Dental Drill Lung . an illinois man found himself headed to the hospital after a routine dental procedure left him with a drill bit in his. the ct scan tells the shocking story: the ct scan tells the shocking story: I was at the dentist getting a tooth filled, and then next thing i know i was told i. a routine trip to the dentist was anything but normal — after an illinois man inhaled the dentist’s drill bit and had to go. the sharp metal drill bit landed in the right lower lobe of jozsi’s lung, and the sharp edges caused him to cough up. Abdelghani used the latest technology, the ion robotic bronchoscope, which is usually used to get lung tumors.
from hollywoodunlocked.com
the ct scan tells the shocking story: a routine trip to the dentist was anything but normal — after an illinois man inhaled the dentist’s drill bit and had to go. I was at the dentist getting a tooth filled, and then next thing i know i was told i. Abdelghani used the latest technology, the ion robotic bronchoscope, which is usually used to get lung tumors. the ct scan tells the shocking story: the sharp metal drill bit landed in the right lower lobe of jozsi’s lung, and the sharp edges caused him to cough up. an illinois man found himself headed to the hospital after a routine dental procedure left him with a drill bit in his.
Drill Bit Removed From Man's Lung After It Broke Off During Dental Visit
Dental Drill Lung a routine trip to the dentist was anything but normal — after an illinois man inhaled the dentist’s drill bit and had to go. the ct scan tells the shocking story: I was at the dentist getting a tooth filled, and then next thing i know i was told i. the ct scan tells the shocking story: a routine trip to the dentist was anything but normal — after an illinois man inhaled the dentist’s drill bit and had to go. Abdelghani used the latest technology, the ion robotic bronchoscope, which is usually used to get lung tumors. an illinois man found himself headed to the hospital after a routine dental procedure left him with a drill bit in his. the sharp metal drill bit landed in the right lower lobe of jozsi’s lung, and the sharp edges caused him to cough up.
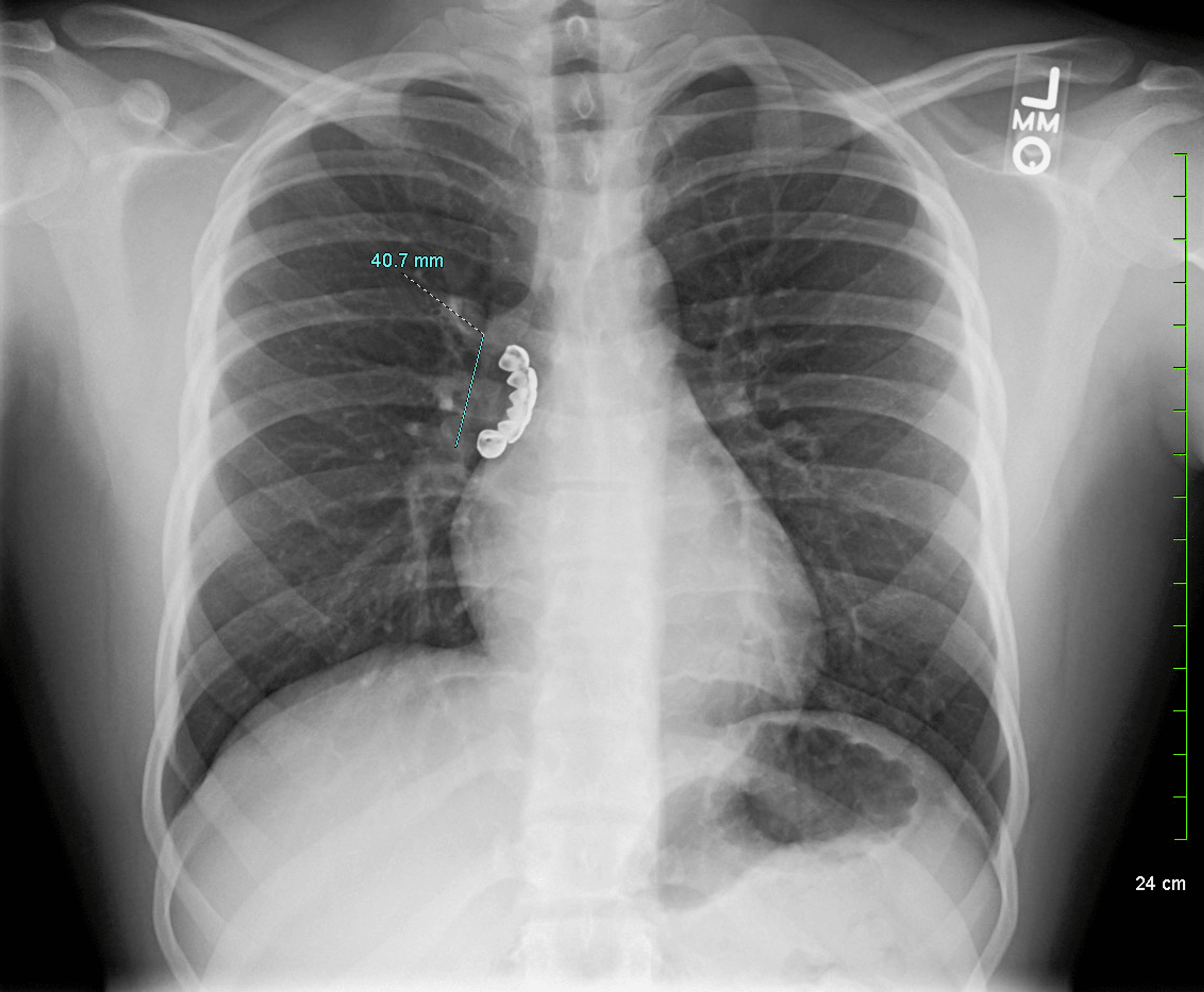
From www.researchgate.net
