Ogilvie Syndrome Symptoms . what are the symptoms of megacolon? ogilvie syndrome is a rare disorder of colonic dilation and dysfunction that mimics mechanical obstruction. Common symptoms of megacolon include constipation, bloating, and abdominal pain. Usually the patient has abdominal distention, pain and altered bowel movements. In some cases the small bowel. [2][8] there may also be. learn about the definition, causes, symptoms, diagnosis, treatment, and outlook of intestinal pseudo obstruction, also.
from www.cmaj.ca
what are the symptoms of megacolon? Usually the patient has abdominal distention, pain and altered bowel movements. learn about the definition, causes, symptoms, diagnosis, treatment, and outlook of intestinal pseudo obstruction, also. [2][8] there may also be. Common symptoms of megacolon include constipation, bloating, and abdominal pain. ogilvie syndrome is a rare disorder of colonic dilation and dysfunction that mimics mechanical obstruction. In some cases the small bowel.
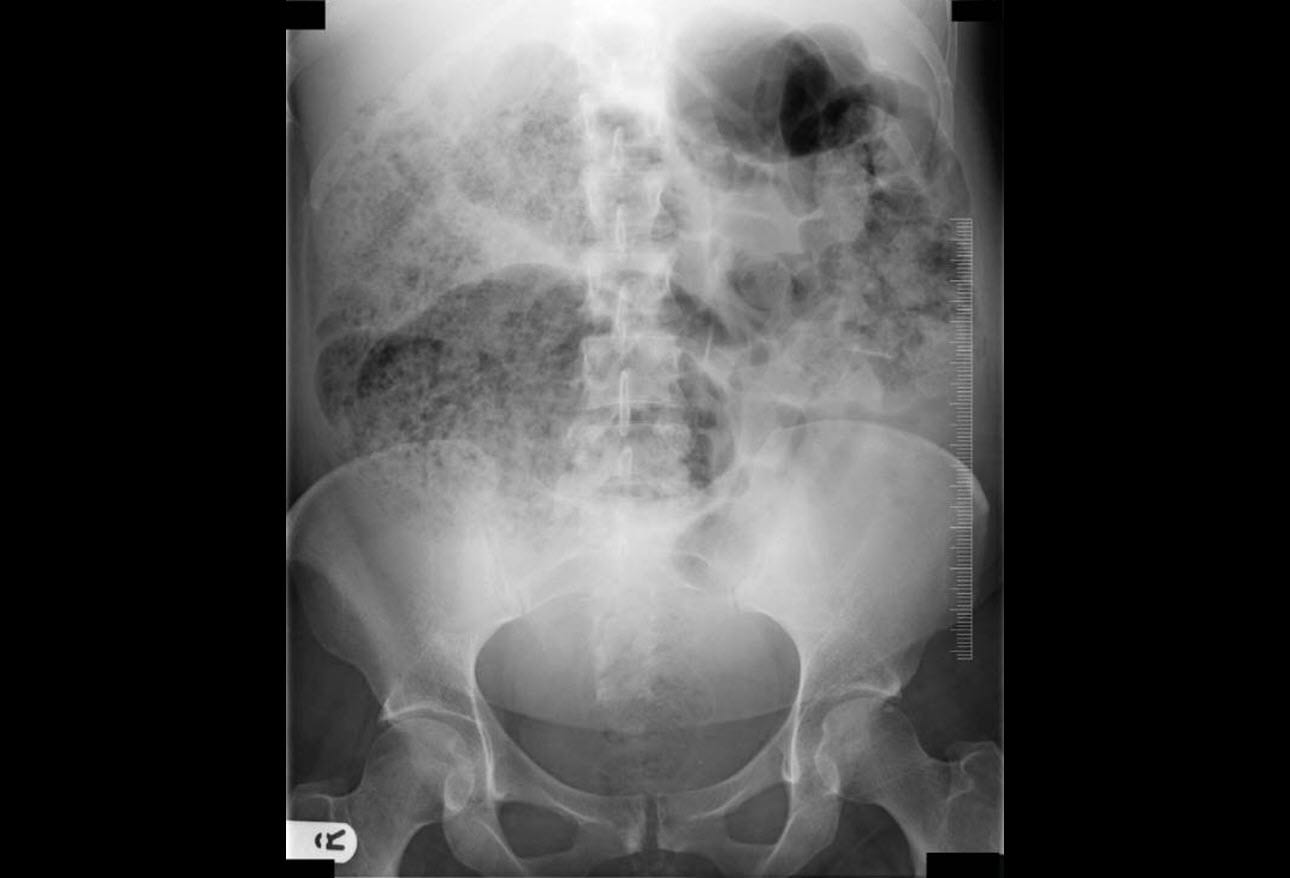
Ogilvie syndrome acute pseudoobstruction of the colon CMAJ
Ogilvie Syndrome Symptoms Common symptoms of megacolon include constipation, bloating, and abdominal pain. ogilvie syndrome is a rare disorder of colonic dilation and dysfunction that mimics mechanical obstruction. In some cases the small bowel. [2][8] there may also be. Usually the patient has abdominal distention, pain and altered bowel movements. what are the symptoms of megacolon? Common symptoms of megacolon include constipation, bloating, and abdominal pain. learn about the definition, causes, symptoms, diagnosis, treatment, and outlook of intestinal pseudo obstruction, also.
From stock.adobe.com
Ogilvie Syndrome symptoms, diagnostic and treatment vector icons. Line editable medical icons Ogilvie Syndrome Symptoms learn about the definition, causes, symptoms, diagnosis, treatment, and outlook of intestinal pseudo obstruction, also. ogilvie syndrome is a rare disorder of colonic dilation and dysfunction that mimics mechanical obstruction. what are the symptoms of megacolon? [2][8] there may also be. In some cases the small bowel. Usually the patient has abdominal distention, pain and altered bowel. Ogilvie Syndrome Symptoms.
