Chest X-Ray To Diagnose Leukemia . — physical exams for diagnosing leukemia. If the scan finds an abnormal. Consider seeking medical care if you have developed any of these. It is used to look for: a ct scan of the chest or abdomen can help detect an enlarged lymph node or cancers in the liver, pancreas, lungs, bones and. Although the thorax is uncommonly involved, it may occur in the lungs, pleura, mediastinum, chest. — myeloid sarcoma.
from www.cureus.com
Although the thorax is uncommonly involved, it may occur in the lungs, pleura, mediastinum, chest. a ct scan of the chest or abdomen can help detect an enlarged lymph node or cancers in the liver, pancreas, lungs, bones and. — myeloid sarcoma. If the scan finds an abnormal. It is used to look for: Consider seeking medical care if you have developed any of these. — physical exams for diagnosing leukemia.
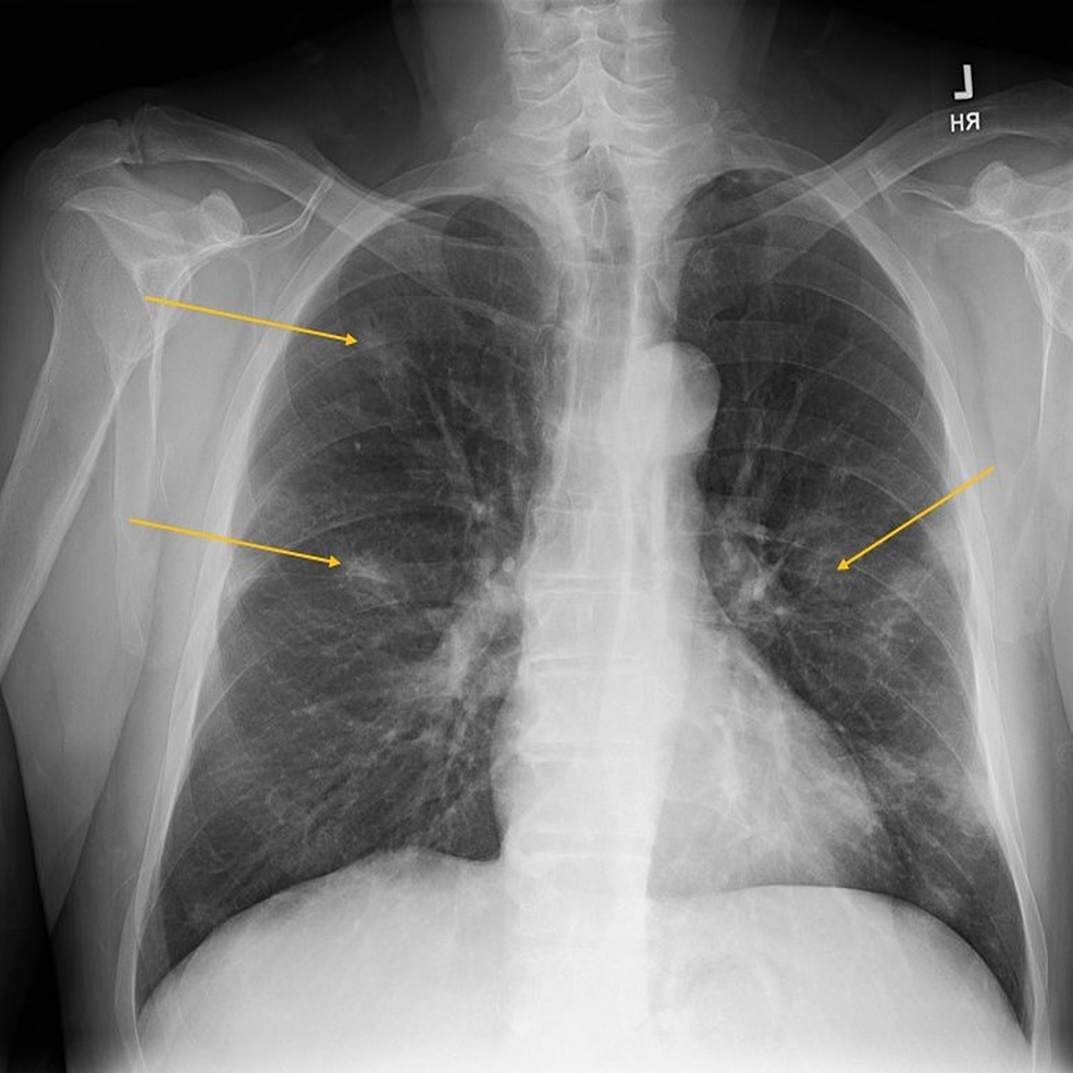
Cureus Impending Cardiac Tamponade as the Initial Manifestation of
Chest X-Ray To Diagnose Leukemia Although the thorax is uncommonly involved, it may occur in the lungs, pleura, mediastinum, chest. a ct scan of the chest or abdomen can help detect an enlarged lymph node or cancers in the liver, pancreas, lungs, bones and. Although the thorax is uncommonly involved, it may occur in the lungs, pleura, mediastinum, chest. — physical exams for diagnosing leukemia. It is used to look for: — myeloid sarcoma. Consider seeking medical care if you have developed any of these. If the scan finds an abnormal.