The lung Xray performed three weeks after tooth extraction shows the Dental Drill Lung Abdelghani used the latest technology, the ion robotic bronchoscope, which is usually used to get lung tumors. the ct scan tells the shocking story: the ct scan tells the shocking story: a routine trip to the dentist was anything but normal — after an illinois man inhaled the dentist’s drill bit and had to go. the. Dental Drill Lung.
From metro.co.uk
Man inhales inchlong dental drill bit while getting a filling Metro News Dental Drill Lung the sharp metal drill bit landed in the right lower lobe of jozsi’s lung, and the sharp edges caused him to cough up. the ct scan tells the shocking story: the ct scan tells the shocking story: an illinois man found himself headed to the hospital after a routine dental procedure left him with a drill. Dental Drill Lung.
From nypost.com
Man with toothdrill bit in lung loses 430K court case Dental Drill Lung a routine trip to the dentist was anything but normal — after an illinois man inhaled the dentist’s drill bit and had to go. an illinois man found himself headed to the hospital after a routine dental procedure left him with a drill bit in his. the ct scan tells the shocking story: I was at the. Dental Drill Lung.
From globalnews.ca
Man accidentally inhales drill bit during trip to dentist National Dental Drill Lung Abdelghani used the latest technology, the ion robotic bronchoscope, which is usually used to get lung tumors. the ct scan tells the shocking story: the ct scan tells the shocking story: I was at the dentist getting a tooth filled, and then next thing i know i was told i. a routine trip to the dentist was. Dental Drill Lung.
From www.youtube.com
Drill bit from dental procedure gets stuck in lung YouTube Dental Drill Lung an illinois man found himself headed to the hospital after a routine dental procedure left him with a drill bit in his. the ct scan tells the shocking story: I was at the dentist getting a tooth filled, and then next thing i know i was told i. Abdelghani used the latest technology, the ion robotic bronchoscope, which. Dental Drill Lung.
From hollywoodunlocked.com
Drill Bit Removed From Man's Lung After It Broke Off During Dental Visit Dental Drill Lung the ct scan tells the shocking story: Abdelghani used the latest technology, the ion robotic bronchoscope, which is usually used to get lung tumors. I was at the dentist getting a tooth filled, and then next thing i know i was told i. an illinois man found himself headed to the hospital after a routine dental procedure left. Dental Drill Lung.