From medizzy.com
Ogilvie Syndrome MEDizzy Ogilvie Syndrome Symptoms learn about the definition, causes, symptoms, diagnosis, treatment, and outlook of intestinal pseudo obstruction, also. ogilvie syndrome is a rare disorder of colonic dilation and dysfunction that mimics mechanical obstruction. Usually the patient has abdominal distention, pain and altered bowel movements. what are the symptoms of megacolon? Common symptoms of megacolon include constipation, bloating, and abdominal pain.. Ogilvie Syndrome Symptoms.
From medicolearning.com
Ogilvie’s Syndrome (AcuteColonic Pseudo Obstruction) MedicoLearning Ogilvie Syndrome Symptoms ogilvie syndrome is a rare disorder of colonic dilation and dysfunction that mimics mechanical obstruction. what are the symptoms of megacolon? Common symptoms of megacolon include constipation, bloating, and abdominal pain. Usually the patient has abdominal distention, pain and altered bowel movements. In some cases the small bowel. learn about the definition, causes, symptoms, diagnosis, treatment, and. Ogilvie Syndrome Symptoms.
From ibimapublishing.com
The Giant Caecum with No Apparent Reason Ogilvie’s Syndrome Ogilvie Syndrome Symptoms Usually the patient has abdominal distention, pain and altered bowel movements. what are the symptoms of megacolon? In some cases the small bowel. learn about the definition, causes, symptoms, diagnosis, treatment, and outlook of intestinal pseudo obstruction, also. ogilvie syndrome is a rare disorder of colonic dilation and dysfunction that mimics mechanical obstruction. [2][8] there may also. Ogilvie Syndrome Symptoms.
From hjog.org
Diagnosis and management of Ogilvie’s Syndrome post Caesarean Section. Ogilvie Syndrome Symptoms what are the symptoms of megacolon? Usually the patient has abdominal distention, pain and altered bowel movements. [2][8] there may also be. Common symptoms of megacolon include constipation, bloating, and abdominal pain. learn about the definition, causes, symptoms, diagnosis, treatment, and outlook of intestinal pseudo obstruction, also. In some cases the small bowel. ogilvie syndrome is a. Ogilvie Syndrome Symptoms.
