from the. Enamel microabrasion (em) is a conservative procedure. Enamel Microabrasion Procedure.