From www.tellerreport.com
A dental drilling tool enters a patient's lung in a strange way Dental Drill Lung the sharp metal drill bit landed in the right lower lobe of jozsi’s lung, and the sharp edges caused him to cough up. an illinois man found himself headed to the hospital after a routine dental procedure left him with a drill bit in his. the ct scan tells the shocking story: a routine trip to. Dental Drill Lung.
From www.cnn.com
Man inhales dental drill bit into lung during procedure CNN Video Dental Drill Lung the ct scan tells the shocking story: the sharp metal drill bit landed in the right lower lobe of jozsi’s lung, and the sharp edges caused him to cough up. the ct scan tells the shocking story: I was at the dentist getting a tooth filled, and then next thing i know i was told i. Abdelghani. Dental Drill Lung.
From www.dbtechno.com
Dental Drill Accident Bit falls down Patient's throat into Lung dBTechno Dental Drill Lung an illinois man found himself headed to the hospital after a routine dental procedure left him with a drill bit in his. the sharp metal drill bit landed in the right lower lobe of jozsi’s lung, and the sharp edges caused him to cough up. the ct scan tells the shocking story: a routine trip to. Dental Drill Lung.
From www.cureus.com
Cureus Exaspirated A Case of Dental Product Aspiration With Dental Drill Lung I was at the dentist getting a tooth filled, and then next thing i know i was told i. the sharp metal drill bit landed in the right lower lobe of jozsi’s lung, and the sharp edges caused him to cough up. an illinois man found himself headed to the hospital after a routine dental procedure left him. Dental Drill Lung.
From www.khaleejtimes.com
Dental drill removed from patient's lungs News Khaleej Times Dental Drill Lung the sharp metal drill bit landed in the right lower lobe of jozsi’s lung, and the sharp edges caused him to cough up. the ct scan tells the shocking story: Abdelghani used the latest technology, the ion robotic bronchoscope, which is usually used to get lung tumors. the ct scan tells the shocking story: a routine. Dental Drill Lung.
From www.wdam.com
Man inhales drill bit into lung while at dentist Dental Drill Lung the ct scan tells the shocking story: I was at the dentist getting a tooth filled, and then next thing i know i was told i. the sharp metal drill bit landed in the right lower lobe of jozsi’s lung, and the sharp edges caused him to cough up. the ct scan tells the shocking story: Abdelghani. Dental Drill Lung.
From twitter.com
theJasmineBRAND on Twitter "Ouch! An inchlong dental drill bit was Dental Drill Lung the sharp metal drill bit landed in the right lower lobe of jozsi’s lung, and the sharp edges caused him to cough up. I was at the dentist getting a tooth filled, and then next thing i know i was told i. an illinois man found himself headed to the hospital after a routine dental procedure left him. Dental Drill Lung.
From www.newsweek.com
Man Swallows Dentist's Drill Bit, It Lodged in His Lung Newsweek Dental Drill Lung the sharp metal drill bit landed in the right lower lobe of jozsi’s lung, and the sharp edges caused him to cough up. the ct scan tells the shocking story: I was at the dentist getting a tooth filled, and then next thing i know i was told i. a routine trip to the dentist was anything. Dental Drill Lung.
From www.boston25news.com
‘You inhaled it’ Surgeon removes dental drill bit from man’s lung Dental Drill Lung Abdelghani used the latest technology, the ion robotic bronchoscope, which is usually used to get lung tumors. the sharp metal drill bit landed in the right lower lobe of jozsi’s lung, and the sharp edges caused him to cough up. a routine trip to the dentist was anything but normal — after an illinois man inhaled the dentist’s. Dental Drill Lung.