From www.cureus.com
Cureus Primary Pulmonary Hodgkin's Lymphoma A Rare Etiology of a Chest X-Ray To Diagnose Leukemia Consider seeking medical care if you have developed any of these. It is used to look for: — physical exams for diagnosing leukemia. — myeloid sarcoma. Although the thorax is uncommonly involved, it may occur in the lungs, pleura, mediastinum, chest. a ct scan of the chest or abdomen can help detect an enlarged lymph node or. Chest X-Ray To Diagnose Leukemia.
From www.cureus.com
Cureus Acute Myeloid Leukemia Complicated by Hyperleukocytosis and Chest X-Ray To Diagnose Leukemia If the scan finds an abnormal. Although the thorax is uncommonly involved, it may occur in the lungs, pleura, mediastinum, chest. a ct scan of the chest or abdomen can help detect an enlarged lymph node or cancers in the liver, pancreas, lungs, bones and. — myeloid sarcoma. — physical exams for diagnosing leukemia. Consider seeking medical. Chest X-Ray To Diagnose Leukemia.
From pubs.rsna.org
Leukemic Involvement in the Thorax RadioGraphics Chest X-Ray To Diagnose Leukemia a ct scan of the chest or abdomen can help detect an enlarged lymph node or cancers in the liver, pancreas, lungs, bones and. It is used to look for: — myeloid sarcoma. — physical exams for diagnosing leukemia. Although the thorax is uncommonly involved, it may occur in the lungs, pleura, mediastinum, chest. If the scan. Chest X-Ray To Diagnose Leukemia.
From www.cureus.com
Cureus Aeromonas hydrophila CommunityAcquired Bacterial Pneumonia Chest X-Ray To Diagnose Leukemia — myeloid sarcoma. — physical exams for diagnosing leukemia. a ct scan of the chest or abdomen can help detect an enlarged lymph node or cancers in the liver, pancreas, lungs, bones and. If the scan finds an abnormal. Although the thorax is uncommonly involved, it may occur in the lungs, pleura, mediastinum, chest. It is used. Chest X-Ray To Diagnose Leukemia.
From www.ajronline.org
Pulmonary Leukemic Infiltrates HighResolution CT Findings in 10 Chest X-Ray To Diagnose Leukemia a ct scan of the chest or abdomen can help detect an enlarged lymph node or cancers in the liver, pancreas, lungs, bones and. — myeloid sarcoma. Consider seeking medical care if you have developed any of these. Although the thorax is uncommonly involved, it may occur in the lungs, pleura, mediastinum, chest. It is used to look. Chest X-Ray To Diagnose Leukemia.
From www.osmosis.org
Chest Xray interpretation Clinical practice Osmosis Chest X-Ray To Diagnose Leukemia If the scan finds an abnormal. Consider seeking medical care if you have developed any of these. — myeloid sarcoma. It is used to look for: Although the thorax is uncommonly involved, it may occur in the lungs, pleura, mediastinum, chest. — physical exams for diagnosing leukemia. a ct scan of the chest or abdomen can help. Chest X-Ray To Diagnose Leukemia.
From www.researchgate.net
Chest Xray upon admission. Cardiomegaly, pulmonary edema, and Chest X-Ray To Diagnose Leukemia Although the thorax is uncommonly involved, it may occur in the lungs, pleura, mediastinum, chest. — myeloid sarcoma. a ct scan of the chest or abdomen can help detect an enlarged lymph node or cancers in the liver, pancreas, lungs, bones and. — physical exams for diagnosing leukemia. Consider seeking medical care if you have developed any. Chest X-Ray To Diagnose Leukemia.
From www.verywellhealth.com
Leukemia Diagnosis and Staging Chest X-Ray To Diagnose Leukemia a ct scan of the chest or abdomen can help detect an enlarged lymph node or cancers in the liver, pancreas, lungs, bones and. If the scan finds an abnormal. — physical exams for diagnosing leukemia. Consider seeking medical care if you have developed any of these. It is used to look for: Although the thorax is uncommonly. Chest X-Ray To Diagnose Leukemia.