From www.dovemed.com
Ogilvie Syndrome Ogilvie Syndrome Symptoms ogilvie syndrome is a rare disorder of colonic dilation and dysfunction that mimics mechanical obstruction. In some cases the small bowel. what are the symptoms of megacolon? Usually the patient has abdominal distention, pain and altered bowel movements. Common symptoms of megacolon include constipation, bloating, and abdominal pain. [2][8] there may also be. learn about the definition,. Ogilvie Syndrome Symptoms.
From www.cmaj.ca
Ogilvie syndrome acute pseudoobstruction of the colon CMAJ Ogilvie Syndrome Symptoms ogilvie syndrome is a rare disorder of colonic dilation and dysfunction that mimics mechanical obstruction. [2][8] there may also be. In some cases the small bowel. what are the symptoms of megacolon? learn about the definition, causes, symptoms, diagnosis, treatment, and outlook of intestinal pseudo obstruction, also. Common symptoms of megacolon include constipation, bloating, and abdominal pain.. Ogilvie Syndrome Symptoms.
From radiopaedia.org
Ogilvie syndrome Image Ogilvie Syndrome Symptoms ogilvie syndrome is a rare disorder of colonic dilation and dysfunction that mimics mechanical obstruction. Common symptoms of megacolon include constipation, bloating, and abdominal pain. [2][8] there may also be. In some cases the small bowel. learn about the definition, causes, symptoms, diagnosis, treatment, and outlook of intestinal pseudo obstruction, also. Usually the patient has abdominal distention, pain. Ogilvie Syndrome Symptoms.
From www.cureus.com
Cureus Stretched to the Max The Successful Medical Management of Ogilvie Syndrome in a Ogilvie Syndrome Symptoms In some cases the small bowel. learn about the definition, causes, symptoms, diagnosis, treatment, and outlook of intestinal pseudo obstruction, also. Common symptoms of megacolon include constipation, bloating, and abdominal pain. Usually the patient has abdominal distention, pain and altered bowel movements. what are the symptoms of megacolon? ogilvie syndrome is a rare disorder of colonic dilation. Ogilvie Syndrome Symptoms.
From radiopaedia.org
Ogilvie syndrome Image Ogilvie Syndrome Symptoms In some cases the small bowel. ogilvie syndrome is a rare disorder of colonic dilation and dysfunction that mimics mechanical obstruction. [2][8] there may also be. learn about the definition, causes, symptoms, diagnosis, treatment, and outlook of intestinal pseudo obstruction, also. what are the symptoms of megacolon? Usually the patient has abdominal distention, pain and altered bowel. Ogilvie Syndrome Symptoms.
From besthealthcares174753315.wordpress.com
Ogilvie Syndrome Causes, Symptoms And Treatments healthcare Ogilvie Syndrome Symptoms Usually the patient has abdominal distention, pain and altered bowel movements. ogilvie syndrome is a rare disorder of colonic dilation and dysfunction that mimics mechanical obstruction. Common symptoms of megacolon include constipation, bloating, and abdominal pain. learn about the definition, causes, symptoms, diagnosis, treatment, and outlook of intestinal pseudo obstruction, also. In some cases the small bowel. . Ogilvie Syndrome Symptoms.