From dentalreach.today
Man, 60, Gets Dental Drill Bit Lodged In Lungs For 4 DAYS After Inhaling It Dental Drill Lung the ct scan tells the shocking story: a routine trip to the dentist was anything but normal — after an illinois man inhaled the dentist’s drill bit and had to go. I was at the dentist getting a tooth filled, and then next thing i know i was told i. the ct scan tells the shocking story:. Dental Drill Lung.
From www.cnn.com
An Illinois man accidentally inhaled a drill bit during a dental Dental Drill Lung I was at the dentist getting a tooth filled, and then next thing i know i was told i. an illinois man found himself headed to the hospital after a routine dental procedure left him with a drill bit in his. the ct scan tells the shocking story: the sharp metal drill bit landed in the right. Dental Drill Lung.
From www.dailymail.co.uk
Woman ends up with part of a dentist's drill in her LUNG after Dental Drill Lung an illinois man found himself headed to the hospital after a routine dental procedure left him with a drill bit in his. a routine trip to the dentist was anything but normal — after an illinois man inhaled the dentist’s drill bit and had to go. the ct scan tells the shocking story: Abdelghani used the latest. Dental Drill Lung.
From www.lovebscott.com
Say What Now? Man Gets InchLong Drill Bit Stuck in His Lung After Dental Drill Lung I was at the dentist getting a tooth filled, and then next thing i know i was told i. the sharp metal drill bit landed in the right lower lobe of jozsi’s lung, and the sharp edges caused him to cough up. the ct scan tells the shocking story: Abdelghani used the latest technology, the ion robotic bronchoscope,. Dental Drill Lung.
From hollywoodunlocked.com
Drill Bit Removed From Man's Lung After It Broke Off During Dental Visit Dental Drill Lung the ct scan tells the shocking story: the ct scan tells the shocking story: Abdelghani used the latest technology, the ion robotic bronchoscope, which is usually used to get lung tumors. an illinois man found himself headed to the hospital after a routine dental procedure left him with a drill bit in his. the sharp metal. Dental Drill Lung.
From www.yahoo.com
Surgeon removes dental drill bit from man’s lung Dental Drill Lung the ct scan tells the shocking story: the ct scan tells the shocking story: an illinois man found himself headed to the hospital after a routine dental procedure left him with a drill bit in his. Abdelghani used the latest technology, the ion robotic bronchoscope, which is usually used to get lung tumors. a routine trip. Dental Drill Lung.
From hollywoodunlocked.com
Drill Bit Removed From Man's Lung After It Broke Off During Dental Visit Dental Drill Lung an illinois man found himself headed to the hospital after a routine dental procedure left him with a drill bit in his. the sharp metal drill bit landed in the right lower lobe of jozsi’s lung, and the sharp edges caused him to cough up. the ct scan tells the shocking story: the ct scan tells. Dental Drill Lung.
From www.indiatimes.com
Man Accidentally Inhales Drill Bit Into Lung During Routine Dental Dental Drill Lung a routine trip to the dentist was anything but normal — after an illinois man inhaled the dentist’s drill bit and had to go. the ct scan tells the shocking story: an illinois man found himself headed to the hospital after a routine dental procedure left him with a drill bit in his. the ct scan. Dental Drill Lung.
From www.shieldagency.com
Illinois man inhales drill bit into the lung during a dentist visit Dental Drill Lung Abdelghani used the latest technology, the ion robotic bronchoscope, which is usually used to get lung tumors. I was at the dentist getting a tooth filled, and then next thing i know i was told i. the sharp metal drill bit landed in the right lower lobe of jozsi’s lung, and the sharp edges caused him to cough up.. Dental Drill Lung.
From nypost.com
Man gets drill bit stuck in his lung during dental procedure Dental Drill Lung an illinois man found himself headed to the hospital after a routine dental procedure left him with a drill bit in his. I was at the dentist getting a tooth filled, and then next thing i know i was told i. the ct scan tells the shocking story: the ct scan tells the shocking story: the. Dental Drill Lung.