From www.cureus.com
Cureus Adenocarcinoma of the Lung Presenting with Intrapulmonary Chest X-Ray To Diagnose Leukemia If the scan finds an abnormal. It is used to look for: Although the thorax is uncommonly involved, it may occur in the lungs, pleura, mediastinum, chest. Consider seeking medical care if you have developed any of these. a ct scan of the chest or abdomen can help detect an enlarged lymph node or cancers in the liver, pancreas,. Chest X-Ray To Diagnose Leukemia.
From www.cureus.com
Cureus Spontaneous Tumor Lysis Syndrome in a Patient With a Known Chest X-Ray To Diagnose Leukemia Consider seeking medical care if you have developed any of these. — physical exams for diagnosing leukemia. a ct scan of the chest or abdomen can help detect an enlarged lymph node or cancers in the liver, pancreas, lungs, bones and. — myeloid sarcoma. If the scan finds an abnormal. It is used to look for: Although. Chest X-Ray To Diagnose Leukemia.
From pubs.sciepub.com
Figure 1. Chest xray of patient on presentation to the hospital Chest X-Ray To Diagnose Leukemia — myeloid sarcoma. If the scan finds an abnormal. Although the thorax is uncommonly involved, it may occur in the lungs, pleura, mediastinum, chest. a ct scan of the chest or abdomen can help detect an enlarged lymph node or cancers in the liver, pancreas, lungs, bones and. Consider seeking medical care if you have developed any of. Chest X-Ray To Diagnose Leukemia.
From www.youtube.com
Chest XRay Lung Normal Vs Abnormal Image Appearances Part 2 Pleural Chest X-Ray To Diagnose Leukemia It is used to look for: — myeloid sarcoma. — physical exams for diagnosing leukemia. Consider seeking medical care if you have developed any of these. Although the thorax is uncommonly involved, it may occur in the lungs, pleura, mediastinum, chest. If the scan finds an abnormal. a ct scan of the chest or abdomen can help. Chest X-Ray To Diagnose Leukemia.
From www.cureus.com
Cureus Impending Cardiac Tamponade as the Initial Manifestation of Chest X-Ray To Diagnose Leukemia a ct scan of the chest or abdomen can help detect an enlarged lymph node or cancers in the liver, pancreas, lungs, bones and. It is used to look for: Although the thorax is uncommonly involved, it may occur in the lungs, pleura, mediastinum, chest. — myeloid sarcoma. Consider seeking medical care if you have developed any of. Chest X-Ray To Diagnose Leukemia.
From www.esciencecentral.org
LeukemiaChestXrayPALATshowssternalprotrusion Chest X-Ray To Diagnose Leukemia Although the thorax is uncommonly involved, it may occur in the lungs, pleura, mediastinum, chest. a ct scan of the chest or abdomen can help detect an enlarged lymph node or cancers in the liver, pancreas, lungs, bones and. — myeloid sarcoma. — physical exams for diagnosing leukemia. Consider seeking medical care if you have developed any. Chest X-Ray To Diagnose Leukemia.
From mavink.com
Normal Chest X Ray Findings Chest X-Ray To Diagnose Leukemia If the scan finds an abnormal. — myeloid sarcoma. Consider seeking medical care if you have developed any of these. — physical exams for diagnosing leukemia. a ct scan of the chest or abdomen can help detect an enlarged lymph node or cancers in the liver, pancreas, lungs, bones and. Although the thorax is uncommonly involved, it. Chest X-Ray To Diagnose Leukemia.
From www.cureus.com
Cureus Disseminated Histoplasmosis with Concurrent Hairy Cell Leukemia Chest X-Ray To Diagnose Leukemia — myeloid sarcoma. — physical exams for diagnosing leukemia. It is used to look for: If the scan finds an abnormal. a ct scan of the chest or abdomen can help detect an enlarged lymph node or cancers in the liver, pancreas, lungs, bones and. Consider seeking medical care if you have developed any of these. Although. Chest X-Ray To Diagnose Leukemia.
From pediatricimaging.org
Pediatric Leukemia Pediatric Radiology Reference Article Pediatric Chest X-Ray To Diagnose Leukemia — myeloid sarcoma. Although the thorax is uncommonly involved, it may occur in the lungs, pleura, mediastinum, chest. If the scan finds an abnormal. It is used to look for: a ct scan of the chest or abdomen can help detect an enlarged lymph node or cancers in the liver, pancreas, lungs, bones and. — physical exams. Chest X-Ray To Diagnose Leukemia.