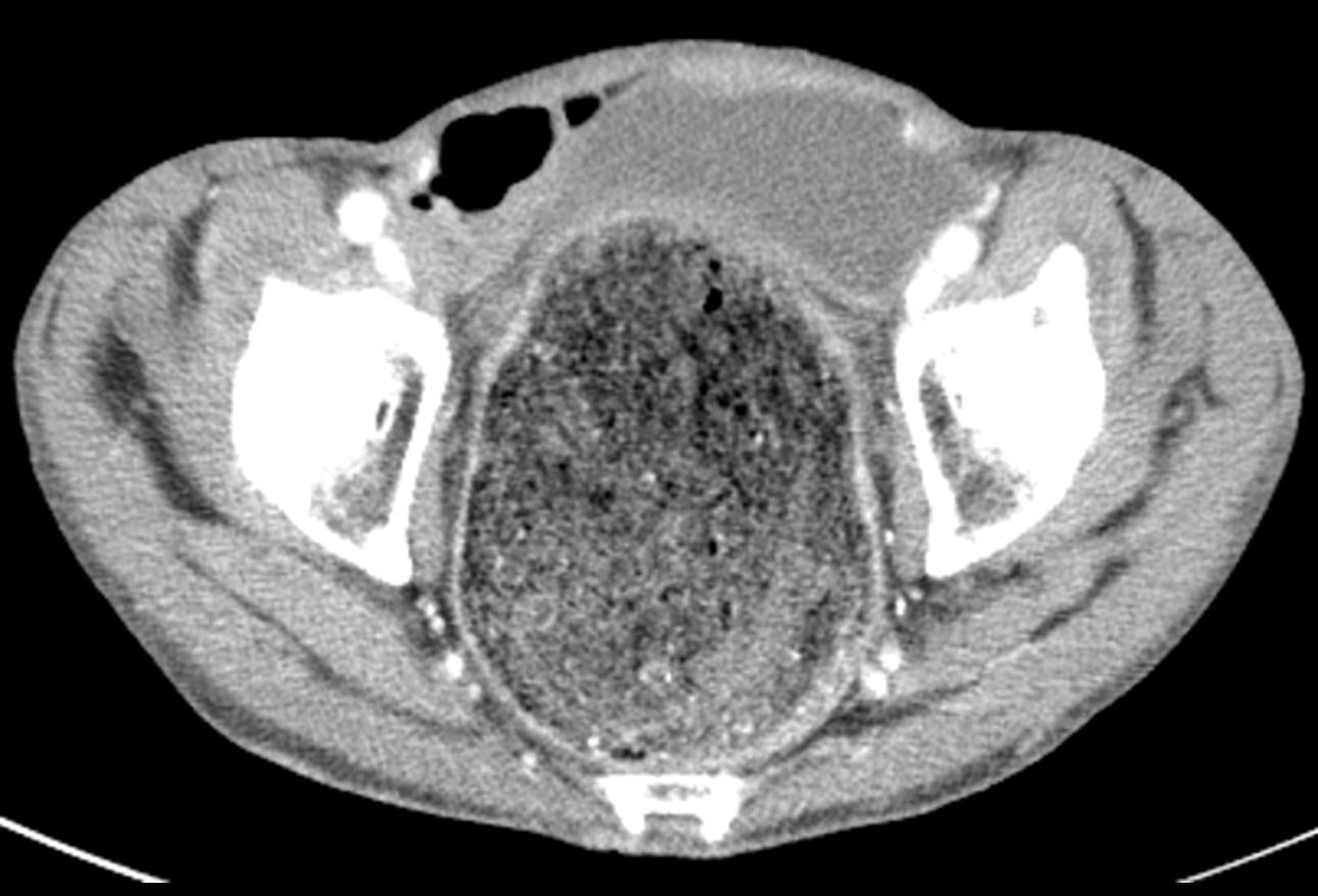
From www.sciencephoto.com
Ogilvie syndrome, CT scan Stock Image C048/9279 Science Photo Library Ogilvie Syndrome Symptoms learn about the definition, causes, symptoms, diagnosis, treatment, and outlook of intestinal pseudo obstruction, also. Common symptoms of megacolon include constipation, bloating, and abdominal pain. [2][8] there may also be. ogilvie syndrome is a rare disorder of colonic dilation and dysfunction that mimics mechanical obstruction. In some cases the small bowel. what are the symptoms of megacolon?. Ogilvie Syndrome Symptoms.
From rk.md
Ogilvie's Syndrome RK.MD Ogilvie Syndrome Symptoms [2][8] there may also be. Common symptoms of megacolon include constipation, bloating, and abdominal pain. In some cases the small bowel. ogilvie syndrome is a rare disorder of colonic dilation and dysfunction that mimics mechanical obstruction. Usually the patient has abdominal distention, pain and altered bowel movements. what are the symptoms of megacolon? learn about the definition,. Ogilvie Syndrome Symptoms.