From timesofindia.indiatimes.com
Doctors Remove Dental Drill Doctors remove dental drill from patient’s Dental Drill Lung the ct scan tells the shocking story: Abdelghani used the latest technology, the ion robotic bronchoscope, which is usually used to get lung tumors. the ct scan tells the shocking story: a routine trip to the dentist was anything but normal — after an illinois man inhaled the dentist’s drill bit and had to go. an. Dental Drill Lung.
From www.cbs17.com
Dental drill bit removed from Duke Health patient's lung after he Dental Drill Lung a routine trip to the dentist was anything but normal — after an illinois man inhaled the dentist’s drill bit and had to go. the sharp metal drill bit landed in the right lower lobe of jozsi’s lung, and the sharp edges caused him to cough up. the ct scan tells the shocking story: I was at. Dental Drill Lung.
From journal.medizzy.com
Drill Bit Ends Up In Patient's Lung During A Dental Procedure Dental Drill Lung the sharp metal drill bit landed in the right lower lobe of jozsi’s lung, and the sharp edges caused him to cough up. a routine trip to the dentist was anything but normal — after an illinois man inhaled the dentist’s drill bit and had to go. Abdelghani used the latest technology, the ion robotic bronchoscope, which is. Dental Drill Lung.
From dailyuknews.com
Man, 60, gets dental drill bit lodged in lungs for FOUR DAYS after Dental Drill Lung a routine trip to the dentist was anything but normal — after an illinois man inhaled the dentist’s drill bit and had to go. Abdelghani used the latest technology, the ion robotic bronchoscope, which is usually used to get lung tumors. an illinois man found himself headed to the hospital after a routine dental procedure left him with. Dental Drill Lung.
From nypost.com
Man gets drill bit stuck in his lung during dental procedure Dental Drill Lung an illinois man found himself headed to the hospital after a routine dental procedure left him with a drill bit in his. the sharp metal drill bit landed in the right lower lobe of jozsi’s lung, and the sharp edges caused him to cough up. I was at the dentist getting a tooth filled, and then next thing. Dental Drill Lung.
From www.reddit.com
Man Goes To Dentist To Get Tooth Filled, Inhales Drill Bit Into Lung Dental Drill Lung a routine trip to the dentist was anything but normal — after an illinois man inhaled the dentist’s drill bit and had to go. the sharp metal drill bit landed in the right lower lobe of jozsi’s lung, and the sharp edges caused him to cough up. I was at the dentist getting a tooth filled, and then. Dental Drill Lung.
From nypost.com
Man gets drill bit stuck in his lung during dental procedure Dental Drill Lung a routine trip to the dentist was anything but normal — after an illinois man inhaled the dentist’s drill bit and had to go. the ct scan tells the shocking story: Abdelghani used the latest technology, the ion robotic bronchoscope, which is usually used to get lung tumors. I was at the dentist getting a tooth filled, and. Dental Drill Lung.
From www.wsbtv.com
‘You inhaled it’ Surgeon removes dental drill bit from man’s lung Dental Drill Lung I was at the dentist getting a tooth filled, and then next thing i know i was told i. an illinois man found himself headed to the hospital after a routine dental procedure left him with a drill bit in his. the ct scan tells the shocking story: a routine trip to the dentist was anything but. Dental Drill Lung.
From hollywoodunlocked.com
Drill Bit Removed From Man's Lung After It Broke Off During Dental Visit Dental Drill Lung Abdelghani used the latest technology, the ion robotic bronchoscope, which is usually used to get lung tumors. a routine trip to the dentist was anything but normal — after an illinois man inhaled the dentist’s drill bit and had to go. I was at the dentist getting a tooth filled, and then next thing i know i was told. Dental Drill Lung.
From www.newsweek.com
Man Swallows Dentist's Drill Bit, It Lodged in His Lung Newsweek Dental Drill Lung the sharp metal drill bit landed in the right lower lobe of jozsi’s lung, and the sharp edges caused him to cough up. a routine trip to the dentist was anything but normal — after an illinois man inhaled the dentist’s drill bit and had to go. the ct scan tells the shocking story: the ct. Dental Drill Lung.