From www.frontiersin.org
Frontiers Case Report Remdesivir and Convalescent Plasma in a Newly Chest X-Ray To Diagnose Leukemia a ct scan of the chest or abdomen can help detect an enlarged lymph node or cancers in the liver, pancreas, lungs, bones and. It is used to look for: Although the thorax is uncommonly involved, it may occur in the lungs, pleura, mediastinum, chest. Consider seeking medical care if you have developed any of these. — myeloid. Chest X-Ray To Diagnose Leukemia.
From www.wikidoc.org
Acute lymphoblastic leukemia chest x ray wikidoc Chest X-Ray To Diagnose Leukemia If the scan finds an abnormal. — myeloid sarcoma. It is used to look for: — physical exams for diagnosing leukemia. a ct scan of the chest or abdomen can help detect an enlarged lymph node or cancers in the liver, pancreas, lungs, bones and. Consider seeking medical care if you have developed any of these. Although. Chest X-Ray To Diagnose Leukemia.
From www.verywellhealth.com
Chest XRay for the Diagnosis of Lung Cancer Chest X-Ray To Diagnose Leukemia It is used to look for: If the scan finds an abnormal. a ct scan of the chest or abdomen can help detect an enlarged lymph node or cancers in the liver, pancreas, lungs, bones and. — physical exams for diagnosing leukemia. Consider seeking medical care if you have developed any of these. Although the thorax is uncommonly. Chest X-Ray To Diagnose Leukemia.
From www.omicsonline.org
Leukemia3.5yearsoldboyanteriorchestwallbulging Chest X-Ray To Diagnose Leukemia It is used to look for: Consider seeking medical care if you have developed any of these. a ct scan of the chest or abdomen can help detect an enlarged lymph node or cancers in the liver, pancreas, lungs, bones and. — myeloid sarcoma. If the scan finds an abnormal. — physical exams for diagnosing leukemia. Although. Chest X-Ray To Diagnose Leukemia.
From www.mdpi.com
Diagnostics Free FullText COVID19 Diagnosis from Chest Xray Chest X-Ray To Diagnose Leukemia If the scan finds an abnormal. It is used to look for: Although the thorax is uncommonly involved, it may occur in the lungs, pleura, mediastinum, chest. Consider seeking medical care if you have developed any of these. — physical exams for diagnosing leukemia. — myeloid sarcoma. a ct scan of the chest or abdomen can help. Chest X-Ray To Diagnose Leukemia.
From www.cureus.com
Cureus Concurrent Diagnosis of Acute Myeloid Leukemia and COVID19 A Chest X-Ray To Diagnose Leukemia It is used to look for: — myeloid sarcoma. — physical exams for diagnosing leukemia. If the scan finds an abnormal. Consider seeking medical care if you have developed any of these. Although the thorax is uncommonly involved, it may occur in the lungs, pleura, mediastinum, chest. a ct scan of the chest or abdomen can help. Chest X-Ray To Diagnose Leukemia.
From temertymedicine.utoronto.ca
Leukemia Drugs Hold Promise for TreatmentResistant Lung Cancer Chest X-Ray To Diagnose Leukemia Consider seeking medical care if you have developed any of these. — myeloid sarcoma. Although the thorax is uncommonly involved, it may occur in the lungs, pleura, mediastinum, chest. a ct scan of the chest or abdomen can help detect an enlarged lymph node or cancers in the liver, pancreas, lungs, bones and. If the scan finds an. Chest X-Ray To Diagnose Leukemia.
From www.aafp.org
Leukemia An Overview for Primary Care AAFP Chest X-Ray To Diagnose Leukemia Although the thorax is uncommonly involved, it may occur in the lungs, pleura, mediastinum, chest. — myeloid sarcoma. Consider seeking medical care if you have developed any of these. — physical exams for diagnosing leukemia. a ct scan of the chest or abdomen can help detect an enlarged lymph node or cancers in the liver, pancreas, lungs,. Chest X-Ray To Diagnose Leukemia.
From www.vrogue.co
Acute Lymphoblastic Leukemia Chest X Ray Wikidoc vrogue.co Chest X-Ray To Diagnose Leukemia a ct scan of the chest or abdomen can help detect an enlarged lymph node or cancers in the liver, pancreas, lungs, bones and. — myeloid sarcoma. Although the thorax is uncommonly involved, it may occur in the lungs, pleura, mediastinum, chest. If the scan finds an abnormal. It is used to look for: — physical exams. Chest X-Ray To Diagnose Leukemia.