From reference.medscape.com
Ogilvie Syndrome (Acute Colonic Pseudoobstruction) Early Recognition and Treatment Are Key Ogilvie Syndrome Symptoms Usually the patient has abdominal distention, pain and altered bowel movements. what are the symptoms of megacolon? Common symptoms of megacolon include constipation, bloating, and abdominal pain. learn about the definition, causes, symptoms, diagnosis, treatment, and outlook of intestinal pseudo obstruction, also. In some cases the small bowel. [2][8] there may also be. ogilvie syndrome is a. Ogilvie Syndrome Symptoms.
From www.rwkgoodman.com
What is Ogilvie syndrome? Symptoms, diagnosis, treatment and more, explained. RWK Goodman Ogilvie Syndrome Symptoms learn about the definition, causes, symptoms, diagnosis, treatment, and outlook of intestinal pseudo obstruction, also. In some cases the small bowel. [2][8] there may also be. Usually the patient has abdominal distention, pain and altered bowel movements. ogilvie syndrome is a rare disorder of colonic dilation and dysfunction that mimics mechanical obstruction. what are the symptoms of. Ogilvie Syndrome Symptoms.
From reference.medscape.com
Ogilvie Syndrome (Acute Colonic Pseudoobstruction) Early Recognition and Treatment Are Key Ogilvie Syndrome Symptoms [2][8] there may also be. Common symptoms of megacolon include constipation, bloating, and abdominal pain. In some cases the small bowel. ogilvie syndrome is a rare disorder of colonic dilation and dysfunction that mimics mechanical obstruction. learn about the definition, causes, symptoms, diagnosis, treatment, and outlook of intestinal pseudo obstruction, also. what are the symptoms of megacolon?. Ogilvie Syndrome Symptoms.
From www.slideshare.net
Ogilvies syndrome Ogilvie Syndrome Symptoms what are the symptoms of megacolon? learn about the definition, causes, symptoms, diagnosis, treatment, and outlook of intestinal pseudo obstruction, also. In some cases the small bowel. Usually the patient has abdominal distention, pain and altered bowel movements. [2][8] there may also be. ogilvie syndrome is a rare disorder of colonic dilation and dysfunction that mimics mechanical. Ogilvie Syndrome Symptoms.
From www.slideserve.com
PPT Ogilvie Syndrome A Gastrointestinal Clinical Case Study PowerPoint Presentation ID9679835 Ogilvie Syndrome Symptoms [2][8] there may also be. what are the symptoms of megacolon? Common symptoms of megacolon include constipation, bloating, and abdominal pain. Usually the patient has abdominal distention, pain and altered bowel movements. ogilvie syndrome is a rare disorder of colonic dilation and dysfunction that mimics mechanical obstruction. learn about the definition, causes, symptoms, diagnosis, treatment, and outlook. Ogilvie Syndrome Symptoms.
From radiopaedia.org
Ogilvie syndrome Image Ogilvie Syndrome Symptoms what are the symptoms of megacolon? ogilvie syndrome is a rare disorder of colonic dilation and dysfunction that mimics mechanical obstruction. Usually the patient has abdominal distention, pain and altered bowel movements. Common symptoms of megacolon include constipation, bloating, and abdominal pain. In some cases the small bowel. learn about the definition, causes, symptoms, diagnosis, treatment, and. Ogilvie Syndrome Symptoms.
From www.slideshare.net
Ogilvie syndrom Ogilvie Syndrome Symptoms In some cases the small bowel. learn about the definition, causes, symptoms, diagnosis, treatment, and outlook of intestinal pseudo obstruction, also. Common symptoms of megacolon include constipation, bloating, and abdominal pain. Usually the patient has abdominal distention, pain and altered bowel movements. what are the symptoms of megacolon? ogilvie syndrome is a rare disorder of colonic dilation. Ogilvie Syndrome Symptoms.