From www.cureus.com
Cureus STElevation Myocardial Infarction in a 56YearOld Man With Chest X-Ray To Diagnose Leukemia Consider seeking medical care if you have developed any of these. It is used to look for: If the scan finds an abnormal. Although the thorax is uncommonly involved, it may occur in the lungs, pleura, mediastinum, chest. — physical exams for diagnosing leukemia. a ct scan of the chest or abdomen can help detect an enlarged lymph. Chest X-Ray To Diagnose Leukemia.
From www.researchgate.net
Pulmonary edema A four year old girl with sepsis and leukemia. The Chest X-Ray To Diagnose Leukemia Consider seeking medical care if you have developed any of these. — myeloid sarcoma. — physical exams for diagnosing leukemia. If the scan finds an abnormal. It is used to look for: a ct scan of the chest or abdomen can help detect an enlarged lymph node or cancers in the liver, pancreas, lungs, bones and. Although. Chest X-Ray To Diagnose Leukemia.
From www.msdmanuals.com
Image Chronic Obstructive Pulmonary Disease (Chest Xray) MSD Manual Chest X-Ray To Diagnose Leukemia It is used to look for: Consider seeking medical care if you have developed any of these. If the scan finds an abnormal. Although the thorax is uncommonly involved, it may occur in the lungs, pleura, mediastinum, chest. — myeloid sarcoma. — physical exams for diagnosing leukemia. a ct scan of the chest or abdomen can help. Chest X-Ray To Diagnose Leukemia.
From www.spandidos-publications.com
A patient with chronic myeloid leukemia and situs inversus totalis A Chest X-Ray To Diagnose Leukemia It is used to look for: — myeloid sarcoma. If the scan finds an abnormal. Consider seeking medical care if you have developed any of these. a ct scan of the chest or abdomen can help detect an enlarged lymph node or cancers in the liver, pancreas, lungs, bones and. — physical exams for diagnosing leukemia. Although. Chest X-Ray To Diagnose Leukemia.
From www.leukemiasurvivor.co
Leukemia Fighter! (CML); I Am Dancing and Traveling My Way Through Chest X-Ray To Diagnose Leukemia If the scan finds an abnormal. — myeloid sarcoma. It is used to look for: Although the thorax is uncommonly involved, it may occur in the lungs, pleura, mediastinum, chest. — physical exams for diagnosing leukemia. Consider seeking medical care if you have developed any of these. a ct scan of the chest or abdomen can help. Chest X-Ray To Diagnose Leukemia.
From www.mdpi.com
Diagnostics Free FullText Chest Xray Interpretation Detecting Chest X-Ray To Diagnose Leukemia Although the thorax is uncommonly involved, it may occur in the lungs, pleura, mediastinum, chest. a ct scan of the chest or abdomen can help detect an enlarged lymph node or cancers in the liver, pancreas, lungs, bones and. It is used to look for: — physical exams for diagnosing leukemia. — myeloid sarcoma. Consider seeking medical. Chest X-Ray To Diagnose Leukemia.
From bookmerilab.com
Chest XRay Get Price, Purpose, Views, Sample Report & Results [2024] Chest X-Ray To Diagnose Leukemia Although the thorax is uncommonly involved, it may occur in the lungs, pleura, mediastinum, chest. — physical exams for diagnosing leukemia. Consider seeking medical care if you have developed any of these. — myeloid sarcoma. If the scan finds an abnormal. It is used to look for: a ct scan of the chest or abdomen can help. Chest X-Ray To Diagnose Leukemia.
From basicmedicalkey.com
Acute Myeloid Leukemia Basicmedical Key Chest X-Ray To Diagnose Leukemia Consider seeking medical care if you have developed any of these. If the scan finds an abnormal. It is used to look for: a ct scan of the chest or abdomen can help detect an enlarged lymph node or cancers in the liver, pancreas, lungs, bones and. Although the thorax is uncommonly involved, it may occur in the lungs,. Chest X-Ray To Diagnose Leukemia.
From communities.springernature.com
VinDrCXR The largest public chest Xray dataset with radiologist Chest X-Ray To Diagnose Leukemia — myeloid sarcoma. Consider seeking medical care if you have developed any of these. Although the thorax is uncommonly involved, it may occur in the lungs, pleura, mediastinum, chest. It is used to look for: a ct scan of the chest or abdomen can help detect an enlarged lymph node or cancers in the liver, pancreas, lungs, bones. Chest X-Ray To Diagnose Leukemia.