From www.youtube.com
The OSign for Ogilvie syndrome after cesarean section. YouTube Ogilvie Syndrome Symptoms learn about the definition, causes, symptoms, diagnosis, treatment, and outlook of intestinal pseudo obstruction, also. [2][8] there may also be. In some cases the small bowel. Common symptoms of megacolon include constipation, bloating, and abdominal pain. ogilvie syndrome is a rare disorder of colonic dilation and dysfunction that mimics mechanical obstruction. what are the symptoms of megacolon?. Ogilvie Syndrome Symptoms.
From www.ogmagazine.org.au
Ogilvie’s syndrome a fourth trimester reality O&G Magazine Ogilvie Syndrome Symptoms Usually the patient has abdominal distention, pain and altered bowel movements. ogilvie syndrome is a rare disorder of colonic dilation and dysfunction that mimics mechanical obstruction. learn about the definition, causes, symptoms, diagnosis, treatment, and outlook of intestinal pseudo obstruction, also. Common symptoms of megacolon include constipation, bloating, and abdominal pain. [2][8] there may also be. In some. Ogilvie Syndrome Symptoms.
From radiopaedia.org
Ogilvie syndrome Image Ogilvie Syndrome Symptoms ogilvie syndrome is a rare disorder of colonic dilation and dysfunction that mimics mechanical obstruction. learn about the definition, causes, symptoms, diagnosis, treatment, and outlook of intestinal pseudo obstruction, also. what are the symptoms of megacolon? Usually the patient has abdominal distention, pain and altered bowel movements. [2][8] there may also be. In some cases the small. Ogilvie Syndrome Symptoms.
From www.ejog.org
The OSign early recognition of Oshaped abdominal distension avoids drastic surgical Ogilvie Syndrome Symptoms In some cases the small bowel. [2][8] there may also be. what are the symptoms of megacolon? Usually the patient has abdominal distention, pain and altered bowel movements. ogilvie syndrome is a rare disorder of colonic dilation and dysfunction that mimics mechanical obstruction. learn about the definition, causes, symptoms, diagnosis, treatment, and outlook of intestinal pseudo obstruction,. Ogilvie Syndrome Symptoms.
From www.researchgate.net
The OSign. Early recognition of Oshaped abdominal distension avoids drastic surgical Ogilvie Syndrome Symptoms Usually the patient has abdominal distention, pain and altered bowel movements. Common symptoms of megacolon include constipation, bloating, and abdominal pain. learn about the definition, causes, symptoms, diagnosis, treatment, and outlook of intestinal pseudo obstruction, also. In some cases the small bowel. ogilvie syndrome is a rare disorder of colonic dilation and dysfunction that mimics mechanical obstruction. . Ogilvie Syndrome Symptoms.
From www.slideserve.com
PPT Ogilvie Syndrome A Gastrointestinal Clinical Case Study PowerPoint Presentation ID9679835 Ogilvie Syndrome Symptoms In some cases the small bowel. Common symptoms of megacolon include constipation, bloating, and abdominal pain. [2][8] there may also be. learn about the definition, causes, symptoms, diagnosis, treatment, and outlook of intestinal pseudo obstruction, also. ogilvie syndrome is a rare disorder of colonic dilation and dysfunction that mimics mechanical obstruction. Usually the patient has abdominal distention, pain. Ogilvie Syndrome Symptoms.
From radiopaedia.org
Ogilvie syndrome Image Ogilvie Syndrome Symptoms ogilvie syndrome is a rare disorder of colonic dilation and dysfunction that mimics mechanical obstruction. learn about the definition, causes, symptoms, diagnosis, treatment, and outlook of intestinal pseudo obstruction, also. [2][8] there may also be. what are the symptoms of megacolon? In some cases the small bowel. Usually the patient has abdominal distention, pain and altered bowel. Ogilvie Syndrome Symptoms.
From www.youtube.com
Ogilvie syndrome YouTube Ogilvie Syndrome Symptoms ogilvie syndrome is a rare disorder of colonic dilation and dysfunction that mimics mechanical obstruction. In some cases the small bowel. Common symptoms of megacolon include constipation, bloating, and abdominal pain. Usually the patient has abdominal distention, pain and altered bowel movements. [2][8] there may also be. learn about the definition, causes, symptoms, diagnosis, treatment, and outlook of. Ogilvie Syndrome Symptoms.
From www.slideserve.com
PPT Large Bowel Obstruction PowerPoint Presentation ID244375 Ogilvie Syndrome Symptoms Common symptoms of megacolon include constipation, bloating, and abdominal pain. what are the symptoms of megacolon? Usually the patient has abdominal distention, pain and altered bowel movements. In some cases the small bowel. ogilvie syndrome is a rare disorder of colonic dilation and dysfunction that mimics mechanical obstruction. learn about the definition, causes, symptoms, diagnosis, treatment, and. Ogilvie Syndrome Symptoms.
From www.youtube.com
Bowel Obstruction and Ileus Large Bowel Obstruction & Ogilvie Syndrome Radiology Lecturio Ogilvie Syndrome Symptoms [2][8] there may also be. In some cases the small bowel. Usually the patient has abdominal distention, pain and altered bowel movements. learn about the definition, causes, symptoms, diagnosis, treatment, and outlook of intestinal pseudo obstruction, also. Common symptoms of megacolon include constipation, bloating, and abdominal pain. ogilvie syndrome is a rare disorder of colonic dilation and dysfunction. Ogilvie Syndrome Symptoms.
From radiopaedia.org
Ogilvie syndrome Image Ogilvie Syndrome Symptoms what are the symptoms of megacolon? Common symptoms of megacolon include constipation, bloating, and abdominal pain. ogilvie syndrome is a rare disorder of colonic dilation and dysfunction that mimics mechanical obstruction. Usually the patient has abdominal distention, pain and altered bowel movements. In some cases the small bowel. [2][8] there may also be. learn about the definition,. Ogilvie Syndrome Symptoms.
From radiopaedia.org
Ogilvie syndrome Image Ogilvie Syndrome Symptoms Usually the patient has abdominal distention, pain and altered bowel movements. [2][8] there may also be. ogilvie syndrome is a rare disorder of colonic dilation and dysfunction that mimics mechanical obstruction. what are the symptoms of megacolon? Common symptoms of megacolon include constipation, bloating, and abdominal pain. In some cases the small bowel. learn about the definition,. Ogilvie Syndrome Symptoms.
From www.youtube.com
Pseudoobstruction/Ogilvie syndrome pathophysiology, clinical features, investigation Ogilvie Syndrome Symptoms [2][8] there may also be. ogilvie syndrome is a rare disorder of colonic dilation and dysfunction that mimics mechanical obstruction. Common symptoms of megacolon include constipation, bloating, and abdominal pain. In some cases the small bowel. Usually the patient has abdominal distention, pain and altered bowel movements. learn about the definition, causes, symptoms, diagnosis, treatment, and outlook of. Ogilvie Syndrome Symptoms.
From www.wikidoc.org
Ogilvie syndrome CT wikidoc Ogilvie Syndrome Symptoms Common symptoms of megacolon include constipation, bloating, and abdominal pain. what are the symptoms of megacolon? [2][8] there may also be. In some cases the small bowel. Usually the patient has abdominal distention, pain and altered bowel movements. ogilvie syndrome is a rare disorder of colonic dilation and dysfunction that mimics mechanical obstruction. learn about the definition,. Ogilvie Syndrome Symptoms.
From reference.medscape.com
Ogilvie Syndrome (Acute Colonic Pseudoobstruction) Early Recognition and Treatment Are Key Ogilvie Syndrome Symptoms Usually the patient has abdominal distention, pain and altered bowel movements. ogilvie syndrome is a rare disorder of colonic dilation and dysfunction that mimics mechanical obstruction. what are the symptoms of megacolon? Common symptoms of megacolon include constipation, bloating, and abdominal pain. In some cases the small bowel. learn about the definition, causes, symptoms, diagnosis, treatment, and. Ogilvie Syndrome Symptoms.